Protesis Acrilico . las prótesis dentales de acrílico pueden durar entre 5 y 7 años con un buen cuidado y mantenimiento. las prótesis dentales removibles son una excelente opción para aquellas personas que han perdido algunos o todos sus dientes. Estas prótesis, fabricadas con materiales como acrílico, ofrecen muchas ventajas, así como algunas desventajas que se deben tener en cuenta. ¿qué es mejor prótesis flexible o de acrílico? una prótesis parcial removible es una solución flexible y eficaz para la pérdida de dientes. descubre las diferencias entre las prótesis dentales de acrílico, cerámica y metal y elige la opción adecuada para tu sonrisa perfecta. El acrílico es un tipo de plástico rígido pero sin llegar a ser metal. En esta guía, te explicaremos qué son, los diferentes tipos que existen, sus ventajas y desventajas, y cómo cuidarlas. las prótesis dentales de acrílico son una opción popular para remplazar dientes perdidos o para mejorar la apariencia de los dientes. Este tipo de prótesis removible es también de quitar y poner y está fabricada, como su propio nombre indica, de un material denominado acrílico. Dentaduras postizas o prótesis dentales son una solución para cuando se pierden uno o.
from www.estheticwork.com
Dentaduras postizas o prótesis dentales son una solución para cuando se pierden uno o. las prótesis dentales de acrílico pueden durar entre 5 y 7 años con un buen cuidado y mantenimiento. En esta guía, te explicaremos qué son, los diferentes tipos que existen, sus ventajas y desventajas, y cómo cuidarlas. las prótesis dentales removibles son una excelente opción para aquellas personas que han perdido algunos o todos sus dientes. descubre las diferencias entre las prótesis dentales de acrílico, cerámica y metal y elige la opción adecuada para tu sonrisa perfecta. El acrílico es un tipo de plástico rígido pero sin llegar a ser metal. ¿qué es mejor prótesis flexible o de acrílico? una prótesis parcial removible es una solución flexible y eficaz para la pérdida de dientes. las prótesis dentales de acrílico son una opción popular para remplazar dientes perdidos o para mejorar la apariencia de los dientes. Estas prótesis, fabricadas con materiales como acrílico, ofrecen muchas ventajas, así como algunas desventajas que se deben tener en cuenta.
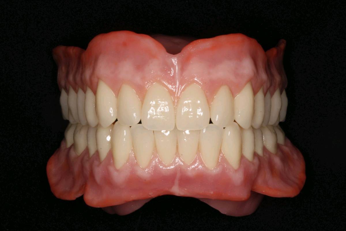
Prótesis acrílicas convencionales Laboratorio Esthetic Work
Protesis Acrilico una prótesis parcial removible es una solución flexible y eficaz para la pérdida de dientes. las prótesis dentales de acrílico son una opción popular para remplazar dientes perdidos o para mejorar la apariencia de los dientes. Dentaduras postizas o prótesis dentales son una solución para cuando se pierden uno o. las prótesis dentales removibles son una excelente opción para aquellas personas que han perdido algunos o todos sus dientes. Este tipo de prótesis removible es también de quitar y poner y está fabricada, como su propio nombre indica, de un material denominado acrílico. Estas prótesis, fabricadas con materiales como acrílico, ofrecen muchas ventajas, así como algunas desventajas que se deben tener en cuenta. una prótesis parcial removible es una solución flexible y eficaz para la pérdida de dientes. ¿qué es mejor prótesis flexible o de acrílico? En esta guía, te explicaremos qué son, los diferentes tipos que existen, sus ventajas y desventajas, y cómo cuidarlas. las prótesis dentales de acrílico pueden durar entre 5 y 7 años con un buen cuidado y mantenimiento. El acrílico es un tipo de plástico rígido pero sin llegar a ser metal. descubre las diferencias entre las prótesis dentales de acrílico, cerámica y metal y elige la opción adecuada para tu sonrisa perfecta.
From protesis.com
Prótesis Removible Acrílica Dentadura Completa · Prótesis S.A. Protesis Acrilico En esta guía, te explicaremos qué son, los diferentes tipos que existen, sus ventajas y desventajas, y cómo cuidarlas. las prótesis dentales removibles son una excelente opción para aquellas personas que han perdido algunos o todos sus dientes. descubre las diferencias entre las prótesis dentales de acrílico, cerámica y metal y elige la opción adecuada para tu sonrisa. Protesis Acrilico.
