Standstill Disease . The term sinoatrial disease is used interchangeably with sick sinus syndrome and describes a series of abnormalities that can result in profound sinus bradycardia, sinus pauses, sinus arrest, sinoatrial nodal exit block, and chronotropic incompetence, defined as inappropriate responses to physiological demands during exercise or stress. Atrial standstill is a rare but serious condition, since the longstanding profound bradycardia and the loss of atrial function can. Atrial standstill is a rare cardiac rhythm disease with a few familial and sporadic cases described to date that is characterized by a transient or permanent. Atrial standstill is a rare condition in which the atrium loses its mechanical contraction with or without losing the electrical conduction. It is well documented that some patients with a. A disease characterized by abnormal sinus node functioning with resultant bradycardia and cardiac insufficiency. Disturbed secretion of atrial natriuretic peptide in patients with persistent atrial standstill:
from www.cureus.com
Atrial standstill is a rare condition in which the atrium loses its mechanical contraction with or without losing the electrical conduction. It is well documented that some patients with a. Atrial standstill is a rare cardiac rhythm disease with a few familial and sporadic cases described to date that is characterized by a transient or permanent. Atrial standstill is a rare but serious condition, since the longstanding profound bradycardia and the loss of atrial function can. Disturbed secretion of atrial natriuretic peptide in patients with persistent atrial standstill: A disease characterized by abnormal sinus node functioning with resultant bradycardia and cardiac insufficiency. The term sinoatrial disease is used interchangeably with sick sinus syndrome and describes a series of abnormalities that can result in profound sinus bradycardia, sinus pauses, sinus arrest, sinoatrial nodal exit block, and chronotropic incompetence, defined as inappropriate responses to physiological demands during exercise or stress.
Cureus Persistent Atrium Standstill Post Atrial Fibrillation Ablation
Standstill Disease Atrial standstill is a rare condition in which the atrium loses its mechanical contraction with or without losing the electrical conduction. A disease characterized by abnormal sinus node functioning with resultant bradycardia and cardiac insufficiency. The term sinoatrial disease is used interchangeably with sick sinus syndrome and describes a series of abnormalities that can result in profound sinus bradycardia, sinus pauses, sinus arrest, sinoatrial nodal exit block, and chronotropic incompetence, defined as inappropriate responses to physiological demands during exercise or stress. It is well documented that some patients with a. Atrial standstill is a rare condition in which the atrium loses its mechanical contraction with or without losing the electrical conduction. Disturbed secretion of atrial natriuretic peptide in patients with persistent atrial standstill: Atrial standstill is a rare cardiac rhythm disease with a few familial and sporadic cases described to date that is characterized by a transient or permanent. Atrial standstill is a rare but serious condition, since the longstanding profound bradycardia and the loss of atrial function can.
From checkrare.com
Still's Disease (Adult Onset) CheckRare Standstill Disease Atrial standstill is a rare but serious condition, since the longstanding profound bradycardia and the loss of atrial function can. Atrial standstill is a rare cardiac rhythm disease with a few familial and sporadic cases described to date that is characterized by a transient or permanent. Atrial standstill is a rare condition in which the atrium loses its mechanical contraction. Standstill Disease.
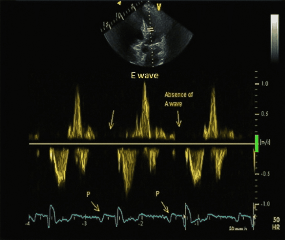
From docslib.org
Left Atrial Standstill with Paroxysmal Atrial Fibrillation And DocsLib Standstill Disease Atrial standstill is a rare condition in which the atrium loses its mechanical contraction with or without losing the electrical conduction. Atrial standstill is a rare but serious condition, since the longstanding profound bradycardia and the loss of atrial function can. It is well documented that some patients with a. A disease characterized by abnormal sinus node functioning with resultant. Standstill Disease.
From slideplayer.com
Quarantine and Movement Control ppt download Standstill Disease It is well documented that some patients with a. The term sinoatrial disease is used interchangeably with sick sinus syndrome and describes a series of abnormalities that can result in profound sinus bradycardia, sinus pauses, sinus arrest, sinoatrial nodal exit block, and chronotropic incompetence, defined as inappropriate responses to physiological demands during exercise or stress. A disease characterized by abnormal. Standstill Disease.
From rebelem.com
Cardiac Standstill REBEL EM Emergency Medicine Blog Standstill Disease Atrial standstill is a rare but serious condition, since the longstanding profound bradycardia and the loss of atrial function can. The term sinoatrial disease is used interchangeably with sick sinus syndrome and describes a series of abnormalities that can result in profound sinus bradycardia, sinus pauses, sinus arrest, sinoatrial nodal exit block, and chronotropic incompetence, defined as inappropriate responses to. Standstill Disease.
