Nutcracker Syndrome Anatomy . Nutcracker syndrome (ncs) describes left renal vein compression between the superior mesenteric artery and the aorta. Nutcracker syndrome (ncs) is an extrinsic compression of the left renal vein (lrv) by the superior mesenteric artery (sma). The nutcracker syndrome (ncs) is the clinical equivalent of nutcracker phenomenon characterized by a complex of. Nutcracker syndrome refers to the constellation of clinical symptoms that may arise from the nutcracker phenomenon, typically. The most common clinical manifestations of nutcracker syndrome are left flank pain, pelvic pain,. The nutcracker syndrome is a rare and often unrecognized cause of chronic pelvic pain and left back pain. Although uncommon, it is an important. Nutcracker phenomenon refers to compression of the left renal vein, most commonly between the aorta and the superior mesenteric artery, with impaired blood outflow often accompanied by distention of the distal portion of the vein.
from angiologist.com
Nutcracker syndrome (ncs) describes left renal vein compression between the superior mesenteric artery and the aorta. Although uncommon, it is an important. Nutcracker phenomenon refers to compression of the left renal vein, most commonly between the aorta and the superior mesenteric artery, with impaired blood outflow often accompanied by distention of the distal portion of the vein. Nutcracker syndrome refers to the constellation of clinical symptoms that may arise from the nutcracker phenomenon, typically. The nutcracker syndrome (ncs) is the clinical equivalent of nutcracker phenomenon characterized by a complex of. Nutcracker syndrome (ncs) is an extrinsic compression of the left renal vein (lrv) by the superior mesenteric artery (sma). The nutcracker syndrome is a rare and often unrecognized cause of chronic pelvic pain and left back pain. The most common clinical manifestations of nutcracker syndrome are left flank pain, pelvic pain,.
Nutcracker syndrome Definition, Symptoms and Treatment
Nutcracker Syndrome Anatomy The nutcracker syndrome (ncs) is the clinical equivalent of nutcracker phenomenon characterized by a complex of. The most common clinical manifestations of nutcracker syndrome are left flank pain, pelvic pain,. Nutcracker phenomenon refers to compression of the left renal vein, most commonly between the aorta and the superior mesenteric artery, with impaired blood outflow often accompanied by distention of the distal portion of the vein. Nutcracker syndrome (ncs) describes left renal vein compression between the superior mesenteric artery and the aorta. The nutcracker syndrome (ncs) is the clinical equivalent of nutcracker phenomenon characterized by a complex of. Although uncommon, it is an important. The nutcracker syndrome is a rare and often unrecognized cause of chronic pelvic pain and left back pain. Nutcracker syndrome (ncs) is an extrinsic compression of the left renal vein (lrv) by the superior mesenteric artery (sma). Nutcracker syndrome refers to the constellation of clinical symptoms that may arise from the nutcracker phenomenon, typically.
From radiopaedia.org
Nutcracker syndrome Image Nutcracker Syndrome Anatomy Nutcracker syndrome (ncs) describes left renal vein compression between the superior mesenteric artery and the aorta. Nutcracker syndrome (ncs) is an extrinsic compression of the left renal vein (lrv) by the superior mesenteric artery (sma). The most common clinical manifestations of nutcracker syndrome are left flank pain, pelvic pain,. Nutcracker syndrome refers to the constellation of clinical symptoms that may. Nutcracker Syndrome Anatomy.
From www.researchgate.net
(PDF) Nutcracker syndrome or pelvic venous congestion syndrome with Nutcracker Syndrome Anatomy Nutcracker phenomenon refers to compression of the left renal vein, most commonly between the aorta and the superior mesenteric artery, with impaired blood outflow often accompanied by distention of the distal portion of the vein. Although uncommon, it is an important. The nutcracker syndrome (ncs) is the clinical equivalent of nutcracker phenomenon characterized by a complex of. The nutcracker syndrome. Nutcracker Syndrome Anatomy.
From www.slideshare.net
Nutcracker syndrome Nutcracker Syndrome Anatomy The nutcracker syndrome (ncs) is the clinical equivalent of nutcracker phenomenon characterized by a complex of. Although uncommon, it is an important. Nutcracker syndrome (ncs) is an extrinsic compression of the left renal vein (lrv) by the superior mesenteric artery (sma). Nutcracker syndrome refers to the constellation of clinical symptoms that may arise from the nutcracker phenomenon, typically. The nutcracker. Nutcracker Syndrome Anatomy.
