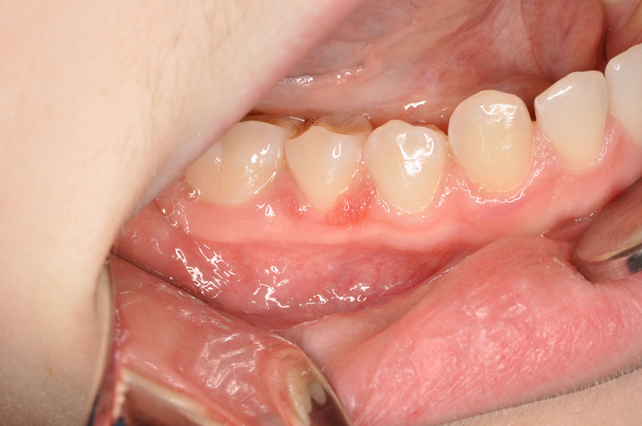
Gingivitis Lesion . The early lesion corresponds to the early clinical signs of gingivitis and characterized by erythematous clinical appearance of gingiva due to proliferation. Results in redness, slight swelling, or. The clinical features and management of common soft tissue lesions of the oral cavity in children will be reviewed here. Gingivitis is a type of periodontal disease characterized by inflammation of the gums (gingivae), causing bleeding with swelling, redness, exudate, a change of normal contours, and, occasionally, discomfort. Diagnosis is based on inspection. Treatment involves professional teeth cleaning and intensified home dental hygiene. Lesions of the gingivae are amongst the commonest lesions seen in patients and the vast majority are reactive hyperplasias, related to a number of chronic irritant. It is the first stage of gingivitis characterized by the response of resident leukocytes and endothelial cells to the plaque (a bacterial biofilm). Gingivitis is caused by bacterial plaque (dental biofilm) that accumulates daily on the teeth.
from www.mdedge.com
Gingivitis is caused by bacterial plaque (dental biofilm) that accumulates daily on the teeth. It is the first stage of gingivitis characterized by the response of resident leukocytes and endothelial cells to the plaque (a bacterial biofilm). Treatment involves professional teeth cleaning and intensified home dental hygiene. Lesions of the gingivae are amongst the commonest lesions seen in patients and the vast majority are reactive hyperplasias, related to a number of chronic irritant. Gingivitis is a type of periodontal disease characterized by inflammation of the gums (gingivae), causing bleeding with swelling, redness, exudate, a change of normal contours, and, occasionally, discomfort. The early lesion corresponds to the early clinical signs of gingivitis and characterized by erythematous clinical appearance of gingiva due to proliferation. The clinical features and management of common soft tissue lesions of the oral cavity in children will be reviewed here. Diagnosis is based on inspection. Results in redness, slight swelling, or.
Severe Gingival Swelling and Erythema MDedge Dermatology
Gingivitis Lesion The early lesion corresponds to the early clinical signs of gingivitis and characterized by erythematous clinical appearance of gingiva due to proliferation. The clinical features and management of common soft tissue lesions of the oral cavity in children will be reviewed here. Gingivitis is a type of periodontal disease characterized by inflammation of the gums (gingivae), causing bleeding with swelling, redness, exudate, a change of normal contours, and, occasionally, discomfort. Treatment involves professional teeth cleaning and intensified home dental hygiene. Results in redness, slight swelling, or. Lesions of the gingivae are amongst the commonest lesions seen in patients and the vast majority are reactive hyperplasias, related to a number of chronic irritant. Diagnosis is based on inspection. The early lesion corresponds to the early clinical signs of gingivitis and characterized by erythematous clinical appearance of gingiva due to proliferation. It is the first stage of gingivitis characterized by the response of resident leukocytes and endothelial cells to the plaque (a bacterial biofilm). Gingivitis is caused by bacterial plaque (dental biofilm) that accumulates daily on the teeth.
From www.merckmanuals.com
Gingivitis Mouth and Dental Disorders Merck Manuals Consumer Version Gingivitis Lesion The early lesion corresponds to the early clinical signs of gingivitis and characterized by erythematous clinical appearance of gingiva due to proliferation. Lesions of the gingivae are amongst the commonest lesions seen in patients and the vast majority are reactive hyperplasias, related to a number of chronic irritant. Diagnosis is based on inspection. Gingivitis is a type of periodontal disease. Gingivitis Lesion.
