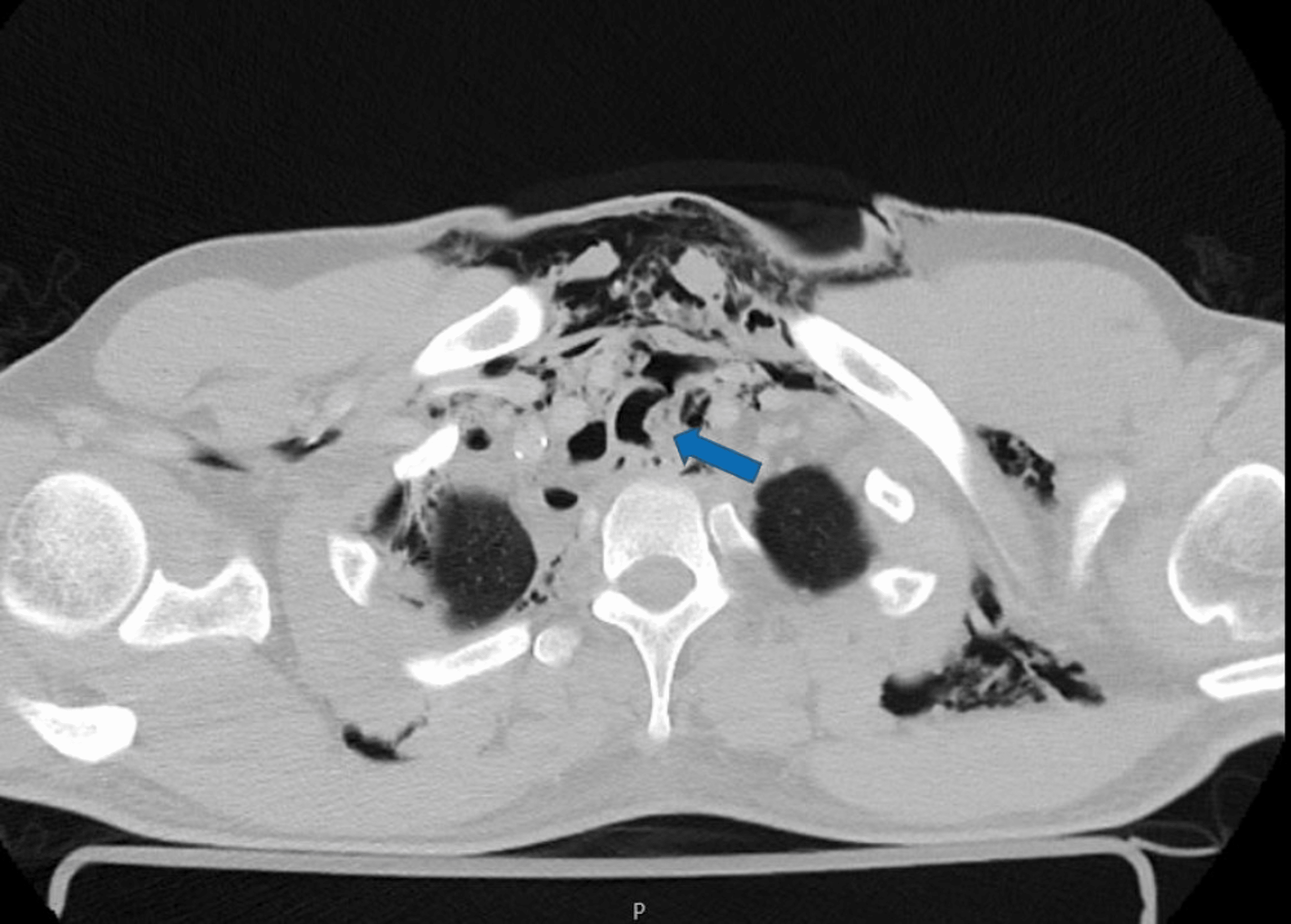
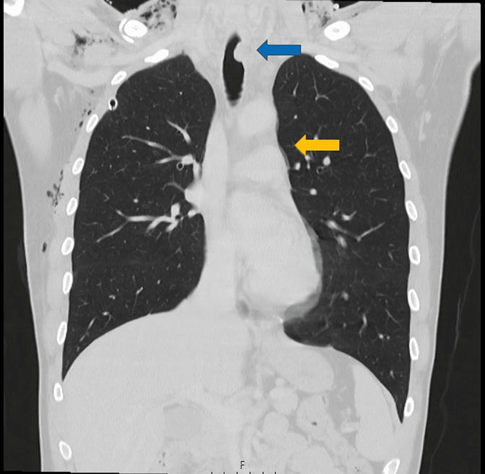
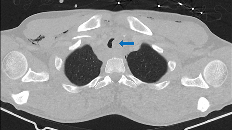
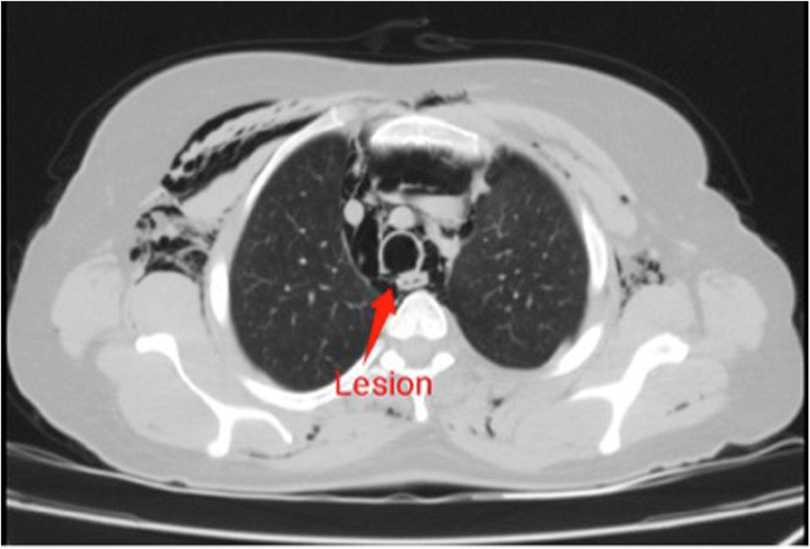
Tracheal Rupture . The major causes of tracheal injury include iatrogenic, blunt trauma, penetrating trauma, inhalation and aspiration of liquids or objects. Tracheobronchial tears are uncommon injuries or lacerations or puncture occurring anywhere in the tracheobronchial tree resulting from penetrating or blunt trauma to the neck or. Common etiologies include blunt or penetrating. It is more often seen after emergent intubation, multiple. The most common site for tracheal. A tracheal or bronchial rupture is a tear or break in the windpipe (trachea) or bronchial tubes, the major airways leading to the lungs. A tracheal or bronchial rupture is a tear or break in the windpipe (trachea) or bronchial tubes, the major airways leading to the lungs. Tracheal perforation is a rare complication of endotracheal intubation. While penetrating trauma to the trachea is also relatively uncommon, the trachea is the most common airway structure injured by stab wounds to the neck.
from www.ajronline.org
Tracheal perforation is a rare complication of endotracheal intubation. A tracheal or bronchial rupture is a tear or break in the windpipe (trachea) or bronchial tubes, the major airways leading to the lungs. The most common site for tracheal. It is more often seen after emergent intubation, multiple. Tracheobronchial tears are uncommon injuries or lacerations or puncture occurring anywhere in the tracheobronchial tree resulting