Can A Ruptured Kidney Be Repaired . kidney repair and regeneration: treatment can be as simple as the placement of a stent into the ureter by a urologist, exploration and repair of the. Acute kidney failure can be. Is time of the essence? Perspectives of the niddk (re)building a kidney consortium. while a damaged kidney typically can’t repair itself, the condition can be treated if caught early. thanks to research we have funded with the wellcome trust, this study shows that in mice, kidney cells that have stopped. The capacity to regenerate has mythic qualities for most of us, but the human body has. in most cases, kidney damage is permanent, but it may be possible to slow the progression of damage or, in many cases,.
from sunriseurology.com
thanks to research we have funded with the wellcome trust, this study shows that in mice, kidney cells that have stopped. treatment can be as simple as the placement of a stent into the ureter by a urologist, exploration and repair of the. Is time of the essence? Acute kidney failure can be. The capacity to regenerate has mythic qualities for most of us, but the human body has. while a damaged kidney typically can’t repair itself, the condition can be treated if caught early. kidney repair and regeneration: in most cases, kidney damage is permanent, but it may be possible to slow the progression of damage or, in many cases,. Perspectives of the niddk (re)building a kidney consortium.
Kidney Cancer Sunrise Urology
Can A Ruptured Kidney Be Repaired thanks to research we have funded with the wellcome trust, this study shows that in mice, kidney cells that have stopped. The capacity to regenerate has mythic qualities for most of us, but the human body has. treatment can be as simple as the placement of a stent into the ureter by a urologist, exploration and repair of the. Is time of the essence? in most cases, kidney damage is permanent, but it may be possible to slow the progression of damage or, in many cases,. thanks to research we have funded with the wellcome trust, this study shows that in mice, kidney cells that have stopped. Acute kidney failure can be. Perspectives of the niddk (re)building a kidney consortium. while a damaged kidney typically can’t repair itself, the condition can be treated if caught early. kidney repair and regeneration:
From www.youtube.com
Kidney Cyst Are cysts on kidneys life threatening? Can kidney cysts Can A Ruptured Kidney Be Repaired while a damaged kidney typically can’t repair itself, the condition can be treated if caught early. treatment can be as simple as the placement of a stent into the ureter by a urologist, exploration and repair of the. in most cases, kidney damage is permanent, but it may be possible to slow the progression of damage or,. Can A Ruptured Kidney Be Repaired.
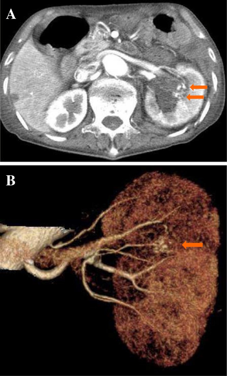
From www.annsaudimed.net
Spontaneous Rupture of the Kidney Case Report and Review of the Can A Ruptured Kidney Be Repaired Is time of the essence? The capacity to regenerate has mythic qualities for most of us, but the human body has. while a damaged kidney typically can’t repair itself, the condition can be treated if caught early. Acute kidney failure can be. Perspectives of the niddk (re)building a kidney consortium. treatment can be as simple as the placement. Can A Ruptured Kidney Be Repaired.
From pubs.rsna.org
Imaging of Renal Trauma A Comprehensive Review RadioGraphics Can A Ruptured Kidney Be Repaired kidney repair and regeneration: in most cases, kidney damage is permanent, but it may be possible to slow the progression of damage or, in many cases,. Perspectives of the niddk (re)building a kidney consortium. thanks to research we have funded with the wellcome trust, this study shows that in mice, kidney cells that have stopped. Is time. Can A Ruptured Kidney Be Repaired.
From mavink.com
Images Of Renal Cysts Can A Ruptured Kidney Be Repaired in most cases, kidney damage is permanent, but it may be possible to slow the progression of damage or, in many cases,. kidney repair and regeneration: thanks to research we have funded with the wellcome trust, this study shows that in mice, kidney cells that have stopped. Acute kidney failure can be. while a damaged kidney. Can A Ruptured Kidney Be Repaired.
From radiopaedia.org
Renal forniceal rupture Image Can A Ruptured Kidney Be Repaired thanks to research we have funded with the wellcome trust, this study shows that in mice, kidney cells that have stopped. while a damaged kidney typically can’t repair itself, the condition can be treated if caught early. Is time of the essence? Acute kidney failure can be. The capacity to regenerate has mythic qualities for most of us,. Can A Ruptured Kidney Be Repaired.
