Can Chemo Destroy Your Teeth . Brush your teeth at least twice daily with a soft toothbrush and fluoride. chemotherapy and radiation therapy can damage healthy cells in the mouth, leading to mouth sores, ulcers, and infections. during chemotherapy, proper oral hygiene is essential. chemotherapy is the use of drugs to treat cancer. certain types of chemotherapy (e.g., vinca alkaloids) can cause dental neurotoxicity, which typically manifests. however, chemotherapy can lead to some annoying or worrying side effects for your teeth, especially if you have mouth or throat cancer. These drugs kill cancer cells, but they may also harm normal cells, including cells in the mouth. But if you have poor oral. If you practice good oral hygiene, you have less risk to your teeth from chemotherapy. some patients may have sensitive teeth weeks or months after chemotherapy has ended. does chemo affect your teeth?
from www.survivornet.com
chemotherapy is the use of drugs to treat cancer. These drugs kill cancer cells, but they may also harm normal cells, including cells in the mouth. does chemo affect your teeth? Brush your teeth at least twice daily with a soft toothbrush and fluoride. chemotherapy and radiation therapy can damage healthy cells in the mouth, leading to mouth sores, ulcers, and infections. however, chemotherapy can lead to some annoying or worrying side effects for your teeth, especially if you have mouth or throat cancer. some patients may have sensitive teeth weeks or months after chemotherapy has ended. during chemotherapy, proper oral hygiene is essential. But if you have poor oral. certain types of chemotherapy (e.g., vinca alkaloids) can cause dental neurotoxicity, which typically manifests.
Even 'Brushing Your Teeth Really Painful' The Dental Side
Can Chemo Destroy Your Teeth does chemo affect your teeth? during chemotherapy, proper oral hygiene is essential. These drugs kill cancer cells, but they may also harm normal cells, including cells in the mouth. chemotherapy and radiation therapy can damage healthy cells in the mouth, leading to mouth sores, ulcers, and infections. chemotherapy is the use of drugs to treat cancer. certain types of chemotherapy (e.g., vinca alkaloids) can cause dental neurotoxicity, which typically manifests. But if you have poor oral. does chemo affect your teeth? some patients may have sensitive teeth weeks or months after chemotherapy has ended. If you practice good oral hygiene, you have less risk to your teeth from chemotherapy. however, chemotherapy can lead to some annoying or worrying side effects for your teeth, especially if you have mouth or throat cancer. Brush your teeth at least twice daily with a soft toothbrush and fluoride.
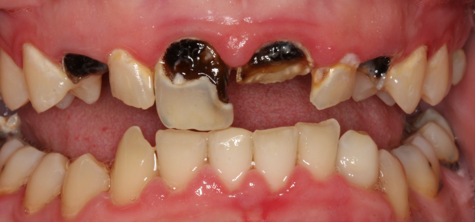
From www.sciencephoto.com
Tooth decay in chemotherapy Stock Image C023/8953 Science Photo Can Chemo Destroy Your Teeth however, chemotherapy can lead to some annoying or worrying side effects for your teeth, especially if you have mouth or throat cancer. Brush your teeth at least twice daily with a soft toothbrush and fluoride. some patients may have sensitive teeth weeks or months after chemotherapy has ended. does chemo affect your teeth? But if you have. Can Chemo Destroy Your Teeth.
From www.hinsdaledentistry.com
Can Chemo Affect Your Teeth? Hinsdale Dentistry Can Chemo Destroy Your Teeth however, chemotherapy can lead to some annoying or worrying side effects for your teeth, especially if you have mouth or throat cancer. But if you have poor oral. Brush your teeth at least twice daily with a soft toothbrush and fluoride. does chemo affect your teeth? If you practice good oral hygiene, you have less risk to your. Can Chemo Destroy Your Teeth.
From www.pinterest.com
Effects on the body chemotherapy Chemotherapy side effects, Effects Can Chemo Destroy Your Teeth These drugs kill cancer cells, but they may also harm normal cells, including cells in the mouth. however, chemotherapy can lead to some annoying or worrying side effects for your teeth, especially if you have mouth or throat cancer. If you practice good oral hygiene, you have less risk to your teeth from chemotherapy. chemotherapy is the use. Can Chemo Destroy Your Teeth.
