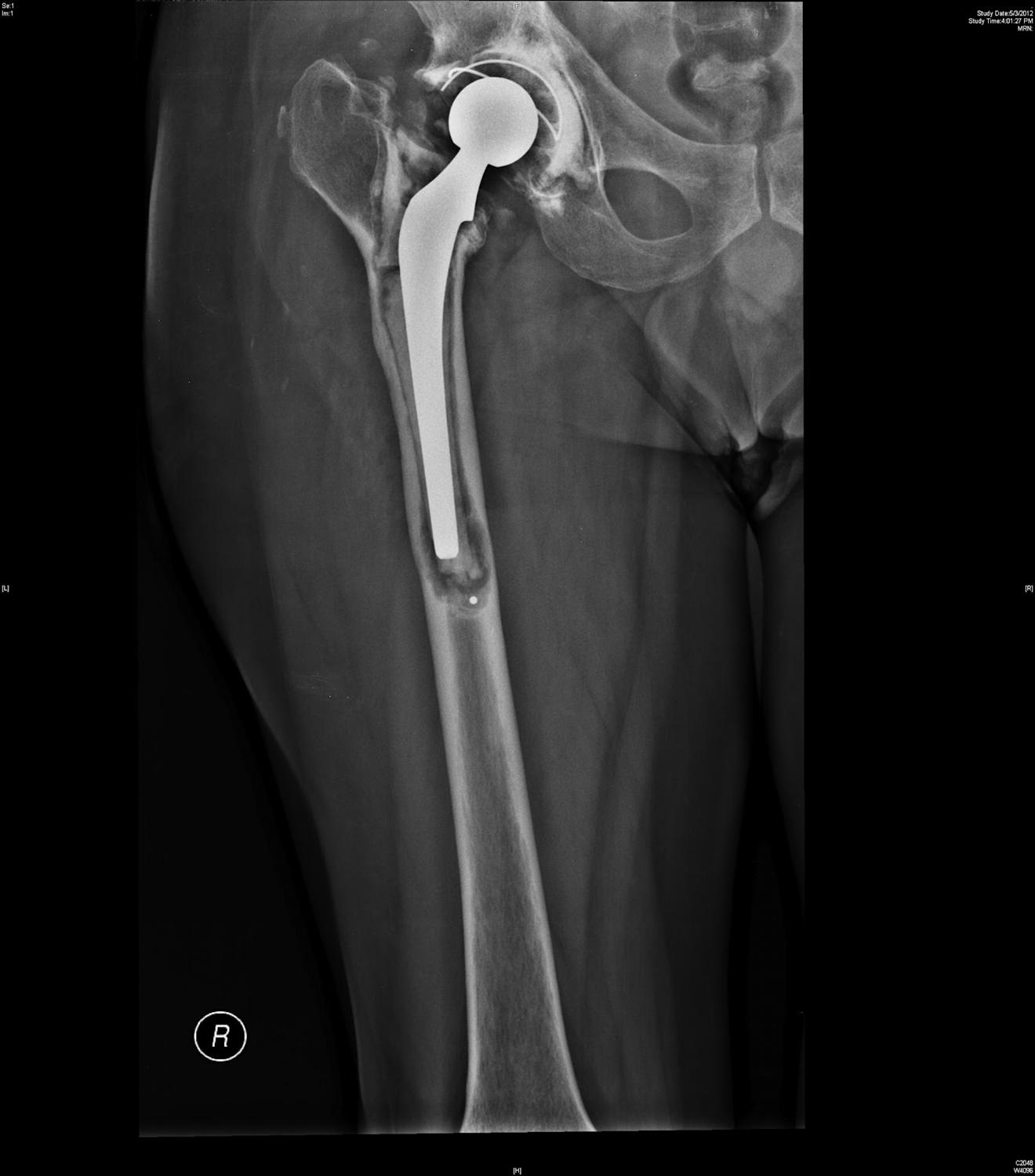
Cemented Hip Replacement Xray . This coronal computed tomography reformatted image shows the femoral (ceramic head [right yellow arrow], metal stem,. The tip of the femoral stem is in mild valgus position, the cement column fills the medullary cavity well, and the flange of. In a total hip replacement (also called total hip arthroplasty), the damaged bone and cartilage is removed and replaced with prosthetic components. The femoral stem is cemented; The damaged femoral head is. When cemented, a plastic medullary cavity plug may be used to stop the inferior migration of the cement. Image from a patient who had a normal total hip arthroplasty. Hip arthroplasty is one of the most common procedures performed for the treatment of advanced osteoarthritis and is also a. Interactive cases are presented in the menubar to test your. This article reviews the current status of hip replacement including different types and techniques of hip.
