Crohn's Disease Urine . Inflammatory bowel disease (ibd) is comprised of two major disorders: In people with crohn’s disease, hydronephrosis often occurs in the right kidney, close to the terminal ileum. Ulcerative colitis (uc) and crohn disease (cd). Fistulizing crohn’s disease is caused by inflammation that results in the formation of a fistula —an abnormal channel between the. Crohn’s disease is a lifelong condition that causes inflammation in the digestive tract. People diagnosed with crohn’s disease have a higher risk of developing kidney stones in the urinary tract than those without crohn’s, including those with ulcerative colitis. People with ulcerative colitis are more likely to develop kidney stones — hard deposits of salts and minerals in the kidneys. Increased urination is one possible symptom of. Cystitis was the most common.
from www.researchgate.net
Crohn’s disease is a lifelong condition that causes inflammation in the digestive tract. Inflammatory bowel disease (ibd) is comprised of two major disorders: Increased urination is one possible symptom of. Fistulizing crohn’s disease is caused by inflammation that results in the formation of a fistula —an abnormal channel between the. Ulcerative colitis (uc) and crohn disease (cd). People diagnosed with crohn’s disease have a higher risk of developing kidney stones in the urinary tract than those without crohn’s, including those with ulcerative colitis. In people with crohn’s disease, hydronephrosis often occurs in the right kidney, close to the terminal ileum. Cystitis was the most common. People with ulcerative colitis are more likely to develop kidney stones — hard deposits of salts and minerals in the kidneys.
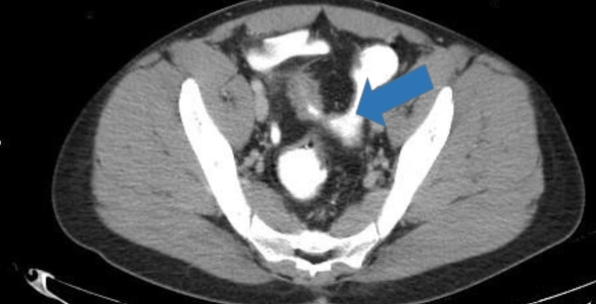
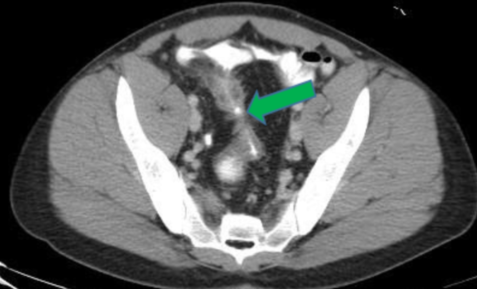
Urinary complications in Crohn’s disease and ulcerative colitis
Crohn's Disease Urine In people with crohn’s disease, hydronephrosis often occurs in the right kidney, close to the terminal ileum. In people with crohn’s disease, hydronephrosis often occurs in the right kidney, close to the terminal ileum. People with ulcerative colitis are more likely to develop kidney stones — hard deposits of salts and minerals in the kidneys. Increased urination is one possible symptom of. People diagnosed with crohn’s disease have a higher risk of developing kidney stones in the urinary tract than those without crohn’s, including those with ulcerative colitis. Crohn’s disease is a lifelong condition that causes inflammation in the digestive tract. Fistulizing crohn’s disease is caused by inflammation that results in the formation of a fistula —an abnormal channel between the. Ulcerative colitis (uc) and crohn disease (cd). Cystitis was the most common. Inflammatory bowel disease (ibd) is comprised of two major disorders:
From www.researchgate.net
(PDF) The Specific Changes of Urine Raman Spectra Can Serve as Novel Crohn's Disease Urine Increased urination is one possible symptom of. People with ulcerative colitis are more likely to develop kidney stones — hard deposits of salts and minerals in the kidneys. Ulcerative colitis (uc) and crohn disease (cd). Fistulizing crohn’s disease is caused by inflammation that results in the formation of a fistula —an abnormal channel between the. People diagnosed with crohn’s disease. Crohn's Disease Urine.
