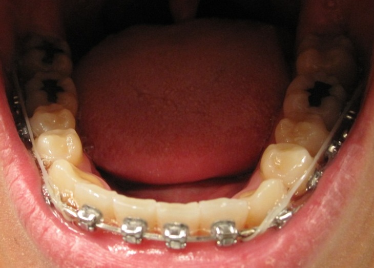
Do Damon Braces Use Rubber Bands . These elastic bands cause friction and pressure that teeth have to overcome, which can make treatment slow and uncomfortable. Traditional braces use small colored rubber bands that pull the wire securely into each brace. Gentle & professionalaccepting new patients Even after the orthodontist has shut. Damon braces aren't your traditional braces. The wire is clipped right into the bracket and kept in alignment by the bracket. Not only do damon braces cover a smaller tooth surface than traditional braces, but damon brackets don’t use rubber bands, which means food particles and debris can’t get trapped within. This system doesn't require the little rubber bands used in conventional train track braces. How much do damon braces cost?
from www.machineryandparts.com
Gentle & professionalaccepting new patients Even after the orthodontist has shut. The wire is clipped right into the bracket and kept in alignment by the bracket. Damon braces aren't your traditional braces. Traditional braces use small colored rubber bands that pull the wire securely into each brace. How much do damon braces cost? Not only do damon braces cover a smaller tooth surface than traditional braces, but damon brackets don’t use rubber bands, which means food particles and debris can’t get trapped within. These elastic bands cause friction and pressure that teeth have to overcome, which can make treatment slow and uncomfortable. This system doesn't require the little rubber bands used in conventional train track braces.
What Do Rubber Bands Do For Braces Its Purpose Machinery And Parts
Do Damon Braces Use Rubber Bands Not only do damon braces cover a smaller tooth surface than traditional braces, but damon brackets don’t use rubber bands, which means food particles and debris can’t get trapped within. This system doesn't require the little rubber bands used in conventional train track braces. Not only do damon braces cover a smaller tooth surface than traditional braces, but damon brackets don’t use rubber bands, which means food particles and debris can’t get trapped within. Even after the orthodontist has shut. The wire is clipped right into the bracket and kept in alignment by the bracket. These elastic bands cause friction and pressure that teeth have to overcome, which can make treatment slow and uncomfortable. Traditional braces use small colored rubber bands that pull the wire securely into each brace. How much do damon braces cost? Gentle & professionalaccepting new patients Damon braces aren't your traditional braces.
From ar.inspiredpencil.com
Damon Braces With Rubber Bands Do Damon Braces Use Rubber Bands Even after the orthodontist has shut. Damon braces aren't your traditional braces. Not only do damon braces cover a smaller tooth surface than traditional braces, but damon brackets don’t use rubber bands, which means food particles and debris can’t get trapped within. How much do damon braces cost? Gentle & professionalaccepting new patients These elastic bands cause friction and pressure. Do Damon Braces Use Rubber Bands.
From www.healthline.com
Braces with Rubber Bands Purpose and How Long They Stay On Do Damon Braces Use Rubber Bands Even after the orthodontist has shut. Damon braces aren't your traditional braces. Not only do damon braces cover a smaller tooth surface than traditional braces, but damon brackets don’t use rubber bands, which means food particles and debris can’t get trapped within. How much do damon braces cost? These elastic bands cause friction and pressure that teeth have to overcome,. Do Damon Braces Use Rubber Bands.
From castlemilldental.ie
Damon Braces The Latest in Orthodontics Do Damon Braces Use Rubber Bands Not only do damon braces cover a smaller tooth surface than traditional braces, but damon brackets don’t use rubber bands, which means food particles and debris can’t get trapped within. This system doesn't require the little rubber bands used in conventional train track braces. The wire is clipped right into the bracket and kept in alignment by the bracket. Traditional. Do Damon Braces Use Rubber Bands.