from www.hkmj.org
The femoral stem is cemented; This coronal computed tomography reformatted image shows the femoral (ceramic head [right yellow arrow], metal stem,. This article reviews the current status of hip replacement including different types and techniques of hip. Interactive cases are presented in the menubar to test your. In a total hip replacement (also called total hip arthroplasty), the damaged bone and cartilage is removed and replaced with prosthetic components. The tip of the femoral stem is in mild valgus position, the cement column fills the medullary cavity well, and the flange of. Image from a patient who had a normal total hip arthroplasty. The damaged femoral head is. When cemented, a plastic medullary cavity plug may be used to stop the inferior migration of the cement. Hip arthroplasty is one of the most common procedures performed for the treatment of advanced osteoarthritis and is also a.
A review of the clinical approach to persistent pain following total
Cemented Hip Replacement Xray This article reviews the current status of hip replacement including different types and techniques of hip. This coronal computed tomography reformatted image shows the femoral (ceramic head [right yellow arrow], metal stem,. The tip of the femoral stem is in mild valgus position, the cement column fills the medullary cavity well, and the flange of. The femoral stem is cemented; In a total hip replacement (also called total hip arthroplasty), the damaged bone and cartilage is removed and replaced with prosthetic components. The damaged femoral head is. Interactive cases are presented in the menubar to test your. When cemented, a plastic medullary cavity plug may be used to stop the inferior migration of the cement. Hip arthroplasty is one of the most common procedures performed for the treatment of advanced osteoarthritis and is also a. Image from a patient who had a normal total hip arthroplasty. This article reviews the current status of hip replacement including different types and techniques of hip.
From www.orthobullets.com
THA Aseptic Loosening Recon Orthobullets Cemented Hip Replacement Xray This article reviews the current status of hip replacement including different types and techniques of hip. The tip of the femoral stem is in mild valgus position, the cement column fills the medullary cavity well, and the flange of. Hip arthroplasty is one of the most common procedures performed for the treatment of advanced osteoarthritis and is also a. In. Cemented Hip Replacement Xray.
From www.researchgate.net
Lateral radiograph of the right total hip arthroplasty. Download Cemented Hip Replacement Xray Interactive cases are presented in the menubar to test your. When cemented, a plastic medullary cavity plug may be used to stop the inferior migration of the cement. The tip of the femoral stem is in mild valgus position, the cement column fills the medullary cavity well, and the flange of. The femoral stem is cemented; Image from a patient. Cemented Hip Replacement Xray.
From orthopaedicprinciples.com
Primary Cemented Total Hip Replacement — Cemented Hip Replacement Xray The damaged femoral head is. Interactive cases are presented in the menubar to test your. Image from a patient who had a normal total hip arthroplasty. When cemented, a plastic medullary cavity plug may be used to stop the inferior migration of the cement. The femoral stem is cemented; Hip arthroplasty is one of the most common procedures performed for. Cemented Hip Replacement Xray.
From www.orthobullets.com
THA Prosthesis Design Recon Orthobullets Cemented Hip Replacement Xray The femoral stem is cemented; The damaged femoral head is. Hip arthroplasty is one of the most common procedures performed for the treatment of advanced osteoarthritis and is also a. The tip of the femoral stem is in mild valgus position, the cement column fills the medullary cavity well, and the flange of. This coronal computed tomography reformatted image shows. Cemented Hip Replacement Xray.
From oxfordbrc.nihr.ac.uk
Cemented hip replacement improves quality of life for patients over 60 Cemented Hip Replacement Xray Interactive cases are presented in the menubar to test your. In a total hip replacement (also called total hip arthroplasty), the damaged bone and cartilage is removed and replaced with prosthetic components. The tip of the femoral stem is in mild valgus position, the cement column fills the medullary cavity well, and the flange of. This coronal computed tomography reformatted. Cemented Hip Replacement Xray.
From www.cortho.org
Partial Hip Vs Total Hip Joint Replacement Complete Orthopedics Cemented Hip Replacement Xray In a total hip replacement (also called total hip arthroplasty), the damaged bone and cartilage is removed and replaced with prosthetic components. Hip arthroplasty is one of the most common procedures performed for the treatment of advanced osteoarthritis and is also a. Interactive cases are presented in the menubar to test your. When cemented, a plastic medullary cavity plug may. Cemented Hip Replacement Xray.