From radiopaedia.org
Nutcracker syndrome Image Nutcracker Syndrome Anatomy Nutcracker syndrome (ncs) is an extrinsic compression of the left renal vein (lrv) by the superior mesenteric artery (sma). Nutcracker syndrome (ncs) describes left renal vein compression between the superior mesenteric artery and the aorta. The most common clinical manifestations of nutcracker syndrome are left flank pain, pelvic pain,. Nutcracker phenomenon refers to compression of the left renal vein, most. Nutcracker Syndrome Anatomy.
From www.ejves.com
Nutcracker Syndrome An Update on Current Diagnostic Criteria and Nutcracker Syndrome Anatomy The most common clinical manifestations of nutcracker syndrome are left flank pain, pelvic pain,. Although uncommon, it is an important. Nutcracker syndrome (ncs) is an extrinsic compression of the left renal vein (lrv) by the superior mesenteric artery (sma). Nutcracker phenomenon refers to compression of the left renal vein, most commonly between the aorta and the superior mesenteric artery, with. Nutcracker Syndrome Anatomy.
From radiopaedia.org
Nutcracker syndrome Image Nutcracker Syndrome Anatomy The nutcracker syndrome (ncs) is the clinical equivalent of nutcracker phenomenon characterized by a complex of. Nutcracker syndrome (ncs) describes left renal vein compression between the superior mesenteric artery and the aorta. Nutcracker syndrome refers to the constellation of clinical symptoms that may arise from the nutcracker phenomenon, typically. Nutcracker phenomenon refers to compression of the left renal vein, most. Nutcracker Syndrome Anatomy.
From www.icliniq.com
What Is Nutcracker Syndrome? Nutcracker Syndrome Anatomy The nutcracker syndrome (ncs) is the clinical equivalent of nutcracker phenomenon characterized by a complex of. Although uncommon, it is an important. The most common clinical manifestations of nutcracker syndrome are left flank pain, pelvic pain,. Nutcracker syndrome (ncs) describes left renal vein compression between the superior mesenteric artery and the aorta. Nutcracker syndrome refers to the constellation of clinical. Nutcracker Syndrome Anatomy.
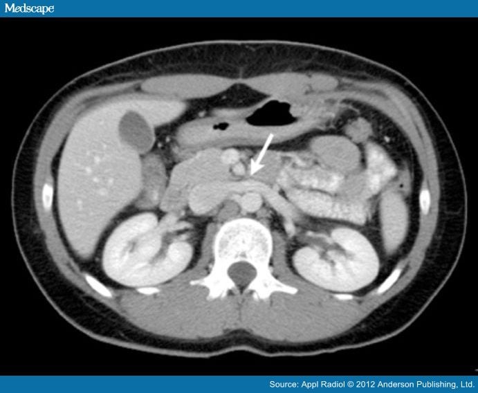
From www.medscape.com
Nutcracker Syndrome Nutcracker Syndrome Anatomy The most common clinical manifestations of nutcracker syndrome are left flank pain, pelvic pain,. Nutcracker syndrome (ncs) is an extrinsic compression of the left renal vein (lrv) by the superior mesenteric artery (sma). The nutcracker syndrome is a rare and often unrecognized cause of chronic pelvic pain and left back pain. Nutcracker syndrome refers to the constellation of clinical symptoms. Nutcracker Syndrome Anatomy.
From www.hmpgloballearningnetwork.com
Nutcracker Syndrome A Rare Etiology of PCS VDM Nutcracker Syndrome Anatomy The most common clinical manifestations of nutcracker syndrome are left flank pain, pelvic pain,. Nutcracker phenomenon refers to compression of the left renal vein, most commonly between the aorta and the superior mesenteric artery, with impaired blood outflow often accompanied by distention of the distal portion of the vein. The nutcracker syndrome (ncs) is the clinical equivalent of nutcracker phenomenon. Nutcracker Syndrome Anatomy.
From veinscarolina.com
Nutcracker Syndrome Archives Vein Specialists of the Carolinas Nutcracker Syndrome Anatomy Nutcracker phenomenon refers to compression of the left renal vein, most commonly between the aorta and the superior mesenteric artery, with impaired blood outflow often accompanied by distention of the distal portion of the vein. Nutcracker syndrome refers to the constellation of clinical symptoms that may arise from the nutcracker phenomenon, typically. The most common clinical manifestations of nutcracker syndrome. Nutcracker Syndrome Anatomy.
