Jaw Bone Sequestrum . It is currently an uncommon entity (0.02%), but this could well. Osteonecrosis of the jaw is characterized by formation of sequestrum which is a fragment of avital bone separated from adjacent. Spontaneous oral ulceration with bone sequestration is a distinct lesion that most often presents over the prominence of the mylohyoid. Bony sequestrum dental occurs when a portion of bone in the jaw dies and separates from the surrounding tissue. Spontaneous oral ulceration with bone sequestration is a distinct lesion that most often presents over the prominence of the mylohyoid ridge. Spontaneous oral ulceration with bone sequestration is a distinct lesion that most often presents over the prominence of the mylohyoid ridge. Sequestra) is a piece of dead bone [1] that has become separated during the process of necrosis from normal or sound bone.
        
         
         
        from www.researchgate.net 
     
        
        Bony sequestrum dental occurs when a portion of bone in the jaw dies and separates from the surrounding tissue. Spontaneous oral ulceration with bone sequestration is a distinct lesion that most often presents over the prominence of the mylohyoid ridge. Spontaneous oral ulceration with bone sequestration is a distinct lesion that most often presents over the prominence of the mylohyoid ridge. Spontaneous oral ulceration with bone sequestration is a distinct lesion that most often presents over the prominence of the mylohyoid. It is currently an uncommon entity (0.02%), but this could well. Sequestra) is a piece of dead bone [1] that has become separated during the process of necrosis from normal or sound bone. Osteonecrosis of the jaw is characterized by formation of sequestrum which is a fragment of avital bone separated from adjacent.
    
    	
            
	
		 
	 
         
    Xray of the right lower leg (knee AP view) showing diffuse multiple 
    Jaw Bone Sequestrum  Osteonecrosis of the jaw is characterized by formation of sequestrum which is a fragment of avital bone separated from adjacent. Osteonecrosis of the jaw is characterized by formation of sequestrum which is a fragment of avital bone separated from adjacent. Spontaneous oral ulceration with bone sequestration is a distinct lesion that most often presents over the prominence of the mylohyoid ridge. Spontaneous oral ulceration with bone sequestration is a distinct lesion that most often presents over the prominence of the mylohyoid ridge. Sequestra) is a piece of dead bone [1] that has become separated during the process of necrosis from normal or sound bone. It is currently an uncommon entity (0.02%), but this could well. Bony sequestrum dental occurs when a portion of bone in the jaw dies and separates from the surrounding tissue. Spontaneous oral ulceration with bone sequestration is a distinct lesion that most often presents over the prominence of the mylohyoid.
            
	
		 
	 
         
 
    
         
        From www.bjoms.com 
                    Spontaneous oral ulceration with bone sequestration its relevance in Jaw Bone Sequestrum  Spontaneous oral ulceration with bone sequestration is a distinct lesion that most often presents over the prominence of the mylohyoid. Osteonecrosis of the jaw is characterized by formation of sequestrum which is a fragment of avital bone separated from adjacent. Spontaneous oral ulceration with bone sequestration is a distinct lesion that most often presents over the prominence of the mylohyoid. Jaw Bone Sequestrum.
     
    
         
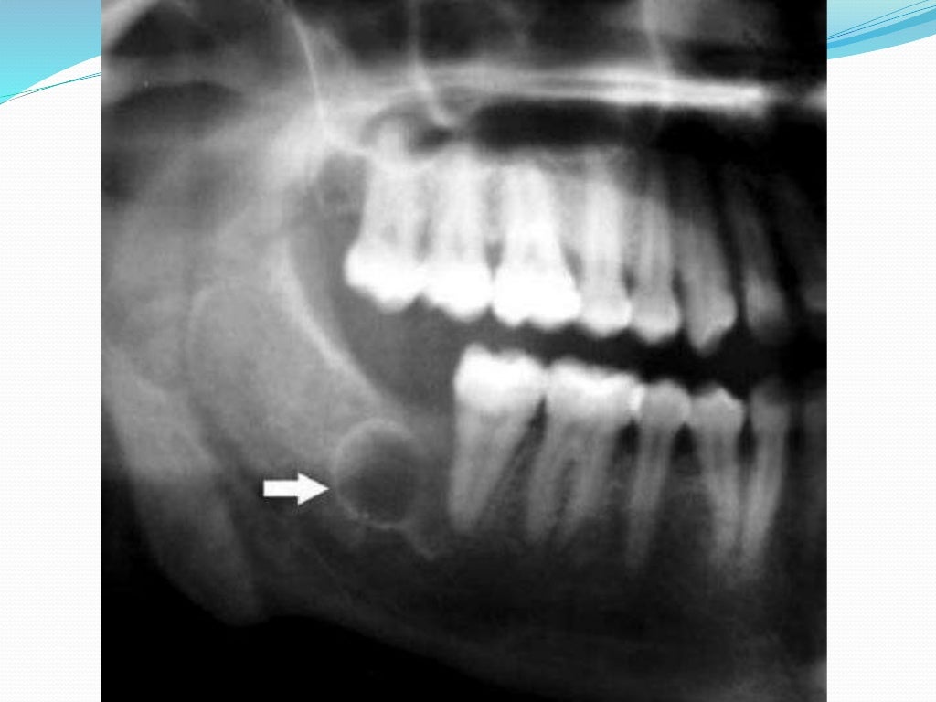
        From www.semanticscholar.org 
                    How can we diagnose and treat osteomyelitis of the jaws as early as Jaw Bone Sequestrum  Spontaneous oral ulceration with bone sequestration is a distinct lesion that most often presents over the prominence of the mylohyoid. Osteonecrosis of the jaw is characterized by formation of sequestrum which is a fragment of avital bone separated from adjacent. Spontaneous oral ulceration with bone sequestration is a distinct lesion that most often presents over the prominence of the mylohyoid. Jaw Bone Sequestrum.
     