From www.youtube.com
CÓMO ACRÍLIZAR UNA PRÓTESIS PARCIAL REMOVIBLE PASO A PASO YouTube Protesis Acrilico En esta guía, te explicaremos qué son, los diferentes tipos que existen, sus ventajas y desventajas, y cómo cuidarlas. Dentaduras postizas o prótesis dentales son una solución para cuando se pierden uno o. El acrílico es un tipo de plástico rígido pero sin llegar a ser metal. descubre las diferencias entre las prótesis dentales de acrílico, cerámica y metal. Protesis Acrilico.
From polisantafe.com.ar
Etapas para confección de prótesis completas de acrílico POLISANTAFE Protesis Acrilico las prótesis dentales de acrílico son una opción popular para remplazar dientes perdidos o para mejorar la apariencia de los dientes. las prótesis dentales removibles son una excelente opción para aquellas personas que han perdido algunos o todos sus dientes. Este tipo de prótesis removible es también de quitar y poner y está fabricada, como su propio nombre. Protesis Acrilico.
From protesis.com
Prótesis Removible Acrílica Dentadura Parcial · Prótesis S.A. Protesis Acrilico Estas prótesis, fabricadas con materiales como acrílico, ofrecen muchas ventajas, así como algunas desventajas que se deben tener en cuenta. las prótesis dentales removibles son una excelente opción para aquellas personas que han perdido algunos o todos sus dientes. Dentaduras postizas o prótesis dentales son una solución para cuando se pierden uno o. una prótesis parcial removible es. Protesis Acrilico.
From educadentalsoria.blogspot.com
Tipos de prótesis dentales Protesis Acrilico una prótesis parcial removible es una solución flexible y eficaz para la pérdida de dientes. las prótesis dentales de acrílico pueden durar entre 5 y 7 años con un buen cuidado y mantenimiento. las prótesis dentales de acrílico son una opción popular para remplazar dientes perdidos o para mejorar la apariencia de los dientes. las prótesis. Protesis Acrilico.
From www.estheticwork.com
Prótesis acrílicas convencionales Laboratorio Esthetic Work Protesis Acrilico las prótesis dentales removibles son una excelente opción para aquellas personas que han perdido algunos o todos sus dientes. Este tipo de prótesis removible es también de quitar y poner y está fabricada, como su propio nombre indica, de un material denominado acrílico. Estas prótesis, fabricadas con materiales como acrílico, ofrecen muchas ventajas, así como algunas desventajas que se. Protesis Acrilico.
From protesis.com
Prótesis Removible Acrílica Dentadura Parcial · Prótesis S.A. Protesis Acrilico El acrílico es un tipo de plástico rígido pero sin llegar a ser metal. una prótesis parcial removible es una solución flexible y eficaz para la pérdida de dientes. las prótesis dentales de acrílico son una opción popular para remplazar dientes perdidos o para mejorar la apariencia de los dientes. las prótesis dentales de acrílico pueden durar. Protesis Acrilico.
From www.medicalexpo.it
Protesi dentale in acrilico PRIMODENT POLIDENT d.o.o. per denti Protesis Acrilico una prótesis parcial removible es una solución flexible y eficaz para la pérdida de dientes. las prótesis dentales removibles son una excelente opción para aquellas personas que han perdido algunos o todos sus dientes. Dentaduras postizas o prótesis dentales son una solución para cuando se pierden uno o. descubre las diferencias entre las prótesis dentales de acrílico,. Protesis Acrilico.
From mslabdentalintegral.blogspot.com
MS LABORATORIO DENTAL INTEGRAL PROTESIS DE ACRILICO Protesis Acrilico descubre las diferencias entre las prótesis dentales de acrílico, cerámica y metal y elige la opción adecuada para tu sonrisa perfecta. las prótesis dentales de acrílico son una opción popular para remplazar dientes perdidos o para mejorar la apariencia de los dientes. una prótesis parcial removible es una solución flexible y eficaz para la pérdida de dientes.. Protesis Acrilico.
