How Does Air Get In Your Joints . That lack of compression allows tissues. One of the best parts of opening that package is going to be popping the bubble wrap and making those wonderful popping sounds. This gas increases the joint volume by 15. Decreasing pressure — which typically ushers in worsening weather — means air presses a little less on our bodies. Crepitus is a crackling or popping sound that occurs due to friction or air in the tissues. Some causes of crepitus may cause pain, while other causes, like air bubbles in a joint, may not. Obviously, it’s the air inside of each plastic. Air bubbles forming in the joint spaces are the most common cause of popping noises. For those with arthritis — a condition where cartilage deteriorates causing. Back in april 2015, researchers from the university of alberta published a paper based on mri imaging of finger joints being cracked saying. This noise occurs at joints where there is a layer of fluid separating the two bones. It can be benign or have serious underlying causes.
from tiger-gym.com
Air bubbles forming in the joint spaces are the most common cause of popping noises. Decreasing pressure — which typically ushers in worsening weather — means air presses a little less on our bodies. That lack of compression allows tissues. Obviously, it’s the air inside of each plastic. Back in april 2015, researchers from the university of alberta published a paper based on mri imaging of finger joints being cracked saying. One of the best parts of opening that package is going to be popping the bubble wrap and making those wonderful popping sounds. Some causes of crepitus may cause pain, while other causes, like air bubbles in a joint, may not. It can be benign or have serious underlying causes. Crepitus is a crackling or popping sound that occurs due to friction or air in the tissues. This noise occurs at joints where there is a layer of fluid separating the two bones.
Why Your Joints Crack and What to Do About It Tiger Gym
How Does Air Get In Your Joints Back in april 2015, researchers from the university of alberta published a paper based on mri imaging of finger joints being cracked saying. Decreasing pressure — which typically ushers in worsening weather — means air presses a little less on our bodies. Air bubbles forming in the joint spaces are the most common cause of popping noises. This gas increases the joint volume by 15. Crepitus is a crackling or popping sound that occurs due to friction or air in the tissues. It can be benign or have serious underlying causes. One of the best parts of opening that package is going to be popping the bubble wrap and making those wonderful popping sounds. Obviously, it’s the air inside of each plastic. That lack of compression allows tissues. Back in april 2015, researchers from the university of alberta published a paper based on mri imaging of finger joints being cracked saying. Some causes of crepitus may cause pain, while other causes, like air bubbles in a joint, may not. This noise occurs at joints where there is a layer of fluid separating the two bones. For those with arthritis — a condition where cartilage deteriorates causing.