From www.dentistry33.com
Gingival swelling adjacent to the dental elements roots; a clinical Gingivitis Lesion The clinical features and management of common soft tissue lesions of the oral cavity in children will be reviewed here. It is the first stage of gingivitis characterized by the response of resident leukocytes and endothelial cells to the plaque (a bacterial biofilm). Lesions of the gingivae are amongst the commonest lesions seen in patients and the vast majority are. Gingivitis Lesion.
From periocentrum.com
Tratamiento gingivitis Periocentrum Problemas de encías Gingivitis Lesion Gingivitis is caused by bacterial plaque (dental biofilm) that accumulates daily on the teeth. Diagnosis is based on inspection. The early lesion corresponds to the early clinical signs of gingivitis and characterized by erythematous clinical appearance of gingiva due to proliferation. Results in redness, slight swelling, or. Treatment involves professional teeth cleaning and intensified home dental hygiene. It is the. Gingivitis Lesion.
From pocketdentistry.com
15 Oral Soft Tissue Lesions and Minor Oral Surgery Pocket Dentistry Gingivitis Lesion Treatment involves professional teeth cleaning and intensified home dental hygiene. Diagnosis is based on inspection. Results in redness, slight swelling, or. The early lesion corresponds to the early clinical signs of gingivitis and characterized by erythematous clinical appearance of gingiva due to proliferation. Lesions of the gingivae are amongst the commonest lesions seen in patients and the vast majority are. Gingivitis Lesion.
From www.clinicalorenzo.com
Gingivitis Qué es y cómo evitarla Clínica Dental Lorenzo Gingivitis Lesion The early lesion corresponds to the early clinical signs of gingivitis and characterized by erythematous clinical appearance of gingiva due to proliferation. Gingivitis is a type of periodontal disease characterized by inflammation of the gums (gingivae), causing bleeding with swelling, redness, exudate, a change of normal contours, and, occasionally, discomfort. Treatment involves professional teeth cleaning and intensified home dental hygiene.. Gingivitis Lesion.
From www.datuopinion.com
Opiniones de gingivitis Gingivitis Lesion Lesions of the gingivae are amongst the commonest lesions seen in patients and the vast majority are reactive hyperplasias, related to a number of chronic irritant. The early lesion corresponds to the early clinical signs of gingivitis and characterized by erythematous clinical appearance of gingiva due to proliferation. Results in redness, slight swelling, or. The clinical features and management of. Gingivitis Lesion.
From decisionsindentistry.com
Demystifying Desquamative Gingivitis Diagnosis and Management Gingivitis Lesion Results in redness, slight swelling, or. Gingivitis is caused by bacterial plaque (dental biofilm) that accumulates daily on the teeth. It is the first stage of gingivitis characterized by the response of resident leukocytes and endothelial cells to the plaque (a bacterial biofilm). Treatment involves professional teeth cleaning and intensified home dental hygiene. Lesions of the gingivae are amongst the. Gingivitis Lesion.
From www.cliniquedentaireagora.com
Traitement de gencives (parodontie) Clinique Dentaire Agora Gingivitis Lesion The clinical features and management of common soft tissue lesions of the oral cavity in children will be reviewed here. Gingivitis is a type of periodontal disease characterized by inflammation of the gums (gingivae), causing bleeding with swelling, redness, exudate, a change of normal contours, and, occasionally, discomfort. Treatment involves professional teeth cleaning and intensified home dental hygiene. Lesions of. Gingivitis Lesion.
From www.tuxedodental.ca
Periodontal Disease (Gum Disease) Tuxedo Dental Group Gingivitis Lesion Lesions of the gingivae are amongst the commonest lesions seen in patients and the vast majority are reactive hyperplasias, related to a number of chronic irritant. Diagnosis is based on inspection. The clinical features and management of common soft tissue lesions of the oral cavity in children will be reviewed here. It is the first stage of gingivitis characterized by. Gingivitis Lesion.
