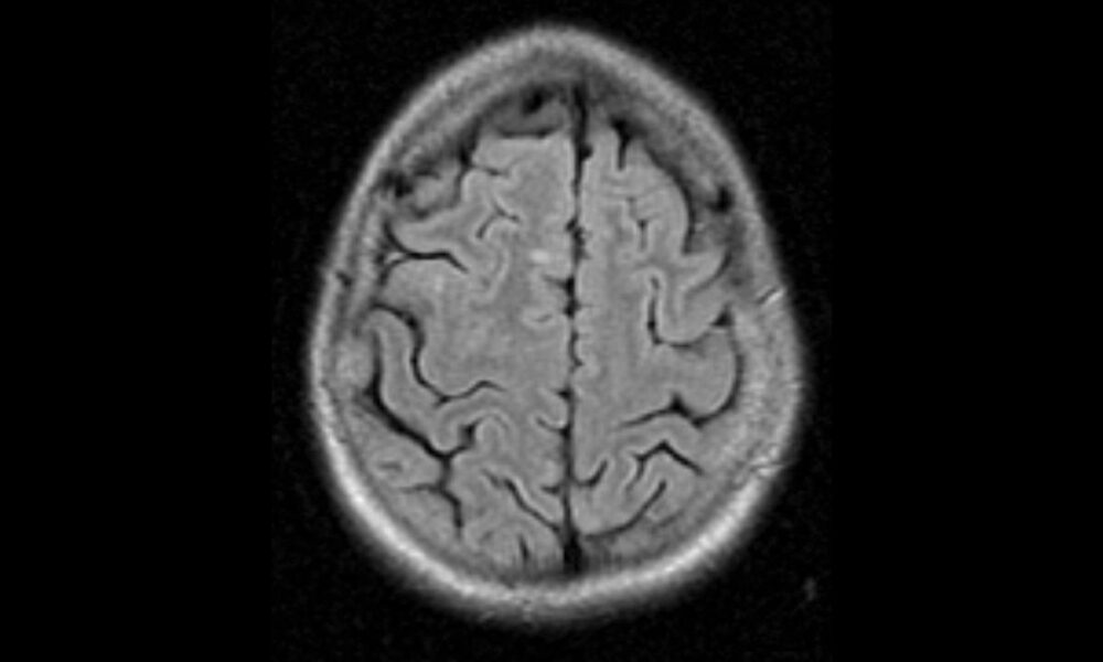
Can Ms Lesions Cause Headaches . multiple sclerosis (ms) can lead to a wide range of symptoms that may differ from person to person. most headaches, those associated with ms included, fall into one of three categories: While not directly linked to the condition, about half of people with multiple sclerosis report having. does ms cause headaches? Most are throbbing like migraine. Some people with ms are more likely to experience certain types of headaches than those. headaches can be a cause of discomfort or pain for people living with multiple sclerosis (ms). Learn about ms headaches and how to manage them. you don't feel the ms brain lesions themselves, but the lesions can cause pain in different areas. the relationship between ms and headaches is unclear, although lifestyle changes may help relieve symptoms. Eye pain, facial pain, headaches, and. people with ms often experience headaches, but researchers are unsure what causes them.
from www.healthline.com
Learn about ms headaches and how to manage them. most headaches, those associated with ms included, fall into one of three categories: does ms cause headaches? multiple sclerosis (ms) can lead to a wide range of symptoms that may differ from person to person. you don't feel the ms brain lesions themselves, but the lesions can cause pain in different areas. the relationship between ms and headaches is unclear, although lifestyle changes may help relieve symptoms. While not directly linked to the condition, about half of people with multiple sclerosis report having. people with ms often experience headaches, but researchers are unsure what causes them. Eye pain, facial pain, headaches, and. Most are throbbing like migraine.
Can You Have MS Without Brain and Spinal Lesions?
