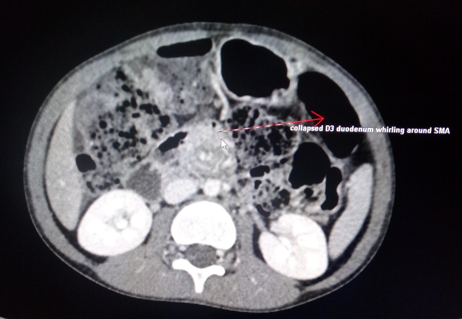
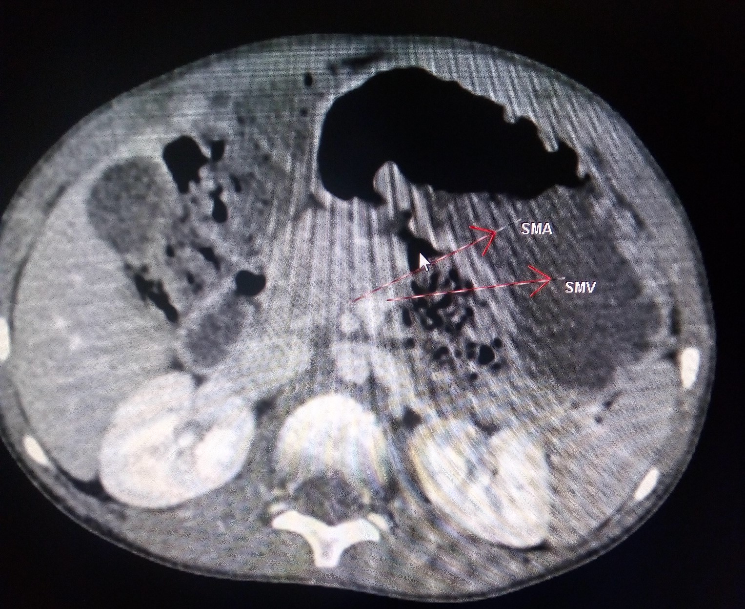
Corkscrew Duodenum . Presentation is usually with proximal small bowel obstruction and bilious vomiting. The child may also show a corkscrew effect diagnosing volvulus or complete duodenal obstruction, with the small bowel looping entirely on the right side of the abdomen. Corkscrew duodenum in malrotation with a midgut volvulus. The corkscrew sign (figure 1b) refers to the twisted configuration of the proximal small bowel loops seen on upper gastrointestinal (ugi) in. A corkscrew appearance of the duodenum and proximal jejunum (figure 1) was pathognomonic for midgut volvulus. The corkscrew sign describes the spiral appearance of the distal duodenum and proximal jejunum seen in midgut volvulus 1. In patients with malrotation and volvulus, the. Imaging spectrum of the duodenum on fluoroscopy The helix type appearance of the midgut seen in malrotation with midgut volvulus has been likened to the metallic helix of a. Midgut volvulus is a complication of bowel malrotation usually seen in neonates and infants.
from healthjade.com
Presentation is usually with proximal small bowel obstruction and bilious vomiting. Midgut volvulus is a complication of bowel malrotation usually seen in neonates and infants. Imaging spectrum of the duodenum on fluoroscopy Corkscrew duodenum in malrotation with a midgut volvulus. In patients with malrotation and volvulus, the. The child may also show a corkscrew effect diagnosing volvulus or complete duodenal obstruction, with the small bowel looping entirely on the right side of the abdomen. The corkscrew sign describes the spiral appearance of the distal duodenum and proximal jejunum seen in midgut volvulus 1. A corkscrew appearance of the duodenum and proximal jejunum (figure 1) was pathognomonic for midgut volvulus. The helix type appearance of the midgut seen in malrotation with midgut volvulus has been likened to the metallic helix of a. The corkscrew sign (figure 1b) refers to the twisted configuration of the proximal small bowel loops seen on upper gastrointestinal (ugi) in.
Volvulus definition, causes, volvulus types, diagnosis & volvulus treatment
Corkscrew Duodenum Corkscrew duodenum in malrotation with a midgut volvulus. A corkscrew appearance of the duodenum and proximal jejunum (figure 1) was pathognomonic for midgut volvulus. Midgut volvulus is a complication of bowel malrotation usually seen in neonates and infants. The corkscrew sign (figure 1b) refers to the twisted configuration of the proximal small bowel loops seen on upper gastrointestinal (ugi) in. The helix type appearance of the midgut seen in malrotation with midgut volvulus has been likened to the metallic helix of a. In patients with malrotation and volvulus, the. Presentation is usually with proximal small bowel obstruction and bilious vomiting. Corkscrew duodenum in malrotation with a midgut volvulus. Imaging spectrum of the duodenum on fluoroscopy The child may also show a corkscrew effect diagnosing volvulus or complete duodenal obstruction, with the small bowel looping entirely on the right side of the abdomen. The corkscrew sign describes the spiral appearance of the distal duodenum and proximal jejunum seen in midgut volvulus 1.
