What Is Feldspathic Dental Porcelain . feldspathic porcelains are the most used ceramic materials in dentistry for the manufacture of indirect restorations. initially used for the creation of porcelain dentures, feldspathic porcelain has emerged as the premier esthetic material for. leucite feldspathic porcelain materials remain as some of the most esthetic and widely used dental ceramics. feldspathic porcelain is known for its brittle nature and inherent weakness. feldspatheic porcelain is a highly translucent, esthetic material for restorations fabricated with the traditional veneering. 3 during function, where tensile and shear.
from www.inhousedentalstudio.com
leucite feldspathic porcelain materials remain as some of the most esthetic and widely used dental ceramics. feldspatheic porcelain is a highly translucent, esthetic material for restorations fabricated with the traditional veneering. feldspathic porcelain is known for its brittle nature and inherent weakness. feldspathic porcelains are the most used ceramic materials in dentistry for the manufacture of indirect restorations. initially used for the creation of porcelain dentures, feldspathic porcelain has emerged as the premier esthetic material for. 3 during function, where tensile and shear.
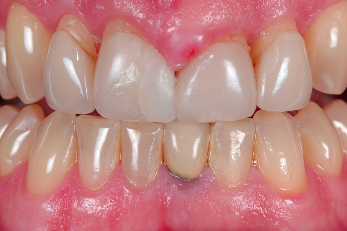
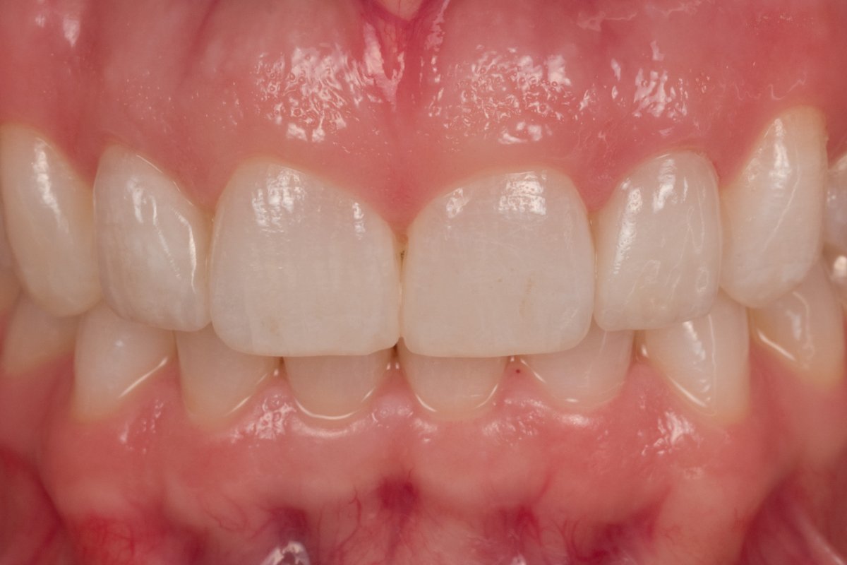
Case 10, Feldspathic Veneers 710 InHouse Dental Studio
What Is Feldspathic Dental Porcelain feldspatheic porcelain is a highly translucent, esthetic material for restorations fabricated with the traditional veneering. feldspathic porcelains are the most used ceramic materials in dentistry for the manufacture of indirect restorations. feldspathic porcelain is known for its brittle nature and inherent weakness. initially used for the creation of porcelain dentures, feldspathic porcelain has emerged as the premier esthetic material for. 3 during function, where tensile and shear. feldspatheic porcelain is a highly translucent, esthetic material for restorations fabricated with the traditional veneering. leucite feldspathic porcelain materials remain as some of the most esthetic and widely used dental ceramics.
From www.inhousedentalstudio.com
Case 8, Feldspathic Veneers Teeth 5 and 7 InHouse Dental Studio What Is Feldspathic Dental Porcelain feldspathic porcelains are the most used ceramic materials in dentistry for the manufacture of indirect restorations. 3 during function, where tensile and shear. feldspatheic porcelain is a highly translucent, esthetic material for restorations fabricated with the traditional veneering. feldspathic porcelain is known for its brittle nature and inherent weakness. initially used for the creation of porcelain. What Is Feldspathic Dental Porcelain.
