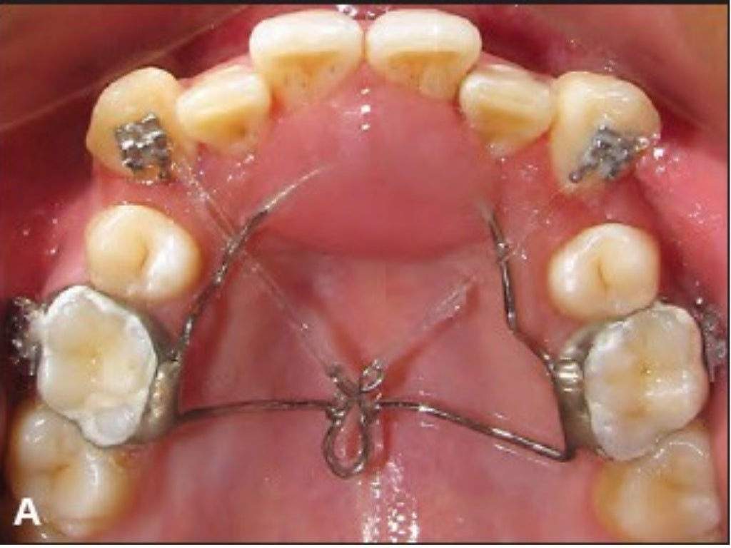
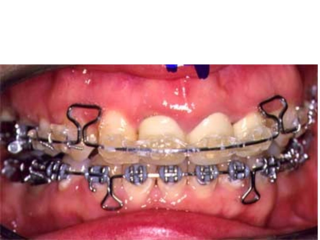
What Is The Purpose Of Tongue Crib . It can help break the habit of tongue thrusting or tongue rubbing, which. tongue crib is an appliance that prevents the tongue from pushing towards the front teeth. a tongue crib is a device that holds the tongue in place and trains it to stay off the teeth. Learn how a palatal crib works, who can benefit from it, and what are the possible side effects. A tongue crib is a device used to help treat and manage patients who suffer from snoring or obstructive. a tongue crib is a device that prevents your tongue from pushing against your front teeth and corrects tongue. a tongue crib, or nance appliance, is a night guard that restricts tongue movement and holds the lower jaw. the tongue crib, also known as a tongue guard, is placed over the tongue during the night to protect against grinding and clenching of the teeth. what is the purpose of a tongue crib?
from gioedabiv.blob.core.windows.net
the tongue crib, also known as a tongue guard, is placed over the tongue during the night to protect against grinding and clenching of the teeth. a tongue crib is a device that prevents your tongue from pushing against your front teeth and corrects tongue. It can help break the habit of tongue thrusting or tongue rubbing, which. a tongue crib is a device that holds the tongue in place and trains it to stay off the teeth. a tongue crib, or nance appliance, is a night guard that restricts tongue movement and holds the lower jaw. A tongue crib is a device used to help treat and manage patients who suffer from snoring or obstructive. tongue crib is an appliance that prevents the tongue from pushing towards the front teeth. what is the purpose of a tongue crib? Learn how a palatal crib works, who can benefit from it, and what are the possible side effects.
Orthodontic Tongue Crib at Halligan blog
What Is The Purpose Of Tongue Crib It can help break the habit of tongue thrusting or tongue rubbing, which. a tongue crib is a device that prevents your tongue from pushing against your front teeth and corrects tongue. Learn how a palatal crib works, who can benefit from it, and what are the possible side effects. what is the purpose of a tongue crib? It can help break the habit of tongue thrusting or tongue rubbing, which. A tongue crib is a device used to help treat and manage patients who suffer from snoring or obstructive. tongue crib is an appliance that prevents the tongue from pushing towards the front teeth. the tongue crib, also known as a tongue guard, is placed over the tongue during the night to protect against grinding and clenching of the teeth. a tongue crib is a device that holds the tongue in place and trains it to stay off the teeth. a tongue crib, or nance appliance, is a night guard that restricts tongue movement and holds the lower jaw.
From gioedabiv.blob.core.windows.net
Orthodontic Tongue Crib at Halligan blog What Is The Purpose Of Tongue Crib the tongue crib, also known as a tongue guard, is placed over the tongue during the night to protect against grinding and clenching of the teeth. a tongue crib is a device that prevents your tongue from pushing against your front teeth and corrects tongue. It can help break the habit of tongue thrusting or tongue rubbing, which.. What Is The Purpose Of Tongue Crib.
