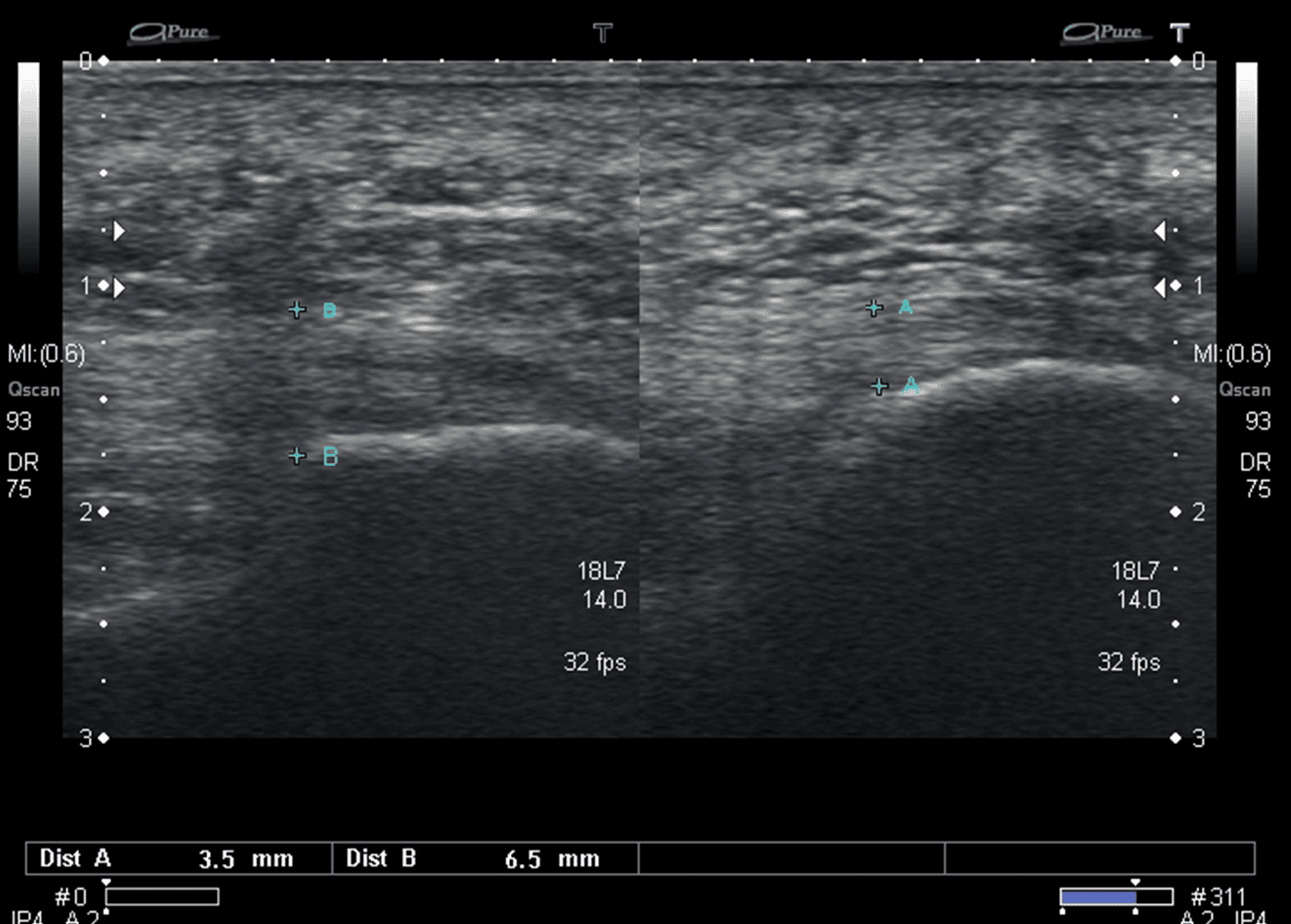
Plantar Fasciitis Ultrasound . Intense therapeutic ultrasound for chronic plantar fasciitis musculoskeletal tissue pain reduction was evaluated in a pivotal clinical trial examining effectiveness, safety, and patient tolerance. Learn how ultrasound technology can treat plantar fasciitis and other soft tissue problems by breaking down the damaged. Diagnosis of plantar fasciitis can be easily verified by ultrasonography with plantar fascia thickness > 4 mm being suggestive of. On ultrasound, plantar fasciitis presents with pf thickening (dashed line, 6.5 mm), a hypoechoic appearance and loss of fibrillar pattern (b).
