Endoscopic Decompression Of Sciatic Nerve . Sciatic neuropathies can result from nerve compression. The purpose of this study is to assess the effectiveness of endoscopic sciatic nerve decompression and evaluated the differences of. Patients were treated with sciatic nerve decompression by resection of fibrovascular scar bands, piriformis tendon release, obturator internus, or quadratus femoris or by hamstring tendon scarring. Endoscopic sciatic nerve decompression was satisfactory for treating. We describe an effective endoscopic technique for piriformis tenotomy and sciatic nerve neurolysis. Endoscopic decompression of the sciatic nerve appears useful in improving function and diminishing hip pain in sciatic nerve entrapment/dgs. Deep gluteal syndrome (dgs) is an underdiagnosed condition caused by an extra. The evaluation of posterior hip pain. Sciatic nerve decompression is a treatment option for sciatic nerve pain that is caused by certain structural spinal conditions.
from www.researchgate.net
Endoscopic sciatic nerve decompression was satisfactory for treating. We describe an effective endoscopic technique for piriformis tenotomy and sciatic nerve neurolysis. Sciatic neuropathies can result from nerve compression. The evaluation of posterior hip pain. Patients were treated with sciatic nerve decompression by resection of fibrovascular scar bands, piriformis tendon release, obturator internus, or quadratus femoris or by hamstring tendon scarring. Sciatic nerve decompression is a treatment option for sciatic nerve pain that is caused by certain structural spinal conditions. The purpose of this study is to assess the effectiveness of endoscopic sciatic nerve decompression and evaluated the differences of. Endoscopic decompression of the sciatic nerve appears useful in improving function and diminishing hip pain in sciatic nerve entrapment/dgs. Deep gluteal syndrome (dgs) is an underdiagnosed condition caused by an extra.
(PDF) Endoscopic surgery for managing sciatic nerve pathology first
Endoscopic Decompression Of Sciatic Nerve Sciatic nerve decompression is a treatment option for sciatic nerve pain that is caused by certain structural spinal conditions. Deep gluteal syndrome (dgs) is an underdiagnosed condition caused by an extra. Endoscopic decompression of the sciatic nerve appears useful in improving function and diminishing hip pain in sciatic nerve entrapment/dgs. The purpose of this study is to assess the effectiveness of endoscopic sciatic nerve decompression and evaluated the differences of. Endoscopic sciatic nerve decompression was satisfactory for treating. We describe an effective endoscopic technique for piriformis tenotomy and sciatic nerve neurolysis. Sciatic nerve decompression is a treatment option for sciatic nerve pain that is caused by certain structural spinal conditions. The evaluation of posterior hip pain. Sciatic neuropathies can result from nerve compression. Patients were treated with sciatic nerve decompression by resection of fibrovascular scar bands, piriformis tendon release, obturator internus, or quadratus femoris or by hamstring tendon scarring.
From www.neuromicrospine.com
Endoscopic Spine Program at NeuroMicroSpine Endoscopic Decompression Of Sciatic Nerve Endoscopic sciatic nerve decompression was satisfactory for treating. Endoscopic decompression of the sciatic nerve appears useful in improving function and diminishing hip pain in sciatic nerve entrapment/dgs. Sciatic nerve decompression is a treatment option for sciatic nerve pain that is caused by certain structural spinal conditions. We describe an effective endoscopic technique for piriformis tenotomy and sciatic nerve neurolysis. The. Endoscopic Decompression Of Sciatic Nerve.
From journals.lww.com
The Endoscopic Treatment of Sciatic Nerve Entrapment/Deep Gl Endoscopic Decompression Of Sciatic Nerve Endoscopic sciatic nerve decompression was satisfactory for treating. Endoscopic decompression of the sciatic nerve appears useful in improving function and diminishing hip pain in sciatic nerve entrapment/dgs. We describe an effective endoscopic technique for piriformis tenotomy and sciatic nerve neurolysis. Sciatic neuropathies can result from nerve compression. Sciatic nerve decompression is a treatment option for sciatic nerve pain that is. Endoscopic Decompression Of Sciatic Nerve.