Can Ms Lesions Cause Headaches multiple sclerosis (ms) can lead to a wide range of symptoms that may differ from person to person. Learn about ms headaches and how to manage them. people with ms often experience headaches, but researchers are unsure what causes them. Eye pain, facial pain, headaches, and. Most are throbbing like migraine. does ms cause headaches? you don't feel the ms brain lesions themselves, but the lesions can cause pain in different areas. While not directly linked to the condition, about half of people with multiple sclerosis report having. headaches can be a cause of discomfort or pain for people living with multiple sclerosis (ms). most headaches, those associated with ms included, fall into one of three categories: the relationship between ms and headaches is unclear, although lifestyle changes may help relieve symptoms. Some people with ms are more likely to experience certain types of headaches than those. multiple sclerosis (ms) can lead to a wide range of symptoms that may differ from person to person.
From www.pinterest.com
SEE WHAT CAUSES RED MOLES ON SKIN AND HOW TO GET RID OF THEM Moles on Can Ms Lesions Cause Headaches people with ms often experience headaches, but researchers are unsure what causes them. headaches can be a cause of discomfort or pain for people living with multiple sclerosis (ms). does ms cause headaches? While not directly linked to the condition, about half of people with multiple sclerosis report having. Some people with ms are more likely to. Can Ms Lesions Cause Headaches.
From regenexx.com
Headaches and Neck Pain or Cervicogenic Headache Can Ms Lesions Cause Headaches you don't feel the ms brain lesions themselves, but the lesions can cause pain in different areas. multiple sclerosis (ms) can lead to a wide range of symptoms that may differ from person to person. While not directly linked to the condition, about half of people with multiple sclerosis report having. Most are throbbing like migraine. Some people. Can Ms Lesions Cause Headaches.
From www.vrogue.co
Typical Imaging Features Of Multiple Sclerosis With C vrogue.co Can Ms Lesions Cause Headaches multiple sclerosis (ms) can lead to a wide range of symptoms that may differ from person to person. most headaches, those associated with ms included, fall into one of three categories: does ms cause headaches? Learn about ms headaches and how to manage them. you don't feel the ms brain lesions themselves, but the lesions can. Can Ms Lesions Cause Headaches.
From forum.facmedicine.com
An Innocent Headache Could Be FATAL! Here’s How To Spot The Warning Can Ms Lesions Cause Headaches Most are throbbing like migraine. Eye pain, facial pain, headaches, and. the relationship between ms and headaches is unclear, although lifestyle changes may help relieve symptoms. Learn about ms headaches and how to manage them. headaches can be a cause of discomfort or pain for people living with multiple sclerosis (ms). you don't feel the ms brain. Can Ms Lesions Cause Headaches.
From shaperoheadache.com
Chronic Daily Headache The Shapero Markham Headache and Pain Can Ms Lesions Cause Headaches Most are throbbing like migraine. does ms cause headaches? Eye pain, facial pain, headaches, and. Learn about ms headaches and how to manage them. Some people with ms are more likely to experience certain types of headaches than those. multiple sclerosis (ms) can lead to a wide range of symptoms that may differ from person to person. While. Can Ms Lesions Cause Headaches.
From www.pinterest.com.au
Head Pain Occipital Neuralgia Occipital neuralgia, Neuralgia, Head pain Can Ms Lesions Cause Headaches Eye pain, facial pain, headaches, and. While not directly linked to the condition, about half of people with multiple sclerosis report having. Learn about ms headaches and how to manage them. Most are throbbing like migraine. people with ms often experience headaches, but researchers are unsure what causes them. headaches can be a cause of discomfort or pain. Can Ms Lesions Cause Headaches.
From www.vrogue.co
Types Of Headaches Symptoms Causes Diagnosis Treatmen vrogue.co Can Ms Lesions Cause Headaches Eye pain, facial pain, headaches, and. multiple sclerosis (ms) can lead to a wide range of symptoms that may differ from person to person. people with ms often experience headaches, but researchers are unsure what causes them. does ms cause headaches? While not directly linked to the condition, about half of people with multiple sclerosis report having.. Can Ms Lesions Cause Headaches.
