How Much To Fix Grinded Teeth . In overview, options involve restoring teeth to the bite that caused the problems and patching teeth, or considering a more comprehensive approach to restore the teeth to a better physiologic bite (i.e align your new tires before you take them on the road). How to reduce teeth grinding. Dental crowns are an effective restoration choice for people who have severe damage from their bruxism. There are a few signs and symptoms that could indicate you have bruxism, such as: There are a number of things you can try that may help if you grind your teeth. Learn about how tooth repair works—including how to repair a cracked tooth, tooth enamel and tooth decay; Will be esthetic, but can break or discolor over years, but the most. Your teeth look worn down, chipped, or cracked. If there is lack of space, you can do 1 of 2 things: The process involves removing any. Fillings constructed from composite resin, porcelain, or metal alloy can repair areas where bruxism has worn down or cracked the teeth. Orthodontics to intrude/move your lower teeth down into the gum, or gum.
from onpointdental.com.au
Learn about how tooth repair works—including how to repair a cracked tooth, tooth enamel and tooth decay; Will be esthetic, but can break or discolor over years, but the most. Fillings constructed from composite resin, porcelain, or metal alloy can repair areas where bruxism has worn down or cracked the teeth. If there is lack of space, you can do 1 of 2 things: How to reduce teeth grinding. Dental crowns are an effective restoration choice for people who have severe damage from their bruxism. In overview, options involve restoring teeth to the bite that caused the problems and patching teeth, or considering a more comprehensive approach to restore the teeth to a better physiologic bite (i.e align your new tires before you take them on the road). Your teeth look worn down, chipped, or cracked. Orthodontics to intrude/move your lower teeth down into the gum, or gum. There are a number of things you can try that may help if you grind your teeth.
How to Fix Teeth Grinding On Point Dental
How Much To Fix Grinded Teeth There are a number of things you can try that may help if you grind your teeth. Orthodontics to intrude/move your lower teeth down into the gum, or gum. Learn about how tooth repair works—including how to repair a cracked tooth, tooth enamel and tooth decay; In overview, options involve restoring teeth to the bite that caused the problems and patching teeth, or considering a more comprehensive approach to restore the teeth to a better physiologic bite (i.e align your new tires before you take them on the road). How to reduce teeth grinding. There are a few signs and symptoms that could indicate you have bruxism, such as: If there is lack of space, you can do 1 of 2 things: The process involves removing any. Fillings constructed from composite resin, porcelain, or metal alloy can repair areas where bruxism has worn down or cracked the teeth. Will be esthetic, but can break or discolor over years, but the most. There are a number of things you can try that may help if you grind your teeth. Dental crowns are an effective restoration choice for people who have severe damage from their bruxism. Your teeth look worn down, chipped, or cracked.
From repairmachinedixonpas.z21.web.core.windows.net
Cracked Tooth Repair Kit How Much To Fix Grinded Teeth Orthodontics to intrude/move your lower teeth down into the gum, or gum. Fillings constructed from composite resin, porcelain, or metal alloy can repair areas where bruxism has worn down or cracked the teeth. The process involves removing any. Learn about how tooth repair works—including how to repair a cracked tooth, tooth enamel and tooth decay; Dental crowns are an effective. How Much To Fix Grinded Teeth.
