Post Bunion Surgery X Rays . Learn about what a bunion is, reasons for surgery, the different types of bunion surgery and risks, and what to expect before, during, and after surgery. The big toe drifts closer to the other toes, and the metatarsal bone sticks out further. A bunionette, also known as a tailor's bunion, metatarsus quintus valgus, or digitus quintus varus, is a bony prominence at the lateral 5 th. Halluces valgi) is a fixed abduction of the first metatarsophalangeal joint of the great toe. Bunion a hallux valgus (plural: After the procedure (right), the bump has been shaved, but the toe deformity remains and is actually worse; You will also need to see your primary care provider for tests to make sure that it would be safe for you to have surgery.
from bunionectomy.arthrex.com
The big toe drifts closer to the other toes, and the metatarsal bone sticks out further. Learn about what a bunion is, reasons for surgery, the different types of bunion surgery and risks, and what to expect before, during, and after surgery. After the procedure (right), the bump has been shaved, but the toe deformity remains and is actually worse; Halluces valgi) is a fixed abduction of the first metatarsophalangeal joint of the great toe. A bunionette, also known as a tailor's bunion, metatarsus quintus valgus, or digitus quintus varus, is a bony prominence at the lateral 5 th. Bunion a hallux valgus (plural: You will also need to see your primary care provider for tests to make sure that it would be safe for you to have surgery.
Arthrex Bunionectomy Minimally Invasive Bunion Correction
Post Bunion Surgery X Rays Bunion a hallux valgus (plural: You will also need to see your primary care provider for tests to make sure that it would be safe for you to have surgery. A bunionette, also known as a tailor's bunion, metatarsus quintus valgus, or digitus quintus varus, is a bony prominence at the lateral 5 th. Halluces valgi) is a fixed abduction of the first metatarsophalangeal joint of the great toe. The big toe drifts closer to the other toes, and the metatarsal bone sticks out further. Learn about what a bunion is, reasons for surgery, the different types of bunion surgery and risks, and what to expect before, during, and after surgery. Bunion a hallux valgus (plural: After the procedure (right), the bump has been shaved, but the toe deformity remains and is actually worse;
From www.sciencephoto.com
Bunion surgery assessment, Xrays Stock Image C033/7259 Science Post Bunion Surgery X Rays Bunion a hallux valgus (plural: After the procedure (right), the bump has been shaved, but the toe deformity remains and is actually worse; You will also need to see your primary care provider for tests to make sure that it would be safe for you to have surgery. Halluces valgi) is a fixed abduction of the first metatarsophalangeal joint of. Post Bunion Surgery X Rays.