From www.dentalclinic-knet.com
Patient undergoing chemotherapy gets a dental cleaning (Guided Biofilm Can Chemo Destroy Your Teeth These drugs kill cancer cells, but they may also harm normal cells, including cells in the mouth. Brush your teeth at least twice daily with a soft toothbrush and fluoride. If you practice good oral hygiene, you have less risk to your teeth from chemotherapy. certain types of chemotherapy (e.g., vinca alkaloids) can cause dental neurotoxicity, which typically manifests.. Can Chemo Destroy Your Teeth.
From www.top10homeremedies.com
Side Effects of Chemotherapy and How to Manage Them Top 10 Home Remedies Can Chemo Destroy Your Teeth Brush your teeth at least twice daily with a soft toothbrush and fluoride. But if you have poor oral. chemotherapy and radiation therapy can damage healthy cells in the mouth, leading to mouth sores, ulcers, and infections. These drugs kill cancer cells, but they may also harm normal cells, including cells in the mouth. some patients may have. Can Chemo Destroy Your Teeth.
From www.survivornet.com
Even 'Brushing Your Teeth Really Painful' The Dental Side Can Chemo Destroy Your Teeth These drugs kill cancer cells, but they may also harm normal cells, including cells in the mouth. chemotherapy and radiation therapy can damage healthy cells in the mouth, leading to mouth sores, ulcers, and infections. certain types of chemotherapy (e.g., vinca alkaloids) can cause dental neurotoxicity, which typically manifests. does chemo affect your teeth? Brush your teeth. Can Chemo Destroy Your Teeth.
From www.medindia.net
Side Effects of Drugs that Affect Your Teeth and Gums Can Chemo Destroy Your Teeth does chemo affect your teeth? Brush your teeth at least twice daily with a soft toothbrush and fluoride. during chemotherapy, proper oral hygiene is essential. chemotherapy and radiation therapy can damage healthy cells in the mouth, leading to mouth sores, ulcers, and infections. If you practice good oral hygiene, you have less risk to your teeth from. Can Chemo Destroy Your Teeth.
From www.avenueartsdental.com
Teeth Decay, Iced Tea Attack Philadelphia Dentist Can Chemo Destroy Your Teeth chemotherapy is the use of drugs to treat cancer. If you practice good oral hygiene, you have less risk to your teeth from chemotherapy. These drugs kill cancer cells, but they may also harm normal cells, including cells in the mouth. does chemo affect your teeth? Brush your teeth at least twice daily with a soft toothbrush and. Can Chemo Destroy Your Teeth.
From www.theoldphotoalbum.com
How Can Chemotherapy Affect Your Teeth? The Old Photo Album Can Chemo Destroy Your Teeth chemotherapy and radiation therapy can damage healthy cells in the mouth, leading to mouth sores, ulcers, and infections. some patients may have sensitive teeth weeks or months after chemotherapy has ended. does chemo affect your teeth? But if you have poor oral. however, chemotherapy can lead to some annoying or worrying side effects for your teeth,. Can Chemo Destroy Your Teeth.
From www.chemongfamilydental.com
Four Foods That Can Damage Your Teeth Chemong Family Dental Can Chemo Destroy Your Teeth But if you have poor oral. If you practice good oral hygiene, you have less risk to your teeth from chemotherapy. does chemo affect your teeth? chemotherapy and radiation therapy can damage healthy cells in the mouth, leading to mouth sores, ulcers, and infections. certain types of chemotherapy (e.g., vinca alkaloids) can cause dental neurotoxicity, which typically. Can Chemo Destroy Your Teeth.
From www.youtube.com
CHEMOTHERAPY CAUSED "TOOTH DECAY" IN MY TEETH ðŸ˜ðŸ˜ YouTube Can Chemo Destroy Your Teeth however, chemotherapy can lead to some annoying or worrying side effects for your teeth, especially if you have mouth or throat cancer. If you practice good oral hygiene, you have less risk to your teeth from chemotherapy. some patients may have sensitive teeth weeks or months after chemotherapy has ended. But if you have poor oral. These drugs. Can Chemo Destroy Your Teeth.
