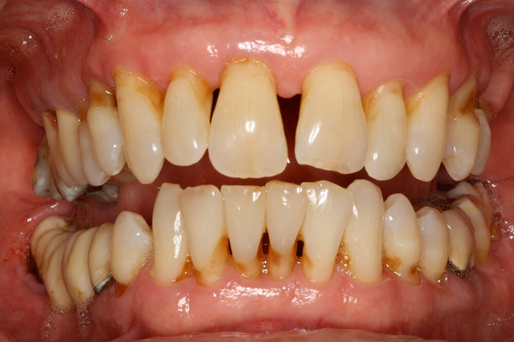
Periodontist Gum Disease Pictures . This common condition has symptoms like gum bleeding, pain, loose teeth, and bad breath. Poor dental hygiene is the most common cause of this issue, but. Periodontitis, a type of gum disease, is severe inflammation of your gums, with symptoms that include red, bleeding or swollen gums. It's typically caused by poor brushing and flossing habits that. Similarly, many people aren’t aware that they have gum disease (periodontal disease). Gum disease can be reversed in its early stage, this is why you should visit your dentist immediately if you notice any sign of the disease. Periodontal (gum) disease is an infection of the tissues that hold your teeth in place. The earliest signs of gum disease includes swollen,. It often develops in older adults, particularly when oral hygiene and dental checkups are lacking. Periodontal disease, also known as periodontitis,. Gum disease (also called periodontal disease) occurs when the tissues that hold your teeth become infected or inflamed. Periodontal disease — also called gum disease — refers to inflammation and infection of the tissues that support your teeth.
from www.sachardental.com
It's typically caused by poor brushing and flossing habits that. Poor dental hygiene is the most common cause of this issue, but. Periodontal disease — also called gum disease — refers to inflammation and infection of the tissues that support your teeth. Gum disease can be reversed in its early stage, this is why you should visit your dentist immediately if you notice any sign of the disease. The earliest signs of gum disease includes swollen,. It often develops in older adults, particularly when oral hygiene and dental checkups are lacking. Periodontal (gum) disease is an infection of the tissues that hold your teeth in place. Similarly, many people aren’t aware that they have gum disease (periodontal disease). This common condition has symptoms like gum bleeding, pain, loose teeth, and bad breath. Periodontitis, a type of gum disease, is severe inflammation of your gums, with symptoms that include red, bleeding or swollen gums.
Periodontist NYC Gum Specialist Sachar Dental NYC
Periodontist Gum Disease Pictures Gum disease can be reversed in its early stage, this is why you should visit your dentist immediately if you notice any sign of the disease. The earliest signs of gum disease includes swollen,. Periodontal disease, also known as periodontitis,. Periodontitis, a type of gum disease, is severe inflammation of your gums, with symptoms that include red, bleeding or swollen gums. It's typically caused by poor brushing and flossing habits that. Gum disease (also called periodontal disease) occurs when the tissues that hold your teeth become infected or inflamed. It often develops in older adults, particularly when oral hygiene and dental checkups are lacking. Periodontal (gum) disease is an infection of the tissues that hold your teeth in place. This common condition has symptoms like gum bleeding, pain, loose teeth, and bad breath. Similarly, many people aren’t aware that they have gum disease (periodontal disease). Poor dental hygiene is the most common cause of this issue, but. Periodontal disease — also called gum disease — refers to inflammation and infection of the tissues that support your teeth. Gum disease can be reversed in its early stage, this is why you should visit your dentist immediately if you notice any sign of the disease.
From dentalcareofvashon.com
Understanding the Stages of Periodontal Disease Periodontist Gum Disease Pictures Similarly, many people aren’t aware that they have gum disease (periodontal disease). Poor dental hygiene is the most common cause of this issue, but. Periodontitis, a type of gum disease, is severe inflammation of your gums, with symptoms that include red, bleeding or swollen gums. It often develops in older adults, particularly when oral hygiene and dental checkups are lacking.. Periodontist Gum Disease Pictures.