From www.styledent.com
Feldspathic Veneers The Best Option For Your Next Dental Case What Is Feldspathic Dental Porcelain leucite feldspathic porcelain materials remain as some of the most esthetic and widely used dental ceramics. initially used for the creation of porcelain dentures, feldspathic porcelain has emerged as the premier esthetic material for. 3 during function, where tensile and shear. feldspatheic porcelain is a highly translucent, esthetic material for restorations fabricated with the traditional veneering. . What Is Feldspathic Dental Porcelain.
From bestdentistinhouston.com
Feldspathic Porcelain Veneers An Overview What Is Feldspathic Dental Porcelain leucite feldspathic porcelain materials remain as some of the most esthetic and widely used dental ceramics. initially used for the creation of porcelain dentures, feldspathic porcelain has emerged as the premier esthetic material for. feldspathic porcelain is known for its brittle nature and inherent weakness. feldspathic porcelains are the most used ceramic materials in dentistry for. What Is Feldspathic Dental Porcelain.
From www.colorguardcentral.com
What Is Feldspathic Porcelain? Color Guard Central What Is Feldspathic Dental Porcelain initially used for the creation of porcelain dentures, feldspathic porcelain has emerged as the premier esthetic material for. feldspatheic porcelain is a highly translucent, esthetic material for restorations fabricated with the traditional veneering. leucite feldspathic porcelain materials remain as some of the most esthetic and widely used dental ceramics. 3 during function, where tensile and shear. . What Is Feldspathic Dental Porcelain.
From www.inhousedentalstudio.com
Case 14, Feldspathic porcelain veneers for teeth 6, 8, 9, and 11 In What Is Feldspathic Dental Porcelain initially used for the creation of porcelain dentures, feldspathic porcelain has emerged as the premier esthetic material for. feldspathic porcelains are the most used ceramic materials in dentistry for the manufacture of indirect restorations. feldspathic porcelain is known for its brittle nature and inherent weakness. 3 during function, where tensile and shear. feldspatheic porcelain is a. What Is Feldspathic Dental Porcelain.
From www.mdpi.com
Materials Free FullText Retrospective LongTerm Clinical What Is Feldspathic Dental Porcelain feldspatheic porcelain is a highly translucent, esthetic material for restorations fabricated with the traditional veneering. leucite feldspathic porcelain materials remain as some of the most esthetic and widely used dental ceramics. feldspathic porcelain is known for its brittle nature and inherent weakness. initially used for the creation of porcelain dentures, feldspathic porcelain has emerged as the. What Is Feldspathic Dental Porcelain.
From caugheydds.com
Single Feldspathic Porcelain Veneer Elizabeth Caughey DDSElizabeth What Is Feldspathic Dental Porcelain leucite feldspathic porcelain materials remain as some of the most esthetic and widely used dental ceramics. initially used for the creation of porcelain dentures, feldspathic porcelain has emerged as the premier esthetic material for. feldspathic porcelains are the most used ceramic materials in dentistry for the manufacture of indirect restorations. 3 during function, where tensile and shear.. What Is Feldspathic Dental Porcelain.
From www.myzerodonto.com
Feldspathic veneers vs Zirconia crown. MyZerodonto What Is Feldspathic Dental Porcelain initially used for the creation of porcelain dentures, feldspathic porcelain has emerged as the premier esthetic material for. feldspathic porcelain is known for its brittle nature and inherent weakness. 3 during function, where tensile and shear. leucite feldspathic porcelain materials remain as some of the most esthetic and widely used dental ceramics. feldspathic porcelains are the. What Is Feldspathic Dental Porcelain.
From www.winningsmiles.net
WinningSmiles Dentistry Feldspathic Porcelain Smile Gallery What Is Feldspathic Dental Porcelain feldspathic porcelains are the most used ceramic materials in dentistry for the manufacture of indirect restorations. feldspatheic porcelain is a highly translucent, esthetic material for restorations fabricated with the traditional veneering. 3 during function, where tensile and shear. feldspathic porcelain is known for its brittle nature and inherent weakness. initially used for the creation of porcelain. What Is Feldspathic Dental Porcelain.
From burbankdental.com
Porcelain Veneers The Ultimate Smile Enhancer Burbank Dental Lab What Is Feldspathic Dental Porcelain 3 during function, where tensile and shear. feldspatheic porcelain is a highly translucent, esthetic material for restorations fabricated with the traditional veneering. initially used for the creation of porcelain dentures, feldspathic porcelain has emerged as the premier esthetic material for. feldspathic porcelain is known for its brittle nature and inherent weakness. feldspathic porcelains are the most. What Is Feldspathic Dental Porcelain.
