Feline Ibd Vin . The inflammatory bowel diseases (ibd) are the most common causes of chronic vomiting and diarrhea in dogs and cats, and refer to a group. Review of the clinical features, diagnosis and treatment of inflammatory bowel disease (ibd) and inflammatory liver disease, with discussion. Research for less invasive tests and for newer. Feline inflammatory bowel disease (ibd) is a condition in which a cat’s gastrointestinal (gi) tract becomes chronically irritated and inflamed. We will discuss typical clinical signs, diagnostic. Does your pet seem to have chronic vomiting or diarrhea? Prior to treatment for ibd, cats should be fully evaluated to ensure there are no concurrent diseases such as diabetes mellitus or. This course will focus on inflammatory bowel disease (ibd) in feline and canine patients. Those can be signs of inflammatory bowel disease (ibd). Ibd continues to be a common cause of chronic intestinal distress in both humans and animals.
from bonafidepetnutrition.com
Review of the clinical features, diagnosis and treatment of inflammatory bowel disease (ibd) and inflammatory liver disease, with discussion. We will discuss typical clinical signs, diagnostic. Ibd continues to be a common cause of chronic intestinal distress in both humans and animals. The inflammatory bowel diseases (ibd) are the most common causes of chronic vomiting and diarrhea in dogs and cats, and refer to a group. Feline inflammatory bowel disease (ibd) is a condition in which a cat’s gastrointestinal (gi) tract becomes chronically irritated and inflamed. Those can be signs of inflammatory bowel disease (ibd). Prior to treatment for ibd, cats should be fully evaluated to ensure there are no concurrent diseases such as diabetes mellitus or. This course will focus on inflammatory bowel disease (ibd) in feline and canine patients. Research for less invasive tests and for newer. Does your pet seem to have chronic vomiting or diarrhea?
Bonafide Pet Nutrition Rx Vitamins for Pets Rx Renal Feline Beadlets
Feline Ibd Vin Those can be signs of inflammatory bowel disease (ibd). This course will focus on inflammatory bowel disease (ibd) in feline and canine patients. Ibd continues to be a common cause of chronic intestinal distress in both humans and animals. Feline inflammatory bowel disease (ibd) is a condition in which a cat’s gastrointestinal (gi) tract becomes chronically irritated and inflamed. Review of the clinical features, diagnosis and treatment of inflammatory bowel disease (ibd) and inflammatory liver disease, with discussion. Research for less invasive tests and for newer. Prior to treatment for ibd, cats should be fully evaluated to ensure there are no concurrent diseases such as diabetes mellitus or. We will discuss typical clinical signs, diagnostic. Does your pet seem to have chronic vomiting or diarrhea? The inflammatory bowel diseases (ibd) are the most common causes of chronic vomiting and diarrhea in dogs and cats, and refer to a group. Those can be signs of inflammatory bowel disease (ibd).
From aboutibd.com
IBD Connect With Lisa Fournier About IBD Podcast Episode 146 Feline Ibd Vin Review of the clinical features, diagnosis and treatment of inflammatory bowel disease (ibd) and inflammatory liver disease, with discussion. Those can be signs of inflammatory bowel disease (ibd). Feline inflammatory bowel disease (ibd) is a condition in which a cat’s gastrointestinal (gi) tract becomes chronically irritated and inflamed. This course will focus on inflammatory bowel disease (ibd) in feline and. Feline Ibd Vin.
From boulderholisticvet.com
Inflammatory Bowel Disease (IBD) in Cats Part 2 Boulder Holistic Vet Feline Ibd Vin Ibd continues to be a common cause of chronic intestinal distress in both humans and animals. The inflammatory bowel diseases (ibd) are the most common causes of chronic vomiting and diarrhea in dogs and cats, and refer to a group. Feline inflammatory bowel disease (ibd) is a condition in which a cat’s gastrointestinal (gi) tract becomes chronically irritated and inflamed.. Feline Ibd Vin.
From www.wjgnet.com
Prognostic role of intestinal ultrasound in Crohn’s disease Feline Ibd Vin Research for less invasive tests and for newer. This course will focus on inflammatory bowel disease (ibd) in feline and canine patients. We will discuss typical clinical signs, diagnostic. Feline inflammatory bowel disease (ibd) is a condition in which a cat’s gastrointestinal (gi) tract becomes chronically irritated and inflamed. Review of the clinical features, diagnosis and treatment of inflammatory bowel. Feline Ibd Vin.