from penetrating or blunt trauma to the neck or. Common etiologies include blunt or penetrating. The major causes of tracheal injury include iatrogenic, blunt trauma, penetrating trauma, inhalation and aspiration of liquids or objects. While penetrating trauma to the trachea is also relatively uncommon, the trachea is the most common airway structure injured by stab wounds to the neck. A tracheal or bronchial rupture is a tear or break in the windpipe (trachea) or bronchial tubes, the major airways leading to the lungs.
Using CT to Diagnose Tracheal Rupture AJR
Tracheal Rupture It is more often seen after emergent intubation, multiple. While penetrating trauma to the trachea is also relatively uncommon, the trachea is the most common airway structure injured by stab wounds to the neck. It is more often seen after emergent intubation, multiple. Tracheal perforation is a rare complication of endotracheal intubation. A tracheal or bronchial rupture is a tear or break in the windpipe (trachea) or bronchial tubes, the major airways leading to the lungs. A tracheal or bronchial rupture is a tear or break in the windpipe (trachea) or bronchial tubes, the major airways leading to the lungs. The major causes of tracheal injury include iatrogenic, blunt trauma, penetrating trauma, inhalation and aspiration of liquids or objects. Common etiologies include blunt or penetrating. The most common site for tracheal. Tracheobronchial tears are uncommon injuries or lacerations or puncture occurring anywhere in the tracheobronchial tree resulting from penetrating or blunt trauma to the neck or.