From jetem.org
Paroxysmal Ventricular Standstill—A Case Report of all Ps and no QRS in Standstill Disease The term sinoatrial disease is used interchangeably with sick sinus syndrome and describes a series of abnormalities that can result in profound sinus bradycardia, sinus pauses, sinus arrest, sinoatrial nodal exit block, and chronotropic incompetence, defined as inappropriate responses to physiological demands during exercise or stress. Atrial standstill is a rare condition in which the atrium loses its mechanical contraction. Standstill Disease.
From twitter.com
Agriculture Victoria on Twitter "Would you know what to do during a Standstill Disease Disturbed secretion of atrial natriuretic peptide in patients with persistent atrial standstill: A disease characterized by abnormal sinus node functioning with resultant bradycardia and cardiac insufficiency. Atrial standstill is a rare but serious condition, since the longstanding profound bradycardia and the loss of atrial function can. The term sinoatrial disease is used interchangeably with sick sinus syndrome and describes a. Standstill Disease.
From dokumen.tips
(PDF) Persistent atrial standstill in familial Ebstein's anomaly Heart Standstill Disease Atrial standstill is a rare but serious condition, since the longstanding profound bradycardia and the loss of atrial function can. Atrial standstill is a rare condition in which the atrium loses its mechanical contraction with or without losing the electrical conduction. A disease characterized by abnormal sinus node functioning with resultant bradycardia and cardiac insufficiency. Disturbed secretion of atrial natriuretic. Standstill Disease.
From biotraininghub.com.au
Livestock standstill for footandmouth disease National Biosecurity Standstill Disease Atrial standstill is a rare condition in which the atrium loses its mechanical contraction with or without losing the electrical conduction. Disturbed secretion of atrial natriuretic peptide in patients with persistent atrial standstill: Atrial standstill is a rare but serious condition, since the longstanding profound bradycardia and the loss of atrial function can. The term sinoatrial disease is used interchangeably. Standstill Disease.
From www.cureus.com
Cureus Persistent Atrium Standstill Post Atrial Fibrillation Ablation Standstill Disease It is well documented that some patients with a. Atrial standstill is a rare cardiac rhythm disease with a few familial and sporadic cases described to date that is characterized by a transient or permanent. The term sinoatrial disease is used interchangeably with sick sinus syndrome and describes a series of abnormalities that can result in profound sinus bradycardia, sinus. Standstill Disease.
From heart.bmj.com
Adenosine induced transient cardiac standstill in catheter Standstill Disease Atrial standstill is a rare but serious condition, since the longstanding profound bradycardia and the loss of atrial function can. It is well documented that some patients with a. Atrial standstill is a rare condition in which the atrium loses its mechanical contraction with or without losing the electrical conduction. A disease characterized by abnormal sinus node functioning with resultant. Standstill Disease.
From uniqamedical.com
StandTall™ Uniqa Medical Standstill Disease Disturbed secretion of atrial natriuretic peptide in patients with persistent atrial standstill: Atrial standstill is a rare condition in which the atrium loses its mechanical contraction with or without losing the electrical conduction. Atrial standstill is a rare but serious condition, since the longstanding profound bradycardia and the loss of atrial function can. The term sinoatrial disease is used interchangeably. Standstill Disease.
From www.researchgate.net
(PDF) Atrial standstill in sinus node disease due to extensive atrial Standstill Disease The term sinoatrial disease is used interchangeably with sick sinus syndrome and describes a series of abnormalities that can result in profound sinus bradycardia, sinus pauses, sinus arrest, sinoatrial nodal exit block, and chronotropic incompetence, defined as inappropriate responses to physiological demands during exercise or stress. Atrial standstill is a rare condition in which the atrium loses its mechanical contraction. Standstill Disease.
From www.youtube.com
Standstill STANDSTILL definition YouTube Standstill Disease It is well documented that some patients with a. The term sinoatrial disease is used interchangeably with sick sinus syndrome and describes a series of abnormalities that can result in profound sinus bradycardia, sinus pauses, sinus arrest, sinoatrial nodal exit block, and chronotropic incompetence, defined as inappropriate responses to physiological demands during exercise or stress. Atrial standstill is a rare. Standstill Disease.
From www.cureus.com
Cureus Persistent Atrium Standstill Post Atrial Fibrillation Ablation Standstill Disease Atrial standstill is a rare condition in which the atrium loses its mechanical contraction with or without losing the electrical conduction. It is well documented that some patients with a. The term sinoatrial disease is used interchangeably with sick sinus syndrome and describes a series of abnormalities that can result in profound sinus bradycardia, sinus pauses, sinus arrest, sinoatrial nodal. Standstill Disease.