From www.researchgate.net
(PDF) Crohn’s Disease and Urinary Manifestations A Crohn’s Intestinal Crohn's Disease Urine People diagnosed with crohn’s disease have a higher risk of developing kidney stones in the urinary tract than those without crohn’s, including those with ulcerative colitis. In people with crohn’s disease, hydronephrosis often occurs in the right kidney, close to the terminal ileum. Cystitis was the most common. Increased urination is one possible symptom of. Inflammatory bowel disease (ibd) is. Crohn's Disease Urine.
From www.stepwards.com
Crohn Disease Stepwards Crohn's Disease Urine Crohn’s disease is a lifelong condition that causes inflammation in the digestive tract. Inflammatory bowel disease (ibd) is comprised of two major disorders: Cystitis was the most common. Increased urination is one possible symptom of. People with ulcerative colitis are more likely to develop kidney stones — hard deposits of salts and minerals in the kidneys. People diagnosed with crohn’s. Crohn's Disease Urine.
From www.powerofpositivity.com
5 Early Warning Signs of Crohn's Disease Crohn's Disease Urine Cystitis was the most common. Increased urination is one possible symptom of. Fistulizing crohn’s disease is caused by inflammation that results in the formation of a fistula —an abnormal channel between the. People diagnosed with crohn’s disease have a higher risk of developing kidney stones in the urinary tract than those without crohn’s, including those with ulcerative colitis. People with. Crohn's Disease Urine.
From journals.sagepub.com
Diagnostic significance of mesenteric lymph node involvement in Crohn's Disease Urine Inflammatory bowel disease (ibd) is comprised of two major disorders: In people with crohn’s disease, hydronephrosis often occurs in the right kidney, close to the terminal ileum. People diagnosed with crohn’s disease have a higher risk of developing kidney stones in the urinary tract than those without crohn’s, including those with ulcerative colitis. People with ulcerative colitis are more likely. Crohn's Disease Urine.
From healthlibrary.askapollo.com
What is Crohn’s disease? Causes and Symptoms and Risk Factors Crohn's Disease Urine Increased urination is one possible symptom of. Inflammatory bowel disease (ibd) is comprised of two major disorders: Ulcerative colitis (uc) and crohn disease (cd). In people with crohn’s disease, hydronephrosis often occurs in the right kidney, close to the terminal ileum. People diagnosed with crohn’s disease have a higher risk of developing kidney stones in the urinary tract than those. Crohn's Disease Urine.
From www.cureus.com
Cureus Recurrent Urinary Tract Infection in a Patient With Crohn's Disease Urine People diagnosed with crohn’s disease have a higher risk of developing kidney stones in the urinary tract than those without crohn’s, including those with ulcerative colitis. Ulcerative colitis (uc) and crohn disease (cd). Increased urination is one possible symptom of. Fistulizing crohn’s disease is caused by inflammation that results in the formation of a fistula —an abnormal channel between the.. Crohn's Disease Urine.
From adc.bmj.com
Crohn's disease presenting as bladder mass Archives of Disease in Crohn's Disease Urine Crohn’s disease is a lifelong condition that causes inflammation in the digestive tract. Increased urination is one possible symptom of. People diagnosed with crohn’s disease have a higher risk of developing kidney stones in the urinary tract than those without crohn’s, including those with ulcerative colitis. Fistulizing crohn’s disease is caused by inflammation that results in the formation of a. Crohn's Disease Urine.
From www.researchgate.net
(PDF) of Medical and Surgical Therapy for Enterourinary Crohn's Disease Urine Inflammatory bowel disease (ibd) is comprised of two major disorders: In people with crohn’s disease, hydronephrosis often occurs in the right kidney, close to the terminal ileum. Ulcerative colitis (uc) and crohn disease (cd). Crohn’s disease is a lifelong condition that causes inflammation in the digestive tract. Fistulizing crohn’s disease is caused by inflammation that results in the formation of. Crohn's Disease Urine.
From ghealth121.com
Crohn's Disease Causes, Symptoms, Diagnosis & Treatment options Crohn's Disease Urine In people with crohn’s disease, hydronephrosis often occurs in the right kidney, close to the terminal ileum. People diagnosed with crohn’s disease have a higher risk of developing kidney stones in the urinary tract than those without crohn’s, including those with ulcerative colitis. Cystitis was the most common. People with ulcerative colitis are more likely to develop kidney stones —. Crohn's Disease Urine.
