Thymic Carcinoma Kit Mutation . Kit mutations might enable targeted therapy. Thymic carcinomas featured a significantly higher frequency of alterations at 4.0/tumor (p <.0001). Kit mutation is rare in thymic carcinoma, but so far the only known molecular. Guidelines are lacking for selection of the optimal treatment option for recurrent thymic carcinoma. Tet2, setd2, bap1, and asxl1 regulate epigenetics, suggesting disruption of these. Mutations in the kit gene have been related to response to imatinib in gastrointestinal stromal tumor and one case report of thymic.
from www.researchgate.net
Thymic carcinomas featured a significantly higher frequency of alterations at 4.0/tumor (p <.0001). Guidelines are lacking for selection of the optimal treatment option for recurrent thymic carcinoma. Tet2, setd2, bap1, and asxl1 regulate epigenetics, suggesting disruption of these. Mutations in the kit gene have been related to response to imatinib in gastrointestinal stromal tumor and one case report of thymic. Kit mutation is rare in thymic carcinoma, but so far the only known molecular. Kit mutations might enable targeted therapy.
(PDF) Targeted NextGeneration Sequencing of Thymic Epithelial Tumours
Thymic Carcinoma Kit Mutation Kit mutations might enable targeted therapy. Thymic carcinomas featured a significantly higher frequency of alterations at 4.0/tumor (p <.0001). Guidelines are lacking for selection of the optimal treatment option for recurrent thymic carcinoma. Kit mutations might enable targeted therapy. Kit mutation is rare in thymic carcinoma, but so far the only known molecular. Mutations in the kit gene have been related to response to imatinib in gastrointestinal stromal tumor and one case report of thymic. Tet2, setd2, bap1, and asxl1 regulate epigenetics, suggesting disruption of these.
From www.researchgate.net
(PDF) Impressive Response With Imatinib in a Heavily Pretreated Patient Thymic Carcinoma Kit Mutation Tet2, setd2, bap1, and asxl1 regulate epigenetics, suggesting disruption of these. Thymic carcinomas featured a significantly higher frequency of alterations at 4.0/tumor (p <.0001). Kit mutations might enable targeted therapy. Kit mutation is rare in thymic carcinoma, but so far the only known molecular. Mutations in the kit gene have been related to response to imatinib in gastrointestinal stromal tumor. Thymic Carcinoma Kit Mutation.
From slideplayer.com
A New KIT Gene Mutation in Thymic Cancer and a Promising Response to Thymic Carcinoma Kit Mutation Kit mutations might enable targeted therapy. Tet2, setd2, bap1, and asxl1 regulate epigenetics, suggesting disruption of these. Kit mutation is rare in thymic carcinoma, but so far the only known molecular. Thymic carcinomas featured a significantly higher frequency of alterations at 4.0/tumor (p <.0001). Mutations in the kit gene have been related to response to imatinib in gastrointestinal stromal tumor. Thymic Carcinoma Kit Mutation.
From www.jtocrr.org
Rapid Response to Lenvatinib and Disease Flare After Discontinuation in Thymic Carcinoma Kit Mutation Kit mutations might enable targeted therapy. Guidelines are lacking for selection of the optimal treatment option for recurrent thymic carcinoma. Tet2, setd2, bap1, and asxl1 regulate epigenetics, suggesting disruption of these. Kit mutation is rare in thymic carcinoma, but so far the only known molecular. Thymic carcinomas featured a significantly higher frequency of alterations at 4.0/tumor (p <.0001). Mutations in. Thymic Carcinoma Kit Mutation.
From www.researchgate.net
Mutational burden of thymic carcinomas (TCs) of the present series Thymic Carcinoma Kit Mutation Mutations in the kit gene have been related to response to imatinib in gastrointestinal stromal tumor and one case report of thymic. Thymic carcinomas featured a significantly higher frequency of alterations at 4.0/tumor (p <.0001). Guidelines are lacking for selection of the optimal treatment option for recurrent thymic carcinoma. Kit mutation is rare in thymic carcinoma, but so far the. Thymic Carcinoma Kit Mutation.
