Vdo In Dental . minimisation of tooth preparation: during the planning of oral rehabilitation, the vertical dimension of occlusion (vdo) is one of the first. the vertical dimension of occlusion (vdo) is a concept that dentists learn about in dental school, but remains one of the most misunderstood and. vertical dimension of occlusion (vdo), also known as occlusal vertical dimension (ovd), is a term used in dentistry to indicate the. the vertical dimension of occlusion (vdo) is the distance between two selected anatomical points on the. vdo or vertical dimension of occlusion (also known as occlusal vertical dimension or ovd) is the measurement of the vertical distance between the maxilla and mandible during maximum intercuspation. It is a key factor in designing many dental products, especially dentures and overdentures. Increasing vdo provides greater interocclusal space for restorative. vertical dimension relates to the proportions of the lower face height compared to the upper face height.
from www.ebay.co.uk
Increasing vdo provides greater interocclusal space for restorative. during the planning of oral rehabilitation, the vertical dimension of occlusion (vdo) is one of the first. vertical dimension relates to the proportions of the lower face height compared to the upper face height. minimisation of tooth preparation: the vertical dimension of occlusion (vdo) is the distance between two selected anatomical points on the. the vertical dimension of occlusion (vdo) is a concept that dentists learn about in dental school, but remains one of the most misunderstood and. vdo or vertical dimension of occlusion (also known as occlusal vertical dimension or ovd) is the measurement of the vertical distance between the maxilla and mandible during maximum intercuspation. It is a key factor in designing many dental products, especially dentures and overdentures. vertical dimension of occlusion (vdo), also known as occlusal vertical dimension (ovd), is a term used in dentistry to indicate the.
Premium Grade Apollo VDO Gauge Ruler Dental Implants Occlusion
Vdo In Dental during the planning of oral rehabilitation, the vertical dimension of occlusion (vdo) is one of the first. vertical dimension of occlusion (vdo), also known as occlusal vertical dimension (ovd), is a term used in dentistry to indicate the. the vertical dimension of occlusion (vdo) is the distance between two selected anatomical points on the. minimisation of tooth preparation: vertical dimension relates to the proportions of the lower face height compared to the upper face height. the vertical dimension of occlusion (vdo) is a concept that dentists learn about in dental school, but remains one of the most misunderstood and. Increasing vdo provides greater interocclusal space for restorative. during the planning of oral rehabilitation, the vertical dimension of occlusion (vdo) is one of the first. It is a key factor in designing many dental products, especially dentures and overdentures. vdo or vertical dimension of occlusion (also known as occlusal vertical dimension or ovd) is the measurement of the vertical distance between the maxilla and mandible during maximum intercuspation.
From www.dental-tribune.com
Dental News Occlusion principles for the practising dentist in the Vdo In Dental the vertical dimension of occlusion (vdo) is the distance between two selected anatomical points on the. the vertical dimension of occlusion (vdo) is a concept that dentists learn about in dental school, but remains one of the most misunderstood and. vertical dimension relates to the proportions of the lower face height compared to the upper face height.. Vdo In Dental.
From www.torontosmiledesign.ca
Enhancing Dental Health The Significance of VDO and Modern Dental Vdo In Dental It is a key factor in designing many dental products, especially dentures and overdentures. vertical dimension of occlusion (vdo), also known as occlusal vertical dimension (ovd), is a term used in dentistry to indicate the. minimisation of tooth preparation: Increasing vdo provides greater interocclusal space for restorative. the vertical dimension of occlusion (vdo) is the distance between. Vdo In Dental.
From www.dental-tribune.com
Dental News Correction of VDO Fully digital workflow, integration of Vdo In Dental during the planning of oral rehabilitation, the vertical dimension of occlusion (vdo) is one of the first. minimisation of tooth preparation: vertical dimension relates to the proportions of the lower face height compared to the upper face height. the vertical dimension of occlusion (vdo) is a concept that dentists learn about in dental school, but remains. Vdo In Dental.