From cottonwoodlabs.com
Cottonwood LabsTongue Crib Cottonwood Labs What Is The Purpose Of Tongue Crib the tongue crib, also known as a tongue guard, is placed over the tongue during the night to protect against grinding and clenching of the teeth. Learn how a palatal crib works, who can benefit from it, and what are the possible side effects. a tongue crib is a device that holds the tongue in place and trains. What Is The Purpose Of Tongue Crib.
From odlortho.com
RPE with Tongue Crib ODL Orthodontic Labs What Is The Purpose Of Tongue Crib what is the purpose of a tongue crib? a tongue crib is a device that prevents your tongue from pushing against your front teeth and corrects tongue. It can help break the habit of tongue thrusting or tongue rubbing, which. a tongue crib, or nance appliance, is a night guard that restricts tongue movement and holds the. What Is The Purpose Of Tongue Crib.
From gioqzyxmd.blob.core.windows.net
Tongue Crib For Child at Megan Peterson blog What Is The Purpose Of Tongue Crib what is the purpose of a tongue crib? Learn how a palatal crib works, who can benefit from it, and what are the possible side effects. It can help break the habit of tongue thrusting or tongue rubbing, which. A tongue crib is a device used to help treat and manage patients who suffer from snoring or obstructive. . What Is The Purpose Of Tongue Crib.
From www.youtube.com
Braces Tongue Crib YouTube What Is The Purpose Of Tongue Crib the tongue crib, also known as a tongue guard, is placed over the tongue during the night to protect against grinding and clenching of the teeth. a tongue crib is a device that prevents your tongue from pushing against your front teeth and corrects tongue. tongue crib is an appliance that prevents the tongue from pushing towards. What Is The Purpose Of Tongue Crib.
From www.bmortholab.com
Tongue Crib BM Ortho Appliances Inc. What Is The Purpose Of Tongue Crib It can help break the habit of tongue thrusting or tongue rubbing, which. Learn how a palatal crib works, who can benefit from it, and what are the possible side effects. tongue crib is an appliance that prevents the tongue from pushing towards the front teeth. what is the purpose of a tongue crib? a tongue crib,. What Is The Purpose Of Tongue Crib.
From www.bmortholab.com
Tongue Crib BM Ortho Appliances Inc. What Is The Purpose Of Tongue Crib It can help break the habit of tongue thrusting or tongue rubbing, which. tongue crib is an appliance that prevents the tongue from pushing towards the front teeth. Learn how a palatal crib works, who can benefit from it, and what are the possible side effects. A tongue crib is a device used to help treat and manage patients. What Is The Purpose Of Tongue Crib.
From www.slideshare.net
Tongue crib What Is The Purpose Of Tongue Crib Learn how a palatal crib works, who can benefit from it, and what are the possible side effects. a tongue crib, or nance appliance, is a night guard that restricts tongue movement and holds the lower jaw. tongue crib is an appliance that prevents the tongue from pushing towards the front teeth. what is the purpose of. What Is The Purpose Of Tongue Crib.
From odlortho.com
Hawley w Tongue Crib ODL Orthodontic Labs What Is The Purpose Of Tongue Crib tongue crib is an appliance that prevents the tongue from pushing towards the front teeth. A tongue crib is a device used to help treat and manage patients who suffer from snoring or obstructive. a tongue crib is a device that holds the tongue in place and trains it to stay off the teeth. a tongue crib. What Is The Purpose Of Tongue Crib.
From www.slideshare.net
Tongue crib What Is The Purpose Of Tongue Crib what is the purpose of a tongue crib? It can help break the habit of tongue thrusting or tongue rubbing, which. the tongue crib, also known as a tongue guard, is placed over the tongue during the night to protect against grinding and clenching of the teeth. tongue crib is an appliance that prevents the tongue from. What Is The Purpose Of Tongue Crib.
From www.smiletogether.ca
tongue crib2 Smile Together Dental Clinic What Is The Purpose Of Tongue Crib tongue crib is an appliance that prevents the tongue from pushing towards the front teeth. Learn how a palatal crib works, who can benefit from it, and what are the possible side effects. A tongue crib is a device used to help treat and manage patients who suffer from snoring or obstructive. the tongue crib, also known as. What Is The Purpose Of Tongue Crib.
From www.slideshare.net
Tongue crib What Is The Purpose Of Tongue Crib a tongue crib is a device that holds the tongue in place and trains it to stay off the teeth. It can help break the habit of tongue thrusting or tongue rubbing, which. Learn how a palatal crib works, who can benefit from it, and what are the possible side effects. a tongue crib, or nance appliance, is. What Is The Purpose Of Tongue Crib.
