Bone Marrow Blasts Definition . Myelodysplastic syndromes with excess blasts. Unlike the outside of a bone, which is very hard, the bone marrow is soft. The bone marrow is typically effaced by blasts and/or blast equivalents. In bone marrow samples, defining a “blast” and quantifying “blasts” in a reproducible manner are challenging to hematopathologists. In this subtype, any of the three types of blood cells — red blood cells, white. Myelodysplastic syndromes/neoplasms (mds) are a heterogeneous group of hematologic. Leukemia starts in the bone marrow, so checking the bone marrow for leukemia cells is a key part of testing for it. The bone marrow is a specialized type of tissue found at the centre of a bone. In children, bone marrow can be. Myeloblasts, or blast cells, are immature white blood cells produced by cells in the bone marrow — the soft, spongy material at.
from medicine.nus.edu.sg
The bone marrow is a specialized type of tissue found at the centre of a bone. The bone marrow is typically effaced by blasts and/or blast equivalents. In this subtype, any of the three types of blood cells — red blood cells, white. Myeloblasts, or blast cells, are immature white blood cells produced by cells in the bone marrow — the soft, spongy material at. Leukemia starts in the bone marrow, so checking the bone marrow for leukemia cells is a key part of testing for it. In bone marrow samples, defining a “blast” and quantifying “blasts” in a reproducible manner are challenging to hematopathologists. Myelodysplastic syndromes with excess blasts. In children, bone marrow can be. Myelodysplastic syndromes/neoplasms (mds) are a heterogeneous group of hematologic. Unlike the outside of a bone, which is very hard, the bone marrow is soft.
Bone Marrow Normal Histology NUS Pathweb NUS Pathweb
Bone Marrow Blasts Definition Unlike the outside of a bone, which is very hard, the bone marrow is soft. In this subtype, any of the three types of blood cells — red blood cells, white. Myelodysplastic syndromes with excess blasts. Leukemia starts in the bone marrow, so checking the bone marrow for leukemia cells is a key part of testing for it. Myeloblasts, or blast cells, are immature white blood cells produced by cells in the bone marrow — the soft, spongy material at. In bone marrow samples, defining a “blast” and quantifying “blasts” in a reproducible manner are challenging to hematopathologists. The bone marrow is a specialized type of tissue found at the centre of a bone. Unlike the outside of a bone, which is very hard, the bone marrow is soft. The bone marrow is typically effaced by blasts and/or blast equivalents. In children, bone marrow can be. Myelodysplastic syndromes/neoplasms (mds) are a heterogeneous group of hematologic.
From imagebank.hematology.org
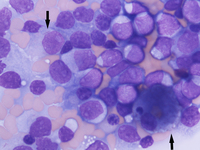
Figure b. Bone marrow aspirate smear, 100X, Giemsa stain showing blasts Bone Marrow Blasts Definition Myelodysplastic syndromes with excess blasts. Myelodysplastic syndromes/neoplasms (mds) are a heterogeneous group of hematologic. In bone marrow samples, defining a “blast” and quantifying “blasts” in a reproducible manner are challenging to hematopathologists. Unlike the outside of a bone, which is very hard, the bone marrow is soft. In children, bone marrow can be. Myeloblasts, or blast cells, are immature white. Bone Marrow Blasts Definition.
From www.researchgate.net
Refractory anemia with excess blasts (RAeB). Bone Marrow (A, B Bone Marrow Blasts Definition The bone marrow is typically effaced by blasts and/or blast equivalents. In children, bone marrow can be. Myelodysplastic syndromes with excess blasts. Myelodysplastic syndromes/neoplasms (mds) are a heterogeneous group of hematologic. In bone marrow samples, defining a “blast” and quantifying “blasts” in a reproducible manner are challenging to hematopathologists. The bone marrow is a specialized type of tissue found at. Bone Marrow Blasts Definition.