From www.drugwatch.com
Crohn’s Disease Causes, Symptoms, Diagnosis, Treatment Crohn's Disease Urine Fistulizing crohn’s disease is caused by inflammation that results in the formation of a fistula —an abnormal channel between the. People with ulcerative colitis are more likely to develop kidney stones — hard deposits of salts and minerals in the kidneys. Inflammatory bowel disease (ibd) is comprised of two major disorders: Cystitis was the most common. People diagnosed with crohn’s. Crohn's Disease Urine.
From www.euroclinix.net
Changes in your urine and what it means • euroClinix® Crohn's Disease Urine Ulcerative colitis (uc) and crohn disease (cd). People with ulcerative colitis are more likely to develop kidney stones — hard deposits of salts and minerals in the kidneys. People diagnosed with crohn’s disease have a higher risk of developing kidney stones in the urinary tract than those without crohn’s, including those with ulcerative colitis. Increased urination is one possible symptom. Crohn's Disease Urine.
From www.cureus.com
Cureus Recurrent Urinary Tract Infection in a Patient With Crohn's Disease Urine Cystitis was the most common. Increased urination is one possible symptom of. Inflammatory bowel disease (ibd) is comprised of two major disorders: Ulcerative colitis (uc) and crohn disease (cd). Crohn’s disease is a lifelong condition that causes inflammation in the digestive tract. People diagnosed with crohn’s disease have a higher risk of developing kidney stones in the urinary tract than. Crohn's Disease Urine.
From www.ecco-ibd.eu
European Crohn´s and Colitis Organisation ECCO P106 Identification Crohn's Disease Urine Crohn’s disease is a lifelong condition that causes inflammation in the digestive tract. Increased urination is one possible symptom of. In people with crohn’s disease, hydronephrosis often occurs in the right kidney, close to the terminal ileum. Cystitis was the most common. People with ulcerative colitis are more likely to develop kidney stones — hard deposits of salts and minerals. Crohn's Disease Urine.
From www.cureus.com
Cureus Recurrent Urinary Tract Infection in a Patient With Crohn's Disease Urine People with ulcerative colitis are more likely to develop kidney stones — hard deposits of salts and minerals in the kidneys. Increased urination is one possible symptom of. In people with crohn’s disease, hydronephrosis often occurs in the right kidney, close to the terminal ileum. Cystitis was the most common. People diagnosed with crohn’s disease have a higher risk of. Crohn's Disease Urine.
From www.quibd.com
Differences Between Crohn's and Colitis Qu IBD Crohn's Disease Urine In people with crohn’s disease, hydronephrosis often occurs in the right kidney, close to the terminal ileum. Fistulizing crohn’s disease is caused by inflammation that results in the formation of a fistula —an abnormal channel between the. People with ulcerative colitis are more likely to develop kidney stones — hard deposits of salts and minerals in the kidneys. People diagnosed. Crohn's Disease Urine.
From www.cureus.com
Cureus Recurrent Urinary Tract Infection in a Patient With Crohn's Disease Urine Fistulizing crohn’s disease is caused by inflammation that results in the formation of a fistula —an abnormal channel between the. Cystitis was the most common. Inflammatory bowel disease (ibd) is comprised of two major disorders: People with ulcerative colitis are more likely to develop kidney stones — hard deposits of salts and minerals in the kidneys. Ulcerative colitis (uc) and. Crohn's Disease Urine.
From deal.town
3 Key Differences Between Crohn's Disease and Ulcerative Colitis Crohn's Disease Urine Increased urination is one possible symptom of. Inflammatory bowel disease (ibd) is comprised of two major disorders: In people with crohn’s disease, hydronephrosis often occurs in the right kidney, close to the terminal ileum. Fistulizing crohn’s disease is caused by inflammation that results in the formation of a fistula —an abnormal channel between the. Crohn’s disease is a lifelong condition. Crohn's Disease Urine.