from store.sonosim.com
On ultrasound, plantar fasciitis presents with pf thickening (dashed line, 6.5 mm), a hypoechoic appearance and loss of fibrillar pattern (b). Intense therapeutic ultrasound for chronic plantar fasciitis musculoskeletal tissue pain reduction was evaluated in a pivotal clinical trial examining effectiveness, safety, and patient tolerance. Diagnosis of plantar fasciitis can be easily verified by ultrasonography with plantar fascia thickness > 4 mm being suggestive of. Learn how ultrasound technology can treat plantar fasciitis and other soft tissue problems by breaking down the damaged.
Plantar Fascia UltrasoundGuided Injections Procedure Module
Plantar Fasciitis Ultrasound Learn how ultrasound technology can treat plantar fasciitis and other soft tissue problems by breaking down the damaged. Intense therapeutic ultrasound for chronic plantar fasciitis musculoskeletal tissue pain reduction was evaluated in a pivotal clinical trial examining effectiveness, safety, and patient tolerance. Learn how ultrasound technology can treat plantar fasciitis and other soft tissue problems by breaking down the damaged. Diagnosis of plantar fasciitis can be easily verified by ultrasonography with plantar fascia thickness > 4 mm being suggestive of. On ultrasound, plantar fasciitis presents with pf thickening (dashed line, 6.5 mm), a hypoechoic appearance and loss of fibrillar pattern (b).
From jtcvietnam.edu.vn
Top more than 135 ultrasound therapy for heel pain super hot Plantar Fasciitis Ultrasound Intense therapeutic ultrasound for chronic plantar fasciitis musculoskeletal tissue pain reduction was evaluated in a pivotal clinical trial examining effectiveness, safety, and patient tolerance. On ultrasound, plantar fasciitis presents with pf thickening (dashed line, 6.5 mm), a hypoechoic appearance and loss of fibrillar pattern (b). Diagnosis of plantar fasciitis can be easily verified by ultrasonography with plantar fascia thickness >. Plantar Fasciitis Ultrasound.
From ankleandfootcentre.com.au
Ultrasound Images of Plantar Fasciitis Ankle, Foot and Orthotic Centre Plantar Fasciitis Ultrasound On ultrasound, plantar fasciitis presents with pf thickening (dashed line, 6.5 mm), a hypoechoic appearance and loss of fibrillar pattern (b). Diagnosis of plantar fasciitis can be easily verified by ultrasonography with plantar fascia thickness > 4 mm being suggestive of. Learn how ultrasound technology can treat plantar fasciitis and other soft tissue problems by breaking down the damaged. Intense. Plantar Fasciitis Ultrasound.
From weldonweldonmullanye0265289.blogspot.com
Ultrasound Treatment For Plantar Fasciitis Hallux rigidus Causes Plantar Fasciitis Ultrasound Intense therapeutic ultrasound for chronic plantar fasciitis musculoskeletal tissue pain reduction was evaluated in a pivotal clinical trial examining effectiveness, safety, and patient tolerance. On ultrasound, plantar fasciitis presents with pf thickening (dashed line, 6.5 mm), a hypoechoic appearance and loss of fibrillar pattern (b). Diagnosis of plantar fasciitis can be easily verified by ultrasonography with plantar fascia thickness >. Plantar Fasciitis Ultrasound.