From www.researchgate.net
Within the bone marrow a Diffuse infiltration with myeloid blasts Bone Marrow Blasts Definition In children, bone marrow can be. In bone marrow samples, defining a “blast” and quantifying “blasts” in a reproducible manner are challenging to hematopathologists. The bone marrow is a specialized type of tissue found at the centre of a bone. Myelodysplastic syndromes with excess blasts. Unlike the outside of a bone, which is very hard, the bone marrow is soft.. Bone Marrow Blasts Definition.
From www.researchgate.net
Bone marrow aspiration smear showing blasts cells in a case of AML Bone Marrow Blasts Definition Leukemia starts in the bone marrow, so checking the bone marrow for leukemia cells is a key part of testing for it. Myelodysplastic syndromes/neoplasms (mds) are a heterogeneous group of hematologic. Myeloblasts, or blast cells, are immature white blood cells produced by cells in the bone marrow — the soft, spongy material at. The bone marrow is typically effaced by. Bone Marrow Blasts Definition.
From ksvdl.org
Demystifying Bone Marrow Evaluation Bone Marrow Blasts Definition Myelodysplastic syndromes/neoplasms (mds) are a heterogeneous group of hematologic. In bone marrow samples, defining a “blast” and quantifying “blasts” in a reproducible manner are challenging to hematopathologists. Myelodysplastic syndromes with excess blasts. In children, bone marrow can be. The bone marrow is typically effaced by blasts and/or blast equivalents. Myeloblasts, or blast cells, are immature white blood cells produced by. Bone Marrow Blasts Definition.
From www.researchgate.net
Blast cells on bone marrow biopsy. Immature looking cells (arrow) much Bone Marrow Blasts Definition The bone marrow is typically effaced by blasts and/or blast equivalents. Leukemia starts in the bone marrow, so checking the bone marrow for leukemia cells is a key part of testing for it. Unlike the outside of a bone, which is very hard, the bone marrow is soft. The bone marrow is a specialized type of tissue found at the. Bone Marrow Blasts Definition.
From histology-online.com
Bone marrow Meyers Histology Bone Marrow Blasts Definition Unlike the outside of a bone, which is very hard, the bone marrow is soft. Myelodysplastic syndromes/neoplasms (mds) are a heterogeneous group of hematologic. The bone marrow is typically effaced by blasts and/or blast equivalents. In this subtype, any of the three types of blood cells — red blood cells, white. The bone marrow is a specialized type of tissue. Bone Marrow Blasts Definition.
From gamesmartz.com
Bone Marrow Definition & Image GameSmartz Bone Marrow Blasts Definition Unlike the outside of a bone, which is very hard, the bone marrow is soft. Myelodysplastic syndromes/neoplasms (mds) are a heterogeneous group of hematologic. Myeloblasts, or blast cells, are immature white blood cells produced by cells in the bone marrow — the soft, spongy material at. Leukemia starts in the bone marrow, so checking the bone marrow for leukemia cells. Bone Marrow Blasts Definition.
From medcell.org
Myeloid Cells 2020 Lab Bone Marrow Blasts Definition In bone marrow samples, defining a “blast” and quantifying “blasts” in a reproducible manner are challenging to hematopathologists. Myelodysplastic syndromes/neoplasms (mds) are a heterogeneous group of hematologic. The bone marrow is a specialized type of tissue found at the centre of a bone. Leukemia starts in the bone marrow, so checking the bone marrow for leukemia cells is a key. Bone Marrow Blasts Definition.
From my.clevelandclinic.org
Osteoblasts & Osteoclasts Function, Purpose & Anatomy Bone Marrow Blasts Definition In this subtype, any of the three types of blood cells — red blood cells, white. Leukemia starts in the bone marrow, so checking the bone marrow for leukemia cells is a key part of testing for it. In bone marrow samples, defining a “blast” and quantifying “blasts” in a reproducible manner are challenging to hematopathologists. Myelodysplastic syndromes/neoplasms (mds) are. Bone Marrow Blasts Definition.