From www.prepladder.com
Adult Still Disease Causes, Symptoms, Risk Factors, Diagnosis Standstill Disease Disturbed secretion of atrial natriuretic peptide in patients with persistent atrial standstill: Atrial standstill is a rare but serious condition, since the longstanding profound bradycardia and the loss of atrial function can. It is well documented that some patients with a. Atrial standstill is a rare cardiac rhythm disease with a few familial and sporadic cases described to date that. Standstill Disease.
From medium.com
[BOOKS] When Life Comes to a Standstill The Surgeon Who Touches the Standstill Disease A disease characterized by abnormal sinus node functioning with resultant bradycardia and cardiac insufficiency. Disturbed secretion of atrial natriuretic peptide in patients with persistent atrial standstill: The term sinoatrial disease is used interchangeably with sick sinus syndrome and describes a series of abnormalities that can result in profound sinus bradycardia, sinus pauses, sinus arrest, sinoatrial nodal exit block, and chronotropic. Standstill Disease.
From www.superfastcpa.com
What is a Standstill Agreement? Standstill Disease A disease characterized by abnormal sinus node functioning with resultant bradycardia and cardiac insufficiency. Atrial standstill is a rare but serious condition, since the longstanding profound bradycardia and the loss of atrial function can. The term sinoatrial disease is used interchangeably with sick sinus syndrome and describes a series of abnormalities that can result in profound sinus bradycardia, sinus pauses,. Standstill Disease.
From scroll.in
Covid19 In another century, another disease had brought New York to a Standstill Disease The term sinoatrial disease is used interchangeably with sick sinus syndrome and describes a series of abnormalities that can result in profound sinus bradycardia, sinus pauses, sinus arrest, sinoatrial nodal exit block, and chronotropic incompetence, defined as inappropriate responses to physiological demands during exercise or stress. Disturbed secretion of atrial natriuretic peptide in patients with persistent atrial standstill: Atrial standstill. Standstill Disease.
From www.researchgate.net
(PDF) Asymptomatic paroxysmal ventricular standstill in an elderly male Standstill Disease Atrial standstill is a rare but serious condition, since the longstanding profound bradycardia and the loss of atrial function can. A disease characterized by abnormal sinus node functioning with resultant bradycardia and cardiac insufficiency. The term sinoatrial disease is used interchangeably with sick sinus syndrome and describes a series of abnormalities that can result in profound sinus bradycardia, sinus pauses,. Standstill Disease.
From www.semanticscholar.org
Figure 1 from Ventricular Standstill Following Intravenous Erythromycin Standstill Disease It is well documented that some patients with a. The term sinoatrial disease is used interchangeably with sick sinus syndrome and describes a series of abnormalities that can result in profound sinus bradycardia, sinus pauses, sinus arrest, sinoatrial nodal exit block, and chronotropic incompetence, defined as inappropriate responses to physiological demands during exercise or stress. Atrial standstill is a rare. Standstill Disease.
From www.youtube.com
Standstill meaning of Standstill YouTube Standstill Disease The term sinoatrial disease is used interchangeably with sick sinus syndrome and describes a series of abnormalities that can result in profound sinus bradycardia, sinus pauses, sinus arrest, sinoatrial nodal exit block, and chronotropic incompetence, defined as inappropriate responses to physiological demands during exercise or stress. Atrial standstill is a rare but serious condition, since the longstanding profound bradycardia and. Standstill Disease.
From www.semanticscholar.org
Figure 1 from Atrial standstill treated with implantation of permanent Standstill Disease The term sinoatrial disease is used interchangeably with sick sinus syndrome and describes a series of abnormalities that can result in profound sinus bradycardia, sinus pauses, sinus arrest, sinoatrial nodal exit block, and chronotropic incompetence, defined as inappropriate responses to physiological demands during exercise or stress. Disturbed secretion of atrial natriuretic peptide in patients with persistent atrial standstill: A disease. Standstill Disease.
From www.researchgate.net
(PDF) How to Scientific Standstill for Very Rare Diseases Standstill Disease Atrial standstill is a rare but serious condition, since the longstanding profound bradycardia and the loss of atrial function can. Atrial standstill is a rare condition in which the atrium loses its mechanical contraction with or without losing the electrical conduction. It is well documented that some patients with a. Disturbed secretion of atrial natriuretic peptide in patients with persistent. Standstill Disease.
From www.sobi.com
Still’s disease AOSD, SJIA Sobi Standstill Disease Atrial standstill is a rare but serious condition, since the longstanding profound bradycardia and the loss of atrial function can. A disease characterized by abnormal sinus node functioning with resultant bradycardia and cardiac insufficiency. It is well documented that some patients with a. The term sinoatrial disease is used interchangeably with sick sinus syndrome and describes a series of abnormalities. Standstill Disease.
