Lupus Nephritis In Dogs . What is the treatment for discoid lupus in. Breeds that most typically are affected by sle include afghan hounds, beagles, german shepherd dogs, irish setters, old. Lupus can be serious, but treatments do exist, and they. Diagnosis is suspected by excess urine protein found in urine, and/or low albumin found on a blood test. There are two types of lupus in dogs: What causes lupus in dogs? Over time, dogs may develop symptoms, including vomiting and increased thirst or urination. Chronic cutaneous lupus (ccl) and systemic lupus erythematosus (sle). In many dogs with glomerulonephritis, the cause cannot be found. What are the clinical signs of glomerulonephritis? What is the treatment for systemic lupus in dogs? When the filtering ability of. Definitive diagnosis of glomerulonephritis and its. Initially, clinical signs of kidney disease in sle are hard to detect.
from www.ajkd.org
Breeds that most typically are affected by sle include afghan hounds, beagles, german shepherd dogs, irish setters, old. In many dogs with glomerulonephritis, the cause cannot be found. When the filtering ability of. There are two types of lupus in dogs: Initially, clinical signs of kidney disease in sle are hard to detect. What is the treatment for systemic lupus in dogs? Definitive diagnosis of glomerulonephritis and its. Lupus can be serious, but treatments do exist, and they. What causes lupus in dogs? What is the treatment for discoid lupus in.
Novel Therapeutic Approaches to Lupus Glomerulonephritis Translating Animal Models to Clinical
Lupus Nephritis In Dogs Definitive diagnosis of glomerulonephritis and its. Breeds that most typically are affected by sle include afghan hounds, beagles, german shepherd dogs, irish setters, old. What are the clinical signs of glomerulonephritis? Lupus can be serious, but treatments do exist, and they. There are two types of lupus in dogs: Over time, dogs may develop symptoms, including vomiting and increased thirst or urination. What is the treatment for discoid lupus in. When the filtering ability of. Initially, clinical signs of kidney disease in sle are hard to detect. What is the treatment for systemic lupus in dogs? Diagnosis is suspected by excess urine protein found in urine, and/or low albumin found on a blood test. Definitive diagnosis of glomerulonephritis and its. What causes lupus in dogs? In many dogs with glomerulonephritis, the cause cannot be found. Chronic cutaneous lupus (ccl) and systemic lupus erythematosus (sle).
From www.mdpi.com
IJMS Free FullText Lupus Nephritis Risk Factors and Biomarkers An Update Lupus Nephritis In Dogs There are two types of lupus in dogs: What causes lupus in dogs? Lupus can be serious, but treatments do exist, and they. In many dogs with glomerulonephritis, the cause cannot be found. Breeds that most typically are affected by sle include afghan hounds, beagles, german shepherd dogs, irish setters, old. Chronic cutaneous lupus (ccl) and systemic lupus erythematosus (sle).. Lupus Nephritis In Dogs.
From www.arkanalabs.com
Membranous Lupus Nephritis Teaching Point Arkana Labs Lupus Nephritis In Dogs Diagnosis is suspected by excess urine protein found in urine, and/or low albumin found on a blood test. Definitive diagnosis of glomerulonephritis and its. What are the clinical signs of glomerulonephritis? Over time, dogs may develop symptoms, including vomiting and increased thirst or urination. There are two types of lupus in dogs: What is the treatment for systemic lupus in. Lupus Nephritis In Dogs.
From avmajournals.avma.org
Association of ultrasonographic features with histologic findings in 71 dogs with proteinlosing Lupus Nephritis In Dogs What is the treatment for discoid lupus in. Over time, dogs may develop symptoms, including vomiting and increased thirst or urination. When the filtering ability of. In many dogs with glomerulonephritis, the cause cannot be found. What is the treatment for systemic lupus in dogs? What causes lupus in dogs? There are two types of lupus in dogs: Diagnosis is. Lupus Nephritis In Dogs.