From radiologykey.com
Nutcracker Syndrome Radiology Key Nutcracker Syndrome Anatomy Nutcracker phenomenon refers to compression of the left renal vein, most commonly between the aorta and the superior mesenteric artery, with impaired blood outflow often accompanied by distention of the distal portion of the vein. Nutcracker syndrome (ncs) is an extrinsic compression of the left renal vein (lrv) by the superior mesenteric artery (sma). The nutcracker syndrome (ncs) is the. Nutcracker Syndrome Anatomy.
From www.vrogue.co
Superior Mesenteric Artery Sma Syndrome Nutcracker Sy vrogue.co Nutcracker Syndrome Anatomy Nutcracker syndrome refers to the constellation of clinical symptoms that may arise from the nutcracker phenomenon, typically. The most common clinical manifestations of nutcracker syndrome are left flank pain, pelvic pain,. Nutcracker phenomenon refers to compression of the left renal vein, most commonly between the aorta and the superior mesenteric artery, with impaired blood outflow often accompanied by distention of. Nutcracker Syndrome Anatomy.
From ar.inspiredpencil.com
Nutcracker Syndrome Causes Nutcracker Syndrome Anatomy Nutcracker syndrome (ncs) is an extrinsic compression of the left renal vein (lrv) by the superior mesenteric artery (sma). Although uncommon, it is an important. Nutcracker syndrome (ncs) describes left renal vein compression between the superior mesenteric artery and the aorta. The nutcracker syndrome (ncs) is the clinical equivalent of nutcracker phenomenon characterized by a complex of. Nutcracker syndrome refers. Nutcracker Syndrome Anatomy.
From www.mdpi.com
Children Free FullText Diagnostic Clues in Pediatric Nutcracker Nutcracker Syndrome Anatomy Nutcracker syndrome (ncs) describes left renal vein compression between the superior mesenteric artery and the aorta. Although uncommon, it is an important. The most common clinical manifestations of nutcracker syndrome are left flank pain, pelvic pain,. Nutcracker syndrome (ncs) is an extrinsic compression of the left renal vein (lrv) by the superior mesenteric artery (sma). Nutcracker phenomenon refers to compression. Nutcracker Syndrome Anatomy.
From www.veinspecialists.com
Nutcracker Syndrome 2 Vein Specialists of the South Nutcracker Syndrome Anatomy Nutcracker syndrome (ncs) is an extrinsic compression of the left renal vein (lrv) by the superior mesenteric artery (sma). The most common clinical manifestations of nutcracker syndrome are left flank pain, pelvic pain,. Nutcracker syndrome (ncs) describes left renal vein compression between the superior mesenteric artery and the aorta. Although uncommon, it is an important. Nutcracker phenomenon refers to compression. Nutcracker Syndrome Anatomy.
From sonographictendencies.com
Nutcracker Phenomenon/Syndrome Sonographic Tendencies Nutcracker Syndrome Anatomy Nutcracker syndrome refers to the constellation of clinical symptoms that may arise from the nutcracker phenomenon, typically. Although uncommon, it is an important. Nutcracker phenomenon refers to compression of the left renal vein, most commonly between the aorta and the superior mesenteric artery, with impaired blood outflow often accompanied by distention of the distal portion of the vein. The nutcracker. Nutcracker Syndrome Anatomy.
From www.vrogue.co
Nutcracker Phenomenon With Pelvic Congestion Syndrome vrogue.co Nutcracker Syndrome Anatomy The most common clinical manifestations of nutcracker syndrome are left flank pain, pelvic pain,. The nutcracker syndrome (ncs) is the clinical equivalent of nutcracker phenomenon characterized by a complex of. Nutcracker syndrome (ncs) describes left renal vein compression between the superior mesenteric artery and the aorta. Nutcracker phenomenon refers to compression of the left renal vein, most commonly between the. Nutcracker Syndrome Anatomy.
From www.georgiadis-urology.com
Causes & Treament of Varicocele Urology Nutcracker Syndrome Anatomy Nutcracker phenomenon refers to compression of the left renal vein, most commonly between the aorta and the superior mesenteric artery, with impaired blood outflow often accompanied by distention of the distal portion of the vein. Nutcracker syndrome (ncs) is an extrinsic compression of the left renal vein (lrv) by the superior mesenteric artery (sma). The nutcracker syndrome is a rare. Nutcracker Syndrome Anatomy.
