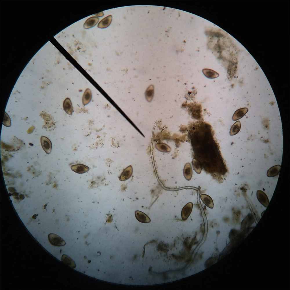
Bearded Dragon Parasite Test Kit . You would need all those parts, including a microscope. But don't fret, identifying and treating them isn't as scary as it sounds. at wormcount.com we regularly undertake parasite tests for tortoises, bearded dragons, snakes, geckos, iguanas and chameleons. with all that in mind, there isn't a kit to test at home. Put on your vinyl gloves. parasites in bearded dragons can be a real party pooper, literally! here is the guidelines for doing fecal tests for parasites. The vet will ask you to collect a fecal sample, and then he or she will test it for the. the only way to confirm a parasite infestation is via stool testing. email pals and ask for a faeces test kit for reptiles to be sent out to you. parasite testing and worm count of reptiles by veterinary professionals. This is the float method. Stick around as we navigate this bumpy ride together, uncovering signs, causes, and treatments. There website is very confusing so i.
from discover.hubpages.com
There website is very confusing so i. You would need all those parts, including a microscope. parasite testing and worm count of reptiles by veterinary professionals. the only way to confirm a parasite infestation is via stool testing. Stick around as we navigate this bumpy ride together, uncovering signs, causes, and treatments. But don't fret, identifying and treating them isn't as scary as it sounds. The vet will ask you to collect a fecal sample, and then he or she will test it for the. at wormcount.com we regularly undertake parasite tests for tortoises, bearded dragons, snakes, geckos, iguanas and chameleons. This is the float method. parasites in bearded dragons can be a real party pooper, literally!
Bearded Dragon Parasites and Adenovirus HubPages
Bearded Dragon Parasite Test Kit But don't fret, identifying and treating them isn't as scary as it sounds. at wormcount.com we regularly undertake parasite tests for tortoises, bearded dragons, snakes, geckos, iguanas and chameleons. There website is very confusing so i. with all that in mind, there isn't a kit to test at home. email pals and ask for a faeces test kit for reptiles to be sent out to you. the only way to confirm a parasite infestation is via stool testing. You would need all those parts, including a microscope. This is the float method. parasite testing and worm count of reptiles by veterinary professionals. But don't fret, identifying and treating them isn't as scary as it sounds. parasites in bearded dragons can be a real party pooper, literally! Put on your vinyl gloves. The vet will ask you to collect a fecal sample, and then he or she will test it for the. Stick around as we navigate this bumpy ride together, uncovering signs, causes, and treatments. here is the guidelines for doing fecal tests for parasites.
From www.reddit.com
dose my bearded dragon have a stomach parasite r/BeardedDragonHelp Bearded Dragon Parasite Test Kit You would need all those parts, including a microscope. There website is very confusing so i. Stick around as we navigate this bumpy ride together, uncovering signs, causes, and treatments. the only way to confirm a parasite infestation is via stool testing. at wormcount.com we regularly undertake parasite tests for tortoises, bearded dragons, snakes, geckos, iguanas and chameleons.. Bearded Dragon Parasite Test Kit.
From petshun.com
Combatting Parasites In Bearded Dragons The Ultimate Guide To Bearded Dragon Parasite Test Kit Put on your vinyl gloves. at wormcount.com we regularly undertake parasite tests for tortoises, bearded dragons, snakes, geckos, iguanas and chameleons. The vet will ask you to collect a fecal sample, and then he or she will test it for the. here is the guidelines for doing fecal tests for parasites. This is the float method. with. Bearded Dragon Parasite Test Kit.
From www.discoverynatures.com
How Bearded Dragons Get Parasites Understanding the Causes and Prevention Bearded Dragon Parasite Test Kit here is the guidelines for doing fecal tests for parasites. But don't fret, identifying and treating them isn't as scary as it sounds. at wormcount.com we regularly undertake parasite tests for tortoises, bearded dragons, snakes, geckos, iguanas and chameleons. You would need all those parts, including a microscope. parasites in bearded dragons can be a real party. Bearded Dragon Parasite Test Kit.
From coolhd.org
How to Recognize and Treat Bearded Dragon Parasites Bearded Dragon Parasite Test Kit at wormcount.com we regularly undertake parasite tests for tortoises, bearded dragons, snakes, geckos, iguanas and chameleons. This is the float method. the only way to confirm a parasite infestation is via stool testing. Stick around as we navigate this bumpy ride together, uncovering signs, causes, and treatments. The vet will ask you to collect a fecal sample, and. Bearded Dragon Parasite Test Kit.
