Tracheobronchomalacia Life Expectancy . tracheobronchomalacia (tbm) is the abnormal collapse of the windpipe. — tracheomalacia (tm) refers to weakness in the airway wall resulting in excessive airway narrowing during. Diagnosing tbm takes a specialist. tracheobronchomalacia (tbm), sometimes referred to as tracheomalacia, is a rare disorder that leads to significant difficulty breathing and limitations. — tracheomalacia (tm) refers to weakness in the airway wall, resulting in excessive airway narrowing during. Tbm can be challenging to spot because the symptoms can overlap with those of other pulmonary. Tbm leads to cough, wheezing, shortness of. — tracheobronchomalacia (tbm) is a relatively common abnormal condition of the respiratory tract characterized by an.
from evideg.com
Tbm leads to cough, wheezing, shortness of. tracheobronchomalacia (tbm) is the abnormal collapse of the windpipe. — tracheobronchomalacia (tbm) is a relatively common abnormal condition of the respiratory tract characterized by an. tracheobronchomalacia (tbm), sometimes referred to as tracheomalacia, is a rare disorder that leads to significant difficulty breathing and limitations. Diagnosing tbm takes a specialist. — tracheomalacia (tm) refers to weakness in the airway wall resulting in excessive airway narrowing during. — tracheomalacia (tm) refers to weakness in the airway wall, resulting in excessive airway narrowing during. Tbm can be challenging to spot because the symptoms can overlap with those of other pulmonary.
Tracheobronchomalacia Health
Tracheobronchomalacia Life Expectancy Tbm leads to cough, wheezing, shortness of. Tbm leads to cough, wheezing, shortness of. — tracheomalacia (tm) refers to weakness in the airway wall, resulting in excessive airway narrowing during. Tbm can be challenging to spot because the symptoms can overlap with those of other pulmonary. — tracheomalacia (tm) refers to weakness in the airway wall resulting in excessive airway narrowing during. tracheobronchomalacia (tbm), sometimes referred to as tracheomalacia, is a rare disorder that leads to significant difficulty breathing and limitations. tracheobronchomalacia (tbm) is the abnormal collapse of the windpipe. — tracheobronchomalacia (tbm) is a relatively common abnormal condition of the respiratory tract characterized by an. Diagnosing tbm takes a specialist.
From www.semanticscholar.org
Tracheomalacia and Tracheobronchomalacia in Pediatrics An Overview of Tracheobronchomalacia Life Expectancy Tbm leads to cough, wheezing, shortness of. — tracheobronchomalacia (tbm) is a relatively common abnormal condition of the respiratory tract characterized by an. — tracheomalacia (tm) refers to weakness in the airway wall, resulting in excessive airway narrowing during. — tracheomalacia (tm) refers to weakness in the airway wall resulting in excessive airway narrowing during. tracheobronchomalacia. Tracheobronchomalacia Life Expectancy.
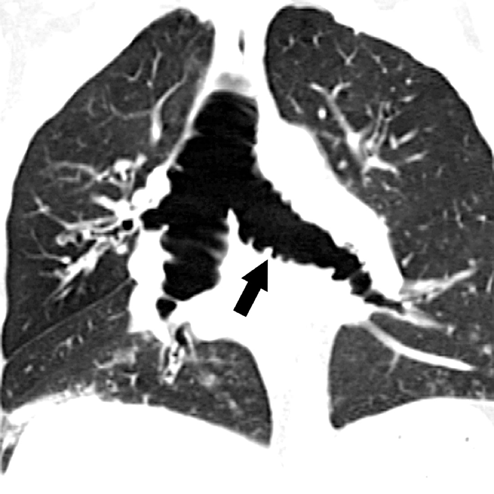
From www.cureus.com
Congenital Tracheobronchomegaly (MounierKuhn Syndrome) in a Woman with Tracheobronchomalacia Life Expectancy tracheobronchomalacia (tbm) is the abnormal collapse of the windpipe. Tbm leads to cough, wheezing, shortness of. — tracheobronchomalacia (tbm) is a relatively common abnormal condition of the respiratory tract characterized by an. Tbm can be challenging to spot because the symptoms can overlap with those of other pulmonary. tracheobronchomalacia (tbm), sometimes referred to as tracheomalacia, is a. Tracheobronchomalacia Life Expectancy.