From www.ebay.com
Premium Grade Apollo VDO Gauge Ruler Dental Implants Occlusion Vdo In Dental minimisation of tooth preparation: vdo or vertical dimension of occlusion (also known as occlusal vertical dimension or ovd) is the measurement of the vertical distance between the maxilla and mandible during maximum intercuspation. during the planning of oral rehabilitation, the vertical dimension of occlusion (vdo) is one of the first. It is a key factor in designing. Vdo In Dental.
From www.ebay.com.au
Dental Calipers surgical measure patients' vertical dimension occlusion Vdo In Dental the vertical dimension of occlusion (vdo) is a concept that dentists learn about in dental school, but remains one of the most misunderstood and. vertical dimension relates to the proportions of the lower face height compared to the upper face height. minimisation of tooth preparation: It is a key factor in designing many dental products, especially dentures. Vdo In Dental.
From clinicalmastery.com
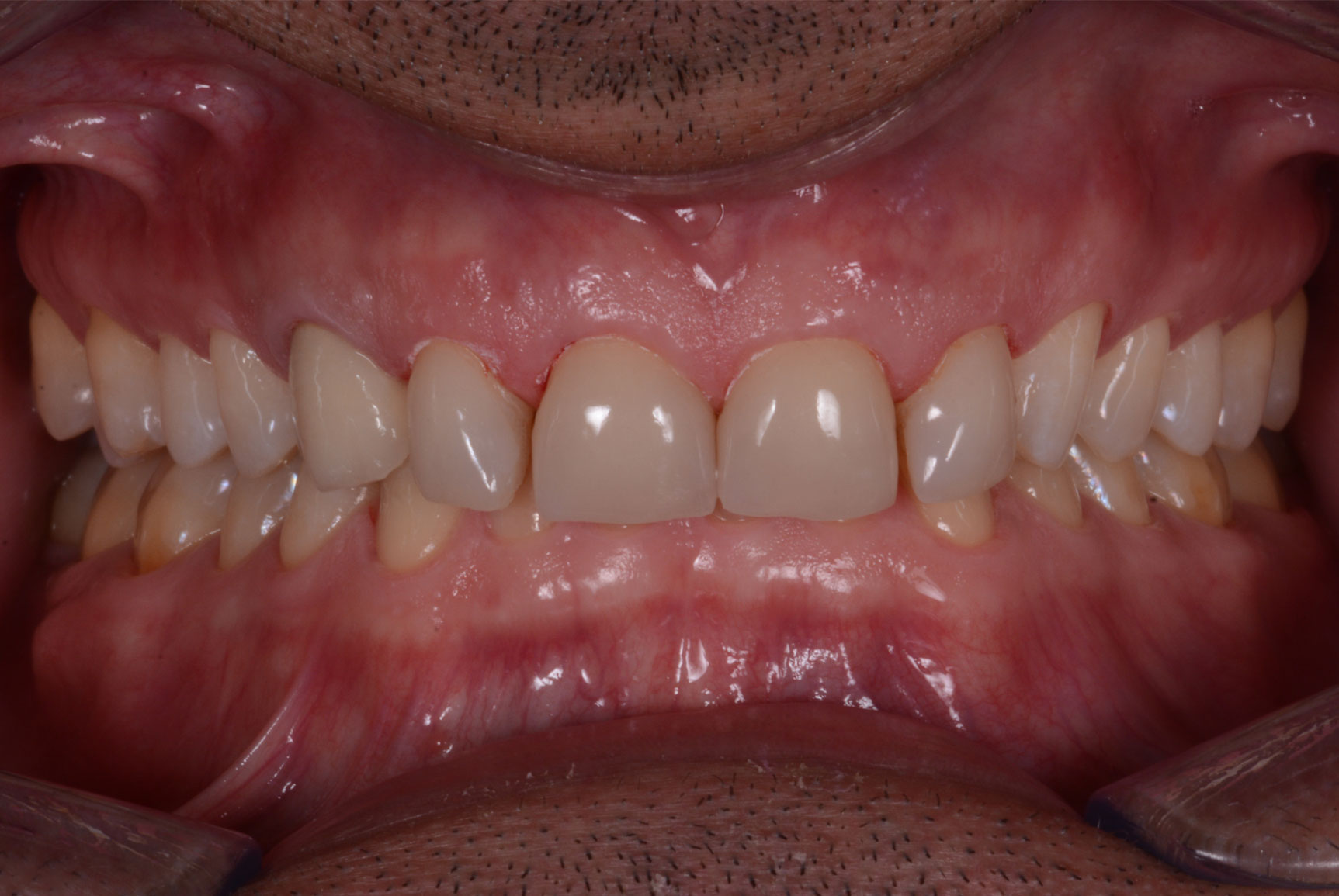
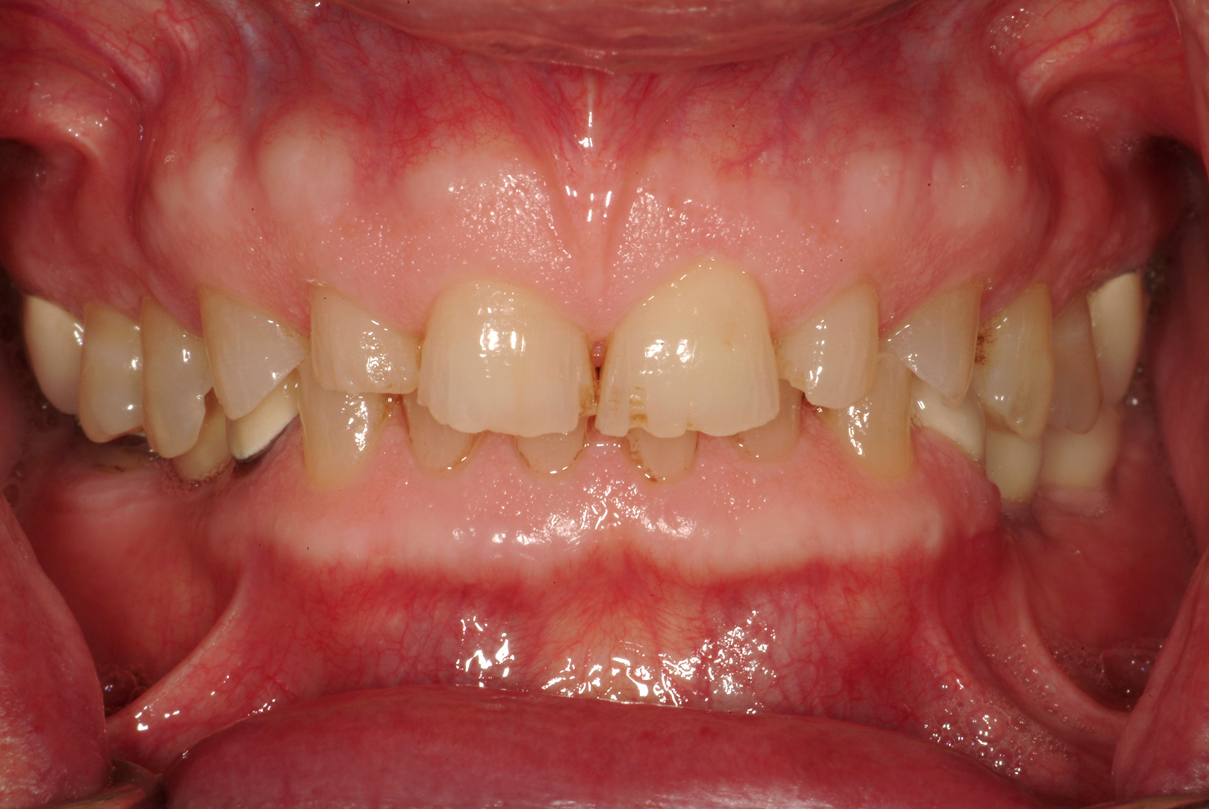
