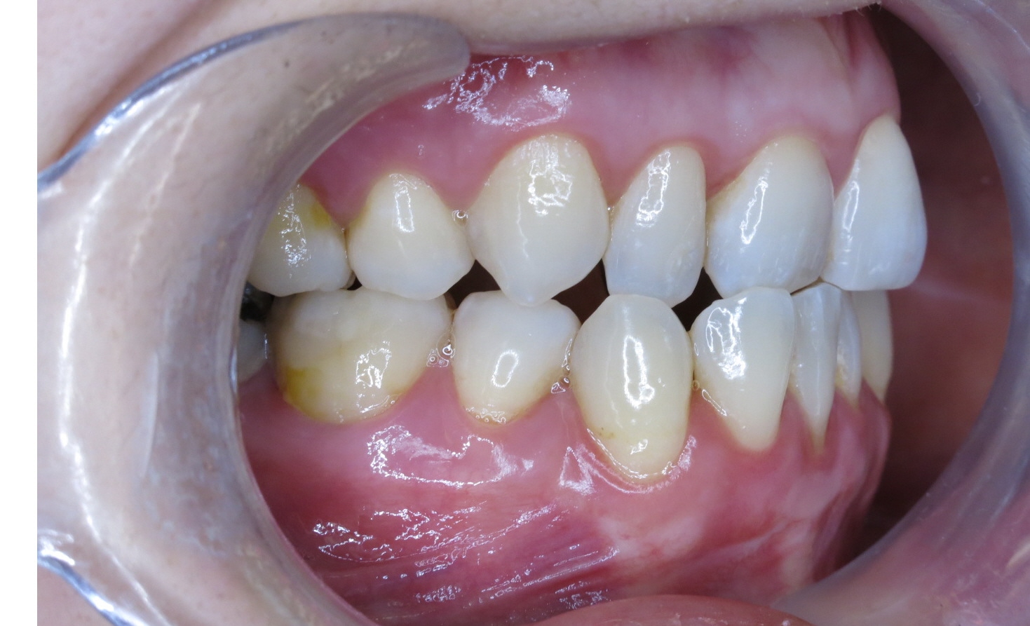
Bleeding Gums Clear Aligners . Can invisalign make gums bleed? All orthodontic devices have their fair share of side effects and clear aligners are no different. This often happens during the first few days of using a new. Wearing invisalign aligners can sometimes cause moderate gum bleeding and inflammation. Moderate gum bleeding and inflammation are to be expected when using clear aligners, especially during the first few days of use. The most common ones you should look out for are: Signs and symptoms of gum disease during invisalign treatment include red, swollen, and bleeding gums. Clear aligners are more beneficial for a healthy periodontal status since the gi, pi, and ppd indices were significantly reduced with clear. Clear aligners can also be linked to gum disease, and you might see bleeding gums when you're using them, but again this is not a.
from www.trinityfamilydentistry.com
All orthodontic devices have their fair share of side effects and clear aligners are no different. Clear aligners can also be linked to gum disease, and you might see bleeding gums when you're using them, but again this is not a. Clear aligners are more beneficial for a healthy periodontal status since the gi, pi, and ppd indices were significantly reduced with clear. Moderate gum bleeding and inflammation are to be expected when using clear aligners, especially during the first few days of use. This often happens during the first few days of using a new. Signs and symptoms of gum disease during invisalign treatment include red, swollen, and bleeding gums. Can invisalign make gums bleed? The most common ones you should look out for are: Wearing invisalign aligners can sometimes cause moderate gum bleeding and inflammation.
Tips for caring for your teeth and gums while wearing clear aligners
Bleeding Gums Clear Aligners Clear aligners are more beneficial for a healthy periodontal status since the gi, pi, and ppd indices were significantly reduced with clear. Signs and symptoms of gum disease during invisalign treatment include red, swollen, and bleeding gums. All orthodontic devices have their fair share of side effects and clear aligners are no different. Moderate gum bleeding and inflammation are to be expected when using clear aligners, especially during the first few days of use. The most common ones you should look out for are: This often happens during the first few days of using a new. Can invisalign make gums bleed? Wearing invisalign aligners can sometimes cause moderate gum bleeding and inflammation. Clear aligners are more beneficial for a healthy periodontal status since the gi, pi, and ppd indices were significantly reduced with clear. Clear aligners can also be linked to gum disease, and you might see bleeding gums when you're using them, but again this is not a.