From www.researchgate.net
Bedside ultrasound of the plantar heel revealed the insertion of Plantar Fasciitis Ultrasound Diagnosis of plantar fasciitis can be easily verified by ultrasonography with plantar fascia thickness > 4 mm being suggestive of. Learn how ultrasound technology can treat plantar fasciitis and other soft tissue problems by breaking down the damaged. On ultrasound, plantar fasciitis presents with pf thickening (dashed line, 6.5 mm), a hypoechoic appearance and loss of fibrillar pattern (b). Intense. Plantar Fasciitis Ultrasound.
From ard.bmj.com
Ultrasound guided injection of recalcitrant plantar fasciitis Annals Plantar Fasciitis Ultrasound Intense therapeutic ultrasound for chronic plantar fasciitis musculoskeletal tissue pain reduction was evaluated in a pivotal clinical trial examining effectiveness, safety, and patient tolerance. Learn how ultrasound technology can treat plantar fasciitis and other soft tissue problems by breaking down the damaged. Diagnosis of plantar fasciitis can be easily verified by ultrasonography with plantar fascia thickness > 4 mm being. Plantar Fasciitis Ultrasound.
From abc7.com
Highfrequency ultrasound being used to treat heel muscle injuries Plantar Fasciitis Ultrasound Learn how ultrasound technology can treat plantar fasciitis and other soft tissue problems by breaking down the damaged. Intense therapeutic ultrasound for chronic plantar fasciitis musculoskeletal tissue pain reduction was evaluated in a pivotal clinical trial examining effectiveness, safety, and patient tolerance. Diagnosis of plantar fasciitis can be easily verified by ultrasonography with plantar fascia thickness > 4 mm being. Plantar Fasciitis Ultrasound.
From atelier-yuwa.ciao.jp
A Novel Closed Technique For Ultrasoundguided Plantar Fascia Release Plantar Fasciitis Ultrasound On ultrasound, plantar fasciitis presents with pf thickening (dashed line, 6.5 mm), a hypoechoic appearance and loss of fibrillar pattern (b). Diagnosis of plantar fasciitis can be easily verified by ultrasonography with plantar fascia thickness > 4 mm being suggestive of. Learn how ultrasound technology can treat plantar fasciitis and other soft tissue problems by breaking down the damaged. Intense. Plantar Fasciitis Ultrasound.
From atelier-yuwa.ciao.jp
Ultrasound Images Of Plantar Fasciitis Ankle, Foot And Orthotic Centre Plantar Fasciitis Ultrasound Learn how ultrasound technology can treat plantar fasciitis and other soft tissue problems by breaking down the damaged. On ultrasound, plantar fasciitis presents with pf thickening (dashed line, 6.5 mm), a hypoechoic appearance and loss of fibrillar pattern (b). Diagnosis of plantar fasciitis can be easily verified by ultrasonography with plantar fascia thickness > 4 mm being suggestive of. Intense. Plantar Fasciitis Ultrasound.
From ankleandfootcentre.com.au
Ultrasound Images of Plantar Fasciitis Ankle, Foot and Orthotic Centre Plantar Fasciitis Ultrasound Learn how ultrasound technology can treat plantar fasciitis and other soft tissue problems by breaking down the damaged. Intense therapeutic ultrasound for chronic plantar fasciitis musculoskeletal tissue pain reduction was evaluated in a pivotal clinical trial examining effectiveness, safety, and patient tolerance. On ultrasound, plantar fasciitis presents with pf thickening (dashed line, 6.5 mm), a hypoechoic appearance and loss of. Plantar Fasciitis Ultrasound.