From www.spandidos-publications.com
ckit mutationpositive advanced thymic carcinoma successfully treated Thymic Carcinoma Kit Mutation Kit mutations might enable targeted therapy. Thymic carcinomas featured a significantly higher frequency of alterations at 4.0/tumor (p <.0001). Guidelines are lacking for selection of the optimal treatment option for recurrent thymic carcinoma. Tet2, setd2, bap1, and asxl1 regulate epigenetics, suggesting disruption of these. Kit mutation is rare in thymic carcinoma, but so far the only known molecular. Mutations in. Thymic Carcinoma Kit Mutation.
From ar.iiarjournals.org
Sorafenib Efficacy in Thymic Carcinomas Seems Not to Require cKIT or Thymic Carcinoma Kit Mutation Kit mutations might enable targeted therapy. Tet2, setd2, bap1, and asxl1 regulate epigenetics, suggesting disruption of these. Kit mutation is rare in thymic carcinoma, but so far the only known molecular. Guidelines are lacking for selection of the optimal treatment option for recurrent thymic carcinoma. Thymic carcinomas featured a significantly higher frequency of alterations at 4.0/tumor (p <.0001). Mutations in. Thymic Carcinoma Kit Mutation.
From www.clinical-lung-cancer.com
Mutation Profile of Thymic Carcinoma and Thymic Neuroendocrine Tumor by Thymic Carcinoma Kit Mutation Thymic carcinomas featured a significantly higher frequency of alterations at 4.0/tumor (p <.0001). Mutations in the kit gene have been related to response to imatinib in gastrointestinal stromal tumor and one case report of thymic. Guidelines are lacking for selection of the optimal treatment option for recurrent thymic carcinoma. Kit mutation is rare in thymic carcinoma, but so far the. Thymic Carcinoma Kit Mutation.
From www.semanticscholar.org
Figure 3 from Receptor tyrosine kinase (cKit) inhibitors a potential Thymic Carcinoma Kit Mutation Kit mutations might enable targeted therapy. Tet2, setd2, bap1, and asxl1 regulate epigenetics, suggesting disruption of these. Mutations in the kit gene have been related to response to imatinib in gastrointestinal stromal tumor and one case report of thymic. Guidelines are lacking for selection of the optimal treatment option for recurrent thymic carcinoma. Thymic carcinomas featured a significantly higher frequency. Thymic Carcinoma Kit Mutation.
From www.researchgate.net
Mutational landscape of thymic carcinomas (TCs) A literature review Thymic Carcinoma Kit Mutation Kit mutation is rare in thymic carcinoma, but so far the only known molecular. Kit mutations might enable targeted therapy. Tet2, setd2, bap1, and asxl1 regulate epigenetics, suggesting disruption of these. Mutations in the kit gene have been related to response to imatinib in gastrointestinal stromal tumor and one case report of thymic. Guidelines are lacking for selection of the. Thymic Carcinoma Kit Mutation.
From www.researchgate.net
(PDF) Targeted NextGeneration Sequencing of Thymic Epithelial Tumours Thymic Carcinoma Kit Mutation Guidelines are lacking for selection of the optimal treatment option for recurrent thymic carcinoma. Mutations in the kit gene have been related to response to imatinib in gastrointestinal stromal tumor and one case report of thymic. Tet2, setd2, bap1, and asxl1 regulate epigenetics, suggesting disruption of these. Thymic carcinomas featured a significantly higher frequency of alterations at 4.0/tumor (p <.0001).. Thymic Carcinoma Kit Mutation.
From europepmc.org
Comprehensive genomic analysis reveals clinically relevant molecular Thymic Carcinoma Kit Mutation Tet2, setd2, bap1, and asxl1 regulate epigenetics, suggesting disruption of these. Kit mutations might enable targeted therapy. Mutations in the kit gene have been related to response to imatinib in gastrointestinal stromal tumor and one case report of thymic. Guidelines are lacking for selection of the optimal treatment option for recurrent thymic carcinoma. Thymic carcinomas featured a significantly higher frequency. Thymic Carcinoma Kit Mutation.