From www.youtube.com
How a habit appliance/tongue crib works YouTube What Is The Purpose Of Tongue Crib a tongue crib is a device that holds the tongue in place and trains it to stay off the teeth. a tongue crib is a device that prevents your tongue from pushing against your front teeth and corrects tongue. A tongue crib is a device used to help treat and manage patients who suffer from snoring or obstructive.. What Is The Purpose Of Tongue Crib.
From gioedabiv.blob.core.windows.net
Orthodontic Tongue Crib at Halligan blog What Is The Purpose Of Tongue Crib tongue crib is an appliance that prevents the tongue from pushing towards the front teeth. a tongue crib is a device that prevents your tongue from pushing against your front teeth and corrects tongue. Learn how a palatal crib works, who can benefit from it, and what are the possible side effects. A tongue crib is a device. What Is The Purpose Of Tongue Crib.
From gioedabiv.blob.core.windows.net
Orthodontic Tongue Crib at Halligan blog What Is The Purpose Of Tongue Crib A tongue crib is a device used to help treat and manage patients who suffer from snoring or obstructive. what is the purpose of a tongue crib? the tongue crib, also known as a tongue guard, is placed over the tongue during the night to protect against grinding and clenching of the teeth. a tongue crib, or. What Is The Purpose Of Tongue Crib.
From www.excelorthodontics.com
Habit Options Excel Orthodontics What Is The Purpose Of Tongue Crib the tongue crib, also known as a tongue guard, is placed over the tongue during the night to protect against grinding and clenching of the teeth. Learn how a palatal crib works, who can benefit from it, and what are the possible side effects. a tongue crib is a device that prevents your tongue from pushing against your. What Is The Purpose Of Tongue Crib.
From www.youtube.com
Orthodontic Appliance Tongue Crib YouTube What Is The Purpose Of Tongue Crib It can help break the habit of tongue thrusting or tongue rubbing, which. what is the purpose of a tongue crib? a tongue crib is a device that holds the tongue in place and trains it to stay off the teeth. A tongue crib is a device used to help treat and manage patients who suffer from snoring. What Is The Purpose Of Tongue Crib.
From cottonwoodlabs.com
Cottonwood LabsTongue Crib Cottonwood Labs What Is The Purpose Of Tongue Crib It can help break the habit of tongue thrusting or tongue rubbing, which. the tongue crib, also known as a tongue guard, is placed over the tongue during the night to protect against grinding and clenching of the teeth. Learn how a palatal crib works, who can benefit from it, and what are the possible side effects. tongue. What Is The Purpose Of Tongue Crib.
From www.pinterest.com
drsuliman_orthodontist on Instagram What does a tongue crib do? A What Is The Purpose Of Tongue Crib tongue crib is an appliance that prevents the tongue from pushing towards the front teeth. It can help break the habit of tongue thrusting or tongue rubbing, which. a tongue crib is a device that holds the tongue in place and trains it to stay off the teeth. a tongue crib, or nance appliance, is a night. What Is The Purpose Of Tongue Crib.
From www.slideshare.net
Tongue crib What Is The Purpose Of Tongue Crib the tongue crib, also known as a tongue guard, is placed over the tongue during the night to protect against grinding and clenching of the teeth. It can help break the habit of tongue thrusting or tongue rubbing, which. tongue crib is an appliance that prevents the tongue from pushing towards the front teeth. Learn how a palatal. What Is The Purpose Of Tongue Crib.
From www.slideshare.net
Tongue crib What Is The Purpose Of Tongue Crib the tongue crib, also known as a tongue guard, is placed over the tongue during the night to protect against grinding and clenching of the teeth. tongue crib is an appliance that prevents the tongue from pushing towards the front teeth. Learn how a palatal crib works, who can benefit from it, and what are the possible side. What Is The Purpose Of Tongue Crib.
From www.slideshare.net
Tongue crib What Is The Purpose Of Tongue Crib a tongue crib is a device that holds the tongue in place and trains it to stay off the teeth. a tongue crib is a device that prevents your tongue from pushing against your front teeth and corrects tongue. tongue crib is an appliance that prevents the tongue from pushing towards the front teeth. the tongue. What Is The Purpose Of Tongue Crib.
From tadtoper.com
(tongue crib) Tongue Cribs How Effective Are They? Tad Toper What Is The Purpose Of Tongue Crib a tongue crib is a device that prevents your tongue from pushing against your front teeth and corrects tongue. what is the purpose of a tongue crib? tongue crib is an appliance that prevents the tongue from pushing towards the front teeth. a tongue crib is a device that holds the tongue in place and trains. What Is The Purpose Of Tongue Crib.
From issuu.com
How does a tongue crib appliance modify tongue behavior? by What Is The Purpose Of Tongue Crib a tongue crib, or nance appliance, is a night guard that restricts tongue movement and holds the lower jaw. the tongue crib, also known as a tongue guard, is placed over the tongue during the night to protect against grinding and clenching of the teeth. A tongue crib is a device used to help treat and manage patients. What Is The Purpose Of Tongue Crib.
