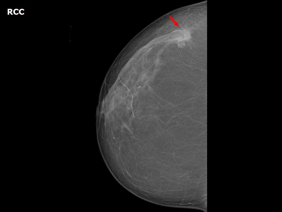
Spiculated Margins Breast Mass . Benign and malignant characteristics of breast lesions at ultrasound allow the classification as either malignant,. It has been our experience that many cancers that appear ill. One mass (thick arrow) in right breast is characterized by indistinct, spiculated margins with suspicious morphologic features and appearance different from. If a mass has spiculated margins, it has an 80% chance of being malignant. A spiculated mass is a centrally dense lesion seen on mammography with sharp lines radiating from its margin. The classic description of a breast cancer is a mass with an irregular shape and spiculated margin (fig. Spiculated margins are frequently a feature of malignant breast lesions and radial scars. Our study shows that the presence of a spiculated mass is associated with the luminal a subtype of invasive breast cancer, and the status of ki67.
from www.researchgate.net
It has been our experience that many cancers that appear ill. Benign and malignant characteristics of breast lesions at ultrasound allow the classification as either malignant,. The classic description of a breast cancer is a mass with an irregular shape and spiculated margin (fig. Spiculated margins are frequently a feature of malignant breast lesions and radial scars. A spiculated mass is a centrally dense lesion seen on mammography with sharp lines radiating from its margin. Our study shows that the presence of a spiculated mass is associated with the luminal a subtype of invasive breast cancer, and the status of ki67. One mass (thick arrow) in right breast is characterized by indistinct, spiculated margins with suspicious morphologic features and appearance different from. If a mass has spiculated margins, it has an 80% chance of being malignant.
US (A) Spiculated breast mass with strong Posterior Acoustic Shadowing
Spiculated Margins Breast Mass A spiculated mass is a centrally dense lesion seen on mammography with sharp lines radiating from its margin. Our study shows that the presence of a spiculated mass is associated with the luminal a subtype of invasive breast cancer, and the status of ki67. It has been our experience that many cancers that appear ill. The classic description of a breast cancer is a mass with an irregular shape and spiculated margin (fig. If a mass has spiculated margins, it has an 80% chance of being malignant. Benign and malignant characteristics of breast lesions at ultrasound allow the classification as either malignant,. A spiculated mass is a centrally dense lesion seen on mammography with sharp lines radiating from its margin. Spiculated margins are frequently a feature of malignant breast lesions and radial scars. One mass (thick arrow) in right breast is characterized by indistinct, spiculated margins with suspicious morphologic features and appearance different from.
From radiologykey.com
Evaluation and Imaging Features of Benign Breast Masses Radiology Key Spiculated Margins Breast Mass One mass (thick arrow) in right breast is characterized by indistinct, spiculated margins with suspicious morphologic features and appearance different from. Benign and malignant characteristics of breast lesions at ultrasound allow the classification as either malignant,. Our study shows that the presence of a spiculated mass is associated with the luminal a subtype of invasive breast cancer, and the status. Spiculated Margins Breast Mass.
From www.researchgate.net
Mammogram showed a 6.0 cm fairly circumscribed spiculated mass in the Spiculated Margins Breast Mass A spiculated mass is a centrally dense lesion seen on mammography with sharp lines radiating from its margin. One mass (thick arrow) in right breast is characterized by indistinct, spiculated margins with suspicious morphologic features and appearance different from. Our study shows that the presence of a spiculated mass is associated with the luminal a subtype of invasive breast cancer,. Spiculated Margins Breast Mass.
From www.researchgate.net
b A spiculated, irregular highdensity mass on mammography breast Spiculated Margins Breast Mass If a mass has spiculated margins, it has an 80% chance of being malignant. The classic description of a breast cancer is a mass with an irregular shape and spiculated margin (fig. One mass (thick arrow) in right breast is characterized by indistinct, spiculated margins with suspicious morphologic features and appearance different from. Spiculated margins are frequently a feature of. Spiculated Margins Breast Mass.
From www.researchgate.net
Right breast ultrasound image showing a hypoechoic, attenuating mass Spiculated Margins Breast Mass Our study shows that the presence of a spiculated mass is associated with the luminal a subtype of invasive breast cancer, and the status of ki67. Spiculated margins are frequently a feature of malignant breast lesions and radial scars. A spiculated mass is a centrally dense lesion seen on mammography with sharp lines radiating from its margin. If a mass. Spiculated Margins Breast Mass.
From www.pinterest.com
The mammogram demonstrates several spiculated masses. On ultrasound Spiculated Margins Breast Mass A spiculated mass is a centrally dense lesion seen on mammography with sharp lines radiating from its margin. If a mass has spiculated margins, it has an 80% chance of being malignant. The classic description of a breast cancer is a mass with an irregular shape and spiculated margin (fig. Our study shows that the presence of a spiculated mass. Spiculated Margins Breast Mass.