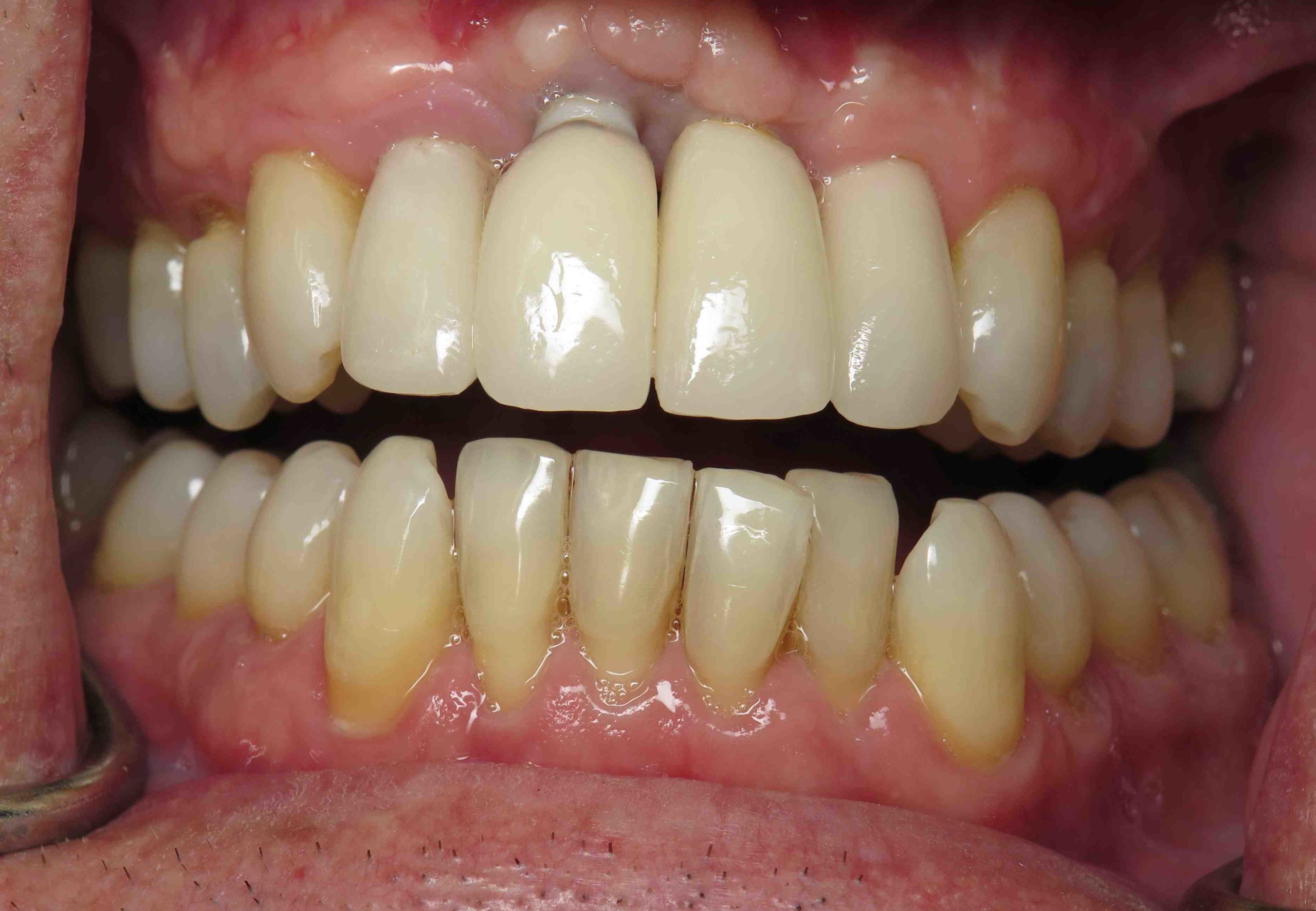
From eurodenture.com
How to Fix Grinded Teeth European Denture Center How Much To Fix Grinded Teeth Orthodontics to intrude/move your lower teeth down into the gum, or gum. The process involves removing any. In overview, options involve restoring teeth to the bite that caused the problems and patching teeth, or considering a more comprehensive approach to restore the teeth to a better physiologic bite (i.e align your new tires before you take them on the road).. How Much To Fix Grinded Teeth.
From www.elitecosmeticdentistry.com
Dentist san diego teeth grinding Elite Dentists How Much To Fix Grinded Teeth Dental crowns are an effective restoration choice for people who have severe damage from their bruxism. If there is lack of space, you can do 1 of 2 things: There are a number of things you can try that may help if you grind your teeth. There are a few signs and symptoms that could indicate you have bruxism, such. How Much To Fix Grinded Teeth.
From www.bauersmiles.com
Ground down teeth? Bauer Smiles How Much To Fix Grinded Teeth There are a number of things you can try that may help if you grind your teeth. Will be esthetic, but can break or discolor over years, but the most. If there is lack of space, you can do 1 of 2 things: The process involves removing any. There are a few signs and symptoms that could indicate you have. How Much To Fix Grinded Teeth.
From www.lihpao.com
How Much Does it Cost to Fix a Chipped Tooth? A Comprehensive Guide How Much To Fix Grinded Teeth In overview, options involve restoring teeth to the bite that caused the problems and patching teeth, or considering a more comprehensive approach to restore the teeth to a better physiologic bite (i.e align your new tires before you take them on the road). Will be esthetic, but can break or discolor over years, but the most. Fillings constructed from composite. How Much To Fix Grinded Teeth.
From dentistinroundrock.com
How to Fix Grinded Teeth A Comprehensive Guide Eddie G Tennison, DDS How Much To Fix Grinded Teeth There are a number of things you can try that may help if you grind your teeth. Fillings constructed from composite resin, porcelain, or metal alloy can repair areas where bruxism has worn down or cracked the teeth. Dental crowns are an effective restoration choice for people who have severe damage from their bruxism. In overview, options involve restoring teeth. How Much To Fix Grinded Teeth.