From www.pointcleardental.com
Bleeding Gums Why It Occurs & What to Do Point Clear Dental Associates Bleeding Gums Clear Aligners Can invisalign make gums bleed? All orthodontic devices have their fair share of side effects and clear aligners are no different. Clear aligners are more beneficial for a healthy periodontal status since the gi, pi, and ppd indices were significantly reduced with clear. Wearing invisalign aligners can sometimes cause moderate gum bleeding and inflammation. Moderate gum bleeding and inflammation are. Bleeding Gums Clear Aligners.
From www.trinityfamilydentistry.com
Tips for caring for your teeth and gums while wearing clear aligners Bleeding Gums Clear Aligners Can invisalign make gums bleed? Moderate gum bleeding and inflammation are to be expected when using clear aligners, especially during the first few days of use. Clear aligners can also be linked to gum disease, and you might see bleeding gums when you're using them, but again this is not a. All orthodontic devices have their fair share of side. Bleeding Gums Clear Aligners.
From fitnessandhealthadvisor.com
Bleeding Gums Causes, Dos and Don'ts, And Treatment fitness and Bleeding Gums Clear Aligners Moderate gum bleeding and inflammation are to be expected when using clear aligners, especially during the first few days of use. The most common ones you should look out for are: All orthodontic devices have their fair share of side effects and clear aligners are no different. Can invisalign make gums bleed? Signs and symptoms of gum disease during invisalign. Bleeding Gums Clear Aligners.
From www.vancouverorthodontist.com
Clear Aligners Oakridge Orthodontics Vancouver BC Bleeding Gums Clear Aligners Can invisalign make gums bleed? All orthodontic devices have their fair share of side effects and clear aligners are no different. Moderate gum bleeding and inflammation are to be expected when using clear aligners, especially during the first few days of use. Clear aligners can also be linked to gum disease, and you might see bleeding gums when you're using. Bleeding Gums Clear Aligners.
From magicalsmiles.com.au
How to Clean Your Invisalign Aligners Like a Pro Simple and Easy Tips Bleeding Gums Clear Aligners The most common ones you should look out for are: Can invisalign make gums bleed? All orthodontic devices have their fair share of side effects and clear aligners are no different. Wearing invisalign aligners can sometimes cause moderate gum bleeding and inflammation. Clear aligners are more beneficial for a healthy periodontal status since the gi, pi, and ppd indices were. Bleeding Gums Clear Aligners.
From bestlaserdentalclinic.com
Clear aligners Vs Conventional metal braces Bleeding Gums Clear Aligners Signs and symptoms of gum disease during invisalign treatment include red, swollen, and bleeding gums. All orthodontic devices have their fair share of side effects and clear aligners are no different. Wearing invisalign aligners can sometimes cause moderate gum bleeding and inflammation. Clear aligners can also be linked to gum disease, and you might see bleeding gums when you're using. Bleeding Gums Clear Aligners.
From www.youtube.com
Bleeding Gums Causes & Treatment YouTube Bleeding Gums Clear Aligners The most common ones you should look out for are: Wearing invisalign aligners can sometimes cause moderate gum bleeding and inflammation. Clear aligners are more beneficial for a healthy periodontal status since the gi, pi, and ppd indices were significantly reduced with clear. Signs and symptoms of gum disease during invisalign treatment include red, swollen, and bleeding gums. Can invisalign. Bleeding Gums Clear Aligners.
From www.verdepointedentalassociates.com
Clear Aligners Marietta, GA Kennesaw, GA Powder Springs, GA Verde Bleeding Gums Clear Aligners Wearing invisalign aligners can sometimes cause moderate gum bleeding and inflammation. Clear aligners can also be linked to gum disease, and you might see bleeding gums when you're using them, but again this is not a. Can invisalign make gums bleed? Moderate gum bleeding and inflammation are to be expected when using clear aligners, especially during the first few days. Bleeding Gums Clear Aligners.
