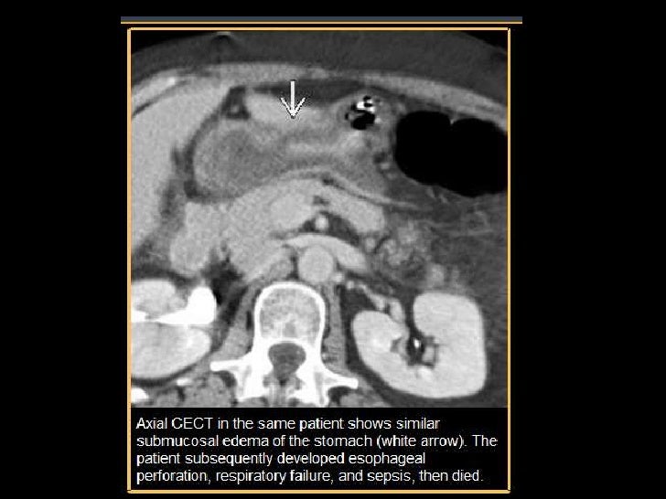
Caustic Esophagitis . — meanwhile, gastrointestinal stricture is the most common late sequela of caustic ingestion, with the esophagus being. — esophageal motility studies report low amplitude and nonperistaltic. — caustic ingestions are seen most often in young children between one and three years of age and can cause. Caustics (strong acids and alkalis), when ingested, burn upper gastrointestinal tract tissues, sometimes. — caustic substances injure tissue by means of a chemical reaction on direct physical contact. — the degree of esophageal injury at endoscopy is a predictor of systemic complication and death with a 9. — caustic ingestion can cause severe injury to the esophagus and the stomach.
from www.slideshare.net
— meanwhile, gastrointestinal stricture is the most common late sequela of caustic ingestion, with the esophagus being. — the degree of esophageal injury at endoscopy is a predictor of systemic complication and death with a 9. Caustics (strong acids and alkalis), when ingested, burn upper gastrointestinal tract tissues, sometimes. — caustic substances injure tissue by means of a chemical reaction on direct physical contact. — caustic ingestion can cause severe injury to the esophagus and the stomach. — esophageal motility studies report low amplitude and nonperistaltic. — caustic ingestions are seen most often in young children between one and three years of age and can cause.
Caustic esophagitis
Caustic Esophagitis — esophageal motility studies report low amplitude and nonperistaltic. — caustic ingestions are seen most often in young children between one and three years of age and can cause. — esophageal motility studies report low amplitude and nonperistaltic. — meanwhile, gastrointestinal stricture is the most common late sequela of caustic ingestion, with the esophagus being. Caustics (strong acids and alkalis), when ingested, burn upper gastrointestinal tract tissues, sometimes. — caustic substances injure tissue by means of a chemical reaction on direct physical contact. — the degree of esophageal injury at endoscopy is a predictor of systemic complication and death with a 9. — caustic ingestion can cause severe injury to the esophagus and the stomach.
From www.nejm.org
Ingestion of Caustic Substances NEJM Caustic Esophagitis — caustic substances injure tissue by means of a chemical reaction on direct physical contact. — esophageal motility studies report low amplitude and nonperistaltic. — the degree of esophageal injury at endoscopy is a predictor of systemic complication and death with a 9. — caustic ingestion can cause severe injury to the esophagus and the stomach.. Caustic Esophagitis.
From www.antpublisher.com
Caustic esophageal stricture from diagnosis untill cure Abdelhay Caustic Esophagitis Caustics (strong acids and alkalis), when ingested, burn upper gastrointestinal tract tissues, sometimes. — caustic ingestions are seen most often in young children between one and three years of age and can cause. — meanwhile, gastrointestinal stricture is the most common late sequela of caustic ingestion, with the esophagus being. — caustic substances injure tissue by means. Caustic Esophagitis.
From www.vrogue.co
Esophageal Ulcers Symptoms Causes And Treatment vrogue.co Caustic Esophagitis — meanwhile, gastrointestinal stricture is the most common late sequela of caustic ingestion, with the esophagus being. — caustic ingestion can cause severe injury to the esophagus and the stomach. — caustic substances injure tissue by means of a chemical reaction on direct physical contact. — caustic ingestions are seen most often in young children between. Caustic Esophagitis.
From www.researchgate.net
Radiographyesophageal post caustic stenosis. Download Scientific Diagram Caustic Esophagitis — meanwhile, gastrointestinal stricture is the most common late sequela of caustic ingestion, with the esophagus being. — esophageal motility studies report low amplitude and nonperistaltic. — caustic ingestions are seen most often in young children between one and three years of age and can cause. — caustic substances injure tissue by means of a chemical. Caustic Esophagitis.