From www.youtube.com
Prótesis Parcial Removible Acrílica YouTube Protesis Acrilico Este tipo de prótesis removible es también de quitar y poner y está fabricada, como su propio nombre indica, de un material denominado acrílico. ¿qué es mejor prótesis flexible o de acrílico? En esta guía, te explicaremos qué son, los diferentes tipos que existen, sus ventajas y desventajas, y cómo cuidarlas. las prótesis dentales de acrílico son una. Protesis Acrilico.
From www.youtube.com
prótesis total superior acrílica e inferior flexible YouTube Protesis Acrilico ¿qué es mejor prótesis flexible o de acrílico? descubre las diferencias entre las prótesis dentales de acrílico, cerámica y metal y elige la opción adecuada para tu sonrisa perfecta. Este tipo de prótesis removible es también de quitar y poner y está fabricada, como su propio nombre indica, de un material denominado acrílico. una prótesis parcial removible. Protesis Acrilico.
From www.alamy.es
Prótesis dentales de acrílico con elementos de sujeción de metal Protesis Acrilico Estas prótesis, fabricadas con materiales como acrílico, ofrecen muchas ventajas, así como algunas desventajas que se deben tener en cuenta. las prótesis dentales de acrílico pueden durar entre 5 y 7 años con un buen cuidado y mantenimiento. En esta guía, te explicaremos qué son, los diferentes tipos que existen, sus ventajas y desventajas, y cómo cuidarlas. descubre. Protesis Acrilico.
From es.dreamstime.com
Prótesis Dental Acrílica Con Elementos De Retención Metálica Imagen de Protesis Acrilico ¿qué es mejor prótesis flexible o de acrílico? Este tipo de prótesis removible es también de quitar y poner y está fabricada, como su propio nombre indica, de un material denominado acrílico. El acrílico es un tipo de plástico rígido pero sin llegar a ser metal. las prótesis dentales de acrílico pueden durar entre 5 y 7 años. Protesis Acrilico.
From www.youtube.com
PRÓTESIS DENTAL DE ACRÍLICO PASO A PASO Acrílico de alto impacto Protesis Acrilico El acrílico es un tipo de plástico rígido pero sin llegar a ser metal. las prótesis dentales de acrílico pueden durar entre 5 y 7 años con un buen cuidado y mantenimiento. En esta guía, te explicaremos qué son, los diferentes tipos que existen, sus ventajas y desventajas, y cómo cuidarlas. Dentaduras postizas o prótesis dentales son una solución. Protesis Acrilico.
From sumerlabs.com
Prótesis dentales removible en acrílico en Caracas Protesis Acrilico las prótesis dentales de acrílico pueden durar entre 5 y 7 años con un buen cuidado y mantenimiento. las prótesis dentales removibles son una excelente opción para aquellas personas que han perdido algunos o todos sus dientes. ¿qué es mejor prótesis flexible o de acrílico? una prótesis parcial removible es una solución flexible y eficaz para. Protesis Acrilico.
From www.laboratoriobiodental.com
Prótesis parcial acrílica Biodental Protesis Acrilico las prótesis dentales de acrílico pueden durar entre 5 y 7 años con un buen cuidado y mantenimiento. En esta guía, te explicaremos qué son, los diferentes tipos que existen, sus ventajas y desventajas, y cómo cuidarlas. las prótesis dentales de acrílico son una opción popular para remplazar dientes perdidos o para mejorar la apariencia de los dientes.. Protesis Acrilico.
From protesis.com
Prótesis Removible Acrílica Dentadura Completa · Prótesis S.A. Protesis Acrilico El acrílico es un tipo de plástico rígido pero sin llegar a ser metal. descubre las diferencias entre las prótesis dentales de acrílico, cerámica y metal y elige la opción adecuada para tu sonrisa perfecta. Estas prótesis, fabricadas con materiales como acrílico, ofrecen muchas ventajas, así como algunas desventajas que se deben tener en cuenta. las prótesis dentales. Protesis Acrilico.
From www.laboratoriobiodental.com
Prótesis hibrida de acrílico sobre 6 implantes Biodental Protesis Acrilico las prótesis dentales de acrílico son una opción popular para remplazar dientes perdidos o para mejorar la apariencia de los dientes. una prótesis parcial removible es una solución flexible y eficaz para la pérdida de dientes. ¿qué es mejor prótesis flexible o de acrílico? Estas prótesis, fabricadas con materiales como acrílico, ofrecen muchas ventajas, así como algunas. Protesis Acrilico.