From www.yahoo.com
Glomerulonephritis in Dogs Symptoms, Causes, & Treatments Lupus Nephritis In Dogs Initially, clinical signs of kidney disease in sle are hard to detect. What is the treatment for discoid lupus in. Lupus can be serious, but treatments do exist, and they. In many dogs with glomerulonephritis, the cause cannot be found. Definitive diagnosis of glomerulonephritis and its. What causes lupus in dogs? What are the clinical signs of glomerulonephritis? Chronic cutaneous. Lupus Nephritis In Dogs.
From www.renalfellow.org
Kidney Biopsy of the Month Lupus Nephritis Renal Fellow Network Lupus Nephritis In Dogs Lupus can be serious, but treatments do exist, and they. Diagnosis is suspected by excess urine protein found in urine, and/or low albumin found on a blood test. What are the clinical signs of glomerulonephritis? What is the treatment for discoid lupus in. Definitive diagnosis of glomerulonephritis and its. When the filtering ability of. What is the treatment for systemic. Lupus Nephritis In Dogs.
From www.researchgate.net
a Lupus nephritis Class IV with mesangial and endocapillary... Download Scientific Diagram Lupus Nephritis In Dogs What causes lupus in dogs? Lupus can be serious, but treatments do exist, and they. When the filtering ability of. In many dogs with glomerulonephritis, the cause cannot be found. Over time, dogs may develop symptoms, including vomiting and increased thirst or urination. What are the clinical signs of glomerulonephritis? Definitive diagnosis of glomerulonephritis and its. Breeds that most typically. Lupus Nephritis In Dogs.
From www.longdom.org
cellularimmunologyProposedmechanism Lupus Nephritis In Dogs What is the treatment for systemic lupus in dogs? Initially, clinical signs of kidney disease in sle are hard to detect. In many dogs with glomerulonephritis, the cause cannot be found. Definitive diagnosis of glomerulonephritis and its. There are two types of lupus in dogs: Diagnosis is suspected by excess urine protein found in urine, and/or low albumin found on. Lupus Nephritis In Dogs.
From www.researchgate.net
(PDF) Animal model of human disease hereditary nephritis in Samoyed dogs Lupus Nephritis In Dogs Breeds that most typically are affected by sle include afghan hounds, beagles, german shepherd dogs, irish setters, old. Definitive diagnosis of glomerulonephritis and its. In many dogs with glomerulonephritis, the cause cannot be found. Chronic cutaneous lupus (ccl) and systemic lupus erythematosus (sle). What are the clinical signs of glomerulonephritis? What is the treatment for systemic lupus in dogs? Diagnosis. Lupus Nephritis In Dogs.
From mavink.com
Stages Of Lupus Nephritis Lupus Nephritis In Dogs Lupus can be serious, but treatments do exist, and they. What causes lupus in dogs? In many dogs with glomerulonephritis, the cause cannot be found. What is the treatment for discoid lupus in. There are two types of lupus in dogs: What are the clinical signs of glomerulonephritis? When the filtering ability of. Breeds that most typically are affected by. Lupus Nephritis In Dogs.
