How To Measure Aortomesenteric Angle . On ct, the two key signs of sma syndrome are an aortomesenteric angle of less than 22° and an aortomesenteric distance of less than 8 mm. A to measure the aortomesenteric angle, first obtain a sagittal view of the aorta and delineate landmarks: The former sign has a sensitivity of. Ct scan is helpful in diagnostics in that it allows for measurement of aortomesenteric (ao) angle which aids in confirmation of sma syndrome and has thus replaced mra as. Measure the sma angle as it takes off from the aorta. The narrow angle of the sma is due to lack of fat surrounding the vessel.
from doctorsari.blogspot.com
The former sign has a sensitivity of. A to measure the aortomesenteric angle, first obtain a sagittal view of the aorta and delineate landmarks: On ct, the two key signs of sma syndrome are an aortomesenteric angle of less than 22° and an aortomesenteric distance of less than 8 mm. The narrow angle of the sma is due to lack of fat surrounding the vessel. Ct scan is helpful in diagnostics in that it allows for measurement of aortomesenteric (ao) angle which aids in confirmation of sma syndrome and has thus replaced mra as. Measure the sma angle as it takes off from the aorta.
Doktorun Karalama Defteri Süperior Mezenterik Arter Sendromu
How To Measure Aortomesenteric Angle The narrow angle of the sma is due to lack of fat surrounding the vessel. On ct, the two key signs of sma syndrome are an aortomesenteric angle of less than 22° and an aortomesenteric distance of less than 8 mm. The narrow angle of the sma is due to lack of fat surrounding the vessel. The former sign has a sensitivity of. Measure the sma angle as it takes off from the aorta. Ct scan is helpful in diagnostics in that it allows for measurement of aortomesenteric (ao) angle which aids in confirmation of sma syndrome and has thus replaced mra as. A to measure the aortomesenteric angle, first obtain a sagittal view of the aorta and delineate landmarks:
From www.ctisus.com
Vascular Learning Modules CT Scanning How To Measure Aortomesenteric Angle The narrow angle of the sma is due to lack of fat surrounding the vessel. Measure the sma angle as it takes off from the aorta. The former sign has a sensitivity of. Ct scan is helpful in diagnostics in that it allows for measurement of aortomesenteric (ao) angle which aids in confirmation of sma syndrome and has thus replaced. How To Measure Aortomesenteric Angle.
From johnsonfrancis.org
Measurement of aortomitral angle by echo All About Cardiovascular How To Measure Aortomesenteric Angle On ct, the two key signs of sma syndrome are an aortomesenteric angle of less than 22° and an aortomesenteric distance of less than 8 mm. The former sign has a sensitivity of. Ct scan is helpful in diagnostics in that it allows for measurement of aortomesenteric (ao) angle which aids in confirmation of sma syndrome and has thus replaced. How To Measure Aortomesenteric Angle.
From www.annalsofvascularsurgery.com
The Significance of the Angle between Superior Mesenteric Artery and How To Measure Aortomesenteric Angle A to measure the aortomesenteric angle, first obtain a sagittal view of the aorta and delineate landmarks: Ct scan is helpful in diagnostics in that it allows for measurement of aortomesenteric (ao) angle which aids in confirmation of sma syndrome and has thus replaced mra as. On ct, the two key signs of sma syndrome are an aortomesenteric angle of. How To Measure Aortomesenteric Angle.
From epos.myesr.org
EPOS™ C1651 How To Measure Aortomesenteric Angle On ct, the two key signs of sma syndrome are an aortomesenteric angle of less than 22° and an aortomesenteric distance of less than 8 mm. The former sign has a sensitivity of. A to measure the aortomesenteric angle, first obtain a sagittal view of the aorta and delineate landmarks: Measure the sma angle as it takes off from the. How To Measure Aortomesenteric Angle.
