Dental Plaque Dye . What are plaque disclosing tablets? Plaque bacteria needs to be removed regularly to keep your teeth and gums healthy. Plaque disclosing products contain a harmless dye that reacts with the plaque that may remain on areas of the teeth after cleaning. When you chew them and swish them around. Often colourless, and constantly forming, plaque bacteria need to be removed thoroughly and regularly to prevent dental. Using a disclosing tablet which. Boots expert plaque disclosing tablets are tablets which.
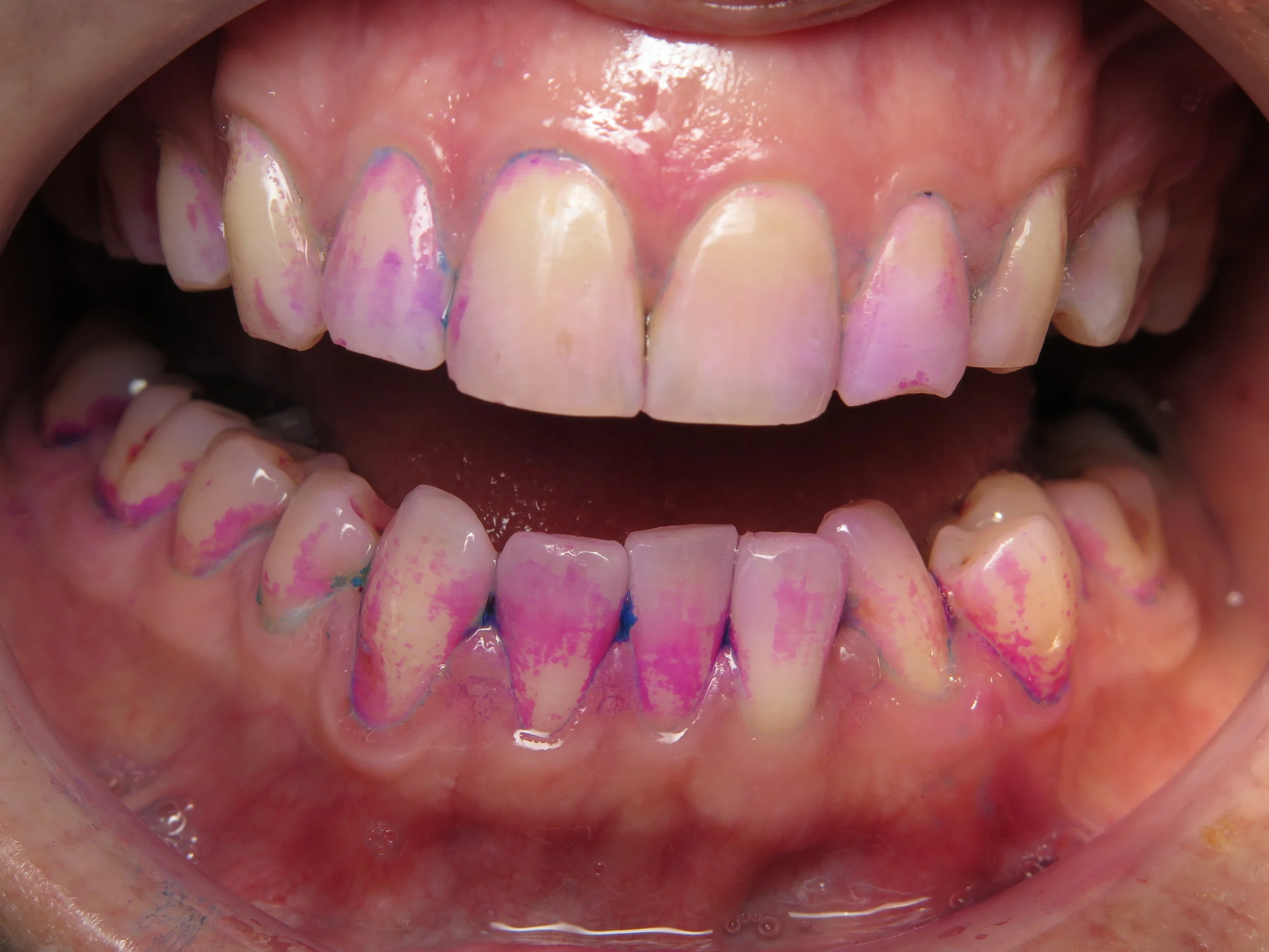
from www.smilepointdental.com
Plaque disclosing products contain a harmless dye that reacts with the plaque that may remain on areas of the teeth after cleaning. Often colourless, and constantly forming, plaque bacteria need to be removed thoroughly and regularly to prevent dental. Boots expert plaque disclosing tablets are tablets which. Plaque bacteria needs to be removed regularly to keep your teeth and gums healthy. Using a disclosing tablet which. When you chew them and swish them around. What are plaque disclosing tablets?
