Gingivitis Back Molar . It’s more common in your. It happens when plaque and bacteria build up on your teeth and cause infection. The periodontal pocket process starts with gingivitis, a gum infection caused by the buildup of plaque in the mouth. Gingivitis can be reversed with professional. Gingivitis is irritation and swelling of the gum tissue around the base of your teeth. Sometimes called third molars, your wisdom teeth are the. Gingivitis is the earliest stage of gum disease. Plaque is a sticky film composed of bacteria and food. If the gums behind your molars are causing you a lot of pain, there’s a possibility you may have developed a condition known as. However, gum discomfort can also arise from infection, ill. Gingiva is another word for gum tissue. Pericoronitis is swelling of the gum tissue around your wisdom teeth. Common symptoms include red, swollen, bleeding gums. Pericoronitis is an inflammation or swelling of your gum tissue. The posterior molars are especially prone to plaque accumulation and inflammation of the gums known as gingivitis.
from joikzmzcw.blob.core.windows.net
Common symptoms include red, swollen, bleeding gums. It’s more common in your. Gingivitis is the earliest stage of gum disease. Gingivitis can be reversed with professional. The periodontal pocket process starts with gingivitis, a gum infection caused by the buildup of plaque in the mouth. Gingiva is another word for gum tissue. Plaque is a sticky film composed of bacteria and food. Pericoronitis is swelling of the gum tissue around your wisdom teeth. If the gums behind your molars are causing you a lot of pain, there’s a possibility you may have developed a condition known as. Gingivitis is irritation and swelling of the gum tissue around the base of your teeth.
Gingivitis Definition at Beth Austin blog
Gingivitis Back Molar The posterior molars are especially prone to plaque accumulation and inflammation of the gums known as gingivitis. Pericoronitis is an inflammation or swelling of your gum tissue. Gingivitis is the earliest stage of gum disease. It’s more common in your. It happens when plaque and bacteria build up on your teeth and cause infection. However, gum discomfort can also arise from infection, ill. Pericoronitis is swelling of the gum tissue around your wisdom teeth. If the gums behind your molars are causing you a lot of pain, there’s a possibility you may have developed a condition known as. Sometimes called third molars, your wisdom teeth are the. Gingivitis is irritation and swelling of the gum tissue around the base of your teeth. The posterior molars are especially prone to plaque accumulation and inflammation of the gums known as gingivitis. Plaque is a sticky film composed of bacteria and food. Gingiva is another word for gum tissue. Gingivitis can be reversed with professional. Common symptoms include red, swollen, bleeding gums. The periodontal pocket process starts with gingivitis, a gum infection caused by the buildup of plaque in the mouth.
From www.drwilliammckenzie.com
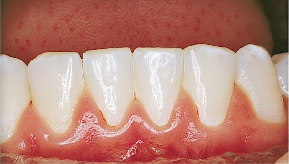
The Five Stages of Gum Disease — The McKenzie Center Implants Gingivitis Back Molar Gingivitis is the earliest stage of gum disease. It happens when plaque and bacteria build up on your teeth and cause infection. It’s more common in your. Common symptoms include red, swollen, bleeding gums. Gingivitis is irritation and swelling of the gum tissue around the base of your teeth. Sometimes called third molars, your wisdom teeth are the. The posterior. Gingivitis Back Molar.
From www.lovettdentistrykohrville.com
What Is Gingivitis? Your Guide To Your Gums General Dentistry Texas Gingivitis Back Molar Pericoronitis is an inflammation or swelling of your gum tissue. Common symptoms include red, swollen, bleeding gums. Gingivitis can be reversed with professional. Plaque is a sticky film composed of bacteria and food. The posterior molars are especially prone to plaque accumulation and inflammation of the gums known as gingivitis. Gingivitis is the earliest stage of gum disease. Gingivitis is. Gingivitis Back Molar.
From www.livescience.com
Gingivitis & Periodontitis Symptoms & Treatment of Gum Disease Live Gingivitis Back Molar The posterior molars are especially prone to plaque accumulation and inflammation of the gums known as gingivitis. The periodontal pocket process starts with gingivitis, a gum infection caused by the buildup of plaque in the mouth. Gingivitis is the earliest stage of gum disease. Pericoronitis is swelling of the gum tissue around your wisdom teeth. Gingivitis is irritation and swelling. Gingivitis Back Molar.
From allperfecthealth.com
Gingivitis Gums Symptoms, Treatment, and Prevention Gingivitis Back Molar However, gum discomfort can also arise from infection, ill. The periodontal pocket process starts with gingivitis, a gum infection caused by the buildup of plaque in the mouth. Gingiva is another word for gum tissue. It’s more common in your. Gingivitis can be reversed with professional. Common symptoms include red, swollen, bleeding gums. Gingivitis is irritation and swelling of the. Gingivitis Back Molar.