From www.livescience.com
Gingivitis & Periodontitis Symptoms & Treatment of Gum Disease Live Gingivitis Lesion Gingivitis is a type of periodontal disease characterized by inflammation of the gums (gingivae), causing bleeding with swelling, redness, exudate, a change of normal contours, and, occasionally, discomfort. The early lesion corresponds to the early clinical signs of gingivitis and characterized by erythematous clinical appearance of gingiva due to proliferation. Treatment involves professional teeth cleaning and intensified home dental hygiene.. Gingivitis Lesion.
From www.researchgate.net
Desquamative gingivitis associated with oral lichen planus. Patchy Gingivitis Lesion Diagnosis is based on inspection. Treatment involves professional teeth cleaning and intensified home dental hygiene. Gingivitis is a type of periodontal disease characterized by inflammation of the gums (gingivae), causing bleeding with swelling, redness, exudate, a change of normal contours, and, occasionally, discomfort. It is the first stage of gingivitis characterized by the response of resident leukocytes and endothelial cells. Gingivitis Lesion.
From www.researchgate.net
Necrotizing ulcerative gingivitis. Note the characteristic gingival Gingivitis Lesion Gingivitis is a type of periodontal disease characterized by inflammation of the gums (gingivae), causing bleeding with swelling, redness, exudate, a change of normal contours, and, occasionally, discomfort. The early lesion corresponds to the early clinical signs of gingivitis and characterized by erythematous clinical appearance of gingiva due to proliferation. Lesions of the gingivae are amongst the commonest lesions seen. Gingivitis Lesion.
From www.oralcancerhub.org.au
Lesion guide Oral Cancer Learning Hub Gingivitis Lesion Results in redness, slight swelling, or. Diagnosis is based on inspection. Gingivitis is caused by bacterial plaque (dental biofilm) that accumulates daily on the teeth. It is the first stage of gingivitis characterized by the response of resident leukocytes and endothelial cells to the plaque (a bacterial biofilm). Gingivitis is a type of periodontal disease characterized by inflammation of the. Gingivitis Lesion.
From slidetodoc.com
Stages and clinical features of Gingivitis CONTENT INTRODUCTION Gingivitis Lesion The early lesion corresponds to the early clinical signs of gingivitis and characterized by erythematous clinical appearance of gingiva due to proliferation. Results in redness, slight swelling, or. Lesions of the gingivae are amongst the commonest lesions seen in patients and the vast majority are reactive hyperplasias, related to a number of chronic irritant. The clinical features and management of. Gingivitis Lesion.
From jcda.ca
Solitary Gingival Lesion in an Adolescent JCDA Gingivitis Lesion Gingivitis is a type of periodontal disease characterized by inflammation of the gums (gingivae), causing bleeding with swelling, redness, exudate, a change of normal contours, and, occasionally, discomfort. Results in redness, slight swelling, or. Gingivitis is caused by bacterial plaque (dental biofilm) that accumulates daily on the teeth. The clinical features and management of common soft tissue lesions of the. Gingivitis Lesion.
From pediatricdentists.blogspot.com
Common Dental Problem And Solution Gingivitis Cause and Management Gingivitis Lesion Lesions of the gingivae are amongst the commonest lesions seen in patients and the vast majority are reactive hyperplasias, related to a number of chronic irritant. Gingivitis is a type of periodontal disease characterized by inflammation of the gums (gingivae), causing bleeding with swelling, redness, exudate, a change of normal contours, and, occasionally, discomfort. It is the first stage of. Gingivitis Lesion.
From www.mdedge.com
Severe Gingival Swelling and Erythema MDedge Dermatology Gingivitis Lesion The clinical features and management of common soft tissue lesions of the oral cavity in children will be reviewed here. Diagnosis is based on inspection. It is the first stage of gingivitis characterized by the response of resident leukocytes and endothelial cells to the plaque (a bacterial biofilm). Lesions of the gingivae are amongst the commonest lesions seen in patients. Gingivitis Lesion.
From www.clinicadentaldeterrassa.com
La gingivitis crónica causas y tratamiento Clínica Dental de Terrassa Gingivitis Lesion It is the first stage of gingivitis characterized by the response of resident leukocytes and endothelial cells to the plaque (a bacterial biofilm). Results in redness, slight swelling, or. Diagnosis is based on inspection. Lesions of the gingivae are amongst the commonest lesions seen in patients and the vast majority are reactive hyperplasias, related to a number of chronic irritant.. Gingivitis Lesion.