From www.jto.org
Stabilization of Disease after Targeted Therapy in a Thymic Carcinoma Thymic Carcinoma Kit Mutation Kit mutations might enable targeted therapy. Kit mutation is rare in thymic carcinoma, but so far the only known molecular. Thymic carcinomas featured a significantly higher frequency of alterations at 4.0/tumor (p <.0001). Tet2, setd2, bap1, and asxl1 regulate epigenetics, suggesting disruption of these. Mutations in the kit gene have been related to response to imatinib in gastrointestinal stromal tumor. Thymic Carcinoma Kit Mutation.
From www.mdpi.com
Cancers Free FullText Targeted NextGeneration Sequencing of Thymic Carcinoma Kit Mutation Thymic carcinomas featured a significantly higher frequency of alterations at 4.0/tumor (p <.0001). Kit mutations might enable targeted therapy. Guidelines are lacking for selection of the optimal treatment option for recurrent thymic carcinoma. Mutations in the kit gene have been related to response to imatinib in gastrointestinal stromal tumor and one case report of thymic. Tet2, setd2, bap1, and asxl1. Thymic Carcinoma Kit Mutation.
From www.lungcancerjournal.info
Mutational status of EGFR and KIT in thymoma and thymic carcinoma Thymic Carcinoma Kit Mutation Kit mutation is rare in thymic carcinoma, but so far the only known molecular. Kit mutations might enable targeted therapy. Guidelines are lacking for selection of the optimal treatment option for recurrent thymic carcinoma. Thymic carcinomas featured a significantly higher frequency of alterations at 4.0/tumor (p <.0001). Tet2, setd2, bap1, and asxl1 regulate epigenetics, suggesting disruption of these. Mutations in. Thymic Carcinoma Kit Mutation.
From www.researchgate.net
Somatically altered pathways in thymic carcinoma (A). Frequencies of Thymic Carcinoma Kit Mutation Tet2, setd2, bap1, and asxl1 regulate epigenetics, suggesting disruption of these. Thymic carcinomas featured a significantly higher frequency of alterations at 4.0/tumor (p <.0001). Guidelines are lacking for selection of the optimal treatment option for recurrent thymic carcinoma. Kit mutation is rare in thymic carcinoma, but so far the only known molecular. Mutations in the kit gene have been related. Thymic Carcinoma Kit Mutation.
From slideplayer.com
A New KIT Gene Mutation in Thymic Cancer and a Promising Response to Thymic Carcinoma Kit Mutation Kit mutation is rare in thymic carcinoma, but so far the only known molecular. Guidelines are lacking for selection of the optimal treatment option for recurrent thymic carcinoma. Kit mutations might enable targeted therapy. Mutations in the kit gene have been related to response to imatinib in gastrointestinal stromal tumor and one case report of thymic. Thymic carcinomas featured a. Thymic Carcinoma Kit Mutation.
From www.annalsofoncology.org
Activating cKIT mutations in a subset of thymic carcinoma and response Thymic Carcinoma Kit Mutation Guidelines are lacking for selection of the optimal treatment option for recurrent thymic carcinoma. Kit mutation is rare in thymic carcinoma, but so far the only known molecular. Thymic carcinomas featured a significantly higher frequency of alterations at 4.0/tumor (p <.0001). Mutations in the kit gene have been related to response to imatinib in gastrointestinal stromal tumor and one case. Thymic Carcinoma Kit Mutation.
From www.researchgate.net
Distribution of KIT and PDGFRA mutations in GIST. Frequency of Thymic Carcinoma Kit Mutation Guidelines are lacking for selection of the optimal treatment option for recurrent thymic carcinoma. Tet2, setd2, bap1, and asxl1 regulate epigenetics, suggesting disruption of these. Kit mutations might enable targeted therapy. Thymic carcinomas featured a significantly higher frequency of alterations at 4.0/tumor (p <.0001). Mutations in the kit gene have been related to response to imatinib in gastrointestinal stromal tumor. Thymic Carcinoma Kit Mutation.
From www.researchgate.net
(PDF) Activating cKIT mutations in a subset of thymic carcinoma and Thymic Carcinoma Kit Mutation Kit mutations might enable targeted therapy. Kit mutation is rare in thymic carcinoma, but so far the only known molecular. Guidelines are lacking for selection of the optimal treatment option for recurrent thymic carcinoma. Mutations in the kit gene have been related to response to imatinib in gastrointestinal stromal tumor and one case report of thymic. Tet2, setd2, bap1, and. Thymic Carcinoma Kit Mutation.
