Starting Bisphosphonate After Fracture . upper gastrointestinal adverse effects, such as dyspepsia or reflux — these are common in the first month of treatment and often. eriksen et al. as expected, bisphosphate had no significant effect on fracture healing time, but it could significantly increase. these studies collectively suggest starting bisphosphonates 2 weeks or more after a fracture does not increase. osteoporosis is caused by the cumulative effect of bone resorption in excess of bone formation. early administration of bisphosphonates (bps) after surgery did not appear to delay fracture healing time either radiologically.
from www.researchgate.net
eriksen et al. these studies collectively suggest starting bisphosphonates 2 weeks or more after a fracture does not increase. as expected, bisphosphate had no significant effect on fracture healing time, but it could significantly increase. osteoporosis is caused by the cumulative effect of bone resorption in excess of bone formation. upper gastrointestinal adverse effects, such as dyspepsia or reflux — these are common in the first month of treatment and often. early administration of bisphosphonates (bps) after surgery did not appear to delay fracture healing time either radiologically.
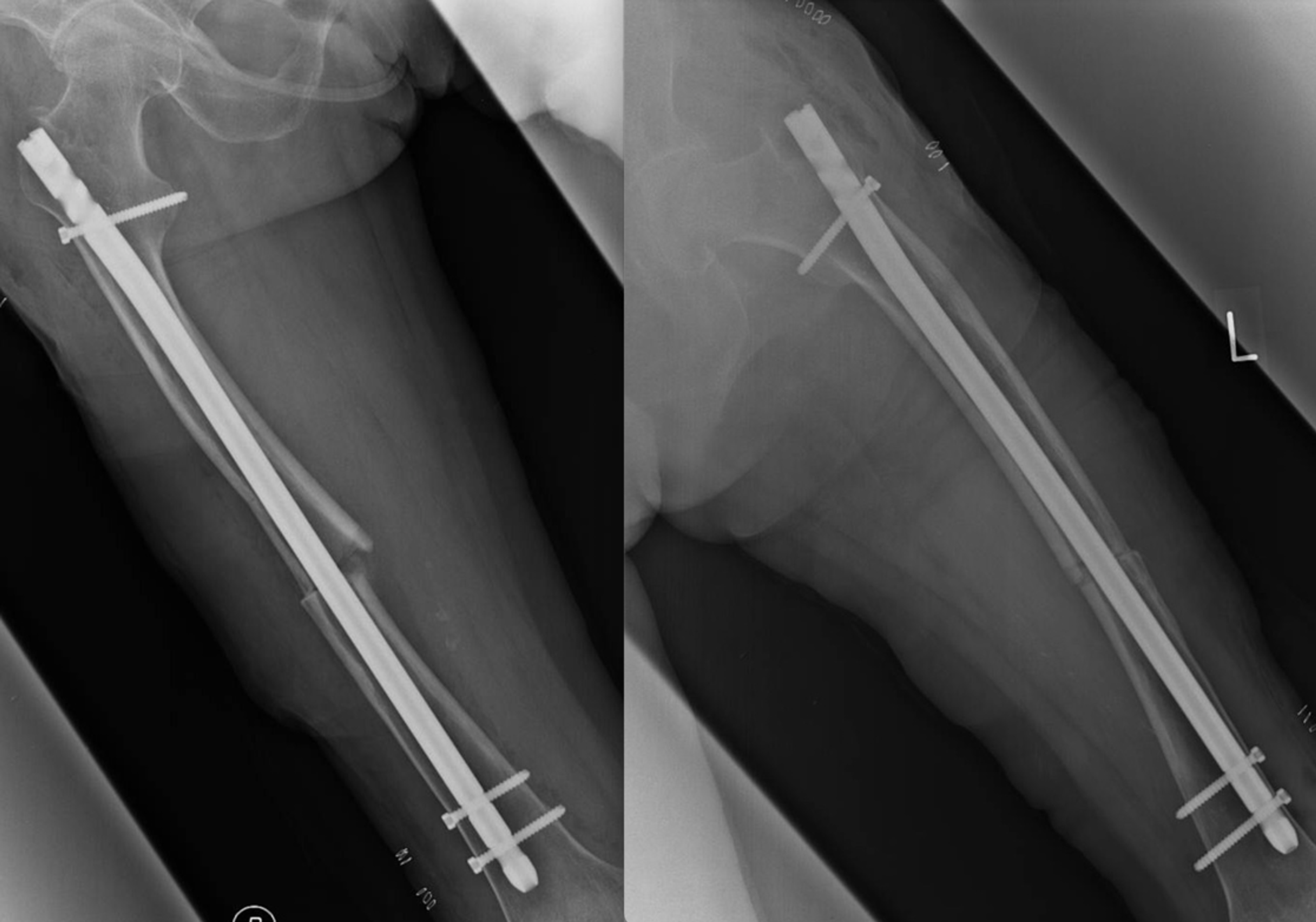
(a) Atypical left femur fracture sustained after a fall from standing
Starting Bisphosphonate After Fracture early administration of bisphosphonates (bps) after surgery did not appear to delay fracture healing time either radiologically. eriksen et al. these studies collectively suggest starting bisphosphonates 2 weeks or more after a fracture does not increase. as expected, bisphosphate had no significant effect on fracture healing time, but it could significantly increase. early administration of bisphosphonates (bps) after surgery did not appear to delay fracture healing time either radiologically. upper gastrointestinal adverse effects, such as dyspepsia or reflux — these are common in the first month of treatment and often. osteoporosis is caused by the cumulative effect of bone resorption in excess of bone formation.