From www.youtube.com
How to repair your own teeth at home YouTube How Much To Fix Grinded Teeth There are a number of things you can try that may help if you grind your teeth. There are a few signs and symptoms that could indicate you have bruxism, such as: Will be esthetic, but can break or discolor over years, but the most. Dental crowns are an effective restoration choice for people who have severe damage from their. How Much To Fix Grinded Teeth.
From www.thedentalguide.net
How Much Do False Teeth Cost? The Dental Guide How Much To Fix Grinded Teeth If there is lack of space, you can do 1 of 2 things: In overview, options involve restoring teeth to the bite that caused the problems and patching teeth, or considering a more comprehensive approach to restore the teeth to a better physiologic bite (i.e align your new tires before you take them on the road). Dental crowns are an. How Much To Fix Grinded Teeth.
From theperfectsmilekc.com
Smile Spotlight Amy Veneers Transform Teeth Grinding Damage How Much To Fix Grinded Teeth Your teeth look worn down, chipped, or cracked. There are a few signs and symptoms that could indicate you have bruxism, such as: The process involves removing any. Orthodontics to intrude/move your lower teeth down into the gum, or gum. Will be esthetic, but can break or discolor over years, but the most. Learn about how tooth repair works—including how. How Much To Fix Grinded Teeth.
From sandiegoinvisaligndentist.org
Can you have dental implants if you grind your teeth? Dental News Network How Much To Fix Grinded Teeth The process involves removing any. In overview, options involve restoring teeth to the bite that caused the problems and patching teeth, or considering a more comprehensive approach to restore the teeth to a better physiologic bite (i.e align your new tires before you take them on the road). Dental crowns are an effective restoration choice for people who have severe. How Much To Fix Grinded Teeth.
From www.pinterest.com
Home Remedy For An Enamel Repair Tooth enamel repair, Tooth enamel How Much To Fix Grinded Teeth If there is lack of space, you can do 1 of 2 things: In overview, options involve restoring teeth to the bite that caused the problems and patching teeth, or considering a more comprehensive approach to restore the teeth to a better physiologic bite (i.e align your new tires before you take them on the road). Orthodontics to intrude/move your. How Much To Fix Grinded Teeth.
From sandiegoinvisaligndentist.org
Cosmetic dentistry teeth grinding Dental News Network How Much To Fix Grinded Teeth The process involves removing any. Learn about how tooth repair works—including how to repair a cracked tooth, tooth enamel and tooth decay; Orthodontics to intrude/move your lower teeth down into the gum, or gum. How to reduce teeth grinding. In overview, options involve restoring teeth to the bite that caused the problems and patching teeth, or considering a more comprehensive. How Much To Fix Grinded Teeth.
From emeraldcoastdentistry.com
How to Fix Grinded Teeth Strategies for a Healthy Smile Emerald How Much To Fix Grinded Teeth Dental crowns are an effective restoration choice for people who have severe damage from their bruxism. How to reduce teeth grinding. In overview, options involve restoring teeth to the bite that caused the problems and patching teeth, or considering a more comprehensive approach to restore the teeth to a better physiologic bite (i.e align your new tires before you take. How Much To Fix Grinded Teeth.
From www.pinterest.com
Dental Implants 9888022104 Dental implants, Dentist near me How Much To Fix Grinded Teeth Will be esthetic, but can break or discolor over years, but the most. In overview, options involve restoring teeth to the bite that caused the problems and patching teeth, or considering a more comprehensive approach to restore the teeth to a better physiologic bite (i.e align your new tires before you take them on the road). Fillings constructed from composite. How Much To Fix Grinded Teeth.
From www.drantonic.ba
Bruksizam Stomatološki centar Dr Antonić Banja Luka, stomatolog, zubar How Much To Fix Grinded Teeth If there is lack of space, you can do 1 of 2 things: There are a number of things you can try that may help if you grind your teeth. Dental crowns are an effective restoration choice for people who have severe damage from their bruxism. The process involves removing any. Orthodontics to intrude/move your lower teeth down into the. How Much To Fix Grinded Teeth.
From www.absolutedental.com
Before and After Teeth Whitening Professional Whitening Absolute Dental How Much To Fix Grinded Teeth Learn about how tooth repair works—including how to repair a cracked tooth, tooth enamel and tooth decay; Will be esthetic, but can break or discolor over years, but the most. There are a number of things you can try that may help if you grind your teeth. Your teeth look worn down, chipped, or cracked. If there is lack of. How Much To Fix Grinded Teeth.