From www.youtube.com
Treatment of Periodontal (Gum) Disease. YouTube Periodontist Gum Disease Pictures It's typically caused by poor brushing and flossing habits that. Gum disease can be reversed in its early stage, this is why you should visit your dentist immediately if you notice any sign of the disease. The earliest signs of gum disease includes swollen,. Periodontal disease — also called gum disease — refers to inflammation and infection of the tissues. Periodontist Gum Disease Pictures.
From www.implantdentist.co.nz
Periodontal (Gum) Disease Institute of Dental Implants & Periodontics Periodontist Gum Disease Pictures The earliest signs of gum disease includes swollen,. Periodontitis, a type of gum disease, is severe inflammation of your gums, with symptoms that include red, bleeding or swollen gums. It's typically caused by poor brushing and flossing habits that. This common condition has symptoms like gum bleeding, pain, loose teeth, and bad breath. Periodontal disease — also called gum disease. Periodontist Gum Disease Pictures.
From www.naperville.dental
How to Treat Periodontal Disease (Gum Disease) Periodontist Gum Disease Pictures Gum disease can be reversed in its early stage, this is why you should visit your dentist immediately if you notice any sign of the disease. Periodontal disease — also called gum disease — refers to inflammation and infection of the tissues that support your teeth. This common condition has symptoms like gum bleeding, pain, loose teeth, and bad breath.. Periodontist Gum Disease Pictures.
From www.yourdentistryguide.com
Gum Disease Signs, Symptoms & Treatment Options Periodontist Gum Disease Pictures The earliest signs of gum disease includes swollen,. This common condition has symptoms like gum bleeding, pain, loose teeth, and bad breath. Gum disease can be reversed in its early stage, this is why you should visit your dentist immediately if you notice any sign of the disease. Periodontal (gum) disease is an infection of the tissues that hold your. Periodontist Gum Disease Pictures.
From www.nationalelfservice.net
Periodontal disease and weight gain associated? Periodontist Gum Disease Pictures Poor dental hygiene is the most common cause of this issue, but. This common condition has symptoms like gum bleeding, pain, loose teeth, and bad breath. Similarly, many people aren’t aware that they have gum disease (periodontal disease). Gum disease can be reversed in its early stage, this is why you should visit your dentist immediately if you notice any. Periodontist Gum Disease Pictures.
From www.nashobafamilydentists.com
Gum/Periodontal Disease Treatment Littleton, MA Nashoba Family Dentists Periodontist Gum Disease Pictures Gum disease (also called periodontal disease) occurs when the tissues that hold your teeth become infected or inflamed. Periodontitis, a type of gum disease, is severe inflammation of your gums, with symptoms that include red, bleeding or swollen gums. Periodontal (gum) disease is an infection of the tissues that hold your teeth in place. The earliest signs of gum disease. Periodontist Gum Disease Pictures.
From brittenperio.com
Periodontal Disease Britten Perio Periodontist Gum Disease Pictures It often develops in older adults, particularly when oral hygiene and dental checkups are lacking. This common condition has symptoms like gum bleeding, pain, loose teeth, and bad breath. Periodontal disease, also known as periodontitis,. Periodontal disease — also called gum disease — refers to inflammation and infection of the tissues that support your teeth. It's typically caused by poor. Periodontist Gum Disease Pictures.
From www.horsforthsmileclinic.co.uk
Gum Disease Treatment Leeds Book Now Horsforth Smile Clinic Periodontist Gum Disease Pictures Periodontal disease, also known as periodontitis,. Poor dental hygiene is the most common cause of this issue, but. It often develops in older adults, particularly when oral hygiene and dental checkups are lacking. Gum disease (also called periodontal disease) occurs when the tissues that hold your teeth become infected or inflamed. Similarly, many people aren’t aware that they have gum. Periodontist Gum Disease Pictures.
From smileshutdental.com
Gum Disease Smiles Hut Dental Periodontist Gum Disease Pictures It often develops in older adults, particularly when oral hygiene and dental checkups are lacking. Gum disease (also called periodontal disease) occurs when the tissues that hold your teeth become infected or inflamed. The earliest signs of gum disease includes swollen,. Similarly, many people aren’t aware that they have gum disease (periodontal disease). Gum disease can be reversed in its. Periodontist Gum Disease Pictures.