From ankleandfootcentre.com.au
Ultrasound Images of Plantar Fasciitis Ankle, Foot and Orthotic Centre Plantar Fasciitis Ultrasound Learn how ultrasound technology can treat plantar fasciitis and other soft tissue problems by breaking down the damaged. Diagnosis of plantar fasciitis can be easily verified by ultrasonography with plantar fascia thickness > 4 mm being suggestive of. Intense therapeutic ultrasound for chronic plantar fasciitis musculoskeletal tissue pain reduction was evaluated in a pivotal clinical trial examining effectiveness, safety, and. Plantar Fasciitis Ultrasound.
From www.footankleinstitute.com
Intense Ultrasound proven effective for chronic plantar fasciitis (study) Plantar Fasciitis Ultrasound Diagnosis of plantar fasciitis can be easily verified by ultrasonography with plantar fascia thickness > 4 mm being suggestive of. Intense therapeutic ultrasound for chronic plantar fasciitis musculoskeletal tissue pain reduction was evaluated in a pivotal clinical trial examining effectiveness, safety, and patient tolerance. Learn how ultrasound technology can treat plantar fasciitis and other soft tissue problems by breaking down. Plantar Fasciitis Ultrasound.
From www.facebook.com
Facebook Plantar Fasciitis Ultrasound On ultrasound, plantar fasciitis presents with pf thickening (dashed line, 6.5 mm), a hypoechoic appearance and loss of fibrillar pattern (b). Diagnosis of plantar fasciitis can be easily verified by ultrasonography with plantar fascia thickness > 4 mm being suggestive of. Intense therapeutic ultrasound for chronic plantar fasciitis musculoskeletal tissue pain reduction was evaluated in a pivotal clinical trial examining. Plantar Fasciitis Ultrasound.
From store.sonosim.com
Plantar Fascia UltrasoundGuided Injections Procedure Module Plantar Fasciitis Ultrasound Learn how ultrasound technology can treat plantar fasciitis and other soft tissue problems by breaking down the damaged. On ultrasound, plantar fasciitis presents with pf thickening (dashed line, 6.5 mm), a hypoechoic appearance and loss of fibrillar pattern (b). Intense therapeutic ultrasound for chronic plantar fasciitis musculoskeletal tissue pain reduction was evaluated in a pivotal clinical trial examining effectiveness, safety,. Plantar Fasciitis Ultrasound.
From www.scirp.org
UltrasoundGuided Plantar Fascia Release with Needle A Novel Surgical Plantar Fasciitis Ultrasound Intense therapeutic ultrasound for chronic plantar fasciitis musculoskeletal tissue pain reduction was evaluated in a pivotal clinical trial examining effectiveness, safety, and patient tolerance. Diagnosis of plantar fasciitis can be easily verified by ultrasonography with plantar fascia thickness > 4 mm being suggestive of. Learn how ultrasound technology can treat plantar fasciitis and other soft tissue problems by breaking down. Plantar Fasciitis Ultrasound.
From www.jfas.org
Intense Therapeutic Ultrasound for Treatment of Chronic Plantar Plantar Fasciitis Ultrasound On ultrasound, plantar fasciitis presents with pf thickening (dashed line, 6.5 mm), a hypoechoic appearance and loss of fibrillar pattern (b). Intense therapeutic ultrasound for chronic plantar fasciitis musculoskeletal tissue pain reduction was evaluated in a pivotal clinical trial examining effectiveness, safety, and patient tolerance. Learn how ultrasound technology can treat plantar fasciitis and other soft tissue problems by breaking. Plantar Fasciitis Ultrasound.
From www.youtube.com
Plantar Fasciitis Ultrasound YouTube Plantar Fasciitis Ultrasound Learn how ultrasound technology can treat plantar fasciitis and other soft tissue problems by breaking down the damaged. Intense therapeutic ultrasound for chronic plantar fasciitis musculoskeletal tissue pain reduction was evaluated in a pivotal clinical trial examining effectiveness, safety, and patient tolerance. On ultrasound, plantar fasciitis presents with pf thickening (dashed line, 6.5 mm), a hypoechoic appearance and loss of. Plantar Fasciitis Ultrasound.
