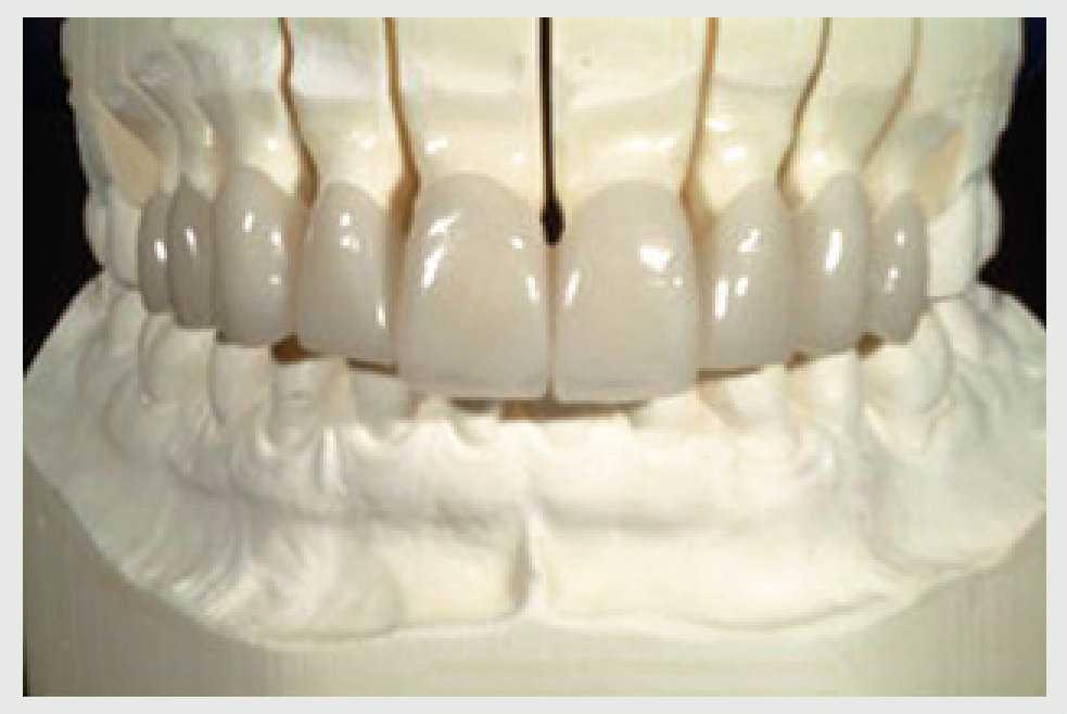
Corona Dental Provisional . provisional restorations are subjected to chewing forces and require specific mechanical properties that allow. Cada material presenta sus propias ventajas y desventajas en cuanto a inversión, comodidad, durabilidad o resultado estético. Cuestan entre 30 y 50 euros, pero deben reemplazarse por la definitiva. Cuestan a partir de 450 euros. with crown preparations provisional restorations are generally essential to cover freshly cut dentine and prevent. en tanto se fabrica la corona dental, el odontólogo colocará una provisional, que retirará para colocar y cementar la definitiva. provisionals must maintain fit, form and function requirements as an interim solution prior to delivering definitive restorations.
from estudidentalbarcelona.com
provisional restorations are subjected to chewing forces and require specific mechanical properties that allow. with crown preparations provisional restorations are generally essential to cover freshly cut dentine and prevent. Cuestan a partir de 450 euros. provisionals must maintain fit, form and function requirements as an interim solution prior to delivering definitive restorations. Cuestan entre 30 y 50 euros, pero deben reemplazarse por la definitiva. en tanto se fabrica la corona dental, el odontólogo colocará una provisional, que retirará para colocar y cementar la definitiva. Cada material presenta sus propias ventajas y desventajas en cuanto a inversión, comodidad, durabilidad o resultado estético.
Función e importancia de los dientes y prótesis provisionales en
Corona Dental Provisional provisionals must maintain fit, form and function requirements as an interim solution prior to delivering definitive restorations. provisional restorations are subjected to chewing forces and require specific mechanical properties that allow. Cada material presenta sus propias ventajas y desventajas en cuanto a inversión, comodidad, durabilidad o resultado estético. with crown preparations provisional restorations are generally essential to cover freshly cut dentine and prevent. Cuestan entre 30 y 50 euros, pero deben reemplazarse por la definitiva. provisionals must maintain fit, form and function requirements as an interim solution prior to delivering definitive restorations. Cuestan a partir de 450 euros. en tanto se fabrica la corona dental, el odontólogo colocará una provisional, que retirará para colocar y cementar la definitiva.