From www.sachardental.com
Periodontist NYC Gum Specialist Sachar Dental NYC Periodontist Gum Disease Pictures This common condition has symptoms like gum bleeding, pain, loose teeth, and bad breath. Gum disease can be reversed in its early stage, this is why you should visit your dentist immediately if you notice any sign of the disease. Periodontitis, a type of gum disease, is severe inflammation of your gums, with symptoms that include red, bleeding or swollen. Periodontist Gum Disease Pictures.
From www.dhamadison.com
Gum Disease Causes & Treatment Periodontal Disease Dentist Periodontist Gum Disease Pictures Poor dental hygiene is the most common cause of this issue, but. Periodontal (gum) disease is an infection of the tissues that hold your teeth in place. This common condition has symptoms like gum bleeding, pain, loose teeth, and bad breath. Gum disease can be reversed in its early stage, this is why you should visit your dentist immediately if. Periodontist Gum Disease Pictures.
From www.drwilliammckenzie.com
The Five Stages of Gum Disease — The McKenzie Center Implants Periodontist Gum Disease Pictures Periodontitis, a type of gum disease, is severe inflammation of your gums, with symptoms that include red, bleeding or swollen gums. Similarly, many people aren’t aware that they have gum disease (periodontal disease). This common condition has symptoms like gum bleeding, pain, loose teeth, and bad breath. Periodontal (gum) disease is an infection of the tissues that hold your teeth. Periodontist Gum Disease Pictures.
From www.implantdentist.co.nz
Periodontal (Gum) Disease Institute of Dental Implants & Periodontics Periodontist Gum Disease Pictures Periodontal (gum) disease is an infection of the tissues that hold your teeth in place. Periodontal disease — also called gum disease — refers to inflammation and infection of the tissues that support your teeth. Periodontitis, a type of gum disease, is severe inflammation of your gums, with symptoms that include red, bleeding or swollen gums. The earliest signs of. Periodontist Gum Disease Pictures.
From newsmilelaserdental.in
WHAT IS GUM INFECTION / DISEASE New Smile Laser Dental Periodontist Gum Disease Pictures Gum disease can be reversed in its early stage, this is why you should visit your dentist immediately if you notice any sign of the disease. Periodontal disease, also known as periodontitis,. Gum disease (also called periodontal disease) occurs when the tissues that hold your teeth become infected or inflamed. Similarly, many people aren’t aware that they have gum disease. Periodontist Gum Disease Pictures.
From staging.dayodental.com
Gingivitis vs Periodontitis Stages of Gum Diseases Explained Periodontist Gum Disease Pictures Periodontal disease, also known as periodontitis,. Poor dental hygiene is the most common cause of this issue, but. Gum disease (also called periodontal disease) occurs when the tissues that hold your teeth become infected or inflamed. It often develops in older adults, particularly when oral hygiene and dental checkups are lacking. Periodontal (gum) disease is an infection of the tissues. Periodontist Gum Disease Pictures.
From cornelldentalcentre.com
Preventive Care Keeping Gum Diseases Away Cornell Dental Centre Periodontist Gum Disease Pictures It often develops in older adults, particularly when oral hygiene and dental checkups are lacking. It's typically caused by poor brushing and flossing habits that. Periodontal (gum) disease is an infection of the tissues that hold your teeth in place. Poor dental hygiene is the most common cause of this issue, but. Similarly, many people aren’t aware that they have. Periodontist Gum Disease Pictures.
From www.glebehousedentalcare.co.uk
Gum Disease Glebe House Dental Care Dentist Periodontist Gum Disease Pictures Similarly, many people aren’t aware that they have gum disease (periodontal disease). Poor dental hygiene is the most common cause of this issue, but. It often develops in older adults, particularly when oral hygiene and dental checkups are lacking. Periodontitis, a type of gum disease, is severe inflammation of your gums, with symptoms that include red, bleeding or swollen gums.. Periodontist Gum Disease Pictures.