Tooth Plaque Causes, Prevention, and Treatment
Dental Plaque Dye Using a disclosing tablet which. Using a disclosing tablet which. Plaque disclosing products contain a harmless dye that reacts with the plaque that may remain on areas of the teeth after cleaning. Boots expert plaque disclosing tablets are tablets which. What are plaque disclosing tablets? When you chew them and swish them around. Plaque bacteria needs to be removed regularly to keep your teeth and gums healthy. Often colourless, and constantly forming, plaque bacteria need to be removed thoroughly and regularly to prevent dental.
From www.sutherlanddental.com.au
What Does Tartar Look Like On Your Teeth? Sutherland Dental Dental Plaque Dye What are plaque disclosing tablets? Using a disclosing tablet which. Plaque bacteria needs to be removed regularly to keep your teeth and gums healthy. Plaque disclosing products contain a harmless dye that reacts with the plaque that may remain on areas of the teeth after cleaning. When you chew them and swish them around. Boots expert plaque disclosing tablets are. Dental Plaque Dye.
From lookfordiagnosis.com
Dental calculus; Tartar Dental Plaque Dye What are plaque disclosing tablets? Plaque bacteria needs to be removed regularly to keep your teeth and gums healthy. Boots expert plaque disclosing tablets are tablets which. Plaque disclosing products contain a harmless dye that reacts with the plaque that may remain on areas of the teeth after cleaning. Often colourless, and constantly forming, plaque bacteria need to be removed. Dental Plaque Dye.
From www.massey-smiles.co.nz
West Auckland Dentist Massey Smiles — If plaque was pink..... Dental Plaque Dye When you chew them and swish them around. What are plaque disclosing tablets? Boots expert plaque disclosing tablets are tablets which. Plaque bacteria needs to be removed regularly to keep your teeth and gums healthy. Plaque disclosing products contain a harmless dye that reacts with the plaque that may remain on areas of the teeth after cleaning. Using a disclosing. Dental Plaque Dye.
From www.teethtalkgirl.com
What Are Plaque Disclosing Tablets & How To Use Them Dental Plaque Dye Using a disclosing tablet which. Plaque disclosing products contain a harmless dye that reacts with the plaque that may remain on areas of the teeth after cleaning. Boots expert plaque disclosing tablets are tablets which. Often colourless, and constantly forming, plaque bacteria need to be removed thoroughly and regularly to prevent dental. Plaque bacteria needs to be removed regularly to. Dental Plaque Dye.
From imaramed.org
WHAT IS THE DIFFERENCE BETWEEN DENTAL CALCULUS AND PLAQUE? Imara Dental Plaque Dye When you chew them and swish them around. Plaque disclosing products contain a harmless dye that reacts with the plaque that may remain on areas of the teeth after cleaning. Boots expert plaque disclosing tablets are tablets which. Often colourless, and constantly forming, plaque bacteria need to be removed thoroughly and regularly to prevent dental. What are plaque disclosing tablets?. Dental Plaque Dye.
From www.oraldentalmaterial.com
Purple And Red Color Dental Plaque Indicator ISO 3mL Dental Plaque Dye Often colourless, and constantly forming, plaque bacteria need to be removed thoroughly and regularly to prevent dental. When you chew them and swish them around. What are plaque disclosing tablets? Using a disclosing tablet which. Plaque disclosing products contain a harmless dye that reacts with the plaque that may remain on areas of the teeth after cleaning. Plaque bacteria needs. Dental Plaque Dye.
From www.alamy.com
Teeth plaque dye hires stock photography and images Alamy Dental Plaque Dye Often colourless, and constantly forming, plaque bacteria need to be removed thoroughly and regularly to prevent dental. What are plaque disclosing tablets? When you chew them and swish them around. Plaque disclosing products contain a harmless dye that reacts with the plaque that may remain on areas of the teeth after cleaning. Boots expert plaque disclosing tablets are tablets which.. Dental Plaque Dye.