From www.ethicaredental.co.uk
Gingivitis & Bleeding Gums Dentist Putney and Wandsworth Bleeding Gums Clear Aligners Clear aligners can also be linked to gum disease, and you might see bleeding gums when you're using them, but again this is not a. The most common ones you should look out for are: All orthodontic devices have their fair share of side effects and clear aligners are no different. Signs and symptoms of gum disease during invisalign treatment. Bleeding Gums Clear Aligners.
From www.appledentalmonroe.com
Bleeding Gums No Big Deal, Right? Apple Dental Bleeding Gums Clear Aligners Clear aligners are more beneficial for a healthy periodontal status since the gi, pi, and ppd indices were significantly reduced with clear. This often happens during the first few days of using a new. Wearing invisalign aligners can sometimes cause moderate gum bleeding and inflammation. Can invisalign make gums bleed? Signs and symptoms of gum disease during invisalign treatment include. Bleeding Gums Clear Aligners.
From thegooddentist.com.au
What Causes Bleeding Gums? The Good Dentist Bleeding Gums Clear Aligners Moderate gum bleeding and inflammation are to be expected when using clear aligners, especially during the first few days of use. All orthodontic devices have their fair share of side effects and clear aligners are no different. Clear aligners are more beneficial for a healthy periodontal status since the gi, pi, and ppd indices were significantly reduced with clear. Can. Bleeding Gums Clear Aligners.
From www.youtube.com
Invisalign Braces Before and After Overbite, Crowding Teeth Cost Bleeding Gums Clear Aligners Clear aligners are more beneficial for a healthy periodontal status since the gi, pi, and ppd indices were significantly reduced with clear. This often happens during the first few days of using a new. Signs and symptoms of gum disease during invisalign treatment include red, swollen, and bleeding gums. All orthodontic devices have their fair share of side effects and. Bleeding Gums Clear Aligners.
From localdentalclinics.com.au
Bleeding Gums Cause and Care You Need To Know About It Bleeding Gums Clear Aligners Signs and symptoms of gum disease during invisalign treatment include red, swollen, and bleeding gums. Clear aligners are more beneficial for a healthy periodontal status since the gi, pi, and ppd indices were significantly reduced with clear. The most common ones you should look out for are: Moderate gum bleeding and inflammation are to be expected when using clear aligners,. Bleeding Gums Clear Aligners.
From merakidentalstudio.com
Bleeding Gums Meraki Dental Studio Bleeding Gums Clear Aligners Can invisalign make gums bleed? Clear aligners can also be linked to gum disease, and you might see bleeding gums when you're using them, but again this is not a. Moderate gum bleeding and inflammation are to be expected when using clear aligners, especially during the first few days of use. Wearing invisalign aligners can sometimes cause moderate gum bleeding. Bleeding Gums Clear Aligners.
From thind.com
Bleeding Gums During Brushing or Flossing Thind Dental Clinic Bleeding Gums Clear Aligners Clear aligners are more beneficial for a healthy periodontal status since the gi, pi, and ppd indices were significantly reduced with clear. The most common ones you should look out for are: All orthodontic devices have their fair share of side effects and clear aligners are no different. Moderate gum bleeding and inflammation are to be expected when using clear. Bleeding Gums Clear Aligners.
From www.shaydental.com
Clear Aligners Dr. Phil Shay, D.D.S. M.S. Shay Dental Associates Bleeding Gums Clear Aligners Signs and symptoms of gum disease during invisalign treatment include red, swollen, and bleeding gums. Clear aligners are more beneficial for a healthy periodontal status since the gi, pi, and ppd indices were significantly reduced with clear. The most common ones you should look out for are: This often happens during the first few days of using a new. All. Bleeding Gums Clear Aligners.
From www.diamondbraces.com
Do Clear Aligners Damage Gums? Bleeding Gums Clear Aligners Moderate gum bleeding and inflammation are to be expected when using clear aligners, especially during the first few days of use. Can invisalign make gums bleed? Signs and symptoms of gum disease during invisalign treatment include red, swollen, and bleeding gums. Clear aligners are more beneficial for a healthy periodontal status since the gi, pi, and ppd indices were significantly. Bleeding Gums Clear Aligners.