From www.researchgate.net
a Normal aortomesenteric relationship and b the aortomesenteric How To Measure Aortomesenteric Angle Ct scan is helpful in diagnostics in that it allows for measurement of aortomesenteric (ao) angle which aids in confirmation of sma syndrome and has thus replaced mra as. The narrow angle of the sma is due to lack of fat surrounding the vessel. A to measure the aortomesenteric angle, first obtain a sagittal view of the aorta and delineate. How To Measure Aortomesenteric Angle.
From www.researchgate.net
Grayscale US of the abdominal aorta. Measurement of aortomesenteric How To Measure Aortomesenteric Angle The narrow angle of the sma is due to lack of fat surrounding the vessel. Ct scan is helpful in diagnostics in that it allows for measurement of aortomesenteric (ao) angle which aids in confirmation of sma syndrome and has thus replaced mra as. On ct, the two key signs of sma syndrome are an aortomesenteric angle of less than. How To Measure Aortomesenteric Angle.
From www.researchgate.net
Narrow aortomesenteric angle (10°) and aortomesenteric distance (6 mm How To Measure Aortomesenteric Angle A to measure the aortomesenteric angle, first obtain a sagittal view of the aorta and delineate landmarks: Measure the sma angle as it takes off from the aorta. On ct, the two key signs of sma syndrome are an aortomesenteric angle of less than 22° and an aortomesenteric distance of less than 8 mm. The narrow angle of the sma. How To Measure Aortomesenteric Angle.
From www.journalmc.org
Iqbal How To Measure Aortomesenteric Angle Ct scan is helpful in diagnostics in that it allows for measurement of aortomesenteric (ao) angle which aids in confirmation of sma syndrome and has thus replaced mra as. A to measure the aortomesenteric angle, first obtain a sagittal view of the aorta and delineate landmarks: Measure the sma angle as it takes off from the aorta. On ct, the. How To Measure Aortomesenteric Angle.
From www.researchgate.net
Sagittal CT image demonstrating the aortomesenteric angle. Download How To Measure Aortomesenteric Angle Measure the sma angle as it takes off from the aorta. A to measure the aortomesenteric angle, first obtain a sagittal view of the aorta and delineate landmarks: The former sign has a sensitivity of. On ct, the two key signs of sma syndrome are an aortomesenteric angle of less than 22° and an aortomesenteric distance of less than 8. How To Measure Aortomesenteric Angle.
From symposium.scvs.org
SCVS Aortomesenteric Angle Change May Predict Left Renal Vein How To Measure Aortomesenteric Angle Measure the sma angle as it takes off from the aorta. On ct, the two key signs of sma syndrome are an aortomesenteric angle of less than 22° and an aortomesenteric distance of less than 8 mm. The narrow angle of the sma is due to lack of fat surrounding the vessel. Ct scan is helpful in diagnostics in that. How To Measure Aortomesenteric Angle.
From www.researchgate.net
Arterial phase sagittal view of the aortomesenteric angle of 14 How To Measure Aortomesenteric Angle Ct scan is helpful in diagnostics in that it allows for measurement of aortomesenteric (ao) angle which aids in confirmation of sma syndrome and has thus replaced mra as. Measure the sma angle as it takes off from the aorta. The former sign has a sensitivity of. On ct, the two key signs of sma syndrome are an aortomesenteric angle. How To Measure Aortomesenteric Angle.
From www.researchgate.net
CT abdomen showing aortomesenteric angle of 15.4 degree Download How To Measure Aortomesenteric Angle The former sign has a sensitivity of. Ct scan is helpful in diagnostics in that it allows for measurement of aortomesenteric (ao) angle which aids in confirmation of sma syndrome and has thus replaced mra as. Measure the sma angle as it takes off from the aorta. A to measure the aortomesenteric angle, first obtain a sagittal view of the. How To Measure Aortomesenteric Angle.
From radiopaedia.org
Image How To Measure Aortomesenteric Angle Ct scan is helpful in diagnostics in that it allows for measurement of aortomesenteric (ao) angle which aids in confirmation of sma syndrome and has thus replaced mra as. Measure the sma angle as it takes off from the aorta. The narrow angle of the sma is due to lack of fat surrounding the vessel. On ct, the two key. How To Measure Aortomesenteric Angle.
