Pain After Ct Guided Biopsy . When the local anaesthetic is injected it stings a little to start with but then the area should become. Pain resulting from the procedure usually resolves within a few days. It typically takes several days. Normal activity can typically be resumed the day following the procedure. You must have a driver with you on the day of your biopsy or the biopsy will not be done. Most biopsies do not hurt. It includes how to prepare for it, what to expect during and after.
from radiologykey.com
When the local anaesthetic is injected it stings a little to start with but then the area should become. Normal activity can typically be resumed the day following the procedure. Pain resulting from the procedure usually resolves within a few days. It typically takes several days. Most biopsies do not hurt. You must have a driver with you on the day of your biopsy or the biopsy will not be done. It includes how to prepare for it, what to expect during and after.
CTGuided Biopsy Radiology Key
Pain After Ct Guided Biopsy Pain resulting from the procedure usually resolves within a few days. Pain resulting from the procedure usually resolves within a few days. You must have a driver with you on the day of your biopsy or the biopsy will not be done. It typically takes several days. Most biopsies do not hurt. When the local anaesthetic is injected it stings a little to start with but then the area should become. Normal activity can typically be resumed the day following the procedure. It includes how to prepare for it, what to expect during and after.
From interventionalradiology.co.in
USG & CT GUIDED FNAC & BIOPSY Interventional radiology Pain After Ct Guided Biopsy Most biopsies do not hurt. When the local anaesthetic is injected it stings a little to start with but then the area should become. It typically takes several days. Normal activity can typically be resumed the day following the procedure. You must have a driver with you on the day of your biopsy or the biopsy will not be done.. Pain After Ct Guided Biopsy.
From divinediagnostichub.com
USGGuidedBiopsy Divine Diagnostic Hub Pain After Ct Guided Biopsy It includes how to prepare for it, what to expect during and after. You must have a driver with you on the day of your biopsy or the biopsy will not be done. It typically takes several days. Most biopsies do not hurt. Pain resulting from the procedure usually resolves within a few days. When the local anaesthetic is injected. Pain After Ct Guided Biopsy.
From www.svuhradiology.ie
Imageguided Biopsy Radiology at St. Vincent's University Hospital Pain After Ct Guided Biopsy It typically takes several days. Pain resulting from the procedure usually resolves within a few days. Normal activity can typically be resumed the day following the procedure. Most biopsies do not hurt. You must have a driver with you on the day of your biopsy or the biopsy will not be done. It includes how to prepare for it, what. Pain After Ct Guided Biopsy.
From www.archbronconeumol.org
Cerebral Air Embolism After CTguided Lung Biopsy A Case of Early Pain After Ct Guided Biopsy It includes how to prepare for it, what to expect during and after. Most biopsies do not hurt. Pain resulting from the procedure usually resolves within a few days. Normal activity can typically be resumed the day following the procedure. It typically takes several days. When the local anaesthetic is injected it stings a little to start with but then. Pain After Ct Guided Biopsy.
From mdct.net
CTguided biopsy of the abdomen Pain After Ct Guided Biopsy Pain resulting from the procedure usually resolves within a few days. Most biopsies do not hurt. When the local anaesthetic is injected it stings a little to start with but then the area should become. It typically takes several days. Normal activity can typically be resumed the day following the procedure. You must have a driver with you on the. Pain After Ct Guided Biopsy.
From www.youtube.com
Percutaneous CTguided Lung Biopsy Procedure Technique YouTube Pain After Ct Guided Biopsy It typically takes several days. Normal activity can typically be resumed the day following the procedure. Most biopsies do not hurt. It includes how to prepare for it, what to expect during and after. You must have a driver with you on the day of your biopsy or the biopsy will not be done. When the local anaesthetic is injected. Pain After Ct Guided Biopsy.
From www.svuhradiology.ie
Imageguided Biopsy Radiology at St. Vincent's University Hospital Pain After Ct Guided Biopsy When the local anaesthetic is injected it stings a little to start with but then the area should become. It typically takes several days. You must have a driver with you on the day of your biopsy or the biopsy will not be done. Pain resulting from the procedure usually resolves within a few days. It includes how to prepare. Pain After Ct Guided Biopsy.
