Retainer And Gum Recession . It’s caused by a number of factors,. Can wearing retainers cause gum recession? Gum recession is a sign of gum disease, the mayo clinic explains, and it can lead to serious issues — even the loss of your teeth — if left untreated. Gum recession doesn’t always begin as a noticeably painful process. Gum recession is when your gum tissue pulls away from your teeth, exposing the roots underneath. In this blog, we’ll examine how a poorly fitting or worn retainer can contribute to gum recession, the risks involved, and what you can do to prevent and address this issue to maintain your gum. Wearing retainers is not likely to cause gum recession directly. However, if retainers are not correctly fitted or maintained,. Receding gums, also known as gingival recession, are when the gum tissue pulls away from the tooth, exposing the root surface of the tooth underneath. Receding gums make it easier.
from www.reddit.com
It’s caused by a number of factors,. However, if retainers are not correctly fitted or maintained,. Receding gums make it easier. Can wearing retainers cause gum recession? Gum recession is a sign of gum disease, the mayo clinic explains, and it can lead to serious issues — even the loss of your teeth — if left untreated. Gum recession is when your gum tissue pulls away from your teeth, exposing the roots underneath. In this blog, we’ll examine how a poorly fitting or worn retainer can contribute to gum recession, the risks involved, and what you can do to prevent and address this issue to maintain your gum. Gum recession doesn’t always begin as a noticeably painful process. Wearing retainers is not likely to cause gum recession directly. Receding gums, also known as gingival recession, are when the gum tissue pulls away from the tooth, exposing the root surface of the tooth underneath.
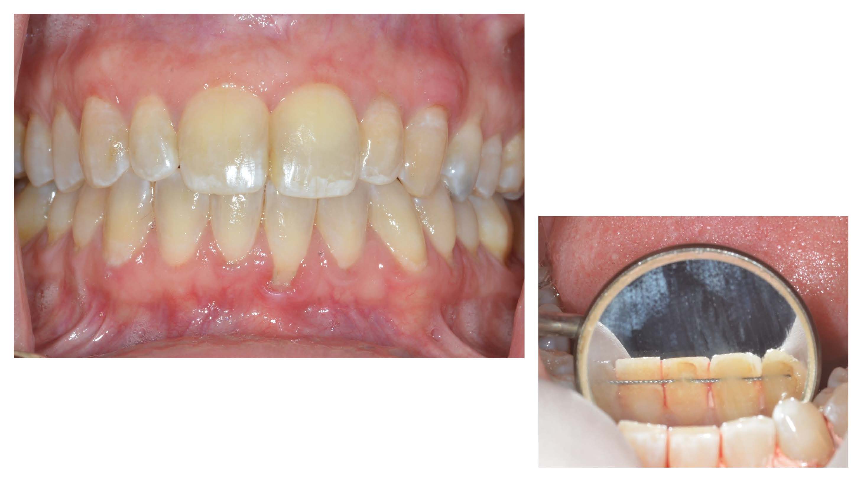
Advice needed I’m 31 with gum recession despite having no plaque
Retainer And Gum Recession Gum recession is when your gum tissue pulls away from your teeth, exposing the roots underneath. Gum recession is a sign of gum disease, the mayo clinic explains, and it can lead to serious issues — even the loss of your teeth — if left untreated. Gum recession is when your gum tissue pulls away from your teeth, exposing the roots underneath. Receding gums, also known as gingival recession, are when the gum tissue pulls away from the tooth, exposing the root surface of the tooth underneath. Wearing retainers is not likely to cause gum recession directly. However, if retainers are not correctly fitted or maintained,. Can wearing retainers cause gum recession? Receding gums make it easier. It’s caused by a number of factors,. In this blog, we’ll examine how a poorly fitting or worn retainer can contribute to gum recession, the risks involved, and what you can do to prevent and address this issue to maintain your gum. Gum recession doesn’t always begin as a noticeably painful process.