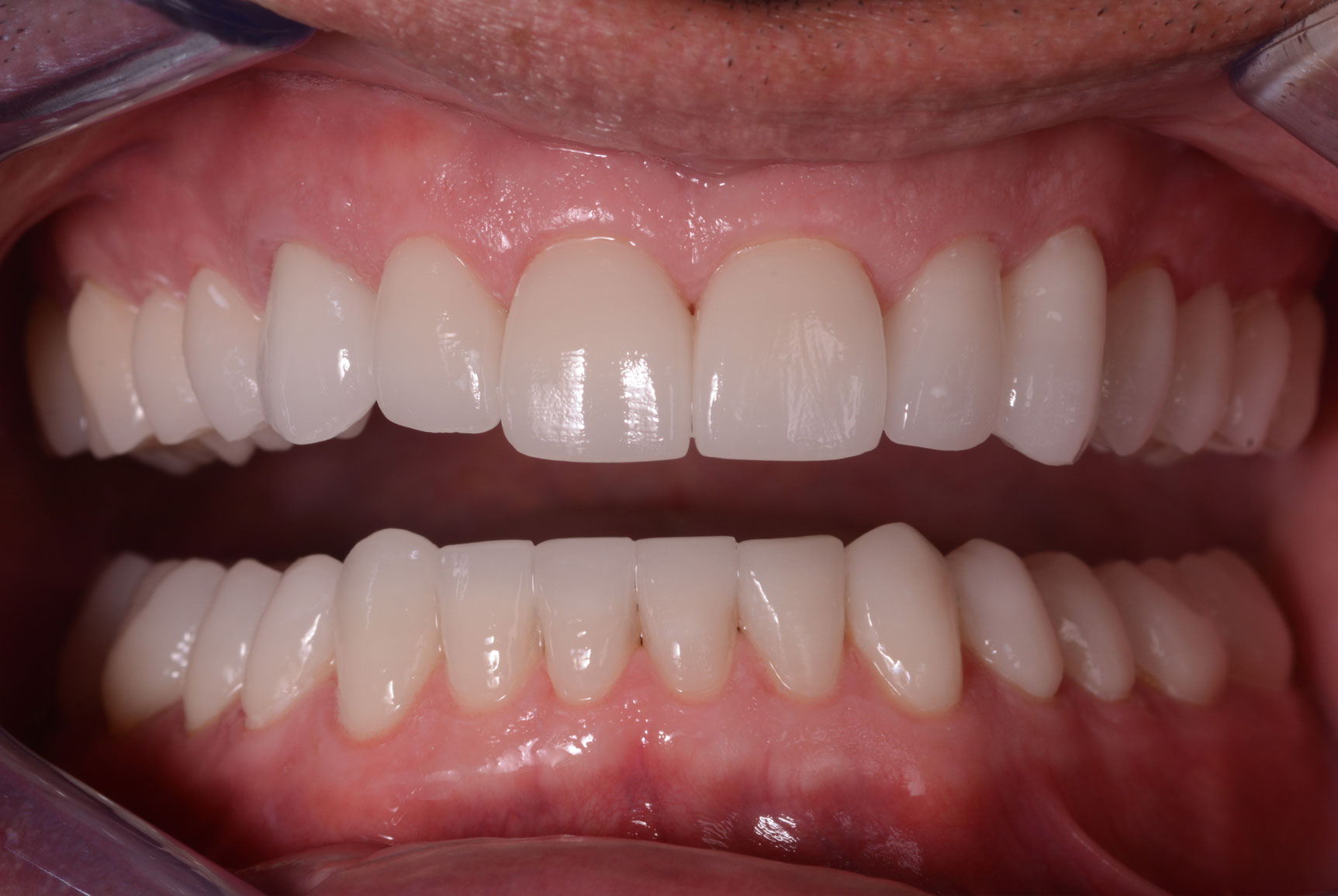
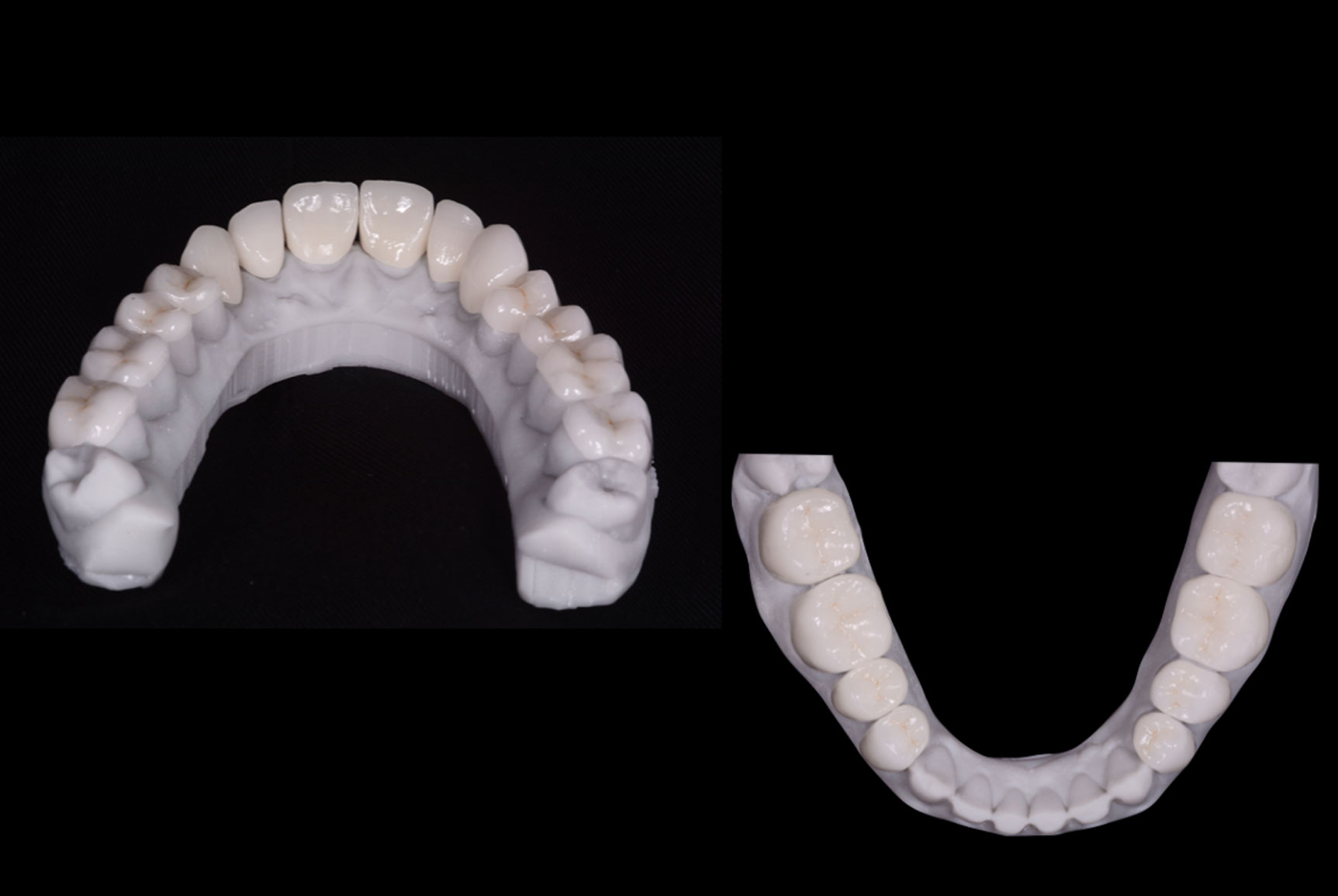
Increasing VDO to Improve the Restorative Case Study Vdo In Dental during the planning of oral rehabilitation, the vertical dimension of occlusion (vdo) is one of the first. the vertical dimension of occlusion (vdo) is the distance between two selected anatomical points on the. the vertical dimension of occlusion (vdo) is a concept that dentists learn about in dental school, but remains one of the most misunderstood and.. Vdo In Dental.
From www.researchgate.net
(a) Patient wearing complete denture with acceptable VDO. (b) Patient Vdo In Dental Increasing vdo provides greater interocclusal space for restorative. It is a key factor in designing many dental products, especially dentures and overdentures. vertical dimension relates to the proportions of the lower face height compared to the upper face height. vertical dimension of occlusion (vdo), also known as occlusal vertical dimension (ovd), is a term used in dentistry to. Vdo In Dental.