    
         
        From radiologypics.com 
                    Mandibular Osteomyelitis Jaw Bone Sequestrum  Bony sequestrum dental occurs when a portion of bone in the jaw dies and separates from the surrounding tissue. It is currently an uncommon entity (0.02%), but this could well. Spontaneous oral ulceration with bone sequestration is a distinct lesion that most often presents over the prominence of the mylohyoid ridge. Spontaneous oral ulceration with bone sequestration is a distinct. Jaw Bone Sequestrum.
     
    
         
        From www.alamy.com 
                    . Elementary and dental radiography . Fig. 268. Same as Fig. 267, with Jaw Bone Sequestrum  Osteonecrosis of the jaw is characterized by formation of sequestrum which is a fragment of avital bone separated from adjacent. Spontaneous oral ulceration with bone sequestration is a distinct lesion that most often presents over the prominence of the mylohyoid ridge. Spontaneous oral ulceration with bone sequestration is a distinct lesion that most often presents over the prominence of the. Jaw Bone Sequestrum.
     
    
         
        From www.medicaltalk.net 
                    "Sequestrum is the necrotic bone which has walled off from its Jaw Bone Sequestrum  Spontaneous oral ulceration with bone sequestration is a distinct lesion that most often presents over the prominence of the mylohyoid ridge. It is currently an uncommon entity (0.02%), but this could well. Sequestra) is a piece of dead bone [1] that has become separated during the process of necrosis from normal or sound bone. Spontaneous oral ulceration with bone sequestration. Jaw Bone Sequestrum.
     
    
         
        From exyogmvbc.blob.core.windows.net 
                    Chemotherapy And Dental Extractions at John Hendricks blog Jaw Bone Sequestrum  Sequestra) is a piece of dead bone [1] that has become separated during the process of necrosis from normal or sound bone. Spontaneous oral ulceration with bone sequestration is a distinct lesion that most often presents over the prominence of the mylohyoid. Bony sequestrum dental occurs when a portion of bone in the jaw dies and separates from the surrounding. Jaw Bone Sequestrum.
     
    
         
        From www.animalia-life.club 
                    Inferior Border Of Mandible Jaw Bone Sequestrum  Sequestra) is a piece of dead bone [1] that has become separated during the process of necrosis from normal or sound bone. It is currently an uncommon entity (0.02%), but this could well. Spontaneous oral ulceration with bone sequestration is a distinct lesion that most often presents over the prominence of the mylohyoid. Spontaneous oral ulceration with bone sequestration is. Jaw Bone Sequestrum.
     
    
         
        From medizzy.com 
                    Sequestrum and Involucrum MEDizzy Jaw Bone Sequestrum  Bony sequestrum dental occurs when a portion of bone in the jaw dies and separates from the surrounding tissue. Osteonecrosis of the jaw is characterized by formation of sequestrum which is a fragment of avital bone separated from adjacent. Spontaneous oral ulceration with bone sequestration is a distinct lesion that most often presents over the prominence of the mylohyoid. Sequestra). Jaw Bone Sequestrum.
     