From jeevanmcnamara.blogspot.com
Duodenum Anatomie Thieme / Duodenum Zwolffingerdarm Anatomie Aufbau Corkscrew Duodenum Imaging spectrum of the duodenum on fluoroscopy Corkscrew duodenum in malrotation with a midgut volvulus. Midgut volvulus is a complication of bowel malrotation usually seen in neonates and infants. The corkscrew sign (figure 1b) refers to the twisted configuration of the proximal small bowel loops seen on upper gastrointestinal (ugi) in. The helix type appearance of the midgut seen in. Corkscrew Duodenum.
From healthjade.com
Duodenum anatomy, parts, location, duodenum function & problems Corkscrew Duodenum The helix type appearance of the midgut seen in malrotation with midgut volvulus has been likened to the metallic helix of a. A corkscrew appearance of the duodenum and proximal jejunum (figure 1) was pathognomonic for midgut volvulus. The corkscrew sign (figure 1b) refers to the twisted configuration of the proximal small bowel loops seen on upper gastrointestinal (ugi) in.. Corkscrew Duodenum.
From www.researchgate.net
Anatomy of the duodenum. Contrastenhanced curved planar reformation Corkscrew Duodenum A corkscrew appearance of the duodenum and proximal jejunum (figure 1) was pathognomonic for midgut volvulus. In patients with malrotation and volvulus, the. The corkscrew sign (figure 1b) refers to the twisted configuration of the proximal small bowel loops seen on upper gastrointestinal (ugi) in. The child may also show a corkscrew effect diagnosing volvulus or complete duodenal obstruction, with. Corkscrew Duodenum.
From www.researchgate.net
An upper gastrointestinal series shows a dilated D2 segment (A) with Corkscrew Duodenum The corkscrew sign (figure 1b) refers to the twisted configuration of the proximal small bowel loops seen on upper gastrointestinal (ugi) in. Midgut volvulus is a complication of bowel malrotation usually seen in neonates and infants. The child may also show a corkscrew effect diagnosing volvulus or complete duodenal obstruction, with the small bowel looping entirely on the right side. Corkscrew Duodenum.
From pacs.de
intestinale Malrotation mit Volvulus pacs Corkscrew Duodenum Presentation is usually with proximal small bowel obstruction and bilious vomiting. The corkscrew sign describes the spiral appearance of the distal duodenum and proximal jejunum seen in midgut volvulus 1. Corkscrew duodenum in malrotation with a midgut volvulus. Imaging spectrum of the duodenum on fluoroscopy The child may also show a corkscrew effect diagnosing volvulus or complete duodenal obstruction, with. Corkscrew Duodenum.
From sumerdoc.blogspot.com
Midgut Volvulus CT Sumer's Radiology Blog Corkscrew Duodenum The corkscrew sign (figure 1b) refers to the twisted configuration of the proximal small bowel loops seen on upper gastrointestinal (ugi) in. In patients with malrotation and volvulus, the. The child may also show a corkscrew effect diagnosing volvulus or complete duodenal obstruction, with the small bowel looping entirely on the right side of the abdomen. Midgut volvulus is a. Corkscrew Duodenum.
From www.researchgate.net
Frontal View corkscrewshaped duodenum Download Scientific Diagram Corkscrew Duodenum Midgut volvulus is a complication of bowel malrotation usually seen in neonates and infants. The corkscrew sign describes the spiral appearance of the distal duodenum and proximal jejunum seen in midgut volvulus 1. Presentation is usually with proximal small bowel obstruction and bilious vomiting. In patients with malrotation and volvulus, the. Imaging spectrum of the duodenum on fluoroscopy A corkscrew. Corkscrew Duodenum.
From www.researchgate.net
Frontal View corkscrewshaped duodenum Download Scientific Diagram Corkscrew Duodenum Imaging spectrum of the duodenum on fluoroscopy The child may also show a corkscrew effect diagnosing volvulus or complete duodenal obstruction, with the small bowel looping entirely on the right side of the abdomen. The corkscrew sign describes the spiral appearance of the distal duodenum and proximal jejunum seen in midgut volvulus 1. Presentation is usually with proximal small bowel. Corkscrew Duodenum.