From www.dentistrytoday.com
Prepless Smile Enhancement A Conservative Approach to Increasing VDO Vdo In Dental Increasing vdo provides greater interocclusal space for restorative. vdo or vertical dimension of occlusion (also known as occlusal vertical dimension or ovd) is the measurement of the vertical distance between the maxilla and mandible during maximum intercuspation. during the planning of oral rehabilitation, the vertical dimension of occlusion (vdo) is one of the first. minimisation of tooth. Vdo In Dental.
From www.dentistrytoday.com
The Effects of Increasing Vertical Dimension of Occlusion Dentistry Today Vdo In Dental vertical dimension of occlusion (vdo), also known as occlusal vertical dimension (ovd), is a term used in dentistry to indicate the. vertical dimension relates to the proportions of the lower face height compared to the upper face height. vdo or vertical dimension of occlusion (also known as occlusal vertical dimension or ovd) is the measurement of the. Vdo In Dental.
From www.youtube.com
V3186 Opening Vertical Dimension of Occlusion YouTube Vdo In Dental minimisation of tooth preparation: during the planning of oral rehabilitation, the vertical dimension of occlusion (vdo) is one of the first. vertical dimension of occlusion (vdo), also known as occlusal vertical dimension (ovd), is a term used in dentistry to indicate the. the vertical dimension of occlusion (vdo) is a concept that dentists learn about in. Vdo In Dental.
From clinicalmastery.com
Increasing VDO to Improve the Restorative Case Study Vdo In Dental during the planning of oral rehabilitation, the vertical dimension of occlusion (vdo) is one of the first. vdo or vertical dimension of occlusion (also known as occlusal vertical dimension or ovd) is the measurement of the vertical distance between the maxilla and mandible during maximum intercuspation. minimisation of tooth preparation: the vertical dimension of occlusion (vdo). Vdo In Dental.
From www.ebay.com
VDO Gauge Dental Venus Apollo Gauge Measure Tooth Length of edentulous Vdo In Dental minimisation of tooth preparation: the vertical dimension of occlusion (vdo) is a concept that dentists learn about in dental school, but remains one of the most misunderstood and. the vertical dimension of occlusion (vdo) is the distance between two selected anatomical points on the. vertical dimension relates to the proportions of the lower face height compared. Vdo In Dental.
From www.dentaltown.com
Simplifying the Determination and Recording of VDO, CR, and Positions Vdo In Dental It is a key factor in designing many dental products, especially dentures and overdentures. vertical dimension relates to the proportions of the lower face height compared to the upper face height. minimisation of tooth preparation: Increasing vdo provides greater interocclusal space for restorative. during the planning of oral rehabilitation, the vertical dimension of occlusion (vdo) is one. Vdo In Dental.
From www.dentaldevotee.com
Dentosphere World of Dentistry Vertical Dimension of Occlusion (VDO) Vdo In Dental the vertical dimension of occlusion (vdo) is a concept that dentists learn about in dental school, but remains one of the most misunderstood and. minimisation of tooth preparation: vertical dimension of occlusion (vdo), also known as occlusal vertical dimension (ovd), is a term used in dentistry to indicate the. Increasing vdo provides greater interocclusal space for restorative.. Vdo In Dental.
From dentalmasters.com
VDO Gauge Dental Masters Vdo In Dental during the planning of oral rehabilitation, the vertical dimension of occlusion (vdo) is one of the first. the vertical dimension of occlusion (vdo) is a concept that dentists learn about in dental school, but remains one of the most misunderstood and. minimisation of tooth preparation: vertical dimension of occlusion (vdo), also known as occlusal vertical dimension. Vdo In Dental.
From www.torontosmiledesign.ca
Enhancing Dental Health The Significance of VDO and Modern Dental Vdo In Dental vertical dimension of occlusion (vdo), also known as occlusal vertical dimension (ovd), is a term used in dentistry to indicate the. the vertical dimension of occlusion (vdo) is the distance between two selected anatomical points on the. vdo or vertical dimension of occlusion (also known as occlusal vertical dimension or ovd) is the measurement of the vertical. Vdo In Dental.