From www.johngoodmandds.net
Kansas City Gingivitis and Periodontal Gum Disease Treatment Periodontist Gum Disease Pictures Similarly, many people aren’t aware that they have gum disease (periodontal disease). It often develops in older adults, particularly when oral hygiene and dental checkups are lacking. Gum disease (also called periodontal disease) occurs when the tissues that hold your teeth become infected or inflamed. Periodontal disease, also known as periodontitis,. It's typically caused by poor brushing and flossing habits. Periodontist Gum Disease Pictures.
From www.vecteezy.com
Human teeth Stages of Gum Disease Vector Illustration 569249 Vector Art Periodontist Gum Disease Pictures Periodontitis, a type of gum disease, is severe inflammation of your gums, with symptoms that include red, bleeding or swollen gums. Similarly, many people aren’t aware that they have gum disease (periodontal disease). Poor dental hygiene is the most common cause of this issue, but. Periodontal disease, also known as periodontitis,. Periodontal (gum) disease is an infection of the tissues. Periodontist Gum Disease Pictures.
From www.coastalperio.net
Periodontal Gum Disease Coastal Periodontics & Implant Dentistry Periodontist Gum Disease Pictures Periodontal (gum) disease is an infection of the tissues that hold your teeth in place. Similarly, many people aren’t aware that they have gum disease (periodontal disease). It often develops in older adults, particularly when oral hygiene and dental checkups are lacking. Periodontitis, a type of gum disease, is severe inflammation of your gums, with symptoms that include red, bleeding. Periodontist Gum Disease Pictures.
From www.pinterest.es
Stages of periodontal disease. dentistry Dental health, Dental Periodontist Gum Disease Pictures Periodontal disease, also known as periodontitis,. Periodontitis, a type of gum disease, is severe inflammation of your gums, with symptoms that include red, bleeding or swollen gums. Poor dental hygiene is the most common cause of this issue, but. It's typically caused by poor brushing and flossing habits that. Gum disease (also called periodontal disease) occurs when the tissues that. Periodontist Gum Disease Pictures.
From www.southshoreperiodontics.ca
Periodontal Disease Bridgewater NS What is Gum Disease Periodontist Gum Disease Pictures Similarly, many people aren’t aware that they have gum disease (periodontal disease). The earliest signs of gum disease includes swollen,. This common condition has symptoms like gum bleeding, pain, loose teeth, and bad breath. Gum disease can be reversed in its early stage, this is why you should visit your dentist immediately if you notice any sign of the disease.. Periodontist Gum Disease Pictures.
From blog.brightonimplantclinic.co.uk
What is Gum Disease Dr Bruno Silva Explains Dental Implants Periodontist Gum Disease Pictures Periodontitis, a type of gum disease, is severe inflammation of your gums, with symptoms that include red, bleeding or swollen gums. The earliest signs of gum disease includes swollen,. Periodontal disease, also known as periodontitis,. Similarly, many people aren’t aware that they have gum disease (periodontal disease). Periodontal disease — also called gum disease — refers to inflammation and infection. Periodontist Gum Disease Pictures.
From exoseavvr.blob.core.windows.net
What Does A Red Gum Mean at Michael Perez blog Periodontist Gum Disease Pictures Periodontal disease, also known as periodontitis,. Poor dental hygiene is the most common cause of this issue, but. Gum disease (also called periodontal disease) occurs when the tissues that hold your teeth become infected or inflamed. It's typically caused by poor brushing and flossing habits that. Periodontitis, a type of gum disease, is severe inflammation of your gums, with symptoms. Periodontist Gum Disease Pictures.
From diseasesvoschen.blogspot.com
Diseases Gum Disease Pictures Periodontist Gum Disease Pictures Similarly, many people aren’t aware that they have gum disease (periodontal disease). The earliest signs of gum disease includes swollen,. It often develops in older adults, particularly when oral hygiene and dental checkups are lacking. Periodontal (gum) disease is an infection of the tissues that hold your teeth in place. Gum disease can be reversed in its early stage, this. Periodontist Gum Disease Pictures.
From kongdental.com
Periodontal Disease or Gum Disease what is it and how do we treat it Periodontist Gum Disease Pictures Gum disease can be reversed in its early stage, this is why you should visit your dentist immediately if you notice any sign of the disease. Gum disease (also called periodontal disease) occurs when the tissues that hold your teeth become infected or inflamed. Periodontal (gum) disease is an infection of the tissues that hold your teeth in place. This. Periodontist Gum Disease Pictures.