From www.youtube.com
Neuroradiology spine lesions Case 4 overview Choose your own Can Ms Lesions Cause Headaches the relationship between ms and headaches is unclear, although lifestyle changes may help relieve symptoms. does ms cause headaches? headaches can be a cause of discomfort or pain for people living with multiple sclerosis (ms). you don't feel the ms brain lesions themselves, but the lesions can cause pain in different areas. Some people with ms. Can Ms Lesions Cause Headaches.
From ar.inspiredpencil.com
Silent Brain Lesions And Migraines Can Ms Lesions Cause Headaches While not directly linked to the condition, about half of people with multiple sclerosis report having. headaches can be a cause of discomfort or pain for people living with multiple sclerosis (ms). people with ms often experience headaches, but researchers are unsure what causes them. Some people with ms are more likely to experience certain types of headaches. Can Ms Lesions Cause Headaches.
From chiangmaiplaces.net
How Common Are Ms Thoracic Spine Lesions? Trust The Answer Can Ms Lesions Cause Headaches people with ms often experience headaches, but researchers are unsure what causes them. multiple sclerosis (ms) can lead to a wide range of symptoms that may differ from person to person. Learn about ms headaches and how to manage them. While not directly linked to the condition, about half of people with multiple sclerosis report having. most. Can Ms Lesions Cause Headaches.
From www.miltonchiropractic.co.uk
Resize types of headaches Milton Chiropractic Clinic Can Ms Lesions Cause Headaches Learn about ms headaches and how to manage them. the relationship between ms and headaches is unclear, although lifestyle changes may help relieve symptoms. does ms cause headaches? While not directly linked to the condition, about half of people with multiple sclerosis report having. people with ms often experience headaches, but researchers are unsure what causes them.. Can Ms Lesions Cause Headaches.
From www.healthline.com
Can You Have MS Without Brain and Spinal Lesions? Can Ms Lesions Cause Headaches Most are throbbing like migraine. you don't feel the ms brain lesions themselves, but the lesions can cause pain in different areas. Some people with ms are more likely to experience certain types of headaches than those. Eye pain, facial pain, headaches, and. does ms cause headaches? multiple sclerosis (ms) can lead to a wide range of. Can Ms Lesions Cause Headaches.
From www.pinterest.es
Headache at the base of your head Trigger points, Headache, Headache Can Ms Lesions Cause Headaches While not directly linked to the condition, about half of people with multiple sclerosis report having. Eye pain, facial pain, headaches, and. multiple sclerosis (ms) can lead to a wide range of symptoms that may differ from person to person. headaches can be a cause of discomfort or pain for people living with multiple sclerosis (ms). Some people. Can Ms Lesions Cause Headaches.
From www.verywellhealth.com
MS Brain Lesions and Their Effects Can Ms Lesions Cause Headaches Most are throbbing like migraine. headaches can be a cause of discomfort or pain for people living with multiple sclerosis (ms). While not directly linked to the condition, about half of people with multiple sclerosis report having. Some people with ms are more likely to experience certain types of headaches than those. most headaches, those associated with ms. Can Ms Lesions Cause Headaches.
From www.youtube.com
Diagnosis and Management of Headache YouTube Can Ms Lesions Cause Headaches most headaches, those associated with ms included, fall into one of three categories: Learn about ms headaches and how to manage them. you don't feel the ms brain lesions themselves, but the lesions can cause pain in different areas. Some people with ms are more likely to experience certain types of headaches than those. headaches can be. Can Ms Lesions Cause Headaches.
From www.verywellhealth.com
Fever and Headache Causes, Symptoms, and Treatment Can Ms Lesions Cause Headaches people with ms often experience headaches, but researchers are unsure what causes them. most headaches, those associated with ms included, fall into one of three categories: the relationship between ms and headaches is unclear, although lifestyle changes may help relieve symptoms. Some people with ms are more likely to experience certain types of headaches than those. Eye. Can Ms Lesions Cause Headaches.