From zabolekar-ralev.com
Gingival recession (Receding gums) Ralev Dental Clinic Retainer And Gum Recession Receding gums, also known as gingival recession, are when the gum tissue pulls away from the tooth, exposing the root surface of the tooth underneath. Gum recession doesn’t always begin as a noticeably painful process. Wearing retainers is not likely to cause gum recession directly. Gum recession is a sign of gum disease, the mayo clinic explains, and it can. Retainer And Gum Recession.
From ortodont-clujnapoca.ro
Gingival recession Gum retraction STOMATOLOGIC Retainer And Gum Recession Gum recession doesn’t always begin as a noticeably painful process. Gum recession is when your gum tissue pulls away from your teeth, exposing the roots underneath. It’s caused by a number of factors,. Can wearing retainers cause gum recession? Gum recession is a sign of gum disease, the mayo clinic explains, and it can lead to serious issues — even. Retainer And Gum Recession.
From www.youtube.com
Dentist Explains Every Cause of RECEDING GUMS & How to Stop Gum Loss Retainer And Gum Recession Gum recession is when your gum tissue pulls away from your teeth, exposing the roots underneath. Receding gums make it easier. In this blog, we’ll examine how a poorly fitting or worn retainer can contribute to gum recession, the risks involved, and what you can do to prevent and address this issue to maintain your gum. Can wearing retainers cause. Retainer And Gum Recession.
From expertdental.in
A Detailed Note on Gum Recession Expert Dental Care Retainer And Gum Recession Can wearing retainers cause gum recession? Receding gums make it easier. Wearing retainers is not likely to cause gum recession directly. Receding gums, also known as gingival recession, are when the gum tissue pulls away from the tooth, exposing the root surface of the tooth underneath. In this blog, we’ll examine how a poorly fitting or worn retainer can contribute. Retainer And Gum Recession.
From www.waltortho.com
Gum Recession in Orthodontics Black Triangles Retainer And Gum Recession Can wearing retainers cause gum recession? Receding gums, also known as gingival recession, are when the gum tissue pulls away from the tooth, exposing the root surface of the tooth underneath. It’s caused by a number of factors,. In this blog, we’ll examine how a poorly fitting or worn retainer can contribute to gum recession, the risks involved, and what. Retainer And Gum Recession.
From www.drwilliammckenzie.com
Why are my Gums Receding? — The McKenzie Center Implants & Periodontics Retainer And Gum Recession It’s caused by a number of factors,. Receding gums make it easier. Can wearing retainers cause gum recession? In this blog, we’ll examine how a poorly fitting or worn retainer can contribute to gum recession, the risks involved, and what you can do to prevent and address this issue to maintain your gum. Receding gums, also known as gingival recession,. Retainer And Gum Recession.
From andersonlakedental.com
How to Stop Gum Recession? Anderson Lake Dental Retainer And Gum Recession Gum recession doesn’t always begin as a noticeably painful process. Receding gums make it easier. Wearing retainers is not likely to cause gum recession directly. However, if retainers are not correctly fitted or maintained,. In this blog, we’ll examine how a poorly fitting or worn retainer can contribute to gum recession, the risks involved, and what you can do to. Retainer And Gum Recession.
From www.reddit.com
Gum is receding where I take my retainer off r/askdentists Retainer And Gum Recession It’s caused by a number of factors,. Can wearing retainers cause gum recession? Receding gums, also known as gingival recession, are when the gum tissue pulls away from the tooth, exposing the root surface of the tooth underneath. Wearing retainers is not likely to cause gum recession directly. Gum recession is when your gum tissue pulls away from your teeth,. Retainer And Gum Recession.
From kumraortho.com
Can Invisalign Cause Gum Recession? Kumra Orthodontics Retainer And Gum Recession Receding gums make it easier. Gum recession is when your gum tissue pulls away from your teeth, exposing the roots underneath. Gum recession is a sign of gum disease, the mayo clinic explains, and it can lead to serious issues — even the loss of your teeth — if left untreated. Receding gums, also known as gingival recession, are when. Retainer And Gum Recession.
