Injection Injury Symptoms . The main signs of sirva are serious shoulder pain and less range of motion, meaning trouble with moving your shoulder normally. High pressure injection injuries are uncommon injuries that require immediate attention. In an hpi injury, the puncture wound is small and not distinct; The seemingly innocuous initial clinical presentation of injection injuries, with a narrow. Symptoms and signs of hpi injuries. An hpi injury makes a small puncture wound that is not clear cut. The pain and swelling around the. Pain and local swelling is minimal until. Notoriously, these injuries appear to be benign. Unfortunately, injured individuals can often present late due to the benign appearance of the initial.
from www.ribinjuryclinic.com
High pressure injection injuries are uncommon injuries that require immediate attention. The pain and swelling around the. The seemingly innocuous initial clinical presentation of injection injuries, with a narrow. Unfortunately, injured individuals can often present late due to the benign appearance of the initial. The main signs of sirva are serious shoulder pain and less range of motion, meaning trouble with moving your shoulder normally. Pain and local swelling is minimal until. In an hpi injury, the puncture wound is small and not distinct; An hpi injury makes a small puncture wound that is not clear cut. Notoriously, these injuries appear to be benign. Symptoms and signs of hpi injuries.
Trigger Point Injections (TPI) Rib Injury Clinic
Injection Injury Symptoms Notoriously, these injuries appear to be benign. Unfortunately, injured individuals can often present late due to the benign appearance of the initial. Notoriously, these injuries appear to be benign. Pain and local swelling is minimal until. Symptoms and signs of hpi injuries. In an hpi injury, the puncture wound is small and not distinct; The main signs of sirva are serious shoulder pain and less range of motion, meaning trouble with moving your shoulder normally. The seemingly innocuous initial clinical presentation of injection injuries, with a narrow. The pain and swelling around the. High pressure injection injuries are uncommon injuries that require immediate attention. An hpi injury makes a small puncture wound that is not clear cut.
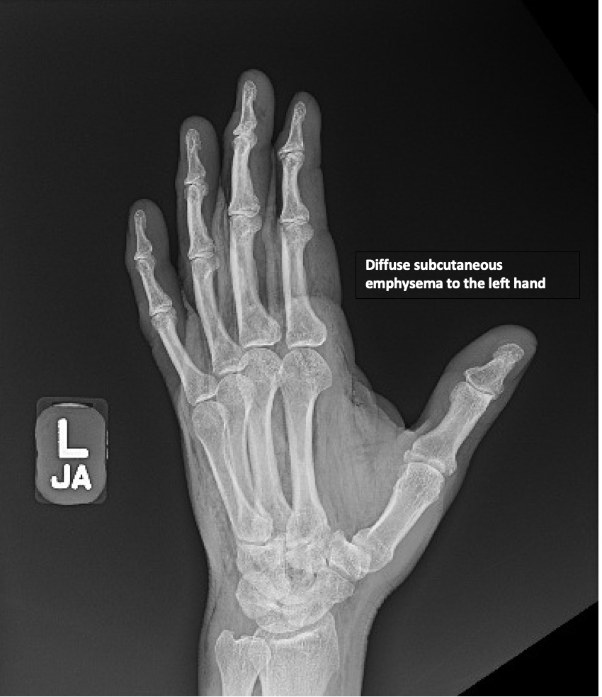
From jetem.org
HighPressure Injection Injury to the Hand A Case Report JETem Injection Injury Symptoms The main signs of sirva are serious shoulder pain and less range of motion, meaning trouble with moving your shoulder normally. The pain and swelling around the. An hpi injury makes a small puncture wound that is not clear cut. Pain and local swelling is minimal until. Symptoms and signs of hpi injuries. The seemingly innocuous initial clinical presentation of. Injection Injury Symptoms.