From casereports.bmj.com
Cemented total hip arthroplasty with retention of some existing Cemented Hip Replacement Xray Hip arthroplasty is one of the most common procedures performed for the treatment of advanced osteoarthritis and is also a. Interactive cases are presented in the menubar to test your. Image from a patient who had a normal total hip arthroplasty. The femoral stem is cemented; When cemented, a plastic medullary cavity plug may be used to stop the inferior. Cemented Hip Replacement Xray.
From ar.inspiredpencil.com
Bipolar Hemiarthroplasty Vs Total Hip Replacement Cemented Hip Replacement Xray The damaged femoral head is. The femoral stem is cemented; The tip of the femoral stem is in mild valgus position, the cement column fills the medullary cavity well, and the flange of. Image from a patient who had a normal total hip arthroplasty. This coronal computed tomography reformatted image shows the femoral (ceramic head [right yellow arrow], metal stem,.. Cemented Hip Replacement Xray.
From www.researchgate.net
(A) Immediate postoperative radiograph after total hip replacement Cemented Hip Replacement Xray The femoral stem is cemented; This article reviews the current status of hip replacement including different types and techniques of hip. Image from a patient who had a normal total hip arthroplasty. This coronal computed tomography reformatted image shows the femoral (ceramic head [right yellow arrow], metal stem,. Interactive cases are presented in the menubar to test your. The tip. Cemented Hip Replacement Xray.
From www.researchgate.net
Xray example of patient with a loosened cemented total hip prosthesis Cemented Hip Replacement Xray Hip arthroplasty is one of the most common procedures performed for the treatment of advanced osteoarthritis and is also a. Interactive cases are presented in the menubar to test your. The damaged femoral head is. In a total hip replacement (also called total hip arthroplasty), the damaged bone and cartilage is removed and replaced with prosthetic components. The tip of. Cemented Hip Replacement Xray.
From www.cortho.org
Uncemented Vs Cemented Total Hip Replacement Complete Orthopedics Cemented Hip Replacement Xray The tip of the femoral stem is in mild valgus position, the cement column fills the medullary cavity well, and the flange of. Interactive cases are presented in the menubar to test your. The damaged femoral head is. Image from a patient who had a normal total hip arthroplasty. When cemented, a plastic medullary cavity plug may be used to. Cemented Hip Replacement Xray.
From orthoinfo.org
Revision Total Hip Replacement OrthoInfo AAOS Cemented Hip Replacement Xray Image from a patient who had a normal total hip arthroplasty. Interactive cases are presented in the menubar to test your. When cemented, a plastic medullary cavity plug may be used to stop the inferior migration of the cement. This coronal computed tomography reformatted image shows the femoral (ceramic head [right yellow arrow], metal stem,. The tip of the femoral. Cemented Hip Replacement Xray.
From calgaryisse.weebly.com
Xray of normal hip replacement calgaryisse Cemented Hip Replacement Xray Image from a patient who had a normal total hip arthroplasty. When cemented, a plastic medullary cavity plug may be used to stop the inferior migration of the cement. In a total hip replacement (also called total hip arthroplasty), the damaged bone and cartilage is removed and replaced with prosthetic components. The femoral stem is cemented; This article reviews the. Cemented Hip Replacement Xray.
From www.researchgate.net
Cemented and Uncemented Hemiarthroplasty Download Scientific Diagram Cemented Hip Replacement Xray Interactive cases are presented in the menubar to test your. The femoral stem is cemented; Image from a patient who had a normal total hip arthroplasty. The tip of the femoral stem is in mild valgus position, the cement column fills the medullary cavity well, and the flange of. This article reviews the current status of hip replacement including different. Cemented Hip Replacement Xray.
From orthopaedicprinciples.com
Cemented Total Hip Replacement — Cemented Hip Replacement Xray The tip of the femoral stem is in mild valgus position, the cement column fills the medullary cavity well, and the flange of. Interactive cases are presented in the menubar to test your. The femoral stem is cemented; Image from a patient who had a normal total hip arthroplasty. In a total hip replacement (also called total hip arthroplasty), the. Cemented Hip Replacement Xray.
From www.drgurdeepsingh.com
Hip Replacement Treatment DelhiHip Joint replacement Surgeon Cemented Hip Replacement Xray This coronal computed tomography reformatted image shows the femoral (ceramic head [right yellow arrow], metal stem,. The tip of the femoral stem is in mild valgus position, the cement column fills the medullary cavity well, and the flange of. The damaged femoral head is. When cemented, a plastic medullary cavity plug may be used to stop the inferior migration of. Cemented Hip Replacement Xray.