From www.youtube.com
CORKSCREW DUODENUM MIDGUT VOLVULUS YouTube Corkscrew Duodenum Imaging spectrum of the duodenum on fluoroscopy A corkscrew appearance of the duodenum and proximal jejunum (figure 1) was pathognomonic for midgut volvulus. The corkscrew sign (figure 1b) refers to the twisted configuration of the proximal small bowel loops seen on upper gastrointestinal (ugi) in. In patients with malrotation and volvulus, the. Corkscrew duodenum in malrotation with a midgut volvulus.. Corkscrew Duodenum.
From blog.clinicalmonster.com
Midgut Volvulus A Rare Gastrointestinal Disease in Adults County EM Corkscrew Duodenum Midgut volvulus is a complication of bowel malrotation usually seen in neonates and infants. Presentation is usually with proximal small bowel obstruction and bilious vomiting. In patients with malrotation and volvulus, the. The child may also show a corkscrew effect diagnosing volvulus or complete duodenal obstruction, with the small bowel looping entirely on the right side of the abdomen. A. Corkscrew Duodenum.
From healthjade.com
Duodenum anatomy, parts, location, duodenum function & problems Corkscrew Duodenum In patients with malrotation and volvulus, the. The corkscrew sign describes the spiral appearance of the distal duodenum and proximal jejunum seen in midgut volvulus 1. The child may also show a corkscrew effect diagnosing volvulus or complete duodenal obstruction, with the small bowel looping entirely on the right side of the abdomen. Presentation is usually with proximal small bowel. Corkscrew Duodenum.
From www.semanticscholar.org
Figure 2 from Intestinal malrotation volvulus Imaging findings Corkscrew Duodenum A corkscrew appearance of the duodenum and proximal jejunum (figure 1) was pathognomonic for midgut volvulus. The child may also show a corkscrew effect diagnosing volvulus or complete duodenal obstruction, with the small bowel looping entirely on the right side of the abdomen. Imaging spectrum of the duodenum on fluoroscopy The corkscrew sign describes the spiral appearance of the distal. Corkscrew Duodenum.
From www.cancertherapyadvisor.com
Intestinal malrotation with volvulus Cancer Therapy Advisor Corkscrew Duodenum Corkscrew duodenum in malrotation with a midgut volvulus. Presentation is usually with proximal small bowel obstruction and bilious vomiting. The helix type appearance of the midgut seen in malrotation with midgut volvulus has been likened to the metallic helix of a. In patients with malrotation and volvulus, the. The child may also show a corkscrew effect diagnosing volvulus or complete. Corkscrew Duodenum.
From www.wjgnet.com
Midgut volvulus due to jejunal diverticula A case report Corkscrew Duodenum The helix type appearance of the midgut seen in malrotation with midgut volvulus has been likened to the metallic helix of a. In patients with malrotation and volvulus, the. A corkscrew appearance of the duodenum and proximal jejunum (figure 1) was pathognomonic for midgut volvulus. Corkscrew duodenum in malrotation with a midgut volvulus. Presentation is usually with proximal small bowel. Corkscrew Duodenum.
From www.cancertherapyadvisor.com
Intestinal malrotation with volvulus Cancer Therapy Advisor Corkscrew Duodenum The helix type appearance of the midgut seen in malrotation with midgut volvulus has been likened to the metallic helix of a. Midgut volvulus is a complication of bowel malrotation usually seen in neonates and infants. In patients with malrotation and volvulus, the. The corkscrew sign (figure 1b) refers to the twisted configuration of the proximal small bowel loops seen. Corkscrew Duodenum.
From clinicalgate.com
Imaging Approach to the Duodenum Clinical Gate Corkscrew Duodenum Corkscrew duodenum in malrotation with a midgut volvulus. The child may also show a corkscrew effect diagnosing volvulus or complete duodenal obstruction, with the small bowel looping entirely on the right side of the abdomen. Imaging spectrum of the duodenum on fluoroscopy The corkscrew sign describes the spiral appearance of the distal duodenum and proximal jejunum seen in midgut volvulus. Corkscrew Duodenum.
From www.researchgate.net
a Contrast upper gastrointestinal series showed a corkscrew sign of the Corkscrew Duodenum A corkscrew appearance of the duodenum and proximal jejunum (figure 1) was pathognomonic for midgut volvulus. In patients with malrotation and volvulus, the. Presentation is usually with proximal small bowel obstruction and bilious vomiting. Corkscrew duodenum in malrotation with a midgut volvulus. The corkscrew sign describes the spiral appearance of the distal duodenum and proximal jejunum seen in midgut volvulus. Corkscrew Duodenum.