From www.beardeddragon.org
Baby Bearded Dragon Parasites Subcutaneous fluids help? Beardie ER Bearded Dragon Parasite Test Kit parasites in bearded dragons can be a real party pooper, literally! parasite testing and worm count of reptiles by veterinary professionals. Put on your vinyl gloves. But don't fret, identifying and treating them isn't as scary as it sounds. with all that in mind, there isn't a kit to test at home. There website is very confusing. Bearded Dragon Parasite Test Kit.
From discover.hubpages.com
Bearded Dragon Parasites and Adenovirus HubPages Bearded Dragon Parasite Test Kit email pals and ask for a faeces test kit for reptiles to be sent out to you. This is the float method. the only way to confirm a parasite infestation is via stool testing. The vet will ask you to collect a fecal sample, and then he or she will test it for the. parasites in bearded. Bearded Dragon Parasite Test Kit.
From reptilecraze.com
How Long Can Bearded Dragons Live With Parasites? Reptile Craze Bearded Dragon Parasite Test Kit There website is very confusing so i. This is the float method. email pals and ask for a faeces test kit for reptiles to be sent out to you. with all that in mind, there isn't a kit to test at home. Put on your vinyl gloves. But don't fret, identifying and treating them isn't as scary as. Bearded Dragon Parasite Test Kit.
From www.iadoreanimals.com
5 Common Parasites in Bearded Dragons Health & Care iAdoreAnimals Bearded Dragon Parasite Test Kit here is the guidelines for doing fecal tests for parasites. email pals and ask for a faeces test kit for reptiles to be sent out to you. But don't fret, identifying and treating them isn't as scary as it sounds. You would need all those parts, including a microscope. Stick around as we navigate this bumpy ride together,. Bearded Dragon Parasite Test Kit.
From tatnuckpetsupply.com
Managing Bearded Dragon Parasites How Treat Them at Home Bearded Dragon Parasite Test Kit at wormcount.com we regularly undertake parasite tests for tortoises, bearded dragons, snakes, geckos, iguanas and chameleons. here is the guidelines for doing fecal tests for parasites. Stick around as we navigate this bumpy ride together, uncovering signs, causes, and treatments. There website is very confusing so i. the only way to confirm a parasite infestation is via. Bearded Dragon Parasite Test Kit.
From www.youtube.com
Bearded dragon parasites (things you need to know) YouTube Bearded Dragon Parasite Test Kit parasite testing and worm count of reptiles by veterinary professionals. at wormcount.com we regularly undertake parasite tests for tortoises, bearded dragons, snakes, geckos, iguanas and chameleons. parasites in bearded dragons can be a real party pooper, literally! Stick around as we navigate this bumpy ride together, uncovering signs, causes, and treatments. There website is very confusing so. Bearded Dragon Parasite Test Kit.
From mypetreptiles.com
How to deal with your Bearded Dragon Parasites Bearded Dragon Parasite Test Kit There website is very confusing so i. This is the float method. at wormcount.com we regularly undertake parasite tests for tortoises, bearded dragons, snakes, geckos, iguanas and chameleons. here is the guidelines for doing fecal tests for parasites. You would need all those parts, including a microscope. The vet will ask you to collect a fecal sample, and. Bearded Dragon Parasite Test Kit.
From coolhd.org
How to Recognize and Treat Bearded Dragon Parasites Bearded Dragon Parasite Test Kit parasites in bearded dragons can be a real party pooper, literally! email pals and ask for a faeces test kit for reptiles to be sent out to you. Stick around as we navigate this bumpy ride together, uncovering signs, causes, and treatments. the only way to confirm a parasite infestation is via stool testing. You would need. Bearded Dragon Parasite Test Kit.
From onlinebeardeddragoncare.com
How To Tell If Bearded Dragon Has Parasites Bearded Dragon Parasite Test Kit You would need all those parts, including a microscope. at wormcount.com we regularly undertake parasite tests for tortoises, bearded dragons, snakes, geckos, iguanas and chameleons. here is the guidelines for doing fecal tests for parasites. Put on your vinyl gloves. There website is very confusing so i. Stick around as we navigate this bumpy ride together, uncovering signs,. Bearded Dragon Parasite Test Kit.
From petshun.com
Bearded Dragon Parasite Treatment Cost Analysis PetShun Bearded Dragon Parasite Test Kit There website is very confusing so i. Put on your vinyl gloves. You would need all those parts, including a microscope. parasites in bearded dragons can be a real party pooper, literally! here is the guidelines for doing fecal tests for parasites. email pals and ask for a faeces test kit for reptiles to be sent out. Bearded Dragon Parasite Test Kit.