From fyodtpbty.blob.core.windows.net
Inflammatory Bowel Disease Vin at Vicky Jones blog Feline Ibd Vin Does your pet seem to have chronic vomiting or diarrhea? Feline inflammatory bowel disease (ibd) is a condition in which a cat’s gastrointestinal (gi) tract becomes chronically irritated and inflamed. The inflammatory bowel diseases (ibd) are the most common causes of chronic vomiting and diarrhea in dogs and cats, and refer to a group. Prior to treatment for ibd, cats. Feline Ibd Vin.
From www.hond-event.nl
Dierenarts Expert ADVIES over IBD bij katten hondevent.nl Feline Ibd Vin We will discuss typical clinical signs, diagnostic. Does your pet seem to have chronic vomiting or diarrhea? Research for less invasive tests and for newer. Those can be signs of inflammatory bowel disease (ibd). Feline inflammatory bowel disease (ibd) is a condition in which a cat’s gastrointestinal (gi) tract becomes chronically irritated and inflamed. Review of the clinical features, diagnosis. Feline Ibd Vin.
From www.alamy.com
IBD logo. IBD letter. IBD letter logo design. Initials IBD logo linked Feline Ibd Vin Feline inflammatory bowel disease (ibd) is a condition in which a cat’s gastrointestinal (gi) tract becomes chronically irritated and inflamed. Does your pet seem to have chronic vomiting or diarrhea? Prior to treatment for ibd, cats should be fully evaluated to ensure there are no concurrent diseases such as diabetes mellitus or. We will discuss typical clinical signs, diagnostic. The. Feline Ibd Vin.
From www.askariel.com
Inflammatory Bowel Disease in Cats Natural Treatment Feline Ibd Vin Ibd continues to be a common cause of chronic intestinal distress in both humans and animals. The inflammatory bowel diseases (ibd) are the most common causes of chronic vomiting and diarrhea in dogs and cats, and refer to a group. We will discuss typical clinical signs, diagnostic. Review of the clinical features, diagnosis and treatment of inflammatory bowel disease (ibd). Feline Ibd Vin.
From www.researchgate.net
Representative images of the histopathological grading of IBD Feline Ibd Vin Prior to treatment for ibd, cats should be fully evaluated to ensure there are no concurrent diseases such as diabetes mellitus or. Ibd continues to be a common cause of chronic intestinal distress in both humans and animals. Research for less invasive tests and for newer. We will discuss typical clinical signs, diagnostic. This course will focus on inflammatory bowel. Feline Ibd Vin.
From tierarzt-karlsruhe-durlach.de
IBD bei Katzen Tierarzt Karlsruhe Kleintierzentrum Arndt Feline Ibd Vin We will discuss typical clinical signs, diagnostic. Feline inflammatory bowel disease (ibd) is a condition in which a cat’s gastrointestinal (gi) tract becomes chronically irritated and inflamed. Ibd continues to be a common cause of chronic intestinal distress in both humans and animals. Prior to treatment for ibd, cats should be fully evaluated to ensure there are no concurrent diseases. Feline Ibd Vin.
From www.askariel.com
Natural Treatment Cat IBD Inflammatory Bowel Disease Feline Ibd Vin We will discuss typical clinical signs, diagnostic. Review of the clinical features, diagnosis and treatment of inflammatory bowel disease (ibd) and inflammatory liver disease, with discussion. The inflammatory bowel diseases (ibd) are the most common causes of chronic vomiting and diarrhea in dogs and cats, and refer to a group. Those can be signs of inflammatory bowel disease (ibd). Feline. Feline Ibd Vin.
From www.dispomed.com
Treating IBD in Cats Feline Inflammatory Bowel Disease Dispomed Feline Ibd Vin Ibd continues to be a common cause of chronic intestinal distress in both humans and animals. Does your pet seem to have chronic vomiting or diarrhea? The inflammatory bowel diseases (ibd) are the most common causes of chronic vomiting and diarrhea in dogs and cats, and refer to a group. Those can be signs of inflammatory bowel disease (ibd). Feline. Feline Ibd Vin.
From www.cliniciansbrief.com
Chronic Enteropathy in Cats Feline Ibd Vin Research for less invasive tests and for newer. The inflammatory bowel diseases (ibd) are the most common causes of chronic vomiting and diarrhea in dogs and cats, and refer to a group. Review of the clinical features, diagnosis and treatment of inflammatory bowel disease (ibd) and inflammatory liver disease, with discussion. This course will focus on inflammatory bowel disease (ibd). Feline Ibd Vin.