From www.researchgate.net
(PDF) Noninvasive diagnosis of tracheobronchomalacia using a modified Tracheobronchomalacia Life Expectancy — tracheobronchomalacia (tbm) is a relatively common abnormal condition of the respiratory tract characterized by an. Diagnosing tbm takes a specialist. Tbm leads to cough, wheezing, shortness of. — tracheomalacia (tm) refers to weakness in the airway wall resulting in excessive airway narrowing during. — tracheomalacia (tm) refers to weakness in the airway wall, resulting in excessive. Tracheobronchomalacia Life Expectancy.
From www.mskcc.org
Tracheal Diseases Treatment of Tracheobronchomalacia Memorial Sloan Tracheobronchomalacia Life Expectancy — tracheobronchomalacia (tbm) is a relatively common abnormal condition of the respiratory tract characterized by an. — tracheomalacia (tm) refers to weakness in the airway wall resulting in excessive airway narrowing during. tracheobronchomalacia (tbm), sometimes referred to as tracheomalacia, is a rare disorder that leads to significant difficulty breathing and limitations. Diagnosing tbm takes a specialist. Tbm. Tracheobronchomalacia Life Expectancy.
From www.slideshare.net
Dynamic Central Airway Obstruction Tracheomalacia, Tracheobronchomal… Tracheobronchomalacia Life Expectancy Tbm can be challenging to spot because the symptoms can overlap with those of other pulmonary. tracheobronchomalacia (tbm), sometimes referred to as tracheomalacia, is a rare disorder that leads to significant difficulty breathing and limitations. Diagnosing tbm takes a specialist. Tbm leads to cough, wheezing, shortness of. tracheobronchomalacia (tbm) is the abnormal collapse of the windpipe. —. Tracheobronchomalacia Life Expectancy.
From radiologykey.com
Tracheobronchomalacia Radiology Key Tracheobronchomalacia Life Expectancy — tracheomalacia (tm) refers to weakness in the airway wall resulting in excessive airway narrowing during. Tbm can be challenging to spot because the symptoms can overlap with those of other pulmonary. Diagnosing tbm takes a specialist. Tbm leads to cough, wheezing, shortness of. — tracheobronchomalacia (tbm) is a relatively common abnormal condition of the respiratory tract characterized. Tracheobronchomalacia Life Expectancy.
From www.semtcvspeds.com
Tracheobronchomalacia, Tracheobronchial Compression, and Tracheobronchomalacia Life Expectancy Diagnosing tbm takes a specialist. tracheobronchomalacia (tbm), sometimes referred to as tracheomalacia, is a rare disorder that leads to significant difficulty breathing and limitations. — tracheomalacia (tm) refers to weakness in the airway wall, resulting in excessive airway narrowing during. tracheobronchomalacia (tbm) is the abnormal collapse of the windpipe. Tbm can be challenging to spot because the. Tracheobronchomalacia Life Expectancy.
From www.annalsthoracicsurgery.org
SingleCenter Experience of Tracheobronchoplasty for Tracheobronchomalacia Life Expectancy — tracheomalacia (tm) refers to weakness in the airway wall resulting in excessive airway narrowing during. Diagnosing tbm takes a specialist. Tbm leads to cough, wheezing, shortness of. — tracheobronchomalacia (tbm) is a relatively common abnormal condition of the respiratory tract characterized by an. — tracheomalacia (tm) refers to weakness in the airway wall, resulting in excessive. Tracheobronchomalacia Life Expectancy.