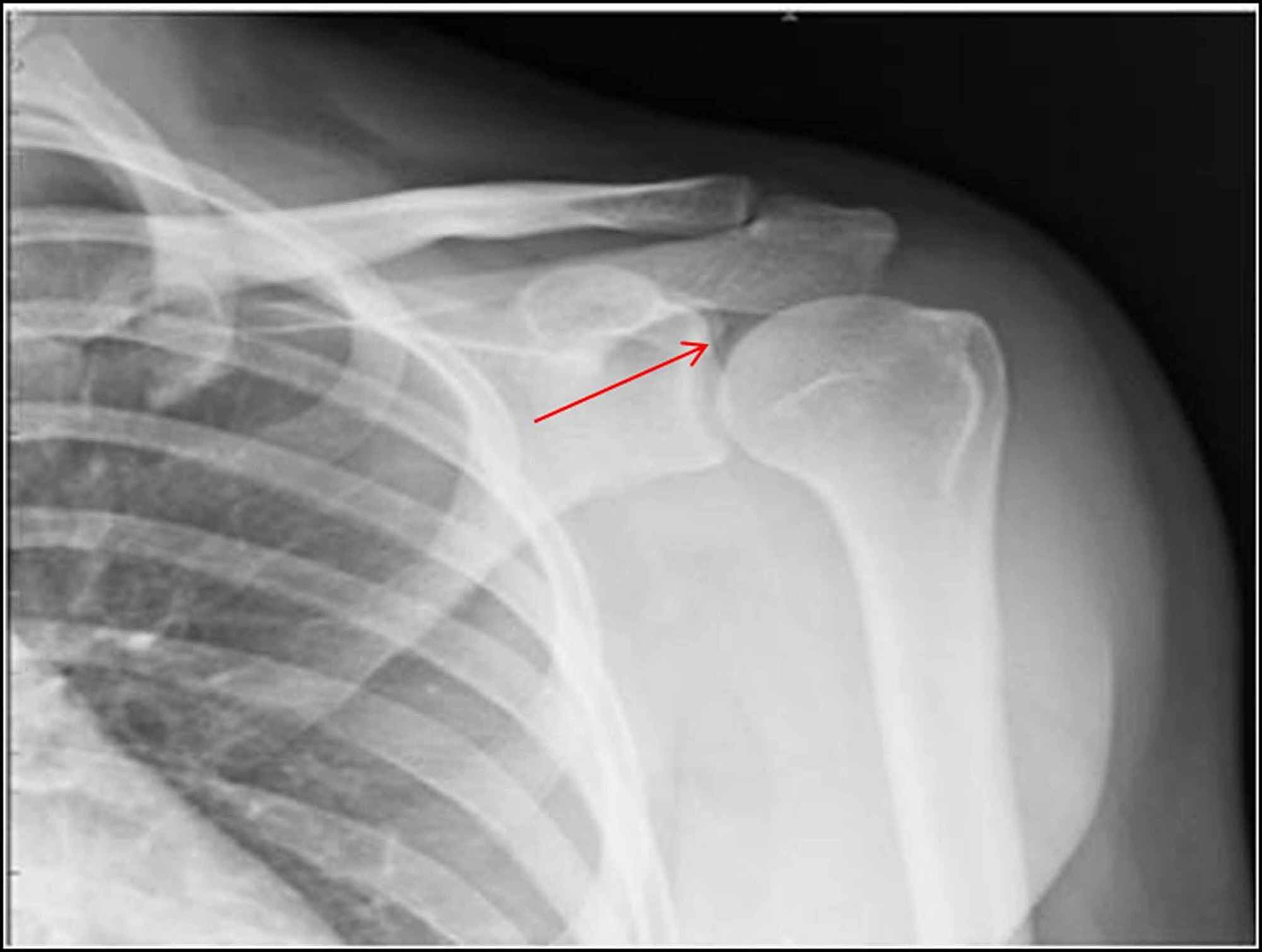
From clevelandshoulder.com
How to Keep Your Joints Healthy Shoulder Pain Clinic How Does Air Get In Your Joints Air bubbles forming in the joint spaces are the most common cause of popping noises. One of the best parts of opening that package is going to be popping the bubble wrap and making those wonderful popping sounds. For those with arthritis — a condition where cartilage deteriorates causing. Decreasing pressure — which typically ushers in worsening weather — means. How Does Air Get In Your Joints.
From www.weareiowa.com
Why do my joints hurt when the weather is cold? How Does Air Get In Your Joints This noise occurs at joints where there is a layer of fluid separating the two bones. Some causes of crepitus may cause pain, while other causes, like air bubbles in a joint, may not. Crepitus is a crackling or popping sound that occurs due to friction or air in the tissues. This gas increases the joint volume by 15. Air. How Does Air Get In Your Joints.
From creakyjoints.org
Arthritis in Hands Symptoms, Types of Hand Arthritis, and Treatment How Does Air Get In Your Joints This noise occurs at joints where there is a layer of fluid separating the two bones. That lack of compression allows tissues. Air bubbles forming in the joint spaces are the most common cause of popping noises. It can be benign or have serious underlying causes. Obviously, it’s the air inside of each plastic. One of the best parts of. How Does Air Get In Your Joints.
From www.cureus.com
Cureus The Air Inside Joint A Sign of Disease Pathology or a Benign How Does Air Get In Your Joints Back in april 2015, researchers from the university of alberta published a paper based on mri imaging of finger joints being cracked saying. Air bubbles forming in the joint spaces are the most common cause of popping noises. Some causes of crepitus may cause pain, while other causes, like air bubbles in a joint, may not. One of the best. How Does Air Get In Your Joints.
From www.nhlbi.nih.gov
How the Lungs Work The Respiratory System NHLBI, NIH How Does Air Get In Your Joints Air bubbles forming in the joint spaces are the most common cause of popping noises. Crepitus is a crackling or popping sound that occurs due to friction or air in the tissues. Obviously, it’s the air inside of each plastic. One of the best parts of opening that package is going to be popping the bubble wrap and making those. How Does Air Get In Your Joints.