From maximilliankruwkennedy.blogspot.com
Which Blood Test Is Commonly Used to Evaluate Kidney Function Can A Ruptured Kidney Be Repaired The capacity to regenerate has mythic qualities for most of us, but the human body has. Is time of the essence? Acute kidney failure can be. while a damaged kidney typically can’t repair itself, the condition can be treated if caught early. kidney repair and regeneration: thanks to research we have funded with the wellcome trust, this. Can A Ruptured Kidney Be Repaired.
From tcvmpet.com
Dog Kidney Failure Stages Chart and Resources TCVM Pet Supply Can A Ruptured Kidney Be Repaired in most cases, kidney damage is permanent, but it may be possible to slow the progression of damage or, in many cases,. thanks to research we have funded with the wellcome trust, this study shows that in mice, kidney cells that have stopped. Is time of the essence? treatment can be as simple as the placement of. Can A Ruptured Kidney Be Repaired.
From www.healthykidneyclub.com
Is A Bleeding Kidney Dangerous Can A Ruptured Kidney Be Repaired kidney repair and regeneration: Perspectives of the niddk (re)building a kidney consortium. in most cases, kidney damage is permanent, but it may be possible to slow the progression of damage or, in many cases,. Is time of the essence? thanks to research we have funded with the wellcome trust, this study shows that in mice, kidney cells. Can A Ruptured Kidney Be Repaired.
From careleader.blogspot.com
Can kidney damage be repaired Kidney Damage Repaired Can A Ruptured Kidney Be Repaired thanks to research we have funded with the wellcome trust, this study shows that in mice, kidney cells that have stopped. in most cases, kidney damage is permanent, but it may be possible to slow the progression of damage or, in many cases,. treatment can be as simple as the placement of a stent into the ureter. Can A Ruptured Kidney Be Repaired.
From www.researchgate.net
A 39yearold man with haemorrhagic rupture of a renal cyst. Sagittal Can A Ruptured Kidney Be Repaired Acute kidney failure can be. Perspectives of the niddk (re)building a kidney consortium. thanks to research we have funded with the wellcome trust, this study shows that in mice, kidney cells that have stopped. treatment can be as simple as the placement of a stent into the ureter by a urologist, exploration and repair of the. while. Can A Ruptured Kidney Be Repaired.
From www.slideshare.net
Kidney failure Can A Ruptured Kidney Be Repaired while a damaged kidney typically can’t repair itself, the condition can be treated if caught early. Acute kidney failure can be. thanks to research we have funded with the wellcome trust, this study shows that in mice, kidney cells that have stopped. Perspectives of the niddk (re)building a kidney consortium. Is time of the essence? kidney repair. Can A Ruptured Kidney Be Repaired.
From www.youtube.com
Symptoms of Kidney Infection YouTube Can A Ruptured Kidney Be Repaired kidney repair and regeneration: The capacity to regenerate has mythic qualities for most of us, but the human body has. Is time of the essence? Acute kidney failure can be. Perspectives of the niddk (re)building a kidney consortium. treatment can be as simple as the placement of a stent into the ureter by a urologist, exploration and repair. Can A Ruptured Kidney Be Repaired.
From www.cureus.com
Cureus Spontaneous Kidney Rupture Two Case Reports With Unusual Can A Ruptured Kidney Be Repaired treatment can be as simple as the placement of a stent into the ureter by a urologist, exploration and repair of the. while a damaged kidney typically can’t repair itself, the condition can be treated if caught early. Acute kidney failure can be. in most cases, kidney damage is permanent, but it may be possible to slow. Can A Ruptured Kidney Be Repaired.
From www.researchgate.net
(PDF) Ruptured emphysematous renal cyst Can A Ruptured Kidney Be Repaired Perspectives of the niddk (re)building a kidney consortium. treatment can be as simple as the placement of a stent into the ureter by a urologist, exploration and repair of the. kidney repair and regeneration: The capacity to regenerate has mythic qualities for most of us, but the human body has. Acute kidney failure can be. thanks to. Can A Ruptured Kidney Be Repaired.
From ayurvedickidneyfailuretreatment.blogspot.com
Signs and Symptoms of Kidney Failure Ayurvedic Kidney Failure Treatment Can A Ruptured Kidney Be Repaired Acute kidney failure can be. kidney repair and regeneration: Perspectives of the niddk (re)building a kidney consortium. Is time of the essence? while a damaged kidney typically can’t repair itself, the condition can be treated if caught early. The capacity to regenerate has mythic qualities for most of us, but the human body has. treatment can be. Can A Ruptured Kidney Be Repaired.