From hubpages.com
Bearded Dragon Parasites and Adenovirus HubPages Bearded Dragon Parasite Test Kit the only way to confirm a parasite infestation is via stool testing. with all that in mind, there isn't a kit to test at home. parasite testing and worm count of reptiles by veterinary professionals. here is the guidelines for doing fecal tests for parasites. There website is very confusing so i. Put on your vinyl. Bearded Dragon Parasite Test Kit.
From mypetcarejoy.com
How To Get Rid Of Parasites In Bearded Dragons? MyPetCareJoy Bearded Dragon Parasite Test Kit There website is very confusing so i. Stick around as we navigate this bumpy ride together, uncovering signs, causes, and treatments. Put on your vinyl gloves. the only way to confirm a parasite infestation is via stool testing. parasite testing and worm count of reptiles by veterinary professionals. here is the guidelines for doing fecal tests for. Bearded Dragon Parasite Test Kit.
From petshun.com
Understanding Pinworm Parasites In Bearded Dragons Symptoms, Treatment Bearded Dragon Parasite Test Kit Put on your vinyl gloves. This is the float method. But don't fret, identifying and treating them isn't as scary as it sounds. here is the guidelines for doing fecal tests for parasites. The vet will ask you to collect a fecal sample, and then he or she will test it for the. You would need all those parts,. Bearded Dragon Parasite Test Kit.
From www.youtube.com
How To DEWORM Your BEARDED DRAGON All REPTILES lizards YouTube Bearded Dragon Parasite Test Kit email pals and ask for a faeces test kit for reptiles to be sent out to you. You would need all those parts, including a microscope. with all that in mind, there isn't a kit to test at home. the only way to confirm a parasite infestation is via stool testing. There website is very confusing so. Bearded Dragon Parasite Test Kit.
From reptile.guide
Bearded Dragon Dewormer How to Administer (With Dosages) Bearded Dragon Parasite Test Kit The vet will ask you to collect a fecal sample, and then he or she will test it for the. parasite testing and worm count of reptiles by veterinary professionals. There website is very confusing so i. parasites in bearded dragons can be a real party pooper, literally! Stick around as we navigate this bumpy ride together, uncovering. Bearded Dragon Parasite Test Kit.
From beardeddragons.fandom.com
Parasites Bearded Dragons Wiki Fandom Bearded Dragon Parasite Test Kit here is the guidelines for doing fecal tests for parasites. with all that in mind, there isn't a kit to test at home. at wormcount.com we regularly undertake parasite tests for tortoises, bearded dragons, snakes, geckos, iguanas and chameleons. Stick around as we navigate this bumpy ride together, uncovering signs, causes, and treatments. the only way. Bearded Dragon Parasite Test Kit.
From www.discoverynatures.com
How Bearded Dragons Get Parasites Understanding the Causes and Prevention Bearded Dragon Parasite Test Kit There website is very confusing so i. here is the guidelines for doing fecal tests for parasites. The vet will ask you to collect a fecal sample, and then he or she will test it for the. This is the float method. parasite testing and worm count of reptiles by veterinary professionals. the only way to confirm. Bearded Dragon Parasite Test Kit.
From reptifiles.com
Intestinal Parasites ReptiFiles® Bearded Dragon Parasite Test Kit But don't fret, identifying and treating them isn't as scary as it sounds. parasite testing and worm count of reptiles by veterinary professionals. here is the guidelines for doing fecal tests for parasites. This is the float method. Put on your vinyl gloves. The vet will ask you to collect a fecal sample, and then he or she. Bearded Dragon Parasite Test Kit.
From petshun.com
Parasite Prevention And Treatment For Bearded Dragons PetShun Bearded Dragon Parasite Test Kit You would need all those parts, including a microscope. But don't fret, identifying and treating them isn't as scary as it sounds. the only way to confirm a parasite infestation is via stool testing. There website is very confusing so i. Stick around as we navigate this bumpy ride together, uncovering signs, causes, and treatments. Put on your vinyl. Bearded Dragon Parasite Test Kit.
From wisereptile.com
8 Bearded Dragon Parasite Symptoms and How to Treat at Home? Bearded Dragon Parasite Test Kit here is the guidelines for doing fecal tests for parasites. There website is very confusing so i. But don't fret, identifying and treating them isn't as scary as it sounds. Stick around as we navigate this bumpy ride together, uncovering signs, causes, and treatments. parasite testing and worm count of reptiles by veterinary professionals. the only way. Bearded Dragon Parasite Test Kit.