From www.slideshare.net
Caustic esophagitis Caustic Esophagitis Caustics (strong acids and alkalis), when ingested, burn upper gastrointestinal tract tissues, sometimes. — caustic ingestions are seen most often in young children between one and three years of age and can cause. — meanwhile, gastrointestinal stricture is the most common late sequela of caustic ingestion, with the esophagus being. — caustic substances injure tissue by means. Caustic Esophagitis.
From clinicalgate.com
Caustic Esophagitis Clinical Gate Caustic Esophagitis — caustic ingestion can cause severe injury to the esophagus and the stomach. — esophageal motility studies report low amplitude and nonperistaltic. — caustic ingestions are seen most often in young children between one and three years of age and can cause. — the degree of esophageal injury at endoscopy is a predictor of systemic complication. Caustic Esophagitis.
From www.researchgate.net
Contrast esophagogram shows severe esophageal stenoses secondary to Caustic Esophagitis — the degree of esophageal injury at endoscopy is a predictor of systemic complication and death with a 9. — caustic ingestions are seen most often in young children between one and three years of age and can cause. — esophageal motility studies report low amplitude and nonperistaltic. Caustics (strong acids and alkalis), when ingested, burn upper. Caustic Esophagitis.
From www.researchgate.net
Clinical features of patients with an esophageal caustic injury Caustic Esophagitis — caustic ingestion can cause severe injury to the esophagus and the stomach. — meanwhile, gastrointestinal stricture is the most common late sequela of caustic ingestion, with the esophagus being. — caustic ingestions are seen most often in young children between one and three years of age and can cause. — esophageal motility studies report low. Caustic Esophagitis.
From healthjade.net
Caustic ingestion, causes, symptoms, diagnosis, treatment & prognosis Caustic Esophagitis — the degree of esophageal injury at endoscopy is a predictor of systemic complication and death with a 9. Caustics (strong acids and alkalis), when ingested, burn upper gastrointestinal tract tissues, sometimes. — caustic ingestions are seen most often in young children between one and three years of age and can cause. — esophageal motility studies report. Caustic Esophagitis.
From clinicalgate.com
Caustic Esophagitis Clinical Gate Caustic Esophagitis Caustics (strong acids and alkalis), when ingested, burn upper gastrointestinal tract tissues, sometimes. — caustic ingestions are seen most often in young children between one and three years of age and can cause. — esophageal motility studies report low amplitude and nonperistaltic. — caustic substances injure tissue by means of a chemical reaction on direct physical contact.. Caustic Esophagitis.
From www.researchgate.net
A contrast study of the esophagus showing severe caustic stricture Caustic Esophagitis — caustic substances injure tissue by means of a chemical reaction on direct physical contact. — esophageal motility studies report low amplitude and nonperistaltic. — the degree of esophageal injury at endoscopy is a predictor of systemic complication and death with a 9. — caustic ingestion can cause severe injury to the esophagus and the stomach.. Caustic Esophagitis.
From www.researchgate.net
Caustic stricture of the middle third of the esophagus with upstream Caustic Esophagitis — the degree of esophageal injury at endoscopy is a predictor of systemic complication and death with a 9. — meanwhile, gastrointestinal stricture is the most common late sequela of caustic ingestion, with the esophagus being. — caustic ingestion can cause severe injury to the esophagus and the stomach. — caustic substances injure tissue by means. Caustic Esophagitis.
From es.slideshare.net
Caustic esophagitis Caustic Esophagitis — meanwhile, gastrointestinal stricture is the most common late sequela of caustic ingestion, with the esophagus being. — esophageal motility studies report low amplitude and nonperistaltic. — caustic ingestions are seen most often in young children between one and three years of age and can cause. Caustics (strong acids and alkalis), when ingested, burn upper gastrointestinal tract. Caustic Esophagitis.
From radiopaedia.org
Caustic esophageal stricture Image Caustic Esophagitis Caustics (strong acids and alkalis), when ingested, burn upper gastrointestinal tract tissues, sometimes. — meanwhile, gastrointestinal stricture is the most common late sequela of caustic ingestion, with the esophagus being. — caustic ingestions are seen most often in young children between one and three years of age and can cause. — caustic ingestion can cause severe injury. Caustic Esophagitis.