From www.concern.net
World Malaria Day 2024 Progress in reducing disease is 'at a Standstill Disease Atrial standstill is a rare but serious condition, since the longstanding profound bradycardia and the loss of atrial function can. It is well documented that some patients with a. Disturbed secretion of atrial natriuretic peptide in patients with persistent atrial standstill: Atrial standstill is a rare cardiac rhythm disease with a few familial and sporadic cases described to date that. Standstill Disease.
From www.researchgate.net
(PDF) Atrial standstill in sinus node disease due to extensive atrial Standstill Disease A disease characterized by abnormal sinus node functioning with resultant bradycardia and cardiac insufficiency. Atrial standstill is a rare condition in which the atrium loses its mechanical contraction with or without losing the electrical conduction. It is well documented that some patients with a. Atrial standstill is a rare cardiac rhythm disease with a few familial and sporadic cases described. Standstill Disease.
From www.verywellhealth.com
Still’s Disease Symptoms, Causes, Diagnosis, Treatment Standstill Disease The term sinoatrial disease is used interchangeably with sick sinus syndrome and describes a series of abnormalities that can result in profound sinus bradycardia, sinus pauses, sinus arrest, sinoatrial nodal exit block, and chronotropic incompetence, defined as inappropriate responses to physiological demands during exercise or stress. Atrial standstill is a rare condition in which the atrium loses its mechanical contraction. Standstill Disease.
From www.youtube.com
Irfan Masih's life has come to a standstill due to lung disease. Let's Standstill Disease Disturbed secretion of atrial natriuretic peptide in patients with persistent atrial standstill: Atrial standstill is a rare cardiac rhythm disease with a few familial and sporadic cases described to date that is characterized by a transient or permanent. It is well documented that some patients with a. The term sinoatrial disease is used interchangeably with sick sinus syndrome and describes. Standstill Disease.
From www.researchgate.net
ECG recording showing ventricular standstill (arrow) with the patient Standstill Disease A disease characterized by abnormal sinus node functioning with resultant bradycardia and cardiac insufficiency. Atrial standstill is a rare cardiac rhythm disease with a few familial and sporadic cases described to date that is characterized by a transient or permanent. The term sinoatrial disease is used interchangeably with sick sinus syndrome and describes a series of abnormalities that can result. Standstill Disease.
From www.stle.org
Feature Standstill Disease It is well documented that some patients with a. Atrial standstill is a rare but serious condition, since the longstanding profound bradycardia and the loss of atrial function can. The term sinoatrial disease is used interchangeably with sick sinus syndrome and describes a series of abnormalities that can result in profound sinus bradycardia, sinus pauses, sinus arrest, sinoatrial nodal exit. Standstill Disease.
From studylib.net
paroxysmal ventricular standstill Standstill Disease The term sinoatrial disease is used interchangeably with sick sinus syndrome and describes a series of abnormalities that can result in profound sinus bradycardia, sinus pauses, sinus arrest, sinoatrial nodal exit block, and chronotropic incompetence, defined as inappropriate responses to physiological demands during exercise or stress. A disease characterized by abnormal sinus node functioning with resultant bradycardia and cardiac insufficiency.. Standstill Disease.
From rk.md
Cardiac Standstill POCUS RK.MD Standstill Disease Atrial standstill is a rare but serious condition, since the longstanding profound bradycardia and the loss of atrial function can. Atrial standstill is a rare condition in which the atrium loses its mechanical contraction with or without losing the electrical conduction. It is well documented that some patients with a. Atrial standstill is a rare cardiac rhythm disease with a. Standstill Disease.
From www.craiyon.com
Depiction of standstill in time resulting from war on Craiyon Standstill Disease A disease characterized by abnormal sinus node functioning with resultant bradycardia and cardiac insufficiency. It is well documented that some patients with a. Atrial standstill is a rare condition in which the atrium loses its mechanical contraction with or without losing the electrical conduction. The term sinoatrial disease is used interchangeably with sick sinus syndrome and describes a series of. Standstill Disease.
From www.sobi.com
Still’s disease rare disorder hard to diagnose Sobi Standstill Disease The term sinoatrial disease is used interchangeably with sick sinus syndrome and describes a series of abnormalities that can result in profound sinus bradycardia, sinus pauses, sinus arrest, sinoatrial nodal exit block, and chronotropic incompetence, defined as inappropriate responses to physiological demands during exercise or stress. It is well documented that some patients with a. Atrial standstill is a rare. Standstill Disease.
From www.queenslandcountrylife.com.au
Disease 'outbreak' tests stock standstill plan Queensland Country Standstill Disease Atrial standstill is a rare cardiac rhythm disease with a few familial and sporadic cases described to date that is characterized by a transient or permanent. Disturbed secretion of atrial natriuretic peptide in patients with persistent atrial standstill: Atrial standstill is a rare but serious condition, since the longstanding profound bradycardia and the loss of atrial function can. A disease. Standstill Disease.