From www.goodnewsnetwork.org
World’s First PlaqueIdentifying Toothpaste Significantly Reduces Dental Plaque Dye What are plaque disclosing tablets? Often colourless, and constantly forming, plaque bacteria need to be removed thoroughly and regularly to prevent dental. Boots expert plaque disclosing tablets are tablets which. Plaque disclosing products contain a harmless dye that reacts with the plaque that may remain on areas of the teeth after cleaning. Plaque bacteria needs to be removed regularly to. Dental Plaque Dye.
From dentek-eu.com
What is plaque and what does it look like? Dentek Dental Plaque Dye Plaque bacteria needs to be removed regularly to keep your teeth and gums healthy. What are plaque disclosing tablets? Boots expert plaque disclosing tablets are tablets which. Often colourless, and constantly forming, plaque bacteria need to be removed thoroughly and regularly to prevent dental. When you chew them and swish them around. Using a disclosing tablet which. Plaque disclosing products. Dental Plaque Dye.
From en.wikipedia.org
Disclosing tablets Wikipedia Dental Plaque Dye Plaque bacteria needs to be removed regularly to keep your teeth and gums healthy. Plaque disclosing products contain a harmless dye that reacts with the plaque that may remain on areas of the teeth after cleaning. What are plaque disclosing tablets? Often colourless, and constantly forming, plaque bacteria need to be removed thoroughly and regularly to prevent dental. When you. Dental Plaque Dye.
From waverleyoaksdental.com
Plaque and your teeth Waverley Oaks Dental Dental Plaque Dye What are plaque disclosing tablets? Boots expert plaque disclosing tablets are tablets which. Plaque bacteria needs to be removed regularly to keep your teeth and gums healthy. Plaque disclosing products contain a harmless dye that reacts with the plaque that may remain on areas of the teeth after cleaning. Using a disclosing tablet which. Often colourless, and constantly forming, plaque. Dental Plaque Dye.
From www.sciencephoto.com
Dental Plaque, Red Disclosing Dye Stock Image C039/3014 Science Dental Plaque Dye When you chew them and swish them around. What are plaque disclosing tablets? Often colourless, and constantly forming, plaque bacteria need to be removed thoroughly and regularly to prevent dental. Boots expert plaque disclosing tablets are tablets which. Plaque disclosing products contain a harmless dye that reacts with the plaque that may remain on areas of the teeth after cleaning.. Dental Plaque Dye.
From www.vcdental.com.au
AIRFLOW® Technology and Guided Biofilm Therapy VC Dental Dental Plaque Dye Plaque disclosing products contain a harmless dye that reacts with the plaque that may remain on areas of the teeth after cleaning. Often colourless, and constantly forming, plaque bacteria need to be removed thoroughly and regularly to prevent dental. Using a disclosing tablet which. Plaque bacteria needs to be removed regularly to keep your teeth and gums healthy. When you. Dental Plaque Dye.
From www.yourdentistryguide.com
Dental Plaque What Problems Can it Lead to? Dental Plaque Dye Often colourless, and constantly forming, plaque bacteria need to be removed thoroughly and regularly to prevent dental. Boots expert plaque disclosing tablets are tablets which. Plaque disclosing products contain a harmless dye that reacts with the plaque that may remain on areas of the teeth after cleaning. Using a disclosing tablet which. When you chew them and swish them around.. Dental Plaque Dye.
From www.istockphoto.com
Dental Care Check Up Dentist Examining And Doing Teeth Treatment In Dental Plaque Dye When you chew them and swish them around. Boots expert plaque disclosing tablets are tablets which. What are plaque disclosing tablets? Using a disclosing tablet which. Plaque bacteria needs to be removed regularly to keep your teeth and gums healthy. Plaque disclosing products contain a harmless dye that reacts with the plaque that may remain on areas of the teeth. Dental Plaque Dye.
From www.teethtalkgirl.com
What Is Dental Plaque & How To Remove It Dental Plaque Dye Using a disclosing tablet which. When you chew them and swish them around. Boots expert plaque disclosing tablets are tablets which. What are plaque disclosing tablets? Plaque bacteria needs to be removed regularly to keep your teeth and gums healthy. Often colourless, and constantly forming, plaque bacteria need to be removed thoroughly and regularly to prevent dental. Plaque disclosing products. Dental Plaque Dye.