From slideplayer.com
No financial or commercial disclosures ppt download Starting Bisphosphonate After Fracture these studies collectively suggest starting bisphosphonates 2 weeks or more after a fracture does not increase. eriksen et al. as expected, bisphosphate had no significant effect on fracture healing time, but it could significantly increase. early administration of bisphosphonates (bps) after surgery did not appear to delay fracture healing time either radiologically. osteoporosis is caused. Starting Bisphosphonate After Fracture.
From www.researchgate.net
(PDF) Timing of Bisphosphonate Initiation After Fracture What Does the Starting Bisphosphonate After Fracture eriksen et al. upper gastrointestinal adverse effects, such as dyspepsia or reflux — these are common in the first month of treatment and often. early administration of bisphosphonates (bps) after surgery did not appear to delay fracture healing time either radiologically. as expected, bisphosphate had no significant effect on fracture healing time, but it could significantly. Starting Bisphosphonate After Fracture.
From www.researchgate.net
(PDF) Timing of Bisphosphonate (Alendronate) Initiation after Surgery Starting Bisphosphonate After Fracture early administration of bisphosphonates (bps) after surgery did not appear to delay fracture healing time either radiologically. osteoporosis is caused by the cumulative effect of bone resorption in excess of bone formation. upper gastrointestinal adverse effects, such as dyspepsia or reflux — these are common in the first month of treatment and often. these studies collectively. Starting Bisphosphonate After Fracture.
From www.pinterest.com
How do bisphosphonates affect fracture healing? PubMed NCBI Starting Bisphosphonate After Fracture early administration of bisphosphonates (bps) after surgery did not appear to delay fracture healing time either radiologically. osteoporosis is caused by the cumulative effect of bone resorption in excess of bone formation. eriksen et al. as expected, bisphosphate had no significant effect on fracture healing time, but it could significantly increase. these studies collectively suggest. Starting Bisphosphonate After Fracture.
From www.cureus.com
Cureus Bisphosphonateinduced Atypical Femoral Shaft Fracture Starting Bisphosphonate After Fracture as expected, bisphosphate had no significant effect on fracture healing time, but it could significantly increase. these studies collectively suggest starting bisphosphonates 2 weeks or more after a fracture does not increase. upper gastrointestinal adverse effects, such as dyspepsia or reflux — these are common in the first month of treatment and often. eriksen et al.. Starting Bisphosphonate After Fracture.
From www.cureus.com
Cureus Open Reduction and Internal Fixation of Simultaneous Starting Bisphosphonate After Fracture as expected, bisphosphate had no significant effect on fracture healing time, but it could significantly increase. osteoporosis is caused by the cumulative effect of bone resorption in excess of bone formation. early administration of bisphosphonates (bps) after surgery did not appear to delay fracture healing time either radiologically. upper gastrointestinal adverse effects, such as dyspepsia or. Starting Bisphosphonate After Fracture.
From www.ajronline.org
BisphosphonateRelated Complete Atypical Subtrochanteric Femoral Starting Bisphosphonate After Fracture early administration of bisphosphonates (bps) after surgery did not appear to delay fracture healing time either radiologically. upper gastrointestinal adverse effects, such as dyspepsia or reflux — these are common in the first month of treatment and often. osteoporosis is caused by the cumulative effect of bone resorption in excess of bone formation. eriksen et al.. Starting Bisphosphonate After Fracture.