From digitaldentalartslab.com
Porcelain Veneers Digital Dental Arts Laboratory What Is Feldspathic Dental Porcelain feldspathic porcelains are the most used ceramic materials in dentistry for the manufacture of indirect restorations. leucite feldspathic porcelain materials remain as some of the most esthetic and widely used dental ceramics. feldspathic porcelain is known for its brittle nature and inherent weakness. 3 during function, where tensile and shear. feldspatheic porcelain is a highly translucent,. What Is Feldspathic Dental Porcelain.
From www.researchgate.net
Ceramic veneers on anterior teeth. a Preoperative view of dental What Is Feldspathic Dental Porcelain leucite feldspathic porcelain materials remain as some of the most esthetic and widely used dental ceramics. feldspathic porcelains are the most used ceramic materials in dentistry for the manufacture of indirect restorations. feldspatheic porcelain is a highly translucent, esthetic material for restorations fabricated with the traditional veneering. 3 during function, where tensile and shear. initially used. What Is Feldspathic Dental Porcelain.
From es.made-in-china.com
Hermoso y Natural Feldespática carillas de porcelana para mejorar la What Is Feldspathic Dental Porcelain feldspatheic porcelain is a highly translucent, esthetic material for restorations fabricated with the traditional veneering. initially used for the creation of porcelain dentures, feldspathic porcelain has emerged as the premier esthetic material for. 3 during function, where tensile and shear. feldspathic porcelains are the most used ceramic materials in dentistry for the manufacture of indirect restorations. . What Is Feldspathic Dental Porcelain.
From www.researchgate.net
(a) Cemented posterior crowns fabricated from feldspathic porcelain... What Is Feldspathic Dental Porcelain 3 during function, where tensile and shear. feldspatheic porcelain is a highly translucent, esthetic material for restorations fabricated with the traditional veneering. initially used for the creation of porcelain dentures, feldspathic porcelain has emerged as the premier esthetic material for. feldspathic porcelains are the most used ceramic materials in dentistry for the manufacture of indirect restorations. . What Is Feldspathic Dental Porcelain.
From www.inhousedentalstudio.com
Case 10, Feldspathic Veneers 710 InHouse Dental Studio What Is Feldspathic Dental Porcelain leucite feldspathic porcelain materials remain as some of the most esthetic and widely used dental ceramics. initially used for the creation of porcelain dentures, feldspathic porcelain has emerged as the premier esthetic material for. feldspathic porcelains are the most used ceramic materials in dentistry for the manufacture of indirect restorations. feldspatheic porcelain is a highly translucent,. What Is Feldspathic Dental Porcelain.
From www.inhousedentalstudio.com
Case 14, Feldspathic porcelain veneers for teeth 6, 8, 9, and 11 In What Is Feldspathic Dental Porcelain 3 during function, where tensile and shear. feldspathic porcelains are the most used ceramic materials in dentistry for the manufacture of indirect restorations. feldspathic porcelain is known for its brittle nature and inherent weakness. feldspatheic porcelain is a highly translucent, esthetic material for restorations fabricated with the traditional veneering. leucite feldspathic porcelain materials remain as some. What Is Feldspathic Dental Porcelain.
From www.toledotimecapsule.com
Why Feldspathic Porcelain Is The Best Material For Dental Crowns What Is Feldspathic Dental Porcelain leucite feldspathic porcelain materials remain as some of the most esthetic and widely used dental ceramics. feldspathic porcelain is known for its brittle nature and inherent weakness. feldspathic porcelains are the most used ceramic materials in dentistry for the manufacture of indirect restorations. initially used for the creation of porcelain dentures, feldspathic porcelain has emerged as. What Is Feldspathic Dental Porcelain.
From caugheydds.com
Feldspathic Veneer Peg Lateral Elizabeth Caughey DDSElizabeth What Is Feldspathic Dental Porcelain initially used for the creation of porcelain dentures, feldspathic porcelain has emerged as the premier esthetic material for. 3 during function, where tensile and shear. leucite feldspathic porcelain materials remain as some of the most esthetic and widely used dental ceramics. feldspatheic porcelain is a highly translucent, esthetic material for restorations fabricated with the traditional veneering. . What Is Feldspathic Dental Porcelain.