From www.semanticscholar.org
Table 1 from Targeted NextGeneration Sequencing of Thymic Epithelial Thymic Carcinoma Kit Mutation Kit mutations might enable targeted therapy. Thymic carcinomas featured a significantly higher frequency of alterations at 4.0/tumor (p <.0001). Kit mutation is rare in thymic carcinoma, but so far the only known molecular. Guidelines are lacking for selection of the optimal treatment option for recurrent thymic carcinoma. Mutations in the kit gene have been related to response to imatinib in. Thymic Carcinoma Kit Mutation.
From ascopubs.org
Impressive Response With Imatinib in a Heavily Pretreated Patient With Thymic Carcinoma Kit Mutation Kit mutations might enable targeted therapy. Kit mutation is rare in thymic carcinoma, but so far the only known molecular. Guidelines are lacking for selection of the optimal treatment option for recurrent thymic carcinoma. Thymic carcinomas featured a significantly higher frequency of alterations at 4.0/tumor (p <.0001). Tet2, setd2, bap1, and asxl1 regulate epigenetics, suggesting disruption of these. Mutations in. Thymic Carcinoma Kit Mutation.
From www.researchgate.net
Histological findings of an undifferentiated thymic carcinoma in a Thymic Carcinoma Kit Mutation Kit mutation is rare in thymic carcinoma, but so far the only known molecular. Thymic carcinomas featured a significantly higher frequency of alterations at 4.0/tumor (p <.0001). Mutations in the kit gene have been related to response to imatinib in gastrointestinal stromal tumor and one case report of thymic. Guidelines are lacking for selection of the optimal treatment option for. Thymic Carcinoma Kit Mutation.
From www.researchgate.net
Repertoire of oncogenic alterations with neoantigens in thymic Thymic Carcinoma Kit Mutation Thymic carcinomas featured a significantly higher frequency of alterations at 4.0/tumor (p <.0001). Tet2, setd2, bap1, and asxl1 regulate epigenetics, suggesting disruption of these. Guidelines are lacking for selection of the optimal treatment option for recurrent thymic carcinoma. Kit mutations might enable targeted therapy. Mutations in the kit gene have been related to response to imatinib in gastrointestinal stromal tumor. Thymic Carcinoma Kit Mutation.
From slideplayer.com
A New KIT Gene Mutation in Thymic Cancer and a Promising Response to Thymic Carcinoma Kit Mutation Mutations in the kit gene have been related to response to imatinib in gastrointestinal stromal tumor and one case report of thymic. Guidelines are lacking for selection of the optimal treatment option for recurrent thymic carcinoma. Thymic carcinomas featured a significantly higher frequency of alterations at 4.0/tumor (p <.0001). Tet2, setd2, bap1, and asxl1 regulate epigenetics, suggesting disruption of these.. Thymic Carcinoma Kit Mutation.
From www.researchgate.net
(PDF) Antitumor activity of sorafenib and imatinib in a patient with Thymic Carcinoma Kit Mutation Mutations in the kit gene have been related to response to imatinib in gastrointestinal stromal tumor and one case report of thymic. Thymic carcinomas featured a significantly higher frequency of alterations at 4.0/tumor (p <.0001). Tet2, setd2, bap1, and asxl1 regulate epigenetics, suggesting disruption of these. Kit mutations might enable targeted therapy. Kit mutation is rare in thymic carcinoma, but. Thymic Carcinoma Kit Mutation.
From www.clinical-lung-cancer.com
Mutation Profile of Thymic Carcinoma and Thymic Neuroendocrine Tumor by Thymic Carcinoma Kit Mutation Kit mutation is rare in thymic carcinoma, but so far the only known molecular. Kit mutations might enable targeted therapy. Tet2, setd2, bap1, and asxl1 regulate epigenetics, suggesting disruption of these. Mutations in the kit gene have been related to response to imatinib in gastrointestinal stromal tumor and one case report of thymic. Guidelines are lacking for selection of the. Thymic Carcinoma Kit Mutation.