From damonclearbraces.blogspot.co.uk
My Damon Clear Braces Week 21 Wire change to 'square' wire and new hooks Do Damon Braces Use Rubber Bands This system doesn't require the little rubber bands used in conventional train track braces. Even after the orthodontist has shut. Gentle & professionalaccepting new patients The wire is clipped right into the bracket and kept in alignment by the bracket. How much do damon braces cost? These elastic bands cause friction and pressure that teeth have to overcome, which can. Do Damon Braces Use Rubber Bands.
From ar.inspiredpencil.com
Damon Braces With Rubber Bands Do Damon Braces Use Rubber Bands How much do damon braces cost? The wire is clipped right into the bracket and kept in alignment by the bracket. Traditional braces use small colored rubber bands that pull the wire securely into each brace. Damon braces aren't your traditional braces. Not only do damon braces cover a smaller tooth surface than traditional braces, but damon brackets don’t use. Do Damon Braces Use Rubber Bands.
From beautyjenn.blogspot.com
My Life's Inspirations! Damon braces update. Do Damon Braces Use Rubber Bands Not only do damon braces cover a smaller tooth surface than traditional braces, but damon brackets don’t use rubber bands, which means food particles and debris can’t get trapped within. Even after the orthodontist has shut. How much do damon braces cost? Gentle & professionalaccepting new patients Traditional braces use small colored rubber bands that pull the wire securely into. Do Damon Braces Use Rubber Bands.
From www.reddit.com
Six Month Damon Braces Progress hooks and rubber bands added today Do Damon Braces Use Rubber Bands Traditional braces use small colored rubber bands that pull the wire securely into each brace. The wire is clipped right into the bracket and kept in alignment by the bracket. How much do damon braces cost? This system doesn't require the little rubber bands used in conventional train track braces. Even after the orthodontist has shut. Damon braces aren't your. Do Damon Braces Use Rubber Bands.
From www.salisbury-orthodontics.co.uk
Damon Braces Salisbury Teeth Straightening Wiltshire Do Damon Braces Use Rubber Bands Even after the orthodontist has shut. Gentle & professionalaccepting new patients Not only do damon braces cover a smaller tooth surface than traditional braces, but damon brackets don’t use rubber bands, which means food particles and debris can’t get trapped within. How much do damon braces cost? These elastic bands cause friction and pressure that teeth have to overcome, which. Do Damon Braces Use Rubber Bands.
From thomasorthodontics.com
Why Do I Have to Wear Rubber Bands on My Braces? Thomas Orthodontics Do Damon Braces Use Rubber Bands How much do damon braces cost? This system doesn't require the little rubber bands used in conventional train track braces. Not only do damon braces cover a smaller tooth surface than traditional braces, but damon brackets don’t use rubber bands, which means food particles and debris can’t get trapped within. Damon braces aren't your traditional braces. These elastic bands cause. Do Damon Braces Use Rubber Bands.
From www.machineryandparts.com
What Do Rubber Bands Do For Braces Its Purpose Machinery And Parts Do Damon Braces Use Rubber Bands Traditional braces use small colored rubber bands that pull the wire securely into each brace. This system doesn't require the little rubber bands used in conventional train track braces. Not only do damon braces cover a smaller tooth surface than traditional braces, but damon brackets don’t use rubber bands, which means food particles and debris can’t get trapped within. Gentle. Do Damon Braces Use Rubber Bands.
From www.orthodonticslimited.com
Rubber Bands 101 for Braces Do Damon Braces Use Rubber Bands Not only do damon braces cover a smaller tooth surface than traditional braces, but damon brackets don’t use rubber bands, which means food particles and debris can’t get trapped within. Gentle & professionalaccepting new patients These elastic bands cause friction and pressure that teeth have to overcome, which can make treatment slow and uncomfortable. How much do damon braces cost?. Do Damon Braces Use Rubber Bands.