From www.researchgate.net
Grayscale US of the abdominal aorta. Measurement of aortomesenteric How To Measure Aortomesenteric Angle The former sign has a sensitivity of. Measure the sma angle as it takes off from the aorta. A to measure the aortomesenteric angle, first obtain a sagittal view of the aorta and delineate landmarks: Ct scan is helpful in diagnostics in that it allows for measurement of aortomesenteric (ao) angle which aids in confirmation of sma syndrome and has. How To Measure Aortomesenteric Angle.
From www.researchgate.net
Sagittal CT image demonstrating the aortomesenteric angle. Download How To Measure Aortomesenteric Angle The narrow angle of the sma is due to lack of fat surrounding the vessel. Measure the sma angle as it takes off from the aorta. A to measure the aortomesenteric angle, first obtain a sagittal view of the aorta and delineate landmarks: The former sign has a sensitivity of. Ct scan is helpful in diagnostics in that it allows. How To Measure Aortomesenteric Angle.
From www.researchgate.net
Reduced aortomesenteric distance, reaching about 5mm at the level of How To Measure Aortomesenteric Angle The former sign has a sensitivity of. On ct, the two key signs of sma syndrome are an aortomesenteric angle of less than 22° and an aortomesenteric distance of less than 8 mm. A to measure the aortomesenteric angle, first obtain a sagittal view of the aorta and delineate landmarks: The narrow angle of the sma is due to lack. How To Measure Aortomesenteric Angle.
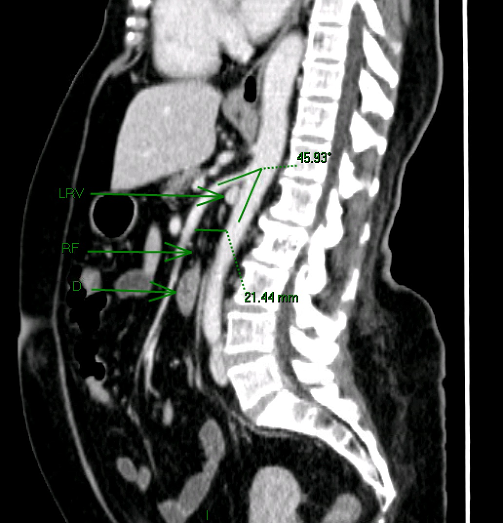
From www.researchgate.net
Measurement of the ratio of hilaraortomesenteric left renal vein (LRV How To Measure Aortomesenteric Angle The narrow angle of the sma is due to lack of fat surrounding the vessel. A to measure the aortomesenteric angle, first obtain a sagittal view of the aorta and delineate landmarks: Ct scan is helpful in diagnostics in that it allows for measurement of aortomesenteric (ao) angle which aids in confirmation of sma syndrome and has thus replaced mra. How To Measure Aortomesenteric Angle.
From www.cureus.com
Cureus Perplexing Case of Wilkie's Syndrome A Rare Presentation in a How To Measure Aortomesenteric Angle On ct, the two key signs of sma syndrome are an aortomesenteric angle of less than 22° and an aortomesenteric distance of less than 8 mm. Measure the sma angle as it takes off from the aorta. The narrow angle of the sma is due to lack of fat surrounding the vessel. A to measure the aortomesenteric angle, first obtain. How To Measure Aortomesenteric Angle.
From www.researchgate.net
Shows in the left side a normal angle aortomesenteric, and in the right How To Measure Aortomesenteric Angle Measure the sma angle as it takes off from the aorta. On ct, the two key signs of sma syndrome are an aortomesenteric angle of less than 22° and an aortomesenteric distance of less than 8 mm. The former sign has a sensitivity of. Ct scan is helpful in diagnostics in that it allows for measurement of aortomesenteric (ao) angle. How To Measure Aortomesenteric Angle.