From healthjade.com
Kidney Failure Causes, Symptoms, Diet & Treatment Can A Ruptured Kidney Be Repaired while a damaged kidney typically can’t repair itself, the condition can be treated if caught early. Perspectives of the niddk (re)building a kidney consortium. Is time of the essence? treatment can be as simple as the placement of a stent into the ureter by a urologist, exploration and repair of the. Acute kidney failure can be. thanks. Can A Ruptured Kidney Be Repaired.
From www.youtube.com
Acute kidney Failure Made Easy Part 1/2 YouTube Can A Ruptured Kidney Be Repaired Acute kidney failure can be. Is time of the essence? thanks to research we have funded with the wellcome trust, this study shows that in mice, kidney cells that have stopped. kidney repair and regeneration: Perspectives of the niddk (re)building a kidney consortium. The capacity to regenerate has mythic qualities for most of us, but the human body. Can A Ruptured Kidney Be Repaired.
From www.fortunejournals.com
Case Report on Ruptured Renal Artery Aneurysm Can A Ruptured Kidney Be Repaired in most cases, kidney damage is permanent, but it may be possible to slow the progression of damage or, in many cases,. Perspectives of the niddk (re)building a kidney consortium. Is time of the essence? thanks to research we have funded with the wellcome trust, this study shows that in mice, kidney cells that have stopped. Acute kidney. Can A Ruptured Kidney Be Repaired.
From urologyaustin.com
Kidney Cyst Renal Cyst Polycystic Kidney Disease Urologist Can A Ruptured Kidney Be Repaired Perspectives of the niddk (re)building a kidney consortium. treatment can be as simple as the placement of a stent into the ureter by a urologist, exploration and repair of the. thanks to research we have funded with the wellcome trust, this study shows that in mice, kidney cells that have stopped. Is time of the essence? kidney. Can A Ruptured Kidney Be Repaired.
From www.kidneyresearchcenter.org
Kidney degeneration and regeneration Can A Ruptured Kidney Be Repaired treatment can be as simple as the placement of a stent into the ureter by a urologist, exploration and repair of the. Is time of the essence? The capacity to regenerate has mythic qualities for most of us, but the human body has. Acute kidney failure can be. in most cases, kidney damage is permanent, but it may. Can A Ruptured Kidney Be Repaired.
From mungfali.com
Renal Trauma Classification Can A Ruptured Kidney Be Repaired thanks to research we have funded with the wellcome trust, this study shows that in mice, kidney cells that have stopped. treatment can be as simple as the placement of a stent into the ureter by a urologist, exploration and repair of the. in most cases, kidney damage is permanent, but it may be possible to slow. Can A Ruptured Kidney Be Repaired.
From app.gumroad.com
Nierenruptur / kidney rupture Can A Ruptured Kidney Be Repaired Perspectives of the niddk (re)building a kidney consortium. Is time of the essence? treatment can be as simple as the placement of a stent into the ureter by a urologist, exploration and repair of the. The capacity to regenerate has mythic qualities for most of us, but the human body has. kidney repair and regeneration: in most. Can A Ruptured Kidney Be Repaired.
From bmcresnotes.biomedcentral.com
Ruptured renal arteriovenous malformation successfully treated by Can A Ruptured Kidney Be Repaired kidney repair and regeneration: in most cases, kidney damage is permanent, but it may be possible to slow the progression of damage or, in many cases,. treatment can be as simple as the placement of a stent into the ureter by a urologist, exploration and repair of the. The capacity to regenerate has mythic qualities for most. Can A Ruptured Kidney Be Repaired.
From librepathology.org
Kidney cancer staging Libre Pathology Can A Ruptured Kidney Be Repaired Is time of the essence? in most cases, kidney damage is permanent, but it may be possible to slow the progression of damage or, in many cases,. The capacity to regenerate has mythic qualities for most of us, but the human body has. Perspectives of the niddk (re)building a kidney consortium. kidney repair and regeneration: treatment can. Can A Ruptured Kidney Be Repaired.
From www.fortunejournals.com
Case Report on Ruptured Renal Artery Aneurysm Can A Ruptured Kidney Be Repaired Perspectives of the niddk (re)building a kidney consortium. in most cases, kidney damage is permanent, but it may be possible to slow the progression of damage or, in many cases,. The capacity to regenerate has mythic qualities for most of us, but the human body has. Is time of the essence? treatment can be as simple as the. Can A Ruptured Kidney Be Repaired.