From www.researchgate.net
Bone marrow smear showing intermediate to large blasts with finely Bone Marrow Blasts Definition Myelodysplastic syndromes/neoplasms (mds) are a heterogeneous group of hematologic. The bone marrow is a specialized type of tissue found at the centre of a bone. Myeloblasts, or blast cells, are immature white blood cells produced by cells in the bone marrow — the soft, spongy material at. Leukemia starts in the bone marrow, so checking the bone marrow for leukemia. Bone Marrow Blasts Definition.
From www.youandmds.com
Slide Show Understanding Myelodysplastic Syndromes Bone Marrow Blasts Definition Leukemia starts in the bone marrow, so checking the bone marrow for leukemia cells is a key part of testing for it. The bone marrow is a specialized type of tissue found at the centre of a bone. In children, bone marrow can be. In this subtype, any of the three types of blood cells — red blood cells, white.. Bone Marrow Blasts Definition.
From www.verywellhealth.com
What Is Bone Marrow? Bone Marrow Blasts Definition In this subtype, any of the three types of blood cells — red blood cells, white. Myelodysplastic syndromes with excess blasts. The bone marrow is a specialized type of tissue found at the centre of a bone. Unlike the outside of a bone, which is very hard, the bone marrow is soft. Myeloblasts, or blast cells, are immature white blood. Bone Marrow Blasts Definition.
From imagebank.hematology.org
Blasts on the Bone Marrow Biopsy Bone Marrow Blasts Definition Myelodysplastic syndromes with excess blasts. Myeloblasts, or blast cells, are immature white blood cells produced by cells in the bone marrow — the soft, spongy material at. The bone marrow is typically effaced by blasts and/or blast equivalents. In bone marrow samples, defining a “blast” and quantifying “blasts” in a reproducible manner are challenging to hematopathologists. Unlike the outside of. Bone Marrow Blasts Definition.
From www.pinterest.co.uk
Bone Marrow Basic anatomy and physiology, Medical school essentials Bone Marrow Blasts Definition Myelodysplastic syndromes with excess blasts. Leukemia starts in the bone marrow, so checking the bone marrow for leukemia cells is a key part of testing for it. Myeloblasts, or blast cells, are immature white blood cells produced by cells in the bone marrow — the soft, spongy material at. In this subtype, any of the three types of blood cells. Bone Marrow Blasts Definition.
From www.slideserve.com
PPT Orthopedic Surgery PowerPoint Presentation, free download ID Bone Marrow Blasts Definition In children, bone marrow can be. Myelodysplastic syndromes with excess blasts. The bone marrow is a specialized type of tissue found at the centre of a bone. In this subtype, any of the three types of blood cells — red blood cells, white. Myeloblasts, or blast cells, are immature white blood cells produced by cells in the bone marrow —. Bone Marrow Blasts Definition.
From medicine.nus.edu.sg
Bone Marrow Normal Histology NUS Pathweb NUS Pathweb Bone Marrow Blasts Definition Leukemia starts in the bone marrow, so checking the bone marrow for leukemia cells is a key part of testing for it. The bone marrow is a specialized type of tissue found at the centre of a bone. In children, bone marrow can be. The bone marrow is typically effaced by blasts and/or blast equivalents. Myelodysplastic syndromes/neoplasms (mds) are a. Bone Marrow Blasts Definition.
From www.researchgate.net
(A) Bone marrow smear showing abnormal blasts that are large in size Bone Marrow Blasts Definition In bone marrow samples, defining a “blast” and quantifying “blasts” in a reproducible manner are challenging to hematopathologists. Myelodysplastic syndromes with excess blasts. Leukemia starts in the bone marrow, so checking the bone marrow for leukemia cells is a key part of testing for it. Myeloblasts, or blast cells, are immature white blood cells produced by cells in the bone. Bone Marrow Blasts Definition.
From www.worksheetsplanet.com
What is Bone Marrow Definition of Bone Marrow Bone Marrow Blasts Definition Myeloblasts, or blast cells, are immature white blood cells produced by cells in the bone marrow — the soft, spongy material at. In this subtype, any of the three types of blood cells — red blood cells, white. In children, bone marrow can be. Leukemia starts in the bone marrow, so checking the bone marrow for leukemia cells is a. Bone Marrow Blasts Definition.
