Chips In Dental . Learn about the causes of chipped teeth, how to temporarily fix them at home,. A chipped tooth is a common dental injury. md explains dental techniques for repairing a chipped or broken tooth, including bonding, crowns, veneers, and root canals. A tooth with a small chip is straightforward to treat, usually either by polishing or filling it. In most cases, it doesn’t produce significant pain and can be. If you break or chip a tooth, you should rinse your mouth with warm water right away to clean it, according to the american dental association. However, a seriously broken or fractured tooth may have to be extracted. A chipped tooth can be a cosmetic and functional problem. Here's a look at the causes and treatment options for a chipped tooth, along with how much you can expect to pay to repair it. What to do with a chipped tooth.
from www.mywellnessdental.com
A chipped tooth can be a cosmetic and functional problem. What to do with a chipped tooth. Learn about the causes of chipped teeth, how to temporarily fix them at home,. md explains dental techniques for repairing a chipped or broken tooth, including bonding, crowns, veneers, and root canals. Here's a look at the causes and treatment options for a chipped tooth, along with how much you can expect to pay to repair it. In most cases, it doesn’t produce significant pain and can be. A tooth with a small chip is straightforward to treat, usually either by polishing or filling it. A chipped tooth is a common dental injury. However, a seriously broken or fractured tooth may have to be extracted. If you break or chip a tooth, you should rinse your mouth with warm water right away to clean it, according to the american dental association.
Dealing with a Chipped Tooth Causes, Symptoms, and Treatment Options
Chips In Dental A chipped tooth can be a cosmetic and functional problem. What to do with a chipped tooth. If you break or chip a tooth, you should rinse your mouth with warm water right away to clean it, according to the american dental association. A chipped tooth can be a cosmetic and functional problem. However, a seriously broken or fractured tooth may have to be extracted. A chipped tooth is a common dental injury. Learn about the causes of chipped teeth, how to temporarily fix them at home,. A tooth with a small chip is straightforward to treat, usually either by polishing or filling it. md explains dental techniques for repairing a chipped or broken tooth, including bonding, crowns, veneers, and root canals. Here's a look at the causes and treatment options for a chipped tooth, along with how much you can expect to pay to repair it. In most cases, it doesn’t produce significant pain and can be.
From www.fruitafamilydental.com
Fruita Family Dental Chips In Dental A chipped tooth can be a cosmetic and functional problem. Here's a look at the causes and treatment options for a chipped tooth, along with how much you can expect to pay to repair it. What to do with a chipped tooth. md explains dental techniques for repairing a chipped or broken tooth, including bonding, crowns, veneers, and root canals.. Chips In Dental.
From www.mydentalsolutions.net
Dental Blog How to Fix Gaps and Chips in Teeth Dental Solutions Chips In Dental In most cases, it doesn’t produce significant pain and can be. What to do with a chipped tooth. A chipped tooth is a common dental injury. A chipped tooth can be a cosmetic and functional problem. Here's a look at the causes and treatment options for a chipped tooth, along with how much you can expect to pay to repair. Chips In Dental.
From brooklynblvddental.com
Why You Should Not Ignore a Chipped Tooth? Chips In Dental In most cases, it doesn’t produce significant pain and can be. Here's a look at the causes and treatment options for a chipped tooth, along with how much you can expect to pay to repair it. Learn about the causes of chipped teeth, how to temporarily fix them at home,. A chipped tooth is a common dental injury. What to. Chips In Dental.
From sprint-medical.vercel.app
Implantable Microchips Types, Advantages and Disadvantages Sprint Chips In Dental If you break or chip a tooth, you should rinse your mouth with warm water right away to clean it, according to the american dental association. Here's a look at the causes and treatment options for a chipped tooth, along with how much you can expect to pay to repair it. md explains dental techniques for repairing a chipped or. Chips In Dental.
From www.thesuperdentists.com
Toddler Chipped a Tooth? Here's What to Do Chips In Dental A chipped tooth can be a cosmetic and functional problem. In most cases, it doesn’t produce significant pain and can be. What to do with a chipped tooth. A chipped tooth is a common dental injury. However, a seriously broken or fractured tooth may have to be extracted. If you break or chip a tooth, you should rinse your mouth. Chips In Dental.