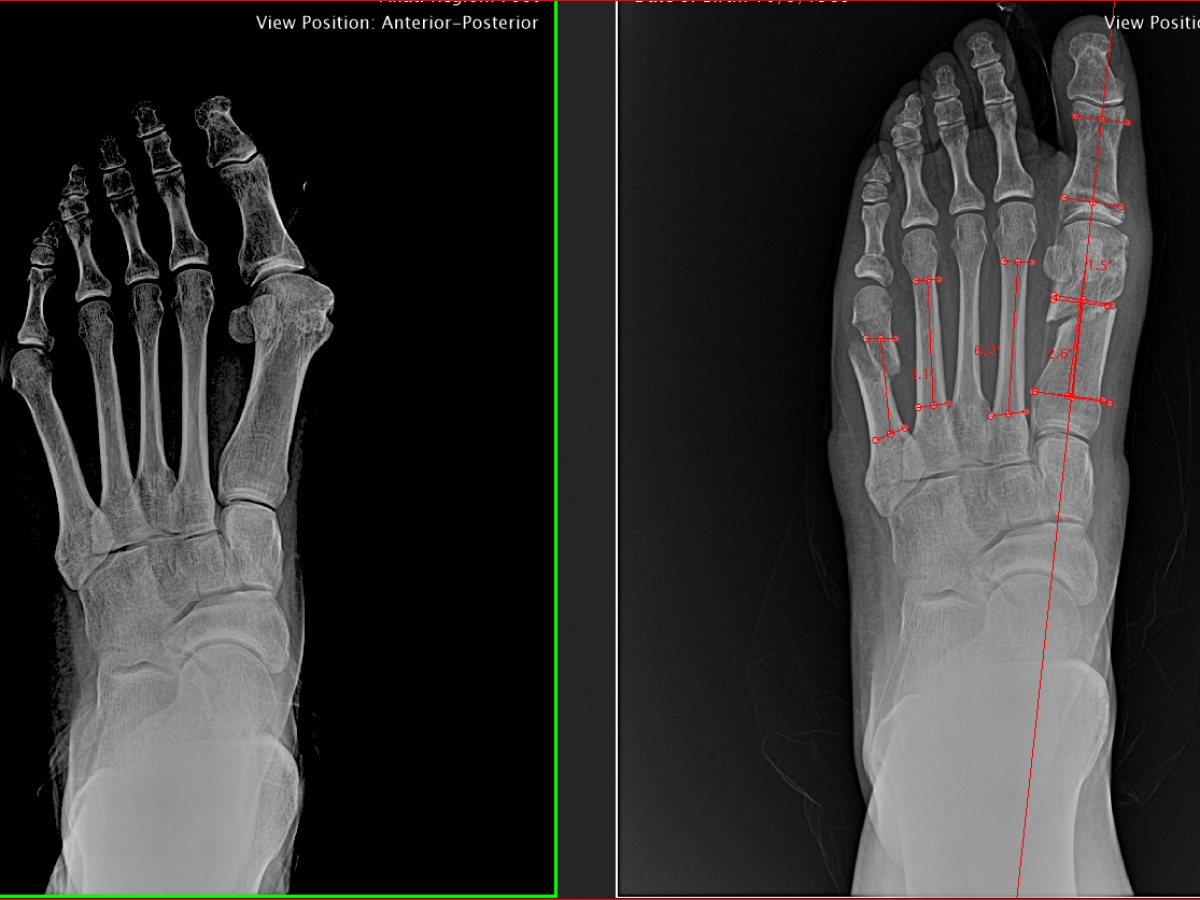
From www.footankleinstitute.com
Do Bunion Surgery Techniques Outlive their Usefulness? Yes! Post Bunion Surgery X Rays Bunion a hallux valgus (plural: Halluces valgi) is a fixed abduction of the first metatarsophalangeal joint of the great toe. You will also need to see your primary care provider for tests to make sure that it would be safe for you to have surgery. The big toe drifts closer to the other toes, and the metatarsal bone sticks out. Post Bunion Surgery X Rays.
From www.alamy.com
Xray photo of a left foot after bunion surgery with screws and other Post Bunion Surgery X Rays A bunionette, also known as a tailor's bunion, metatarsus quintus valgus, or digitus quintus varus, is a bony prominence at the lateral 5 th. Halluces valgi) is a fixed abduction of the first metatarsophalangeal joint of the great toe. Bunion a hallux valgus (plural: You will also need to see your primary care provider for tests to make sure that. Post Bunion Surgery X Rays.
From www.hmpgloballearningnetwork.com
Roundtable Insights On Minimally Invasive Bunion Surgery Post Bunion Surgery X Rays Learn about what a bunion is, reasons for surgery, the different types of bunion surgery and risks, and what to expect before, during, and after surgery. Bunion a hallux valgus (plural: The big toe drifts closer to the other toes, and the metatarsal bone sticks out further. After the procedure (right), the bump has been shaved, but the toe deformity. Post Bunion Surgery X Rays.
From www.reddit.com
My bunion correction surgery pre and post op xrays r/pics Post Bunion Surgery X Rays Halluces valgi) is a fixed abduction of the first metatarsophalangeal joint of the great toe. The big toe drifts closer to the other toes, and the metatarsal bone sticks out further. Bunion a hallux valgus (plural: Learn about what a bunion is, reasons for surgery, the different types of bunion surgery and risks, and what to expect before, during, and. Post Bunion Surgery X Rays.
From ar.inspiredpencil.com
Bunion X Ray Before After Post Bunion Surgery X Rays You will also need to see your primary care provider for tests to make sure that it would be safe for you to have surgery. A bunionette, also known as a tailor's bunion, metatarsus quintus valgus, or digitus quintus varus, is a bony prominence at the lateral 5 th. The big toe drifts closer to the other toes, and the. Post Bunion Surgery X Rays.
From bunioninfo.blogspot.com
The Bloomin' Bunion Bunion Surgery & Recovery Blog Bunion Surgery Post Bunion Surgery X Rays Bunion a hallux valgus (plural: You will also need to see your primary care provider for tests to make sure that it would be safe for you to have surgery. Learn about what a bunion is, reasons for surgery, the different types of bunion surgery and risks, and what to expect before, during, and after surgery. After the procedure (right),. Post Bunion Surgery X Rays.