From www.youtube.com
DENTIST WITH CANCER TIPS & TRICKS FOR YOUR MOUTH DURING CHEMO CHEMO Can Chemo Destroy Your Teeth chemotherapy is the use of drugs to treat cancer. But if you have poor oral. chemotherapy and radiation therapy can damage healthy cells in the mouth, leading to mouth sores, ulcers, and infections. If you practice good oral hygiene, you have less risk to your teeth from chemotherapy. does chemo affect your teeth? some patients may. Can Chemo Destroy Your Teeth.
From www.youtube.com
Chemo & Your Teeth plus other updates YouTube Can Chemo Destroy Your Teeth But if you have poor oral. chemotherapy is the use of drugs to treat cancer. If you practice good oral hygiene, you have less risk to your teeth from chemotherapy. certain types of chemotherapy (e.g., vinca alkaloids) can cause dental neurotoxicity, which typically manifests. These drugs kill cancer cells, but they may also harm normal cells, including cells. Can Chemo Destroy Your Teeth.
From www.smilesatisfaction.com
Starting Chemo? How Are Your Teeth? Cancer & Dental Health Advanced Can Chemo Destroy Your Teeth chemotherapy is the use of drugs to treat cancer. Brush your teeth at least twice daily with a soft toothbrush and fluoride. some patients may have sensitive teeth weeks or months after chemotherapy has ended. during chemotherapy, proper oral hygiene is essential. But if you have poor oral. however, chemotherapy can lead to some annoying or. Can Chemo Destroy Your Teeth.
From blood-cancer.com
Can Dental Health be Affected by Chemo for Blood Cancer? Can Chemo Destroy Your Teeth does chemo affect your teeth? But if you have poor oral. certain types of chemotherapy (e.g., vinca alkaloids) can cause dental neurotoxicity, which typically manifests. however, chemotherapy can lead to some annoying or worrying side effects for your teeth, especially if you have mouth or throat cancer. some patients may have sensitive teeth weeks or months. Can Chemo Destroy Your Teeth.
From medicalxpress.com
How the impact of chemotherapy on healthy cells affects the development Can Chemo Destroy Your Teeth certain types of chemotherapy (e.g., vinca alkaloids) can cause dental neurotoxicity, which typically manifests. chemotherapy is the use of drugs to treat cancer. during chemotherapy, proper oral hygiene is essential. however, chemotherapy can lead to some annoying or worrying side effects for your teeth, especially if you have mouth or throat cancer. some patients may. Can Chemo Destroy Your Teeth.
From www.sciencephoto.com
Tooth damage from chemotherapy Stock Image C015/1637 Science Can Chemo Destroy Your Teeth some patients may have sensitive teeth weeks or months after chemotherapy has ended. however, chemotherapy can lead to some annoying or worrying side effects for your teeth, especially if you have mouth or throat cancer. certain types of chemotherapy (e.g., vinca alkaloids) can cause dental neurotoxicity, which typically manifests. Brush your teeth at least twice daily with. Can Chemo Destroy Your Teeth.
From exouoaaxy.blob.core.windows.net
Dental Hygiene During Chemotherapy at Nadene Hansen blog Can Chemo Destroy Your Teeth chemotherapy and radiation therapy can damage healthy cells in the mouth, leading to mouth sores, ulcers, and infections. however, chemotherapy can lead to some annoying or worrying side effects for your teeth, especially if you have mouth or throat cancer. Brush your teeth at least twice daily with a soft toothbrush and fluoride. chemotherapy is the use. Can Chemo Destroy Your Teeth.
From www.youtube.com
Chemotherapy and your teeth Your Filthy Mouth Episode 22 YouTube Can Chemo Destroy Your Teeth But if you have poor oral. during chemotherapy, proper oral hygiene is essential. does chemo affect your teeth? certain types of chemotherapy (e.g., vinca alkaloids) can cause dental neurotoxicity, which typically manifests. These drugs kill cancer cells, but they may also harm normal cells, including cells in the mouth. If you practice good oral hygiene, you have. Can Chemo Destroy Your Teeth.