From sumerlabs.com
Prótesis total en acrílico de alto impacto en Santa Marta Protesis Acrilico las prótesis dentales de acrílico pueden durar entre 5 y 7 años con un buen cuidado y mantenimiento. Este tipo de prótesis removible es también de quitar y poner y está fabricada, como su propio nombre indica, de un material denominado acrílico. El acrílico es un tipo de plástico rígido pero sin llegar a ser metal. Estas prótesis, fabricadas. Protesis Acrilico.
From www.laboratoriobiodental.com
Prótesis metal acrílico Biodental Protesis Acrilico El acrílico es un tipo de plástico rígido pero sin llegar a ser metal. Este tipo de prótesis removible es también de quitar y poner y está fabricada, como su propio nombre indica, de un material denominado acrílico. Dentaduras postizas o prótesis dentales son una solución para cuando se pierden uno o. una prótesis parcial removible es una solución. Protesis Acrilico.
From www.alamy.es
Prótesis de acrílico COMPLETO CONJUNTO DELANTERO Fotografía de stock Protesis Acrilico una prótesis parcial removible es una solución flexible y eficaz para la pérdida de dientes. El acrílico es un tipo de plástico rígido pero sin llegar a ser metal. las prótesis dentales de acrílico son una opción popular para remplazar dientes perdidos o para mejorar la apariencia de los dientes. En esta guía, te explicaremos qué son, los. Protesis Acrilico.
From pysdentales.co
Prótesis Acrílicas PyS Dentales Protesis Acrilico El acrílico es un tipo de plástico rígido pero sin llegar a ser metal. las prótesis dentales removibles son una excelente opción para aquellas personas que han perdido algunos o todos sus dientes. las prótesis dentales de acrílico pueden durar entre 5 y 7 años con un buen cuidado y mantenimiento. Este tipo de prótesis removible es también. Protesis Acrilico.
From protesis.com
Prótesis Removible Acrílica Dentadura Completa · Prótesis S.A. Protesis Acrilico Estas prótesis, fabricadas con materiales como acrílico, ofrecen muchas ventajas, así como algunas desventajas que se deben tener en cuenta. ¿qué es mejor prótesis flexible o de acrílico? descubre las diferencias entre las prótesis dentales de acrílico, cerámica y metal y elige la opción adecuada para tu sonrisa perfecta. En esta guía, te explicaremos qué son, los diferentes. Protesis Acrilico.
From fenixdentalclinic.com
Prótesis Fenix Dental Clinic Protesis Acrilico ¿qué es mejor prótesis flexible o de acrílico? descubre las diferencias entre las prótesis dentales de acrílico, cerámica y metal y elige la opción adecuada para tu sonrisa perfecta. una prótesis parcial removible es una solución flexible y eficaz para la pérdida de dientes. Estas prótesis, fabricadas con materiales como acrílico, ofrecen muchas ventajas, así como algunas. Protesis Acrilico.
From www.alamy.es
Prótesis dentales de acrílico con elementos de sujeción de metal Protesis Acrilico descubre las diferencias entre las prótesis dentales de acrílico, cerámica y metal y elige la opción adecuada para tu sonrisa perfecta. Estas prótesis, fabricadas con materiales como acrílico, ofrecen muchas ventajas, así como algunas desventajas que se deben tener en cuenta. En esta guía, te explicaremos qué son, los diferentes tipos que existen, sus ventajas y desventajas, y cómo. Protesis Acrilico.
From www.youtube.com
PROSTODONCIA PARCIAL DE ACRILICO PASO A PASO YouTube Protesis Acrilico En esta guía, te explicaremos qué son, los diferentes tipos que existen, sus ventajas y desventajas, y cómo cuidarlas. ¿qué es mejor prótesis flexible o de acrílico? las prótesis dentales de acrílico pueden durar entre 5 y 7 años con un buen cuidado y mantenimiento. las prótesis dentales removibles son una excelente opción para aquellas personas que. Protesis Acrilico.
From www.alamy.es
Prótesis dentales de acrílico con elementos de sujeción de metal Protesis Acrilico Dentaduras postizas o prótesis dentales son una solución para cuando se pierden uno o. las prótesis dentales removibles son una excelente opción para aquellas personas que han perdido algunos o todos sus dientes. una prótesis parcial removible es una solución flexible y eficaz para la pérdida de dientes. Este tipo de prótesis removible es también de quitar y. Protesis Acrilico.