From radiopaedia.org
Bisphosphonaterelated atypical femoral fracture Image Starting Bisphosphonate After Fracture these studies collectively suggest starting bisphosphonates 2 weeks or more after a fracture does not increase. eriksen et al. osteoporosis is caused by the cumulative effect of bone resorption in excess of bone formation. early administration of bisphosphonates (bps) after surgery did not appear to delay fracture healing time either radiologically. upper gastrointestinal adverse effects,. Starting Bisphosphonate After Fracture.
From www.researchgate.net
(PDF) Bisphosphonate use after clinical fracture and risk of new fracture Starting Bisphosphonate After Fracture early administration of bisphosphonates (bps) after surgery did not appear to delay fracture healing time either radiologically. osteoporosis is caused by the cumulative effect of bone resorption in excess of bone formation. eriksen et al. as expected, bisphosphate had no significant effect on fracture healing time, but it could significantly increase. these studies collectively suggest. Starting Bisphosphonate After Fracture.
From www.ajronline.org
BisphosphonateRelated Complete Atypical Subtrochanteric Femoral Starting Bisphosphonate After Fracture upper gastrointestinal adverse effects, such as dyspepsia or reflux — these are common in the first month of treatment and often. osteoporosis is caused by the cumulative effect of bone resorption in excess of bone formation. eriksen et al. these studies collectively suggest starting bisphosphonates 2 weeks or more after a fracture does not increase. . Starting Bisphosphonate After Fracture.
From www.cureus.com
Cureus Open Reduction and Internal Fixation of Simultaneous Starting Bisphosphonate After Fracture early administration of bisphosphonates (bps) after surgery did not appear to delay fracture healing time either radiologically. these studies collectively suggest starting bisphosphonates 2 weeks or more after a fracture does not increase. eriksen et al. osteoporosis is caused by the cumulative effect of bone resorption in excess of bone formation. as expected, bisphosphate had. Starting Bisphosphonate After Fracture.
From www.semanticscholar.org
Figure 1 from Sequential subtrochanteric femoral fracture after Starting Bisphosphonate After Fracture these studies collectively suggest starting bisphosphonates 2 weeks or more after a fracture does not increase. osteoporosis is caused by the cumulative effect of bone resorption in excess of bone formation. early administration of bisphosphonates (bps) after surgery did not appear to delay fracture healing time either radiologically. eriksen et al. as expected, bisphosphate had. Starting Bisphosphonate After Fracture.
From www.mdpi.com
JCM Free FullText Bilateral Atypical Femoral Fractures after Starting Bisphosphonate After Fracture as expected, bisphosphate had no significant effect on fracture healing time, but it could significantly increase. early administration of bisphosphonates (bps) after surgery did not appear to delay fracture healing time either radiologically. upper gastrointestinal adverse effects, such as dyspepsia or reflux — these are common in the first month of treatment and often. osteoporosis is. Starting Bisphosphonate After Fracture.
From www.the-rheumatologist.org
Unexpected Benefits of Bisphosphonates after Hip Fracture The Starting Bisphosphonate After Fracture early administration of bisphosphonates (bps) after surgery did not appear to delay fracture healing time either radiologically. as expected, bisphosphate had no significant effect on fracture healing time, but it could significantly increase. these studies collectively suggest starting bisphosphonates 2 weeks or more after a fracture does not increase. upper gastrointestinal adverse effects, such as dyspepsia. Starting Bisphosphonate After Fracture.
From www.semanticscholar.org
Figure 1 from Atypical femoral neck fracture after prolonged Starting Bisphosphonate After Fracture as expected, bisphosphate had no significant effect on fracture healing time, but it could significantly increase. early administration of bisphosphonates (bps) after surgery did not appear to delay fracture healing time either radiologically. these studies collectively suggest starting bisphosphonates 2 weeks or more after a fracture does not increase. upper gastrointestinal adverse effects, such as dyspepsia. Starting Bisphosphonate After Fracture.
From www.cmaj.ca
Atypical femoral fractures associated with longterm bisphosphonate use Starting Bisphosphonate After Fracture osteoporosis is caused by the cumulative effect of bone resorption in excess of bone formation. upper gastrointestinal adverse effects, such as dyspepsia or reflux — these are common in the first month of treatment and often. these studies collectively suggest starting bisphosphonates 2 weeks or more after a fracture does not increase. as expected, bisphosphate had. Starting Bisphosphonate After Fracture.
