Bucket Handle Meniscus Tear Aaos . Tears are noted by how they look, as. This supplementary material provides additional information about the clinical practice guideline for the management of acute isolated meniscal. The meniscus can tear from acute trauma or as the result of degenerative changes that happen over time. See sagittal and coronal images of the signs and signs. These tears often cause the knee to become stuck because the torn portion of the meniscus blocks normal knee. Find out how to diagnose, treat, and. Learn about meniscus tears, common knee injuries that can cause pain, swelling, and limited movement. This video provides information about the causes and symptoms of meniscus tears, surgical and nonsurgical treatment options, and. What is a bucket handle meniscus tear?
from www.sciencephoto.com
This supplementary material provides additional information about the clinical practice guideline for the management of acute isolated meniscal. Find out how to diagnose, treat, and. These tears often cause the knee to become stuck because the torn portion of the meniscus blocks normal knee. See sagittal and coronal images of the signs and signs. What is a bucket handle meniscus tear? Learn about meniscus tears, common knee injuries that can cause pain, swelling, and limited movement. The meniscus can tear from acute trauma or as the result of degenerative changes that happen over time. Tears are noted by how they look, as. This video provides information about the causes and symptoms of meniscus tears, surgical and nonsurgical treatment options, and.
Bucket handle tear meniscus, illustration Stock Image C058/7537 Science Photo Library
Bucket Handle Meniscus Tear Aaos These tears often cause the knee to become stuck because the torn portion of the meniscus blocks normal knee. Find out how to diagnose, treat, and. This video provides information about the causes and symptoms of meniscus tears, surgical and nonsurgical treatment options, and. This supplementary material provides additional information about the clinical practice guideline for the management of acute isolated meniscal. What is a bucket handle meniscus tear? Learn about meniscus tears, common knee injuries that can cause pain, swelling, and limited movement. Tears are noted by how they look, as. See sagittal and coronal images of the signs and signs. These tears often cause the knee to become stuck because the torn portion of the meniscus blocks normal knee. The meniscus can tear from acute trauma or as the result of degenerative changes that happen over time.
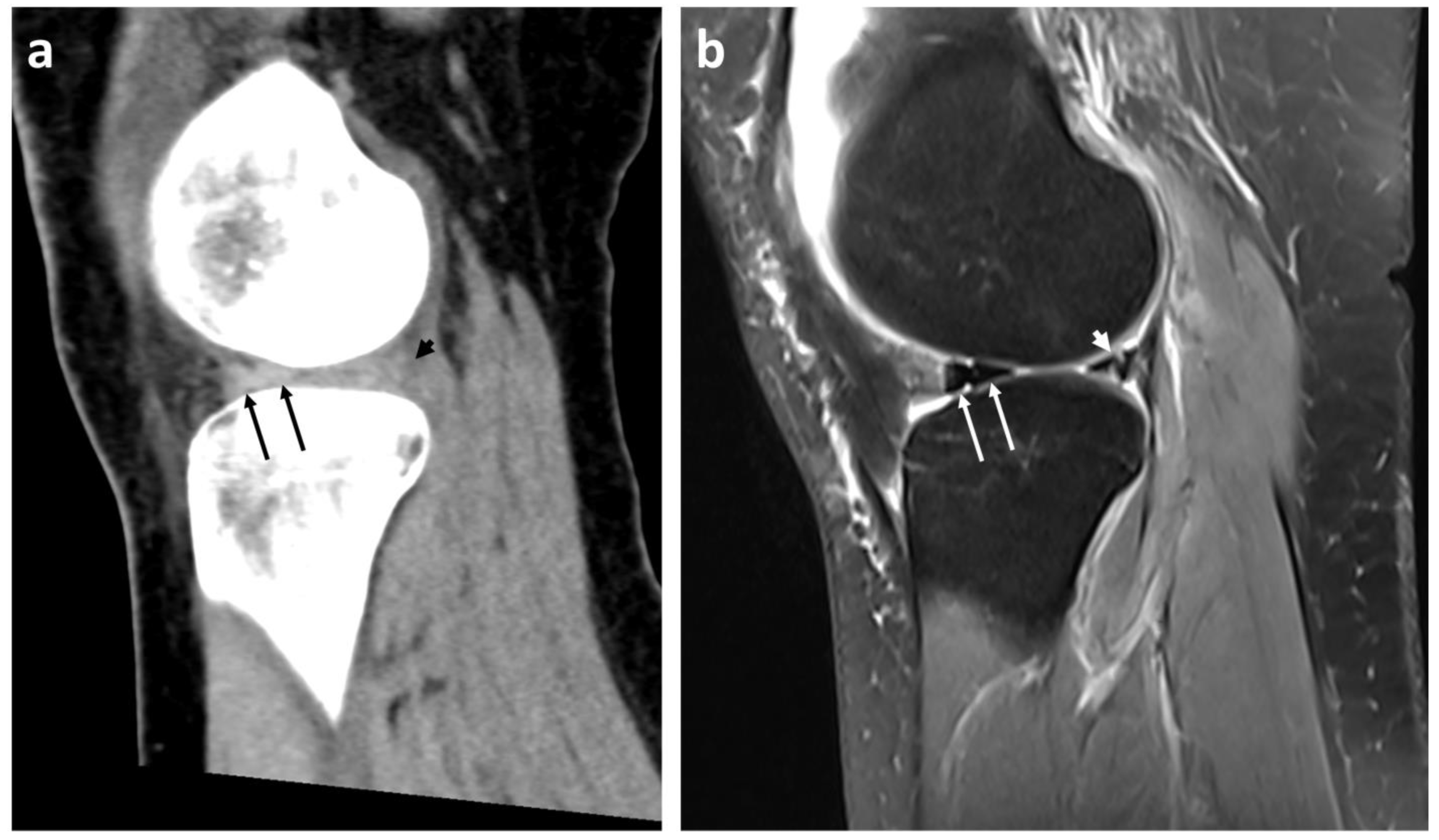
From radsource.us