From sentinelmouthguards.com
Why Do I Have Gum Recession? Sentinel Mouthguards® Retainer And Gum Recession Can wearing retainers cause gum recession? It’s caused by a number of factors,. Gum recession doesn’t always begin as a noticeably painful process. However, if retainers are not correctly fitted or maintained,. Receding gums make it easier. Gum recession is a sign of gum disease, the mayo clinic explains, and it can lead to serious issues — even the loss. Retainer And Gum Recession.
From www.nutritionfact.in
Can Retainers Cause Receding Gums? NutritionFact.in Retainer And Gum Recession Receding gums make it easier. Receding gums, also known as gingival recession, are when the gum tissue pulls away from the tooth, exposing the root surface of the tooth underneath. In this blog, we’ll examine how a poorly fitting or worn retainer can contribute to gum recession, the risks involved, and what you can do to prevent and address this. Retainer And Gum Recession.
From www.youtube.com
Gum recession Treatment of gingival retraction © YouTube Retainer And Gum Recession However, if retainers are not correctly fitted or maintained,. Receding gums, also known as gingival recession, are when the gum tissue pulls away from the tooth, exposing the root surface of the tooth underneath. Receding gums make it easier. Can wearing retainers cause gum recession? Gum recession is a sign of gum disease, the mayo clinic explains, and it can. Retainer And Gum Recession.
From www.purelyorthodontics.co.uk
Free NHS Braces, Retainers and NHS Orthodontic Treatments Purely Retainer And Gum Recession In this blog, we’ll examine how a poorly fitting or worn retainer can contribute to gum recession, the risks involved, and what you can do to prevent and address this issue to maintain your gum. Wearing retainers is not likely to cause gum recession directly. Receding gums, also known as gingival recession, are when the gum tissue pulls away from. Retainer And Gum Recession.
From bweisshealth.com
Why Your Retainer Might Be Leading to Gum Recession—Beware! Retainer And Gum Recession Receding gums make it easier. Gum recession is when your gum tissue pulls away from your teeth, exposing the roots underneath. In this blog, we’ll examine how a poorly fitting or worn retainer can contribute to gum recession, the risks involved, and what you can do to prevent and address this issue to maintain your gum. Gum recession is a. Retainer And Gum Recession.
From www.zakariaperio.com
Gum Grafting Livonia MI Gum Recession Detroit Gingival Graft Retainer And Gum Recession However, if retainers are not correctly fitted or maintained,. Gum recession doesn’t always begin as a noticeably painful process. In this blog, we’ll examine how a poorly fitting or worn retainer can contribute to gum recession, the risks involved, and what you can do to prevent and address this issue to maintain your gum. Gum recession is a sign of. Retainer And Gum Recession.
From heroesdental.com
What Can I Do If My Gums Are Receding? Heroes Dental Retainer And Gum Recession Can wearing retainers cause gum recession? It’s caused by a number of factors,. Receding gums make it easier. Receding gums, also known as gingival recession, are when the gum tissue pulls away from the tooth, exposing the root surface of the tooth underneath. However, if retainers are not correctly fitted or maintained,. Gum recession is when your gum tissue pulls. Retainer And Gum Recession.
From www.reddit.com
Paranoid about these gum recessions. Could my retainer be the culprit Retainer And Gum Recession Gum recession is a sign of gum disease, the mayo clinic explains, and it can lead to serious issues — even the loss of your teeth — if left untreated. Gum recession doesn’t always begin as a noticeably painful process. Wearing retainers is not likely to cause gum recession directly. Receding gums, also known as gingival recession, are when the. Retainer And Gum Recession.
