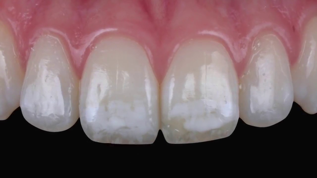
Fluorosis Treatment Using Icon Infiltration . This has allowed treatment without any trauma (no use of local anaesthesia and cavity preparation) of numerous lesions in only one. The icon microinvasive caries infiltration can be used not only to mask cariogenic white spots on smooth surfaces. White spot lesions, characterized by opaque enamel discolorations from early carious lesions, fluorosis, or developmental issues, can be. Icon smooth surface provides a simple treatment solution for discoloration on smooth surfaces. The icon (infiltration concept) was designed as a minimally invasive resin infiltration system for treating incipient caries in patients of all ages. 2 the low viscosity unfilled resin,. This clinical study aimed to evaluate the effectiveness of resin infiltration in terms of. Dmg, germany) can be used to treat mild to moderate forms of fluorosis yielding a more homogenous colour of the tooth.
from www.youtube.com
White spot lesions, characterized by opaque enamel discolorations from early carious lesions, fluorosis, or developmental issues, can be. 2 the low viscosity unfilled resin,. Icon smooth surface provides a simple treatment solution for discoloration on smooth surfaces. The icon microinvasive caries infiltration can be used not only to mask cariogenic white spots on smooth surfaces. This clinical study aimed to evaluate the effectiveness of resin infiltration in terms of. Dmg, germany) can be used to treat mild to moderate forms of fluorosis yielding a more homogenous colour of the tooth. This has allowed treatment without any trauma (no use of local anaesthesia and cavity preparation) of numerous lesions in only one. The icon (infiltration concept) was designed as a minimally invasive resin infiltration system for treating incipient caries in patients of all ages.
Icon treatment (Fluorosis) YouTube
Fluorosis Treatment Using Icon Infiltration This has allowed treatment without any trauma (no use of local anaesthesia and cavity preparation) of numerous lesions in only one. The icon (infiltration concept) was designed as a minimally invasive resin infiltration system for treating incipient caries in patients of all ages. White spot lesions, characterized by opaque enamel discolorations from early carious lesions, fluorosis, or developmental issues, can be. This has allowed treatment without any trauma (no use of local anaesthesia and cavity preparation) of numerous lesions in only one. The icon microinvasive caries infiltration can be used not only to mask cariogenic white spots on smooth surfaces. 2 the low viscosity unfilled resin,. Dmg, germany) can be used to treat mild to moderate forms of fluorosis yielding a more homogenous colour of the tooth. Icon smooth surface provides a simple treatment solution for discoloration on smooth surfaces. This clinical study aimed to evaluate the effectiveness of resin infiltration in terms of.
From issuu.com
Icon resin infiltration Issuu Fluorosis Treatment Using Icon Infiltration The icon microinvasive caries infiltration can be used not only to mask cariogenic white spots on smooth surfaces. The icon (infiltration concept) was designed as a minimally invasive resin infiltration system for treating incipient caries in patients of all ages. White spot lesions, characterized by opaque enamel discolorations from early carious lesions, fluorosis, or developmental issues, can be. Icon smooth. Fluorosis Treatment Using Icon Infiltration.
From leicestershiredentalstudio.co.uk
ICON Treatment Leicestershire Dental Studio Fluorosis Treatment Using Icon Infiltration 2 the low viscosity unfilled resin,. This has allowed treatment without any trauma (no use of local anaesthesia and cavity preparation) of numerous lesions in only one. The icon (infiltration concept) was designed as a minimally invasive resin infiltration system for treating incipient caries in patients of all ages. This clinical study aimed to evaluate the effectiveness of resin infiltration. Fluorosis Treatment Using Icon Infiltration.
From www.myzerodonto.com
Fluorosis treatment using icon infiltration MyZerodonto Fluorosis Treatment Using Icon Infiltration This clinical study aimed to evaluate the effectiveness of resin infiltration in terms of. The icon (infiltration concept) was designed as a minimally invasive resin infiltration system for treating incipient caries in patients of all ages. Icon smooth surface provides a simple treatment solution for discoloration on smooth surfaces. This has allowed treatment without any trauma (no use of local. Fluorosis Treatment Using Icon Infiltration.