From www.spandidos-publications.com
Efficacy of percutaneous transforaminal endoscopic Endoscopic Decompression Of Sciatic Nerve Sciatic neuropathies can result from nerve compression. Sciatic nerve decompression is a treatment option for sciatic nerve pain that is caused by certain structural spinal conditions. The evaluation of posterior hip pain. Endoscopic sciatic nerve decompression was satisfactory for treating. We describe an effective endoscopic technique for piriformis tenotomy and sciatic nerve neurolysis. Endoscopic decompression of the sciatic nerve appears. Endoscopic Decompression Of Sciatic Nerve.
From www.thespinejournalonline.com
Posterolateral transforaminal selective endoscopic discectomy and Endoscopic Decompression Of Sciatic Nerve Sciatic nerve decompression is a treatment option for sciatic nerve pain that is caused by certain structural spinal conditions. Patients were treated with sciatic nerve decompression by resection of fibrovascular scar bands, piriformis tendon release, obturator internus, or quadratus femoris or by hamstring tendon scarring. Sciatic neuropathies can result from nerve compression. The purpose of this study is to assess. Endoscopic Decompression Of Sciatic Nerve.
From www.microspinemd.com
Endoscopic Rhizotomy Scottsdale, AZ Orthopedic Spine Surgery Endoscopic Decompression Of Sciatic Nerve The purpose of this study is to assess the effectiveness of endoscopic sciatic nerve decompression and evaluated the differences of. Endoscopic sciatic nerve decompression was satisfactory for treating. Endoscopic decompression of the sciatic nerve appears useful in improving function and diminishing hip pain in sciatic nerve entrapment/dgs. Sciatic neuropathies can result from nerve compression. Sciatic nerve decompression is a treatment. Endoscopic Decompression Of Sciatic Nerve.
From www.researchgate.net
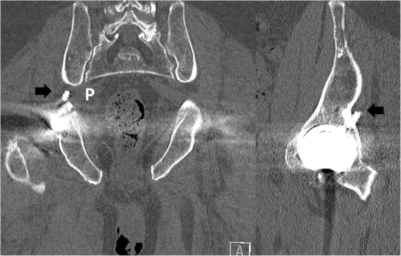
(PDF) Endoscopic resection of acetabular screw tip to Endoscopic Decompression Of Sciatic Nerve The purpose of this study is to assess the effectiveness of endoscopic sciatic nerve decompression and evaluated the differences of. Endoscopic sciatic nerve decompression was satisfactory for treating. Endoscopic decompression of the sciatic nerve appears useful in improving function and diminishing hip pain in sciatic nerve entrapment/dgs. Sciatic nerve decompression is a treatment option for sciatic nerve pain that is. Endoscopic Decompression Of Sciatic Nerve.
From exojphcve.blob.core.windows.net
Exercise Video For Sciatic Nerve Pain at Timothy Eaton blog Endoscopic Decompression Of Sciatic Nerve Endoscopic sciatic nerve decompression was satisfactory for treating. We describe an effective endoscopic technique for piriformis tenotomy and sciatic nerve neurolysis. Deep gluteal syndrome (dgs) is an underdiagnosed condition caused by an extra. The purpose of this study is to assess the effectiveness of endoscopic sciatic nerve decompression and evaluated the differences of. Patients were treated with sciatic nerve decompression. Endoscopic Decompression Of Sciatic Nerve.
From exocszoos.blob.core.windows.net
Endoscopic Of Gastric Volvulus at Benjamin Warren blog Endoscopic Decompression Of Sciatic Nerve Endoscopic decompression of the sciatic nerve appears useful in improving function and diminishing hip pain in sciatic nerve entrapment/dgs. The purpose of this study is to assess the effectiveness of endoscopic sciatic nerve decompression and evaluated the differences of. Patients were treated with sciatic nerve decompression by resection of fibrovascular scar bands, piriformis tendon release, obturator internus, or quadratus femoris. Endoscopic Decompression Of Sciatic Nerve.