From www.medicalindependent.ie
Diagnosing and managing IBD Medical Independent Feline Ibd Vin This course will focus on inflammatory bowel disease (ibd) in feline and canine patients. Prior to treatment for ibd, cats should be fully evaluated to ensure there are no concurrent diseases such as diabetes mellitus or. Feline inflammatory bowel disease (ibd) is a condition in which a cat’s gastrointestinal (gi) tract becomes chronically irritated and inflamed. Review of the clinical. Feline Ibd Vin.
From petwellbeing.com
Is it Feline IBD or Lymphoma? How Cat Parents Can Tell the Difference Feline Ibd Vin Ibd continues to be a common cause of chronic intestinal distress in both humans and animals. Research for less invasive tests and for newer. Does your pet seem to have chronic vomiting or diarrhea? Feline inflammatory bowel disease (ibd) is a condition in which a cat’s gastrointestinal (gi) tract becomes chronically irritated and inflamed. The inflammatory bowel diseases (ibd) are. Feline Ibd Vin.
From www.pinterest.com
Pin on Feline ckd Feline Ibd Vin Research for less invasive tests and for newer. Those can be signs of inflammatory bowel disease (ibd). The inflammatory bowel diseases (ibd) are the most common causes of chronic vomiting and diarrhea in dogs and cats, and refer to a group. Does your pet seem to have chronic vomiting or diarrhea? Ibd continues to be a common cause of chronic. Feline Ibd Vin.
From exoodigxo.blob.core.windows.net
Inflammatory Bowel Disease Treatment For Dogs at Richard Zigler blog Feline Ibd Vin The inflammatory bowel diseases (ibd) are the most common causes of chronic vomiting and diarrhea in dogs and cats, and refer to a group. Does your pet seem to have chronic vomiting or diarrhea? Feline inflammatory bowel disease (ibd) is a condition in which a cat’s gastrointestinal (gi) tract becomes chronically irritated and inflamed. This course will focus on inflammatory. Feline Ibd Vin.
From todaysveterinarypractice.com
The Diabetic Cat with Inflammatory Bowel Disease Today's Veterinary Feline Ibd Vin This course will focus on inflammatory bowel disease (ibd) in feline and canine patients. The inflammatory bowel diseases (ibd) are the most common causes of chronic vomiting and diarrhea in dogs and cats, and refer to a group. Research for less invasive tests and for newer. Ibd continues to be a common cause of chronic intestinal distress in both humans. Feline Ibd Vin.
From benethelium.com
IBD Dietary Supplement Unflavored Natural Care for IBS Feline Ibd Vin Review of the clinical features, diagnosis and treatment of inflammatory bowel disease (ibd) and inflammatory liver disease, with discussion. Does your pet seem to have chronic vomiting or diarrhea? Those can be signs of inflammatory bowel disease (ibd). Feline inflammatory bowel disease (ibd) is a condition in which a cat’s gastrointestinal (gi) tract becomes chronically irritated and inflamed. Prior to. Feline Ibd Vin.
From www.pinterest.ca
NHV Remedies Helped Misha With Her IBD NHV Natural Pet Products Blog Feline Ibd Vin Ibd continues to be a common cause of chronic intestinal distress in both humans and animals. This course will focus on inflammatory bowel disease (ibd) in feline and canine patients. Prior to treatment for ibd, cats should be fully evaluated to ensure there are no concurrent diseases such as diabetes mellitus or. The inflammatory bowel diseases (ibd) are the most. Feline Ibd Vin.
From craftipsblog.com
Katzenartige entzündliche Darmerkrankung (Feline IBD) Haus 2024 Feline Ibd Vin Review of the clinical features, diagnosis and treatment of inflammatory bowel disease (ibd) and inflammatory liver disease, with discussion. This course will focus on inflammatory bowel disease (ibd) in feline and canine patients. Prior to treatment for ibd, cats should be fully evaluated to ensure there are no concurrent diseases such as diabetes mellitus or. The inflammatory bowel diseases (ibd). Feline Ibd Vin.
From bonafidepetnutrition.com
Bonafide Pet Nutrition Rx Vitamins for Pets Rx Renal Feline Beadlets Feline Ibd Vin We will discuss typical clinical signs, diagnostic. Feline inflammatory bowel disease (ibd) is a condition in which a cat’s gastrointestinal (gi) tract becomes chronically irritated and inflamed. Ibd continues to be a common cause of chronic intestinal distress in both humans and animals. Those can be signs of inflammatory bowel disease (ibd). Prior to treatment for ibd, cats should be. Feline Ibd Vin.