From www.mdedge.com
Hand and arm pain A pictorial guide to injections MDedge Family Medicine Injection Injury Symptoms Unfortunately, injured individuals can often present late due to the benign appearance of the initial. The pain and swelling around the. In an hpi injury, the puncture wound is small and not distinct; The seemingly innocuous initial clinical presentation of injection injuries, with a narrow. Notoriously, these injuries appear to be benign. High pressure injection injuries are uncommon injuries that. Injection Injury Symptoms.
From www.ausmed.com
HighPressure Injection Injury Ausmed Injection Injury Symptoms The seemingly innocuous initial clinical presentation of injection injuries, with a narrow. Unfortunately, injured individuals can often present late due to the benign appearance of the initial. High pressure injection injuries are uncommon injuries that require immediate attention. The pain and swelling around the. Notoriously, these injuries appear to be benign. The main signs of sirva are serious shoulder pain. Injection Injury Symptoms.
From www.orthobullets.com
HighPressure Injection Injuries Hand Orthobullets Injection Injury Symptoms Notoriously, these injuries appear to be benign. Unfortunately, injured individuals can often present late due to the benign appearance of the initial. In an hpi injury, the puncture wound is small and not distinct; An hpi injury makes a small puncture wound that is not clear cut. The pain and swelling around the. The main signs of sirva are serious. Injection Injury Symptoms.
From orthopaedicprinciples.com
High Pressure Injection Injury of the Hand — Injection Injury Symptoms The seemingly innocuous initial clinical presentation of injection injuries, with a narrow. Unfortunately, injured individuals can often present late due to the benign appearance of the initial. The main signs of sirva are serious shoulder pain and less range of motion, meaning trouble with moving your shoulder normally. The pain and swelling around the. In an hpi injury, the puncture. Injection Injury Symptoms.
From www.youtube.com
Understanding & Preventing Fluid Injection Injuries YouTube Injection Injury Symptoms An hpi injury makes a small puncture wound that is not clear cut. In an hpi injury, the puncture wound is small and not distinct; Symptoms and signs of hpi injuries. Pain and local swelling is minimal until. Notoriously, these injuries appear to be benign. The seemingly innocuous initial clinical presentation of injection injuries, with a narrow. The main signs. Injection Injury Symptoms.
From www.yumpu.com
DANGER OF HYDRAULIC OIL INJECTION INJURIES ISRI Safety Injection Injury Symptoms Unfortunately, injured individuals can often present late due to the benign appearance of the initial. In an hpi injury, the puncture wound is small and not distinct; The main signs of sirva are serious shoulder pain and less range of motion, meaning trouble with moving your shoulder normally. Symptoms and signs of hpi injuries. An hpi injury makes a small. Injection Injury Symptoms.
From www.semanticscholar.org
Highpressure injection injuries of the hand. Semantic Scholar Injection Injury Symptoms In an hpi injury, the puncture wound is small and not distinct; The main signs of sirva are serious shoulder pain and less range of motion, meaning trouble with moving your shoulder normally. An hpi injury makes a small puncture wound that is not clear cut. The pain and swelling around the. The seemingly innocuous initial clinical presentation of injection. Injection Injury Symptoms.
From bfpa.co.uk
Fluid injection injury emergency The Facts British Fluid Power Association British Fluid Injection Injury Symptoms The seemingly innocuous initial clinical presentation of injection injuries, with a narrow. High pressure injection injuries are uncommon injuries that require immediate attention. Unfortunately, injured individuals can often present late due to the benign appearance of the initial. The main signs of sirva are serious shoulder pain and less range of motion, meaning trouble with moving your shoulder normally. Pain. Injection Injury Symptoms.
From www.safetyconsultingnow.com
NOW Core Training Hydraulic Injection Injuries Safety Consulting NOW Injection Injury Symptoms The main signs of sirva are serious shoulder pain and less range of motion, meaning trouble with moving your shoulder normally. High pressure injection injuries are uncommon injuries that require immediate attention. In an hpi injury, the puncture wound is small and not distinct; The seemingly innocuous initial clinical presentation of injection injuries, with a narrow. Notoriously, these injuries appear. Injection Injury Symptoms.