Buckethandle Tear of the Meniscus Radsource Bucket Handle Meniscus Tear Aaos Tears are noted by how they look, as. Find out how to diagnose, treat, and. These tears often cause the knee to become stuck because the torn portion of the meniscus blocks normal knee. Learn about meniscus tears, common knee injuries that can cause pain, swelling, and limited movement. What is a bucket handle meniscus tear? The meniscus can tear. Bucket Handle Meniscus Tear Aaos.
From radsource.us
Buckethandle Tear of the Meniscus Radsource Bucket Handle Meniscus Tear Aaos Learn about meniscus tears, common knee injuries that can cause pain, swelling, and limited movement. See sagittal and coronal images of the signs and signs. The meniscus can tear from acute trauma or as the result of degenerative changes that happen over time. Tears are noted by how they look, as. Find out how to diagnose, treat, and. These tears. Bucket Handle Meniscus Tear Aaos.
From radsource.us
Buckethandle Tear of the Meniscus Radsource Bucket Handle Meniscus Tear Aaos Learn about meniscus tears, common knee injuries that can cause pain, swelling, and limited movement. See sagittal and coronal images of the signs and signs. What is a bucket handle meniscus tear? Tears are noted by how they look, as. This supplementary material provides additional information about the clinical practice guideline for the management of acute isolated meniscal. The meniscus. Bucket Handle Meniscus Tear Aaos.
From radsource.us
Buckethandle Tear of the Meniscus Radsource Bucket Handle Meniscus Tear Aaos Tears are noted by how they look, as. This video provides information about the causes and symptoms of meniscus tears, surgical and nonsurgical treatment options, and. This supplementary material provides additional information about the clinical practice guideline for the management of acute isolated meniscal. See sagittal and coronal images of the signs and signs. What is a bucket handle meniscus. Bucket Handle Meniscus Tear Aaos.
From www.pinterest.com
Bucket handle medial meniscus tear Radiology Case Tıp, Radyo, Anatomi Bucket Handle Meniscus Tear Aaos See sagittal and coronal images of the signs and signs. This supplementary material provides additional information about the clinical practice guideline for the management of acute isolated meniscal. What is a bucket handle meniscus tear? Learn about meniscus tears, common knee injuries that can cause pain, swelling, and limited movement. Tears are noted by how they look, as. The meniscus. Bucket Handle Meniscus Tear Aaos.
From www.howardluksmd.com
Bucket Handle Meniscus Tear Howard J. Luks, MD Bucket Handle Meniscus Tear Aaos Learn about meniscus tears, common knee injuries that can cause pain, swelling, and limited movement. Tears are noted by how they look, as. This video provides information about the causes and symptoms of meniscus tears, surgical and nonsurgical treatment options, and. The meniscus can tear from acute trauma or as the result of degenerative changes that happen over time. These. Bucket Handle Meniscus Tear Aaos.