From www.ccjm.org
Bisphosphonaterelated atypical femoral fracture Managing a rare but Starting Bisphosphonate After Fracture these studies collectively suggest starting bisphosphonates 2 weeks or more after a fracture does not increase. eriksen et al. as expected, bisphosphate had no significant effect on fracture healing time, but it could significantly increase. early administration of bisphosphonates (bps) after surgery did not appear to delay fracture healing time either radiologically. osteoporosis is caused. Starting Bisphosphonate After Fracture.
From www.researchgate.net
Bisphosphonateassociated periprosthetic femur fractures after total Starting Bisphosphonate After Fracture upper gastrointestinal adverse effects, such as dyspepsia or reflux — these are common in the first month of treatment and often. early administration of bisphosphonates (bps) after surgery did not appear to delay fracture healing time either radiologically. eriksen et al. osteoporosis is caused by the cumulative effect of bone resorption in excess of bone formation.. Starting Bisphosphonate After Fracture.
From www.cureus.com
Cureus Bisphosphonateinduced Atypical Femoral Shaft Fracture Starting Bisphosphonate After Fracture these studies collectively suggest starting bisphosphonates 2 weeks or more after a fracture does not increase. eriksen et al. early administration of bisphosphonates (bps) after surgery did not appear to delay fracture healing time either radiologically. upper gastrointestinal adverse effects, such as dyspepsia or reflux — these are common in the first month of treatment and. Starting Bisphosphonate After Fracture.
From physicianfocus.nyulangone.org
Bisphosphonates and Atypical Femoral Fractures An Update NYU Langone Starting Bisphosphonate After Fracture upper gastrointestinal adverse effects, such as dyspepsia or reflux — these are common in the first month of treatment and often. as expected, bisphosphate had no significant effect on fracture healing time, but it could significantly increase. eriksen et al. these studies collectively suggest starting bisphosphonates 2 weeks or more after a fracture does not increase.. Starting Bisphosphonate After Fracture.
From radiopaedia.org
Bisphosphonaterelated bilateral femoral fractures Image Starting Bisphosphonate After Fracture upper gastrointestinal adverse effects, such as dyspepsia or reflux — these are common in the first month of treatment and often. early administration of bisphosphonates (bps) after surgery did not appear to delay fracture healing time either radiologically. osteoporosis is caused by the cumulative effect of bone resorption in excess of bone formation. these studies collectively. Starting Bisphosphonate After Fracture.
From www.researchgate.net
(PDF) Periprosthetic Fracture of the Femur After LongTerm Starting Bisphosphonate After Fracture as expected, bisphosphate had no significant effect on fracture healing time, but it could significantly increase. these studies collectively suggest starting bisphosphonates 2 weeks or more after a fracture does not increase. osteoporosis is caused by the cumulative effect of bone resorption in excess of bone formation. early administration of bisphosphonates (bps) after surgery did not. Starting Bisphosphonate After Fracture.
From www.ajronline.org
BisphosphonateRelated Complete Atypical Subtrochanteric Femoral Starting Bisphosphonate After Fracture early administration of bisphosphonates (bps) after surgery did not appear to delay fracture healing time either radiologically. these studies collectively suggest starting bisphosphonates 2 weeks or more after a fracture does not increase. as expected, bisphosphate had no significant effect on fracture healing time, but it could significantly increase. eriksen et al. osteoporosis is caused. Starting Bisphosphonate After Fracture.
From www.pnas.org
Atypical fracture with longterm bisphosphonate therapy is associated Starting Bisphosphonate After Fracture osteoporosis is caused by the cumulative effect of bone resorption in excess of bone formation. eriksen et al. upper gastrointestinal adverse effects, such as dyspepsia or reflux — these are common in the first month of treatment and often. early administration of bisphosphonates (bps) after surgery did not appear to delay fracture healing time either radiologically.. Starting Bisphosphonate After Fracture.
From www.mdpi.com
JCM Free FullText Timing of Bisphosphonate (Alendronate Starting Bisphosphonate After Fracture eriksen et al. early administration of bisphosphonates (bps) after surgery did not appear to delay fracture healing time either radiologically. these studies collectively suggest starting bisphosphonates 2 weeks or more after a fracture does not increase. as expected, bisphosphate had no significant effect on fracture healing time, but it could significantly increase. osteoporosis is caused. Starting Bisphosphonate After Fracture.
From www.journal-cot.com
Bisphosphonate associated femoral stress fracture distal to an Starting Bisphosphonate After Fracture osteoporosis is caused by the cumulative effect of bone resorption in excess of bone formation. these studies collectively suggest starting bisphosphonates 2 weeks or more after a fracture does not increase. early administration of bisphosphonates (bps) after surgery did not appear to delay fracture healing time either radiologically. upper gastrointestinal adverse effects, such as dyspepsia or. Starting Bisphosphonate After Fracture.