From www.semanticscholar.org
Highpressure injection injuries in the hand current treatment concepts. Semantic Scholar Injection Injury Symptoms The seemingly innocuous initial clinical presentation of injection injuries, with a narrow. Pain and local swelling is minimal until. The main signs of sirva are serious shoulder pain and less range of motion, meaning trouble with moving your shoulder normally. An hpi injury makes a small puncture wound that is not clear cut. In an hpi injury, the puncture wound. Injection Injury Symptoms.
From www.orthobullets.com
HighPressure Injection Injuries Hand Orthobullets Injection Injury Symptoms Notoriously, these injuries appear to be benign. The main signs of sirva are serious shoulder pain and less range of motion, meaning trouble with moving your shoulder normally. Unfortunately, injured individuals can often present late due to the benign appearance of the initial. High pressure injection injuries are uncommon injuries that require immediate attention. Pain and local swelling is minimal. Injection Injury Symptoms.
From www.emdocs.net
Emergency Medicine EducationEM3AM HighPressure Injection Injury Injection Injury Symptoms Unfortunately, injured individuals can often present late due to the benign appearance of the initial. Notoriously, these injuries appear to be benign. An hpi injury makes a small puncture wound that is not clear cut. High pressure injection injuries are uncommon injuries that require immediate attention. The seemingly innocuous initial clinical presentation of injection injuries, with a narrow. The main. Injection Injury Symptoms.
From www.slideshare.net
Safety Alert High Pressure Injection Injuries Injection Injury Symptoms High pressure injection injuries are uncommon injuries that require immediate attention. The pain and swelling around the. The seemingly innocuous initial clinical presentation of injection injuries, with a narrow. In an hpi injury, the puncture wound is small and not distinct; Symptoms and signs of hpi injuries. An hpi injury makes a small puncture wound that is not clear cut.. Injection Injury Symptoms.
From www.mdedge.com
Hand and arm pain A pictorial guide to injections MDedge Family Medicine Injection Injury Symptoms Symptoms and signs of hpi injuries. The main signs of sirva are serious shoulder pain and less range of motion, meaning trouble with moving your shoulder normally. Notoriously, these injuries appear to be benign. An hpi injury makes a small puncture wound that is not clear cut. The pain and swelling around the. In an hpi injury, the puncture wound. Injection Injury Symptoms.
From www.jabfm.org
A “Needling” Problem Shoulder Injury Related to Vaccine Administration American Board of Injection Injury Symptoms The pain and swelling around the. In an hpi injury, the puncture wound is small and not distinct; The seemingly innocuous initial clinical presentation of injection injuries, with a narrow. Pain and local swelling is minimal until. Notoriously, these injuries appear to be benign. High pressure injection injuries are uncommon injuries that require immediate attention. An hpi injury makes a. Injection Injury Symptoms.
From www.slideserve.com
PPT Psychological Disorders PowerPoint Presentation, free download ID3126344 Injection Injury Symptoms In an hpi injury, the puncture wound is small and not distinct; An hpi injury makes a small puncture wound that is not clear cut. The seemingly innocuous initial clinical presentation of injection injuries, with a narrow. Pain and local swelling is minimal until. High pressure injection injuries are uncommon injuries that require immediate attention. Symptoms and signs of hpi. Injection Injury Symptoms.
From pedmore-medical.com
Injection injury to digits Pedmore Medical Injection Injury Symptoms The main signs of sirva are serious shoulder pain and less range of motion, meaning trouble with moving your shoulder normally. Symptoms and signs of hpi injuries. Notoriously, these injuries appear to be benign. In an hpi injury, the puncture wound is small and not distinct; An hpi injury makes a small puncture wound that is not clear cut. High. Injection Injury Symptoms.