    
         
        From captionstrendtodayde.blogspot.com 
                    Osteomyelitis Of The Jaw Treatment Captions Trend Today Jaw Bone Sequestrum  Bony sequestrum dental occurs when a portion of bone in the jaw dies and separates from the surrounding tissue. Spontaneous oral ulceration with bone sequestration is a distinct lesion that most often presents over the prominence of the mylohyoid ridge. It is currently an uncommon entity (0.02%), but this could well. Sequestra) is a piece of dead bone [1] that. Jaw Bone Sequestrum.
     
    
         
        From www.mdpi.com 
                    Dentistry Journal Free FullText Imaging in Patients with Jaw Bone Sequestrum  Spontaneous oral ulceration with bone sequestration is a distinct lesion that most often presents over the prominence of the mylohyoid ridge. It is currently an uncommon entity (0.02%), but this could well. Spontaneous oral ulceration with bone sequestration is a distinct lesion that most often presents over the prominence of the mylohyoid ridge. Osteonecrosis of the jaw is characterized by. Jaw Bone Sequestrum.
     
    
         
        From www.joms.org 
                    Osteonecrosis of the Jaw in the Absence of Antiresorptive or Jaw Bone Sequestrum  Spontaneous oral ulceration with bone sequestration is a distinct lesion that most often presents over the prominence of the mylohyoid ridge. Bony sequestrum dental occurs when a portion of bone in the jaw dies and separates from the surrounding tissue. It is currently an uncommon entity (0.02%), but this could well. Spontaneous oral ulceration with bone sequestration is a distinct. Jaw Bone Sequestrum.
     
    
         
        From www.pinterest.com 
                    Pin on Dentistry Jaw Bone Sequestrum  Bony sequestrum dental occurs when a portion of bone in the jaw dies and separates from the surrounding tissue. Spontaneous oral ulceration with bone sequestration is a distinct lesion that most often presents over the prominence of the mylohyoid ridge. Osteonecrosis of the jaw is characterized by formation of sequestrum which is a fragment of avital bone separated from adjacent.. Jaw Bone Sequestrum.
     
    
         
        From www.researchgate.net 
                    Excised bone sequestrum. Download Scientific Diagram Jaw Bone Sequestrum  Spontaneous oral ulceration with bone sequestration is a distinct lesion that most often presents over the prominence of the mylohyoid. Spontaneous oral ulceration with bone sequestration is a distinct lesion that most often presents over the prominence of the mylohyoid ridge. It is currently an uncommon entity (0.02%), but this could well. Spontaneous oral ulceration with bone sequestration is a. Jaw Bone Sequestrum.
     
    
         
        From www.pinterest.ca 
                    Human Jaw in 2022 Drawings, Jaw bone, Moose art Jaw Bone Sequestrum  Sequestra) is a piece of dead bone [1] that has become separated during the process of necrosis from normal or sound bone. Spontaneous oral ulceration with bone sequestration is a distinct lesion that most often presents over the prominence of the mylohyoid. Spontaneous oral ulceration with bone sequestration is a distinct lesion that most often presents over the prominence of. Jaw Bone Sequestrum.
     
    
         
        From atlas.mudr.org 
                    Radiology case Sequestrum, osteomyelitis of upper jaw, maxilla Jaw Bone Sequestrum  Osteonecrosis of the jaw is characterized by formation of sequestrum which is a fragment of avital bone separated from adjacent. Spontaneous oral ulceration with bone sequestration is a distinct lesion that most often presents over the prominence of the mylohyoid ridge. Sequestra) is a piece of dead bone [1] that has become separated during the process of necrosis from normal. Jaw Bone Sequestrum.
     
    
         
        From www.slideshare.net 
                    Jaw bone lesions Jaw Bone Sequestrum  It is currently an uncommon entity (0.02%), but this could well. Sequestra) is a piece of dead bone [1] that has become separated during the process of necrosis from normal or sound bone. Spontaneous oral ulceration with bone sequestration is a distinct lesion that most often presents over the prominence of the mylohyoid ridge. Osteonecrosis of the jaw is characterized. Jaw Bone Sequestrum.
     
    
         
        From anatomy.biodigital.com 
                    Lower jaw BioDigital Anatomy Jaw Bone Sequestrum  Bony sequestrum dental occurs when a portion of bone in the jaw dies and separates from the surrounding tissue. Spontaneous oral ulceration with bone sequestration is a distinct lesion that most often presents over the prominence of the mylohyoid. Spontaneous oral ulceration with bone sequestration is a distinct lesion that most often presents over the prominence of the mylohyoid ridge.. Jaw Bone Sequestrum.
     