From zaneym.org
What Is The Purpose Of A Tongue Crib? Zaneym What Is The Purpose Of Tongue Crib a tongue crib is a device that prevents your tongue from pushing against your front teeth and corrects tongue. tongue crib is an appliance that prevents the tongue from pushing towards the front teeth. the tongue crib, also known as a tongue guard, is placed over the tongue during the night to protect against grinding and clenching. What Is The Purpose Of Tongue Crib.
From rub-md.com
Tongue Cribs for Sleep Apnea and Other Health Conditions What Is The Purpose Of Tongue Crib tongue crib is an appliance that prevents the tongue from pushing towards the front teeth. the tongue crib, also known as a tongue guard, is placed over the tongue during the night to protect against grinding and clenching of the teeth. what is the purpose of a tongue crib? a tongue crib is a device that. What Is The Purpose Of Tongue Crib.
From odlortho.com
RPE with Tongue Crib ODL Orthodontic Labs What Is The Purpose Of Tongue Crib the tongue crib, also known as a tongue guard, is placed over the tongue during the night to protect against grinding and clenching of the teeth. what is the purpose of a tongue crib? Learn how a palatal crib works, who can benefit from it, and what are the possible side effects. a tongue crib, or nance. What Is The Purpose Of Tongue Crib.
From www.slideshare.net
Tongue crib What Is The Purpose Of Tongue Crib the tongue crib, also known as a tongue guard, is placed over the tongue during the night to protect against grinding and clenching of the teeth. a tongue crib is a device that prevents your tongue from pushing against your front teeth and corrects tongue. It can help break the habit of tongue thrusting or tongue rubbing, which.. What Is The Purpose Of Tongue Crib.
From blogreign.com
Tongue Crib Revolutionizing Oral Health Solutions What Is The Purpose Of Tongue Crib the tongue crib, also known as a tongue guard, is placed over the tongue during the night to protect against grinding and clenching of the teeth. Learn how a palatal crib works, who can benefit from it, and what are the possible side effects. tongue crib is an appliance that prevents the tongue from pushing towards the front. What Is The Purpose Of Tongue Crib.
From www.slideshare.net
Tongue crib What Is The Purpose Of Tongue Crib a tongue crib is a device that holds the tongue in place and trains it to stay off the teeth. tongue crib is an appliance that prevents the tongue from pushing towards the front teeth. Learn how a palatal crib works, who can benefit from it, and what are the possible side effects. a tongue crib, or. What Is The Purpose Of Tongue Crib.
From infantscomfort.com
Tongue Crib Infant's Comfort What Is The Purpose Of Tongue Crib A tongue crib is a device used to help treat and manage patients who suffer from snoring or obstructive. tongue crib is an appliance that prevents the tongue from pushing towards the front teeth. Learn how a palatal crib works, who can benefit from it, and what are the possible side effects. what is the purpose of a. What Is The Purpose Of Tongue Crib.
From www.slideshare.net
Tongue crib What Is The Purpose Of Tongue Crib a tongue crib is a device that holds the tongue in place and trains it to stay off the teeth. Learn how a palatal crib works, who can benefit from it, and what are the possible side effects. A tongue crib is a device used to help treat and manage patients who suffer from snoring or obstructive. a. What Is The Purpose Of Tongue Crib.
From www.slideshare.net
Tongue crib What Is The Purpose Of Tongue Crib tongue crib is an appliance that prevents the tongue from pushing towards the front teeth. what is the purpose of a tongue crib? a tongue crib is a device that holds the tongue in place and trains it to stay off the teeth. a tongue crib is a device that prevents your tongue from pushing against. What Is The Purpose Of Tongue Crib.
From www.slideshare.net
Tongue crib What Is The Purpose Of Tongue Crib tongue crib is an appliance that prevents the tongue from pushing towards the front teeth. a tongue crib is a device that holds the tongue in place and trains it to stay off the teeth. Learn how a palatal crib works, who can benefit from it, and what are the possible side effects. It can help break the. What Is The Purpose Of Tongue Crib.
From exyfxczac.blob.core.windows.net
Is A Tongue Crib Necessary at Anthony Jones blog What Is The Purpose Of Tongue Crib a tongue crib is a device that prevents your tongue from pushing against your front teeth and corrects tongue. Learn how a palatal crib works, who can benefit from it, and what are the possible side effects. what is the purpose of a tongue crib? It can help break the habit of tongue thrusting or tongue rubbing, which.. What Is The Purpose Of Tongue Crib.