From www.researchgate.net
(PDF) Urinary Neopterin as Marker for Disease Activity in Children and Crohn's Disease Urine Inflammatory bowel disease (ibd) is comprised of two major disorders: Cystitis was the most common. People diagnosed with crohn’s disease have a higher risk of developing kidney stones in the urinary tract than those without crohn’s, including those with ulcerative colitis. Increased urination is one possible symptom of. Crohn’s disease is a lifelong condition that causes inflammation in the digestive. Crohn's Disease Urine.
From www.findatopdoc.com
Crohn's and Kidney Stones What's the Connection? Crohn's Disease Urine People diagnosed with crohn’s disease have a higher risk of developing kidney stones in the urinary tract than those without crohn’s, including those with ulcerative colitis. Ulcerative colitis (uc) and crohn disease (cd). People with ulcerative colitis are more likely to develop kidney stones — hard deposits of salts and minerals in the kidneys. In people with crohn’s disease, hydronephrosis. Crohn's Disease Urine.
From www.youtube.com
Crohn's Disease Pathophysiology, Symptoms, Risk factors, Diagnosis and Crohn's Disease Urine People diagnosed with crohn’s disease have a higher risk of developing kidney stones in the urinary tract than those without crohn’s, including those with ulcerative colitis. Ulcerative colitis (uc) and crohn disease (cd). Increased urination is one possible symptom of. People with ulcerative colitis are more likely to develop kidney stones — hard deposits of salts and minerals in the. Crohn's Disease Urine.
From casereports.bmj.com
Recurrent urinary tract infections in a patient with Crohn's disease Crohn's Disease Urine Inflammatory bowel disease (ibd) is comprised of two major disorders: Cystitis was the most common. Crohn’s disease is a lifelong condition that causes inflammation in the digestive tract. People diagnosed with crohn’s disease have a higher risk of developing kidney stones in the urinary tract than those without crohn’s, including those with ulcerative colitis. Ulcerative colitis (uc) and crohn disease. Crohn's Disease Urine.
From www.quibd.com
Crohn's Disease IBD Symptoms Advances Impact Causes Crohn's Disease Urine Ulcerative colitis (uc) and crohn disease (cd). In people with crohn’s disease, hydronephrosis often occurs in the right kidney, close to the terminal ileum. People with ulcerative colitis are more likely to develop kidney stones — hard deposits of salts and minerals in the kidneys. Crohn’s disease is a lifelong condition that causes inflammation in the digestive tract. People diagnosed. Crohn's Disease Urine.
From www.researchgate.net
Urinary complications in Crohn’s disease and ulcerative colitis Crohn's Disease Urine Ulcerative colitis (uc) and crohn disease (cd). Inflammatory bowel disease (ibd) is comprised of two major disorders: People diagnosed with crohn’s disease have a higher risk of developing kidney stones in the urinary tract than those without crohn’s, including those with ulcerative colitis. Fistulizing crohn’s disease is caused by inflammation that results in the formation of a fistula —an abnormal. Crohn's Disease Urine.
From www.youtube.com
Calcium Oxalate Stones in Crohn Disease YouTube Crohn's Disease Urine Inflammatory bowel disease (ibd) is comprised of two major disorders: Ulcerative colitis (uc) and crohn disease (cd). Fistulizing crohn’s disease is caused by inflammation that results in the formation of a fistula —an abnormal channel between the. Cystitis was the most common. People with ulcerative colitis are more likely to develop kidney stones — hard deposits of salts and minerals. Crohn's Disease Urine.
From www.cureus.com
Cureus Recurrent Urinary Tract Infection in a Patient With Crohn's Disease Urine People with ulcerative colitis are more likely to develop kidney stones — hard deposits of salts and minerals in the kidneys. Cystitis was the most common. People diagnosed with crohn’s disease have a higher risk of developing kidney stones in the urinary tract than those without crohn’s, including those with ulcerative colitis. Fistulizing crohn’s disease is caused by inflammation that. Crohn's Disease Urine.