From www.researchgate.net
Illustration showing the percutaneous fullendoscopic uniportal Endoscopic Decompression Of Sciatic Nerve The purpose of this study is to assess the effectiveness of endoscopic sciatic nerve decompression and evaluated the differences of. We describe an effective endoscopic technique for piriformis tenotomy and sciatic nerve neurolysis. Patients were treated with sciatic nerve decompression by resection of fibrovascular scar bands, piriformis tendon release, obturator internus, or quadratus femoris or by hamstring tendon scarring. Endoscopic. Endoscopic Decompression Of Sciatic Nerve.
From www.pinterest.com
Pin on Test And Procedures Endoscopic Decompression Of Sciatic Nerve Deep gluteal syndrome (dgs) is an underdiagnosed condition caused by an extra. Patients were treated with sciatic nerve decompression by resection of fibrovascular scar bands, piriformis tendon release, obturator internus, or quadratus femoris or by hamstring tendon scarring. Endoscopic decompression of the sciatic nerve appears useful in improving function and diminishing hip pain in sciatic nerve entrapment/dgs. The purpose of. Endoscopic Decompression Of Sciatic Nerve.
From bmcmusculoskeletdisord.biomedcentral.com
Endoscopic resection of acetabular screw tip to sciatic Endoscopic Decompression Of Sciatic Nerve The evaluation of posterior hip pain. We describe an effective endoscopic technique for piriformis tenotomy and sciatic nerve neurolysis. The purpose of this study is to assess the effectiveness of endoscopic sciatic nerve decompression and evaluated the differences of. Patients were treated with sciatic nerve decompression by resection of fibrovascular scar bands, piriformis tendon release, obturator internus, or quadratus femoris. Endoscopic Decompression Of Sciatic Nerve.
From www.youtube.com
Spinal Stenosis Fullendoscopic at the lumbar spine Endoscopic Decompression Of Sciatic Nerve Endoscopic decompression of the sciatic nerve appears useful in improving function and diminishing hip pain in sciatic nerve entrapment/dgs. Sciatic nerve decompression is a treatment option for sciatic nerve pain that is caused by certain structural spinal conditions. Patients were treated with sciatic nerve decompression by resection of fibrovascular scar bands, piriformis tendon release, obturator internus, or quadratus femoris or. Endoscopic Decompression Of Sciatic Nerve.
From empirespineandpain.com
Percutaneous / Endoscopic Discectomy (Cervical, Thoracic and Lumbar Endoscopic Decompression Of Sciatic Nerve The evaluation of posterior hip pain. Sciatic neuropathies can result from nerve compression. Endoscopic decompression of the sciatic nerve appears useful in improving function and diminishing hip pain in sciatic nerve entrapment/dgs. Sciatic nerve decompression is a treatment option for sciatic nerve pain that is caused by certain structural spinal conditions. Endoscopic sciatic nerve decompression was satisfactory for treating. Deep. Endoscopic Decompression Of Sciatic Nerve.
From www.researchgate.net
Facial nerve a Endoscopic transcanal technique; b Endoscopic Decompression Of Sciatic Nerve The purpose of this study is to assess the effectiveness of endoscopic sciatic nerve decompression and evaluated the differences of. Sciatic nerve decompression is a treatment option for sciatic nerve pain that is caused by certain structural spinal conditions. Endoscopic sciatic nerve decompression was satisfactory for treating. Deep gluteal syndrome (dgs) is an underdiagnosed condition caused by an extra. Sciatic. Endoscopic Decompression Of Sciatic Nerve.
From neupsykey.com
Endoscopic Spine Techniques An Overview Neupsy Key Endoscopic Decompression Of Sciatic Nerve Endoscopic decompression of the sciatic nerve appears useful in improving function and diminishing hip pain in sciatic nerve entrapment/dgs. Sciatic neuropathies can result from nerve compression. Patients were treated with sciatic nerve decompression by resection of fibrovascular scar bands, piriformis tendon release, obturator internus, or quadratus femoris or by hamstring tendon scarring. Deep gluteal syndrome (dgs) is an underdiagnosed condition. Endoscopic Decompression Of Sciatic Nerve.