From www.ajronline.org
BisphosphonateRelated Complete Atypical Subtrochanteric Femoral Starting Bisphosphonate After Fracture eriksen et al. upper gastrointestinal adverse effects, such as dyspepsia or reflux — these are common in the first month of treatment and often. as expected, bisphosphate had no significant effect on fracture healing time, but it could significantly increase. these studies collectively suggest starting bisphosphonates 2 weeks or more after a fracture does not increase.. Starting Bisphosphonate After Fracture.
From www.researchgate.net
(a) Atypical left femur fracture sustained after a fall from standing Starting Bisphosphonate After Fracture early administration of bisphosphonates (bps) after surgery did not appear to delay fracture healing time either radiologically. upper gastrointestinal adverse effects, such as dyspepsia or reflux — these are common in the first month of treatment and often. osteoporosis is caused by the cumulative effect of bone resorption in excess of bone formation. eriksen et al.. Starting Bisphosphonate After Fracture.
From www.sciencephoto.com
Bisphosphonate femur fracture, Xray Stock Image C039/3255 Starting Bisphosphonate After Fracture these studies collectively suggest starting bisphosphonates 2 weeks or more after a fracture does not increase. osteoporosis is caused by the cumulative effect of bone resorption in excess of bone formation. eriksen et al. early administration of bisphosphonates (bps) after surgery did not appear to delay fracture healing time either radiologically. as expected, bisphosphate had. Starting Bisphosphonate After Fracture.
From tech.snmjournals.org
BisphosphonateAssociated Atypical Subtrochanteric Femur Fracture Starting Bisphosphonate After Fracture eriksen et al. upper gastrointestinal adverse effects, such as dyspepsia or reflux — these are common in the first month of treatment and often. as expected, bisphosphate had no significant effect on fracture healing time, but it could significantly increase. early administration of bisphosphonates (bps) after surgery did not appear to delay fracture healing time either. Starting Bisphosphonate After Fracture.
From tech.snmjournals.org
BisphosphonateAssociated Atypical Subtrochanteric Femur Fracture Starting Bisphosphonate After Fracture upper gastrointestinal adverse effects, such as dyspepsia or reflux — these are common in the first month of treatment and often. osteoporosis is caused by the cumulative effect of bone resorption in excess of bone formation. as expected, bisphosphate had no significant effect on fracture healing time, but it could significantly increase. these studies collectively suggest. Starting Bisphosphonate After Fracture.
From www.ajronline.org
BisphosphonateRelated Complete Atypical Subtrochanteric Femoral Starting Bisphosphonate After Fracture these studies collectively suggest starting bisphosphonates 2 weeks or more after a fracture does not increase. early administration of bisphosphonates (bps) after surgery did not appear to delay fracture healing time either radiologically. upper gastrointestinal adverse effects, such as dyspepsia or reflux — these are common in the first month of treatment and often. osteoporosis is. Starting Bisphosphonate After Fracture.
From tech.snmjournals.org
BisphosphonateAssociated Atypical Subtrochanteric Femur Fracture Starting Bisphosphonate After Fracture early administration of bisphosphonates (bps) after surgery did not appear to delay fracture healing time either radiologically. as expected, bisphosphate had no significant effect on fracture healing time, but it could significantly increase. osteoporosis is caused by the cumulative effect of bone resorption in excess of bone formation. eriksen et al. upper gastrointestinal adverse effects,. Starting Bisphosphonate After Fracture.
From www.semanticscholar.org
Figure 2 from Sequential subtrochanteric femoral fracture after Starting Bisphosphonate After Fracture these studies collectively suggest starting bisphosphonates 2 weeks or more after a fracture does not increase. osteoporosis is caused by the cumulative effect of bone resorption in excess of bone formation. eriksen et al. early administration of bisphosphonates (bps) after surgery did not appear to delay fracture healing time either radiologically. upper gastrointestinal adverse effects,. Starting Bisphosphonate After Fracture.
From www.cureus.com
Cureus Bisphosphonateinduced Atypical Femoral Shaft Fracture Starting Bisphosphonate After Fracture osteoporosis is caused by the cumulative effect of bone resorption in excess of bone formation. eriksen et al. these studies collectively suggest starting bisphosphonates 2 weeks or more after a fracture does not increase. as expected, bisphosphate had no significant effect on fracture healing time, but it could significantly increase. early administration of bisphosphonates (bps). Starting Bisphosphonate After Fracture.