From ar.inspiredpencil.com
Damon Braces With Rubber Bands Do Damon Braces Use Rubber Bands The wire is clipped right into the bracket and kept in alignment by the bracket. These elastic bands cause friction and pressure that teeth have to overcome, which can make treatment slow and uncomfortable. Traditional braces use small colored rubber bands that pull the wire securely into each brace. How much do damon braces cost? Gentle & professionalaccepting new patients. Do Damon Braces Use Rubber Bands.
From neosmiles.com.sg
Damon Braces (SelfLigating) Neo Smiles Dental Studio Do Damon Braces Use Rubber Bands This system doesn't require the little rubber bands used in conventional train track braces. These elastic bands cause friction and pressure that teeth have to overcome, which can make treatment slow and uncomfortable. Not only do damon braces cover a smaller tooth surface than traditional braces, but damon brackets don’t use rubber bands, which means food particles and debris can’t. Do Damon Braces Use Rubber Bands.
From www.healthgrades.com
Damon Braces Differences, Pros and Cons, and More Do Damon Braces Use Rubber Bands Not only do damon braces cover a smaller tooth surface than traditional braces, but damon brackets don’t use rubber bands, which means food particles and debris can’t get trapped within. The wire is clipped right into the bracket and kept in alignment by the bracket. Traditional braces use small colored rubber bands that pull the wire securely into each brace.. Do Damon Braces Use Rubber Bands.
From askanorthodontist.com
What do the Elastic Rubber Bands on Braces do? Ask an Do Damon Braces Use Rubber Bands This system doesn't require the little rubber bands used in conventional train track braces. The wire is clipped right into the bracket and kept in alignment by the bracket. Not only do damon braces cover a smaller tooth surface than traditional braces, but damon brackets don’t use rubber bands, which means food particles and debris can’t get trapped within. How. Do Damon Braces Use Rubber Bands.
From www.newhavendentalbranford.com
Learn the Basics about Rubber Bands on Braces Do Damon Braces Use Rubber Bands These elastic bands cause friction and pressure that teeth have to overcome, which can make treatment slow and uncomfortable. Gentle & professionalaccepting new patients Not only do damon braces cover a smaller tooth surface than traditional braces, but damon brackets don’t use rubber bands, which means food particles and debris can’t get trapped within. How much do damon braces cost?. Do Damon Braces Use Rubber Bands.
From bloggingforfun6395.blogspot.com
Damon Braces Colored Rubber Bands bloggingforfun6395 Do Damon Braces Use Rubber Bands Even after the orthodontist has shut. Not only do damon braces cover a smaller tooth surface than traditional braces, but damon brackets don’t use rubber bands, which means food particles and debris can’t get trapped within. Damon braces aren't your traditional braces. This system doesn't require the little rubber bands used in conventional train track braces. How much do damon. Do Damon Braces Use Rubber Bands.
From bloggingforfun6395.blogspot.com
Damon Braces Colored Rubber Bands bloggingforfun6395 Do Damon Braces Use Rubber Bands How much do damon braces cost? Even after the orthodontist has shut. These elastic bands cause friction and pressure that teeth have to overcome, which can make treatment slow and uncomfortable. This system doesn't require the little rubber bands used in conventional train track braces. Traditional braces use small colored rubber bands that pull the wire securely into each brace.. Do Damon Braces Use Rubber Bands.
From www.jorgensenorthodontics.com
Do Damon Braces Really Move Teeth Faster? Orthodontics Do Damon Braces Use Rubber Bands Not only do damon braces cover a smaller tooth surface than traditional braces, but damon brackets don’t use rubber bands, which means food particles and debris can’t get trapped within. These elastic bands cause friction and pressure that teeth have to overcome, which can make treatment slow and uncomfortable. Even after the orthodontist has shut. Gentle & professionalaccepting new patients. Do Damon Braces Use Rubber Bands.