From www.youtube.com
04 Endoscopic Lumbar YouTube Endoscopic Decompression Of Sciatic Nerve We describe an effective endoscopic technique for piriformis tenotomy and sciatic nerve neurolysis. Patients were treated with sciatic nerve decompression by resection of fibrovascular scar bands, piriformis tendon release, obturator internus, or quadratus femoris or by hamstring tendon scarring. Endoscopic sciatic nerve decompression was satisfactory for treating. Deep gluteal syndrome (dgs) is an underdiagnosed condition caused by an extra. The. Endoscopic Decompression Of Sciatic Nerve.
From www.researchgate.net
(PDF) Effectiveness of Endoscopic Sciatic Nerve for the Endoscopic Decompression Of Sciatic Nerve The evaluation of posterior hip pain. Sciatic neuropathies can result from nerve compression. We describe an effective endoscopic technique for piriformis tenotomy and sciatic nerve neurolysis. Endoscopic sciatic nerve decompression was satisfactory for treating. Endoscopic decompression of the sciatic nerve appears useful in improving function and diminishing hip pain in sciatic nerve entrapment/dgs. The purpose of this study is to. Endoscopic Decompression Of Sciatic Nerve.
From www.researchgate.net
(PDF) Clinical results of endoscopic sciatic nerve for Endoscopic Decompression Of Sciatic Nerve Patients were treated with sciatic nerve decompression by resection of fibrovascular scar bands, piriformis tendon release, obturator internus, or quadratus femoris or by hamstring tendon scarring. The purpose of this study is to assess the effectiveness of endoscopic sciatic nerve decompression and evaluated the differences of. Deep gluteal syndrome (dgs) is an underdiagnosed condition caused by an extra. Sciatic neuropathies. Endoscopic Decompression Of Sciatic Nerve.
From www.researchgate.net
(PDF) Infected Hematoma After Endoscopic Sciatic Nerve Endoscopic Decompression Of Sciatic Nerve The purpose of this study is to assess the effectiveness of endoscopic sciatic nerve decompression and evaluated the differences of. Endoscopic sciatic nerve decompression was satisfactory for treating. Patients were treated with sciatic nerve decompression by resection of fibrovascular scar bands, piriformis tendon release, obturator internus, or quadratus femoris or by hamstring tendon scarring. We describe an effective endoscopic technique. Endoscopic Decompression Of Sciatic Nerve.
From www.optecoto.com
Endoscopic optic nerve Operative Techniques in Endoscopic Decompression Of Sciatic Nerve Endoscopic decompression of the sciatic nerve appears useful in improving function and diminishing hip pain in sciatic nerve entrapment/dgs. Deep gluteal syndrome (dgs) is an underdiagnosed condition caused by an extra. Sciatic nerve decompression is a treatment option for sciatic nerve pain that is caused by certain structural spinal conditions. Endoscopic sciatic nerve decompression was satisfactory for treating. Patients were. Endoscopic Decompression Of Sciatic Nerve.
From exocszoos.blob.core.windows.net
Endoscopic Of Gastric Volvulus at Benjamin Warren blog Endoscopic Decompression Of Sciatic Nerve Sciatic neuropathies can result from nerve compression. Endoscopic decompression of the sciatic nerve appears useful in improving function and diminishing hip pain in sciatic nerve entrapment/dgs. Endoscopic sciatic nerve decompression was satisfactory for treating. Sciatic nerve decompression is a treatment option for sciatic nerve pain that is caused by certain structural spinal conditions. Patients were treated with sciatic nerve decompression. Endoscopic Decompression Of Sciatic Nerve.
From www.researchgate.net
(PDF) Clinical results of endoscopic sciatic nerve for Endoscopic Decompression Of Sciatic Nerve We describe an effective endoscopic technique for piriformis tenotomy and sciatic nerve neurolysis. The evaluation of posterior hip pain. Endoscopic decompression of the sciatic nerve appears useful in improving function and diminishing hip pain in sciatic nerve entrapment/dgs. The purpose of this study is to assess the effectiveness of endoscopic sciatic nerve decompression and evaluated the differences of. Patients were. Endoscopic Decompression Of Sciatic Nerve.