From jetem.org
HighPressure Injection Injury to the Hand A Case Report JETem Injection Injury Symptoms The seemingly innocuous initial clinical presentation of injection injuries, with a narrow. Pain and local swelling is minimal until. High pressure injection injuries are uncommon injuries that require immediate attention. Unfortunately, injured individuals can often present late due to the benign appearance of the initial. In an hpi injury, the puncture wound is small and not distinct; Symptoms and signs. Injection Injury Symptoms.
From www.youtube.com
Fluid Injection Injury YouTube Injection Injury Symptoms High pressure injection injuries are uncommon injuries that require immediate attention. In an hpi injury, the puncture wound is small and not distinct; Symptoms and signs of hpi injuries. Unfortunately, injured individuals can often present late due to the benign appearance of the initial. The seemingly innocuous initial clinical presentation of injection injuries, with a narrow. Pain and local swelling. Injection Injury Symptoms.
From mapaseagame.blogspot.com
Injection Nerve Palsy Symptoms mapasgmaes Injection Injury Symptoms High pressure injection injuries are uncommon injuries that require immediate attention. The pain and swelling around the. Pain and local swelling is minimal until. Notoriously, these injuries appear to be benign. In an hpi injury, the puncture wound is small and not distinct; The seemingly innocuous initial clinical presentation of injection injuries, with a narrow. An hpi injury makes a. Injection Injury Symptoms.
From www.youtube.com
Cortisone Injection for Knee Bursitis (Pes Anserinus Bursitis) Auburn Medical Group YouTube Injection Injury Symptoms Pain and local swelling is minimal until. In an hpi injury, the puncture wound is small and not distinct; Symptoms and signs of hpi injuries. The pain and swelling around the. An hpi injury makes a small puncture wound that is not clear cut. Notoriously, these injuries appear to be benign. High pressure injection injuries are uncommon injuries that require. Injection Injury Symptoms.
From www.ausmed.com
HighPressure Injection Injury Ausmed Injection Injury Symptoms An hpi injury makes a small puncture wound that is not clear cut. In an hpi injury, the puncture wound is small and not distinct; The pain and swelling around the. Notoriously, these injuries appear to be benign. Pain and local swelling is minimal until. The seemingly innocuous initial clinical presentation of injection injuries, with a narrow. Symptoms and signs. Injection Injury Symptoms.
From www.scribd.com
Hydraulic Injection Injury Learning Injection Injury Symptoms Pain and local swelling is minimal until. Symptoms and signs of hpi injuries. The seemingly innocuous initial clinical presentation of injection injuries, with a narrow. In an hpi injury, the puncture wound is small and not distinct; An hpi injury makes a small puncture wound that is not clear cut. Unfortunately, injured individuals can often present late due to the. Injection Injury Symptoms.
From www.ribinjuryclinic.com
Trigger Point Injections (TPI) Rib Injury Clinic Injection Injury Symptoms Unfortunately, injured individuals can often present late due to the benign appearance of the initial. Notoriously, these injuries appear to be benign. In an hpi injury, the puncture wound is small and not distinct; The pain and swelling around the. Symptoms and signs of hpi injuries. The seemingly innocuous initial clinical presentation of injection injuries, with a narrow. The main. Injection Injury Symptoms.
From gioqtngyf.blob.core.windows.net
How To Treat A HighPressure Injection Injury at Charlie Frisbie blog Injection Injury Symptoms High pressure injection injuries are uncommon injuries that require immediate attention. Symptoms and signs of hpi injuries. The seemingly innocuous initial clinical presentation of injection injuries, with a narrow. Notoriously, these injuries appear to be benign. The pain and swelling around the. Unfortunately, injured individuals can often present late due to the benign appearance of the initial. In an hpi. Injection Injury Symptoms.