From www.myzerodonto.com
Fluorosis treatment using icon infiltration MyZerodonto Fluorosis Treatment Using Icon Infiltration Dmg, germany) can be used to treat mild to moderate forms of fluorosis yielding a more homogenous colour of the tooth. This has allowed treatment without any trauma (no use of local anaesthesia and cavity preparation) of numerous lesions in only one. The icon (infiltration concept) was designed as a minimally invasive resin infiltration system for treating incipient caries in. Fluorosis Treatment Using Icon Infiltration.
From reefrecovery.org
Icon Resin Infiltration (ICON) Affiliated Children's Dental Fluorosis Treatment Using Icon Infiltration The icon microinvasive caries infiltration can be used not only to mask cariogenic white spots on smooth surfaces. This has allowed treatment without any trauma (no use of local anaesthesia and cavity preparation) of numerous lesions in only one. Dmg, germany) can be used to treat mild to moderate forms of fluorosis yielding a more homogenous colour of the tooth.. Fluorosis Treatment Using Icon Infiltration.
From beyonddentalclinic.com
Fluorosis Treatments Beyond Dental Care Clinic Fluorosis Treatment Using Icon Infiltration The icon microinvasive caries infiltration can be used not only to mask cariogenic white spots on smooth surfaces. White spot lesions, characterized by opaque enamel discolorations from early carious lesions, fluorosis, or developmental issues, can be. The icon (infiltration concept) was designed as a minimally invasive resin infiltration system for treating incipient caries in patients of all ages. This has. Fluorosis Treatment Using Icon Infiltration.
From www.myzerodonto.com
Fluorosis treatment using icon infiltration MyZerodonto Fluorosis Treatment Using Icon Infiltration Icon smooth surface provides a simple treatment solution for discoloration on smooth surfaces. This clinical study aimed to evaluate the effectiveness of resin infiltration in terms of. 2 the low viscosity unfilled resin,. This has allowed treatment without any trauma (no use of local anaesthesia and cavity preparation) of numerous lesions in only one. White spot lesions, characterized by opaque. Fluorosis Treatment Using Icon Infiltration.
From mamaqaizer.blogspot.com
ICON TREATMENT FOR FLUOROSIS Fluorosis Treatment Using Icon Infiltration 2 the low viscosity unfilled resin,. This has allowed treatment without any trauma (no use of local anaesthesia and cavity preparation) of numerous lesions in only one. Dmg, germany) can be used to treat mild to moderate forms of fluorosis yielding a more homogenous colour of the tooth. The icon (infiltration concept) was designed as a minimally invasive resin infiltration. Fluorosis Treatment Using Icon Infiltration.
From www.santarosapediatricdentistry.com
Icon Resin Infiltration Santa Rosa CA, Santa Rosa Pediatric Dentistry Fluorosis Treatment Using Icon Infiltration Dmg, germany) can be used to treat mild to moderate forms of fluorosis yielding a more homogenous colour of the tooth. The icon (infiltration concept) was designed as a minimally invasive resin infiltration system for treating incipient caries in patients of all ages. Icon smooth surface provides a simple treatment solution for discoloration on smooth surfaces. This clinical study aimed. Fluorosis Treatment Using Icon Infiltration.
From www.myzerodonto.com
Fluorosis treatment using icon infiltration MyZerodonto Fluorosis Treatment Using Icon Infiltration White spot lesions, characterized by opaque enamel discolorations from early carious lesions, fluorosis, or developmental issues, can be. Dmg, germany) can be used to treat mild to moderate forms of fluorosis yielding a more homogenous colour of the tooth. The icon microinvasive caries infiltration can be used not only to mask cariogenic white spots on smooth surfaces. The icon (infiltration. Fluorosis Treatment Using Icon Infiltration.
From iconizer88.blogspot.com
Icon Resin Infiltration For Fluorosis Iconizer Fluorosis Treatment Using Icon Infiltration This has allowed treatment without any trauma (no use of local anaesthesia and cavity preparation) of numerous lesions in only one. Icon smooth surface provides a simple treatment solution for discoloration on smooth surfaces. The icon microinvasive caries infiltration can be used not only to mask cariogenic white spots on smooth surfaces. This clinical study aimed to evaluate the effectiveness. Fluorosis Treatment Using Icon Infiltration.