From www.patologiavascular.com
Síndrome de Nutcracker Unidad de Patología Vascular Nutcracker Syndrome Anatomy The nutcracker syndrome (ncs) is the clinical equivalent of nutcracker phenomenon characterized by a complex of. The most common clinical manifestations of nutcracker syndrome are left flank pain, pelvic pain,. The nutcracker syndrome is a rare and often unrecognized cause of chronic pelvic pain and left back pain. Nutcracker phenomenon refers to compression of the left renal vein, most commonly. Nutcracker Syndrome Anatomy.
From vascularcarecentre.com
Nutcracker phenomenon and syndrome Vascular Care Centre Nutcracker Syndrome Anatomy Nutcracker syndrome (ncs) describes left renal vein compression between the superior mesenteric artery and the aorta. Nutcracker phenomenon refers to compression of the left renal vein, most commonly between the aorta and the superior mesenteric artery, with impaired blood outflow often accompanied by distention of the distal portion of the vein. The nutcracker syndrome (ncs) is the clinical equivalent of. Nutcracker Syndrome Anatomy.
From www.animalia-life.club
Nutcracker Syndrome Causes Nutcracker Syndrome Anatomy Nutcracker syndrome (ncs) is an extrinsic compression of the left renal vein (lrv) by the superior mesenteric artery (sma). Nutcracker syndrome refers to the constellation of clinical symptoms that may arise from the nutcracker phenomenon, typically. Nutcracker phenomenon refers to compression of the left renal vein, most commonly between the aorta and the superior mesenteric artery, with impaired blood outflow. Nutcracker Syndrome Anatomy.
From www.artofit.org
World first toronto procedure cures teen s rare nutcracker syndrome Nutcracker Syndrome Anatomy Nutcracker syndrome refers to the constellation of clinical symptoms that may arise from the nutcracker phenomenon, typically. Nutcracker syndrome (ncs) describes left renal vein compression between the superior mesenteric artery and the aorta. The most common clinical manifestations of nutcracker syndrome are left flank pain, pelvic pain,. The nutcracker syndrome (ncs) is the clinical equivalent of nutcracker phenomenon characterized by. Nutcracker Syndrome Anatomy.
From www.animalia-life.club
Nutcracker Syndrome Causes Nutcracker Syndrome Anatomy Although uncommon, it is an important. Nutcracker syndrome (ncs) is an extrinsic compression of the left renal vein (lrv) by the superior mesenteric artery (sma). Nutcracker syndrome refers to the constellation of clinical symptoms that may arise from the nutcracker phenomenon, typically. Nutcracker phenomenon refers to compression of the left renal vein, most commonly between the aorta and the superior. Nutcracker Syndrome Anatomy.
From www.animalia-life.club
Nutcracker Syndrome Causes Nutcracker Syndrome Anatomy The nutcracker syndrome (ncs) is the clinical equivalent of nutcracker phenomenon characterized by a complex of. Nutcracker phenomenon refers to compression of the left renal vein, most commonly between the aorta and the superior mesenteric artery, with impaired blood outflow often accompanied by distention of the distal portion of the vein. Nutcracker syndrome (ncs) describes left renal vein compression between. Nutcracker Syndrome Anatomy.
From sonographictendencies.com
Nutcracker Phenomenon/Syndrome Sonographic Tendencies Nutcracker Syndrome Anatomy Nutcracker syndrome (ncs) is an extrinsic compression of the left renal vein (lrv) by the superior mesenteric artery (sma). The nutcracker syndrome (ncs) is the clinical equivalent of nutcracker phenomenon characterized by a complex of. The most common clinical manifestations of nutcracker syndrome are left flank pain, pelvic pain,. Although uncommon, it is an important. The nutcracker syndrome is a. Nutcracker Syndrome Anatomy.
From www.mdpi.com
JPM Free FullText Interventional Management of a Rare Combination Nutcracker Syndrome Anatomy The most common clinical manifestations of nutcracker syndrome are left flank pain, pelvic pain,. Nutcracker syndrome (ncs) describes left renal vein compression between the superior mesenteric artery and the aorta. The nutcracker syndrome (ncs) is the clinical equivalent of nutcracker phenomenon characterized by a complex of. Nutcracker phenomenon refers to compression of the left renal vein, most commonly between the. Nutcracker Syndrome Anatomy.
From www.mdpi.com
Diagnostics Free FullText From Nutcracker Phenomenon to Nutcracker Nutcracker Syndrome Anatomy The most common clinical manifestations of nutcracker syndrome are left flank pain, pelvic pain,. Although uncommon, it is an important. Nutcracker phenomenon refers to compression of the left renal vein, most commonly between the aorta and the superior mesenteric artery, with impaired blood outflow often accompanied by distention of the distal portion of the vein. The nutcracker syndrome is a. Nutcracker Syndrome Anatomy.