From kelmscottdental.com.au
Why Do My Teeth Chip So Easily? Kelmscott Dental Chips In Dental Here's a look at the causes and treatment options for a chipped tooth, along with how much you can expect to pay to repair it. md explains dental techniques for repairing a chipped or broken tooth, including bonding, crowns, veneers, and root canals. What to do with a chipped tooth. If you break or chip a tooth, you should rinse. Chips In Dental.
From www.familydentisttree.com
What to Do When You Chip a Tooth Family Dentist Tree Chips In Dental A chipped tooth can be a cosmetic and functional problem. In most cases, it doesn’t produce significant pain and can be. md explains dental techniques for repairing a chipped or broken tooth, including bonding, crowns, veneers, and root canals. If you break or chip a tooth, you should rinse your mouth with warm water right away to clean it, according. Chips In Dental.
From carlingwooddental.com
What Do We Use to Fill the Chips in Your Teeth? Carlingwood Dental Centre Chips In Dental A tooth with a small chip is straightforward to treat, usually either by polishing or filling it. If you break or chip a tooth, you should rinse your mouth with warm water right away to clean it, according to the american dental association. Here's a look at the causes and treatment options for a chipped tooth, along with how much. Chips In Dental.
From www.rwatsondds.com
Chipped Teeth Treatments Austin, TX Cosmetic and Restorative Dentistry Chips In Dental A chipped tooth can be a cosmetic and functional problem. Learn about the causes of chipped teeth, how to temporarily fix them at home,. md explains dental techniques for repairing a chipped or broken tooth, including bonding, crowns, veneers, and root canals. What to do with a chipped tooth. In most cases, it doesn’t produce significant pain and can be.. Chips In Dental.
From www.buckheadgadentist.com
Why Do Those Small Chips Matter? Buckhead Dental Todd C. Davis, DDS Chips In Dental In most cases, it doesn’t produce significant pain and can be. A chipped tooth can be a cosmetic and functional problem. However, a seriously broken or fractured tooth may have to be extracted. If you break or chip a tooth, you should rinse your mouth with warm water right away to clean it, according to the american dental association. Learn. Chips In Dental.
From shawnessydental.com
How Do Dentists Fix a Chipped Tooth? Shawnessy Dental Chips In Dental A chipped tooth can be a cosmetic and functional problem. What to do with a chipped tooth. md explains dental techniques for repairing a chipped or broken tooth, including bonding, crowns, veneers, and root canals. Here's a look at the causes and treatment options for a chipped tooth, along with how much you can expect to pay to repair it.. Chips In Dental.
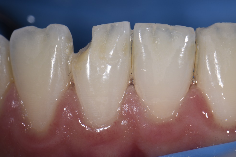
From www.clarencetam.co.nz
Enamel chips in a lower incisor Chips In Dental Learn about the causes of chipped teeth, how to temporarily fix them at home,. Here's a look at the causes and treatment options for a chipped tooth, along with how much you can expect to pay to repair it. md explains dental techniques for repairing a chipped or broken tooth, including bonding, crowns, veneers, and root canals. If you break. Chips In Dental.
From teethposter.blogspot.com
What Does It Mean When Your Teeth Start Chipping Teeth Poster Chips In Dental md explains dental techniques for repairing a chipped or broken tooth, including bonding, crowns, veneers, and root canals. A chipped tooth can be a cosmetic and functional problem. A tooth with a small chip is straightforward to treat, usually either by polishing or filling it. A chipped tooth is a common dental injury. However, a seriously broken or fractured tooth. Chips In Dental.
From drritadental.com
"MY TOOTH CHIPPED! DO I NEED TO FIX IT??" Dr. Rita The Smile Designer Chips In Dental Learn about the causes of chipped teeth, how to temporarily fix them at home,. If you break or chip a tooth, you should rinse your mouth with warm water right away to clean it, according to the american dental association. However, a seriously broken or fractured tooth may have to be extracted. In most cases, it doesn’t produce significant pain. Chips In Dental.
From www.mywellnessdental.com
Dealing with a Chipped Tooth Causes, Symptoms, and Treatment Options Chips In Dental A tooth with a small chip is straightforward to treat, usually either by polishing or filling it. Learn about the causes of chipped teeth, how to temporarily fix them at home,. If you break or chip a tooth, you should rinse your mouth with warm water right away to clean it, according to the american dental association. What to do. Chips In Dental.