From www.slideserve.com
PPT The Respiratory System PowerPoint Presentation, free download How Does Air Get In Your Joints Decreasing pressure — which typically ushers in worsening weather — means air presses a little less on our bodies. This noise occurs at joints where there is a layer of fluid separating the two bones. Air bubbles forming in the joint spaces are the most common cause of popping noises. This gas increases the joint volume by 15. That lack. How Does Air Get In Your Joints.
From www.oihnv.com
How to Preserve Your Joints Orthopaedic Institute of Henderson How Does Air Get In Your Joints Air bubbles forming in the joint spaces are the most common cause of popping noises. One of the best parts of opening that package is going to be popping the bubble wrap and making those wonderful popping sounds. Crepitus is a crackling or popping sound that occurs due to friction or air in the tissues. Decreasing pressure — which typically. How Does Air Get In Your Joints.
From tiger-gym.com
Why Your Joints Crack and What to Do About It Tiger Gym How Does Air Get In Your Joints That lack of compression allows tissues. Air bubbles forming in the joint spaces are the most common cause of popping noises. Crepitus is a crackling or popping sound that occurs due to friction or air in the tissues. For those with arthritis — a condition where cartilage deteriorates causing. One of the best parts of opening that package is going. How Does Air Get In Your Joints.
From www.visiblebody.com
Joints and Ligaments Learn Skeleton Anatomy How Does Air Get In Your Joints Crepitus is a crackling or popping sound that occurs due to friction or air in the tissues. This noise occurs at joints where there is a layer of fluid separating the two bones. This gas increases the joint volume by 15. Air bubbles forming in the joint spaces are the most common cause of popping noises. It can be benign. How Does Air Get In Your Joints.
From study.com
Types of Joints & Joint Structures in the Body Video & Lesson How Does Air Get In Your Joints Decreasing pressure — which typically ushers in worsening weather — means air presses a little less on our bodies. It can be benign or have serious underlying causes. One of the best parts of opening that package is going to be popping the bubble wrap and making those wonderful popping sounds. This gas increases the joint volume by 15. That. How Does Air Get In Your Joints.
From in.pinterest.com
JointCracking Sounds Could Be Made By The Bubble Collapsing Or Popping How Does Air Get In Your Joints Decreasing pressure — which typically ushers in worsening weather — means air presses a little less on our bodies. Some causes of crepitus may cause pain, while other causes, like air bubbles in a joint, may not. Back in april 2015, researchers from the university of alberta published a paper based on mri imaging of finger joints being cracked saying.. How Does Air Get In Your Joints.
From www.muscleandmotion.com
Types of Joints A Detailed Classification Guide Muscle and Motion How Does Air Get In Your Joints Obviously, it’s the air inside of each plastic. Crepitus is a crackling or popping sound that occurs due to friction or air in the tissues. This noise occurs at joints where there is a layer of fluid separating the two bones. It can be benign or have serious underlying causes. For those with arthritis — a condition where cartilage deteriorates. How Does Air Get In Your Joints.
From www.macmillan.org.uk
The lungs Macmillan Cancer Support How Does Air Get In Your Joints Back in april 2015, researchers from the university of alberta published a paper based on mri imaging of finger joints being cracked saying. Obviously, it’s the air inside of each plastic. For those with arthritis — a condition where cartilage deteriorates causing. This gas increases the joint volume by 15. Crepitus is a crackling or popping sound that occurs due. How Does Air Get In Your Joints.
From bio.libretexts.org
38.10 Joints and Skeletal Movement Classification of Joints on the How Does Air Get In Your Joints This noise occurs at joints where there is a layer of fluid separating the two bones. Back in april 2015, researchers from the university of alberta published a paper based on mri imaging of finger joints being cracked saying. Some causes of crepitus may cause pain, while other causes, like air bubbles in a joint, may not. This gas increases. How Does Air Get In Your Joints.
From www.kinfolkwellness.com.au
6 Minutes To A Supple Spine — Kinfolk Physiotherapy & Wellness How Does Air Get In Your Joints Some causes of crepitus may cause pain, while other causes, like air bubbles in a joint, may not. Back in april 2015, researchers from the university of alberta published a paper based on mri imaging of finger joints being cracked saying. That lack of compression allows tissues. This noise occurs at joints where there is a layer of fluid separating. How Does Air Get In Your Joints.