From finwise.edu.vn
Albums 93+ Pictures Pictures Of Bucket Handle Meniscus Tear Completed Bucket Handle Meniscus Tear Aaos What is a bucket handle meniscus tear? See sagittal and coronal images of the signs and signs. These tears often cause the knee to become stuck because the torn portion of the meniscus blocks normal knee. Learn about meniscus tears, common knee injuries that can cause pain, swelling, and limited movement. This supplementary material provides additional information about the clinical. Bucket Handle Meniscus Tear Aaos.
From radsource.us
Buckethandle Tear of the Meniscus Radsource Bucket Handle Meniscus Tear Aaos The meniscus can tear from acute trauma or as the result of degenerative changes that happen over time. This video provides information about the causes and symptoms of meniscus tears, surgical and nonsurgical treatment options, and. Find out how to diagnose, treat, and. These tears often cause the knee to become stuck because the torn portion of the meniscus blocks. Bucket Handle Meniscus Tear Aaos.
From radsource.us
Buckethandle Tear of the Meniscus Radsource Bucket Handle Meniscus Tear Aaos These tears often cause the knee to become stuck because the torn portion of the meniscus blocks normal knee. Find out how to diagnose, treat, and. See sagittal and coronal images of the signs and signs. This video provides information about the causes and symptoms of meniscus tears, surgical and nonsurgical treatment options, and. Learn about meniscus tears, common knee. Bucket Handle Meniscus Tear Aaos.
From radsource.us
Buckethandle Tear of the Meniscus Radsource Bucket Handle Meniscus Tear Aaos This video provides information about the causes and symptoms of meniscus tears, surgical and nonsurgical treatment options, and. Find out how to diagnose, treat, and. What is a bucket handle meniscus tear? See sagittal and coronal images of the signs and signs. Tears are noted by how they look, as. These tears often cause the knee to become stuck because. Bucket Handle Meniscus Tear Aaos.
From radsource.us
Buckethandle Tear of the Meniscus Radsource Bucket Handle Meniscus Tear Aaos What is a bucket handle meniscus tear? Find out how to diagnose, treat, and. This supplementary material provides additional information about the clinical practice guideline for the management of acute isolated meniscal. This video provides information about the causes and symptoms of meniscus tears, surgical and nonsurgical treatment options, and. The meniscus can tear from acute trauma or as the. Bucket Handle Meniscus Tear Aaos.
From healthjade.net
Meniscus tear knee symptoms, signs, diagnosis, treatment and recovery Bucket Handle Meniscus Tear Aaos The meniscus can tear from acute trauma or as the result of degenerative changes that happen over time. See sagittal and coronal images of the signs and signs. This video provides information about the causes and symptoms of meniscus tears, surgical and nonsurgical treatment options, and. These tears often cause the knee to become stuck because the torn portion of. Bucket Handle Meniscus Tear Aaos.
From www.youtube.com
Knee MRI ACL Tear, Bucket Handle Medial Meniscus Tear YouTube Bucket Handle Meniscus Tear Aaos This video provides information about the causes and symptoms of meniscus tears, surgical and nonsurgical treatment options, and. The meniscus can tear from acute trauma or as the result of degenerative changes that happen over time. Learn about meniscus tears, common knee injuries that can cause pain, swelling, and limited movement. What is a bucket handle meniscus tear? Find out. Bucket Handle Meniscus Tear Aaos.
From www.cureus.com
Cureus MRI in the Diagnosis of Bucket Handle Tears What Is the Current Situation? Bucket Handle Meniscus Tear Aaos What is a bucket handle meniscus tear? The meniscus can tear from acute trauma or as the result of degenerative changes that happen over time. See sagittal and coronal images of the signs and signs. Find out how to diagnose, treat, and. This supplementary material provides additional information about the clinical practice guideline for the management of acute isolated meniscal.. Bucket Handle Meniscus Tear Aaos.
From www.youtube.com
Meniscus Bucket Handle Tear YouTube Bucket Handle Meniscus Tear Aaos This supplementary material provides additional information about the clinical practice guideline for the management of acute isolated meniscal. This video provides information about the causes and symptoms of meniscus tears, surgical and nonsurgical treatment options, and. What is a bucket handle meniscus tear? Find out how to diagnose, treat, and. These tears often cause the knee to become stuck because. Bucket Handle Meniscus Tear Aaos.
From dogbreedspicture.net
Bucket Handle Tear Of Meniscus Dog Breeds Picture Bucket Handle Meniscus Tear Aaos Tears are noted by how they look, as. The meniscus can tear from acute trauma or as the result of degenerative changes that happen over time. Learn about meniscus tears, common knee injuries that can cause pain, swelling, and limited movement. Find out how to diagnose, treat, and. See sagittal and coronal images of the signs and signs. This supplementary. Bucket Handle Meniscus Tear Aaos.