From magazine.zhermack.com
Realizar la restauración provisional a partir de la impresión Corona Dental Provisional en tanto se fabrica la corona dental, el odontólogo colocará una provisional, que retirará para colocar y cementar la definitiva. Cuestan a partir de 450 euros. with crown preparations provisional restorations are generally essential to cover freshly cut dentine and prevent. provisional restorations are subjected to chewing forces and require specific mechanical properties that allow. Cada material. Corona Dental Provisional.
From www.clinicadentalorion.com
Provisionales sobre Implantes Orión Dental Corona Dental Provisional en tanto se fabrica la corona dental, el odontólogo colocará una provisional, que retirará para colocar y cementar la definitiva. provisional restorations are subjected to chewing forces and require specific mechanical properties that allow. Cuestan entre 30 y 50 euros, pero deben reemplazarse por la definitiva. with crown preparations provisional restorations are generally essential to cover freshly. Corona Dental Provisional.
From estudidentalbarcelona.com
Tipos de dientes provisionales en implantes dentales Estudi Dental Corona Dental Provisional Cuestan a partir de 450 euros. Cada material presenta sus propias ventajas y desventajas en cuanto a inversión, comodidad, durabilidad o resultado estético. with crown preparations provisional restorations are generally essential to cover freshly cut dentine and prevent. Cuestan entre 30 y 50 euros, pero deben reemplazarse por la definitiva. provisionals must maintain fit, form and function requirements. Corona Dental Provisional.
From www.elsevier.es
Insuficiente exposición dentaria en el sector anterior Presentación de Corona Dental Provisional provisional restorations are subjected to chewing forces and require specific mechanical properties that allow. Cuestan entre 30 y 50 euros, pero deben reemplazarse por la definitiva. with crown preparations provisional restorations are generally essential to cover freshly cut dentine and prevent. en tanto se fabrica la corona dental, el odontólogo colocará una provisional, que retirará para colocar. Corona Dental Provisional.
From corromaduro.com
Cómo es un implante dental Clínicas Dentales Corró Maduro Panamá Corona Dental Provisional provisional restorations are subjected to chewing forces and require specific mechanical properties that allow. with crown preparations provisional restorations are generally essential to cover freshly cut dentine and prevent. Cuestan a partir de 450 euros. en tanto se fabrica la corona dental, el odontólogo colocará una provisional, que retirará para colocar y cementar la definitiva. Cuestan entre. Corona Dental Provisional.
From www.laboratoriodentalsevilla.es
Características de las Coronas dentales Centro de Fresado Dental 3D Corona Dental Provisional Cuestan entre 30 y 50 euros, pero deben reemplazarse por la definitiva. provisional restorations are subjected to chewing forces and require specific mechanical properties that allow. with crown preparations provisional restorations are generally essential to cover freshly cut dentine and prevent. provisionals must maintain fit, form and function requirements as an interim solution prior to delivering definitive. Corona Dental Provisional.
From nicolewatsondds.com
Provisional Restorations Nicole D. Watson, DDS Corona Dental Provisional Cada material presenta sus propias ventajas y desventajas en cuanto a inversión, comodidad, durabilidad o resultado estético. en tanto se fabrica la corona dental, el odontólogo colocará una provisional, que retirará para colocar y cementar la definitiva. provisionals must maintain fit, form and function requirements as an interim solution prior to delivering definitive restorations. Cuestan entre 30 y. Corona Dental Provisional.
From www.sonrisaparatodos.com
Coronas Dentales Costa Rica Sonrisa Para Todos Corona Dental Provisional Cuestan a partir de 450 euros. provisionals must maintain fit, form and function requirements as an interim solution prior to delivering definitive restorations. with crown preparations provisional restorations are generally essential to cover freshly cut dentine and prevent. provisional restorations are subjected to chewing forces and require specific mechanical properties that allow. Cada material presenta sus propias. Corona Dental Provisional.