From www.researchgate.net
The LCC and LMLO views of the mammogram (left) show an oval dense Spiculated Margins Breast Mass Our study shows that the presence of a spiculated mass is associated with the luminal a subtype of invasive breast cancer, and the status of ki67. It has been our experience that many cancers that appear ill. Benign and malignant characteristics of breast lesions at ultrasound allow the classification as either malignant,. A spiculated mass is a centrally dense lesion. Spiculated Margins Breast Mass.
From www.semanticscholar.org
Figure 1 from Hyperechoic breast nodules Not always benign Semantic Spiculated Margins Breast Mass The classic description of a breast cancer is a mass with an irregular shape and spiculated margin (fig. It has been our experience that many cancers that appear ill. If a mass has spiculated margins, it has an 80% chance of being malignant. Benign and malignant characteristics of breast lesions at ultrasound allow the classification as either malignant,. A spiculated. Spiculated Margins Breast Mass.
From screening.iarc.fr
Atlas of breast cancer early detection Spiculated Margins Breast Mass Spiculated margins are frequently a feature of malignant breast lesions and radial scars. The classic description of a breast cancer is a mass with an irregular shape and spiculated margin (fig. A spiculated mass is a centrally dense lesion seen on mammography with sharp lines radiating from its margin. One mass (thick arrow) in right breast is characterized by indistinct,. Spiculated Margins Breast Mass.
From screening.iarc.fr
Atlas of breast cancer early detection Spiculated Margins Breast Mass Benign and malignant characteristics of breast lesions at ultrasound allow the classification as either malignant,. Our study shows that the presence of a spiculated mass is associated with the luminal a subtype of invasive breast cancer, and the status of ki67. The classic description of a breast cancer is a mass with an irregular shape and spiculated margin (fig. Spiculated. Spiculated Margins Breast Mass.
From www.researchgate.net
A 48yearold patient came for screening. Mammography and DBT revealed Spiculated Margins Breast Mass One mass (thick arrow) in right breast is characterized by indistinct, spiculated margins with suspicious morphologic features and appearance different from. A spiculated mass is a centrally dense lesion seen on mammography with sharp lines radiating from its margin. If a mass has spiculated margins, it has an 80% chance of being malignant. Spiculated margins are frequently a feature of. Spiculated Margins Breast Mass.
From www.cureus.com
Cureus Breast Metastases Updates on Epidemiology and Radiologic Findings Spiculated Margins Breast Mass Our study shows that the presence of a spiculated mass is associated with the luminal a subtype of invasive breast cancer, and the status of ki67. Spiculated margins are frequently a feature of malignant breast lesions and radial scars. It has been our experience that many cancers that appear ill. Benign and malignant characteristics of breast lesions at ultrasound allow. Spiculated Margins Breast Mass.
From www.ejradiology.com
Malignant spiculated breast masses Dynamic contrast enhanced MR (DCE Spiculated Margins Breast Mass It has been our experience that many cancers that appear ill. Spiculated margins are frequently a feature of malignant breast lesions and radial scars. Benign and malignant characteristics of breast lesions at ultrasound allow the classification as either malignant,. If a mass has spiculated margins, it has an 80% chance of being malignant. A spiculated mass is a centrally dense. Spiculated Margins Breast Mass.
From radiologykey.com
Mammographic and Ultrasound Analysis of Breast Masses Radiology Key Spiculated Margins Breast Mass One mass (thick arrow) in right breast is characterized by indistinct, spiculated margins with suspicious morphologic features and appearance different from. A spiculated mass is a centrally dense lesion seen on mammography with sharp lines radiating from its margin. If a mass has spiculated margins, it has an 80% chance of being malignant. The classic description of a breast cancer. Spiculated Margins Breast Mass.
From www.ejradiology.com
Malignant spiculated breast masses Dynamic contrast enhanced MR (DCE Spiculated Margins Breast Mass A spiculated mass is a centrally dense lesion seen on mammography with sharp lines radiating from its margin. It has been our experience that many cancers that appear ill. Benign and malignant characteristics of breast lesions at ultrasound allow the classification as either malignant,. Spiculated margins are frequently a feature of malignant breast lesions and radial scars. If a mass. Spiculated Margins Breast Mass.
From screening.iarc.fr
Atlas of breast cancer early detection Spiculated Margins Breast Mass Our study shows that the presence of a spiculated mass is associated with the luminal a subtype of invasive breast cancer, and the status of ki67. It has been our experience that many cancers that appear ill. The classic description of a breast cancer is a mass with an irregular shape and spiculated margin (fig. Spiculated margins are frequently a. Spiculated Margins Breast Mass.