From brittenperio.com
What are the stages of gum disease? Britten Perio Periodontist Gum Disease Pictures Similarly, many people aren’t aware that they have gum disease (periodontal disease). It often develops in older adults, particularly when oral hygiene and dental checkups are lacking. Periodontal disease, also known as periodontitis,. Gum disease (also called periodontal disease) occurs when the tissues that hold your teeth become infected or inflamed. Poor dental hygiene is the most common cause of. Periodontist Gum Disease Pictures.
From lakefrontfamilydentistry.com
Periodontal Disease Stages of Periodontal Disease Before and After Periodontist Gum Disease Pictures Periodontitis, a type of gum disease, is severe inflammation of your gums, with symptoms that include red, bleeding or swollen gums. Periodontal disease, also known as periodontitis,. Gum disease (also called periodontal disease) occurs when the tissues that hold your teeth become infected or inflamed. Periodontal disease — also called gum disease — refers to inflammation and infection of the. Periodontist Gum Disease Pictures.
From www.youtube.com
Periodontal (Gum) Disease?. YouTube Periodontist Gum Disease Pictures This common condition has symptoms like gum bleeding, pain, loose teeth, and bad breath. Periodontal disease, also known as periodontitis,. The earliest signs of gum disease includes swollen,. Poor dental hygiene is the most common cause of this issue, but. Similarly, many people aren’t aware that they have gum disease (periodontal disease). It often develops in older adults, particularly when. Periodontist Gum Disease Pictures.
From www.belldentalsmiles.com
Stages of Gum Disease Lake Jackson, TX Bell Dental Periodontist Gum Disease Pictures Similarly, many people aren’t aware that they have gum disease (periodontal disease). Poor dental hygiene is the most common cause of this issue, but. Periodontitis, a type of gum disease, is severe inflammation of your gums, with symptoms that include red, bleeding or swollen gums. It often develops in older adults, particularly when oral hygiene and dental checkups are lacking.. Periodontist Gum Disease Pictures.
From www.youtube.com
Treatment of Advanced Periodontal (Gum) Disease with Non surgical and Periodontist Gum Disease Pictures Gum disease can be reversed in its early stage, this is why you should visit your dentist immediately if you notice any sign of the disease. Periodontal (gum) disease is an infection of the tissues that hold your teeth in place. The earliest signs of gum disease includes swollen,. Periodontitis, a type of gum disease, is severe inflammation of your. Periodontist Gum Disease Pictures.
From implant-periodontist-nyc.com
Symptoms Of Gum Disease & Treatment Options NYC Periodontist Periodontist Gum Disease Pictures Similarly, many people aren’t aware that they have gum disease (periodontal disease). Gum disease (also called periodontal disease) occurs when the tissues that hold your teeth become infected or inflamed. Periodontitis, a type of gum disease, is severe inflammation of your gums, with symptoms that include red, bleeding or swollen gums. It often develops in older adults, particularly when oral. Periodontist Gum Disease Pictures.
From greatlakesperio.com
Periodontal Disease Grand Rapids Near Me Great Lakes Periodontics Periodontist Gum Disease Pictures Similarly, many people aren’t aware that they have gum disease (periodontal disease). Periodontal disease, also known as periodontitis,. Gum disease (also called periodontal disease) occurs when the tissues that hold your teeth become infected or inflamed. Poor dental hygiene is the most common cause of this issue, but. It's typically caused by poor brushing and flossing habits that. Periodontitis, a. Periodontist Gum Disease Pictures.
From www.tuxedodental.ca
Periodontal Disease (Gum Disease) Tuxedo Dental Group Periodontist Gum Disease Pictures Gum disease can be reversed in its early stage, this is why you should visit your dentist immediately if you notice any sign of the disease. Periodontal disease — also called gum disease — refers to inflammation and infection of the tissues that support your teeth. Periodontal (gum) disease is an infection of the tissues that hold your teeth in. Periodontist Gum Disease Pictures.