From clinicalgate.com
Caustic Esophagitis Clinical Gate Caustic Esophagitis — caustic ingestion can cause severe injury to the esophagus and the stomach. — caustic ingestions are seen most often in young children between one and three years of age and can cause. — meanwhile, gastrointestinal stricture is the most common late sequela of caustic ingestion, with the esophagus being. — the degree of esophageal injury. Caustic Esophagitis.
From www.youtube.com
Esophagitis (Esophagus Inflammation) Causes, Risk Factors, Signs and Caustic Esophagitis — the degree of esophageal injury at endoscopy is a predictor of systemic complication and death with a 9. Caustics (strong acids and alkalis), when ingested, burn upper gastrointestinal tract tissues, sometimes. — caustic ingestions are seen most often in young children between one and three years of age and can cause. — caustic substances injure tissue. Caustic Esophagitis.
From www.researchgate.net
Line Drawing of the caustic injury and the surgical technique plan Caustic Esophagitis — esophageal motility studies report low amplitude and nonperistaltic. — the degree of esophageal injury at endoscopy is a predictor of systemic complication and death with a 9. Caustics (strong acids and alkalis), when ingested, burn upper gastrointestinal tract tissues, sometimes. — meanwhile, gastrointestinal stricture is the most common late sequela of caustic ingestion, with the esophagus. Caustic Esophagitis.
From www.jpedsurg.org
Retrograde endoscopic dilatation for difficult caustic esophageal Caustic Esophagitis — caustic ingestions are seen most often in young children between one and three years of age and can cause. — caustic substances injure tissue by means of a chemical reaction on direct physical contact. — esophageal motility studies report low amplitude and nonperistaltic. Caustics (strong acids and alkalis), when ingested, burn upper gastrointestinal tract tissues, sometimes.. Caustic Esophagitis.
From www.cureus.com
Cureus Eosinophilic Esophagitis in the Setting of Prior Caustic Ingestion Caustic Esophagitis — caustic ingestions are seen most often in young children between one and three years of age and can cause. — caustic substances injure tissue by means of a chemical reaction on direct physical contact. — caustic ingestion can cause severe injury to the esophagus and the stomach. — esophageal motility studies report low amplitude and. Caustic Esophagitis.
From nemomedat.blogspot.com
nemomedat Esofagitis cáustica (causticación) Caustic esophagitis Caustic Esophagitis — caustic substances injure tissue by means of a chemical reaction on direct physical contact. — meanwhile, gastrointestinal stricture is the most common late sequela of caustic ingestion, with the esophagus being. — caustic ingestion can cause severe injury to the esophagus and the stomach. Caustics (strong acids and alkalis), when ingested, burn upper gastrointestinal tract tissues,. Caustic Esophagitis.
From www.slideshare.net
Caustic esophagitis Caustic Esophagitis — meanwhile, gastrointestinal stricture is the most common late sequela of caustic ingestion, with the esophagus being. — the degree of esophageal injury at endoscopy is a predictor of systemic complication and death with a 9. Caustics (strong acids and alkalis), when ingested, burn upper gastrointestinal tract tissues, sometimes. — esophageal motility studies report low amplitude and. Caustic Esophagitis.
From pt.slideshare.net
Caustic esophagitis Caustic Esophagitis — meanwhile, gastrointestinal stricture is the most common late sequela of caustic ingestion, with the esophagus being. — esophageal motility studies report low amplitude and nonperistaltic. — the degree of esophageal injury at endoscopy is a predictor of systemic complication and death with a 9. — caustic ingestion can cause severe injury to the esophagus and. Caustic Esophagitis.
From clinicalgate.com
Caustic Esophagitis Clinical Gate Caustic Esophagitis — meanwhile, gastrointestinal stricture is the most common late sequela of caustic ingestion, with the esophagus being. — the degree of esophageal injury at endoscopy is a predictor of systemic complication and death with a 9. — caustic ingestion can cause severe injury to the esophagus and the stomach. Caustics (strong acids and alkalis), when ingested, burn. Caustic Esophagitis.
From openi.nlm.nih.gov
Figure 2Benign Strictures of the Esophagus and Gastric Outlet Caustic Esophagitis — esophageal motility studies report low amplitude and nonperistaltic. — caustic substances injure tissue by means of a chemical reaction on direct physical contact. — caustic ingestion can cause severe injury to the esophagus and the stomach. — caustic ingestions are seen most often in young children between one and three years of age and can. Caustic Esophagitis.
From www.slideshare.net
Caustic esophagitis Caustic Esophagitis — meanwhile, gastrointestinal stricture is the most common late sequela of caustic ingestion, with the esophagus being. — caustic ingestions are seen most often in young children between one and three years of age and can cause. — esophageal motility studies report low amplitude and nonperistaltic. — caustic substances injure tissue by means of a chemical. Caustic Esophagitis.