From www.researchgate.net
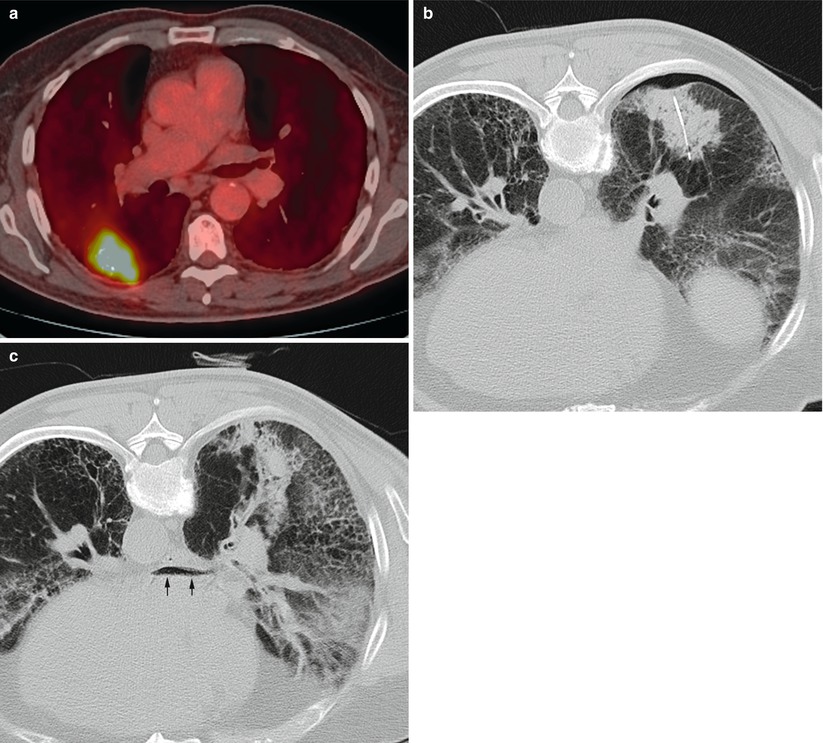
Images of CTguided biopsy. (A, B) The lesion is located in the Pain After Ct Guided Biopsy Most biopsies do not hurt. It includes how to prepare for it, what to expect during and after. Pain resulting from the procedure usually resolves within a few days. Normal activity can typically be resumed the day following the procedure. It typically takes several days. You must have a driver with you on the day of your biopsy or the. Pain After Ct Guided Biopsy.
From radiologykey.com
CTGuided Biopsy Radiology Key Pain After Ct Guided Biopsy When the local anaesthetic is injected it stings a little to start with but then the area should become. It typically takes several days. Normal activity can typically be resumed the day following the procedure. It includes how to prepare for it, what to expect during and after. Pain resulting from the procedure usually resolves within a few days. Most. Pain After Ct Guided Biopsy.
From finestdessert.com
Ct Guided Lung Biopsy Guidelines Pain After Ct Guided Biopsy It includes how to prepare for it, what to expect during and after. Normal activity can typically be resumed the day following the procedure. It typically takes several days. When the local anaesthetic is injected it stings a little to start with but then the area should become. Most biopsies do not hurt. Pain resulting from the procedure usually resolves. Pain After Ct Guided Biopsy.
From www.youtube.com
Guided biopsies of lung mass using both automatic and manual trucut Pain After Ct Guided Biopsy It includes how to prepare for it, what to expect during and after. It typically takes several days. Most biopsies do not hurt. You must have a driver with you on the day of your biopsy or the biopsy will not be done. Pain resulting from the procedure usually resolves within a few days. Normal activity can typically be resumed. Pain After Ct Guided Biopsy.
From www.siemens-healthineers.com
CTguided interventional procedures on SOMATOM go.platform Siemens Pain After Ct Guided Biopsy Pain resulting from the procedure usually resolves within a few days. It typically takes several days. When the local anaesthetic is injected it stings a little to start with but then the area should become. Most biopsies do not hurt. It includes how to prepare for it, what to expect during and after. You must have a driver with you. Pain After Ct Guided Biopsy.
From www.aspergillus.org.uk
Evaluating CT guided lung biopsies for diagnosing fungal infection Pain After Ct Guided Biopsy It includes how to prepare for it, what to expect during and after. Normal activity can typically be resumed the day following the procedure. You must have a driver with you on the day of your biopsy or the biopsy will not be done. Pain resulting from the procedure usually resolves within a few days. When the local anaesthetic is. Pain After Ct Guided Biopsy.