From www.atlasdental.ca
Feldspathic Porcelain Veneers Atlas Dental, Toronto Dentist What Is Feldspathic Dental Porcelain leucite feldspathic porcelain materials remain as some of the most esthetic and widely used dental ceramics. 3 during function, where tensile and shear. feldspatheic porcelain is a highly translucent, esthetic material for restorations fabricated with the traditional veneering. initially used for the creation of porcelain dentures, feldspathic porcelain has emerged as the premier esthetic material for. . What Is Feldspathic Dental Porcelain.
From bestdentistinhouston.com
Feldspathic Porcelain Veneers An Overview What Is Feldspathic Dental Porcelain initially used for the creation of porcelain dentures, feldspathic porcelain has emerged as the premier esthetic material for. leucite feldspathic porcelain materials remain as some of the most esthetic and widely used dental ceramics. feldspatheic porcelain is a highly translucent, esthetic material for restorations fabricated with the traditional veneering. 3 during function, where tensile and shear. . What Is Feldspathic Dental Porcelain.
From www.inhousedentalstudio.com
Case 4, Feldspathic Porcelain Veneers 7,10 InHouse Dental Studio What Is Feldspathic Dental Porcelain leucite feldspathic porcelain materials remain as some of the most esthetic and widely used dental ceramics. feldspathic porcelain is known for its brittle nature and inherent weakness. feldspatheic porcelain is a highly translucent, esthetic material for restorations fabricated with the traditional veneering. initially used for the creation of porcelain dentures, feldspathic porcelain has emerged as the. What Is Feldspathic Dental Porcelain.
From www.inhousedentalstudio.com
Case 14, Feldspathic porcelain veneers for teeth 6, 8, 9, and 11 In What Is Feldspathic Dental Porcelain feldspathic porcelains are the most used ceramic materials in dentistry for the manufacture of indirect restorations. initially used for the creation of porcelain dentures, feldspathic porcelain has emerged as the premier esthetic material for. feldspatheic porcelain is a highly translucent, esthetic material for restorations fabricated with the traditional veneering. leucite feldspathic porcelain materials remain as some. What Is Feldspathic Dental Porcelain.
From www.killiandental.com
Photography Killian Dental Laboratory What Is Feldspathic Dental Porcelain 3 during function, where tensile and shear. feldspatheic porcelain is a highly translucent, esthetic material for restorations fabricated with the traditional veneering. feldspathic porcelains are the most used ceramic materials in dentistry for the manufacture of indirect restorations. leucite feldspathic porcelain materials remain as some of the most esthetic and widely used dental ceramics. initially used. What Is Feldspathic Dental Porcelain.
From www.ddreptiles.net
Why Feldspathic Porcelain Is The Best Material For Dental Crowns DD What Is Feldspathic Dental Porcelain feldspathic porcelain is known for its brittle nature and inherent weakness. leucite feldspathic porcelain materials remain as some of the most esthetic and widely used dental ceramics. 3 during function, where tensile and shear. initially used for the creation of porcelain dentures, feldspathic porcelain has emerged as the premier esthetic material for. feldspatheic porcelain is a. What Is Feldspathic Dental Porcelain.
From www.inhousedentalstudio.com
Case 14, Feldspathic porcelain veneers for teeth 6, 8, 9, and 11 In What Is Feldspathic Dental Porcelain 3 during function, where tensile and shear. initially used for the creation of porcelain dentures, feldspathic porcelain has emerged as the premier esthetic material for. feldspathic porcelains are the most used ceramic materials in dentistry for the manufacture of indirect restorations. feldspathic porcelain is known for its brittle nature and inherent weakness. feldspatheic porcelain is a. What Is Feldspathic Dental Porcelain.
From www.inhousedentalstudio.com
Case 4, Feldspathic Porcelain Veneers 7,10 InHouse Dental Studio What Is Feldspathic Dental Porcelain feldspathic porcelain is known for its brittle nature and inherent weakness. feldspathic porcelains are the most used ceramic materials in dentistry for the manufacture of indirect restorations. 3 during function, where tensile and shear. leucite feldspathic porcelain materials remain as some of the most esthetic and widely used dental ceramics. feldspatheic porcelain is a highly translucent,. What Is Feldspathic Dental Porcelain.
From www.thedentallab.net
Upgrade Smiles with Feldspathic Veneers What Is Feldspathic Dental Porcelain feldspatheic porcelain is a highly translucent, esthetic material for restorations fabricated with the traditional veneering. feldspathic porcelain is known for its brittle nature and inherent weakness. feldspathic porcelains are the most used ceramic materials in dentistry for the manufacture of indirect restorations. leucite feldspathic porcelain materials remain as some of the most esthetic and widely used. What Is Feldspathic Dental Porcelain.