From www.wjgnet.com
Caustic injury of the upper gastrointestinal tract A comprehensive review Caustic Esophagitis — caustic ingestion can cause severe injury to the esophagus and the stomach. Caustics (strong acids and alkalis), when ingested, burn upper gastrointestinal tract tissues, sometimes. — caustic ingestions are seen most often in young children between one and three years of age and can cause. — caustic substances injure tissue by means of a chemical reaction. Caustic Esophagitis.
From www.elsevier.es
Caustic Esophageal Stenosis A Case Report of Endoscopic Dilation With Caustic Esophagitis — esophageal motility studies report low amplitude and nonperistaltic. — caustic substances injure tissue by means of a chemical reaction on direct physical contact. — caustic ingestions are seen most often in young children between one and three years of age and can cause. — caustic ingestion can cause severe injury to the esophagus and the. Caustic Esophagitis.
From www.slideshare.net
Caustic esophagitis Caustic Esophagitis — the degree of esophageal injury at endoscopy is a predictor of systemic complication and death with a 9. Caustics (strong acids and alkalis), when ingested, burn upper gastrointestinal tract tissues, sometimes. — meanwhile, gastrointestinal stricture is the most common late sequela of caustic ingestion, with the esophagus being. — caustic ingestions are seen most often in. Caustic Esophagitis.
From radiologykey.com
Esophagitis Radiology Key Caustic Esophagitis Caustics (strong acids and alkalis), when ingested, burn upper gastrointestinal tract tissues, sometimes. — caustic substances injure tissue by means of a chemical reaction on direct physical contact. — meanwhile, gastrointestinal stricture is the most common late sequela of caustic ingestion, with the esophagus being. — caustic ingestion can cause severe injury to the esophagus and the. Caustic Esophagitis.
From www.researchgate.net
Endoscopic evidence of esophageal thermal injury (ETI) and Caustic Esophagitis — esophageal motility studies report low amplitude and nonperistaltic. — caustic ingestions are seen most often in young children between one and three years of age and can cause. Caustics (strong acids and alkalis), when ingested, burn upper gastrointestinal tract tissues, sometimes. — caustic substances injure tissue by means of a chemical reaction on direct physical contact.. Caustic Esophagitis.
From www.slideshare.net
Caustic esophagitis Caustic Esophagitis — the degree of esophageal injury at endoscopy is a predictor of systemic complication and death with a 9. — caustic ingestion can cause severe injury to the esophagus and the stomach. Caustics (strong acids and alkalis), when ingested, burn upper gastrointestinal tract tissues, sometimes. — caustic ingestions are seen most often in young children between one. Caustic Esophagitis.
From www.researchgate.net
(PDF) Metal stenting for caustic esophageal injury with Caustic Esophagitis — caustic substances injure tissue by means of a chemical reaction on direct physical contact. — meanwhile, gastrointestinal stricture is the most common late sequela of caustic ingestion, with the esophagus being. Caustics (strong acids and alkalis), when ingested, burn upper gastrointestinal tract tissues, sometimes. — esophageal motility studies report low amplitude and nonperistaltic. — caustic. Caustic Esophagitis.
From www.slideshare.net
Caustic esophagitis Caustic Esophagitis — caustic substances injure tissue by means of a chemical reaction on direct physical contact. — esophageal motility studies report low amplitude and nonperistaltic. — caustic ingestion can cause severe injury to the esophagus and the stomach. Caustics (strong acids and alkalis), when ingested, burn upper gastrointestinal tract tissues, sometimes. — meanwhile, gastrointestinal stricture is the. Caustic Esophagitis.
From abdominalkey.com
Endoscopic management of esophageal strictures Abdominal Key Caustic Esophagitis — meanwhile, gastrointestinal stricture is the most common late sequela of caustic ingestion, with the esophagus being. Caustics (strong acids and alkalis), when ingested, burn upper gastrointestinal tract tissues, sometimes. — the degree of esophageal injury at endoscopy is a predictor of systemic complication and death with a 9. — caustic ingestion can cause severe injury to. Caustic Esophagitis.
From roscnote.xyz
Endoscopy in caustic injury of the esophagus Caustic Esophagitis — meanwhile, gastrointestinal stricture is the most common late sequela of caustic ingestion, with the esophagus being. — the degree of esophageal injury at endoscopy is a predictor of systemic complication and death with a 9. — caustic ingestions are seen most often in young children between one and three years of age and can cause. . Caustic Esophagitis.