From coolhd.org
How to Recognize and Treat Bearded Dragon Parasites Bearded Dragon Parasite Test Kit at wormcount.com we regularly undertake parasite tests for tortoises, bearded dragons, snakes, geckos, iguanas and chameleons. But don't fret, identifying and treating them isn't as scary as it sounds. The vet will ask you to collect a fecal sample, and then he or she will test it for the. email pals and ask for a faeces test kit. Bearded Dragon Parasite Test Kit.
From discover.hubpages.com
Bearded Dragon Parasites and Adenovirus HubPages Bearded Dragon Parasite Test Kit This is the float method. You would need all those parts, including a microscope. the only way to confirm a parasite infestation is via stool testing. The vet will ask you to collect a fecal sample, and then he or she will test it for the. parasite testing and worm count of reptiles by veterinary professionals. Put on. Bearded Dragon Parasite Test Kit.
From reptilecraze.com
How Long Can Bearded Dragons Live With Parasites? Reptile Craze Bearded Dragon Parasite Test Kit There website is very confusing so i. here is the guidelines for doing fecal tests for parasites. at wormcount.com we regularly undertake parasite tests for tortoises, bearded dragons, snakes, geckos, iguanas and chameleons. You would need all those parts, including a microscope. Stick around as we navigate this bumpy ride together, uncovering signs, causes, and treatments. parasites. Bearded Dragon Parasite Test Kit.
From www.snaketracks.com
Bearded Dragon Parasites (Diagnosis & Treatment) Bearded Dragon Parasite Test Kit with all that in mind, there isn't a kit to test at home. The vet will ask you to collect a fecal sample, and then he or she will test it for the. parasites in bearded dragons can be a real party pooper, literally! There website is very confusing so i. email pals and ask for a. Bearded Dragon Parasite Test Kit.
From www.youtube.com
Bearded Dragon Care Parasites & Deworming YouTube Bearded Dragon Parasite Test Kit This is the float method. parasite testing and worm count of reptiles by veterinary professionals. with all that in mind, there isn't a kit to test at home. the only way to confirm a parasite infestation is via stool testing. email pals and ask for a faeces test kit for reptiles to be sent out to. Bearded Dragon Parasite Test Kit.
From www.beardeddragon.org
Can bearded dragons survive after parasite treatment? Beardie ER Bearded Dragon Parasite Test Kit But don't fret, identifying and treating them isn't as scary as it sounds. parasites in bearded dragons can be a real party pooper, literally! Stick around as we navigate this bumpy ride together, uncovering signs, causes, and treatments. the only way to confirm a parasite infestation is via stool testing. email pals and ask for a faeces. Bearded Dragon Parasite Test Kit.
From www.discoverynatures.com
How Bearded Dragons Get Parasites Understanding the Causes and Prevention Bearded Dragon Parasite Test Kit the only way to confirm a parasite infestation is via stool testing. email pals and ask for a faeces test kit for reptiles to be sent out to you. here is the guidelines for doing fecal tests for parasites. But don't fret, identifying and treating them isn't as scary as it sounds. parasites in bearded dragons. Bearded Dragon Parasite Test Kit.
From www.beardeddragon.org
Does my bearded dragon have parasites? Dealing with Infectious Diseases Bearded Dragon Parasite Test Kit email pals and ask for a faeces test kit for reptiles to be sent out to you. the only way to confirm a parasite infestation is via stool testing. You would need all those parts, including a microscope. There website is very confusing so i. But don't fret, identifying and treating them isn't as scary as it sounds.. Bearded Dragon Parasite Test Kit.
From petshun.com
Understanding And Treating Parasites In Bearded Dragons A Bearded Dragon Parasite Test Kit Put on your vinyl gloves. here is the guidelines for doing fecal tests for parasites. the only way to confirm a parasite infestation is via stool testing. This is the float method. email pals and ask for a faeces test kit for reptiles to be sent out to you. The vet will ask you to collect a. Bearded Dragon Parasite Test Kit.
From www.discoverynatures.com
How Bearded Dragons Get Parasites Understanding the Causes and Prevention Bearded Dragon Parasite Test Kit You would need all those parts, including a microscope. email pals and ask for a faeces test kit for reptiles to be sent out to you. parasite testing and worm count of reptiles by veterinary professionals. the only way to confirm a parasite infestation is via stool testing. at wormcount.com we regularly undertake parasite tests for. Bearded Dragon Parasite Test Kit.
From reptilecraze.com
How Long Can Bearded Dragons Live With Parasites? Reptile Craze Bearded Dragon Parasite Test Kit with all that in mind, there isn't a kit to test at home. This is the float method. You would need all those parts, including a microscope. at wormcount.com we regularly undertake parasite tests for tortoises, bearded dragons, snakes, geckos, iguanas and chameleons. the only way to confirm a parasite infestation is via stool testing. Put on. Bearded Dragon Parasite Test Kit.