From www.researchgate.net
(PDF) The surgery of malrotation and midgut volvulus A nine year Corkscrew Duodenum Corkscrew duodenum in malrotation with a midgut volvulus. A corkscrew appearance of the duodenum and proximal jejunum (figure 1) was pathognomonic for midgut volvulus. The helix type appearance of the midgut seen in malrotation with midgut volvulus has been likened to the metallic helix of a. Presentation is usually with proximal small bowel obstruction and bilious vomiting. In patients with. Corkscrew Duodenum.
From www.ajronline.org
Neonatal Malrotation with Midgut Volvulus Mimicking Duodenal Atresia AJR Corkscrew Duodenum In patients with malrotation and volvulus, the. The corkscrew sign describes the spiral appearance of the distal duodenum and proximal jejunum seen in midgut volvulus 1. The corkscrew sign (figure 1b) refers to the twisted configuration of the proximal small bowel loops seen on upper gastrointestinal (ugi) in. Midgut volvulus is a complication of bowel malrotation usually seen in neonates. Corkscrew Duodenum.
From jksronline.org
xmlinkhub Corkscrew Duodenum The helix type appearance of the midgut seen in malrotation with midgut volvulus has been likened to the metallic helix of a. The corkscrew sign (figure 1b) refers to the twisted configuration of the proximal small bowel loops seen on upper gastrointestinal (ugi) in. Midgut volvulus is a complication of bowel malrotation usually seen in neonates and infants. Imaging spectrum. Corkscrew Duodenum.
From www.consultant360.com
Green Amniotic Fluid in a Term Neonate Consultant360 Corkscrew Duodenum Corkscrew duodenum in malrotation with a midgut volvulus. Presentation is usually with proximal small bowel obstruction and bilious vomiting. The helix type appearance of the midgut seen in malrotation with midgut volvulus has been likened to the metallic helix of a. The corkscrew sign (figure 1b) refers to the twisted configuration of the proximal small bowel loops seen on upper. Corkscrew Duodenum.
From www.ajronline.org
Ultrasound for Midgut Malrotation and Midgut Volvulus AJR Expert Panel Corkscrew Duodenum Imaging spectrum of the duodenum on fluoroscopy Midgut volvulus is a complication of bowel malrotation usually seen in neonates and infants. A corkscrew appearance of the duodenum and proximal jejunum (figure 1) was pathognomonic for midgut volvulus. Presentation is usually with proximal small bowel obstruction and bilious vomiting. Corkscrew duodenum in malrotation with a midgut volvulus. The child may also. Corkscrew Duodenum.
From www.pinterest.co.kr
Corkscrew sign duodenum Medical anatomy, Radiology imaging Corkscrew Duodenum Imaging spectrum of the duodenum on fluoroscopy A corkscrew appearance of the duodenum and proximal jejunum (figure 1) was pathognomonic for midgut volvulus. Midgut volvulus is a complication of bowel malrotation usually seen in neonates and infants. Presentation is usually with proximal small bowel obstruction and bilious vomiting. The corkscrew sign (figure 1b) refers to the twisted configuration of the. Corkscrew Duodenum.
From www.eurorad.org
The Pathognomonic “Corkscrew Sign” in Midgut Volvulus A True Corkscrew Duodenum Corkscrew duodenum in malrotation with a midgut volvulus. The corkscrew sign describes the spiral appearance of the distal duodenum and proximal jejunum seen in midgut volvulus 1. Midgut volvulus is a complication of bowel malrotation usually seen in neonates and infants. In patients with malrotation and volvulus, the. The child may also show a corkscrew effect diagnosing volvulus or complete. Corkscrew Duodenum.
From www.pinterest.com
Corkscrew sign of midgut volvulus Corkscrew sign describes the Corkscrew Duodenum A corkscrew appearance of the duodenum and proximal jejunum (figure 1) was pathognomonic for midgut volvulus. The helix type appearance of the midgut seen in malrotation with midgut volvulus has been likened to the metallic helix of a. Presentation is usually with proximal small bowel obstruction and bilious vomiting. The corkscrew sign (figure 1b) refers to the twisted configuration of. Corkscrew Duodenum.
From www.casestacks.com
Case 5 Corkscrew Duodenum The corkscrew sign (figure 1b) refers to the twisted configuration of the proximal small bowel loops seen on upper gastrointestinal (ugi) in. In patients with malrotation and volvulus, the. Midgut volvulus is a complication of bowel malrotation usually seen in neonates and infants. The helix type appearance of the midgut seen in malrotation with midgut volvulus has been likened to. Corkscrew Duodenum.