From www.meetdandy.com
How to answer your patients' common questions about Clear Aligners Dandy Bleeding Gums Clear Aligners This often happens during the first few days of using a new. Can invisalign make gums bleed? The most common ones you should look out for are: Moderate gum bleeding and inflammation are to be expected when using clear aligners, especially during the first few days of use. Clear aligners can also be linked to gum disease, and you might. Bleeding Gums Clear Aligners.
From makeo.app
Gum Recession Can Clear Aligners Fix Receeding Gums? Bleeding Gums Clear Aligners All orthodontic devices have their fair share of side effects and clear aligners are no different. Signs and symptoms of gum disease during invisalign treatment include red, swollen, and bleeding gums. Can invisalign make gums bleed? Clear aligners are more beneficial for a healthy periodontal status since the gi, pi, and ppd indices were significantly reduced with clear. Clear aligners. Bleeding Gums Clear Aligners.
From picusbrothers.ro
Spark Clear Aligners Picus Brothers Dentistry Bleeding Gums Clear Aligners Can invisalign make gums bleed? The most common ones you should look out for are: Moderate gum bleeding and inflammation are to be expected when using clear aligners, especially during the first few days of use. Signs and symptoms of gum disease during invisalign treatment include red, swollen, and bleeding gums. Clear aligners can also be linked to gum disease,. Bleeding Gums Clear Aligners.
From www.primedentistry.net
Bleeding Gums Northeast Philadelphia PA Prime Dentistry Bleeding Gums Clear Aligners This often happens during the first few days of using a new. Signs and symptoms of gum disease during invisalign treatment include red, swollen, and bleeding gums. Moderate gum bleeding and inflammation are to be expected when using clear aligners, especially during the first few days of use. Wearing invisalign aligners can sometimes cause moderate gum bleeding and inflammation. Can. Bleeding Gums Clear Aligners.
From longbranch-dental.com
Greenville, TX ClearCorrect™ Invisible Aligners at Longbranch Dental Bleeding Gums Clear Aligners Wearing invisalign aligners can sometimes cause moderate gum bleeding and inflammation. Clear aligners can also be linked to gum disease, and you might see bleeding gums when you're using them, but again this is not a. Signs and symptoms of gum disease during invisalign treatment include red, swollen, and bleeding gums. All orthodontic devices have their fair share of side. Bleeding Gums Clear Aligners.
From theelitedental.com
What Do You Do When Your Gums Are Bleeding Elite Dental Care Tracy Bleeding Gums Clear Aligners Signs and symptoms of gum disease during invisalign treatment include red, swollen, and bleeding gums. Clear aligners are more beneficial for a healthy periodontal status since the gi, pi, and ppd indices were significantly reduced with clear. Clear aligners can also be linked to gum disease, and you might see bleeding gums when you're using them, but again this is. Bleeding Gums Clear Aligners.
From skydental.co.in
5 Things You Can Do For Your Bleeding Gums Sky Dental Bleeding Gums Clear Aligners This often happens during the first few days of using a new. Clear aligners are more beneficial for a healthy periodontal status since the gi, pi, and ppd indices were significantly reduced with clear. All orthodontic devices have their fair share of side effects and clear aligners are no different. Clear aligners can also be linked to gum disease, and. Bleeding Gums Clear Aligners.
From slideplayer.com
Kristelle Klear Alingers Invisible Clear Aligners for Misaligned Teeth Bleeding Gums Clear Aligners This often happens during the first few days of using a new. Moderate gum bleeding and inflammation are to be expected when using clear aligners, especially during the first few days of use. All orthodontic devices have their fair share of side effects and clear aligners are no different. Clear aligners can also be linked to gum disease, and you. Bleeding Gums Clear Aligners.
From www.alamy.com
Transparent Dental Clear Aligners on Blue. Invisible Braces. Prevention Bleeding Gums Clear Aligners Moderate gum bleeding and inflammation are to be expected when using clear aligners, especially during the first few days of use. The most common ones you should look out for are: Signs and symptoms of gum disease during invisalign treatment include red, swollen, and bleeding gums. Wearing invisalign aligners can sometimes cause moderate gum bleeding and inflammation. All orthodontic devices. Bleeding Gums Clear Aligners.