From www.masquedientes.com
Gingivitis, inflamación y sangrado en tus encías Más que Dientes Gingivitis Lesion Results in redness, slight swelling, or. Lesions of the gingivae are amongst the commonest lesions seen in patients and the vast majority are reactive hyperplasias, related to a number of chronic irritant. The clinical features and management of common soft tissue lesions of the oral cavity in children will be reviewed here. It is the first stage of gingivitis characterized. Gingivitis Lesion.
From www.researchgate.net
(A and B) Clinical appearance of a melanotic mandibular gingival lesion Gingivitis Lesion Treatment involves professional teeth cleaning and intensified home dental hygiene. Results in redness, slight swelling, or. Diagnosis is based on inspection. The early lesion corresponds to the early clinical signs of gingivitis and characterized by erythematous clinical appearance of gingiva due to proliferation. Lesions of the gingivae are amongst the commonest lesions seen in patients and the vast majority are. Gingivitis Lesion.
From www.clinicasaga.cl
Gingivitis Clínica SAGA Gingivitis Lesion Treatment involves professional teeth cleaning and intensified home dental hygiene. The clinical features and management of common soft tissue lesions of the oral cavity in children will be reviewed here. The early lesion corresponds to the early clinical signs of gingivitis and characterized by erythematous clinical appearance of gingiva due to proliferation. It is the first stage of gingivitis characterized. Gingivitis Lesion.
From clinmedjournals.org
Review Differential Diagnosis of DrugInduced Gingival Hyperplasia and Gingivitis Lesion Results in redness, slight swelling, or. Gingivitis is a type of periodontal disease characterized by inflammation of the gums (gingivae), causing bleeding with swelling, redness, exudate, a change of normal contours, and, occasionally, discomfort. Treatment involves professional teeth cleaning and intensified home dental hygiene. The early lesion corresponds to the early clinical signs of gingivitis and characterized by erythematous clinical. Gingivitis Lesion.
From nartclinicadental.com
Si tengo gingivitis, ¿tendré periodontitis? Nart Clínica Dental Gingivitis Lesion The clinical features and management of common soft tissue lesions of the oral cavity in children will be reviewed here. Gingivitis is caused by bacterial plaque (dental biofilm) that accumulates daily on the teeth. Gingivitis is a type of periodontal disease characterized by inflammation of the gums (gingivae), causing bleeding with swelling, redness, exudate, a change of normal contours, and,. Gingivitis Lesion.
From www.lovettdentistrykohrville.com
What Is Gingivitis? Your Guide To Your Gums General Dentistry Texas Gingivitis Lesion Lesions of the gingivae are amongst the commonest lesions seen in patients and the vast majority are reactive hyperplasias, related to a number of chronic irritant. Gingivitis is a type of periodontal disease characterized by inflammation of the gums (gingivae), causing bleeding with swelling, redness, exudate, a change of normal contours, and, occasionally, discomfort. It is the first stage of. Gingivitis Lesion.
From jada.ada.org
Reappraising localized juvenile spongiotic gingival hyperplasia The Gingivitis Lesion Gingivitis is a type of periodontal disease characterized by inflammation of the gums (gingivae), causing bleeding with swelling, redness, exudate, a change of normal contours, and, occasionally, discomfort. The clinical features and management of common soft tissue lesions of the oral cavity in children will be reviewed here. The early lesion corresponds to the early clinical signs of gingivitis and. Gingivitis Lesion.
From dentagama.com
Trench mouth acute necrotizing ulcerative gingivitis (ANUG) News Gingivitis Lesion Lesions of the gingivae are amongst the commonest lesions seen in patients and the vast majority are reactive hyperplasias, related to a number of chronic irritant. It is the first stage of gingivitis characterized by the response of resident leukocytes and endothelial cells to the plaque (a bacterial biofilm). Diagnosis is based on inspection. Gingivitis is a type of periodontal. Gingivitis Lesion.