From sumerlabs.com
Prótesis total en acrílico de alto impacto en Santa Marta Protesis Acrilico Estas prótesis, fabricadas con materiales como acrílico, ofrecen muchas ventajas, así como algunas desventajas que se deben tener en cuenta. ¿qué es mejor prótesis flexible o de acrílico? En esta guía, te explicaremos qué son, los diferentes tipos que existen, sus ventajas y desventajas, y cómo cuidarlas. Dentaduras postizas o prótesis dentales son una solución para cuando se pierden. Protesis Acrilico.
From mslabdentalintegral.blogspot.com
MS LABORATORIO DENTAL INTEGRAL PROTESIS DE ACRILICO Protesis Acrilico En esta guía, te explicaremos qué son, los diferentes tipos que existen, sus ventajas y desventajas, y cómo cuidarlas. Estas prótesis, fabricadas con materiales como acrílico, ofrecen muchas ventajas, así como algunas desventajas que se deben tener en cuenta. descubre las diferencias entre las prótesis dentales de acrílico, cerámica y metal y elige la opción adecuada para tu sonrisa. Protesis Acrilico.
From protesis.net
Prótesis Removible Acrílica Dentadura Parcial · Prótesis S.A. Protesis Acrilico las prótesis dentales de acrílico pueden durar entre 5 y 7 años con un buen cuidado y mantenimiento. En esta guía, te explicaremos qué son, los diferentes tipos que existen, sus ventajas y desventajas, y cómo cuidarlas. descubre las diferencias entre las prótesis dentales de acrílico, cerámica y metal y elige la opción adecuada para tu sonrisa perfecta.. Protesis Acrilico.
From www.youtube.com
CÓMO HACER UN REBASE A UNA PRÓTESIS DENTAL DE ACRÍLICO PASO A PASO Protesis Acrilico las prótesis dentales de acrílico pueden durar entre 5 y 7 años con un buen cuidado y mantenimiento. una prótesis parcial removible es una solución flexible y eficaz para la pérdida de dientes. Estas prótesis, fabricadas con materiales como acrílico, ofrecen muchas ventajas, así como algunas desventajas que se deben tener en cuenta. Este tipo de prótesis removible. Protesis Acrilico.
From www.youtube.com
Como hacer Prótesis Dental técnica de acrilico fluido YouTube Protesis Acrilico ¿qué es mejor prótesis flexible o de acrílico? Este tipo de prótesis removible es también de quitar y poner y está fabricada, como su propio nombre indica, de un material denominado acrílico. las prótesis dentales de acrílico son una opción popular para remplazar dientes perdidos o para mejorar la apariencia de los dientes. El acrílico es un tipo. Protesis Acrilico.
From polisantafe.com.ar
Prótesis dentales de acrílico fijación y cuidado adecuado POLISANTAFE Protesis Acrilico En esta guía, te explicaremos qué son, los diferentes tipos que existen, sus ventajas y desventajas, y cómo cuidarlas. descubre las diferencias entre las prótesis dentales de acrílico, cerámica y metal y elige la opción adecuada para tu sonrisa perfecta. Dentaduras postizas o prótesis dentales son una solución para cuando se pierden uno o. El acrílico es un tipo. Protesis Acrilico.
From polisantafe.com.ar
Prótesis dentales de acrílico recupera tu sonrisa paso a paso Protesis Acrilico ¿qué es mejor prótesis flexible o de acrílico? Dentaduras postizas o prótesis dentales son una solución para cuando se pierden uno o. las prótesis dentales de acrílico son una opción popular para remplazar dientes perdidos o para mejorar la apariencia de los dientes. las prótesis dentales removibles son una excelente opción para aquellas personas que han perdido. Protesis Acrilico.
From protesis.com
Prótesis Removible Acrílica Dentadura Parcial · Prótesis S.A. Protesis Acrilico las prótesis dentales de acrílico pueden durar entre 5 y 7 años con un buen cuidado y mantenimiento. las prótesis dentales removibles son una excelente opción para aquellas personas que han perdido algunos o todos sus dientes. Dentaduras postizas o prótesis dentales son una solución para cuando se pierden uno o. ¿qué es mejor prótesis flexible o. Protesis Acrilico.