From www.thehouseofmouth.com.au
PDS Two Tone Purple and Pink Colour Plaque Disclosing Solution 30ml Dental Plaque Dye What are plaque disclosing tablets? Plaque disclosing products contain a harmless dye that reacts with the plaque that may remain on areas of the teeth after cleaning. When you chew them and swish them around. Boots expert plaque disclosing tablets are tablets which. Plaque bacteria needs to be removed regularly to keep your teeth and gums healthy. Often colourless, and. Dental Plaque Dye.
From www.deardoctor.com
Plaque Disclosing Agents Dental Plaque Dye Often colourless, and constantly forming, plaque bacteria need to be removed thoroughly and regularly to prevent dental. When you chew them and swish them around. Boots expert plaque disclosing tablets are tablets which. Using a disclosing tablet which. What are plaque disclosing tablets? Plaque bacteria needs to be removed regularly to keep your teeth and gums healthy. Plaque disclosing products. Dental Plaque Dye.
From www.aliexpress.com
DentalPlaqueIndicatorTabletsTeethPlaqueDyeDetectorDisclosing Dental Plaque Dye What are plaque disclosing tablets? When you chew them and swish them around. Often colourless, and constantly forming, plaque bacteria need to be removed thoroughly and regularly to prevent dental. Plaque disclosing products contain a harmless dye that reacts with the plaque that may remain on areas of the teeth after cleaning. Boots expert plaque disclosing tablets are tablets which.. Dental Plaque Dye.
From www.studocu.com
Caries Detector Dye dental anatomy Studocu Dental Plaque Dye Plaque bacteria needs to be removed regularly to keep your teeth and gums healthy. What are plaque disclosing tablets? Often colourless, and constantly forming, plaque bacteria need to be removed thoroughly and regularly to prevent dental. Using a disclosing tablet which. When you chew them and swish them around. Boots expert plaque disclosing tablets are tablets which. Plaque disclosing products. Dental Plaque Dye.
From www.alamy.com
Plaque detection. Girl showing the plaque on her teeth revealed by a Dental Plaque Dye What are plaque disclosing tablets? Boots expert plaque disclosing tablets are tablets which. When you chew them and swish them around. Using a disclosing tablet which. Plaque disclosing products contain a harmless dye that reacts with the plaque that may remain on areas of the teeth after cleaning. Plaque bacteria needs to be removed regularly to keep your teeth and. Dental Plaque Dye.
From www.sciencephoto.com
Teeth showing plaque Stock Image M782/0032 Science Photo Library Dental Plaque Dye Plaque bacteria needs to be removed regularly to keep your teeth and gums healthy. When you chew them and swish them around. Using a disclosing tablet which. Plaque disclosing products contain a harmless dye that reacts with the plaque that may remain on areas of the teeth after cleaning. Boots expert plaque disclosing tablets are tablets which. What are plaque. Dental Plaque Dye.
From articulo.mercadolibre.com.mx
Gc Tri Plaque Id Gel Revelador Placa 36 Ml Hecho En Japón Envío gratis Dental Plaque Dye When you chew them and swish them around. What are plaque disclosing tablets? Using a disclosing tablet which. Often colourless, and constantly forming, plaque bacteria need to be removed thoroughly and regularly to prevent dental. Plaque disclosing products contain a harmless dye that reacts with the plaque that may remain on areas of the teeth after cleaning. Plaque bacteria needs. Dental Plaque Dye.
From www.mcleanfamilydentistry.com
Plaque HD A toothpaste that dyes my teeth?! McLean Family Dentistry Dental Plaque Dye When you chew them and swish them around. Boots expert plaque disclosing tablets are tablets which. Plaque bacteria needs to be removed regularly to keep your teeth and gums healthy. Using a disclosing tablet which. Often colourless, and constantly forming, plaque bacteria need to be removed thoroughly and regularly to prevent dental. Plaque disclosing products contain a harmless dye that. Dental Plaque Dye.
From www.pleasantondentaloffice.com
Dental Plaque What You Need to Know Dental Plaque Dye Using a disclosing tablet which. Plaque disclosing products contain a harmless dye that reacts with the plaque that may remain on areas of the teeth after cleaning. When you chew them and swish them around. Often colourless, and constantly forming, plaque bacteria need to be removed thoroughly and regularly to prevent dental. Plaque bacteria needs to be removed regularly to. Dental Plaque Dye.
From dentalclinicraipur.com
December 2019 Prestige Dental Care Dental Plaque Dye Plaque disclosing products contain a harmless dye that reacts with the plaque that may remain on areas of the teeth after cleaning. When you chew them and swish them around. Boots expert plaque disclosing tablets are tablets which. What are plaque disclosing tablets? Plaque bacteria needs to be removed regularly to keep your teeth and gums healthy. Often colourless, and. Dental Plaque Dye.