From www.slideserve.com
PPT Bone Marrow Transplant PowerPoint Presentation, free download Bone Marrow Blasts Definition The bone marrow is typically effaced by blasts and/or blast equivalents. Leukemia starts in the bone marrow, so checking the bone marrow for leukemia cells is a key part of testing for it. Myeloblasts, or blast cells, are immature white blood cells produced by cells in the bone marrow — the soft, spongy material at. The bone marrow is a. Bone Marrow Blasts Definition.
From biocytogen.com
Applications of CD34+ Humanized Mice Biocytogen Bone Marrow Blasts Definition The bone marrow is a specialized type of tissue found at the centre of a bone. In this subtype, any of the three types of blood cells — red blood cells, white. Myeloblasts, or blast cells, are immature white blood cells produced by cells in the bone marrow — the soft, spongy material at. In bone marrow samples, defining a. Bone Marrow Blasts Definition.
From www.hexahealth.com
What is Bone Marrow Transplant? Procedure, Success Rate Bone Marrow Blasts Definition In this subtype, any of the three types of blood cells — red blood cells, white. In children, bone marrow can be. Unlike the outside of a bone, which is very hard, the bone marrow is soft. Myelodysplastic syndromes with excess blasts. In bone marrow samples, defining a “blast” and quantifying “blasts” in a reproducible manner are challenging to hematopathologists.. Bone Marrow Blasts Definition.
From www.researchgate.net
Morphology of BPDCN in peripheral blood and bone marrow smear. a and b Bone Marrow Blasts Definition The bone marrow is a specialized type of tissue found at the centre of a bone. In children, bone marrow can be. Myelodysplastic syndromes with excess blasts. Myeloblasts, or blast cells, are immature white blood cells produced by cells in the bone marrow — the soft, spongy material at. Myelodysplastic syndromes/neoplasms (mds) are a heterogeneous group of hematologic. Leukemia starts. Bone Marrow Blasts Definition.
From mungfali.com
Structure Of Bone Marrow Bone Marrow Blasts Definition In children, bone marrow can be. Leukemia starts in the bone marrow, so checking the bone marrow for leukemia cells is a key part of testing for it. In bone marrow samples, defining a “blast” and quantifying “blasts” in a reproducible manner are challenging to hematopathologists. Myelodysplastic syndromes/neoplasms (mds) are a heterogeneous group of hematologic. The bone marrow is a. Bone Marrow Blasts Definition.
From www.researchgate.net
Sheets of large blasts were present within the bone marrow biopsy Bone Marrow Blasts Definition In this subtype, any of the three types of blood cells — red blood cells, white. Myelodysplastic syndromes/neoplasms (mds) are a heterogeneous group of hematologic. Myelodysplastic syndromes with excess blasts. The bone marrow is typically effaced by blasts and/or blast equivalents. In children, bone marrow can be. In bone marrow samples, defining a “blast” and quantifying “blasts” in a reproducible. Bone Marrow Blasts Definition.
From www.lybrate.com
Bone Marrow (Human Anatomy) Image, Function, Diseases, and Treatments Bone Marrow Blasts Definition In children, bone marrow can be. Myeloblasts, or blast cells, are immature white blood cells produced by cells in the bone marrow — the soft, spongy material at. Unlike the outside of a bone, which is very hard, the bone marrow is soft. Myelodysplastic syndromes with excess blasts. Myelodysplastic syndromes/neoplasms (mds) are a heterogeneous group of hematologic. Leukemia starts in. Bone Marrow Blasts Definition.
From ar.inspiredpencil.com
Bone Marrow Diagram Bone Marrow Blasts Definition Myelodysplastic syndromes with excess blasts. Leukemia starts in the bone marrow, so checking the bone marrow for leukemia cells is a key part of testing for it. The bone marrow is typically effaced by blasts and/or blast equivalents. Myeloblasts, or blast cells, are immature white blood cells produced by cells in the bone marrow — the soft, spongy material at.. Bone Marrow Blasts Definition.