From www.drugwatch.com
Rheumatoid Arthritis The 4 Stages of Rheumatoid Arthritis How Does Air Get In Your Joints It can be benign or have serious underlying causes. Back in april 2015, researchers from the university of alberta published a paper based on mri imaging of finger joints being cracked saying. Some causes of crepitus may cause pain, while other causes, like air bubbles in a joint, may not. Decreasing pressure — which typically ushers in worsening weather —. How Does Air Get In Your Joints.
From courses.lumenlearning.com
Gas Exchange across the Alveoli Biology for Majors II How Does Air Get In Your Joints For those with arthritis — a condition where cartilage deteriorates causing. That lack of compression allows tissues. This noise occurs at joints where there is a layer of fluid separating the two bones. Crepitus is a crackling or popping sound that occurs due to friction or air in the tissues. Obviously, it’s the air inside of each plastic. Decreasing pressure. How Does Air Get In Your Joints.
From therapydiaportland.com
Happy Joints Therapydia Portland How Does Air Get In Your Joints That lack of compression allows tissues. Decreasing pressure — which typically ushers in worsening weather — means air presses a little less on our bodies. Obviously, it’s the air inside of each plastic. One of the best parts of opening that package is going to be popping the bubble wrap and making those wonderful popping sounds. This gas increases the. How Does Air Get In Your Joints.
From nyboneandjoint.com
An Orthopedic Specialist's Guide to Joint Pain New York Bone & Joint How Does Air Get In Your Joints Some causes of crepitus may cause pain, while other causes, like air bubbles in a joint, may not. Air bubbles forming in the joint spaces are the most common cause of popping noises. For those with arthritis — a condition where cartilage deteriorates causing. This noise occurs at joints where there is a layer of fluid separating the two bones.. How Does Air Get In Your Joints.
From www.amarapain.com
Causes of Joint Point Amara Pain & Spine Management How Does Air Get In Your Joints This gas increases the joint volume by 15. Air bubbles forming in the joint spaces are the most common cause of popping noises. Crepitus is a crackling or popping sound that occurs due to friction or air in the tissues. For those with arthritis — a condition where cartilage deteriorates causing. It can be benign or have serious underlying causes.. How Does Air Get In Your Joints.
From www.sciencewithme.com
Science With Me Learn about your Joints How Does Air Get In Your Joints Decreasing pressure — which typically ushers in worsening weather — means air presses a little less on our bodies. For those with arthritis — a condition where cartilage deteriorates causing. This noise occurs at joints where there is a layer of fluid separating the two bones. This gas increases the joint volume by 15. Back in april 2015, researchers from. How Does Air Get In Your Joints.
From www.dreamstime.com
Respiratory System of Human the Breathing Airway Vector Medical How Does Air Get In Your Joints Some causes of crepitus may cause pain, while other causes, like air bubbles in a joint, may not. Air bubbles forming in the joint spaces are the most common cause of popping noises. Decreasing pressure — which typically ushers in worsening weather — means air presses a little less on our bodies. It can be benign or have serious underlying. How Does Air Get In Your Joints.
From schoolbag.info
The Respiratory System Biology of Humans How Does Air Get In Your Joints For those with arthritis — a condition where cartilage deteriorates causing. Crepitus is a crackling or popping sound that occurs due to friction or air in the tissues. Some causes of crepitus may cause pain, while other causes, like air bubbles in a joint, may not. This noise occurs at joints where there is a layer of fluid separating the. How Does Air Get In Your Joints.
From med.libretexts.org
8.1A Structural Classification of Joints Medicine LibreTexts How Does Air Get In Your Joints Back in april 2015, researchers from the university of alberta published a paper based on mri imaging of finger joints being cracked saying. For those with arthritis — a condition where cartilage deteriorates causing. This noise occurs at joints where there is a layer of fluid separating the two bones. Obviously, it’s the air inside of each plastic. Some causes. How Does Air Get In Your Joints.
From courses.lumenlearning.com
Types of Synovial Joints Biology for Majors II How Does Air Get In Your Joints Air bubbles forming in the joint spaces are the most common cause of popping noises. This gas increases the joint volume by 15. It can be benign or have serious underlying causes. That lack of compression allows tissues. One of the best parts of opening that package is going to be popping the bubble wrap and making those wonderful popping. How Does Air Get In Your Joints.