From radiologyspirit.blogspot.com
RadiologySpirit rupture trachea Tracheal Rupture It is more often seen after emergent intubation, multiple. A tracheal or bronchial rupture is a tear or break in the windpipe (trachea) or bronchial tubes, the major airways leading to the lungs. Tracheobronchial tears are uncommon injuries or lacerations or puncture occurring anywhere in the tracheobronchial tree resulting from penetrating or blunt trauma to the neck or. A tracheal. Tracheal Rupture.
From www.jtcvs.org
Conservative treatment of tracheal rupture The Journal of Thoracic Tracheal Rupture While penetrating trauma to the trachea is also relatively uncommon, the trachea is the most common airway structure injured by stab wounds to the neck. A tracheal or bronchial rupture is a tear or break in the windpipe (trachea) or bronchial tubes, the major airways leading to the lungs. Tracheal perforation is a rare complication of endotracheal intubation. It is. Tracheal Rupture.
From ajemjournal-test.com.marlin-prod.literatumonline.com
Tracheal rupture complicating emergent endotracheal intubation The Tracheal Rupture Tracheobronchial tears are uncommon injuries or lacerations or puncture occurring anywhere in the tracheobronchial tree resulting from penetrating or blunt trauma to the neck or. The major causes of tracheal injury include iatrogenic, blunt trauma, penetrating trauma, inhalation and aspiration of liquids or objects. While penetrating trauma to the trachea is also relatively uncommon, the trachea is the most common. Tracheal Rupture.
From perioperativemedicinejournal.biomedcentral.com
Anesthetic consideration for airway management of patients undergoing Tracheal Rupture The major causes of tracheal injury include iatrogenic, blunt trauma, penetrating trauma, inhalation and aspiration of liquids or objects. Common etiologies include blunt or penetrating. Tracheal perforation is a rare complication of endotracheal intubation. A tracheal or bronchial rupture is a tear or break in the windpipe (trachea) or bronchial tubes, the major airways leading to the lungs. It is. Tracheal Rupture.
From www.medintensiva.org
Tracheal rupture caused by mediastinal lymphoma A case report Tracheal Rupture The major causes of tracheal injury include iatrogenic, blunt trauma, penetrating trauma, inhalation and aspiration of liquids or objects. It is more often seen after emergent intubation, multiple. A tracheal or bronchial rupture is a tear or break in the windpipe (trachea) or bronchial tubes, the major airways leading to the lungs. A tracheal or bronchial rupture is a tear. Tracheal Rupture.
From www.ajronline.org
CT of Blunt Tracheal Rupture AJR Tracheal Rupture Common etiologies include blunt or penetrating. While penetrating trauma to the trachea is also relatively uncommon, the trachea is the most common airway structure injured by stab wounds to the neck. It is more often seen after emergent intubation, multiple. A tracheal or bronchial rupture is a tear or break in the windpipe (trachea) or bronchial tubes, the major airways. Tracheal Rupture.
From www.ajronline.org
Using CT to Diagnose Tracheal Rupture AJR Tracheal Rupture The major causes of tracheal injury include iatrogenic, blunt trauma, penetrating trauma, inhalation and aspiration of liquids or objects. A tracheal or bronchial rupture is a tear or break in the windpipe (trachea) or bronchial tubes, the major airways leading to the lungs. Tracheobronchial tears are uncommon injuries or lacerations or puncture occurring anywhere in the tracheobronchial tree resulting from. Tracheal Rupture.
From www.ctsnet.org
Multidisciplinary Management and Repair of a Traumatic Posterior Tracheal Rupture Common etiologies include blunt or penetrating. A tracheal or bronchial rupture is a tear or break in the windpipe (trachea) or bronchial tubes, the major airways leading to the lungs. Tracheobronchial tears are uncommon injuries or lacerations or puncture occurring anywhere in the tracheobronchial tree resulting from penetrating or blunt trauma to the neck or. While penetrating trauma to the. Tracheal Rupture.