From www.ajronline.org
ImagingGuided Percutaneous Renal Biopsy Rationale and Approach AJR Pain After Ct Guided Biopsy Pain resulting from the procedure usually resolves within a few days. Most biopsies do not hurt. It includes how to prepare for it, what to expect during and after. When the local anaesthetic is injected it stings a little to start with but then the area should become. Normal activity can typically be resumed the day following the procedure. It. Pain After Ct Guided Biopsy.
From www.youtube.com
TRANS THORACIC CORE NEEDLE BIOPSY BY CHEST CT SCAN GUIDED YouTube Pain After Ct Guided Biopsy Pain resulting from the procedure usually resolves within a few days. When the local anaesthetic is injected it stings a little to start with but then the area should become. Normal activity can typically be resumed the day following the procedure. It includes how to prepare for it, what to expect during and after. You must have a driver with. Pain After Ct Guided Biopsy.
From www.mdpi.com
Diagnostics Free FullText CTGuided Transthoracic Biopsy of Pain After Ct Guided Biopsy When the local anaesthetic is injected it stings a little to start with but then the area should become. Pain resulting from the procedure usually resolves within a few days. You must have a driver with you on the day of your biopsy or the biopsy will not be done. Normal activity can typically be resumed the day following the. Pain After Ct Guided Biopsy.
From www.ctbiopsy.com
Lecture Spine Biopsies Tips and Tricks Pain After Ct Guided Biopsy It typically takes several days. Most biopsies do not hurt. When the local anaesthetic is injected it stings a little to start with but then the area should become. You must have a driver with you on the day of your biopsy or the biopsy will not be done. It includes how to prepare for it, what to expect during. Pain After Ct Guided Biopsy.
From mungfali.com
CT Guided Biopsy Procedure Pain After Ct Guided Biopsy When the local anaesthetic is injected it stings a little to start with but then the area should become. It includes how to prepare for it, what to expect during and after. Most biopsies do not hurt. It typically takes several days. Normal activity can typically be resumed the day following the procedure. Pain resulting from the procedure usually resolves. Pain After Ct Guided Biopsy.
From www.researchgate.net
CT guided transthoracic needle biopsy from a lesion in left lungs upper Pain After Ct Guided Biopsy Normal activity can typically be resumed the day following the procedure. You must have a driver with you on the day of your biopsy or the biopsy will not be done. Pain resulting from the procedure usually resolves within a few days. It typically takes several days. It includes how to prepare for it, what to expect during and after.. Pain After Ct Guided Biopsy.
From www.sarcoma.md
Biopsy — Specialists Pain After Ct Guided Biopsy It typically takes several days. When the local anaesthetic is injected it stings a little to start with but then the area should become. Most biopsies do not hurt. You must have a driver with you on the day of your biopsy or the biopsy will not be done. Normal activity can typically be resumed the day following the procedure.. Pain After Ct Guided Biopsy.
From roseimagingspecialists.com
MRIGuided Breast Biopsy Rose Imaging Specialists Pain After Ct Guided Biopsy Most biopsies do not hurt. You must have a driver with you on the day of your biopsy or the biopsy will not be done. When the local anaesthetic is injected it stings a little to start with but then the area should become. It includes how to prepare for it, what to expect during and after. Pain resulting from. Pain After Ct Guided Biopsy.
From radiologykey.com
CTGuided Biopsy Radiology Key Pain After Ct Guided Biopsy Most biopsies do not hurt. Normal activity can typically be resumed the day following the procedure. You must have a driver with you on the day of your biopsy or the biopsy will not be done. It includes how to prepare for it, what to expect during and after. Pain resulting from the procedure usually resolves within a few days.. Pain After Ct Guided Biopsy.
From pubs.rsna.org
Frequency and Severity of Pulmonary Hemorrhage in Patients Undergoing Pain After Ct Guided Biopsy You must have a driver with you on the day of your biopsy or the biopsy will not be done. It includes how to prepare for it, what to expect during and after. When the local anaesthetic is injected it stings a little to start with but then the area should become. Pain resulting from the procedure usually resolves within. Pain After Ct Guided Biopsy.
From pubs.rsna.org
CTguided Lung Biopsy Effect of Biopsyside Down Position on Pain After Ct Guided Biopsy It typically takes several days. It includes how to prepare for it, what to expect during and after. When the local anaesthetic is injected it stings a little to start with but then the area should become. Normal activity can typically be resumed the day following the procedure. Most biopsies do not hurt. You must have a driver with you. Pain After Ct Guided Biopsy.