From www.medicalnewstoday.com
Bump on gums Causes and how to treat them Gingivitis Back Molar Plaque is a sticky film composed of bacteria and food. Pericoronitis is an inflammation or swelling of your gum tissue. Pericoronitis is swelling of the gum tissue around your wisdom teeth. It’s more common in your. However, gum discomfort can also arise from infection, ill. Sometimes called third molars, your wisdom teeth are the. Common symptoms include red, swollen, bleeding. Gingivitis Back Molar.
From exoznupou.blob.core.windows.net
Infection In Gums Tooth at Anna Fermin blog Gingivitis Back Molar If the gums behind your molars are causing you a lot of pain, there’s a possibility you may have developed a condition known as. It’s more common in your. Plaque is a sticky film composed of bacteria and food. Gingivitis is the earliest stage of gum disease. Gingiva is another word for gum tissue. However, gum discomfort can also arise. Gingivitis Back Molar.
From healthrow.net
Swollen Gums Causes, Treatment, and Prevention Gingivitis Back Molar Gingiva is another word for gum tissue. Plaque is a sticky film composed of bacteria and food. Common symptoms include red, swollen, bleeding gums. The periodontal pocket process starts with gingivitis, a gum infection caused by the buildup of plaque in the mouth. It happens when plaque and bacteria build up on your teeth and cause infection. The posterior molars. Gingivitis Back Molar.
From www.millsriverdental.com
3+ Important Facts About Gingivitis Mills River Family Dental Gingivitis Back Molar Sometimes called third molars, your wisdom teeth are the. Pericoronitis is an inflammation or swelling of your gum tissue. Gingivitis can be reversed with professional. It happens when plaque and bacteria build up on your teeth and cause infection. If the gums behind your molars are causing you a lot of pain, there’s a possibility you may have developed a. Gingivitis Back Molar.
From www.researchgate.net
Lingual localization of molar gingival recession that is frequently Gingivitis Back Molar Gingiva is another word for gum tissue. Sometimes called third molars, your wisdom teeth are the. Plaque is a sticky film composed of bacteria and food. Gingivitis is irritation and swelling of the gum tissue around the base of your teeth. Common symptoms include red, swollen, bleeding gums. If the gums behind your molars are causing you a lot of. Gingivitis Back Molar.
From malamisdental.com
Gingival Recession Case study ΙII Malamis Dental Gingivitis Back Molar Sometimes called third molars, your wisdom teeth are the. However, gum discomfort can also arise from infection, ill. The periodontal pocket process starts with gingivitis, a gum infection caused by the buildup of plaque in the mouth. Common symptoms include red, swollen, bleeding gums. Gingiva is another word for gum tissue. It’s more common in your. Gingivitis is irritation and. Gingivitis Back Molar.
From www.artofit.org
Gingivitis symptoms and how to treat it Artofit Gingivitis Back Molar If the gums behind your molars are causing you a lot of pain, there’s a possibility you may have developed a condition known as. Gingivitis is irritation and swelling of the gum tissue around the base of your teeth. The posterior molars are especially prone to plaque accumulation and inflammation of the gums known as gingivitis. Common symptoms include red,. Gingivitis Back Molar.
From wayzatadental.com
Is Gingivitis Contagious? Signs, Symptoms & Treatment Gingivitis Back Molar Gingiva is another word for gum tissue. Gingivitis is the earliest stage of gum disease. Gingivitis can be reversed with professional. Sometimes called third molars, your wisdom teeth are the. Pericoronitis is an inflammation or swelling of your gum tissue. The posterior molars are especially prone to plaque accumulation and inflammation of the gums known as gingivitis. The periodontal pocket. Gingivitis Back Molar.
From allsmilesdentspa.com
Gum Inflammation / Gingivitis Symptoms and Remedies Gingivitis Back Molar It’s more common in your. Pericoronitis is an inflammation or swelling of your gum tissue. If the gums behind your molars are causing you a lot of pain, there’s a possibility you may have developed a condition known as. Gingivitis can be reversed with professional. It happens when plaque and bacteria build up on your teeth and cause infection. However,. Gingivitis Back Molar.
From casadentaldds.com
Gingivitis and Periodontal Disease What’s the Difference? Casa Dental Gingivitis Back Molar Gingivitis can be reversed with professional. Pericoronitis is an inflammation or swelling of your gum tissue. Common symptoms include red, swollen, bleeding gums. Sometimes called third molars, your wisdom teeth are the. Gingivitis is irritation and swelling of the gum tissue around the base of your teeth. However, gum discomfort can also arise from infection, ill. It’s more common in. Gingivitis Back Molar.