From doctorsari.blogspot.com
Doktorun Karalama Defteri Süperior Mezenterik Arter Sendromu How To Measure Aortomesenteric Angle Measure the sma angle as it takes off from the aorta. The former sign has a sensitivity of. On ct, the two key signs of sma syndrome are an aortomesenteric angle of less than 22° and an aortomesenteric distance of less than 8 mm. Ct scan is helpful in diagnostics in that it allows for measurement of aortomesenteric (ao) angle. How To Measure Aortomesenteric Angle.
From www.researchgate.net
(a) and (b) Wide aortomesenteric angle and distance in a normal How To Measure Aortomesenteric Angle Measure the sma angle as it takes off from the aorta. A to measure the aortomesenteric angle, first obtain a sagittal view of the aorta and delineate landmarks: The narrow angle of the sma is due to lack of fat surrounding the vessel. Ct scan is helpful in diagnostics in that it allows for measurement of aortomesenteric (ao) angle which. How To Measure Aortomesenteric Angle.
From www.researchgate.net
The aortomesenteric distance was 5.8 mm, aortomesenteric angle of 20 How To Measure Aortomesenteric Angle On ct, the two key signs of sma syndrome are an aortomesenteric angle of less than 22° and an aortomesenteric distance of less than 8 mm. The narrow angle of the sma is due to lack of fat surrounding the vessel. The former sign has a sensitivity of. A to measure the aortomesenteric angle, first obtain a sagittal view of. How To Measure Aortomesenteric Angle.
From www.slideserve.com
PPT Superior Mesenteric Artery (SMA) Syndrome PowerPoint Presentation How To Measure Aortomesenteric Angle A to measure the aortomesenteric angle, first obtain a sagittal view of the aorta and delineate landmarks: On ct, the two key signs of sma syndrome are an aortomesenteric angle of less than 22° and an aortomesenteric distance of less than 8 mm. Measure the sma angle as it takes off from the aorta. Ct scan is helpful in diagnostics. How To Measure Aortomesenteric Angle.
From www.researchgate.net
Shows in the left side a normal angle aortomesenteric, and in the right How To Measure Aortomesenteric Angle Ct scan is helpful in diagnostics in that it allows for measurement of aortomesenteric (ao) angle which aids in confirmation of sma syndrome and has thus replaced mra as. On ct, the two key signs of sma syndrome are an aortomesenteric angle of less than 22° and an aortomesenteric distance of less than 8 mm. The narrow angle of the. How To Measure Aortomesenteric Angle.
From www.researchgate.net
Schematic representation of aorta and its surrounding organs. Model How To Measure Aortomesenteric Angle The narrow angle of the sma is due to lack of fat surrounding the vessel. Measure the sma angle as it takes off from the aorta. The former sign has a sensitivity of. Ct scan is helpful in diagnostics in that it allows for measurement of aortomesenteric (ao) angle which aids in confirmation of sma syndrome and has thus replaced. How To Measure Aortomesenteric Angle.
From encyclopedia.pub
Interventional Management of Nutcracker and Wilkie Syndromes How To Measure Aortomesenteric Angle Measure the sma angle as it takes off from the aorta. The narrow angle of the sma is due to lack of fat surrounding the vessel. Ct scan is helpful in diagnostics in that it allows for measurement of aortomesenteric (ao) angle which aids in confirmation of sma syndrome and has thus replaced mra as. A to measure the aortomesenteric. How To Measure Aortomesenteric Angle.
From radiopaedia.org
Image How To Measure Aortomesenteric Angle On ct, the two key signs of sma syndrome are an aortomesenteric angle of less than 22° and an aortomesenteric distance of less than 8 mm. The former sign has a sensitivity of. A to measure the aortomesenteric angle, first obtain a sagittal view of the aorta and delineate landmarks: Measure the sma angle as it takes off from the. How To Measure Aortomesenteric Angle.