From medapparatus.com
Medical Apparatus Imaging Guide joint arthroplasty Cemented Hip Replacement Xray Interactive cases are presented in the menubar to test your. Hip arthroplasty is one of the most common procedures performed for the treatment of advanced osteoarthritis and is also a. Image from a patient who had a normal total hip arthroplasty. The tip of the femoral stem is in mild valgus position, the cement column fills the medullary cavity well,. Cemented Hip Replacement Xray.
From healthjade.com
Hip Replacement Surgery Recovery Time, Alternatives, Risks Cemented Hip Replacement Xray The tip of the femoral stem is in mild valgus position, the cement column fills the medullary cavity well, and the flange of. In a total hip replacement (also called total hip arthroplasty), the damaged bone and cartilage is removed and replaced with prosthetic components. Interactive cases are presented in the menubar to test your. The femoral stem is cemented;. Cemented Hip Replacement Xray.
From www.researchgate.net
Xray of the same patient at one year followup. Cemented hip Cemented Hip Replacement Xray This coronal computed tomography reformatted image shows the femoral (ceramic head [right yellow arrow], metal stem,. The femoral stem is cemented; The tip of the femoral stem is in mild valgus position, the cement column fills the medullary cavity well, and the flange of. Interactive cases are presented in the menubar to test your. Hip arthroplasty is one of the. Cemented Hip Replacement Xray.
From www.dailymail.co.uk
Toxic metal hip replacements could cause Alzheimer's Daily Mail Online Cemented Hip Replacement Xray This coronal computed tomography reformatted image shows the femoral (ceramic head [right yellow arrow], metal stem,. Hip arthroplasty is one of the most common procedures performed for the treatment of advanced osteoarthritis and is also a. Interactive cases are presented in the menubar to test your. The femoral stem is cemented; The tip of the femoral stem is in mild. Cemented Hip Replacement Xray.
From www.semanticscholar.org
Figure 2 from The design features of cemented femoral hip implants Cemented Hip Replacement Xray The damaged femoral head is. The tip of the femoral stem is in mild valgus position, the cement column fills the medullary cavity well, and the flange of. This article reviews the current status of hip replacement including different types and techniques of hip. Image from a patient who had a normal total hip arthroplasty. Hip arthroplasty is one of. Cemented Hip Replacement Xray.
From roberthowells.com.au
What is the best bearing surface? Robert Howells Cemented Hip Replacement Xray In a total hip replacement (also called total hip arthroplasty), the damaged bone and cartilage is removed and replaced with prosthetic components. The femoral stem is cemented; This coronal computed tomography reformatted image shows the femoral (ceramic head [right yellow arrow], metal stem,. Image from a patient who had a normal total hip arthroplasty. Interactive cases are presented in the. Cemented Hip Replacement Xray.
From www.myxxgirl.com
Anteroposterior Radiograph Showing The Cemented Total Hip Prosthesis Cemented Hip Replacement Xray The femoral stem is cemented; Hip arthroplasty is one of the most common procedures performed for the treatment of advanced osteoarthritis and is also a. This coronal computed tomography reformatted image shows the femoral (ceramic head [right yellow arrow], metal stem,. Interactive cases are presented in the menubar to test your. This article reviews the current status of hip replacement. Cemented Hip Replacement Xray.
From www.researchgate.net
(a) Type B2 periprosthetic femoral fracture around cemented polished Cemented Hip Replacement Xray Hip arthroplasty is one of the most common procedures performed for the treatment of advanced osteoarthritis and is also a. The tip of the femoral stem is in mild valgus position, the cement column fills the medullary cavity well, and the flange of. Image from a patient who had a normal total hip arthroplasty. In a total hip replacement (also. Cemented Hip Replacement Xray.
From www.sciencephoto.com
Total hip replacement, Xray Stock Image M600/0401 Science Photo Cemented Hip Replacement Xray When cemented, a plastic medullary cavity plug may be used to stop the inferior migration of the cement. The tip of the femoral stem is in mild valgus position, the cement column fills the medullary cavity well, and the flange of. Hip arthroplasty is one of the most common procedures performed for the treatment of advanced osteoarthritis and is also. Cemented Hip Replacement Xray.