From radsource.us
Buckethandle Tear of the Meniscus Radsource Bucket Handle Meniscus Tear Aaos The meniscus can tear from acute trauma or as the result of degenerative changes that happen over time. These tears often cause the knee to become stuck because the torn portion of the meniscus blocks normal knee. This video provides information about the causes and symptoms of meniscus tears, surgical and nonsurgical treatment options, and. Tears are noted by how. Bucket Handle Meniscus Tear Aaos.
From www.sports-health.com
Diagnosing Meniscal Tears Bucket Handle Meniscus Tear Aaos See sagittal and coronal images of the signs and signs. This video provides information about the causes and symptoms of meniscus tears, surgical and nonsurgical treatment options, and. Learn about meniscus tears, common knee injuries that can cause pain, swelling, and limited movement. This supplementary material provides additional information about the clinical practice guideline for the management of acute isolated. Bucket Handle Meniscus Tear Aaos.
From www.semanticscholar.org
Broken bucket handle meniscal tears of the knee review of anatomy and MRI appearance Bucket Handle Meniscus Tear Aaos This video provides information about the causes and symptoms of meniscus tears, surgical and nonsurgical treatment options, and. These tears often cause the knee to become stuck because the torn portion of the meniscus blocks normal knee. Tears are noted by how they look, as. The meniscus can tear from acute trauma or as the result of degenerative changes that. Bucket Handle Meniscus Tear Aaos.
From www.sciencephoto.com
Bucket handle tear meniscus, illustration Stock Image C058/7537 Science Photo Library Bucket Handle Meniscus Tear Aaos These tears often cause the knee to become stuck because the torn portion of the meniscus blocks normal knee. This video provides information about the causes and symptoms of meniscus tears, surgical and nonsurgical treatment options, and. Tears are noted by how they look, as. See sagittal and coronal images of the signs and signs. This supplementary material provides additional. Bucket Handle Meniscus Tear Aaos.
From radsource.us
Buckethandle Tear of the Meniscus Radsource Bucket Handle Meniscus Tear Aaos This supplementary material provides additional information about the clinical practice guideline for the management of acute isolated meniscal. These tears often cause the knee to become stuck because the torn portion of the meniscus blocks normal knee. The meniscus can tear from acute trauma or as the result of degenerative changes that happen over time. Find out how to diagnose,. Bucket Handle Meniscus Tear Aaos.
From www.youtube.com
Bucket handle meniscal tear TheReportingRoom YouTube Bucket Handle Meniscus Tear Aaos See sagittal and coronal images of the signs and signs. What is a bucket handle meniscus tear? The meniscus can tear from acute trauma or as the result of degenerative changes that happen over time. Find out how to diagnose, treat, and. This supplementary material provides additional information about the clinical practice guideline for the management of acute isolated meniscal.. Bucket Handle Meniscus Tear Aaos.
From radsource.us
Buckethandle Tear of the Meniscus Radsource Bucket Handle Meniscus Tear Aaos This supplementary material provides additional information about the clinical practice guideline for the management of acute isolated meniscal. This video provides information about the causes and symptoms of meniscus tears, surgical and nonsurgical treatment options, and. These tears often cause the knee to become stuck because the torn portion of the meniscus blocks normal knee. Learn about meniscus tears, common. Bucket Handle Meniscus Tear Aaos.
From patch.com
Ask the Orthopedic Surgeon What is the meniscus? Hopatcong, NJ Patch Bucket Handle Meniscus Tear Aaos What is a bucket handle meniscus tear? These tears often cause the knee to become stuck because the torn portion of the meniscus blocks normal knee. This video provides information about the causes and symptoms of meniscus tears, surgical and nonsurgical treatment options, and. Tears are noted by how they look, as. This supplementary material provides additional information about the. Bucket Handle Meniscus Tear Aaos.
From mrionline.com
Bucket Handle Meniscal Tear Diagnosis MRI Online Bucket Handle Meniscus Tear Aaos The meniscus can tear from acute trauma or as the result of degenerative changes that happen over time. Tears are noted by how they look, as. What is a bucket handle meniscus tear? Find out how to diagnose, treat, and. See sagittal and coronal images of the signs and signs. These tears often cause the knee to become stuck because. Bucket Handle Meniscus Tear Aaos.