From www.dentiquesandiego.com
Icon Resin Infiltration Dentique San Diego Fluorosis Treatment Using Icon Infiltration 2 the low viscosity unfilled resin,. The icon (infiltration concept) was designed as a minimally invasive resin infiltration system for treating incipient caries in patients of all ages. The icon microinvasive caries infiltration can be used not only to mask cariogenic white spots on smooth surfaces. This has allowed treatment without any trauma (no use of local anaesthesia and cavity. Fluorosis Treatment Using Icon Infiltration.
From clinicapadros.es
Icon Opalustre elimina manchas fluorosis Clínica Dental Padrós Fluorosis Treatment Using Icon Infiltration Dmg, germany) can be used to treat mild to moderate forms of fluorosis yielding a more homogenous colour of the tooth. The icon microinvasive caries infiltration can be used not only to mask cariogenic white spots on smooth surfaces. 2 the low viscosity unfilled resin,. The icon (infiltration concept) was designed as a minimally invasive resin infiltration system for treating. Fluorosis Treatment Using Icon Infiltration.
From reefrecovery.org
Icon Hartsiinfiltraatio (ICON) Affiliated Children's Dental Fluorosis Treatment Using Icon Infiltration 2 the low viscosity unfilled resin,. The icon (infiltration concept) was designed as a minimally invasive resin infiltration system for treating incipient caries in patients of all ages. This has allowed treatment without any trauma (no use of local anaesthesia and cavity preparation) of numerous lesions in only one. White spot lesions, characterized by opaque enamel discolorations from early carious. Fluorosis Treatment Using Icon Infiltration.
From dmg-connect.com
ICON Treatment Mild to Moderate Fluorosis DMG America Fluorosis Treatment Using Icon Infiltration Dmg, germany) can be used to treat mild to moderate forms of fluorosis yielding a more homogenous colour of the tooth. Icon smooth surface provides a simple treatment solution for discoloration on smooth surfaces. This clinical study aimed to evaluate the effectiveness of resin infiltration in terms of. White spot lesions, characterized by opaque enamel discolorations from early carious lesions,. Fluorosis Treatment Using Icon Infiltration.
From iconizer88.blogspot.com
Icon Resin Infiltration For Fluorosis Iconizer Fluorosis Treatment Using Icon Infiltration 2 the low viscosity unfilled resin,. The icon microinvasive caries infiltration can be used not only to mask cariogenic white spots on smooth surfaces. Icon smooth surface provides a simple treatment solution for discoloration on smooth surfaces. White spot lesions, characterized by opaque enamel discolorations from early carious lesions, fluorosis, or developmental issues, can be. This has allowed treatment without. Fluorosis Treatment Using Icon Infiltration.
From www.youtube.com
White Spots Fluorosis Smile Transformation Before and After Procedure Fluorosis Treatment Using Icon Infiltration Icon smooth surface provides a simple treatment solution for discoloration on smooth surfaces. 2 the low viscosity unfilled resin,. Dmg, germany) can be used to treat mild to moderate forms of fluorosis yielding a more homogenous colour of the tooth. White spot lesions, characterized by opaque enamel discolorations from early carious lesions, fluorosis, or developmental issues, can be. This clinical. Fluorosis Treatment Using Icon Infiltration.
From kidsteethandbraces.com
Icon Resin Infiltration (ICON) Affiliated Children's Dental Specialists Fluorosis Treatment Using Icon Infiltration This has allowed treatment without any trauma (no use of local anaesthesia and cavity preparation) of numerous lesions in only one. Dmg, germany) can be used to treat mild to moderate forms of fluorosis yielding a more homogenous colour of the tooth. Icon smooth surface provides a simple treatment solution for discoloration on smooth surfaces. This clinical study aimed to. Fluorosis Treatment Using Icon Infiltration.
From belterrakidsteeth.com
ICON Therapy Belterra Kids Teeth Belterra, TX Fluorosis Treatment Using Icon Infiltration Dmg, germany) can be used to treat mild to moderate forms of fluorosis yielding a more homogenous colour of the tooth. White spot lesions, characterized by opaque enamel discolorations from early carious lesions, fluorosis, or developmental issues, can be. 2 the low viscosity unfilled resin,. This has allowed treatment without any trauma (no use of local anaesthesia and cavity preparation). Fluorosis Treatment Using Icon Infiltration.