    
         
        From www.renewdentalcare.com 
                    TMJ Treatment Hamilton, Bermuda ReNew Dental Care Jaw Bone Sequestrum  Sequestra) is a piece of dead bone [1] that has become separated during the process of necrosis from normal or sound bone. Spontaneous oral ulceration with bone sequestration is a distinct lesion that most often presents over the prominence of the mylohyoid ridge. Osteonecrosis of the jaw is characterized by formation of sequestrum which is a fragment of avital bone. Jaw Bone Sequestrum.
     
    
         
        From www.youtube.com 
                    Bone Sequestrum Undetected by Radiograph YouTube Jaw Bone Sequestrum  Bony sequestrum dental occurs when a portion of bone in the jaw dies and separates from the surrounding tissue. Spontaneous oral ulceration with bone sequestration is a distinct lesion that most often presents over the prominence of the mylohyoid. Spontaneous oral ulceration with bone sequestration is a distinct lesion that most often presents over the prominence of the mylohyoid ridge.. Jaw Bone Sequestrum.
     
    
         
        From stock.adobe.com 
                    Maxillary anatomy. Upper jaw bone skeletal structure with educational Jaw Bone Sequestrum  It is currently an uncommon entity (0.02%), but this could well. Spontaneous oral ulceration with bone sequestration is a distinct lesion that most often presents over the prominence of the mylohyoid ridge. Bony sequestrum dental occurs when a portion of bone in the jaw dies and separates from the surrounding tissue. Spontaneous oral ulceration with bone sequestration is a distinct. Jaw Bone Sequestrum.
     
    
         
        From jeopardylabs.com 
                    RADIOLOGY JEOPARDY! Jeopardy Template Jaw Bone Sequestrum  Sequestra) is a piece of dead bone [1] that has become separated during the process of necrosis from normal or sound bone. Osteonecrosis of the jaw is characterized by formation of sequestrum which is a fragment of avital bone separated from adjacent. Spontaneous oral ulceration with bone sequestration is a distinct lesion that most often presents over the prominence of. Jaw Bone Sequestrum.
     
    
         
        From isdent.org 
                    Clinical and panoramic radiographic features of osteomyelitis of the Jaw Bone Sequestrum  Spontaneous oral ulceration with bone sequestration is a distinct lesion that most often presents over the prominence of the mylohyoid ridge. Spontaneous oral ulceration with bone sequestration is a distinct lesion that most often presents over the prominence of the mylohyoid ridge. It is currently an uncommon entity (0.02%), but this could well. Osteonecrosis of the jaw is characterized by. Jaw Bone Sequestrum.
     
    
         
        From www.researchgate.net 
                    Radiographic features (a) bone sclerosis and thickening of the lamina Jaw Bone Sequestrum  It is currently an uncommon entity (0.02%), but this could well. Spontaneous oral ulceration with bone sequestration is a distinct lesion that most often presents over the prominence of the mylohyoid ridge. Sequestra) is a piece of dead bone [1] that has become separated during the process of necrosis from normal or sound bone. Spontaneous oral ulceration with bone sequestration. Jaw Bone Sequestrum.
     
    
         
        From www.researchgate.net 
                    (PDF) Treatment with teriparatide for advanced bisphosphonaterelated Jaw Bone Sequestrum  Spontaneous oral ulceration with bone sequestration is a distinct lesion that most often presents over the prominence of the mylohyoid ridge. Sequestra) is a piece of dead bone [1] that has become separated during the process of necrosis from normal or sound bone. Bony sequestrum dental occurs when a portion of bone in the jaw dies and separates from the. Jaw Bone Sequestrum.
     
    
         
        From www.reddit.com 
                    Bone fragment coming out of my gums after wisdom teeth extraction. Any Jaw Bone Sequestrum  Spontaneous oral ulceration with bone sequestration is a distinct lesion that most often presents over the prominence of the mylohyoid ridge. Sequestra) is a piece of dead bone [1] that has become separated during the process of necrosis from normal or sound bone. Spontaneous oral ulceration with bone sequestration is a distinct lesion that most often presents over the prominence. Jaw Bone Sequestrum.
     
    
         
        From www.agefotostock.com 
                    The jaw bone, Stock Photo, Picture And Royalty Free Image. Pic. MED Jaw Bone Sequestrum  Bony sequestrum dental occurs when a portion of bone in the jaw dies and separates from the surrounding tissue. Spontaneous oral ulceration with bone sequestration is a distinct lesion that most often presents over the prominence of the mylohyoid ridge. Osteonecrosis of the jaw is characterized by formation of sequestrum which is a fragment of avital bone separated from adjacent.. Jaw Bone Sequestrum.
     