From fineartamerica.com
Bunion On Big Toe Xray Pre & Postsurgery Photograph by Medical Post Bunion Surgery X Rays Learn about what a bunion is, reasons for surgery, the different types of bunion surgery and risks, and what to expect before, during, and after surgery. Halluces valgi) is a fixed abduction of the first metatarsophalangeal joint of the great toe. Bunion a hallux valgus (plural: The big toe drifts closer to the other toes, and the metatarsal bone sticks. Post Bunion Surgery X Rays.
From www.animalia-life.club
Bunionectomy X Ray Post Bunion Surgery X Rays After the procedure (right), the bump has been shaved, but the toe deformity remains and is actually worse; Learn about what a bunion is, reasons for surgery, the different types of bunion surgery and risks, and what to expect before, during, and after surgery. Bunion a hallux valgus (plural: A bunionette, also known as a tailor's bunion, metatarsus quintus valgus,. Post Bunion Surgery X Rays.
From www.pinterest.com
Before & After xrays double bunionectomy on 1st & 5th toes, double Post Bunion Surgery X Rays You will also need to see your primary care provider for tests to make sure that it would be safe for you to have surgery. Learn about what a bunion is, reasons for surgery, the different types of bunion surgery and risks, and what to expect before, during, and after surgery. A bunionette, also known as a tailor's bunion, metatarsus. Post Bunion Surgery X Rays.
From ar.inspiredpencil.com
Bunion X Ray Before After Post Bunion Surgery X Rays Halluces valgi) is a fixed abduction of the first metatarsophalangeal joint of the great toe. Bunion a hallux valgus (plural: Learn about what a bunion is, reasons for surgery, the different types of bunion surgery and risks, and what to expect before, during, and after surgery. You will also need to see your primary care provider for tests to make. Post Bunion Surgery X Rays.
From www.alamy.com
Bunion surgery assessment. Coloured Xrays showing a 70yearold woman Post Bunion Surgery X Rays You will also need to see your primary care provider for tests to make sure that it would be safe for you to have surgery. Bunion a hallux valgus (plural: Halluces valgi) is a fixed abduction of the first metatarsophalangeal joint of the great toe. After the procedure (right), the bump has been shaved, but the toe deformity remains and. Post Bunion Surgery X Rays.
From kempmd.squarespace.com
Bunion Travis J. Kemp, M.D. Boise, ID Post Bunion Surgery X Rays A bunionette, also known as a tailor's bunion, metatarsus quintus valgus, or digitus quintus varus, is a bony prominence at the lateral 5 th. After the procedure (right), the bump has been shaved, but the toe deformity remains and is actually worse; Halluces valgi) is a fixed abduction of the first metatarsophalangeal joint of the great toe. You will also. Post Bunion Surgery X Rays.
From www.lifootcare.com
Bunion XRays Advanced Podiatry Advanced Podiatry of Manhasset Post Bunion Surgery X Rays Learn about what a bunion is, reasons for surgery, the different types of bunion surgery and risks, and what to expect before, during, and after surgery. You will also need to see your primary care provider for tests to make sure that it would be safe for you to have surgery. After the procedure (right), the bump has been shaved,. Post Bunion Surgery X Rays.
From bunionectomy.arthrex.com
Arthrex Bunionectomy Minimally Invasive Bunion Correction Post Bunion Surgery X Rays Halluces valgi) is a fixed abduction of the first metatarsophalangeal joint of the great toe. You will also need to see your primary care provider for tests to make sure that it would be safe for you to have surgery. After the procedure (right), the bump has been shaved, but the toe deformity remains and is actually worse; The big. Post Bunion Surgery X Rays.
From cosmeticfootsurgery.co.uk
Bunion Surgery Post Bunion Surgery X Rays The big toe drifts closer to the other toes, and the metatarsal bone sticks out further. Halluces valgi) is a fixed abduction of the first metatarsophalangeal joint of the great toe. Learn about what a bunion is, reasons for surgery, the different types of bunion surgery and risks, and what to expect before, during, and after surgery. After the procedure. Post Bunion Surgery X Rays.