From www.consultant360.com
Tracheal Perforation, a LifeThreatening Complication of Endotracheal Tracheal Rupture Tracheobronchial tears are uncommon injuries or lacerations or puncture occurring anywhere in the tracheobronchial tree resulting from penetrating or blunt trauma to the neck or. It is more often seen after emergent intubation, multiple. A tracheal or bronchial rupture is a tear or break in the windpipe (trachea) or bronchial tubes, the major airways leading to the lungs. Common etiologies. Tracheal Rupture.
From www.euroformhealthcare.biz
Cervical Trauma Trachea and Bronchi Euroform Healthcare Tracheal Rupture A tracheal or bronchial rupture is a tear or break in the windpipe (trachea) or bronchial tubes, the major airways leading to the lungs. The major causes of tracheal injury include iatrogenic, blunt trauma, penetrating trauma, inhalation and aspiration of liquids or objects. While penetrating trauma to the trachea is also relatively uncommon, the trachea is the most common airway. Tracheal Rupture.
From www.clinmedjournals.org
ClinMed International Library Iatrogenic Tracheal Rupture The Role Tracheal Rupture It is more often seen after emergent intubation, multiple. A tracheal or bronchial rupture is a tear or break in the windpipe (trachea) or bronchial tubes, the major airways leading to the lungs. While penetrating trauma to the trachea is also relatively uncommon, the trachea is the most common airway structure injured by stab wounds to the neck. Common etiologies. Tracheal Rupture.
From journals.sagepub.com
Intrathoracic Tracheal Rupture D T Lawrence, J Lang, J Culvenor, G Tracheal Rupture Tracheobronchial tears are uncommon injuries or lacerations or puncture occurring anywhere in the tracheobronchial tree resulting from penetrating or blunt trauma to the neck or. While penetrating trauma to the trachea is also relatively uncommon, the trachea is the most common airway structure injured by stab wounds to the neck. The most common site for tracheal. Common etiologies include blunt. Tracheal Rupture.
From www.researchgate.net
Pneumomediastinum and tracheal rupture after routine endobronchial Tracheal Rupture A tracheal or bronchial rupture is a tear or break in the windpipe (trachea) or bronchial tubes, the major airways leading to the lungs. While penetrating trauma to the trachea is also relatively uncommon, the trachea is the most common airway structure injured by stab wounds to the neck. Common etiologies include blunt or penetrating. Tracheobronchial tears are uncommon injuries. Tracheal Rupture.
From www.cureus.com
Cureus Tracheal Rupture After Trauma A Successful Conservative Tracheal Rupture The major causes of tracheal injury include iatrogenic, blunt trauma, penetrating trauma, inhalation and aspiration of liquids or objects. Common etiologies include blunt or penetrating. It is more often seen after emergent intubation, multiple. Tracheal perforation is a rare complication of endotracheal intubation. A tracheal or bronchial rupture is a tear or break in the windpipe (trachea) or bronchial tubes,. Tracheal Rupture.
From www.ajronline.org
Using CT to Diagnose Tracheal Rupture AJR Tracheal Rupture The major causes of tracheal injury include iatrogenic, blunt trauma, penetrating trauma, inhalation and aspiration of liquids or objects. Tracheobronchial tears are uncommon injuries or lacerations or puncture occurring anywhere in the tracheobronchial tree resulting from penetrating or blunt trauma to the neck or. While penetrating trauma to the trachea is also relatively uncommon, the trachea is the most common. Tracheal Rupture.
From journal.chestnet.org
Treatment of Tracheobronchial Injuries CHEST Tracheal Rupture Tracheobronchial tears are uncommon injuries or lacerations or puncture occurring anywhere in the tracheobronchial tree resulting from penetrating or blunt trauma to the neck or. A tracheal or bronchial rupture is a tear or break in the windpipe (trachea) or bronchial tubes, the major airways leading to the lungs. The most common site for tracheal. Common etiologies include blunt or. Tracheal Rupture.
From www.archbronconeumol.org
Iatrogenic Tracheal Rupture After Emergent Intubation Archivos de Tracheal Rupture Common etiologies include blunt or penetrating. Tracheal perforation is a rare complication of endotracheal intubation. The major causes of tracheal injury include iatrogenic, blunt trauma, penetrating trauma, inhalation and aspiration of liquids or objects. The most common site for tracheal. A tracheal or bronchial rupture is a tear or break in the windpipe (trachea) or bronchial tubes, the major airways. Tracheal Rupture.