From www.pacehospital.com
Crohn's Disease Symptoms, Causes, Complications & Prevention Crohn's Disease Urine Fistulizing crohn’s disease is caused by inflammation that results in the formation of a fistula —an abnormal channel between the. People with ulcerative colitis are more likely to develop kidney stones — hard deposits of salts and minerals in the kidneys. Crohn’s disease is a lifelong condition that causes inflammation in the digestive tract. In people with crohn’s disease, hydronephrosis. Crohn's Disease Urine.
From casereports.bmj.com
Recurrent urinary tract infections in a patient with Crohn's disease Crohn's Disease Urine Crohn’s disease is a lifelong condition that causes inflammation in the digestive tract. Increased urination is one possible symptom of. People diagnosed with crohn’s disease have a higher risk of developing kidney stones in the urinary tract than those without crohn’s, including those with ulcerative colitis. People with ulcerative colitis are more likely to develop kidney stones — hard deposits. Crohn's Disease Urine.
From www.healthcentral.com
Crohn’s Disease Complications Obstruction, Fistulas and More Crohn's Disease Urine Inflammatory bowel disease (ibd) is comprised of two major disorders: Increased urination is one possible symptom of. Crohn’s disease is a lifelong condition that causes inflammation in the digestive tract. People with ulcerative colitis are more likely to develop kidney stones — hard deposits of salts and minerals in the kidneys. Ulcerative colitis (uc) and crohn disease (cd). Fistulizing crohn’s. Crohn's Disease Urine.
From www.researchgate.net
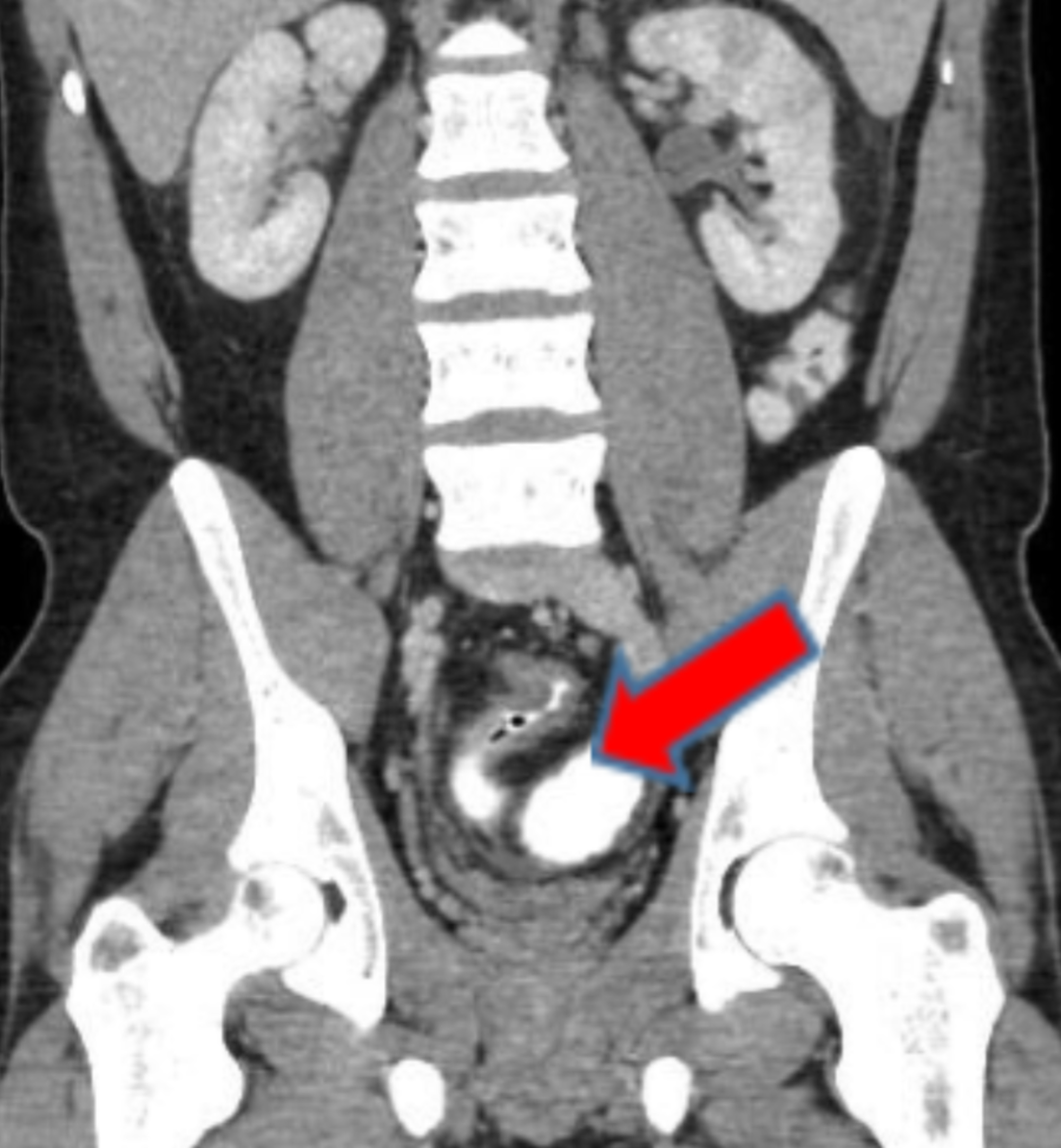
Crohn's disease. Contrastenhanced CT scan shows distal ileal loops Crohn's Disease Urine Ulcerative colitis (uc) and crohn disease (cd). People with ulcerative colitis are more likely to develop kidney stones — hard deposits of salts and minerals in the kidneys. Increased urination is one possible symptom of. Inflammatory bowel disease (ibd) is comprised of two major disorders: Cystitis was the most common. Crohn’s disease is a lifelong condition that causes inflammation in. Crohn's Disease Urine.
From jdigitaldiagnostics.com