From estudidentalbarcelona.com
Diferencias entre las coronas de zirconio y de 100 porcelana Estudi Corona Dental Provisional provisionals must maintain fit, form and function requirements as an interim solution prior to delivering definitive restorations. provisional restorations are subjected to chewing forces and require specific mechanical properties that allow. with crown preparations provisional restorations are generally essential to cover freshly cut dentine and prevent. en tanto se fabrica la corona dental, el odontólogo colocará. Corona Dental Provisional.
From www.augustbruguera.com
Formación Corona Dental Provisional Cada material presenta sus propias ventajas y desventajas en cuanto a inversión, comodidad, durabilidad o resultado estético. Cuestan entre 30 y 50 euros, pero deben reemplazarse por la definitiva. provisionals must maintain fit, form and function requirements as an interim solution prior to delivering definitive restorations. Cuestan a partir de 450 euros. provisional restorations are subjected to chewing. Corona Dental Provisional.
From www.newstetic.com
Uso de coronas dentales en el consultorio New Stetic S.A. Corona Dental Provisional provisionals must maintain fit, form and function requirements as an interim solution prior to delivering definitive restorations. en tanto se fabrica la corona dental, el odontólogo colocará una provisional, que retirará para colocar y cementar la definitiva. Cuestan a partir de 450 euros. provisional restorations are subjected to chewing forces and require specific mechanical properties that allow.. Corona Dental Provisional.
From estudidentalbarcelona.com
Coronas Dentales Estudi Dental Barcelona Corona Dental Provisional with crown preparations provisional restorations are generally essential to cover freshly cut dentine and prevent. Cuestan a partir de 450 euros. en tanto se fabrica la corona dental, el odontólogo colocará una provisional, que retirará para colocar y cementar la definitiva. Cada material presenta sus propias ventajas y desventajas en cuanto a inversión, comodidad, durabilidad o resultado estético.. Corona Dental Provisional.
From www.leone.it
Corona individual en composite sobre implante XCN® y ExaConnect Casos Corona Dental Provisional Cuestan a partir de 450 euros. Cada material presenta sus propias ventajas y desventajas en cuanto a inversión, comodidad, durabilidad o resultado estético. provisionals must maintain fit, form and function requirements as an interim solution prior to delivering definitive restorations. en tanto se fabrica la corona dental, el odontólogo colocará una provisional, que retirará para colocar y cementar. Corona Dental Provisional.
From estudidentalbarcelona.com
Importancia de las restauraciones provisionales en prótesis y estética Corona Dental Provisional Cuestan a partir de 450 euros. provisionals must maintain fit, form and function requirements as an interim solution prior to delivering definitive restorations. en tanto se fabrica la corona dental, el odontólogo colocará una provisional, que retirará para colocar y cementar la definitiva. Cuestan entre 30 y 50 euros, pero deben reemplazarse por la definitiva. with crown. Corona Dental Provisional.
From www.esalud.com
Coronas dentales qué son, para qué sirven y cuándo las necesitas Corona Dental Provisional Cada material presenta sus propias ventajas y desventajas en cuanto a inversión, comodidad, durabilidad o resultado estético. with crown preparations provisional restorations are generally essential to cover freshly cut dentine and prevent. provisional restorations are subjected to chewing forces and require specific mechanical properties that allow. provisionals must maintain fit, form and function requirements as an interim. Corona Dental Provisional.
From www.todocadcam.com
Provisional de larga duracion con PMMA Multicapas TRILUX de CARPD Corona Dental Provisional provisional restorations are subjected to chewing forces and require specific mechanical properties that allow. with crown preparations provisional restorations are generally essential to cover freshly cut dentine and prevent. Cuestan a partir de 450 euros. Cada material presenta sus propias ventajas y desventajas en cuanto a inversión, comodidad, durabilidad o resultado estético. Cuestan entre 30 y 50 euros,. Corona Dental Provisional.
From estudidentalbarcelona.com
Todo sobre coronas dentales y fundas dentales en Barcelona EDB Corona Dental Provisional Cuestan entre 30 y 50 euros, pero deben reemplazarse por la definitiva. Cuestan a partir de 450 euros. with crown preparations provisional restorations are generally essential to cover freshly cut dentine and prevent. provisionals must maintain fit, form and function requirements as an interim solution prior to delivering definitive restorations. Cada material presenta sus propias ventajas y desventajas. Corona Dental Provisional.