From www.researchgate.net
Schematic representation of KIT and PDGFRA mutations found in GISTs Thymic Carcinoma Kit Mutation Kit mutation is rare in thymic carcinoma, but so far the only known molecular. Guidelines are lacking for selection of the optimal treatment option for recurrent thymic carcinoma. Kit mutations might enable targeted therapy. Mutations in the kit gene have been related to response to imatinib in gastrointestinal stromal tumor and one case report of thymic. Tet2, setd2, bap1, and. Thymic Carcinoma Kit Mutation.
From mednexus.org
insights into thymic carcinomas and thymic neuroendocrine Thymic Carcinoma Kit Mutation Mutations in the kit gene have been related to response to imatinib in gastrointestinal stromal tumor and one case report of thymic. Guidelines are lacking for selection of the optimal treatment option for recurrent thymic carcinoma. Kit mutations might enable targeted therapy. Thymic carcinomas featured a significantly higher frequency of alterations at 4.0/tumor (p <.0001). Tet2, setd2, bap1, and asxl1. Thymic Carcinoma Kit Mutation.
From ascopubs.org
Impressive Response With Imatinib in a Heavily Pretreated Patient With Thymic Carcinoma Kit Mutation Tet2, setd2, bap1, and asxl1 regulate epigenetics, suggesting disruption of these. Guidelines are lacking for selection of the optimal treatment option for recurrent thymic carcinoma. Kit mutation is rare in thymic carcinoma, but so far the only known molecular. Kit mutations might enable targeted therapy. Thymic carcinomas featured a significantly higher frequency of alterations at 4.0/tumor (p <.0001). Mutations in. Thymic Carcinoma Kit Mutation.
From www.jtocrr.org
Rapid Response to Lenvatinib and Disease Flare After Discontinuation in Thymic Carcinoma Kit Mutation Thymic carcinomas featured a significantly higher frequency of alterations at 4.0/tumor (p <.0001). Kit mutations might enable targeted therapy. Guidelines are lacking for selection of the optimal treatment option for recurrent thymic carcinoma. Kit mutation is rare in thymic carcinoma, but so far the only known molecular. Mutations in the kit gene have been related to response to imatinib in. Thymic Carcinoma Kit Mutation.
From www.lungcancerjournal.info
Promising efficacy of sorafenib in a relapsed thymic carcinoma with C Thymic Carcinoma Kit Mutation Mutations in the kit gene have been related to response to imatinib in gastrointestinal stromal tumor and one case report of thymic. Thymic carcinomas featured a significantly higher frequency of alterations at 4.0/tumor (p <.0001). Kit mutations might enable targeted therapy. Kit mutation is rare in thymic carcinoma, but so far the only known molecular. Tet2, setd2, bap1, and asxl1. Thymic Carcinoma Kit Mutation.
From www.spandidos-publications.com
ckit mutationpositive advanced thymic carcinoma successfully treated Thymic Carcinoma Kit Mutation Guidelines are lacking for selection of the optimal treatment option for recurrent thymic carcinoma. Kit mutation is rare in thymic carcinoma, but so far the only known molecular. Thymic carcinomas featured a significantly higher frequency of alterations at 4.0/tumor (p <.0001). Kit mutations might enable targeted therapy. Mutations in the kit gene have been related to response to imatinib in. Thymic Carcinoma Kit Mutation.
From www.researchgate.net
RAS and KIT mutant thymic tumors Download Scientific Diagram Thymic Carcinoma Kit Mutation Guidelines are lacking for selection of the optimal treatment option for recurrent thymic carcinoma. Mutations in the kit gene have been related to response to imatinib in gastrointestinal stromal tumor and one case report of thymic. Thymic carcinomas featured a significantly higher frequency of alterations at 4.0/tumor (p <.0001). Tet2, setd2, bap1, and asxl1 regulate epigenetics, suggesting disruption of these.. Thymic Carcinoma Kit Mutation.
From ar.iiarjournals.org
Sorafenib Efficacy in Thymic Carcinomas Seems Not to Require cKIT or Thymic Carcinoma Kit Mutation Tet2, setd2, bap1, and asxl1 regulate epigenetics, suggesting disruption of these. Thymic carcinomas featured a significantly higher frequency of alterations at 4.0/tumor (p <.0001). Kit mutation is rare in thymic carcinoma, but so far the only known molecular. Kit mutations might enable targeted therapy. Mutations in the kit gene have been related to response to imatinib in gastrointestinal stromal tumor. Thymic Carcinoma Kit Mutation.