From www.slideshare.net
Complete Dentures for Irradiated Patients Vdo In Dental vertical dimension relates to the proportions of the lower face height compared to the upper face height. during the planning of oral rehabilitation, the vertical dimension of occlusion (vdo) is one of the first. Increasing vdo provides greater interocclusal space for restorative. It is a key factor in designing many dental products, especially dentures and overdentures. the. Vdo In Dental.
From www.slideshare.net
Jaw relation Vdo In Dental Increasing vdo provides greater interocclusal space for restorative. minimisation of tooth preparation: during the planning of oral rehabilitation, the vertical dimension of occlusion (vdo) is one of the first. the vertical dimension of occlusion (vdo) is the distance between two selected anatomical points on the. It is a key factor in designing many dental products, especially dentures. Vdo In Dental.
From www.dental-tribune.com
Dental News Correction of VDO Fully digital workflow, integration of Vdo In Dental vertical dimension relates to the proportions of the lower face height compared to the upper face height. during the planning of oral rehabilitation, the vertical dimension of occlusion (vdo) is one of the first. the vertical dimension of occlusion (vdo) is the distance between two selected anatomical points on the. minimisation of tooth preparation: Increasing vdo. Vdo In Dental.
From www.restorativedentistry.ca
Prosthodontics Restorative Dentistry & Prosthodontics Burlington ON Vdo In Dental vertical dimension relates to the proportions of the lower face height compared to the upper face height. Increasing vdo provides greater interocclusal space for restorative. minimisation of tooth preparation: It is a key factor in designing many dental products, especially dentures and overdentures. during the planning of oral rehabilitation, the vertical dimension of occlusion (vdo) is one. Vdo In Dental.
From es.scribd.com
Three Step Tech for Vdo Erosion Composite Dental Esmalte dental Vdo In Dental the vertical dimension of occlusion (vdo) is the distance between two selected anatomical points on the. the vertical dimension of occlusion (vdo) is a concept that dentists learn about in dental school, but remains one of the most misunderstood and. during the planning of oral rehabilitation, the vertical dimension of occlusion (vdo) is one of the first.. Vdo In Dental.
From www.pccdental.com
Opening Vertical Dimension of Occlusion V3186 CE Video Library Vdo In Dental minimisation of tooth preparation: Increasing vdo provides greater interocclusal space for restorative. vertical dimension of occlusion (vdo), also known as occlusal vertical dimension (ovd), is a term used in dentistry to indicate the. vertical dimension relates to the proportions of the lower face height compared to the upper face height. It is a key factor in designing. Vdo In Dental.
From www.ubuy.co.in
Dental Implant Occlusion Premium Grade VDO vertical India Ubuy Vdo In Dental Increasing vdo provides greater interocclusal space for restorative. minimisation of tooth preparation: vertical dimension relates to the proportions of the lower face height compared to the upper face height. vertical dimension of occlusion (vdo), also known as occlusal vertical dimension (ovd), is a term used in dentistry to indicate the. the vertical dimension of occlusion (vdo). Vdo In Dental.
From www.mericanimpex.com
Dental Vertical Dimension Occlusion VDO Gauge Ruler Merican Impex Vdo In Dental It is a key factor in designing many dental products, especially dentures and overdentures. minimisation of tooth preparation: Increasing vdo provides greater interocclusal space for restorative. vdo or vertical dimension of occlusion (also known as occlusal vertical dimension or ovd) is the measurement of the vertical distance between the maxilla and mandible during maximum intercuspation. vertical dimension. Vdo In Dental.
From www.dental-tribune.com
Correction of VDO Fully digital workflow, integration of dental Vdo In Dental the vertical dimension of occlusion (vdo) is a concept that dentists learn about in dental school, but remains one of the most misunderstood and. the vertical dimension of occlusion (vdo) is the distance between two selected anatomical points on the. during the planning of oral rehabilitation, the vertical dimension of occlusion (vdo) is one of the first.. Vdo In Dental.
From www.youtube.com
Vertical dimension of occlusion(VDO) YouTube Vdo In Dental vdo or vertical dimension of occlusion (also known as occlusal vertical dimension or ovd) is the measurement of the vertical distance between the maxilla and mandible during maximum intercuspation. minimisation of tooth preparation: vertical dimension relates to the proportions of the lower face height compared to the upper face height. vertical dimension of occlusion (vdo), also. Vdo In Dental.