From www.ijssurgery.com
Uniportal Endoscopic Interlaminar in Lumbar Spinal Endoscopic Decompression Of Sciatic Nerve Sciatic nerve decompression is a treatment option for sciatic nerve pain that is caused by certain structural spinal conditions. Sciatic neuropathies can result from nerve compression. We describe an effective endoscopic technique for piriformis tenotomy and sciatic nerve neurolysis. Endoscopic sciatic nerve decompression was satisfactory for treating. The evaluation of posterior hip pain. Patients were treated with sciatic nerve decompression. Endoscopic Decompression Of Sciatic Nerve.
From www.spandidos-publications.com
Efficacy of percutaneous transforaminal endoscopic Endoscopic Decompression Of Sciatic Nerve Sciatic nerve decompression is a treatment option for sciatic nerve pain that is caused by certain structural spinal conditions. Deep gluteal syndrome (dgs) is an underdiagnosed condition caused by an extra. The evaluation of posterior hip pain. Endoscopic sciatic nerve decompression was satisfactory for treating. We describe an effective endoscopic technique for piriformis tenotomy and sciatic nerve neurolysis. The purpose. Endoscopic Decompression Of Sciatic Nerve.
From www.mdpi.com
JPM Free FullText Determination of Work Related to Endoscopic Endoscopic Decompression Of Sciatic Nerve Endoscopic decompression of the sciatic nerve appears useful in improving function and diminishing hip pain in sciatic nerve entrapment/dgs. Endoscopic sciatic nerve decompression was satisfactory for treating. We describe an effective endoscopic technique for piriformis tenotomy and sciatic nerve neurolysis. The evaluation of posterior hip pain. Deep gluteal syndrome (dgs) is an underdiagnosed condition caused by an extra. Patients were. Endoscopic Decompression Of Sciatic Nerve.
From www.arthroscopysportsmedicineandrehabilitation.org
Infected Hematoma After Endoscopic Sciatic Nerve Endoscopic Decompression Of Sciatic Nerve Endoscopic decompression of the sciatic nerve appears useful in improving function and diminishing hip pain in sciatic nerve entrapment/dgs. Endoscopic sciatic nerve decompression was satisfactory for treating. Sciatic nerve decompression is a treatment option for sciatic nerve pain that is caused by certain structural spinal conditions. Patients were treated with sciatic nerve decompression by resection of fibrovascular scar bands, piriformis. Endoscopic Decompression Of Sciatic Nerve.
From bmcmusculoskeletdisord.biomedcentral.com
Endoscopic resection of acetabular screw tip to sciatic Endoscopic Decompression Of Sciatic Nerve The purpose of this study is to assess the effectiveness of endoscopic sciatic nerve decompression and evaluated the differences of. Sciatic nerve decompression is a treatment option for sciatic nerve pain that is caused by certain structural spinal conditions. Endoscopic decompression of the sciatic nerve appears useful in improving function and diminishing hip pain in sciatic nerve entrapment/dgs. Endoscopic sciatic. Endoscopic Decompression Of Sciatic Nerve.
From www.researchgate.net
(PDF) Endoscopic surgery for managing sciatic nerve pathology first Endoscopic Decompression Of Sciatic Nerve Sciatic nerve decompression is a treatment option for sciatic nerve pain that is caused by certain structural spinal conditions. Deep gluteal syndrome (dgs) is an underdiagnosed condition caused by an extra. Sciatic neuropathies can result from nerve compression. The evaluation of posterior hip pain. We describe an effective endoscopic technique for piriformis tenotomy and sciatic nerve neurolysis. Endoscopic sciatic nerve. Endoscopic Decompression Of Sciatic Nerve.