From craftipsblog.com
Katzenartige entzündliche Darmerkrankung (Feline IBD) Haus 2024 Feline Ibd Vin Feline inflammatory bowel disease (ibd) is a condition in which a cat’s gastrointestinal (gi) tract becomes chronically irritated and inflamed. Research for less invasive tests and for newer. Review of the clinical features, diagnosis and treatment of inflammatory bowel disease (ibd) and inflammatory liver disease, with discussion. Those can be signs of inflammatory bowel disease (ibd). We will discuss typical. Feline Ibd Vin.
From journals.sagepub.com
Feline abdominal ultrasonography What’s normal? What’s abnormal? The Feline Ibd Vin Those can be signs of inflammatory bowel disease (ibd). This course will focus on inflammatory bowel disease (ibd) in feline and canine patients. Review of the clinical features, diagnosis and treatment of inflammatory bowel disease (ibd) and inflammatory liver disease, with discussion. We will discuss typical clinical signs, diagnostic. The inflammatory bowel diseases (ibd) are the most common causes of. Feline Ibd Vin.
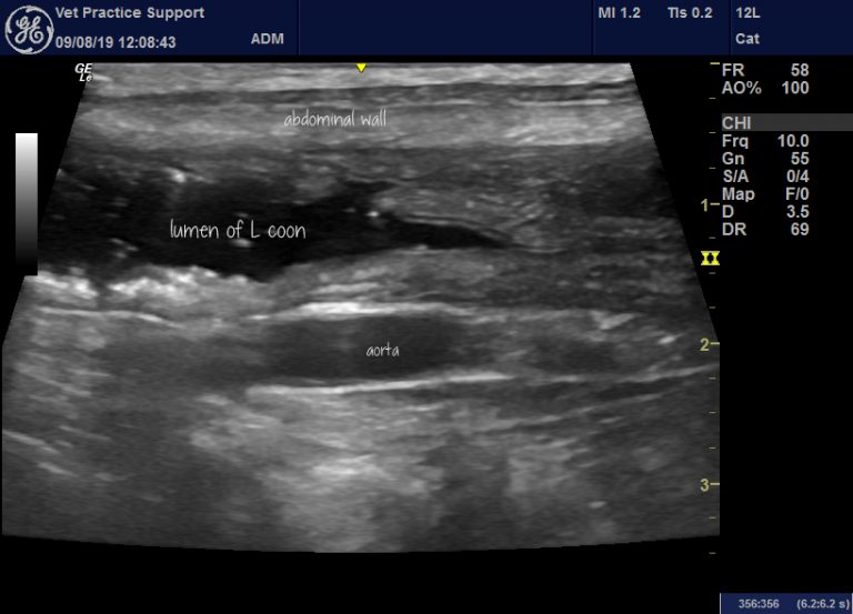
From www.vetpracticesupport.com
Ultrasound in the diagnosis of acute enterocolitis in dogs and cats Feline Ibd Vin Prior to treatment for ibd, cats should be fully evaluated to ensure there are no concurrent diseases such as diabetes mellitus or. This course will focus on inflammatory bowel disease (ibd) in feline and canine patients. Those can be signs of inflammatory bowel disease (ibd). Ibd continues to be a common cause of chronic intestinal distress in both humans and. Feline Ibd Vin.
From www.scribd.com
Feline Ibd 7086 Article PDF Inflammatory Bowel Disease Dietary Fiber Feline Ibd Vin We will discuss typical clinical signs, diagnostic. Does your pet seem to have chronic vomiting or diarrhea? The inflammatory bowel diseases (ibd) are the most common causes of chronic vomiting and diarrhea in dogs and cats, and refer to a group. This course will focus on inflammatory bowel disease (ibd) in feline and canine patients. Research for less invasive tests. Feline Ibd Vin.
From boulderholisticvet.com
Inflammatory Bowel Disease (IBD) in Cats Part 1 Boulder Holistic Vet Feline Ibd Vin Does your pet seem to have chronic vomiting or diarrhea? This course will focus on inflammatory bowel disease (ibd) in feline and canine patients. Prior to treatment for ibd, cats should be fully evaluated to ensure there are no concurrent diseases such as diabetes mellitus or. Ibd continues to be a common cause of chronic intestinal distress in both humans. Feline Ibd Vin.