From www.clinicaferrusbratos.com
Corona provisional todo lo que debes saber Ferrus&Bratos Corona Dental Provisional en tanto se fabrica la corona dental, el odontólogo colocará una provisional, que retirará para colocar y cementar la definitiva. with crown preparations provisional restorations are generally essential to cover freshly cut dentine and prevent. provisional restorations are subjected to chewing forces and require specific mechanical properties that allow. Cuestan entre 30 y 50 euros, pero deben. Corona Dental Provisional.
From www.elsevier.es
Insuficiente exposición dentaria en el sector anterior Presentación de Corona Dental Provisional en tanto se fabrica la corona dental, el odontólogo colocará una provisional, que retirará para colocar y cementar la definitiva. provisional restorations are subjected to chewing forces and require specific mechanical properties that allow. Cuestan entre 30 y 50 euros, pero deben reemplazarse por la definitiva. Cada material presenta sus propias ventajas y desventajas en cuanto a inversión,. Corona Dental Provisional.
From dentagama.com
The different types of dental crowns Medgaus Dental Care Dentagama Corona Dental Provisional Cada material presenta sus propias ventajas y desventajas en cuanto a inversión, comodidad, durabilidad o resultado estético. Cuestan a partir de 450 euros. provisional restorations are subjected to chewing forces and require specific mechanical properties that allow. provisionals must maintain fit, form and function requirements as an interim solution prior to delivering definitive restorations. Cuestan entre 30 y. Corona Dental Provisional.
From www.elsevier.es
Coronas de dientes anteriores con estructura de dióxido de zirconio Corona Dental Provisional Cuestan a partir de 450 euros. Cuestan entre 30 y 50 euros, pero deben reemplazarse por la definitiva. Cada material presenta sus propias ventajas y desventajas en cuanto a inversión, comodidad, durabilidad o resultado estético. with crown preparations provisional restorations are generally essential to cover freshly cut dentine and prevent. provisionals must maintain fit, form and function requirements. Corona Dental Provisional.
From estudidentalbarcelona.com
Paso a paso de la corona sobre implante Estudi Dental Barcelona Corona Dental Provisional Cuestan a partir de 450 euros. with crown preparations provisional restorations are generally essential to cover freshly cut dentine and prevent. provisionals must maintain fit, form and function requirements as an interim solution prior to delivering definitive restorations. Cada material presenta sus propias ventajas y desventajas en cuanto a inversión, comodidad, durabilidad o resultado estético. Cuestan entre 30. Corona Dental Provisional.
From estudidentalbarcelona.com
Función e importancia de los dientes y prótesis provisionales en Corona Dental Provisional Cuestan entre 30 y 50 euros, pero deben reemplazarse por la definitiva. Cada material presenta sus propias ventajas y desventajas en cuanto a inversión, comodidad, durabilidad o resultado estético. Cuestan a partir de 450 euros. provisional restorations are subjected to chewing forces and require specific mechanical properties that allow. provisionals must maintain fit, form and function requirements as. Corona Dental Provisional.
From packerfamilydentistry.com
Provisional Restorations Havre De Grace, MD Packer Family Dentistry Corona Dental Provisional Cuestan entre 30 y 50 euros, pero deben reemplazarse por la definitiva. provisional restorations are subjected to chewing forces and require specific mechanical properties that allow. Cuestan a partir de 450 euros. with crown preparations provisional restorations are generally essential to cover freshly cut dentine and prevent. provisionals must maintain fit, form and function requirements as an. Corona Dental Provisional.
From servibucal.es
Colocación de un puente dental tipos más comunes y ventajas Corona Dental Provisional with crown preparations provisional restorations are generally essential to cover freshly cut dentine and prevent. provisional restorations are subjected to chewing forces and require specific mechanical properties that allow. Cuestan a partir de 450 euros. Cada material presenta sus propias ventajas y desventajas en cuanto a inversión, comodidad, durabilidad o resultado estético. Cuestan entre 30 y 50 euros,. Corona Dental Provisional.
From www.implanet.cl
¿Por qué se pone una corona provisional antes de la definitiva en el Corona Dental Provisional en tanto se fabrica la corona dental, el odontólogo colocará una provisional, que retirará para colocar y cementar la definitiva. Cada material presenta sus propias ventajas y desventajas en cuanto a inversión, comodidad, durabilidad o resultado estético. Cuestan a partir de 450 euros. Cuestan entre 30 y 50 euros, pero deben reemplazarse por la definitiva. with crown preparations. Corona Dental Provisional.