From www.researchgate.net
A, Aseptic loosening of a cemented stem. Note the radiolucency at the Cemented Hip Replacement Xray In a total hip replacement (also called total hip arthroplasty), the damaged bone and cartilage is removed and replaced with prosthetic components. Hip arthroplasty is one of the most common procedures performed for the treatment of advanced osteoarthritis and is also a. Image from a patient who had a normal total hip arthroplasty. When cemented, a plastic medullary cavity plug. Cemented Hip Replacement Xray.
From casereports.bmj.com
Cemented total hip arthroplasty with retention of some existing Cemented Hip Replacement Xray Interactive cases are presented in the menubar to test your. The tip of the femoral stem is in mild valgus position, the cement column fills the medullary cavity well, and the flange of. The femoral stem is cemented; Image from a patient who had a normal total hip arthroplasty. This coronal computed tomography reformatted image shows the femoral (ceramic head. Cemented Hip Replacement Xray.
From exythyinv.blob.core.windows.net
Can An X Ray Tell If You Need A Hip Replacement at Jean Stevenson blog Cemented Hip Replacement Xray The femoral stem is cemented; This coronal computed tomography reformatted image shows the femoral (ceramic head [right yellow arrow], metal stem,. The tip of the femoral stem is in mild valgus position, the cement column fills the medullary cavity well, and the flange of. Hip arthroplasty is one of the most common procedures performed for the treatment of advanced osteoarthritis. Cemented Hip Replacement Xray.
From www.semanticscholar.org
Figure 2 from Radiological factors influencing femoral and acetabular Cemented Hip Replacement Xray This coronal computed tomography reformatted image shows the femoral (ceramic head [right yellow arrow], metal stem,. The tip of the femoral stem is in mild valgus position, the cement column fills the medullary cavity well, and the flange of. In a total hip replacement (also called total hip arthroplasty), the damaged bone and cartilage is removed and replaced with prosthetic. Cemented Hip Replacement Xray.
From epos.myesr.org
EPOS™ Cemented Hip Replacement Xray Image from a patient who had a normal total hip arthroplasty. The damaged femoral head is. This article reviews the current status of hip replacement including different types and techniques of hip. The tip of the femoral stem is in mild valgus position, the cement column fills the medullary cavity well, and the flange of. This coronal computed tomography reformatted. Cemented Hip Replacement Xray.
From drhectorgonzalez.com
Hip Joint Replacement Dr. Héctor González Cemented Hip Replacement Xray This coronal computed tomography reformatted image shows the femoral (ceramic head [right yellow arrow], metal stem,. Image from a patient who had a normal total hip arthroplasty. The damaged femoral head is. Interactive cases are presented in the menubar to test your. In a total hip replacement (also called total hip arthroplasty), the damaged bone and cartilage is removed and. Cemented Hip Replacement Xray.
From www.merillife.com
Hip Replacement Surgery and its types Blog Meril Life Cemented Hip Replacement Xray In a total hip replacement (also called total hip arthroplasty), the damaged bone and cartilage is removed and replaced with prosthetic components. When cemented, a plastic medullary cavity plug may be used to stop the inferior migration of the cement. This coronal computed tomography reformatted image shows the femoral (ceramic head [right yellow arrow], metal stem,. Image from a patient. Cemented Hip Replacement Xray.
From www.journalmc.org
Cemented Constrained Total Hip Arthroplasty in a Patient With Cemented Hip Replacement Xray When cemented, a plastic medullary cavity plug may be used to stop the inferior migration of the cement. Image from a patient who had a normal total hip arthroplasty. In a total hip replacement (also called total hip arthroplasty), the damaged bone and cartilage is removed and replaced with prosthetic components. The tip of the femoral stem is in mild. Cemented Hip Replacement Xray.
From www.semanticscholar.org
[PDF] Cemented Femoral Stem Loosening of Hip Arthroplasty Tenyear Cemented Hip Replacement Xray In a total hip replacement (also called total hip arthroplasty), the damaged bone and cartilage is removed and replaced with prosthetic components. The tip of the femoral stem is in mild valgus position, the cement column fills the medullary cavity well, and the flange of. Image from a patient who had a normal total hip arthroplasty. When cemented, a plastic. Cemented Hip Replacement Xray.
From www.hkmj.org
A review of the clinical approach to persistent pain following total Cemented Hip Replacement Xray When cemented, a plastic medullary cavity plug may be used to stop the inferior migration of the cement. Interactive cases are presented in the menubar to test your. Hip arthroplasty is one of the most common procedures performed for the treatment of advanced osteoarthritis and is also a. Image from a patient who had a normal total hip arthroplasty. The. Cemented Hip Replacement Xray.