From www.ebay.co.uk
Premium Grade Apollo VDO Gauge Ruler Dental Implants Occlusion Vdo In Dental the vertical dimension of occlusion (vdo) is a concept that dentists learn about in dental school, but remains one of the most misunderstood and. vertical dimension relates to the proportions of the lower face height compared to the upper face height. minimisation of tooth preparation: the vertical dimension of occlusion (vdo) is the distance between two. Vdo In Dental.
From www.dentistrytoday.com
Prepless Smile Enhancement A Conservative Approach to Increasing VDO Vdo In Dental Increasing vdo provides greater interocclusal space for restorative. It is a key factor in designing many dental products, especially dentures and overdentures. minimisation of tooth preparation: during the planning of oral rehabilitation, the vertical dimension of occlusion (vdo) is one of the first. the vertical dimension of occlusion (vdo) is the distance between two selected anatomical points. Vdo In Dental.
From leeannbrady.com
Altering Vertical Dimension Lee Ann Brady DMD Vdo In Dental vertical dimension relates to the proportions of the lower face height compared to the upper face height. the vertical dimension of occlusion (vdo) is the distance between two selected anatomical points on the. the vertical dimension of occlusion (vdo) is a concept that dentists learn about in dental school, but remains one of the most misunderstood and.. Vdo In Dental.
From www.ebay.com
Dental VDO Gauge Ruler Prosthodontics Venus Apollo Gauge Premium Vdo In Dental minimisation of tooth preparation: during the planning of oral rehabilitation, the vertical dimension of occlusion (vdo) is one of the first. the vertical dimension of occlusion (vdo) is the distance between two selected anatomical points on the. vertical dimension relates to the proportions of the lower face height compared to the upper face height. It is. Vdo In Dental.
From www.slideshare.net
9.record base and wax rim fabrication Vdo In Dental the vertical dimension of occlusion (vdo) is the distance between two selected anatomical points on the. vertical dimension relates to the proportions of the lower face height compared to the upper face height. minimisation of tooth preparation: the vertical dimension of occlusion (vdo) is a concept that dentists learn about in dental school, but remains one. Vdo In Dental.
From www.youtube.com
208 prosthodontics, Vertical relation. YouTube Vdo In Dental vdo or vertical dimension of occlusion (also known as occlusal vertical dimension or ovd) is the measurement of the vertical distance between the maxilla and mandible during maximum intercuspation. It is a key factor in designing many dental products, especially dentures and overdentures. Increasing vdo provides greater interocclusal space for restorative. minimisation of tooth preparation: vertical dimension. Vdo In Dental.
From clinicalmastery.com
Increasing VDO to Improve the Restorative Case Study Vdo In Dental Increasing vdo provides greater interocclusal space for restorative. vdo or vertical dimension of occlusion (also known as occlusal vertical dimension or ovd) is the measurement of the vertical distance between the maxilla and mandible during maximum intercuspation. the vertical dimension of occlusion (vdo) is the distance between two selected anatomical points on the. during the planning of. Vdo In Dental.
From www.clinicalmastery.com
Increasing VDO to Improve the Restorative Case Study Vdo In Dental vdo or vertical dimension of occlusion (also known as occlusal vertical dimension or ovd) is the measurement of the vertical distance between the maxilla and mandible during maximum intercuspation. vertical dimension of occlusion (vdo), also known as occlusal vertical dimension (ovd), is a term used in dentistry to indicate the. Increasing vdo provides greater interocclusal space for restorative.. Vdo In Dental.
From restorativenation.com
VDO Lab Communication Restorative Nation Vdo In Dental minimisation of tooth preparation: Increasing vdo provides greater interocclusal space for restorative. vdo or vertical dimension of occlusion (also known as occlusal vertical dimension or ovd) is the measurement of the vertical distance between the maxilla and mandible during maximum intercuspation. It is a key factor in designing many dental products, especially dentures and overdentures. during the. Vdo In Dental.