From www.lifootcare.com
Bunion XRays Advanced Podiatry Advanced Podiatry of Manhasset Post Bunion Surgery X Rays You will also need to see your primary care provider for tests to make sure that it would be safe for you to have surgery. A bunionette, also known as a tailor's bunion, metatarsus quintus valgus, or digitus quintus varus, is a bony prominence at the lateral 5 th. Bunion a hallux valgus (plural: Learn about what a bunion is,. Post Bunion Surgery X Rays.
From bunionectomy.arthrex.com
Arthrex Bunionectomy Minimally Invasive Bunion Correction Post Bunion Surgery X Rays Halluces valgi) is a fixed abduction of the first metatarsophalangeal joint of the great toe. Bunion a hallux valgus (plural: After the procedure (right), the bump has been shaved, but the toe deformity remains and is actually worse; A bunionette, also known as a tailor's bunion, metatarsus quintus valgus, or digitus quintus varus, is a bony prominence at the lateral. Post Bunion Surgery X Rays.
From bellevuefoot.com
The syndesmosis bunionectomy — Bellevue Podiatric Physicians Post Bunion Surgery X Rays After the procedure (right), the bump has been shaved, but the toe deformity remains and is actually worse; Halluces valgi) is a fixed abduction of the first metatarsophalangeal joint of the great toe. Learn about what a bunion is, reasons for surgery, the different types of bunion surgery and risks, and what to expect before, during, and after surgery. The. Post Bunion Surgery X Rays.
From www.dailymotion.com
Post Bunion Surgery Xrays video Dailymotion Post Bunion Surgery X Rays After the procedure (right), the bump has been shaved, but the toe deformity remains and is actually worse; Learn about what a bunion is, reasons for surgery, the different types of bunion surgery and risks, and what to expect before, during, and after surgery. Halluces valgi) is a fixed abduction of the first metatarsophalangeal joint of the great toe. The. Post Bunion Surgery X Rays.
From www.linkedin.com
Nicole Gross on LinkedIn Before & after Xrays of Lapiplasty® 3D Post Bunion Surgery X Rays You will also need to see your primary care provider for tests to make sure that it would be safe for you to have surgery. Learn about what a bunion is, reasons for surgery, the different types of bunion surgery and risks, and what to expect before, during, and after surgery. A bunionette, also known as a tailor's bunion, metatarsus. Post Bunion Surgery X Rays.
From lermagazine.com
Patient Guidance Bunion Surgery Options Lower Extremity Review Magazine Post Bunion Surgery X Rays Halluces valgi) is a fixed abduction of the first metatarsophalangeal joint of the great toe. After the procedure (right), the bump has been shaved, but the toe deformity remains and is actually worse; You will also need to see your primary care provider for tests to make sure that it would be safe for you to have surgery. The big. Post Bunion Surgery X Rays.
From www.lifootcare.com
Bunion XRays Advanced Podiatry Advanced Podiatry of Manhasset Post Bunion Surgery X Rays After the procedure (right), the bump has been shaved, but the toe deformity remains and is actually worse; A bunionette, also known as a tailor's bunion, metatarsus quintus valgus, or digitus quintus varus, is a bony prominence at the lateral 5 th. Bunion a hallux valgus (plural: Learn about what a bunion is, reasons for surgery, the different types of. Post Bunion Surgery X Rays.
From cosmeticfootsurgery.co.uk
Bunion Surgery Post Bunion Surgery X Rays The big toe drifts closer to the other toes, and the metatarsal bone sticks out further. A bunionette, also known as a tailor's bunion, metatarsus quintus valgus, or digitus quintus varus, is a bony prominence at the lateral 5 th. After the procedure (right), the bump has been shaved, but the toe deformity remains and is actually worse; Bunion a. Post Bunion Surgery X Rays.
From www.sciencephoto.com
Bunion after surgery, Xray Stock Image C025/2522 Science Photo Post Bunion Surgery X Rays The big toe drifts closer to the other toes, and the metatarsal bone sticks out further. Bunion a hallux valgus (plural: A bunionette, also known as a tailor's bunion, metatarsus quintus valgus, or digitus quintus varus, is a bony prominence at the lateral 5 th. You will also need to see your primary care provider for tests to make sure. Post Bunion Surgery X Rays.