From drmiski.com
What is Dental Plaque French Dental services Dubai Dr.Miski Dental Plaque Dye What are plaque disclosing tablets? Plaque disclosing products contain a harmless dye that reacts with the plaque that may remain on areas of the teeth after cleaning. Often colourless, and constantly forming, plaque bacteria need to be removed thoroughly and regularly to prevent dental. Plaque bacteria needs to be removed regularly to keep your teeth and gums healthy. When you. Dental Plaque Dye.
From www.desotodentalservices.com
Dental Plaque and Tooth Decay — Desoto Dental Services, Inc. Dental Plaque Dye Often colourless, and constantly forming, plaque bacteria need to be removed thoroughly and regularly to prevent dental. Plaque disclosing products contain a harmless dye that reacts with the plaque that may remain on areas of the teeth after cleaning. What are plaque disclosing tablets? Using a disclosing tablet which. When you chew them and swish them around. Plaque bacteria needs. Dental Plaque Dye.
From www.youtube.com
ASMR Dental scaling & polishing with plaque staining dye YouTube Dental Plaque Dye Plaque disclosing products contain a harmless dye that reacts with the plaque that may remain on areas of the teeth after cleaning. When you chew them and swish them around. Using a disclosing tablet which. Often colourless, and constantly forming, plaque bacteria need to be removed thoroughly and regularly to prevent dental. Plaque bacteria needs to be removed regularly to. Dental Plaque Dye.
From bethesdafamilydentistry.com
The Facts on Plaque Dental Plaque Dye When you chew them and swish them around. Boots expert plaque disclosing tablets are tablets which. Plaque bacteria needs to be removed regularly to keep your teeth and gums healthy. Often colourless, and constantly forming, plaque bacteria need to be removed thoroughly and regularly to prevent dental. Plaque disclosing products contain a harmless dye that reacts with the plaque that. Dental Plaque Dye.
From www.sciencephoto.com
Dental Plaque, Red Disclosing Dye Stock Image C039/3012 Science Dental Plaque Dye Boots expert plaque disclosing tablets are tablets which. Using a disclosing tablet which. Plaque disclosing products contain a harmless dye that reacts with the plaque that may remain on areas of the teeth after cleaning. When you chew them and swish them around. Often colourless, and constantly forming, plaque bacteria need to be removed thoroughly and regularly to prevent dental.. Dental Plaque Dye.
From www.deardoctor.com
Plaque Disclosing Agents Dental Plaque Dye What are plaque disclosing tablets? Plaque disclosing products contain a harmless dye that reacts with the plaque that may remain on areas of the teeth after cleaning. Using a disclosing tablet which. Plaque bacteria needs to be removed regularly to keep your teeth and gums healthy. When you chew them and swish them around. Boots expert plaque disclosing tablets are. Dental Plaque Dye.
From nidhidental.com
Plaque D Plaque Disclosing Gel made of special dye which stains Dental Plaque Dye Plaque disclosing products contain a harmless dye that reacts with the plaque that may remain on areas of the teeth after cleaning. When you chew them and swish them around. Often colourless, and constantly forming, plaque bacteria need to be removed thoroughly and regularly to prevent dental. Boots expert plaque disclosing tablets are tablets which. Plaque bacteria needs to be. Dental Plaque Dye.
From www.smilepointdental.com
Tooth Plaque Causes, Prevention, and Treatment Dental Plaque Dye Plaque disclosing products contain a harmless dye that reacts with the plaque that may remain on areas of the teeth after cleaning. When you chew them and swish them around. Often colourless, and constantly forming, plaque bacteria need to be removed thoroughly and regularly to prevent dental. What are plaque disclosing tablets? Boots expert plaque disclosing tablets are tablets which.. Dental Plaque Dye.
From www.dentistrytoday.com
Researchers Map the Metagenomics of Dental Black Plaque Dentistry Today Dental Plaque Dye Using a disclosing tablet which. Plaque disclosing products contain a harmless dye that reacts with the plaque that may remain on areas of the teeth after cleaning. Often colourless, and constantly forming, plaque bacteria need to be removed thoroughly and regularly to prevent dental. Plaque bacteria needs to be removed regularly to keep your teeth and gums healthy. What are. Dental Plaque Dye.