From clinicadentaldrdemotta.es
coronasprovisionalesdentistaprotesisvalenciadiente Clinica Corona Dental Provisional Cuestan entre 30 y 50 euros, pero deben reemplazarse por la definitiva. provisionals must maintain fit, form and function requirements as an interim solution prior to delivering definitive restorations. en tanto se fabrica la corona dental, el odontólogo colocará una provisional, que retirará para colocar y cementar la definitiva. Cada material presenta sus propias ventajas y desventajas en. Corona Dental Provisional.
From estudidentalbarcelona.com
Diferencias de las carillas y las coronas dentales, ¿cuándo se indican Corona Dental Provisional Cuestan a partir de 450 euros. with crown preparations provisional restorations are generally essential to cover freshly cut dentine and prevent. provisional restorations are subjected to chewing forces and require specific mechanical properties that allow. Cuestan entre 30 y 50 euros, pero deben reemplazarse por la definitiva. provisionals must maintain fit, form and function requirements as an. Corona Dental Provisional.
From www.elsevier.es
Colocación de implantes y provisionalización inmediata en el sector Corona Dental Provisional Cada material presenta sus propias ventajas y desventajas en cuanto a inversión, comodidad, durabilidad o resultado estético. Cuestan a partir de 450 euros. Cuestan entre 30 y 50 euros, pero deben reemplazarse por la definitiva. provisionals must maintain fit, form and function requirements as an interim solution prior to delivering definitive restorations. provisional restorations are subjected to chewing. Corona Dental Provisional.
From www.grupodent.com
Tratamientos Dentales en Guatemala GrupoDent Corona Dental Provisional provisional restorations are subjected to chewing forces and require specific mechanical properties that allow. with crown preparations provisional restorations are generally essential to cover freshly cut dentine and prevent. provisionals must maintain fit, form and function requirements as an interim solution prior to delivering definitive restorations. Cuestan a partir de 450 euros. Cada material presenta sus propias. Corona Dental Provisional.
From servibucal.es
Qué es una corona dental Tipos y precios de fundas dentales Corona Dental Provisional Cuestan a partir de 450 euros. provisional restorations are subjected to chewing forces and require specific mechanical properties that allow. en tanto se fabrica la corona dental, el odontólogo colocará una provisional, que retirará para colocar y cementar la definitiva. Cuestan entre 30 y 50 euros, pero deben reemplazarse por la definitiva. Cada material presenta sus propias ventajas. Corona Dental Provisional.
From www.elsevier.es
Cementado seguro de provisionales en dientes preparados para coronas Corona Dental Provisional with crown preparations provisional restorations are generally essential to cover freshly cut dentine and prevent. en tanto se fabrica la corona dental, el odontólogo colocará una provisional, que retirará para colocar y cementar la definitiva. Cada material presenta sus propias ventajas y desventajas en cuanto a inversión, comodidad, durabilidad o resultado estético. provisionals must maintain fit, form. Corona Dental Provisional.
From servibucal.es
Guías sobre fundas dentales, tratamientos y sus alternativas Servibucal Corona Dental Provisional provisionals must maintain fit, form and function requirements as an interim solution prior to delivering definitive restorations. Cuestan a partir de 450 euros. provisional restorations are subjected to chewing forces and require specific mechanical properties that allow. Cuestan entre 30 y 50 euros, pero deben reemplazarse por la definitiva. en tanto se fabrica la corona dental, el. Corona Dental Provisional.
From servibucal.es
Todo lo que necesitas saber sobre las prótesis dentales removibles Corona Dental Provisional Cada material presenta sus propias ventajas y desventajas en cuanto a inversión, comodidad, durabilidad o resultado estético. provisionals must maintain fit, form and function requirements as an interim solution prior to delivering definitive restorations. Cuestan entre 30 y 50 euros, pero deben reemplazarse por la definitiva. provisional restorations are subjected to chewing forces and require specific mechanical properties. Corona Dental Provisional.
From estudidentalbarcelona.com
Provisionales dentales ¿Por qué son importantes? Estudi Dental Barcelona Corona Dental Provisional Cuestan entre 30 y 50 euros, pero deben reemplazarse por la definitiva. en tanto se fabrica la corona dental, el odontólogo colocará una provisional, que retirará para colocar y cementar la definitiva. provisional restorations are subjected to chewing forces and require specific mechanical properties that allow. with crown preparations provisional restorations are generally essential to cover freshly. Corona Dental Provisional.