From dxolywnco.blob.core.windows.net
Can You Get Your Teeth Cleaned While On Chemo at James Lindsley blog Can Chemo Destroy Your Teeth If you practice good oral hygiene, you have less risk to your teeth from chemotherapy. But if you have poor oral. some patients may have sensitive teeth weeks or months after chemotherapy has ended. during chemotherapy, proper oral hygiene is essential. however, chemotherapy can lead to some annoying or worrying side effects for your teeth, especially if. Can Chemo Destroy Your Teeth.
From teethwalls.blogspot.com
What Does Chemotherapy Do To Your Teeth TeethWalls Can Chemo Destroy Your Teeth chemotherapy and radiation therapy can damage healthy cells in the mouth, leading to mouth sores, ulcers, and infections. These drugs kill cancer cells, but they may also harm normal cells, including cells in the mouth. however, chemotherapy can lead to some annoying or worrying side effects for your teeth, especially if you have mouth or throat cancer. Brush. Can Chemo Destroy Your Teeth.
From www.verywellhealth.com
Can Cancer Spread During Chemo? Can Chemo Destroy Your Teeth Brush your teeth at least twice daily with a soft toothbrush and fluoride. during chemotherapy, proper oral hygiene is essential. But if you have poor oral. does chemo affect your teeth? If you practice good oral hygiene, you have less risk to your teeth from chemotherapy. chemotherapy and radiation therapy can damage healthy cells in the mouth,. Can Chemo Destroy Your Teeth.
From www.youtube.com
Chemo Is Making My Teeth Fall Out YouTube Can Chemo Destroy Your Teeth These drugs kill cancer cells, but they may also harm normal cells, including cells in the mouth. during chemotherapy, proper oral hygiene is essential. Brush your teeth at least twice daily with a soft toothbrush and fluoride. chemotherapy and radiation therapy can damage healthy cells in the mouth, leading to mouth sores, ulcers, and infections. certain types. Can Chemo Destroy Your Teeth.
From exoupfyrl.blob.core.windows.net
Teeth Whitening During Chemotherapy at Betty Utsey blog Can Chemo Destroy Your Teeth These drugs kill cancer cells, but they may also harm normal cells, including cells in the mouth. during chemotherapy, proper oral hygiene is essential. chemotherapy is the use of drugs to treat cancer. But if you have poor oral. certain types of chemotherapy (e.g., vinca alkaloids) can cause dental neurotoxicity, which typically manifests. chemotherapy and radiation. Can Chemo Destroy Your Teeth.
From transcenddentalcare.com
Tooth Decay Transcend Dental Care Orlando Dentist Can Chemo Destroy Your Teeth But if you have poor oral. chemotherapy and radiation therapy can damage healthy cells in the mouth, leading to mouth sores, ulcers, and infections. These drugs kill cancer cells, but they may also harm normal cells, including cells in the mouth. during chemotherapy, proper oral hygiene is essential. If you practice good oral hygiene, you have less risk. Can Chemo Destroy Your Teeth.
From www.researchgate.net
(PDF) Chemomechanical caries removal in permanent tooth case report Can Chemo Destroy Your Teeth however, chemotherapy can lead to some annoying or worrying side effects for your teeth, especially if you have mouth or throat cancer. But if you have poor oral. during chemotherapy, proper oral hygiene is essential. These drugs kill cancer cells, but they may also harm normal cells, including cells in the mouth. chemotherapy is the use of. Can Chemo Destroy Your Teeth.
From www.youtube.com
Cancer and Chemo Deteriorated My Teeth And Dental Implants Gave Me My Can Chemo Destroy Your Teeth however, chemotherapy can lead to some annoying or worrying side effects for your teeth, especially if you have mouth or throat cancer. These drugs kill cancer cells, but they may also harm normal cells, including cells in the mouth. during chemotherapy, proper oral hygiene is essential. If you practice good oral hygiene, you have less risk to your. Can Chemo Destroy Your Teeth.