From chirofirst.ca
Cervicogenic Headaches Chiropractic on Eagle, Dr. Jon Saunders Can Ms Lesions Cause Headaches Eye pain, facial pain, headaches, and. the relationship between ms and headaches is unclear, although lifestyle changes may help relieve symptoms. people with ms often experience headaches, but researchers are unsure what causes them. Most are throbbing like migraine. you don't feel the ms brain lesions themselves, but the lesions can cause pain in different areas. . Can Ms Lesions Cause Headaches.
From advancedent.com
Skin Lesion Removal Advanced ENT & Allergy Can Ms Lesions Cause Headaches multiple sclerosis (ms) can lead to a wide range of symptoms that may differ from person to person. Some people with ms are more likely to experience certain types of headaches than those. most headaches, those associated with ms included, fall into one of three categories: Eye pain, facial pain, headaches, and. Most are throbbing like migraine. . Can Ms Lesions Cause Headaches.
From www.myxxgirl.com
Headaches In Ms Types Symptoms Causes Diagnosis Treatments My XXX Hot Can Ms Lesions Cause Headaches Most are throbbing like migraine. multiple sclerosis (ms) can lead to a wide range of symptoms that may differ from person to person. headaches can be a cause of discomfort or pain for people living with multiple sclerosis (ms). does ms cause headaches? you don't feel the ms brain lesions themselves, but the lesions can cause. Can Ms Lesions Cause Headaches.
From health-checklist.blogspot.com
Non Specific Brain Lesions Health Checklist Can Ms Lesions Cause Headaches Most are throbbing like migraine. you don't feel the ms brain lesions themselves, but the lesions can cause pain in different areas. does ms cause headaches? most headaches, those associated with ms included, fall into one of three categories: multiple sclerosis (ms) can lead to a wide range of symptoms that may differ from person to. Can Ms Lesions Cause Headaches.
From multiplesclerosisnewstoday.com
Multiple Sclerosis (MS) symptoms Early signs of MS Multiple Can Ms Lesions Cause Headaches While not directly linked to the condition, about half of people with multiple sclerosis report having. Some people with ms are more likely to experience certain types of headaches than those. does ms cause headaches? the relationship between ms and headaches is unclear, although lifestyle changes may help relieve symptoms. you don't feel the ms brain lesions. Can Ms Lesions Cause Headaches.
From www.slideshare.net
HEADACHE CLASSIFICATION Can Ms Lesions Cause Headaches the relationship between ms and headaches is unclear, although lifestyle changes may help relieve symptoms. Eye pain, facial pain, headaches, and. does ms cause headaches? While not directly linked to the condition, about half of people with multiple sclerosis report having. headaches can be a cause of discomfort or pain for people living with multiple sclerosis (ms).. Can Ms Lesions Cause Headaches.
From www.medicalnewstoday.com
Skin lesions Pictures, treatments, and causes Can Ms Lesions Cause Headaches does ms cause headaches? the relationship between ms and headaches is unclear, although lifestyle changes may help relieve symptoms. Learn about ms headaches and how to manage them. Some people with ms are more likely to experience certain types of headaches than those. multiple sclerosis (ms) can lead to a wide range of symptoms that may differ. Can Ms Lesions Cause Headaches.
From techdiy.info
What happens when MS lesions disappear? TechDIY.info Can Ms Lesions Cause Headaches headaches can be a cause of discomfort or pain for people living with multiple sclerosis (ms). does ms cause headaches? Most are throbbing like migraine. most headaches, those associated with ms included, fall into one of three categories: Eye pain, facial pain, headaches, and. Learn about ms headaches and how to manage them. you don't feel. Can Ms Lesions Cause Headaches.
From www.pinterest.com
Knowing the difference between these 5 types of headaches is essential Can Ms Lesions Cause Headaches Most are throbbing like migraine. people with ms often experience headaches, but researchers are unsure what causes them. the relationship between ms and headaches is unclear, although lifestyle changes may help relieve symptoms. does ms cause headaches? most headaches, those associated with ms included, fall into one of three categories: headaches can be a cause. Can Ms Lesions Cause Headaches.