From teachmeanatomy.info
Structures of a Synovial Joint Capsule Ligaments TeachMeAnatomy How Does Air Get In Your Joints Obviously, it’s the air inside of each plastic. That lack of compression allows tissues. This gas increases the joint volume by 15. One of the best parts of opening that package is going to be popping the bubble wrap and making those wonderful popping sounds. This noise occurs at joints where there is a layer of fluid separating the two. How Does Air Get In Your Joints.
From www.ellicottvillenow.com
Why Are My Joints Making Noise? — Ellicottville Now How Does Air Get In Your Joints Crepitus is a crackling or popping sound that occurs due to friction or air in the tissues. This noise occurs at joints where there is a layer of fluid separating the two bones. This gas increases the joint volume by 15. It can be benign or have serious underlying causes. One of the best parts of opening that package is. How Does Air Get In Your Joints.
From scienceislife4sgss.weebly.com
Skeletal System SCIENCE IS LIFE How Does Air Get In Your Joints For those with arthritis — a condition where cartilage deteriorates causing. That lack of compression allows tissues. Decreasing pressure — which typically ushers in worsening weather — means air presses a little less on our bodies. This noise occurs at joints where there is a layer of fluid separating the two bones. Obviously, it’s the air inside of each plastic.. How Does Air Get In Your Joints.
From www.researchgate.net
(a) A Synovial Joint; (b) Types of Synovial Joints. Image source How Does Air Get In Your Joints Some causes of crepitus may cause pain, while other causes, like air bubbles in a joint, may not. Decreasing pressure — which typically ushers in worsening weather — means air presses a little less on our bodies. For those with arthritis — a condition where cartilage deteriorates causing. Obviously, it’s the air inside of each plastic. Back in april 2015,. How Does Air Get In Your Joints.
From ar.inspiredpencil.com
Ball And Socket Joints In The Human Body How Does Air Get In Your Joints Decreasing pressure — which typically ushers in worsening weather — means air presses a little less on our bodies. It can be benign or have serious underlying causes. Crepitus is a crackling or popping sound that occurs due to friction or air in the tissues. One of the best parts of opening that package is going to be popping the. How Does Air Get In Your Joints.
From www.therespiratorysystem.com
Function of the Mouth How Does Air Get In Your Joints One of the best parts of opening that package is going to be popping the bubble wrap and making those wonderful popping sounds. This noise occurs at joints where there is a layer of fluid separating the two bones. For those with arthritis — a condition where cartilage deteriorates causing. That lack of compression allows tissues. Some causes of crepitus. How Does Air Get In Your Joints.
From www.slideserve.com
PPT Joints PowerPoint Presentation, free download ID2034256 How Does Air Get In Your Joints One of the best parts of opening that package is going to be popping the bubble wrap and making those wonderful popping sounds. That lack of compression allows tissues. Obviously, it’s the air inside of each plastic. Crepitus is a crackling or popping sound that occurs due to friction or air in the tissues. Decreasing pressure — which typically ushers. How Does Air Get In Your Joints.
From www.bbc.co.uk
What is respiration and gas exchange? BBC Bitesize How Does Air Get In Your Joints This gas increases the joint volume by 15. That lack of compression allows tissues. Decreasing pressure — which typically ushers in worsening weather — means air presses a little less on our bodies. Crepitus is a crackling or popping sound that occurs due to friction or air in the tissues. For those with arthritis — a condition where cartilage deteriorates. How Does Air Get In Your Joints.
From www.medicalnewstoday.com
How to sit with SI joint pain Posture and more How Does Air Get In Your Joints Obviously, it’s the air inside of each plastic. This gas increases the joint volume by 15. Air bubbles forming in the joint spaces are the most common cause of popping noises. For those with arthritis — a condition where cartilage deteriorates causing. Crepitus is a crackling or popping sound that occurs due to friction or air in the tissues. It. How Does Air Get In Your Joints.
From www.slideserve.com
PPT The Respiratory System PowerPoint Presentation, free download How Does Air Get In Your Joints It can be benign or have serious underlying causes. That lack of compression allows tissues. Obviously, it’s the air inside of each plastic. Some causes of crepitus may cause pain, while other causes, like air bubbles in a joint, may not. This gas increases the joint volume by 15. Back in april 2015, researchers from the university of alberta published. How Does Air Get In Your Joints.