From www.ctbiopsy.com
Spine CT Guided Biopsy Pain After Ct Guided Biopsy Most biopsies do not hurt. It typically takes several days. You must have a driver with you on the day of your biopsy or the biopsy will not be done. Pain resulting from the procedure usually resolves within a few days. Normal activity can typically be resumed the day following the procedure. When the local anaesthetic is injected it stings. Pain After Ct Guided Biopsy.
From thorax.bmj.com
Cerebral air embolism during CTguided lung biopsy Thorax Pain After Ct Guided Biopsy It includes how to prepare for it, what to expect during and after. It typically takes several days. Normal activity can typically be resumed the day following the procedure. Pain resulting from the procedure usually resolves within a few days. You must have a driver with you on the day of your biopsy or the biopsy will not be done.. Pain After Ct Guided Biopsy.
From www.researchgate.net
CT guided percutaneous core biopsy of lung (PCBL). (A) Lesion is Pain After Ct Guided Biopsy It includes how to prepare for it, what to expect during and after. It typically takes several days. When the local anaesthetic is injected it stings a little to start with but then the area should become. Pain resulting from the procedure usually resolves within a few days. Normal activity can typically be resumed the day following the procedure. You. Pain After Ct Guided Biopsy.
From erj.ersjournals.com
Usefulness of CTguided percutaneous transthoracic needle biopsy with Pain After Ct Guided Biopsy It typically takes several days. Normal activity can typically be resumed the day following the procedure. You must have a driver with you on the day of your biopsy or the biopsy will not be done. Most biopsies do not hurt. Pain resulting from the procedure usually resolves within a few days. When the local anaesthetic is injected it stings. Pain After Ct Guided Biopsy.
From www.researchgate.net
5 Axial CT image shows a pneumothorax during biopsy of the right lung Pain After Ct Guided Biopsy Most biopsies do not hurt. Normal activity can typically be resumed the day following the procedure. It typically takes several days. It includes how to prepare for it, what to expect during and after. Pain resulting from the procedure usually resolves within a few days. When the local anaesthetic is injected it stings a little to start with but then. Pain After Ct Guided Biopsy.
From www.cureus.com
Cureus Complications and Risk Factors of Patients Undergoing Computed Pain After Ct Guided Biopsy Most biopsies do not hurt. Normal activity can typically be resumed the day following the procedure. When the local anaesthetic is injected it stings a little to start with but then the area should become. You must have a driver with you on the day of your biopsy or the biopsy will not be done. Pain resulting from the procedure. Pain After Ct Guided Biopsy.
From www.ctchestreview.com
CT Guided Biopsy Pain After Ct Guided Biopsy It includes how to prepare for it, what to expect during and after. It typically takes several days. Normal activity can typically be resumed the day following the procedure. You must have a driver with you on the day of your biopsy or the biopsy will not be done. Most biopsies do not hurt. Pain resulting from the procedure usually. Pain After Ct Guided Biopsy.
From mungfali.com
CT Guided Biopsy Procedure Pain After Ct Guided Biopsy It includes how to prepare for it, what to expect during and after. Most biopsies do not hurt. You must have a driver with you on the day of your biopsy or the biopsy will not be done. When the local anaesthetic is injected it stings a little to start with but then the area should become. Pain resulting from. Pain After Ct Guided Biopsy.
From radiopaedia.org
CT guided lung biopsy avoid fissures Image Pain After Ct Guided Biopsy It typically takes several days. Pain resulting from the procedure usually resolves within a few days. When the local anaesthetic is injected it stings a little to start with but then the area should become. Normal activity can typically be resumed the day following the procedure. You must have a driver with you on the day of your biopsy or. Pain After Ct Guided Biopsy.
From radiologykey.com
CTGuided Biopsy Radiology Key Pain After Ct Guided Biopsy Most biopsies do not hurt. When the local anaesthetic is injected it stings a little to start with but then the area should become. Normal activity can typically be resumed the day following the procedure. Pain resulting from the procedure usually resolves within a few days. It typically takes several days. You must have a driver with you on the. Pain After Ct Guided Biopsy.
From www.researchgate.net
CT image during lung biopsy with guiding needle combined with Pain After Ct Guided Biopsy Pain resulting from the procedure usually resolves within a few days. When the local anaesthetic is injected it stings a little to start with but then the area should become. It includes how to prepare for it, what to expect during and after. Most biopsies do not hurt. You must have a driver with you on the day of your. Pain After Ct Guided Biopsy.