From www.northaustinfeet.com
Bunion Treatment North Austin Foot & Ankle Institute Post Bunion Surgery X Rays A bunionette, also known as a tailor's bunion, metatarsus quintus valgus, or digitus quintus varus, is a bony prominence at the lateral 5 th. Bunion a hallux valgus (plural: After the procedure (right), the bump has been shaved, but the toe deformity remains and is actually worse; Learn about what a bunion is, reasons for surgery, the different types of. Post Bunion Surgery X Rays.
From www.lifootcare.com
Bunion XRays Advanced Podiatry Advanced Podiatry of Manhasset Post Bunion Surgery X Rays Learn about what a bunion is, reasons for surgery, the different types of bunion surgery and risks, and what to expect before, during, and after surgery. After the procedure (right), the bump has been shaved, but the toe deformity remains and is actually worse; The big toe drifts closer to the other toes, and the metatarsal bone sticks out further.. Post Bunion Surgery X Rays.
From www.animalia-life.club
Bunionectomy X Ray Post Bunion Surgery X Rays You will also need to see your primary care provider for tests to make sure that it would be safe for you to have surgery. The big toe drifts closer to the other toes, and the metatarsal bone sticks out further. After the procedure (right), the bump has been shaved, but the toe deformity remains and is actually worse; A. Post Bunion Surgery X Rays.
From bellevuefoot.com
The syndesmosis bunionectomy — Bellevue Podiatric Physicians Post Bunion Surgery X Rays After the procedure (right), the bump has been shaved, but the toe deformity remains and is actually worse; You will also need to see your primary care provider for tests to make sure that it would be safe for you to have surgery. A bunionette, also known as a tailor's bunion, metatarsus quintus valgus, or digitus quintus varus, is a. Post Bunion Surgery X Rays.
From www.sciencephoto.com
Bunion after surgery, Xray Stock Image C025/2521 Science Photo Post Bunion Surgery X Rays Halluces valgi) is a fixed abduction of the first metatarsophalangeal joint of the great toe. Learn about what a bunion is, reasons for surgery, the different types of bunion surgery and risks, and what to expect before, during, and after surgery. You will also need to see your primary care provider for tests to make sure that it would be. Post Bunion Surgery X Rays.
From www.animalia-life.club
Bunionectomy X Ray Post Bunion Surgery X Rays You will also need to see your primary care provider for tests to make sure that it would be safe for you to have surgery. Learn about what a bunion is, reasons for surgery, the different types of bunion surgery and risks, and what to expect before, during, and after surgery. The big toe drifts closer to the other toes,. Post Bunion Surgery X Rays.
From thetagoeclinic.co.uk
Bunion Surgery The Tagoe Clinic Post Bunion Surgery X Rays Learn about what a bunion is, reasons for surgery, the different types of bunion surgery and risks, and what to expect before, during, and after surgery. Halluces valgi) is a fixed abduction of the first metatarsophalangeal joint of the great toe. You will also need to see your primary care provider for tests to make sure that it would be. Post Bunion Surgery X Rays.
From pixels.com
Bunion Before And After Surgery, Xrays Photograph by Miriam Maslo Pixels Post Bunion Surgery X Rays Halluces valgi) is a fixed abduction of the first metatarsophalangeal joint of the great toe. A bunionette, also known as a tailor's bunion, metatarsus quintus valgus, or digitus quintus varus, is a bony prominence at the lateral 5 th. After the procedure (right), the bump has been shaved, but the toe deformity remains and is actually worse; Learn about what. Post Bunion Surgery X Rays.
From www.lewistalk.com
Lapiplasty A CuttingEdge Bunion Procedure with Dr. Dujela at Post Bunion Surgery X Rays Bunion a hallux valgus (plural: Learn about what a bunion is, reasons for surgery, the different types of bunion surgery and risks, and what to expect before, during, and after surgery. Halluces valgi) is a fixed abduction of the first metatarsophalangeal joint of the great toe. You will also need to see your primary care provider for tests to make. Post Bunion Surgery X Rays.
From insideoutstyleblog.com
Bunion Surgery Update 6 Weeks Post Operation — Inside Out Style Post Bunion Surgery X Rays A bunionette, also known as a tailor's bunion, metatarsus quintus valgus, or digitus quintus varus, is a bony prominence at the lateral 5 th. Halluces valgi) is a fixed abduction of the first metatarsophalangeal joint of the great toe. You will also need to see your primary care provider for tests to make sure that it would be safe for. Post Bunion Surgery X Rays.