From www.tekportal.net
acute necrotizing ulcerative gingivitis Liberal Dictionary Gingivitis Lesion The clinical features and management of common soft tissue lesions of the oral cavity in children will be reviewed here. It is the first stage of gingivitis characterized by the response of resident leukocytes and endothelial cells to the plaque (a bacterial biofilm). Gingivitis is caused by bacterial plaque (dental biofilm) that accumulates daily on the teeth. Results in redness,. Gingivitis Lesion.
From zdravljeprevencija.rs
gingivitis, bolest desni, stomatolog, zdravlje zuba Zdravlje i Gingivitis Lesion The early lesion corresponds to the early clinical signs of gingivitis and characterized by erythematous clinical appearance of gingiva due to proliferation. It is the first stage of gingivitis characterized by the response of resident leukocytes and endothelial cells to the plaque (a bacterial biofilm). Treatment involves professional teeth cleaning and intensified home dental hygiene. The clinical features and management. Gingivitis Lesion.
From gonzalezycasado.com
Gingivitis en Madrid centro Gingivitis Lesion Diagnosis is based on inspection. Lesions of the gingivae are amongst the commonest lesions seen in patients and the vast majority are reactive hyperplasias, related to a number of chronic irritant. Treatment involves professional teeth cleaning and intensified home dental hygiene. Gingivitis is caused by bacterial plaque (dental biofilm) that accumulates daily on the teeth. Results in redness, slight swelling,. Gingivitis Lesion.
From www.researchgate.net
Oral lesion of paracoccidioidomycosis in the gingiva and mulberrylike Gingivitis Lesion Diagnosis is based on inspection. Gingivitis is a type of periodontal disease characterized by inflammation of the gums (gingivae), causing bleeding with swelling, redness, exudate, a change of normal contours, and, occasionally, discomfort. Lesions of the gingivae are amongst the commonest lesions seen in patients and the vast majority are reactive hyperplasias, related to a number of chronic irritant. The. Gingivitis Lesion.
From dailydentist.blogspot.com
Daily Dentist What's that Word? Dental Jargon from A to Z C is for Gingivitis Lesion The clinical features and management of common soft tissue lesions of the oral cavity in children will be reviewed here. Lesions of the gingivae are amongst the commonest lesions seen in patients and the vast majority are reactive hyperplasias, related to a number of chronic irritant. Treatment involves professional teeth cleaning and intensified home dental hygiene. Diagnosis is based on. Gingivitis Lesion.
From jamanetwork.com
Recurrent Gingival and Oral Mucosal Lesions Dental Medicine JAMA Gingivitis Lesion Lesions of the gingivae are amongst the commonest lesions seen in patients and the vast majority are reactive hyperplasias, related to a number of chronic irritant. Diagnosis is based on inspection. The clinical features and management of common soft tissue lesions of the oral cavity in children will be reviewed here. Gingivitis is a type of periodontal disease characterized by. Gingivitis Lesion.
From www.ccjm.org
Fibrous epulis A tumorlike gingival lesion Cleveland Clinic Journal Gingivitis Lesion The clinical features and management of common soft tissue lesions of the oral cavity in children will be reviewed here. Gingivitis is caused by bacterial plaque (dental biofilm) that accumulates daily on the teeth. Results in redness, slight swelling, or. Lesions of the gingivae are amongst the commonest lesions seen in patients and the vast majority are reactive hyperplasias, related. Gingivitis Lesion.
From losalgodonesdentistsguide.com
GINGIVITIS (Los Algodones Dentists Guide) Gingivitis Lesion Treatment involves professional teeth cleaning and intensified home dental hygiene. Results in redness, slight swelling, or. Lesions of the gingivae are amongst the commonest lesions seen in patients and the vast majority are reactive hyperplasias, related to a number of chronic irritant. Gingivitis is caused by bacterial plaque (dental biofilm) that accumulates daily on the teeth. The clinical features and. Gingivitis Lesion.
From klaehljww.blob.core.windows.net
Gingivitis Causes at Lee Fitzgerald blog Gingivitis Lesion Lesions of the gingivae are amongst the commonest lesions seen in patients and the vast majority are reactive hyperplasias, related to a number of chronic irritant. The clinical features and management of common soft tissue lesions of the oral cavity in children will be reviewed here. Results in redness, slight swelling, or. Diagnosis is based on inspection. Treatment involves professional. Gingivitis Lesion.