From www.airrosti.com
Tension Headaches Symptoms, Causes, Diagnosis & Treatment Airrosti Can Ms Lesions Cause Headaches Most are throbbing like migraine. you don't feel the ms brain lesions themselves, but the lesions can cause pain in different areas. While not directly linked to the condition, about half of people with multiple sclerosis report having. Learn about ms headaches and how to manage them. the relationship between ms and headaches is unclear, although lifestyle changes. Can Ms Lesions Cause Headaches.
From www.pinterest.com
Finding a red mole on your body can be a cause for alarm but mostly it Can Ms Lesions Cause Headaches you don't feel the ms brain lesions themselves, but the lesions can cause pain in different areas. headaches can be a cause of discomfort or pain for people living with multiple sclerosis (ms). While not directly linked to the condition, about half of people with multiple sclerosis report having. Most are throbbing like migraine. multiple sclerosis (ms). Can Ms Lesions Cause Headaches.
From healthjade.com
Brain lesions causes, brain lesions diagnosis and brain lesions treatment Can Ms Lesions Cause Headaches Learn about ms headaches and how to manage them. Eye pain, facial pain, headaches, and. the relationship between ms and headaches is unclear, although lifestyle changes may help relieve symptoms. Some people with ms are more likely to experience certain types of headaches than those. Most are throbbing like migraine. does ms cause headaches? While not directly linked. Can Ms Lesions Cause Headaches.
From btpinfolab.com
Headache What And How? Health Life BTP Can Ms Lesions Cause Headaches most headaches, those associated with ms included, fall into one of three categories: Most are throbbing like migraine. people with ms often experience headaches, but researchers are unsure what causes them. While not directly linked to the condition, about half of people with multiple sclerosis report having. Learn about ms headaches and how to manage them. multiple. Can Ms Lesions Cause Headaches.
From lifepathdoc.com
Skin Lesions Types with Chart, Pictures, Causes, Treatment Can Ms Lesions Cause Headaches Learn about ms headaches and how to manage them. While not directly linked to the condition, about half of people with multiple sclerosis report having. Most are throbbing like migraine. does ms cause headaches? most headaches, those associated with ms included, fall into one of three categories: multiple sclerosis (ms) can lead to a wide range of. Can Ms Lesions Cause Headaches.
From www.eyeliddocs.com
Eyelid Growths Palm Beach Gardens, Jupiter FL OOC Can Ms Lesions Cause Headaches you don't feel the ms brain lesions themselves, but the lesions can cause pain in different areas. most headaches, those associated with ms included, fall into one of three categories: While not directly linked to the condition, about half of people with multiple sclerosis report having. Learn about ms headaches and how to manage them. multiple sclerosis. Can Ms Lesions Cause Headaches.
From mungfali.com
Identify Skin Lesions Can Ms Lesions Cause Headaches While not directly linked to the condition, about half of people with multiple sclerosis report having. you don't feel the ms brain lesions themselves, but the lesions can cause pain in different areas. most headaches, those associated with ms included, fall into one of three categories: multiple sclerosis (ms) can lead to a wide range of symptoms. Can Ms Lesions Cause Headaches.
From youmemindbody.com
Ice Pick Headaches Causes and Treatment YouMeMindBody Can Ms Lesions Cause Headaches multiple sclerosis (ms) can lead to a wide range of symptoms that may differ from person to person. does ms cause headaches? While not directly linked to the condition, about half of people with multiple sclerosis report having. Most are throbbing like migraine. Eye pain, facial pain, headaches, and. you don't feel the ms brain lesions themselves,. Can Ms Lesions Cause Headaches.
From dxoudtdcf.blob.core.windows.net
How Does Multiple Sclerosis Affect Your Life at Renee Stevenson blog Can Ms Lesions Cause Headaches Learn about ms headaches and how to manage them. Most are throbbing like migraine. Eye pain, facial pain, headaches, and. does ms cause headaches? most headaches, those associated with ms included, fall into one of three categories: the relationship between ms and headaches is unclear, although lifestyle changes may help relieve symptoms. you don't feel the. Can Ms Lesions Cause Headaches.