From www.southwinddentalcare.com
Memphis Chipped Teeth Cosmetic and Restorative Dentistry Treatments Chips In Dental Learn about the causes of chipped teeth, how to temporarily fix them at home,. If you break or chip a tooth, you should rinse your mouth with warm water right away to clean it, according to the american dental association. md explains dental techniques for repairing a chipped or broken tooth, including bonding, crowns, veneers, and root canals. In most. Chips In Dental.
From www.familyandchildrensdentistry.com
Chipped Teeth Family and Children’s Dentistry Atlanta Chips In Dental Learn about the causes of chipped teeth, how to temporarily fix them at home,. In most cases, it doesn’t produce significant pain and can be. md explains dental techniques for repairing a chipped or broken tooth, including bonding, crowns, veneers, and root canals. However, a seriously broken or fractured tooth may have to be extracted. A chipped tooth can be. Chips In Dental.
From lasrydentalclinic.com
What To Do About Chipped Teeth A Dentist's Honest Answer Chips In Dental md explains dental techniques for repairing a chipped or broken tooth, including bonding, crowns, veneers, and root canals. A chipped tooth can be a cosmetic and functional problem. What to do with a chipped tooth. Here's a look at the causes and treatment options for a chipped tooth, along with how much you can expect to pay to repair it.. Chips In Dental.
From www.pinterest.de
Periochip is a small filmlike chip which gets inserted into the Chips In Dental Here's a look at the causes and treatment options for a chipped tooth, along with how much you can expect to pay to repair it. Learn about the causes of chipped teeth, how to temporarily fix them at home,. In most cases, it doesn’t produce significant pain and can be. If you break or chip a tooth, you should rinse. Chips In Dental.
From www.encinitasranchdentistry.com
How Can I Fix Chips and Gaps in My Teeth? Encinitas CA Dentist Chips In Dental A tooth with a small chip is straightforward to treat, usually either by polishing or filling it. Here's a look at the causes and treatment options for a chipped tooth, along with how much you can expect to pay to repair it. md explains dental techniques for repairing a chipped or broken tooth, including bonding, crowns, veneers, and root canals.. Chips In Dental.
From www.clarencetam.co.nz
Enamel chips in a lower incisor Chips In Dental A tooth with a small chip is straightforward to treat, usually either by polishing or filling it. md explains dental techniques for repairing a chipped or broken tooth, including bonding, crowns, veneers, and root canals. What to do with a chipped tooth. Learn about the causes of chipped teeth, how to temporarily fix them at home,. However, a seriously broken. Chips In Dental.
From www.humbledentist.com
Stained & Chipped Teeth Smile Gallery Humble Dentistry 77338 Chips In Dental What to do with a chipped tooth. A chipped tooth is a common dental injury. md explains dental techniques for repairing a chipped or broken tooth, including bonding, crowns, veneers, and root canals. If you break or chip a tooth, you should rinse your mouth with warm water right away to clean it, according to the american dental association. In. Chips In Dental.
From www.gulchdentalstudio.com
Treating Chipped Teeth with Porcelain Veneers Nashville, TN Chips In Dental A chipped tooth is a common dental injury. A tooth with a small chip is straightforward to treat, usually either by polishing or filling it. Learn about the causes of chipped teeth, how to temporarily fix them at home,. In most cases, it doesn’t produce significant pain and can be. md explains dental techniques for repairing a chipped or broken. Chips In Dental.
From richmonddental.net
ToothonaChip Technology Richmond Dental & Medical Chips In Dental md explains dental techniques for repairing a chipped or broken tooth, including bonding, crowns, veneers, and root canals. A chipped tooth is a common dental injury. In most cases, it doesn’t produce significant pain and can be. What to do with a chipped tooth. If you break or chip a tooth, you should rinse your mouth with warm water right. Chips In Dental.
From lasrydentalclinic.com
What To Do About Chipped Teeth A Dentist's Honest Answer Chips In Dental However, a seriously broken or fractured tooth may have to be extracted. Here's a look at the causes and treatment options for a chipped tooth, along with how much you can expect to pay to repair it. In most cases, it doesn’t produce significant pain and can be. What to do with a chipped tooth. md explains dental techniques for. Chips In Dental.