From www.mybiosource.com
Bone Marrow Neoplasm MyBioSource Learning Center Bone Marrow Blasts Definition In children, bone marrow can be. Unlike the outside of a bone, which is very hard, the bone marrow is soft. Myelodysplastic syndromes/neoplasms (mds) are a heterogeneous group of hematologic. Leukemia starts in the bone marrow, so checking the bone marrow for leukemia cells is a key part of testing for it. Myelodysplastic syndromes with excess blasts. Myeloblasts, or blast. Bone Marrow Blasts Definition.
From www.researchgate.net
Bone marrow biopsy showing acute myeloid leukemia. The bone marrow Bone Marrow Blasts Definition Myelodysplastic syndromes/neoplasms (mds) are a heterogeneous group of hematologic. Myelodysplastic syndromes with excess blasts. In bone marrow samples, defining a “blast” and quantifying “blasts” in a reproducible manner are challenging to hematopathologists. The bone marrow is a specialized type of tissue found at the centre of a bone. The bone marrow is typically effaced by blasts and/or blast equivalents. Unlike. Bone Marrow Blasts Definition.
From www.researchgate.net
Bone marrow smear showing an infiltration of blasts typical of Bcell Bone Marrow Blasts Definition Unlike the outside of a bone, which is very hard, the bone marrow is soft. In children, bone marrow can be. Myelodysplastic syndromes/neoplasms (mds) are a heterogeneous group of hematologic. Leukemia starts in the bone marrow, so checking the bone marrow for leukemia cells is a key part of testing for it. The bone marrow is typically effaced by blasts. Bone Marrow Blasts Definition.
From boundbobskryptis.blogspot.com
Bone Marrow Anatomy Anatomical Charts & Posters Bone Marrow Blasts Definition Myelodysplastic syndromes/neoplasms (mds) are a heterogeneous group of hematologic. Myeloblasts, or blast cells, are immature white blood cells produced by cells in the bone marrow — the soft, spongy material at. In this subtype, any of the three types of blood cells — red blood cells, white. The bone marrow is typically effaced by blasts and/or blast equivalents. Unlike the. Bone Marrow Blasts Definition.
From www.animalia-life.club
Bone Marrow Bone Marrow Blasts Definition The bone marrow is typically effaced by blasts and/or blast equivalents. Unlike the outside of a bone, which is very hard, the bone marrow is soft. In this subtype, any of the three types of blood cells — red blood cells, white. In bone marrow samples, defining a “blast” and quantifying “blasts” in a reproducible manner are challenging to hematopathologists.. Bone Marrow Blasts Definition.
From www.vedantu.com
The red bone marrow occurs in(a)Ribs(b)Ribs and sternum(c)Ribs and Bone Marrow Blasts Definition The bone marrow is typically effaced by blasts and/or blast equivalents. Myelodysplastic syndromes/neoplasms (mds) are a heterogeneous group of hematologic. Myeloblasts, or blast cells, are immature white blood cells produced by cells in the bone marrow — the soft, spongy material at. Leukemia starts in the bone marrow, so checking the bone marrow for leukemia cells is a key part. Bone Marrow Blasts Definition.
From www.researchgate.net
Bone marrow aspirate smear showing blasts cells with cleaved and Bone Marrow Blasts Definition In this subtype, any of the three types of blood cells — red blood cells, white. The bone marrow is a specialized type of tissue found at the centre of a bone. Myelodysplastic syndromes with excess blasts. Leukemia starts in the bone marrow, so checking the bone marrow for leukemia cells is a key part of testing for it. The. Bone Marrow Blasts Definition.
From www.starsinsider.com
Fascinating facts about bone marrow Bone Marrow Blasts Definition Myelodysplastic syndromes/neoplasms (mds) are a heterogeneous group of hematologic. In children, bone marrow can be. The bone marrow is typically effaced by blasts and/or blast equivalents. Myelodysplastic syndromes with excess blasts. Unlike the outside of a bone, which is very hard, the bone marrow is soft. In bone marrow samples, defining a “blast” and quantifying “blasts” in a reproducible manner. Bone Marrow Blasts Definition.