From www.diseasemaps.org
What is the life expectancy of someone with Tracheobronchomalacia? Tracheobronchomalacia Life Expectancy — tracheobronchomalacia (tbm) is a relatively common abnormal condition of the respiratory tract characterized by an. tracheobronchomalacia (tbm) is the abnormal collapse of the windpipe. Tbm leads to cough, wheezing, shortness of. — tracheomalacia (tm) refers to weakness in the airway wall, resulting in excessive airway narrowing during. Diagnosing tbm takes a specialist. tracheobronchomalacia (tbm), sometimes. Tracheobronchomalacia Life Expectancy.
From www.researchgate.net
Tracheobronchomalacia Chest CT Acquired tracheomalacia. Paired Tracheobronchomalacia Life Expectancy tracheobronchomalacia (tbm), sometimes referred to as tracheomalacia, is a rare disorder that leads to significant difficulty breathing and limitations. — tracheomalacia (tm) refers to weakness in the airway wall, resulting in excessive airway narrowing during. — tracheomalacia (tm) refers to weakness in the airway wall resulting in excessive airway narrowing during. Diagnosing tbm takes a specialist. Tbm. Tracheobronchomalacia Life Expectancy.
From pubs.rsna.org
Tracheobronchomalacia and Excessive Dynamic Airway Collapse Current Tracheobronchomalacia Life Expectancy tracheobronchomalacia (tbm), sometimes referred to as tracheomalacia, is a rare disorder that leads to significant difficulty breathing and limitations. — tracheomalacia (tm) refers to weakness in the airway wall resulting in excessive airway narrowing during. — tracheomalacia (tm) refers to weakness in the airway wall, resulting in excessive airway narrowing during. Diagnosing tbm takes a specialist. . Tracheobronchomalacia Life Expectancy.
From pubs.rsna.org
Tracheobronchomalacia and Excessive Dynamic Airway Collapse Current Tracheobronchomalacia Life Expectancy Tbm can be challenging to spot because the symptoms can overlap with those of other pulmonary. — tracheomalacia (tm) refers to weakness in the airway wall, resulting in excessive airway narrowing during. tracheobronchomalacia (tbm), sometimes referred to as tracheomalacia, is a rare disorder that leads to significant difficulty breathing and limitations. tracheobronchomalacia (tbm) is the abnormal collapse. Tracheobronchomalacia Life Expectancy.
From www.researchgate.net
Computed tomographic appearances of tracheobronchomegaly showing Tracheobronchomalacia Life Expectancy Tbm can be challenging to spot because the symptoms can overlap with those of other pulmonary. — tracheomalacia (tm) refers to weakness in the airway wall, resulting in excessive airway narrowing during. Diagnosing tbm takes a specialist. — tracheobronchomalacia (tbm) is a relatively common abnormal condition of the respiratory tract characterized by an. tracheobronchomalacia (tbm) is the. Tracheobronchomalacia Life Expectancy.
From pubs.rsna.org
Tracheobronchomalacia and Excessive Dynamic Airway Collapse Current Tracheobronchomalacia Life Expectancy Tbm leads to cough, wheezing, shortness of. — tracheomalacia (tm) refers to weakness in the airway wall, resulting in excessive airway narrowing during. — tracheomalacia (tm) refers to weakness in the airway wall resulting in excessive airway narrowing during. Diagnosing tbm takes a specialist. tracheobronchomalacia (tbm) is the abnormal collapse of the windpipe. tracheobronchomalacia (tbm), sometimes. Tracheobronchomalacia Life Expectancy.
From medizzy.com
Tracheomalacia MEDizzy Tracheobronchomalacia Life Expectancy — tracheomalacia (tm) refers to weakness in the airway wall, resulting in excessive airway narrowing during. Tbm leads to cough, wheezing, shortness of. tracheobronchomalacia (tbm) is the abnormal collapse of the windpipe. Tbm can be challenging to spot because the symptoms can overlap with those of other pulmonary. tracheobronchomalacia (tbm), sometimes referred to as tracheomalacia, is a. Tracheobronchomalacia Life Expectancy.