From www.oakvillefamilydental.com
HELP! I CHIPPED MY TOOTH! A complete guide Oakville Dentist Dentist Chips In Dental A chipped tooth is a common dental injury. md explains dental techniques for repairing a chipped or broken tooth, including bonding, crowns, veneers, and root canals. A chipped tooth can be a cosmetic and functional problem. Here's a look at the causes and treatment options for a chipped tooth, along with how much you can expect to pay to repair. Chips In Dental.
From asapdentist.com
Repairing A Chipped Tooth Chips In Dental A chipped tooth is a common dental injury. A chipped tooth can be a cosmetic and functional problem. Learn about the causes of chipped teeth, how to temporarily fix them at home,. If you break or chip a tooth, you should rinse your mouth with warm water right away to clean it, according to the american dental association. Here's a. Chips In Dental.
From www.clarencetam.co.nz
Enamel chips in a lower incisor Chips In Dental However, a seriously broken or fractured tooth may have to be extracted. A tooth with a small chip is straightforward to treat, usually either by polishing or filling it. A chipped tooth can be a cosmetic and functional problem. If you break or chip a tooth, you should rinse your mouth with warm water right away to clean it, according. Chips In Dental.
From www.youtube.com
Perio Chip for Periodontal Disease Treatment Lake Merritt Dental Chips In Dental md explains dental techniques for repairing a chipped or broken tooth, including bonding, crowns, veneers, and root canals. What to do with a chipped tooth. Here's a look at the causes and treatment options for a chipped tooth, along with how much you can expect to pay to repair it. Learn about the causes of chipped teeth, how to temporarily. Chips In Dental.
From barskydds.com
How to Fix a Chipped or Broken Tooth with Dr. Barsky in Miami Chips In Dental In most cases, it doesn’t produce significant pain and can be. What to do with a chipped tooth. A tooth with a small chip is straightforward to treat, usually either by polishing or filling it. A chipped tooth is a common dental injury. If you break or chip a tooth, you should rinse your mouth with warm water right away. Chips In Dental.
From www.elitedentistry.com
What Do I Do If I Chip A Tooth? Elite Dentistry Chips In Dental A chipped tooth can be a cosmetic and functional problem. Here's a look at the causes and treatment options for a chipped tooth, along with how much you can expect to pay to repair it. md explains dental techniques for repairing a chipped or broken tooth, including bonding, crowns, veneers, and root canals. However, a seriously broken or fractured tooth. Chips In Dental.
From www.dentaltix.com
Dental Chips What are their uses and how they can help improve oral Chips In Dental Learn about the causes of chipped teeth, how to temporarily fix them at home,. A tooth with a small chip is straightforward to treat, usually either by polishing or filling it. Here's a look at the causes and treatment options for a chipped tooth, along with how much you can expect to pay to repair it. If you break or. Chips In Dental.
From letsteady.blogspot.com
How To Fix A Chipped Tooth Dentist Chips In Dental A chipped tooth can be a cosmetic and functional problem. Here's a look at the causes and treatment options for a chipped tooth, along with how much you can expect to pay to repair it. md explains dental techniques for repairing a chipped or broken tooth, including bonding, crowns, veneers, and root canals. Learn about the causes of chipped teeth,. Chips In Dental.
From leibowitzdental.com
Astoria Dentist Looks At What To Do If You Chip A Tooth Astoria, NY Chips In Dental Learn about the causes of chipped teeth, how to temporarily fix them at home,. However, a seriously broken or fractured tooth may have to be extracted. If you break or chip a tooth, you should rinse your mouth with warm water right away to clean it, according to the american dental association. A tooth with a small chip is straightforward. Chips In Dental.
From www.dentaltix.com
Los chips dentales ¿para qué sirven y como pueden ayudar a mejorar la Chips In Dental md explains dental techniques for repairing a chipped or broken tooth, including bonding, crowns, veneers, and root canals. In most cases, it doesn’t produce significant pain and can be. Here's a look at the causes and treatment options for a chipped tooth, along with how much you can expect to pay to repair it. A tooth with a small chip. Chips In Dental.