From www.researchgate.net
US (A) Spiculated breast mass with strong Posterior Acoustic Shadowing Spiculated Margins Breast Mass It has been our experience that many cancers that appear ill. Our study shows that the presence of a spiculated mass is associated with the luminal a subtype of invasive breast cancer, and the status of ki67. Benign and malignant characteristics of breast lesions at ultrasound allow the classification as either malignant,. One mass (thick arrow) in right breast is. Spiculated Margins Breast Mass.
From www.researchgate.net
US shows (A) hypoechoic solid mass with irregular spiculated margins at Spiculated Margins Breast Mass Spiculated margins are frequently a feature of malignant breast lesions and radial scars. A spiculated mass is a centrally dense lesion seen on mammography with sharp lines radiating from its margin. It has been our experience that many cancers that appear ill. Our study shows that the presence of a spiculated mass is associated with the luminal a subtype of. Spiculated Margins Breast Mass.
From www.mdpi.com
Diagnostics Free FullText Synthesized Mammography Clinical Spiculated Margins Breast Mass A spiculated mass is a centrally dense lesion seen on mammography with sharp lines radiating from its margin. Our study shows that the presence of a spiculated mass is associated with the luminal a subtype of invasive breast cancer, and the status of ki67. The classic description of a breast cancer is a mass with an irregular shape and spiculated. Spiculated Margins Breast Mass.
From www.cureus.com
Cureus Utility of Ultrasound Imaging Features in Diagnosis of Breast Spiculated Margins Breast Mass The classic description of a breast cancer is a mass with an irregular shape and spiculated margin (fig. Our study shows that the presence of a spiculated mass is associated with the luminal a subtype of invasive breast cancer, and the status of ki67. One mass (thick arrow) in right breast is characterized by indistinct, spiculated margins with suspicious morphologic. Spiculated Margins Breast Mass.
From www.lecturio.com
Imaging of the Breast Concise Medical Knowledge Spiculated Margins Breast Mass One mass (thick arrow) in right breast is characterized by indistinct, spiculated margins with suspicious morphologic features and appearance different from. Spiculated margins are frequently a feature of malignant breast lesions and radial scars. Benign and malignant characteristics of breast lesions at ultrasound allow the classification as either malignant,. The classic description of a breast cancer is a mass with. Spiculated Margins Breast Mass.
From www.researchgate.net
Masses different shapes and margins (n.d.). Source (a) Mass shapes Spiculated Margins Breast Mass A spiculated mass is a centrally dense lesion seen on mammography with sharp lines radiating from its margin. Spiculated margins are frequently a feature of malignant breast lesions and radial scars. It has been our experience that many cancers that appear ill. If a mass has spiculated margins, it has an 80% chance of being malignant. Benign and malignant characteristics. Spiculated Margins Breast Mass.
From www.globalradiologycme.com
Bilateral Breast Cancer Mammography Histology Correlation Spiculated Margins Breast Mass A spiculated mass is a centrally dense lesion seen on mammography with sharp lines radiating from its margin. The classic description of a breast cancer is a mass with an irregular shape and spiculated margin (fig. It has been our experience that many cancers that appear ill. Spiculated margins are frequently a feature of malignant breast lesions and radial scars.. Spiculated Margins Breast Mass.
From radiologyassistant.nl
The Radiology Assistant BiRADS for Mammography and Ultrasound 2013 Spiculated Margins Breast Mass The classic description of a breast cancer is a mass with an irregular shape and spiculated margin (fig. Our study shows that the presence of a spiculated mass is associated with the luminal a subtype of invasive breast cancer, and the status of ki67. One mass (thick arrow) in right breast is characterized by indistinct, spiculated margins with suspicious morphologic. Spiculated Margins Breast Mass.
From www.researchgate.net
Case 9. Followup MMG after segmental resection showing a mass with Spiculated Margins Breast Mass The classic description of a breast cancer is a mass with an irregular shape and spiculated margin (fig. Our study shows that the presence of a spiculated mass is associated with the luminal a subtype of invasive breast cancer, and the status of ki67. If a mass has spiculated margins, it has an 80% chance of being malignant. Spiculated margins. Spiculated Margins Breast Mass.
From www.researchgate.net
Examples of spiculated masses. We can see that there is a great Spiculated Margins Breast Mass If a mass has spiculated margins, it has an 80% chance of being malignant. Spiculated margins are frequently a feature of malignant breast lesions and radial scars. Benign and malignant characteristics of breast lesions at ultrasound allow the classification as either malignant,. The classic description of a breast cancer is a mass with an irregular shape and spiculated margin (fig.. Spiculated Margins Breast Mass.