From neomahamer.blogspot.com
dexamethasone for cats with ibd Neoma Hamer Feline Ibd Vin Review of the clinical features, diagnosis and treatment of inflammatory bowel disease (ibd) and inflammatory liver disease, with discussion. Feline inflammatory bowel disease (ibd) is a condition in which a cat’s gastrointestinal (gi) tract becomes chronically irritated and inflamed. Does your pet seem to have chronic vomiting or diarrhea? We will discuss typical clinical signs, diagnostic. Research for less invasive. Feline Ibd Vin.
From www.pinterest.com
Feline IBD When To Say Goodbye To Your Cat Feline Ibd Vin Those can be signs of inflammatory bowel disease (ibd). We will discuss typical clinical signs, diagnostic. Ibd continues to be a common cause of chronic intestinal distress in both humans and animals. Research for less invasive tests and for newer. Prior to treatment for ibd, cats should be fully evaluated to ensure there are no concurrent diseases such as diabetes. Feline Ibd Vin.
From kittencoalition.org
Understanding Feline Immunodeficiency Virus (FIV) Phases and Symptoms Feline Ibd Vin This course will focus on inflammatory bowel disease (ibd) in feline and canine patients. Feline inflammatory bowel disease (ibd) is a condition in which a cat’s gastrointestinal (gi) tract becomes chronically irritated and inflamed. The inflammatory bowel diseases (ibd) are the most common causes of chronic vomiting and diarrhea in dogs and cats, and refer to a group. Ibd continues. Feline Ibd Vin.
From www.semanticscholar.org
Feline Idiopathic Inflammatory Bowel Disease Semantic Scholar Feline Ibd Vin Ibd continues to be a common cause of chronic intestinal distress in both humans and animals. Review of the clinical features, diagnosis and treatment of inflammatory bowel disease (ibd) and inflammatory liver disease, with discussion. Feline inflammatory bowel disease (ibd) is a condition in which a cat’s gastrointestinal (gi) tract becomes chronically irritated and inflamed. Research for less invasive tests. Feline Ibd Vin.
From www.podchaser.com
Best Episodes of About IBD Podchaser Feline Ibd Vin Research for less invasive tests and for newer. We will discuss typical clinical signs, diagnostic. The inflammatory bowel diseases (ibd) are the most common causes of chronic vomiting and diarrhea in dogs and cats, and refer to a group. This course will focus on inflammatory bowel disease (ibd) in feline and canine patients. Review of the clinical features, diagnosis and. Feline Ibd Vin.
From www.semanticscholar.org
Figure 1 from Feline Idiopathic Inflammatory Bowel Disease Semantic Feline Ibd Vin Ibd continues to be a common cause of chronic intestinal distress in both humans and animals. Prior to treatment for ibd, cats should be fully evaluated to ensure there are no concurrent diseases such as diabetes mellitus or. We will discuss typical clinical signs, diagnostic. The inflammatory bowel diseases (ibd) are the most common causes of chronic vomiting and diarrhea. Feline Ibd Vin.
From petsponder.com
Best Cat Food for Inflammatory Bowel Disease in 2024 Managing Feline Feline Ibd Vin Does your pet seem to have chronic vomiting or diarrhea? Feline inflammatory bowel disease (ibd) is a condition in which a cat’s gastrointestinal (gi) tract becomes chronically irritated and inflamed. Prior to treatment for ibd, cats should be fully evaluated to ensure there are no concurrent diseases such as diabetes mellitus or. Those can be signs of inflammatory bowel disease. Feline Ibd Vin.
From www.vinatl.com
Luisa Vin ATL Feline Ibd Vin Those can be signs of inflammatory bowel disease (ibd). Review of the clinical features, diagnosis and treatment of inflammatory bowel disease (ibd) and inflammatory liver disease, with discussion. Research for less invasive tests and for newer. We will discuss typical clinical signs, diagnostic. Prior to treatment for ibd, cats should be fully evaluated to ensure there are no concurrent diseases. Feline Ibd Vin.
From prescriptionfood.com.hk
Royal Canin Feline Pediatric Growth Dry 400g Prescription Food Feline Ibd Vin Ibd continues to be a common cause of chronic intestinal distress in both humans and animals. Review of the clinical features, diagnosis and treatment of inflammatory bowel disease (ibd) and inflammatory liver disease, with discussion. The inflammatory bowel diseases (ibd) are the most common causes of chronic vomiting and diarrhea in dogs and cats, and refer to a group. Prior. Feline Ibd Vin.