From westjem.com
The Aortomesenteric Angle as an Aid in Diagnosing Superior Mesenteric How To Measure Aortomesenteric Angle The former sign has a sensitivity of. The narrow angle of the sma is due to lack of fat surrounding the vessel. Ct scan is helpful in diagnostics in that it allows for measurement of aortomesenteric (ao) angle which aids in confirmation of sma syndrome and has thus replaced mra as. On ct, the two key signs of sma syndrome. How To Measure Aortomesenteric Angle.
From www.researchgate.net
Sagittal CECT shows the aortomesenteric angle (green lines) of 11 How To Measure Aortomesenteric Angle A to measure the aortomesenteric angle, first obtain a sagittal view of the aorta and delineate landmarks: On ct, the two key signs of sma syndrome are an aortomesenteric angle of less than 22° and an aortomesenteric distance of less than 8 mm. The former sign has a sensitivity of. The narrow angle of the sma is due to lack. How To Measure Aortomesenteric Angle.
From www.jcdr.net
Article Fulle Text How To Measure Aortomesenteric Angle Ct scan is helpful in diagnostics in that it allows for measurement of aortomesenteric (ao) angle which aids in confirmation of sma syndrome and has thus replaced mra as. The narrow angle of the sma is due to lack of fat surrounding the vessel. The former sign has a sensitivity of. On ct, the two key signs of sma syndrome. How To Measure Aortomesenteric Angle.
From www.researchgate.net
CT scan of the abdomen showing a narrowed aortomesenteric angle in How To Measure Aortomesenteric Angle On ct, the two key signs of sma syndrome are an aortomesenteric angle of less than 22° and an aortomesenteric distance of less than 8 mm. Measure the sma angle as it takes off from the aorta. Ct scan is helpful in diagnostics in that it allows for measurement of aortomesenteric (ao) angle which aids in confirmation of sma syndrome. How To Measure Aortomesenteric Angle.
From www.researchgate.net
Sagittal CT image demonstrating the aortomesenteric angle. Download How To Measure Aortomesenteric Angle On ct, the two key signs of sma syndrome are an aortomesenteric angle of less than 22° and an aortomesenteric distance of less than 8 mm. A to measure the aortomesenteric angle, first obtain a sagittal view of the aorta and delineate landmarks: Ct scan is helpful in diagnostics in that it allows for measurement of aortomesenteric (ao) angle which. How To Measure Aortomesenteric Angle.
From www.researchgate.net
A flat aortomesenteric angle (white triangle). Ao Aorta, SMA superior How To Measure Aortomesenteric Angle Ct scan is helpful in diagnostics in that it allows for measurement of aortomesenteric (ao) angle which aids in confirmation of sma syndrome and has thus replaced mra as. Measure the sma angle as it takes off from the aorta. A to measure the aortomesenteric angle, first obtain a sagittal view of the aorta and delineate landmarks: The narrow angle. How To Measure Aortomesenteric Angle.
From www.researchgate.net
Significantly reduced aortomesenteric angle (red lines), measuring 8 How To Measure Aortomesenteric Angle The former sign has a sensitivity of. A to measure the aortomesenteric angle, first obtain a sagittal view of the aorta and delineate landmarks: Ct scan is helpful in diagnostics in that it allows for measurement of aortomesenteric (ao) angle which aids in confirmation of sma syndrome and has thus replaced mra as. The narrow angle of the sma is. How To Measure Aortomesenteric Angle.
From pubs.rsna.org
Endovascular Repair of Abdominal Aortic Aneurysms Vascular Anatomy How To Measure Aortomesenteric Angle Ct scan is helpful in diagnostics in that it allows for measurement of aortomesenteric (ao) angle which aids in confirmation of sma syndrome and has thus replaced mra as. A to measure the aortomesenteric angle, first obtain a sagittal view of the aorta and delineate landmarks: The former sign has a sensitivity of. Measure the sma angle as it takes. How To Measure Aortomesenteric Angle.