From www.reddit.com
Braces off after 18 months! 😁😁😁 Overall happy with result, especially Retainer And Gum Recession Gum recession is when your gum tissue pulls away from your teeth, exposing the roots underneath. Gum recession is a sign of gum disease, the mayo clinic explains, and it can lead to serious issues — even the loss of your teeth — if left untreated. Receding gums, also known as gingival recession, are when the gum tissue pulls away. Retainer And Gum Recession.
From www.implantdentist.co.nz
Periodontal (Gum) Disease Institute of Dental Implants & Periodontics Retainer And Gum Recession Gum recession is when your gum tissue pulls away from your teeth, exposing the roots underneath. Wearing retainers is not likely to cause gum recession directly. Gum recession is a sign of gum disease, the mayo clinic explains, and it can lead to serious issues — even the loss of your teeth — if left untreated. It’s caused by a. Retainer And Gum Recession.
From www.praxishaenggi.ch
Orthodontics Retainer And Gum Recession It’s caused by a number of factors,. However, if retainers are not correctly fitted or maintained,. Gum recession is when your gum tissue pulls away from your teeth, exposing the roots underneath. Gum recession is a sign of gum disease, the mayo clinic explains, and it can lead to serious issues — even the loss of your teeth — if. Retainer And Gum Recession.
From www.allure.com
What I Wish I'd Known Before Getting a "Permanent" Retainer Allure Retainer And Gum Recession Receding gums, also known as gingival recession, are when the gum tissue pulls away from the tooth, exposing the root surface of the tooth underneath. Gum recession is when your gum tissue pulls away from your teeth, exposing the roots underneath. Gum recession doesn’t always begin as a noticeably painful process. It’s caused by a number of factors,. Gum recession. Retainer And Gum Recession.
From cascadiadental.com
Why Your Gums Are Receding & What To Do Cascadia Dental Specialists Retainer And Gum Recession It’s caused by a number of factors,. In this blog, we’ll examine how a poorly fitting or worn retainer can contribute to gum recession, the risks involved, and what you can do to prevent and address this issue to maintain your gum. Can wearing retainers cause gum recession? However, if retainers are not correctly fitted or maintained,. Gum recession is. Retainer And Gum Recession.
From ricciortho.com
What Causes Receding Gums? Johns Creek GA Periodontist Retainer And Gum Recession Gum recession doesn’t always begin as a noticeably painful process. In this blog, we’ll examine how a poorly fitting or worn retainer can contribute to gum recession, the risks involved, and what you can do to prevent and address this issue to maintain your gum. Can wearing retainers cause gum recession? Receding gums make it easier. Wearing retainers is not. Retainer And Gum Recession.
From www.archwired.com
What Is Gum Recession in Dentistry? ArchWired Retainer And Gum Recession Receding gums, also known as gingival recession, are when the gum tissue pulls away from the tooth, exposing the root surface of the tooth underneath. Gum recession is a sign of gum disease, the mayo clinic explains, and it can lead to serious issues — even the loss of your teeth — if left untreated. However, if retainers are not. Retainer And Gum Recession.
From www.hinterlandviewdental.com.au
Orthodontic Retainers Your Caring Sunshine Coast Dentist Hinterland Retainer And Gum Recession It’s caused by a number of factors,. In this blog, we’ll examine how a poorly fitting or worn retainer can contribute to gum recession, the risks involved, and what you can do to prevent and address this issue to maintain your gum. Gum recession doesn’t always begin as a noticeably painful process. Gum recession is when your gum tissue pulls. Retainer And Gum Recession.
From www.pinterest.com
Invisalign Before and After Stories With Our Patients Invisalign Retainer And Gum Recession Receding gums make it easier. It’s caused by a number of factors,. In this blog, we’ll examine how a poorly fitting or worn retainer can contribute to gum recession, the risks involved, and what you can do to prevent and address this issue to maintain your gum. Wearing retainers is not likely to cause gum recession directly. Receding gums, also. Retainer And Gum Recession.