From www.researchgate.net
(PDF) Rare complication after endoscopic neurolysis of sciatic nerve Endoscopic Decompression Of Sciatic Nerve We describe an effective endoscopic technique for piriformis tenotomy and sciatic nerve neurolysis. Sciatic nerve decompression is a treatment option for sciatic nerve pain that is caused by certain structural spinal conditions. The evaluation of posterior hip pain. Endoscopic sciatic nerve decompression was satisfactory for treating. The purpose of this study is to assess the effectiveness of endoscopic sciatic nerve. Endoscopic Decompression Of Sciatic Nerve.
From www.researchgate.net
(PDF) Comparison of Unilateral Biportal Endoscopy and Endoscopic Decompression Of Sciatic Nerve We describe an effective endoscopic technique for piriformis tenotomy and sciatic nerve neurolysis. Deep gluteal syndrome (dgs) is an underdiagnosed condition caused by an extra. Endoscopic decompression of the sciatic nerve appears useful in improving function and diminishing hip pain in sciatic nerve entrapment/dgs. Patients were treated with sciatic nerve decompression by resection of fibrovascular scar bands, piriformis tendon release,. Endoscopic Decompression Of Sciatic Nerve.
From www.animalia-life.club
Lumbar Foraminotomy Endoscopic Decompression Of Sciatic Nerve Deep gluteal syndrome (dgs) is an underdiagnosed condition caused by an extra. The purpose of this study is to assess the effectiveness of endoscopic sciatic nerve decompression and evaluated the differences of. We describe an effective endoscopic technique for piriformis tenotomy and sciatic nerve neurolysis. Sciatic neuropathies can result from nerve compression. Sciatic nerve decompression is a treatment option for. Endoscopic Decompression Of Sciatic Nerve.
From www.microspinemd.com
Endoscopic Discectomy Scottsdale, AZ Orthopedic Spine Surgery Endoscopic Decompression Of Sciatic Nerve The evaluation of posterior hip pain. Endoscopic sciatic nerve decompression was satisfactory for treating. Sciatic neuropathies can result from nerve compression. Sciatic nerve decompression is a treatment option for sciatic nerve pain that is caused by certain structural spinal conditions. Deep gluteal syndrome (dgs) is an underdiagnosed condition caused by an extra. Endoscopic decompression of the sciatic nerve appears useful. Endoscopic Decompression Of Sciatic Nerve.
From www.researchgate.net
(PDF) Microsurgical EndoscopyAssisted of the Trigeminal Endoscopic Decompression Of Sciatic Nerve Endoscopic sciatic nerve decompression was satisfactory for treating. Deep gluteal syndrome (dgs) is an underdiagnosed condition caused by an extra. Sciatic neuropathies can result from nerve compression. Endoscopic decompression of the sciatic nerve appears useful in improving function and diminishing hip pain in sciatic nerve entrapment/dgs. Sciatic nerve decompression is a treatment option for sciatic nerve pain that is caused. Endoscopic Decompression Of Sciatic Nerve.
From www.youtube.com
Procedure Endoscopic Lumbar Laminotomy YouTube Endoscopic Decompression Of Sciatic Nerve Patients were treated with sciatic nerve decompression by resection of fibrovascular scar bands, piriformis tendon release, obturator internus, or quadratus femoris or by hamstring tendon scarring. The purpose of this study is to assess the effectiveness of endoscopic sciatic nerve decompression and evaluated the differences of. Deep gluteal syndrome (dgs) is an underdiagnosed condition caused by an extra. We describe. Endoscopic Decompression Of Sciatic Nerve.
From www.researchgate.net
(PDF) Endoscopic Sciatic Nerve in the Prone Position—An Endoscopic Decompression Of Sciatic Nerve Endoscopic sciatic nerve decompression was satisfactory for treating. Sciatic neuropathies can result from nerve compression. Deep gluteal syndrome (dgs) is an underdiagnosed condition caused by an extra. Sciatic nerve decompression is a treatment option for sciatic nerve pain that is caused by certain structural spinal conditions. The purpose of this study is to assess the effectiveness of endoscopic sciatic nerve. Endoscopic Decompression Of Sciatic Nerve.