From ar.inspiredpencil.com
Damon Braces With Rubber Bands Do Damon Braces Use Rubber Bands Not only do damon braces cover a smaller tooth surface than traditional braces, but damon brackets don’t use rubber bands, which means food particles and debris can’t get trapped within. Traditional braces use small colored rubber bands that pull the wire securely into each brace. Even after the orthodontist has shut. This system doesn't require the little rubber bands used. Do Damon Braces Use Rubber Bands.
From ar.inspiredpencil.com
Damon Braces With Rubber Bands Do Damon Braces Use Rubber Bands The wire is clipped right into the bracket and kept in alignment by the bracket. Gentle & professionalaccepting new patients How much do damon braces cost? This system doesn't require the little rubber bands used in conventional train track braces. Not only do damon braces cover a smaller tooth surface than traditional braces, but damon brackets don’t use rubber bands,. Do Damon Braces Use Rubber Bands.
From orthodonticbracescare.com
Braces Rubber Bands Purpose, Types, Colors, How To Put Orthodontic Do Damon Braces Use Rubber Bands Even after the orthodontist has shut. Not only do damon braces cover a smaller tooth surface than traditional braces, but damon brackets don’t use rubber bands, which means food particles and debris can’t get trapped within. Damon braces aren't your traditional braces. This system doesn't require the little rubber bands used in conventional train track braces. These elastic bands cause. Do Damon Braces Use Rubber Bands.
From www.forbesorthodontics.com
Treatment Auxillaries Elastics (rubber bands) Forbes Orthodontics Do Damon Braces Use Rubber Bands Gentle & professionalaccepting new patients Not only do damon braces cover a smaller tooth surface than traditional braces, but damon brackets don’t use rubber bands, which means food particles and debris can’t get trapped within. The wire is clipped right into the bracket and kept in alignment by the bracket. This system doesn't require the little rubber bands used in. Do Damon Braces Use Rubber Bands.
From damon-braces.blogspot.com
My Journey with the Damon Braces Week 70 with the Damon Braces Do Damon Braces Use Rubber Bands The wire is clipped right into the bracket and kept in alignment by the bracket. How much do damon braces cost? Damon braces aren't your traditional braces. Not only do damon braces cover a smaller tooth surface than traditional braces, but damon brackets don’t use rubber bands, which means food particles and debris can’t get trapped within. Gentle & professionalaccepting. Do Damon Braces Use Rubber Bands.
From ar.inspiredpencil.com
Damon Braces With Rubber Bands Do Damon Braces Use Rubber Bands Traditional braces use small colored rubber bands that pull the wire securely into each brace. Even after the orthodontist has shut. Not only do damon braces cover a smaller tooth surface than traditional braces, but damon brackets don’t use rubber bands, which means food particles and debris can’t get trapped within. The wire is clipped right into the bracket and. Do Damon Braces Use Rubber Bands.
From centralfloridasmiles.com
Why Orthodontic Rubber Bands Matter Wiewiora & Dunn Orthodontics Do Damon Braces Use Rubber Bands This system doesn't require the little rubber bands used in conventional train track braces. How much do damon braces cost? These elastic bands cause friction and pressure that teeth have to overcome, which can make treatment slow and uncomfortable. The wire is clipped right into the bracket and kept in alignment by the bracket. Gentle & professionalaccepting new patients Damon. Do Damon Braces Use Rubber Bands.
From bloggingforfun6395.blogspot.com
bloggingforfun6395 Damon Braces Colored Rubber Bands Do Damon Braces Use Rubber Bands Gentle & professionalaccepting new patients This system doesn't require the little rubber bands used in conventional train track braces. Damon braces aren't your traditional braces. Traditional braces use small colored rubber bands that pull the wire securely into each brace. How much do damon braces cost? Not only do damon braces cover a smaller tooth surface than traditional braces, but. Do Damon Braces Use Rubber Bands.