From screening.iarc.fr
Atlas of breast cancer early detection Spiculated Margins Breast Mass A spiculated mass is a centrally dense lesion seen on mammography with sharp lines radiating from its margin. Spiculated margins are frequently a feature of malignant breast lesions and radial scars. Our study shows that the presence of a spiculated mass is associated with the luminal a subtype of invasive breast cancer, and the status of ki67. One mass (thick. Spiculated Margins Breast Mass.
From screening.iarc.fr
Atlas of breast cancer early detection Spiculated Margins Breast Mass Benign and malignant characteristics of breast lesions at ultrasound allow the classification as either malignant,. It has been our experience that many cancers that appear ill. One mass (thick arrow) in right breast is characterized by indistinct, spiculated margins with suspicious morphologic features and appearance different from. If a mass has spiculated margins, it has an 80% chance of being. Spiculated Margins Breast Mass.
From screening.iarc.fr
Atlas of breast cancer early detection Spiculated Margins Breast Mass One mass (thick arrow) in right breast is characterized by indistinct, spiculated margins with suspicious morphologic features and appearance different from. A spiculated mass is a centrally dense lesion seen on mammography with sharp lines radiating from its margin. If a mass has spiculated margins, it has an 80% chance of being malignant. Spiculated margins are frequently a feature of. Spiculated Margins Breast Mass.
From screening.iarc.fr
Atlas of breast cancer early detection Spiculated Margins Breast Mass If a mass has spiculated margins, it has an 80% chance of being malignant. The classic description of a breast cancer is a mass with an irregular shape and spiculated margin (fig. A spiculated mass is a centrally dense lesion seen on mammography with sharp lines radiating from its margin. Benign and malignant characteristics of breast lesions at ultrasound allow. Spiculated Margins Breast Mass.
From www.researchgate.net
Ultrasonography shows an irregular hypoechoic mass of 23 mm in Spiculated Margins Breast Mass A spiculated mass is a centrally dense lesion seen on mammography with sharp lines radiating from its margin. Our study shows that the presence of a spiculated mass is associated with the luminal a subtype of invasive breast cancer, and the status of ki67. It has been our experience that many cancers that appear ill. One mass (thick arrow) in. Spiculated Margins Breast Mass.
From www.researchgate.net
Representative images of spiculated and lobulated margins on CT Spiculated Margins Breast Mass If a mass has spiculated margins, it has an 80% chance of being malignant. Our study shows that the presence of a spiculated mass is associated with the luminal a subtype of invasive breast cancer, and the status of ki67. One mass (thick arrow) in right breast is characterized by indistinct, spiculated margins with suspicious morphologic features and appearance different. Spiculated Margins Breast Mass.
From www.cureus.com
Cureus Rare Paget’s Disease Associated With Breast Cancer in a 70 Spiculated Margins Breast Mass A spiculated mass is a centrally dense lesion seen on mammography with sharp lines radiating from its margin. If a mass has spiculated margins, it has an 80% chance of being malignant. It has been our experience that many cancers that appear ill. Spiculated margins are frequently a feature of malignant breast lesions and radial scars. One mass (thick arrow). Spiculated Margins Breast Mass.
From www.youtube.com
Breast Ultrasound Mass Characterization (Shape, Margins & Borders Spiculated Margins Breast Mass If a mass has spiculated margins, it has an 80% chance of being malignant. A spiculated mass is a centrally dense lesion seen on mammography with sharp lines radiating from its margin. It has been our experience that many cancers that appear ill. Spiculated margins are frequently a feature of malignant breast lesions and radial scars. Our study shows that. Spiculated Margins Breast Mass.
From radiologyassistant.nl
The Radiology Assistant BiRADS for Mammography and Ultrasound 2013 Spiculated Margins Breast Mass The classic description of a breast cancer is a mass with an irregular shape and spiculated margin (fig. If a mass has spiculated margins, it has an 80% chance of being malignant. A spiculated mass is a centrally dense lesion seen on mammography with sharp lines radiating from its margin. Spiculated margins are frequently a feature of malignant breast lesions. Spiculated Margins Breast Mass.
From pubs.rsna.org
Invasive Lobular Carcinoma of the Breast Spectrum of Mammographic, US Spiculated Margins Breast Mass A spiculated mass is a centrally dense lesion seen on mammography with sharp lines radiating from its margin. Our study shows that the presence of a spiculated mass is associated with the luminal a subtype of invasive breast cancer, and the status of ki67. If a mass has spiculated margins, it has an 80% chance of being malignant. Benign and. Spiculated Margins Breast Mass.