From www.ctsnet.org
Multidisciplinary Management and Repair of a Traumatic Posterior Tracheal Rupture Common etiologies include blunt or penetrating. A tracheal or bronchial rupture is a tear or break in the windpipe (trachea) or bronchial tubes, the major airways leading to the lungs. It is more often seen after emergent intubation, multiple. While penetrating trauma to the trachea is also relatively uncommon, the trachea is the most common airway structure injured by stab. Tracheal Rupture.
From www.researchgate.net
Thoracic CT showing posterior tracheal rupture (Arrow). Download Tracheal Rupture The major causes of tracheal injury include iatrogenic, blunt trauma, penetrating trauma, inhalation and aspiration of liquids or objects. Tracheobronchial tears are uncommon injuries or lacerations or puncture occurring anywhere in the tracheobronchial tree resulting from penetrating or blunt trauma to the neck or. Common etiologies include blunt or penetrating. A tracheal or bronchial rupture is a tear or break. Tracheal Rupture.
From emj.bmj.com
Major tracheal disruption after emergency endotracheal Tracheal Rupture A tracheal or bronchial rupture is a tear or break in the windpipe (trachea) or bronchial tubes, the major airways leading to the lungs. While penetrating trauma to the trachea is also relatively uncommon, the trachea is the most common airway structure injured by stab wounds to the neck. Tracheobronchial tears are uncommon injuries or lacerations or puncture occurring anywhere. Tracheal Rupture.
From www.researchgate.net
Schematic illustration of the tracheal rupture; A 8 cm long posterior Tracheal Rupture Tracheal perforation is a rare complication of endotracheal intubation. The most common site for tracheal. Common etiologies include blunt or penetrating. A tracheal or bronchial rupture is a tear or break in the windpipe (trachea) or bronchial tubes, the major airways leading to the lungs. While penetrating trauma to the trachea is also relatively uncommon, the trachea is the most. Tracheal Rupture.
From www.jem-journal.com
Iatrogenic Tracheal Rupture Caused by Emergency Intubation A Case Tracheal Rupture Tracheobronchial tears are uncommon injuries or lacerations or puncture occurring anywhere in the tracheobronchial tree resulting from penetrating or blunt trauma to the neck or. Tracheal perforation is a rare complication of endotracheal intubation. A tracheal or bronchial rupture is a tear or break in the windpipe (trachea) or bronchial tubes, the major airways leading to the lungs. Common etiologies. Tracheal Rupture.
From www.ctsnet.org
Multidisciplinary Management and Repair of a Traumatic Posterior Tracheal Rupture A tracheal or bronchial rupture is a tear or break in the windpipe (trachea) or bronchial tubes, the major airways leading to the lungs. A tracheal or bronchial rupture is a tear or break in the windpipe (trachea) or bronchial tubes, the major airways leading to the lungs. It is more often seen after emergent intubation, multiple. Common etiologies include. Tracheal Rupture.
From pubs.rsna.org
Imaging Evaluation of Tracheobronchial Injuries RadioGraphics Tracheal Rupture A tracheal or bronchial rupture is a tear or break in the windpipe (trachea) or bronchial tubes, the major airways leading to the lungs. The most common site for tracheal. A tracheal or bronchial rupture is a tear or break in the windpipe (trachea) or bronchial tubes, the major airways leading to the lungs. The major causes of tracheal injury. Tracheal Rupture.
From radiologykey.com
Chest Trauma Radiology Key Tracheal Rupture While penetrating trauma to the trachea is also relatively uncommon, the trachea is the most common airway structure injured by stab wounds to the neck. The most common site for tracheal. Common etiologies include blunt or penetrating. Tracheobronchial tears are uncommon injuries or lacerations or puncture occurring anywhere in the tracheobronchial tree resulting from penetrating or blunt trauma to the. Tracheal Rupture.
From www.ajronline.org
Using CT to Diagnose Tracheal Rupture AJR Tracheal Rupture A tracheal or bronchial rupture is a tear or break in the windpipe (trachea) or bronchial tubes, the major airways leading to the lungs. Tracheobronchial tears are uncommon injuries or lacerations or puncture occurring anywhere in the tracheobronchial tree resulting from penetrating or blunt trauma to the neck or. The major causes of tracheal injury include iatrogenic, blunt trauma, penetrating. Tracheal Rupture.