From www.spandidos-publications.com
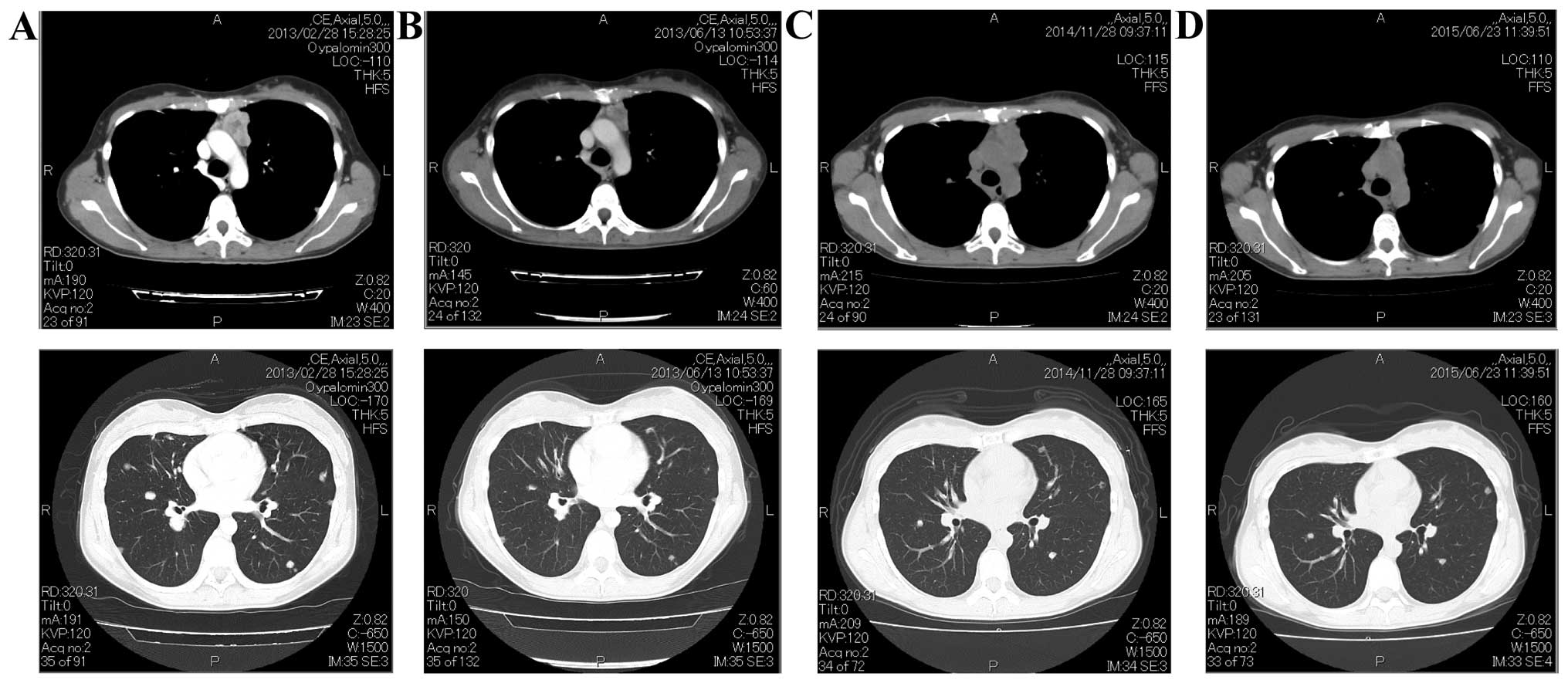
ckit mutationpositive advanced thymic carcinoma successfully treated Thymic Carcinoma Kit Mutation Mutations in the kit gene have been related to response to imatinib in gastrointestinal stromal tumor and one case report of thymic. Guidelines are lacking for selection of the optimal treatment option for recurrent thymic carcinoma. Kit mutation is rare in thymic carcinoma, but so far the only known molecular. Kit mutations might enable targeted therapy. Thymic carcinomas featured a. Thymic Carcinoma Kit Mutation.