From adsdentallab.en.made-in-china.com
Natural Looking Feldspathic Porcelain Veneer Made in China Ads Dental What Is Feldspathic Dental Porcelain feldspathic porcelains are the most used ceramic materials in dentistry for the manufacture of indirect restorations. 3 during function, where tensile and shear. feldspathic porcelain is known for its brittle nature and inherent weakness. leucite feldspathic porcelain materials remain as some of the most esthetic and widely used dental ceramics. initially used for the creation of. What Is Feldspathic Dental Porcelain.
From www.inhousedentalstudio.com
Case 14, Feldspathic porcelain veneers for teeth 6, 8, 9, and 11 In What Is Feldspathic Dental Porcelain initially used for the creation of porcelain dentures, feldspathic porcelain has emerged as the premier esthetic material for. 3 during function, where tensile and shear. feldspatheic porcelain is a highly translucent, esthetic material for restorations fabricated with the traditional veneering. leucite feldspathic porcelain materials remain as some of the most esthetic and widely used dental ceramics. . What Is Feldspathic Dental Porcelain.
From www.aegisdentalnetwork.com
Classifying Dental Ceramics Numerous Materials and Formulations What Is Feldspathic Dental Porcelain leucite feldspathic porcelain materials remain as some of the most esthetic and widely used dental ceramics. feldspathic porcelain is known for its brittle nature and inherent weakness. initially used for the creation of porcelain dentures, feldspathic porcelain has emerged as the premier esthetic material for. feldspatheic porcelain is a highly translucent, esthetic material for restorations fabricated. What Is Feldspathic Dental Porcelain.
From www.styledent.com
Feldspathic Veneers vs. Emax What's The Difference? — Styledent Full What Is Feldspathic Dental Porcelain 3 during function, where tensile and shear. feldspatheic porcelain is a highly translucent, esthetic material for restorations fabricated with the traditional veneering. feldspathic porcelain is known for its brittle nature and inherent weakness. feldspathic porcelains are the most used ceramic materials in dentistry for the manufacture of indirect restorations. initially used for the creation of porcelain. What Is Feldspathic Dental Porcelain.
From www.inhousedentalstudio.com
Case 14, Feldspathic porcelain veneers for teeth 6, 8, 9, and 11 In What Is Feldspathic Dental Porcelain feldspathic porcelain is known for its brittle nature and inherent weakness. 3 during function, where tensile and shear. initially used for the creation of porcelain dentures, feldspathic porcelain has emerged as the premier esthetic material for. leucite feldspathic porcelain materials remain as some of the most esthetic and widely used dental ceramics. feldspatheic porcelain is a. What Is Feldspathic Dental Porcelain.
From www.inhousedentalstudio.com
Case 2, Porcelain Veneers, Feldspathic Porcelain, Refractory Die What Is Feldspathic Dental Porcelain initially used for the creation of porcelain dentures, feldspathic porcelain has emerged as the premier esthetic material for. feldspatheic porcelain is a highly translucent, esthetic material for restorations fabricated with the traditional veneering. leucite feldspathic porcelain materials remain as some of the most esthetic and widely used dental ceramics. 3 during function, where tensile and shear. . What Is Feldspathic Dental Porcelain.
From www.winningsmiles.net
WinningSmiles Dentistry Feldspathic Porcelain Smile Gallery What Is Feldspathic Dental Porcelain initially used for the creation of porcelain dentures, feldspathic porcelain has emerged as the premier esthetic material for. leucite feldspathic porcelain materials remain as some of the most esthetic and widely used dental ceramics. feldspathic porcelain is known for its brittle nature and inherent weakness. feldspathic porcelains are the most used ceramic materials in dentistry for. What Is Feldspathic Dental Porcelain.
From lakeforestdentalarts.com
Porcelain Veneers Types and Uses of a Porcelain veneer What Is Feldspathic Dental Porcelain initially used for the creation of porcelain dentures, feldspathic porcelain has emerged as the premier esthetic material for. 3 during function, where tensile and shear. leucite feldspathic porcelain materials remain as some of the most esthetic and widely used dental ceramics. feldspathic porcelains are the most used ceramic materials in dentistry for the manufacture of indirect restorations.. What Is Feldspathic Dental Porcelain.