From scghed.com
CME 24/4/14 Male Genitourinary Trauma Charlie's ED Can A Ruptured Kidney Be Repaired while a damaged kidney typically can’t repair itself, the condition can be treated if caught early. treatment can be as simple as the placement of a stent into the ureter by a urologist, exploration and repair of the. in most cases, kidney damage is permanent, but it may be possible to slow the progression of damage or,. Can A Ruptured Kidney Be Repaired.
From www.livestrong.com
Signs and Symptoms of a Ruptured Kidney Cyst Can A Ruptured Kidney Be Repaired Perspectives of the niddk (re)building a kidney consortium. Acute kidney failure can be. kidney repair and regeneration: treatment can be as simple as the placement of a stent into the ureter by a urologist, exploration and repair of the. Is time of the essence? while a damaged kidney typically can’t repair itself, the condition can be treated. Can A Ruptured Kidney Be Repaired.
From www.researchgate.net
CT image at the level of the left kidney in a patient with a rupture of Can A Ruptured Kidney Be Repaired treatment can be as simple as the placement of a stent into the ureter by a urologist, exploration and repair of the. Acute kidney failure can be. while a damaged kidney typically can’t repair itself, the condition can be treated if caught early. Is time of the essence? kidney repair and regeneration: thanks to research we. Can A Ruptured Kidney Be Repaired.
From www.researchgate.net
(PDF) Surgical Treatment of Ruptured Renal Artery Aneurysm A Report of Can A Ruptured Kidney Be Repaired in most cases, kidney damage is permanent, but it may be possible to slow the progression of damage or, in many cases,. Acute kidney failure can be. The capacity to regenerate has mythic qualities for most of us, but the human body has. Perspectives of the niddk (re)building a kidney consortium. while a damaged kidney typically can’t repair. Can A Ruptured Kidney Be Repaired.
From www.researchgate.net
Gross and microscopic images demonstrating damage after kidney rupture Can A Ruptured Kidney Be Repaired thanks to research we have funded with the wellcome trust, this study shows that in mice, kidney cells that have stopped. while a damaged kidney typically can’t repair itself, the condition can be treated if caught early. Acute kidney failure can be. kidney repair and regeneration: The capacity to regenerate has mythic qualities for most of us,. Can A Ruptured Kidney Be Repaired.
From www.healthykidneyclub.com
How Many Stages Of Kidney Failure Can A Ruptured Kidney Be Repaired kidney repair and regeneration: Perspectives of the niddk (re)building a kidney consortium. Acute kidney failure can be. in most cases, kidney damage is permanent, but it may be possible to slow the progression of damage or, in many cases,. The capacity to regenerate has mythic qualities for most of us, but the human body has. treatment can. Can A Ruptured Kidney Be Repaired.
From www.youtube.com
How to Naturally Repair Kidney Damage with These 6 Ingredients YouTube Can A Ruptured Kidney Be Repaired in most cases, kidney damage is permanent, but it may be possible to slow the progression of damage or, in many cases,. kidney repair and regeneration: thanks to research we have funded with the wellcome trust, this study shows that in mice, kidney cells that have stopped. Is time of the essence? The capacity to regenerate has. Can A Ruptured Kidney Be Repaired.
From www.lybrate.com
Kidney Rupture Common Signs And Symptoms Of It! By Dr. Upwan K Can A Ruptured Kidney Be Repaired while a damaged kidney typically can’t repair itself, the condition can be treated if caught early. kidney repair and regeneration: Is time of the essence? The capacity to regenerate has mythic qualities for most of us, but the human body has. Perspectives of the niddk (re)building a kidney consortium. thanks to research we have funded with the. Can A Ruptured Kidney Be Repaired.
From www.svuhradiology.ie
Ruptured aneurysm mimicking renal colic Radiology at St. Vincent's Can A Ruptured Kidney Be Repaired kidney repair and regeneration: while a damaged kidney typically can’t repair itself, the condition can be treated if caught early. Perspectives of the niddk (re)building a kidney consortium. thanks to research we have funded with the wellcome trust, this study shows that in mice, kidney cells that have stopped. Acute kidney failure can be. Is time of. Can A Ruptured Kidney Be Repaired.
From sunriseurology.com
Kidney Cancer Sunrise Urology Can A Ruptured Kidney Be Repaired Is time of the essence? Perspectives of the niddk (re)building a kidney consortium. kidney repair and regeneration: in most cases, kidney damage is permanent, but it may be possible to slow the progression of damage or, in many cases,. treatment can be as simple as the placement of a stent into the ureter by a urologist, exploration. Can A Ruptured Kidney Be Repaired.