From www.implantperiocenter.com
What are the Stages of Periodontal Disease? IMPLANT PERIO CENTER Gingivitis Back Molar Common symptoms include red, swollen, bleeding gums. Gingiva is another word for gum tissue. Sometimes called third molars, your wisdom teeth are the. Plaque is a sticky film composed of bacteria and food. Gingivitis can be reversed with professional. It happens when plaque and bacteria build up on your teeth and cause infection. The periodontal pocket process starts with gingivitis,. Gingivitis Back Molar.
From www.northdallasdentalhealth.com
Gum Disease — North Dallas Dental Health Gingivitis Back Molar Plaque is a sticky film composed of bacteria and food. Gingivitis can be reversed with professional. If the gums behind your molars are causing you a lot of pain, there’s a possibility you may have developed a condition known as. Sometimes called third molars, your wisdom teeth are the. Gingiva is another word for gum tissue. The posterior molars are. Gingivitis Back Molar.
From joikzmzcw.blob.core.windows.net
Gingivitis Definition at Beth Austin blog Gingivitis Back Molar Gingivitis can be reversed with professional. Pericoronitis is swelling of the gum tissue around your wisdom teeth. The periodontal pocket process starts with gingivitis, a gum infection caused by the buildup of plaque in the mouth. Sometimes called third molars, your wisdom teeth are the. The posterior molars are especially prone to plaque accumulation and inflammation of the gums known. Gingivitis Back Molar.
From www.dr-kraus.com
GIngivitis Symptome, Ursachen und Behandlung Gingivitis Back Molar It happens when plaque and bacteria build up on your teeth and cause infection. Common symptoms include red, swollen, bleeding gums. If the gums behind your molars are causing you a lot of pain, there’s a possibility you may have developed a condition known as. However, gum discomfort can also arise from infection, ill. Gingiva is another word for gum. Gingivitis Back Molar.
From floridassmiles.com
What is a Gumline Cavity? West Palm Beach Dentist Gingivitis Back Molar Gingivitis can be reversed with professional. However, gum discomfort can also arise from infection, ill. If the gums behind your molars are causing you a lot of pain, there’s a possibility you may have developed a condition known as. The posterior molars are especially prone to plaque accumulation and inflammation of the gums known as gingivitis. Plaque is a sticky. Gingivitis Back Molar.
From periobasics.com
Periodontal abscess and its treatment Gingivitis Back Molar The periodontal pocket process starts with gingivitis, a gum infection caused by the buildup of plaque in the mouth. The posterior molars are especially prone to plaque accumulation and inflammation of the gums known as gingivitis. Gingivitis is irritation and swelling of the gum tissue around the base of your teeth. Sometimes called third molars, your wisdom teeth are the.. Gingivitis Back Molar.
From www.medicalnewstoday.com
Swollen gums Causes, treatments, and home remedies Gingivitis Back Molar Gingivitis is the earliest stage of gum disease. Gingivitis is irritation and swelling of the gum tissue around the base of your teeth. If the gums behind your molars are causing you a lot of pain, there’s a possibility you may have developed a condition known as. Pericoronitis is an inflammation or swelling of your gum tissue. Plaque is a. Gingivitis Back Molar.
From www.niddk.nih.gov
Diabetes, Gum Disease, & Other Dental Problems NIDDK Gingivitis Back Molar Gingivitis can be reversed with professional. Common symptoms include red, swollen, bleeding gums. Gingivitis is the earliest stage of gum disease. Sometimes called third molars, your wisdom teeth are the. It happens when plaque and bacteria build up on your teeth and cause infection. It’s more common in your. Gingivitis is irritation and swelling of the gum tissue around the. Gingivitis Back Molar.
From www.slideshare.net
Eruption gingivitis and pericoronitis in children Gingivitis Back Molar It happens when plaque and bacteria build up on your teeth and cause infection. Plaque is a sticky film composed of bacteria and food. Gingivitis is irritation and swelling of the gum tissue around the base of your teeth. The periodontal pocket process starts with gingivitis, a gum infection caused by the buildup of plaque in the mouth. However, gum. Gingivitis Back Molar.
From www.dreamstime.com
Caries stock image. Image of tartar, dentist, gingivitis 33300745 Gingivitis Back Molar Gingivitis is the earliest stage of gum disease. Sometimes called third molars, your wisdom teeth are the. Pericoronitis is an inflammation or swelling of your gum tissue. It’s more common in your. Gingivitis can be reversed with professional. Gingivitis is irritation and swelling of the gum tissue around the base of your teeth. Common symptoms include red, swollen, bleeding gums.. Gingivitis Back Molar.
From www.researchgate.net
Intraoral photograph at the second consultation. A, Diffuse gingivitis Gingivitis Back Molar Sometimes called third molars, your wisdom teeth are the. Gingivitis is irritation and swelling of the gum tissue around the base of your teeth. However, gum discomfort can also arise from infection, ill. Pericoronitis is swelling of the gum tissue around your wisdom teeth. It’s more common in your. The periodontal pocket process starts with gingivitis, a gum infection caused. Gingivitis Back Molar.