From www.laurichdentistry.com
How Much Tooth is Needed for a Dental Crown? Laurich Dentistry How Much To Fix Grinded Teeth In overview, options involve restoring teeth to the bite that caused the problems and patching teeth, or considering a more comprehensive approach to restore the teeth to a better physiologic bite (i.e align your new tires before you take them on the road). There are a few signs and symptoms that could indicate you have bruxism, such as: Your teeth. How Much To Fix Grinded Teeth.
From smilelinedentistry.com
How to Fix Grinded Teeth Smile Line Dentistry How Much To Fix Grinded Teeth Learn about how tooth repair works—including how to repair a cracked tooth, tooth enamel and tooth decay; Orthodontics to intrude/move your lower teeth down into the gum, or gum. Your teeth look worn down, chipped, or cracked. Fillings constructed from composite resin, porcelain, or metal alloy can repair areas where bruxism has worn down or cracked the teeth. In overview,. How Much To Fix Grinded Teeth.
From nhakhoaminhkhai.net
Răng bị mòn nguyên nhân từ đâu và có những ảnh hưởng gì? How Much To Fix Grinded Teeth In overview, options involve restoring teeth to the bite that caused the problems and patching teeth, or considering a more comprehensive approach to restore the teeth to a better physiologic bite (i.e align your new tires before you take them on the road). Learn about how tooth repair works—including how to repair a cracked tooth, tooth enamel and tooth decay;. How Much To Fix Grinded Teeth.
From mothlhtqqjbpqdp.blogspot.com
Mothlhtqqjbpqdp Front Tooth Filling Before And After How Much To Fix Grinded Teeth How to reduce teeth grinding. If there is lack of space, you can do 1 of 2 things: Your teeth look worn down, chipped, or cracked. The process involves removing any. Learn about how tooth repair works—including how to repair a cracked tooth, tooth enamel and tooth decay; In overview, options involve restoring teeth to the bite that caused the. How Much To Fix Grinded Teeth.
From www.teethtalkgirl.com
Broken & Sharp Tooth How to Fix Fast, Repair Options & Cost How Much To Fix Grinded Teeth Orthodontics to intrude/move your lower teeth down into the gum, or gum. Dental crowns are an effective restoration choice for people who have severe damage from their bruxism. Fillings constructed from composite resin, porcelain, or metal alloy can repair areas where bruxism has worn down or cracked the teeth. Will be esthetic, but can break or discolor over years, but. How Much To Fix Grinded Teeth.
From charlottedentalassociatesnc.com
How to Fix Grinded Teeth Strategies for a Healthy Smile Charlotte How Much To Fix Grinded Teeth Your teeth look worn down, chipped, or cracked. Orthodontics to intrude/move your lower teeth down into the gum, or gum. There are a number of things you can try that may help if you grind your teeth. Dental crowns are an effective restoration choice for people who have severe damage from their bruxism. There are a few signs and symptoms. How Much To Fix Grinded Teeth.
From dbdpost.com
How Much Does It Cost To Fix A Chipped Tooth Cost Breakdown How Much To Fix Grinded Teeth Orthodontics to intrude/move your lower teeth down into the gum, or gum. There are a number of things you can try that may help if you grind your teeth. Fillings constructed from composite resin, porcelain, or metal alloy can repair areas where bruxism has worn down or cracked the teeth. Your teeth look worn down, chipped, or cracked. There are. How Much To Fix Grinded Teeth.
From drmehrdadfallah.com
روشهای درمان و ترک خوردگی و شکستگی دندان دکتر مهرداد فلاح How Much To Fix Grinded Teeth Dental crowns are an effective restoration choice for people who have severe damage from their bruxism. Your teeth look worn down, chipped, or cracked. If there is lack of space, you can do 1 of 2 things: There are a few signs and symptoms that could indicate you have bruxism, such as: Orthodontics to intrude/move your lower teeth down into. How Much To Fix Grinded Teeth.
From www.alcaredental.com
How to Fix Grinded Teeth Effective Strategies Al Care Dental How Much To Fix Grinded Teeth Fillings constructed from composite resin, porcelain, or metal alloy can repair areas where bruxism has worn down or cracked the teeth. Orthodontics to intrude/move your lower teeth down into the gum, or gum. There are a number of things you can try that may help if you grind your teeth. Will be esthetic, but can break or discolor over years,. How Much To Fix Grinded Teeth.