From www.youtube.com
Icon treatment (Fluorosis) YouTube Fluorosis Treatment Using Icon Infiltration White spot lesions, characterized by opaque enamel discolorations from early carious lesions, fluorosis, or developmental issues, can be. This has allowed treatment without any trauma (no use of local anaesthesia and cavity preparation) of numerous lesions in only one. This clinical study aimed to evaluate the effectiveness of resin infiltration in terms of. 2 the low viscosity unfilled resin,. Dmg,. Fluorosis Treatment Using Icon Infiltration.
From www.etxortho.com
ICON Resin Infiltration Mack & Hansen Orthodontics Longview TX Fluorosis Treatment Using Icon Infiltration Icon smooth surface provides a simple treatment solution for discoloration on smooth surfaces. The icon microinvasive caries infiltration can be used not only to mask cariogenic white spots on smooth surfaces. This has allowed treatment without any trauma (no use of local anaesthesia and cavity preparation) of numerous lesions in only one. The icon (infiltration concept) was designed as a. Fluorosis Treatment Using Icon Infiltration.
From www.mdpi.com
Medicina Free FullText Resin Infiltration in Dental Fluorosis Fluorosis Treatment Using Icon Infiltration Dmg, germany) can be used to treat mild to moderate forms of fluorosis yielding a more homogenous colour of the tooth. Icon smooth surface provides a simple treatment solution for discoloration on smooth surfaces. White spot lesions, characterized by opaque enamel discolorations from early carious lesions, fluorosis, or developmental issues, can be. This has allowed treatment without any trauma (no. Fluorosis Treatment Using Icon Infiltration.
From www.myzerodonto.com
Fluorosis treatment using icon infiltration MyZerodonto Fluorosis Treatment Using Icon Infiltration The icon (infiltration concept) was designed as a minimally invasive resin infiltration system for treating incipient caries in patients of all ages. Icon smooth surface provides a simple treatment solution for discoloration on smooth surfaces. Dmg, germany) can be used to treat mild to moderate forms of fluorosis yielding a more homogenous colour of the tooth. The icon microinvasive caries. Fluorosis Treatment Using Icon Infiltration.
From smiledentallounge.com
ICON Resin Infiltration The Smile Dental Lounge Dental Clinic Johor Fluorosis Treatment Using Icon Infiltration Dmg, germany) can be used to treat mild to moderate forms of fluorosis yielding a more homogenous colour of the tooth. White spot lesions, characterized by opaque enamel discolorations from early carious lesions, fluorosis, or developmental issues, can be. Icon smooth surface provides a simple treatment solution for discoloration on smooth surfaces. The icon microinvasive caries infiltration can be used. Fluorosis Treatment Using Icon Infiltration.
From 123rpd.com
Icon Resin Infiltration • Amesbury, MA • Riverside Pediatric Dentistry Fluorosis Treatment Using Icon Infiltration Dmg, germany) can be used to treat mild to moderate forms of fluorosis yielding a more homogenous colour of the tooth. Icon smooth surface provides a simple treatment solution for discoloration on smooth surfaces. This clinical study aimed to evaluate the effectiveness of resin infiltration in terms of. The icon microinvasive caries infiltration can be used not only to mask. Fluorosis Treatment Using Icon Infiltration.
From www.tv.odontologiavirtual.com
DENTAL FLUOROSIS Treatment using Icon Infiltration Step by Step Fluorosis Treatment Using Icon Infiltration The icon (infiltration concept) was designed as a minimally invasive resin infiltration system for treating incipient caries in patients of all ages. White spot lesions, characterized by opaque enamel discolorations from early carious lesions, fluorosis, or developmental issues, can be. 2 the low viscosity unfilled resin,. This has allowed treatment without any trauma (no use of local anaesthesia and cavity. Fluorosis Treatment Using Icon Infiltration.
From www.styleitaliano.org
Managing fluorosis with minimally invasive techniques Fluorosis Treatment Using Icon Infiltration Dmg, germany) can be used to treat mild to moderate forms of fluorosis yielding a more homogenous colour of the tooth. This clinical study aimed to evaluate the effectiveness of resin infiltration in terms of. 2 the low viscosity unfilled resin,. The icon microinvasive caries infiltration can be used not only to mask cariogenic white spots on smooth surfaces. Icon. Fluorosis Treatment Using Icon Infiltration.