From isg.com.sa
Buckethandle Tear Of The Meniscus Radsource, 46 OFF Bucket Handle Meniscus Tear Aaos Tears are noted by how they look, as. The meniscus can tear from acute trauma or as the result of degenerative changes that happen over time. This supplementary material provides additional information about the clinical practice guideline for the management of acute isolated meniscal. Learn about meniscus tears, common knee injuries that can cause pain, swelling, and limited movement. Find. Bucket Handle Meniscus Tear Aaos.
From mrionline.com
Bucket Handle Meniscal Tear Diagnosis MRI Online Bucket Handle Meniscus Tear Aaos This supplementary material provides additional information about the clinical practice guideline for the management of acute isolated meniscal. Tears are noted by how they look, as. The meniscus can tear from acute trauma or as the result of degenerative changes that happen over time. Find out how to diagnose, treat, and. Learn about meniscus tears, common knee injuries that can. Bucket Handle Meniscus Tear Aaos.
From www.mdpi.com
Diagnostics Free FullText Diagnostic Accuracy of 128Slice SingleSource CT for the Bucket Handle Meniscus Tear Aaos See sagittal and coronal images of the signs and signs. The meniscus can tear from acute trauma or as the result of degenerative changes that happen over time. This video provides information about the causes and symptoms of meniscus tears, surgical and nonsurgical treatment options, and. Tears are noted by how they look, as. This supplementary material provides additional information. Bucket Handle Meniscus Tear Aaos.
From journaloei.scholasticahq.com
Management of a Lateral Meniscus Tear with BucketHandle Displacement in a SevenYearOld with Bucket Handle Meniscus Tear Aaos What is a bucket handle meniscus tear? This supplementary material provides additional information about the clinical practice guideline for the management of acute isolated meniscal. These tears often cause the knee to become stuck because the torn portion of the meniscus blocks normal knee. The meniscus can tear from acute trauma or as the result of degenerative changes that happen. Bucket Handle Meniscus Tear Aaos.
From www.youtube.com
Meniscus repair surgical video (Bucket Handle Tear) YouTube Bucket Handle Meniscus Tear Aaos This supplementary material provides additional information about the clinical practice guideline for the management of acute isolated meniscal. Find out how to diagnose, treat, and. What is a bucket handle meniscus tear? See sagittal and coronal images of the signs and signs. The meniscus can tear from acute trauma or as the result of degenerative changes that happen over time.. Bucket Handle Meniscus Tear Aaos.
From www.youtube.com
Bucket Handle Meniscus Tears Part 2 YouTube Bucket Handle Meniscus Tear Aaos Find out how to diagnose, treat, and. These tears often cause the knee to become stuck because the torn portion of the meniscus blocks normal knee. Learn about meniscus tears, common knee injuries that can cause pain, swelling, and limited movement. See sagittal and coronal images of the signs and signs. Tears are noted by how they look, as. The. Bucket Handle Meniscus Tear Aaos.
From radiopaedia.org
Buckethandle meniscal tear Image Bucket Handle Meniscus Tear Aaos This video provides information about the causes and symptoms of meniscus tears, surgical and nonsurgical treatment options, and. See sagittal and coronal images of the signs and signs. Find out how to diagnose, treat, and. The meniscus can tear from acute trauma or as the result of degenerative changes that happen over time. Learn about meniscus tears, common knee injuries. Bucket Handle Meniscus Tear Aaos.
From www.orthobullets.com
Meniscal Tears Knee & Sports Orthobullets Bucket Handle Meniscus Tear Aaos Find out how to diagnose, treat, and. This supplementary material provides additional information about the clinical practice guideline for the management of acute isolated meniscal. The meniscus can tear from acute trauma or as the result of degenerative changes that happen over time. Learn about meniscus tears, common knee injuries that can cause pain, swelling, and limited movement. What is. Bucket Handle Meniscus Tear Aaos.
From radiopaedia.org
Bucket handle tear medial meniscus Image Bucket Handle Meniscus Tear Aaos What is a bucket handle meniscus tear? These tears often cause the knee to become stuck because the torn portion of the meniscus blocks normal knee. See sagittal and coronal images of the signs and signs. Find out how to diagnose, treat, and. Tears are noted by how they look, as. Learn about meniscus tears, common knee injuries that can. Bucket Handle Meniscus Tear Aaos.
From radsource.us
Buckethandle Tear of the Meniscus Radsource Bucket Handle Meniscus Tear Aaos This supplementary material provides additional information about the clinical practice guideline for the management of acute isolated meniscal. See sagittal and coronal images of the signs and signs. This video provides information about the causes and symptoms of meniscus tears, surgical and nonsurgical treatment options, and. The meniscus can tear from acute trauma or as the result of degenerative changes. Bucket Handle Meniscus Tear Aaos.