From www.sussexfootcentre.co.uk
Plantar Fasciitis Ultrasound Sussex Foot Centre Plantar Fasciitis Ultrasound Learn how ultrasound technology can treat plantar fasciitis and other soft tissue problems by breaking down the damaged. Diagnosis of plantar fasciitis can be easily verified by ultrasonography with plantar fascia thickness > 4 mm being suggestive of. Intense therapeutic ultrasound for chronic plantar fasciitis musculoskeletal tissue pain reduction was evaluated in a pivotal clinical trial examining effectiveness, safety, and. Plantar Fasciitis Ultrasound.
From atelier-yuwa.ciao.jp
Sensors Free FullText Ultrasonography Features Of The Plantar Fascia Plantar Fasciitis Ultrasound Diagnosis of plantar fasciitis can be easily verified by ultrasonography with plantar fascia thickness > 4 mm being suggestive of. On ultrasound, plantar fasciitis presents with pf thickening (dashed line, 6.5 mm), a hypoechoic appearance and loss of fibrillar pattern (b). Intense therapeutic ultrasound for chronic plantar fasciitis musculoskeletal tissue pain reduction was evaluated in a pivotal clinical trial examining. Plantar Fasciitis Ultrasound.
From www.mdpi.com
Rheumato Free FullText Chronic Plantar Fasciitis Treatment A Plantar Fasciitis Ultrasound Diagnosis of plantar fasciitis can be easily verified by ultrasonography with plantar fascia thickness > 4 mm being suggestive of. On ultrasound, plantar fasciitis presents with pf thickening (dashed line, 6.5 mm), a hypoechoic appearance and loss of fibrillar pattern (b). Learn how ultrasound technology can treat plantar fasciitis and other soft tissue problems by breaking down the damaged. Intense. Plantar Fasciitis Ultrasound.
From www.mdpi.com
Sensors Free FullText Ultrasonography Features of the Plantar Plantar Fasciitis Ultrasound On ultrasound, plantar fasciitis presents with pf thickening (dashed line, 6.5 mm), a hypoechoic appearance and loss of fibrillar pattern (b). Intense therapeutic ultrasound for chronic plantar fasciitis musculoskeletal tissue pain reduction was evaluated in a pivotal clinical trial examining effectiveness, safety, and patient tolerance. Learn how ultrasound technology can treat plantar fasciitis and other soft tissue problems by breaking. Plantar Fasciitis Ultrasound.
From www.semanticscholar.org
Figure 1 from UltrasoundGuided Hydrodissection for Baxter's Neuropathy Plantar Fasciitis Ultrasound Learn how ultrasound technology can treat plantar fasciitis and other soft tissue problems by breaking down the damaged. Diagnosis of plantar fasciitis can be easily verified by ultrasonography with plantar fascia thickness > 4 mm being suggestive of. On ultrasound, plantar fasciitis presents with pf thickening (dashed line, 6.5 mm), a hypoechoic appearance and loss of fibrillar pattern (b). Intense. Plantar Fasciitis Ultrasound.
From ankleandfootcentre.com.au
Ultrasound Images of Plantar Fasciitis Ankle, Foot and Orthotic Centre Plantar Fasciitis Ultrasound Learn how ultrasound technology can treat plantar fasciitis and other soft tissue problems by breaking down the damaged. Intense therapeutic ultrasound for chronic plantar fasciitis musculoskeletal tissue pain reduction was evaluated in a pivotal clinical trial examining effectiveness, safety, and patient tolerance. On ultrasound, plantar fasciitis presents with pf thickening (dashed line, 6.5 mm), a hypoechoic appearance and loss of. Plantar Fasciitis Ultrasound.