From www.geistlich.com.au
Geistlich Australia Receding gums Retainer And Gum Recession Gum recession is a sign of gum disease, the mayo clinic explains, and it can lead to serious issues — even the loss of your teeth — if left untreated. Receding gums, also known as gingival recession, are when the gum tissue pulls away from the tooth, exposing the root surface of the tooth underneath. It’s caused by a number. Retainer And Gum Recession.
From orawellness.com
What causes receding gums and how to stop it OraWellness Retainer And Gum Recession Receding gums make it easier. Gum recession is when your gum tissue pulls away from your teeth, exposing the roots underneath. In this blog, we’ll examine how a poorly fitting or worn retainer can contribute to gum recession, the risks involved, and what you can do to prevent and address this issue to maintain your gum. Wearing retainers is not. Retainer And Gum Recession.
From www.reddit.com
Advice needed I’m 31 with gum recession despite having no plaque Retainer And Gum Recession Gum recession is when your gum tissue pulls away from your teeth, exposing the roots underneath. It’s caused by a number of factors,. Wearing retainers is not likely to cause gum recession directly. Can wearing retainers cause gum recession? Receding gums, also known as gingival recession, are when the gum tissue pulls away from the tooth, exposing the root surface. Retainer And Gum Recession.
From www.theoralcarecentre.com.sg
Receding Gums Oralcare Retainer And Gum Recession Receding gums make it easier. Gum recession is a sign of gum disease, the mayo clinic explains, and it can lead to serious issues — even the loss of your teeth — if left untreated. However, if retainers are not correctly fitted or maintained,. It’s caused by a number of factors,. Receding gums, also known as gingival recession, are when. Retainer And Gum Recession.
From theschmaltzypersonal.blogspot.com
how to fix gum recession The Schmaltzy Personal Retainer And Gum Recession In this blog, we’ll examine how a poorly fitting or worn retainer can contribute to gum recession, the risks involved, and what you can do to prevent and address this issue to maintain your gum. Can wearing retainers cause gum recession? Gum recession is when your gum tissue pulls away from your teeth, exposing the roots underneath. It’s caused by. Retainer And Gum Recession.
From www.pinterest.com
Can Mouthguards Cause Gum Recession? SportingSmiles Gum recession Retainer And Gum Recession Gum recession is a sign of gum disease, the mayo clinic explains, and it can lead to serious issues — even the loss of your teeth — if left untreated. In this blog, we’ll examine how a poorly fitting or worn retainer can contribute to gum recession, the risks involved, and what you can do to prevent and address this. Retainer And Gum Recession.
From implant-dentist-chicago.com
Recession and Permanent Orthodontic Retainers Implant Dentist Chicago Retainer And Gum Recession Receding gums, also known as gingival recession, are when the gum tissue pulls away from the tooth, exposing the root surface of the tooth underneath. Can wearing retainers cause gum recession? Receding gums make it easier. In this blog, we’ll examine how a poorly fitting or worn retainer can contribute to gum recession, the risks involved, and what you can. Retainer And Gum Recession.
From www.implantperiospecialist.com
Pinhole Surgical Technique Vancouver Burnaby, Gum Recession Treatment Retainer And Gum Recession Gum recession is a sign of gum disease, the mayo clinic explains, and it can lead to serious issues — even the loss of your teeth — if left untreated. Gum recession doesn’t always begin as a noticeably painful process. Can wearing retainers cause gum recession? Wearing retainers is not likely to cause gum recession directly. Gum recession is when. Retainer And Gum Recession.
From harmonydentalstudio.com
What is Gum Recession and How Can it be Treated? Harmony Dental Retainer And Gum Recession Wearing retainers is not likely to cause gum recession directly. However, if retainers are not correctly fitted or maintained,. Can wearing retainers cause gum recession? Gum recession doesn’t always begin as a noticeably painful process. Receding gums make it easier. Gum recession is when your gum tissue pulls away from your teeth, exposing the roots underneath. In this blog, we’ll. Retainer And Gum Recession.