From casereports.bmj.com
An unexpected cause of small bowel obstruction in an adult patient Corkscrew Duodenum The corkscrew sign describes the spiral appearance of the distal duodenum and proximal jejunum seen in midgut volvulus 1. In patients with malrotation and volvulus, the. Presentation is usually with proximal small bowel obstruction and bilious vomiting. Corkscrew duodenum in malrotation with a midgut volvulus. Midgut volvulus is a complication of bowel malrotation usually seen in neonates and infants. The. Corkscrew Duodenum.
From healthjade.com
Duodenum anatomy, parts, location, duodenum function & problems Corkscrew Duodenum The helix type appearance of the midgut seen in malrotation with midgut volvulus has been likened to the metallic helix of a. A corkscrew appearance of the duodenum and proximal jejunum (figure 1) was pathognomonic for midgut volvulus. The corkscrew sign describes the spiral appearance of the distal duodenum and proximal jejunum seen in midgut volvulus 1. The child may. Corkscrew Duodenum.
From healthjade.com
Volvulus definition, causes, volvulus types, diagnosis & volvulus treatment Corkscrew Duodenum Midgut volvulus is a complication of bowel malrotation usually seen in neonates and infants. The helix type appearance of the midgut seen in malrotation with midgut volvulus has been likened to the metallic helix of a. Imaging spectrum of the duodenum on fluoroscopy The child may also show a corkscrew effect diagnosing volvulus or complete duodenal obstruction, with the small. Corkscrew Duodenum.
From en.wikipedia.org
Suspensory muscle of duodenum Wikipedia Corkscrew Duodenum The child may also show a corkscrew effect diagnosing volvulus or complete duodenal obstruction, with the small bowel looping entirely on the right side of the abdomen. In patients with malrotation and volvulus, the. Midgut volvulus is a complication of bowel malrotation usually seen in neonates and infants. Presentation is usually with proximal small bowel obstruction and bilious vomiting. A. Corkscrew Duodenum.
From sumerdoc.blogspot.com
Midgut Volvulus CT Sumer's Radiology Blog Corkscrew Duodenum Corkscrew duodenum in malrotation with a midgut volvulus. The helix type appearance of the midgut seen in malrotation with midgut volvulus has been likened to the metallic helix of a. Imaging spectrum of the duodenum on fluoroscopy A corkscrew appearance of the duodenum and proximal jejunum (figure 1) was pathognomonic for midgut volvulus. The corkscrew sign (figure 1b) refers to. Corkscrew Duodenum.
From www.kenhub.com
Duodenum (Zwölffingerdarm) Anatomie, Aufbau & Funktion Kenhub Corkscrew Duodenum The corkscrew sign (figure 1b) refers to the twisted configuration of the proximal small bowel loops seen on upper gastrointestinal (ugi) in. A corkscrew appearance of the duodenum and proximal jejunum (figure 1) was pathognomonic for midgut volvulus. Corkscrew duodenum in malrotation with a midgut volvulus. Presentation is usually with proximal small bowel obstruction and bilious vomiting. The child may. Corkscrew Duodenum.
From clinmedjournals.org
Midgut Volvulus The Whirlpool and Corkscrew Signs Corkscrew Duodenum The corkscrew sign (figure 1b) refers to the twisted configuration of the proximal small bowel loops seen on upper gastrointestinal (ugi) in. In patients with malrotation and volvulus, the. The child may also show a corkscrew effect diagnosing volvulus or complete duodenal obstruction, with the small bowel looping entirely on the right side of the abdomen. Presentation is usually with. Corkscrew Duodenum.
From www.researchgate.net
CT angiography showed clockwise corkscrew appearance (barber's pole Corkscrew Duodenum In patients with malrotation and volvulus, the. The child may also show a corkscrew effect diagnosing volvulus or complete duodenal obstruction, with the small bowel looping entirely on the right side of the abdomen. Presentation is usually with proximal small bowel obstruction and bilious vomiting. The corkscrew sign (figure 1b) refers to the twisted configuration of the proximal small bowel. Corkscrew Duodenum.
From www.eurorad.org
The Pathognomonic “Corkscrew Sign” in Midgut Volvulus A True Corkscrew Duodenum Imaging spectrum of the duodenum on fluoroscopy A corkscrew appearance of the duodenum and proximal jejunum (figure 1) was pathognomonic for midgut volvulus. The child may also show a corkscrew effect diagnosing volvulus or complete duodenal obstruction, with the small bowel looping entirely on the right side of the abdomen. Midgut volvulus is a complication of bowel malrotation usually seen. Corkscrew Duodenum.