From askyourdentist.com
What is gingivitis? Ask Your Dentist Gingivitis Back Molar However, gum discomfort can also arise from infection, ill. Gingivitis is the earliest stage of gum disease. It’s more common in your. Sometimes called third molars, your wisdom teeth are the. Gingivitis is irritation and swelling of the gum tissue around the base of your teeth. If the gums behind your molars are causing you a lot of pain, there’s. Gingivitis Back Molar.
From marylandfamilydentistry.com
Columbia Periodontal Treatment Glen Burnie Periodontics Columbia Gingivitis Back Molar It’s more common in your. The periodontal pocket process starts with gingivitis, a gum infection caused by the buildup of plaque in the mouth. Gingivitis is irritation and swelling of the gum tissue around the base of your teeth. Gingivitis is the earliest stage of gum disease. Pericoronitis is swelling of the gum tissue around your wisdom teeth. Pericoronitis is. Gingivitis Back Molar.
From pocketdentistry.com
14 Periodontal Conditions Pocket Dentistry Gingivitis Back Molar Gingivitis is the earliest stage of gum disease. Gingiva is another word for gum tissue. Common symptoms include red, swollen, bleeding gums. If the gums behind your molars are causing you a lot of pain, there’s a possibility you may have developed a condition known as. Sometimes called third molars, your wisdom teeth are the. The posterior molars are especially. Gingivitis Back Molar.
From fightgumdisease.com.au
Learn About Gum Disease Gum Infection Stages Periodontitis Treatment Gingivitis Back Molar The periodontal pocket process starts with gingivitis, a gum infection caused by the buildup of plaque in the mouth. Gingivitis is the earliest stage of gum disease. If the gums behind your molars are causing you a lot of pain, there’s a possibility you may have developed a condition known as. Sometimes called third molars, your wisdom teeth are the.. Gingivitis Back Molar.
From www.msdmanuals.com
Gingivitis Mouth and Dental Disorders MSD Manual Consumer Version Gingivitis Back Molar Gingivitis is irritation and swelling of the gum tissue around the base of your teeth. Pericoronitis is swelling of the gum tissue around your wisdom teeth. Sometimes called third molars, your wisdom teeth are the. The posterior molars are especially prone to plaque accumulation and inflammation of the gums known as gingivitis. It happens when plaque and bacteria build up. Gingivitis Back Molar.
From cdc.com.al
Gingivitis What is It and How is it Treated? Gingivitis Back Molar The periodontal pocket process starts with gingivitis, a gum infection caused by the buildup of plaque in the mouth. Common symptoms include red, swollen, bleeding gums. Pericoronitis is an inflammation or swelling of your gum tissue. If the gums behind your molars are causing you a lot of pain, there’s a possibility you may have developed a condition known as.. Gingivitis Back Molar.
From www.medicalnewstoday.com
Swollen gum around one tooth Causes and treatment Gingivitis Back Molar Pericoronitis is swelling of the gum tissue around your wisdom teeth. Gingivitis can be reversed with professional. The posterior molars are especially prone to plaque accumulation and inflammation of the gums known as gingivitis. Gingivitis is the earliest stage of gum disease. If the gums behind your molars are causing you a lot of pain, there’s a possibility you may. Gingivitis Back Molar.
From cehecxww.blob.core.windows.net
Gingivitis On One Tooth at Kelvin Chapman blog Gingivitis Back Molar Gingivitis is irritation and swelling of the gum tissue around the base of your teeth. The periodontal pocket process starts with gingivitis, a gum infection caused by the buildup of plaque in the mouth. Gingivitis can be reversed with professional. It happens when plaque and bacteria build up on your teeth and cause infection. Pericoronitis is swelling of the gum. Gingivitis Back Molar.
From www.odontologic.com.mx
Pasos para eliminar la gingivitis — Odontologic Gingivitis Back Molar Gingiva is another word for gum tissue. Common symptoms include red, swollen, bleeding gums. Gingivitis can be reversed with professional. Pericoronitis is an inflammation or swelling of your gum tissue. The periodontal pocket process starts with gingivitis, a gum infection caused by the buildup of plaque in the mouth. If the gums behind your molars are causing you a lot. Gingivitis Back Molar.
From www.danvilledentalcare.com
Do You Have Gingivitis Danville Family Dentistry located Danville Gingivitis Back Molar If the gums behind your molars are causing you a lot of pain, there’s a possibility you may have developed a condition known as. The posterior molars are especially prone to plaque accumulation and inflammation of the gums known as gingivitis. Common symptoms include red, swollen, bleeding gums. Gingivitis can be reversed with professional. Gingivitis is irritation and swelling of. Gingivitis Back Molar.