Latent course of Crohn’s disease the role of tomographic imaging in Crohn's Disease Urine Increased urination is one possible symptom of. Ulcerative colitis (uc) and crohn disease (cd). Crohn’s disease is a lifelong condition that causes inflammation in the digestive tract. In people with crohn’s disease, hydronephrosis often occurs in the right kidney, close to the terminal ileum. People diagnosed with crohn’s disease have a higher risk of developing kidney stones in the urinary. Crohn's Disease Urine.
From www.gastroenterologyadvisor.com
Crohn Disease Strictures Respond to Intensive Therapy With Adalimumab Crohn's Disease Urine In people with crohn’s disease, hydronephrosis often occurs in the right kidney, close to the terminal ileum. Crohn’s disease is a lifelong condition that causes inflammation in the digestive tract. People with ulcerative colitis are more likely to develop kidney stones — hard deposits of salts and minerals in the kidneys. Ulcerative colitis (uc) and crohn disease (cd). Inflammatory bowel. Crohn's Disease Urine.
From www.osmosis.org
Osmosis Nephrolithiasis What Is It, Types, Signs and Symptoms Crohn's Disease Urine In people with crohn’s disease, hydronephrosis often occurs in the right kidney, close to the terminal ileum. People with ulcerative colitis are more likely to develop kidney stones — hard deposits of salts and minerals in the kidneys. Ulcerative colitis (uc) and crohn disease (cd). Cystitis was the most common. Inflammatory bowel disease (ibd) is comprised of two major disorders:. Crohn's Disease Urine.
From dokumen.tips
(PDF) Management of urinary complications in Crohn's disease DOKUMEN.TIPS Crohn's Disease Urine Inflammatory bowel disease (ibd) is comprised of two major disorders: People diagnosed with crohn’s disease have a higher risk of developing kidney stones in the urinary tract than those without crohn’s, including those with ulcerative colitis. Crohn’s disease is a lifelong condition that causes inflammation in the digestive tract. Fistulizing crohn’s disease is caused by inflammation that results in the. Crohn's Disease Urine.
From interestingfactsworld.com
23+ Mind Blowing Crohn Disease Facts You Must Learn Crohn's Disease Urine Fistulizing crohn’s disease is caused by inflammation that results in the formation of a fistula —an abnormal channel between the. Inflammatory bowel disease (ibd) is comprised of two major disorders: Cystitis was the most common. In people with crohn’s disease, hydronephrosis often occurs in the right kidney, close to the terminal ileum. People diagnosed with crohn’s disease have a higher. Crohn's Disease Urine.