From www.diamondbraces.com
Do Clear Aligners Damage Gums? Bleeding Gums Clear Aligners Clear aligners are more beneficial for a healthy periodontal status since the gi, pi, and ppd indices were significantly reduced with clear. All orthodontic devices have their fair share of side effects and clear aligners are no different. Moderate gum bleeding and inflammation are to be expected when using clear aligners, especially during the first few days of use. Wearing. Bleeding Gums Clear Aligners.
From ladentalclinic.com
Are Your Gums Bleeding? Here’s What You Need to Do LA Dental Clinic Bleeding Gums Clear Aligners Moderate gum bleeding and inflammation are to be expected when using clear aligners, especially during the first few days of use. Can invisalign make gums bleed? This often happens during the first few days of using a new. The most common ones you should look out for are: Clear aligners can also be linked to gum disease, and you might. Bleeding Gums Clear Aligners.
From generalhealthmagazine.com
Bleeding Gums + 5 Ways to Improve Gum Health General Health Magazine Bleeding Gums Clear Aligners Can invisalign make gums bleed? Clear aligners can also be linked to gum disease, and you might see bleeding gums when you're using them, but again this is not a. This often happens during the first few days of using a new. All orthodontic devices have their fair share of side effects and clear aligners are no different. Moderate gum. Bleeding Gums Clear Aligners.
From www.koehndentistry.com
Stop Bleeding Gums Koehn Dentistry & Aesthetics Bleeding Gums Clear Aligners The most common ones you should look out for are: Clear aligners are more beneficial for a healthy periodontal status since the gi, pi, and ppd indices were significantly reduced with clear. Wearing invisalign aligners can sometimes cause moderate gum bleeding and inflammation. Can invisalign make gums bleed? This often happens during the first few days of using a new.. Bleeding Gums Clear Aligners.
From www.evolvedental.com.au
Bleeding Gums And Your Health Evolve Dental Healing Kenmore Dentist Bleeding Gums Clear Aligners Clear aligners can also be linked to gum disease, and you might see bleeding gums when you're using them, but again this is not a. Wearing invisalign aligners can sometimes cause moderate gum bleeding and inflammation. This often happens during the first few days of using a new. Can invisalign make gums bleed? Clear aligners are more beneficial for a. Bleeding Gums Clear Aligners.
From www.marylandadvancedorthodontics.com
Spark™ Clear Aligners Maryland Advanced Orthodontics Gaithersburg MD Bleeding Gums Clear Aligners The most common ones you should look out for are: Clear aligners are more beneficial for a healthy periodontal status since the gi, pi, and ppd indices were significantly reduced with clear. Moderate gum bleeding and inflammation are to be expected when using clear aligners, especially during the first few days of use. Clear aligners can also be linked to. Bleeding Gums Clear Aligners.
From epicdentistryforkids.com
What Is the Best Way to Treat Toddlers’ Bleeding Gums? EPIC Dentistry Bleeding Gums Clear Aligners The most common ones you should look out for are: Signs and symptoms of gum disease during invisalign treatment include red, swollen, and bleeding gums. All orthodontic devices have their fair share of side effects and clear aligners are no different. This often happens during the first few days of using a new. Moderate gum bleeding and inflammation are to. Bleeding Gums Clear Aligners.
From dralex.nyc
Top Reasons For Bleeding Gums Dr. Alex Midtown NYC Cosmetic Dentist Bleeding Gums Clear Aligners The most common ones you should look out for are: Wearing invisalign aligners can sometimes cause moderate gum bleeding and inflammation. Signs and symptoms of gum disease during invisalign treatment include red, swollen, and bleeding gums. Can invisalign make gums bleed? Clear aligners can also be linked to gum disease, and you might see bleeding gums when you're using them,. Bleeding Gums Clear Aligners.
From www.metropolitandentalcarenyc.com
Bleeding Gums Nicole Mermet, DMD Dentist Bleeding Gums Clear Aligners Signs and symptoms of gum disease during invisalign treatment include red, swollen, and bleeding gums. Wearing invisalign aligners can sometimes cause moderate gum bleeding and inflammation. Clear aligners can also be linked to gum disease, and you might see bleeding gums when you're using them, but again this is not a. All orthodontic devices have their fair share of side. Bleeding Gums Clear Aligners.