    
         
        From www.mdpi.com 
                    Dentistry Journal Free FullText Delayed Diagnosis of Osteonecrosis Jaw Bone Sequestrum  Spontaneous oral ulceration with bone sequestration is a distinct lesion that most often presents over the prominence of the mylohyoid ridge. Spontaneous oral ulceration with bone sequestration is a distinct lesion that most often presents over the prominence of the mylohyoid ridge. It is currently an uncommon entity (0.02%), but this could well. Spontaneous oral ulceration with bone sequestration is. Jaw Bone Sequestrum.
     
    
         
        From www.pinterest.com 
                    Okay, that's definitely a bone. Dental problems, Jaw bone, Dental Jaw Bone Sequestrum  Sequestra) is a piece of dead bone [1] that has become separated during the process of necrosis from normal or sound bone. Osteonecrosis of the jaw is characterized by formation of sequestrum which is a fragment of avital bone separated from adjacent. Spontaneous oral ulceration with bone sequestration is a distinct lesion that most often presents over the prominence of. Jaw Bone Sequestrum.
     
    
         
        From www.researchgate.net 
                    Xray of the right lower leg (knee AP view) showing diffuse multiple Jaw Bone Sequestrum  It is currently an uncommon entity (0.02%), but this could well. Bony sequestrum dental occurs when a portion of bone in the jaw dies and separates from the surrounding tissue. Spontaneous oral ulceration with bone sequestration is a distinct lesion that most often presents over the prominence of the mylohyoid ridge. Spontaneous oral ulceration with bone sequestration is a distinct. Jaw Bone Sequestrum.
     
    
         
        From www.mdpi.com 
                    Dentistry Journal Free FullText MultipleDrugsRelated Jaw Bone Sequestrum  Bony sequestrum dental occurs when a portion of bone in the jaw dies and separates from the surrounding tissue. Sequestra) is a piece of dead bone [1] that has become separated during the process of necrosis from normal or sound bone. Spontaneous oral ulceration with bone sequestration is a distinct lesion that most often presents over the prominence of the. Jaw Bone Sequestrum.
     
    
         
        From www.semanticscholar.org 
                    How can we diagnose and treat osteomyelitis of the jaws as early as Jaw Bone Sequestrum  Spontaneous oral ulceration with bone sequestration is a distinct lesion that most often presents over the prominence of the mylohyoid. Bony sequestrum dental occurs when a portion of bone in the jaw dies and separates from the surrounding tissue. Sequestra) is a piece of dead bone [1] that has become separated during the process of necrosis from normal or sound. Jaw Bone Sequestrum.
     
    
         
        From www.researchgate.net 
                    (a) CT scan of the left temporal bone—a bony sequestrum in the tympanic Jaw Bone Sequestrum  Sequestra) is a piece of dead bone [1] that has become separated during the process of necrosis from normal or sound bone. Osteonecrosis of the jaw is characterized by formation of sequestrum which is a fragment of avital bone separated from adjacent. It is currently an uncommon entity (0.02%), but this could well. Spontaneous oral ulceration with bone sequestration is. Jaw Bone Sequestrum.
     
    
         
        From www.researchgate.net 
                    CBCT images of a resected bone of medicationrelated osteonecrosis of Jaw Bone Sequestrum  Spontaneous oral ulceration with bone sequestration is a distinct lesion that most often presents over the prominence of the mylohyoid ridge. Osteonecrosis of the jaw is characterized by formation of sequestrum which is a fragment of avital bone separated from adjacent. Spontaneous oral ulceration with bone sequestration is a distinct lesion that most often presents over the prominence of the. Jaw Bone Sequestrum.
     
    
         
        From quizdboenometers.z13.web.core.windows.net 
                    What Does A Jawbone Symbolize Jaw Bone Sequestrum  Spontaneous oral ulceration with bone sequestration is a distinct lesion that most often presents over the prominence of the mylohyoid. Bony sequestrum dental occurs when a portion of bone in the jaw dies and separates from the surrounding tissue. Sequestra) is a piece of dead bone [1] that has become separated during the process of necrosis from normal or sound. Jaw Bone Sequestrum.
     
    
         
        From www.intechopen.com 
                    Idiopathic osteosclerosis in close proximity to the mesial root of Jaw Bone Sequestrum  Osteonecrosis of the jaw is characterized by formation of sequestrum which is a fragment of avital bone separated from adjacent. Bony sequestrum dental occurs when a portion of bone in the jaw dies and separates from the surrounding tissue. It is currently an uncommon entity (0.02%), but this could well. Spontaneous oral ulceration with bone sequestration is a distinct lesion. Jaw Bone Sequestrum.