From www.mdpi.com
JCM Free FullText Shear Wave Elastography of the Plantar Fascia Plantar Fasciitis Ultrasound Intense therapeutic ultrasound for chronic plantar fasciitis musculoskeletal tissue pain reduction was evaluated in a pivotal clinical trial examining effectiveness, safety, and patient tolerance. Diagnosis of plantar fasciitis can be easily verified by ultrasonography with plantar fascia thickness > 4 mm being suggestive of. Learn how ultrasound technology can treat plantar fasciitis and other soft tissue problems by breaking down. Plantar Fasciitis Ultrasound.
From www.mdpi.com
Sensors Free FullText Ultrasonography Features of the Plantar Plantar Fasciitis Ultrasound Intense therapeutic ultrasound for chronic plantar fasciitis musculoskeletal tissue pain reduction was evaluated in a pivotal clinical trial examining effectiveness, safety, and patient tolerance. Learn how ultrasound technology can treat plantar fasciitis and other soft tissue problems by breaking down the damaged. On ultrasound, plantar fasciitis presents with pf thickening (dashed line, 6.5 mm), a hypoechoic appearance and loss of. Plantar Fasciitis Ultrasound.
From www.mdpi.com
Diagnostics Free FullText Features of Extrinsic Plantar Muscles in Plantar Fasciitis Ultrasound Intense therapeutic ultrasound for chronic plantar fasciitis musculoskeletal tissue pain reduction was evaluated in a pivotal clinical trial examining effectiveness, safety, and patient tolerance. On ultrasound, plantar fasciitis presents with pf thickening (dashed line, 6.5 mm), a hypoechoic appearance and loss of fibrillar pattern (b). Diagnosis of plantar fasciitis can be easily verified by ultrasonography with plantar fascia thickness >. Plantar Fasciitis Ultrasound.
From www.scirp.org
UltrasoundGuided Plantar Fascia Release with Needle A Novel Surgical Plantar Fasciitis Ultrasound Learn how ultrasound technology can treat plantar fasciitis and other soft tissue problems by breaking down the damaged. Intense therapeutic ultrasound for chronic plantar fasciitis musculoskeletal tissue pain reduction was evaluated in a pivotal clinical trial examining effectiveness, safety, and patient tolerance. On ultrasound, plantar fasciitis presents with pf thickening (dashed line, 6.5 mm), a hypoechoic appearance and loss of. Plantar Fasciitis Ultrasound.
From mavink.com
Normal Plantar Fascia Thickness Ultrasound Plantar Fasciitis Ultrasound Diagnosis of plantar fasciitis can be easily verified by ultrasonography with plantar fascia thickness > 4 mm being suggestive of. On ultrasound, plantar fasciitis presents with pf thickening (dashed line, 6.5 mm), a hypoechoic appearance and loss of fibrillar pattern (b). Learn how ultrasound technology can treat plantar fasciitis and other soft tissue problems by breaking down the damaged. Intense. Plantar Fasciitis Ultrasound.
From journals.sagepub.com
LongTerm Prognosis of Plantar Fasciitis A 5 to 15Year Followup Plantar Fasciitis Ultrasound Learn how ultrasound technology can treat plantar fasciitis and other soft tissue problems by breaking down the damaged. Intense therapeutic ultrasound for chronic plantar fasciitis musculoskeletal tissue pain reduction was evaluated in a pivotal clinical trial examining effectiveness, safety, and patient tolerance. On ultrasound, plantar fasciitis presents with pf thickening (dashed line, 6.5 mm), a hypoechoic appearance and loss of. Plantar Fasciitis Ultrasound.
From www.semanticscholar.org
Hyperemia in plantar fasciitis determined by power Doppler ultrasound Plantar Fasciitis Ultrasound Learn how ultrasound technology can treat plantar fasciitis and other soft tissue problems by breaking down the damaged. Intense therapeutic ultrasound for chronic plantar fasciitis musculoskeletal tissue pain reduction was evaluated in a pivotal clinical trial examining effectiveness, safety, and patient tolerance. On ultrasound, plantar fasciitis presents with pf thickening (dashed line, 6.5 mm), a hypoechoic appearance and loss of. Plantar Fasciitis Ultrasound.