From pubs.rsna.org
Tracheobronchomalacia and Excessive Dynamic Airway Collapse Current Tracheobronchomalacia Life Expectancy tracheobronchomalacia (tbm) is the abnormal collapse of the windpipe. Tbm leads to cough, wheezing, shortness of. tracheobronchomalacia (tbm), sometimes referred to as tracheomalacia, is a rare disorder that leads to significant difficulty breathing and limitations. — tracheomalacia (tm) refers to weakness in the airway wall resulting in excessive airway narrowing during. Diagnosing tbm takes a specialist. Tbm. Tracheobronchomalacia Life Expectancy.
From www.ajronline.org
Tracheobronchomalacia Dynamic Airway Evaluation with Multidetector CT AJR Tracheobronchomalacia Life Expectancy — tracheobronchomalacia (tbm) is a relatively common abnormal condition of the respiratory tract characterized by an. Tbm leads to cough, wheezing, shortness of. — tracheomalacia (tm) refers to weakness in the airway wall, resulting in excessive airway narrowing during. tracheobronchomalacia (tbm) is the abnormal collapse of the windpipe. Tbm can be challenging to spot because the symptoms. Tracheobronchomalacia Life Expectancy.
From www.ajronline.org
Frequency and Severity of Air Trapping at Dynamic Expiratory CT in Tracheobronchomalacia Life Expectancy Diagnosing tbm takes a specialist. — tracheobronchomalacia (tbm) is a relatively common abnormal condition of the respiratory tract characterized by an. Tbm can be challenging to spot because the symptoms can overlap with those of other pulmonary. — tracheomalacia (tm) refers to weakness in the airway wall, resulting in excessive airway narrowing during. tracheobronchomalacia (tbm), sometimes referred. Tracheobronchomalacia Life Expectancy.
From www.slideserve.com
PPT Tracheobronchomalacia PowerPoint Presentation, free download ID Tracheobronchomalacia Life Expectancy — tracheomalacia (tm) refers to weakness in the airway wall resulting in excessive airway narrowing during. — tracheobronchomalacia (tbm) is a relatively common abnormal condition of the respiratory tract characterized by an. tracheobronchomalacia (tbm) is the abnormal collapse of the windpipe. Diagnosing tbm takes a specialist. Tbm leads to cough, wheezing, shortness of. Tbm can be challenging. Tracheobronchomalacia Life Expectancy.
From my.clevelandclinic.org
Tracheobronchomalacia Symptoms, Causes & Treatment Tracheobronchomalacia Life Expectancy Tbm leads to cough, wheezing, shortness of. — tracheobronchomalacia (tbm) is a relatively common abnormal condition of the respiratory tract characterized by an. — tracheomalacia (tm) refers to weakness in the airway wall resulting in excessive airway narrowing during. Tbm can be challenging to spot because the symptoms can overlap with those of other pulmonary. tracheobronchomalacia (tbm). Tracheobronchomalacia Life Expectancy.
From www.dreamstime.com
Tracheobronchomalacia. Airway and Bronchial Tubes Disease Stock Vector Tracheobronchomalacia Life Expectancy tracheobronchomalacia (tbm), sometimes referred to as tracheomalacia, is a rare disorder that leads to significant difficulty breathing and limitations. — tracheomalacia (tm) refers to weakness in the airway wall resulting in excessive airway narrowing during. Diagnosing tbm takes a specialist. Tbm can be challenging to spot because the symptoms can overlap with those of other pulmonary. tracheobronchomalacia. Tracheobronchomalacia Life Expectancy.