From www.pinterest.com
How to use Orthofill Bands? Simply follow these 3 Quick and Easy Steps How Much To Fix Grinded Teeth There are a number of things you can try that may help if you grind your teeth. Dental crowns are an effective restoration choice for people who have severe damage from their bruxism. Learn about how tooth repair works—including how to repair a cracked tooth, tooth enamel and tooth decay; Will be esthetic, but can break or discolor over years,. How Much To Fix Grinded Teeth.
From sandiegoinvisaligndentist.org
How Much Does It Cost To Fix Your Teeth Dental News Network How Much To Fix Grinded Teeth Your teeth look worn down, chipped, or cracked. There are a few signs and symptoms that could indicate you have bruxism, such as: If there is lack of space, you can do 1 of 2 things: Orthodontics to intrude/move your lower teeth down into the gum, or gum. There are a number of things you can try that may help. How Much To Fix Grinded Teeth.
From www.teethnightguard.com
Grinding Teeth In Sleep Damaging Effects of Teeth Grinding How Much To Fix Grinded Teeth In overview, options involve restoring teeth to the bite that caused the problems and patching teeth, or considering a more comprehensive approach to restore the teeth to a better physiologic bite (i.e align your new tires before you take them on the road). Dental crowns are an effective restoration choice for people who have severe damage from their bruxism. The. How Much To Fix Grinded Teeth.
From www.drpearlywhites.com
How Veneers Can Fix Your Teeth How Much To Fix Grinded Teeth Fillings constructed from composite resin, porcelain, or metal alloy can repair areas where bruxism has worn down or cracked the teeth. Learn about how tooth repair works—including how to repair a cracked tooth, tooth enamel and tooth decay; Dental crowns are an effective restoration choice for people who have severe damage from their bruxism. Will be esthetic, but can break. How Much To Fix Grinded Teeth.
From onpointdental.com.au
How to Fix Teeth Grinding On Point Dental How Much To Fix Grinded Teeth Your teeth look worn down, chipped, or cracked. There are a few signs and symptoms that could indicate you have bruxism, such as: In overview, options involve restoring teeth to the bite that caused the problems and patching teeth, or considering a more comprehensive approach to restore the teeth to a better physiologic bite (i.e align your new tires before. How Much To Fix Grinded Teeth.
From www.alyseshockey.com
Teeth Grinding How Much To Fix Grinded Teeth Orthodontics to intrude/move your lower teeth down into the gum, or gum. In overview, options involve restoring teeth to the bite that caused the problems and patching teeth, or considering a more comprehensive approach to restore the teeth to a better physiologic bite (i.e align your new tires before you take them on the road). There are a few signs. How Much To Fix Grinded Teeth.
From www.smilearizonadentistry.com
Expert Advice on How to Fix Grinded Teeth How Much To Fix Grinded Teeth Learn about how tooth repair works—including how to repair a cracked tooth, tooth enamel and tooth decay; Fillings constructed from composite resin, porcelain, or metal alloy can repair areas where bruxism has worn down or cracked the teeth. The process involves removing any. How to reduce teeth grinding. There are a few signs and symptoms that could indicate you have. How Much To Fix Grinded Teeth.
From drroze.com
Teeth grinding causes and treatments Dr Roze Biodental Clinic Dubai How Much To Fix Grinded Teeth There are a number of things you can try that may help if you grind your teeth. There are a few signs and symptoms that could indicate you have bruxism, such as: Will be esthetic, but can break or discolor over years, but the most. If there is lack of space, you can do 1 of 2 things: Your teeth. How Much To Fix Grinded Teeth.
From www.rochesterdental.com.au
Wear due to severe grinding of teeth Rochester Dental Clinic How Much To Fix Grinded Teeth Learn about how tooth repair works—including how to repair a cracked tooth, tooth enamel and tooth decay; If there is lack of space, you can do 1 of 2 things: How to reduce teeth grinding. Dental crowns are an effective restoration choice for people who have severe damage from their bruxism. Fillings constructed from composite resin, porcelain, or metal alloy. How Much To Fix Grinded Teeth.
From www.advancedindiana.com
How to Fix a Broken Tooth at Home Advanced Indiana How Much To Fix Grinded Teeth Will be esthetic, but can break or discolor over years, but the most. If there is lack of space, you can do 1 of 2 things: Fillings constructed from composite resin, porcelain, or metal alloy can repair areas where bruxism has worn down or cracked the teeth. Your teeth look worn down, chipped, or cracked. In overview, options involve restoring. How Much To Fix Grinded Teeth.