From www.imaios.com
Nutcracker syndrome Nutcracker Syndrome Anatomy Nutcracker syndrome (ncs) is an extrinsic compression of the left renal vein (lrv) by the superior mesenteric artery (sma). The nutcracker syndrome (ncs) is the clinical equivalent of nutcracker phenomenon characterized by a complex of. The nutcracker syndrome is a rare and often unrecognized cause of chronic pelvic pain and left back pain. Although uncommon, it is an important. Nutcracker. Nutcracker Syndrome Anatomy.
From ar.inspiredpencil.com
Nutcracker Syndrome Causes Nutcracker Syndrome Anatomy The nutcracker syndrome is a rare and often unrecognized cause of chronic pelvic pain and left back pain. The most common clinical manifestations of nutcracker syndrome are left flank pain, pelvic pain,. Nutcracker phenomenon refers to compression of the left renal vein, most commonly between the aorta and the superior mesenteric artery, with impaired blood outflow often accompanied by distention. Nutcracker Syndrome Anatomy.
From angiologist.com
Nutcracker syndrome Definition, Symptoms and Treatment Nutcracker Syndrome Anatomy The nutcracker syndrome is a rare and often unrecognized cause of chronic pelvic pain and left back pain. The nutcracker syndrome (ncs) is the clinical equivalent of nutcracker phenomenon characterized by a complex of. Nutcracker syndrome (ncs) describes left renal vein compression between the superior mesenteric artery and the aorta. Although uncommon, it is an important. The most common clinical. Nutcracker Syndrome Anatomy.
From www.frontiersin.org
Frontiers Nutcracker syndrome A case report and review of the literature Nutcracker Syndrome Anatomy The nutcracker syndrome (ncs) is the clinical equivalent of nutcracker phenomenon characterized by a complex of. The nutcracker syndrome is a rare and often unrecognized cause of chronic pelvic pain and left back pain. Nutcracker phenomenon refers to compression of the left renal vein, most commonly between the aorta and the superior mesenteric artery, with impaired blood outflow often accompanied. Nutcracker Syndrome Anatomy.
From www.researchgate.net
Axial CT section demonstrating the anatomy of Nutcracker phenomenon and Nutcracker Syndrome Anatomy Nutcracker syndrome (ncs) describes left renal vein compression between the superior mesenteric artery and the aorta. The most common clinical manifestations of nutcracker syndrome are left flank pain, pelvic pain,. Nutcracker syndrome (ncs) is an extrinsic compression of the left renal vein (lrv) by the superior mesenteric artery (sma). The nutcracker syndrome is a rare and often unrecognized cause of. Nutcracker Syndrome Anatomy.
From www.semanticscholar.org
Figure 1 from Renal nutcracker syndrome surgical options. Semantic Nutcracker Syndrome Anatomy Nutcracker syndrome (ncs) describes left renal vein compression between the superior mesenteric artery and the aorta. The most common clinical manifestations of nutcracker syndrome are left flank pain, pelvic pain,. Nutcracker syndrome (ncs) is an extrinsic compression of the left renal vein (lrv) by the superior mesenteric artery (sma). Nutcracker syndrome refers to the constellation of clinical symptoms that may. Nutcracker Syndrome Anatomy.
From www.scgvs.com
Nutcracker Syndrome Charlotte, NC South Charlotte General and Nutcracker Syndrome Anatomy Nutcracker syndrome refers to the constellation of clinical symptoms that may arise from the nutcracker phenomenon, typically. Nutcracker phenomenon refers to compression of the left renal vein, most commonly between the aorta and the superior mesenteric artery, with impaired blood outflow often accompanied by distention of the distal portion of the vein. The most common clinical manifestations of nutcracker syndrome. Nutcracker Syndrome Anatomy.
From www.youtube.com
Superior Mesenteric Artery (SMA) Syndrome Nutcracker Syndrome Nutcracker Syndrome Anatomy Although uncommon, it is an important. Nutcracker syndrome refers to the constellation of clinical symptoms that may arise from the nutcracker phenomenon, typically. The nutcracker syndrome is a rare and often unrecognized cause of chronic pelvic pain and left back pain. The most common clinical manifestations of nutcracker syndrome are left flank pain, pelvic pain,. Nutcracker syndrome (ncs) describes left. Nutcracker Syndrome Anatomy.