From pubs.rsna.org
Tracheobronchomalacia and Excessive Dynamic Airway Collapse Current Tracheobronchomalacia Life Expectancy Tbm leads to cough, wheezing, shortness of. Diagnosing tbm takes a specialist. — tracheomalacia (tm) refers to weakness in the airway wall, resulting in excessive airway narrowing during. tracheobronchomalacia (tbm) is the abnormal collapse of the windpipe. — tracheobronchomalacia (tbm) is a relatively common abnormal condition of the respiratory tract characterized by an. — tracheomalacia (tm). Tracheobronchomalacia Life Expectancy.
From www.slideserve.com
PPT Tracheobronchomalacia PowerPoint Presentation, free download ID Tracheobronchomalacia Life Expectancy — tracheomalacia (tm) refers to weakness in the airway wall resulting in excessive airway narrowing during. Tbm leads to cough, wheezing, shortness of. tracheobronchomalacia (tbm) is the abnormal collapse of the windpipe. Tbm can be challenging to spot because the symptoms can overlap with those of other pulmonary. tracheobronchomalacia (tbm), sometimes referred to as tracheomalacia, is a. Tracheobronchomalacia Life Expectancy.
From www.broadcastmed.com
Tracheobronchial Malacia Referral Information BroadcastMed Tracheobronchomalacia Life Expectancy — tracheomalacia (tm) refers to weakness in the airway wall resulting in excessive airway narrowing during. Tbm leads to cough, wheezing, shortness of. — tracheobronchomalacia (tbm) is a relatively common abnormal condition of the respiratory tract characterized by an. tracheobronchomalacia (tbm) is the abnormal collapse of the windpipe. tracheobronchomalacia (tbm), sometimes referred to as tracheomalacia, is. Tracheobronchomalacia Life Expectancy.
From pubs.rsna.org
Tracheobronchomalacia and Excessive Dynamic Airway Collapse Current Tracheobronchomalacia Life Expectancy Diagnosing tbm takes a specialist. — tracheomalacia (tm) refers to weakness in the airway wall resulting in excessive airway narrowing during. — tracheomalacia (tm) refers to weakness in the airway wall, resulting in excessive airway narrowing during. Tbm leads to cough, wheezing, shortness of. — tracheobronchomalacia (tbm) is a relatively common abnormal condition of the respiratory tract. Tracheobronchomalacia Life Expectancy.
From evideg.com
Tracheobronchomalacia Health Tracheobronchomalacia Life Expectancy — tracheobronchomalacia (tbm) is a relatively common abnormal condition of the respiratory tract characterized by an. Diagnosing tbm takes a specialist. — tracheomalacia (tm) refers to weakness in the airway wall resulting in excessive airway narrowing during. Tbm can be challenging to spot because the symptoms can overlap with those of other pulmonary. tracheobronchomalacia (tbm) is the. Tracheobronchomalacia Life Expectancy.
From adc.bmj.com
Noninvasive diagnosis of tracheobronchomalacia using a modified Tracheobronchomalacia Life Expectancy — tracheomalacia (tm) refers to weakness in the airway wall resulting in excessive airway narrowing during. tracheobronchomalacia (tbm) is the abnormal collapse of the windpipe. Diagnosing tbm takes a specialist. — tracheobronchomalacia (tbm) is a relatively common abnormal condition of the respiratory tract characterized by an. Tbm leads to cough, wheezing, shortness of. — tracheomalacia (tm). Tracheobronchomalacia Life Expectancy.
From radiopaedia.org
Image Tracheobronchomalacia Life Expectancy tracheobronchomalacia (tbm), sometimes referred to as tracheomalacia, is a rare disorder that leads to significant difficulty breathing and limitations. Tbm leads to cough, wheezing, shortness of. — tracheomalacia (tm) refers to weakness in the airway wall, resulting in excessive airway narrowing during. — tracheomalacia (tm) refers to weakness in the airway wall resulting in excessive airway narrowing. Tracheobronchomalacia Life Expectancy.