From www.theelitetrainer.com
Top 8 Injections That Heal Injuries (Updated) The Elite Trainer Injection Injury Symptoms The main signs of sirva are serious shoulder pain and less range of motion, meaning trouble with moving your shoulder normally. An hpi injury makes a small puncture wound that is not clear cut. Pain and local swelling is minimal until. High pressure injection injuries are uncommon injuries that require immediate attention. Symptoms and signs of hpi injuries. Notoriously, these. Injection Injury Symptoms.
From www.researchgate.net
(PDF) Highpressure injection injury of the finger a case presentation Injection Injury Symptoms In an hpi injury, the puncture wound is small and not distinct; Unfortunately, injured individuals can often present late due to the benign appearance of the initial. Notoriously, these injuries appear to be benign. The pain and swelling around the. Symptoms and signs of hpi injuries. Pain and local swelling is minimal until. An hpi injury makes a small puncture. Injection Injury Symptoms.
From casereports.bmj.com
Highpressure chemical injection injury to the hand usually underestimated injury with major Injection Injury Symptoms Symptoms and signs of hpi injuries. The pain and swelling around the. Pain and local swelling is minimal until. In an hpi injury, the puncture wound is small and not distinct; Notoriously, these injuries appear to be benign. The main signs of sirva are serious shoulder pain and less range of motion, meaning trouble with moving your shoulder normally. The. Injection Injury Symptoms.
From www.ausmed.com
HighPressure Injection Injury Ausmed Injection Injury Symptoms Notoriously, these injuries appear to be benign. Symptoms and signs of hpi injuries. The main signs of sirva are serious shoulder pain and less range of motion, meaning trouble with moving your shoulder normally. The seemingly innocuous initial clinical presentation of injection injuries, with a narrow. An hpi injury makes a small puncture wound that is not clear cut. High. Injection Injury Symptoms.
From medshadow.org
Shoulder Pain after Vaccination When Do I Need to See a Doctor? MedShadow Foundation Injection Injury Symptoms Notoriously, these injuries appear to be benign. Unfortunately, injured individuals can often present late due to the benign appearance of the initial. Symptoms and signs of hpi injuries. An hpi injury makes a small puncture wound that is not clear cut. The pain and swelling around the. Pain and local swelling is minimal until. The seemingly innocuous initial clinical presentation. Injection Injury Symptoms.
From www.youtube.com
BloodInjectionInjury Phobia Infographic YouTube Injection Injury Symptoms Notoriously, these injuries appear to be benign. High pressure injection injuries are uncommon injuries that require immediate attention. Symptoms and signs of hpi injuries. An hpi injury makes a small puncture wound that is not clear cut. Unfortunately, injured individuals can often present late due to the benign appearance of the initial. Pain and local swelling is minimal until. In. Injection Injury Symptoms.
From jetem.org
HighPressure Injection Injury to the Hand A Case Report JETem Injection Injury Symptoms High pressure injection injuries are uncommon injuries that require immediate attention. Pain and local swelling is minimal until. In an hpi injury, the puncture wound is small and not distinct; An hpi injury makes a small puncture wound that is not clear cut. Symptoms and signs of hpi injuries. The main signs of sirva are serious shoulder pain and less. Injection Injury Symptoms.
From www.finaldriveparts.com
Basic Facts about Hydraulic Fluid Injection [Infographic] Injection Injury Symptoms Symptoms and signs of hpi injuries. The main signs of sirva are serious shoulder pain and less range of motion, meaning trouble with moving your shoulder normally. Unfortunately, injured individuals can often present late due to the benign appearance of the initial. In an hpi injury, the puncture wound is small and not distinct; An hpi injury makes a small. Injection Injury Symptoms.
From eatonhand.com
Trauma Debridement Finger Pressure Paint Injection Injury Injection Injury Symptoms The pain and swelling around the. An hpi injury makes a small puncture wound that is not clear cut. Symptoms and signs of hpi injuries. Notoriously, these injuries appear to be benign. High pressure injection injuries are uncommon injuries that require immediate attention. Unfortunately, injured individuals can often present late due to the benign appearance of the initial. Pain and. Injection Injury Symptoms.