From casereports.bmj.com
Efficacy of 4year treatment of icon infiltration resin on Fluorosis Treatment Using Icon Infiltration 2 the low viscosity unfilled resin,. This clinical study aimed to evaluate the effectiveness of resin infiltration in terms of. The icon microinvasive caries infiltration can be used not only to mask cariogenic white spots on smooth surfaces. The icon (infiltration concept) was designed as a minimally invasive resin infiltration system for treating incipient caries in patients of all ages.. Fluorosis Treatment Using Icon Infiltration.
From www.myzerodonto.com
Fluorosis treatment using icon infiltration MyZerodonto Fluorosis Treatment Using Icon Infiltration Icon smooth surface provides a simple treatment solution for discoloration on smooth surfaces. The icon microinvasive caries infiltration can be used not only to mask cariogenic white spots on smooth surfaces. This clinical study aimed to evaluate the effectiveness of resin infiltration in terms of. 2 the low viscosity unfilled resin,. This has allowed treatment without any trauma (no use. Fluorosis Treatment Using Icon Infiltration.
From www.youtube.com
Fluorosis treatment using Icon infiltration, step by step 1 YouTube Fluorosis Treatment Using Icon Infiltration 2 the low viscosity unfilled resin,. This clinical study aimed to evaluate the effectiveness of resin infiltration in terms of. This has allowed treatment without any trauma (no use of local anaesthesia and cavity preparation) of numerous lesions in only one. The icon (infiltration concept) was designed as a minimally invasive resin infiltration system for treating incipient caries in patients. Fluorosis Treatment Using Icon Infiltration.
From www.semanticscholar.org
Resin Infiltration for Aesthetic Improvement of Mild to Moderate Fluorosis Treatment Using Icon Infiltration Icon smooth surface provides a simple treatment solution for discoloration on smooth surfaces. The icon microinvasive caries infiltration can be used not only to mask cariogenic white spots on smooth surfaces. Dmg, germany) can be used to treat mild to moderate forms of fluorosis yielding a more homogenous colour of the tooth. This clinical study aimed to evaluate the effectiveness. Fluorosis Treatment Using Icon Infiltration.
From vectorified.com
Icon Dental Treatment at Collection of Icon Dental Fluorosis Treatment Using Icon Infiltration White spot lesions, characterized by opaque enamel discolorations from early carious lesions, fluorosis, or developmental issues, can be. The icon (infiltration concept) was designed as a minimally invasive resin infiltration system for treating incipient caries in patients of all ages. This clinical study aimed to evaluate the effectiveness of resin infiltration in terms of. The icon microinvasive caries infiltration can. Fluorosis Treatment Using Icon Infiltration.
From www.youtube.com
Tratamiento de la fluorosis mediante infiltración ICON YouTube Fluorosis Treatment Using Icon Infiltration White spot lesions, characterized by opaque enamel discolorations from early carious lesions, fluorosis, or developmental issues, can be. 2 the low viscosity unfilled resin,. Dmg, germany) can be used to treat mild to moderate forms of fluorosis yielding a more homogenous colour of the tooth. This has allowed treatment without any trauma (no use of local anaesthesia and cavity preparation). Fluorosis Treatment Using Icon Infiltration.
From www.youtube.com
Fluorosis treatment using Icon infiltration, step by step YouTube Fluorosis Treatment Using Icon Infiltration White spot lesions, characterized by opaque enamel discolorations from early carious lesions, fluorosis, or developmental issues, can be. This has allowed treatment without any trauma (no use of local anaesthesia and cavity preparation) of numerous lesions in only one. Dmg, germany) can be used to treat mild to moderate forms of fluorosis yielding a more homogenous colour of the tooth.. Fluorosis Treatment Using Icon Infiltration.
From www.semanticscholar.org
Figure 6 from Treatment of Fluorosis Spots Using a Resin Infiltration Fluorosis Treatment Using Icon Infiltration This clinical study aimed to evaluate the effectiveness of resin infiltration in terms of. Dmg, germany) can be used to treat mild to moderate forms of fluorosis yielding a more homogenous colour of the tooth. Icon smooth surface provides a simple treatment solution for discoloration on smooth surfaces. 2 the low viscosity unfilled resin,. White spot lesions, characterized by opaque. Fluorosis Treatment Using Icon Infiltration.