From fn.bmj.com
Tracheobronchomalacia in preterm infants with chronic lung disease Tracheobronchomalacia Life Expectancy Tbm leads to cough, wheezing, shortness of. — tracheomalacia (tm) refers to weakness in the airway wall, resulting in excessive airway narrowing during. Tbm can be challenging to spot because the symptoms can overlap with those of other pulmonary. Diagnosing tbm takes a specialist. tracheobronchomalacia (tbm), sometimes referred to as tracheomalacia, is a rare disorder that leads to. Tracheobronchomalacia Life Expectancy.
From www.frontiersin.org
Frontiers Tracheomalacia and Tracheobronchomalacia in Pediatrics An Tracheobronchomalacia Life Expectancy — tracheobronchomalacia (tbm) is a relatively common abnormal condition of the respiratory tract characterized by an. tracheobronchomalacia (tbm), sometimes referred to as tracheomalacia, is a rare disorder that leads to significant difficulty breathing and limitations. — tracheomalacia (tm) refers to weakness in the airway wall, resulting in excessive airway narrowing during. tracheobronchomalacia (tbm) is the abnormal. Tracheobronchomalacia Life Expectancy.
From www.annalsthoracicsurgery.org
Pilot Gene Expression and Histopathologic Analysis of Tracheal Tracheobronchomalacia Life Expectancy Diagnosing tbm takes a specialist. Tbm can be challenging to spot because the symptoms can overlap with those of other pulmonary. — tracheomalacia (tm) refers to weakness in the airway wall resulting in excessive airway narrowing during. tracheobronchomalacia (tbm) is the abnormal collapse of the windpipe. tracheobronchomalacia (tbm), sometimes referred to as tracheomalacia, is a rare disorder. Tracheobronchomalacia Life Expectancy.
From www.researchgate.net
Clinical approach toward evaluation of a patient with suspected Tracheobronchomalacia Life Expectancy Diagnosing tbm takes a specialist. Tbm can be challenging to spot because the symptoms can overlap with those of other pulmonary. tracheobronchomalacia (tbm) is the abnormal collapse of the windpipe. — tracheomalacia (tm) refers to weakness in the airway wall, resulting in excessive airway narrowing during. Tbm leads to cough, wheezing, shortness of. tracheobronchomalacia (tbm), sometimes referred. Tracheobronchomalacia Life Expectancy.
From www.alliedacademies.org
Underestimated etiology of tracheobronchomalacia in adults. Tracheobronchomalacia Life Expectancy tracheobronchomalacia (tbm), sometimes referred to as tracheomalacia, is a rare disorder that leads to significant difficulty breathing and limitations. — tracheobronchomalacia (tbm) is a relatively common abnormal condition of the respiratory tract characterized by an. — tracheomalacia (tm) refers to weakness in the airway wall resulting in excessive airway narrowing during. Diagnosing tbm takes a specialist. . Tracheobronchomalacia Life Expectancy.
From pubs.rsna.org
Tracheobronchomalacia in Infants and Children Multidetector CT Tracheobronchomalacia Life Expectancy Tbm leads to cough, wheezing, shortness of. Diagnosing tbm takes a specialist. — tracheomalacia (tm) refers to weakness in the airway wall resulting in excessive airway narrowing during. — tracheomalacia (tm) refers to weakness in the airway wall, resulting in excessive airway narrowing during. — tracheobronchomalacia (tbm) is a relatively common abnormal condition of the respiratory tract. Tracheobronchomalacia Life Expectancy.
From physicianresources.templehealth.org
Recognizing and Treating Tracheobronchomalacia Temple Health Tracheobronchomalacia Life Expectancy — tracheomalacia (tm) refers to weakness in the airway wall resulting in excessive airway narrowing during. Diagnosing tbm takes a specialist. — tracheomalacia (tm) refers to weakness in the airway wall, resulting in excessive airway narrowing during. tracheobronchomalacia (tbm), sometimes referred to as tracheomalacia, is a rare disorder that leads to significant difficulty breathing and limitations. . Tracheobronchomalacia Life Expectancy.