From mckoenortho.com
Damon Braces vs. Traditional Braces Mary Cay Koen Orthodontics Do Damon Braces Use Rubber Bands This system doesn't require the little rubber bands used in conventional train track braces. Gentle & professionalaccepting new patients The wire is clipped right into the bracket and kept in alignment by the bracket. Damon braces aren't your traditional braces. Not only do damon braces cover a smaller tooth surface than traditional braces, but damon brackets don’t use rubber bands,. Do Damon Braces Use Rubber Bands.
From www.youtube.com
I GOT ELASTICS, rubber bands braces! Damon braces journey for overbite Do Damon Braces Use Rubber Bands Not only do damon braces cover a smaller tooth surface than traditional braces, but damon brackets don’t use rubber bands, which means food particles and debris can’t get trapped within. Even after the orthodontist has shut. Damon braces aren't your traditional braces. These elastic bands cause friction and pressure that teeth have to overcome, which can make treatment slow and. Do Damon Braces Use Rubber Bands.
From www.averylopezdds.com
Damon™ Braces Do Damon Braces Use Rubber Bands Traditional braces use small colored rubber bands that pull the wire securely into each brace. The wire is clipped right into the bracket and kept in alignment by the bracket. This system doesn't require the little rubber bands used in conventional train track braces. Even after the orthodontist has shut. Gentle & professionalaccepting new patients How much do damon braces. Do Damon Braces Use Rubber Bands.
From www.orthodonticslimited.com
How to Use Rubber Bands for Braces Orthodontics Limited Do Damon Braces Use Rubber Bands How much do damon braces cost? Not only do damon braces cover a smaller tooth surface than traditional braces, but damon brackets don’t use rubber bands, which means food particles and debris can’t get trapped within. This system doesn't require the little rubber bands used in conventional train track braces. Even after the orthodontist has shut. These elastic bands cause. Do Damon Braces Use Rubber Bands.
From ar.inspiredpencil.com
Damon Braces With Rubber Bands Do Damon Braces Use Rubber Bands Traditional braces use small colored rubber bands that pull the wire securely into each brace. Damon braces aren't your traditional braces. Not only do damon braces cover a smaller tooth surface than traditional braces, but damon brackets don’t use rubber bands, which means food particles and debris can’t get trapped within. These elastic bands cause friction and pressure that teeth. Do Damon Braces Use Rubber Bands.
From burkeredfordorthodontists.com
The Damon System Comprehensive Guide to SelfLigating Braces Do Damon Braces Use Rubber Bands Damon braces aren't your traditional braces. These elastic bands cause friction and pressure that teeth have to overcome, which can make treatment slow and uncomfortable. How much do damon braces cost? Gentle & professionalaccepting new patients Even after the orthodontist has shut. Not only do damon braces cover a smaller tooth surface than traditional braces, but damon brackets don’t use. Do Damon Braces Use Rubber Bands.
From www.parkorthodontics.co.uk
Damon Braces SelfLigating Brace Park Orthodontics Glasgow Do Damon Braces Use Rubber Bands Damon braces aren't your traditional braces. These elastic bands cause friction and pressure that teeth have to overcome, which can make treatment slow and uncomfortable. Traditional braces use small colored rubber bands that pull the wire securely into each brace. Even after the orthodontist has shut. Not only do damon braces cover a smaller tooth surface than traditional braces, but. Do Damon Braces Use Rubber Bands.
From www.parkorthodontics.co.uk
Damon Braces SelfLigating Brace Park Orthodontics Glasgow Do Damon Braces Use Rubber Bands How much do damon braces cost? Not only do damon braces cover a smaller tooth surface than traditional braces, but damon brackets don’t use rubber bands, which means food particles and debris can’t get trapped within. Damon braces aren't your traditional braces. Traditional braces use small colored rubber bands that pull the wire securely into each brace. Even after the. Do Damon Braces Use Rubber Bands.