From www.cureus.com
Cureus Tracheal Rupture After Trauma A Successful Conservative Tracheal Rupture Common etiologies include blunt or penetrating. While penetrating trauma to the trachea is also relatively uncommon, the trachea is the most common airway structure injured by stab wounds to the neck. Tracheobronchial tears are uncommon injuries or lacerations or puncture occurring anywhere in the tracheobronchial tree resulting from penetrating or blunt trauma to the neck or. A tracheal or bronchial. Tracheal Rupture.
From rc.rcjournal.com
Conservative Treatment of Severe Tracheal Laceration After Endotracheal Tracheal Rupture The major causes of tracheal injury include iatrogenic, blunt trauma, penetrating trauma, inhalation and aspiration of liquids or objects. Common etiologies include blunt or penetrating. Tracheobronchial tears are uncommon injuries or lacerations or puncture occurring anywhere in the tracheobronchial tree resulting from penetrating or blunt trauma to the neck or. The most common site for tracheal. A tracheal or bronchial. Tracheal Rupture.
From www.clinmedjournals.org
ClinMed International Library Iatrogenic Tracheal Rupture The Role Tracheal Rupture It is more often seen after emergent intubation, multiple. Tracheal perforation is a rare complication of endotracheal intubation. A tracheal or bronchial rupture is a tear or break in the windpipe (trachea) or bronchial tubes, the major airways leading to the lungs. Common etiologies include blunt or penetrating. While penetrating trauma to the trachea is also relatively uncommon, the trachea. Tracheal Rupture.
From www.cureus.com
Tracheal Rupture After Trauma A Successful Conservative Management Tracheal Rupture Tracheobronchial tears are uncommon injuries or lacerations or puncture occurring anywhere in the tracheobronchial tree resulting from penetrating or blunt trauma to the neck or. The most common site for tracheal. A tracheal or bronchial rupture is a tear or break in the windpipe (trachea) or bronchial tubes, the major airways leading to the lungs. The major causes of tracheal. Tracheal Rupture.
From www.ajronline.org
Using CT to Diagnose Tracheal Rupture AJR Tracheal Rupture A tracheal or bronchial rupture is a tear or break in the windpipe (trachea) or bronchial tubes, the major airways leading to the lungs. The major causes of tracheal injury include iatrogenic, blunt trauma, penetrating trauma, inhalation and aspiration of liquids or objects. Tracheal perforation is a rare complication of endotracheal intubation. Tracheobronchial tears are uncommon injuries or lacerations or. Tracheal Rupture.
From www.ajronline.org
Using CT to Diagnose Tracheal Rupture AJR Tracheal Rupture Tracheal perforation is a rare complication of endotracheal intubation. The most common site for tracheal. While penetrating trauma to the trachea is also relatively uncommon, the trachea is the most common airway structure injured by stab wounds to the neck. Common etiologies include blunt or penetrating. It is more often seen after emergent intubation, multiple. Tracheobronchial tears are uncommon injuries. Tracheal Rupture.
From www.researchgate.net
Surgical Management of Tracheal Injuries. For tracheal injuries with Tracheal Rupture The most common site for tracheal. The major causes of tracheal injury include iatrogenic, blunt trauma, penetrating trauma, inhalation and aspiration of liquids or objects. Common etiologies include blunt or penetrating. It is more often seen after emergent intubation, multiple. A tracheal or bronchial rupture is a tear or break in the windpipe (trachea) or bronchial tubes, the major airways. Tracheal Rupture.
From www.cureus.com
Cureus Tracheal Rupture After Trauma A Successful Conservative Tracheal Rupture A tracheal or bronchial rupture is a tear or break in the windpipe (trachea) or bronchial tubes, the major airways leading to the lungs. While penetrating trauma to the trachea is also relatively uncommon, the trachea is the most common airway structure injured by stab wounds to the neck. The most common site for tracheal. It is more often seen. Tracheal Rupture.
From www.youtube.com
Tracheal Injury Repair with ECMO YouTube Tracheal Rupture It is more often seen after emergent intubation, multiple. The most common site for tracheal. Tracheal perforation is a rare complication of endotracheal intubation. Common etiologies include blunt or penetrating. Tracheobronchial tears are uncommon injuries or lacerations or puncture occurring anywhere in the tracheobronchial tree resulting from penetrating or blunt trauma to the neck or. The major causes of tracheal. Tracheal Rupture.