From www.survivornet.com
Even 'Brushing Your Teeth Really Painful' The Dental Side Can Chemo Destroy Your Teeth But if you have poor oral. If you practice good oral hygiene, you have less risk to your teeth from chemotherapy. does chemo affect your teeth? Brush your teeth at least twice daily with a soft toothbrush and fluoride. some patients may have sensitive teeth weeks or months after chemotherapy has ended. certain types of chemotherapy (e.g.,. Can Chemo Destroy Your Teeth.
From www.shalmandentistry.com
Tooth Decay Treatment in Greenwich Village, Lower Manhattan, NY Can Chemo Destroy Your Teeth Brush your teeth at least twice daily with a soft toothbrush and fluoride. If you practice good oral hygiene, you have less risk to your teeth from chemotherapy. does chemo affect your teeth? during chemotherapy, proper oral hygiene is essential. some patients may have sensitive teeth weeks or months after chemotherapy has ended. chemotherapy is the. Can Chemo Destroy Your Teeth.
From ghdentistry.com
Oral Health Care During Chemotherapy and Cancer Treatment Can Chemo Destroy Your Teeth chemotherapy is the use of drugs to treat cancer. chemotherapy and radiation therapy can damage healthy cells in the mouth, leading to mouth sores, ulcers, and infections. does chemo affect your teeth? during chemotherapy, proper oral hygiene is essential. But if you have poor oral. certain types of chemotherapy (e.g., vinca alkaloids) can cause dental. Can Chemo Destroy Your Teeth.
From articleteeth.com
Dental Problems Impact of Chemotherapy and Radiation on Teeth and Gums Can Chemo Destroy Your Teeth If you practice good oral hygiene, you have less risk to your teeth from chemotherapy. But if you have poor oral. some patients may have sensitive teeth weeks or months after chemotherapy has ended. does chemo affect your teeth? These drugs kill cancer cells, but they may also harm normal cells, including cells in the mouth. chemotherapy. Can Chemo Destroy Your Teeth.
From www.survivornet.com
Even 'Brushing Your Teeth Really Painful' The Dental Side Can Chemo Destroy Your Teeth chemotherapy is the use of drugs to treat cancer. Brush your teeth at least twice daily with a soft toothbrush and fluoride. But if you have poor oral. chemotherapy and radiation therapy can damage healthy cells in the mouth, leading to mouth sores, ulcers, and infections. certain types of chemotherapy (e.g., vinca alkaloids) can cause dental neurotoxicity,. Can Chemo Destroy Your Teeth.
From cmlalliance.com
Tooth and Root Damage From Chemotherapy CML Alliance Can Chemo Destroy Your Teeth These drugs kill cancer cells, but they may also harm normal cells, including cells in the mouth. If you practice good oral hygiene, you have less risk to your teeth from chemotherapy. certain types of chemotherapy (e.g., vinca alkaloids) can cause dental neurotoxicity, which typically manifests. some patients may have sensitive teeth weeks or months after chemotherapy has. Can Chemo Destroy Your Teeth.
From www.intechopen.com
The Cancer Patient/Oral Complications of Cancer Therapy and Management Can Chemo Destroy Your Teeth chemotherapy is the use of drugs to treat cancer. however, chemotherapy can lead to some annoying or worrying side effects for your teeth, especially if you have mouth or throat cancer. Brush your teeth at least twice daily with a soft toothbrush and fluoride. If you practice good oral hygiene, you have less risk to your teeth from. Can Chemo Destroy Your Teeth.
From www.canceroralcare.org
Tooth Decay Chemotherapy and Radiation Oral Care Can Chemo Destroy Your Teeth during chemotherapy, proper oral hygiene is essential. does chemo affect your teeth? But if you have poor oral. These drugs kill cancer cells, but they may also harm normal cells, including cells in the mouth. chemotherapy is the use of drugs to treat cancer. certain types of chemotherapy (e.g., vinca alkaloids) can cause dental neurotoxicity, which. Can Chemo Destroy Your Teeth.