From www.melbourneradiology.com.au
Plantar Fasciitis Diagnostic Imaging Melbourne Radiology Plantar Fasciitis Ultrasound Intense therapeutic ultrasound for chronic plantar fasciitis musculoskeletal tissue pain reduction was evaluated in a pivotal clinical trial examining effectiveness, safety, and patient tolerance. Learn how ultrasound technology can treat plantar fasciitis and other soft tissue problems by breaking down the damaged. Diagnosis of plantar fasciitis can be easily verified by ultrasonography with plantar fascia thickness > 4 mm being. Plantar Fasciitis Ultrasound.
From es.thdonghoadian.edu.vn
Top 140+ ultrasound treatment for heel pain latest esthdonghoadian Plantar Fasciitis Ultrasound On ultrasound, plantar fasciitis presents with pf thickening (dashed line, 6.5 mm), a hypoechoic appearance and loss of fibrillar pattern (b). Intense therapeutic ultrasound for chronic plantar fasciitis musculoskeletal tissue pain reduction was evaluated in a pivotal clinical trial examining effectiveness, safety, and patient tolerance. Learn how ultrasound technology can treat plantar fasciitis and other soft tissue problems by breaking. Plantar Fasciitis Ultrasound.
From www.vrogue.co
Pdf Ultrasound Guided Injection Of Plantar Fasciitis vrogue.co Plantar Fasciitis Ultrasound Learn how ultrasound technology can treat plantar fasciitis and other soft tissue problems by breaking down the damaged. On ultrasound, plantar fasciitis presents with pf thickening (dashed line, 6.5 mm), a hypoechoic appearance and loss of fibrillar pattern (b). Intense therapeutic ultrasound for chronic plantar fasciitis musculoskeletal tissue pain reduction was evaluated in a pivotal clinical trial examining effectiveness, safety,. Plantar Fasciitis Ultrasound.
From www.youtube.com
Ultrasound of Plantar fasciitis, by YouTube Plantar Fasciitis Ultrasound Intense therapeutic ultrasound for chronic plantar fasciitis musculoskeletal tissue pain reduction was evaluated in a pivotal clinical trial examining effectiveness, safety, and patient tolerance. On ultrasound, plantar fasciitis presents with pf thickening (dashed line, 6.5 mm), a hypoechoic appearance and loss of fibrillar pattern (b). Diagnosis of plantar fasciitis can be easily verified by ultrasonography with plantar fascia thickness >. Plantar Fasciitis Ultrasound.
From blog.naver.com
족저근막염 네이버 블로그 Plantar Fasciitis Ultrasound On ultrasound, plantar fasciitis presents with pf thickening (dashed line, 6.5 mm), a hypoechoic appearance and loss of fibrillar pattern (b). Intense therapeutic ultrasound for chronic plantar fasciitis musculoskeletal tissue pain reduction was evaluated in a pivotal clinical trial examining effectiveness, safety, and patient tolerance. Learn how ultrasound technology can treat plantar fasciitis and other soft tissue problems by breaking. Plantar Fasciitis Ultrasound.
From www.vrogue.co
Plantar Fasciitis Ultrasound Sussex Foot Centre vrogue.co Plantar Fasciitis Ultrasound Diagnosis of plantar fasciitis can be easily verified by ultrasonography with plantar fascia thickness > 4 mm being suggestive of. On ultrasound, plantar fasciitis presents with pf thickening (dashed line, 6.5 mm), a hypoechoic appearance and loss of fibrillar pattern (b). Intense therapeutic ultrasound for chronic plantar fasciitis musculoskeletal tissue pain reduction was evaluated in a pivotal clinical trial examining. Plantar Fasciitis Ultrasound.