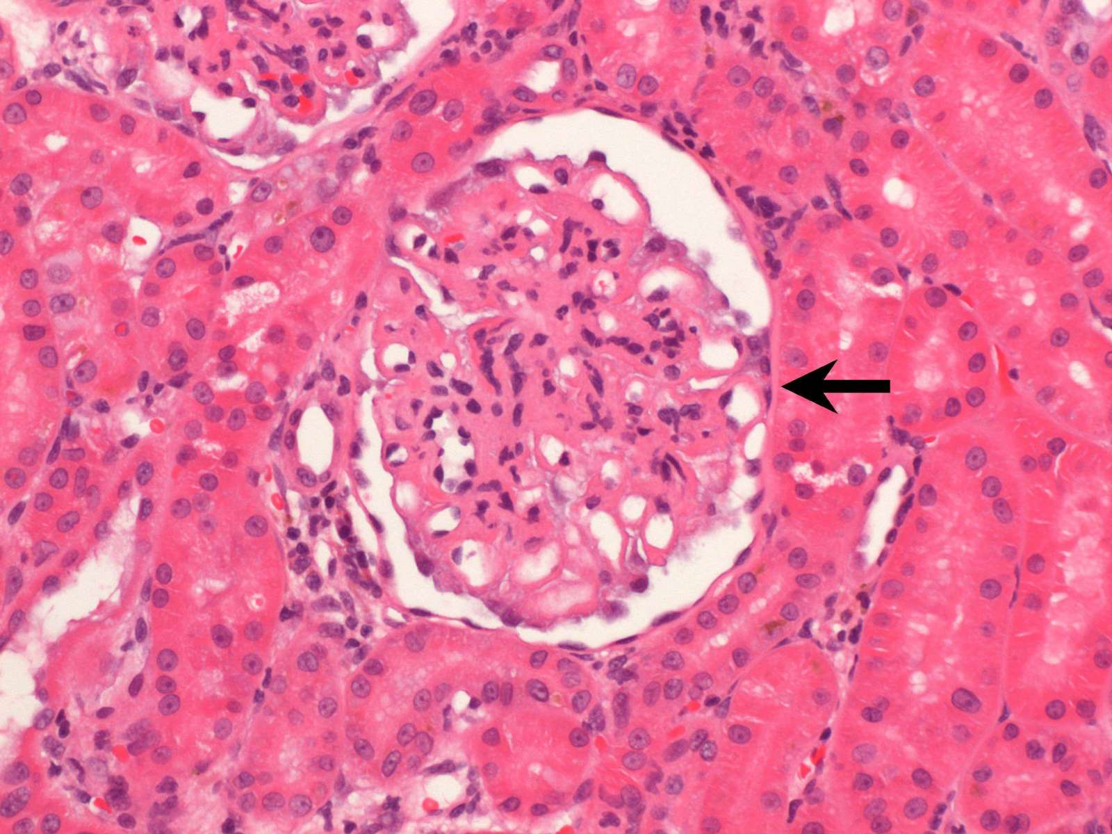
From www.arkanalabs.com
Membranous Lupus Nephritis Teaching Point Arkana Labs Lupus Nephritis In Dogs Definitive diagnosis of glomerulonephritis and its. Diagnosis is suspected by excess urine protein found in urine, and/or low albumin found on a blood test. Initially, clinical signs of kidney disease in sle are hard to detect. There are two types of lupus in dogs: What are the clinical signs of glomerulonephritis? What causes lupus in dogs? When the filtering ability. Lupus Nephritis In Dogs.
From www.mdpi.com
Medicina Free FullText Lupus Nephritis in Children Novel Perspectives Lupus Nephritis In Dogs What is the treatment for systemic lupus in dogs? Initially, clinical signs of kidney disease in sle are hard to detect. What is the treatment for discoid lupus in. Diagnosis is suspected by excess urine protein found in urine, and/or low albumin found on a blood test. Definitive diagnosis of glomerulonephritis and its. Breeds that most typically are affected by. Lupus Nephritis In Dogs.
From www.healthcareradius.in
DCGI approves clinical study for Itolizumab in Lupus Nephritis Healthcare Radius Lupus Nephritis In Dogs Breeds that most typically are affected by sle include afghan hounds, beagles, german shepherd dogs, irish setters, old. Diagnosis is suspected by excess urine protein found in urine, and/or low albumin found on a blood test. When the filtering ability of. Lupus can be serious, but treatments do exist, and they. Over time, dogs may develop symptoms, including vomiting and. Lupus Nephritis In Dogs.
From www.cytopath.co.uk
Glomerulonephritis in a dog Case Study Cytopath Lupus Nephritis In Dogs Initially, clinical signs of kidney disease in sle are hard to detect. What is the treatment for systemic lupus in dogs? What is the treatment for discoid lupus in. Chronic cutaneous lupus (ccl) and systemic lupus erythematosus (sle). Diagnosis is suspected by excess urine protein found in urine, and/or low albumin found on a blood test. When the filtering ability. Lupus Nephritis In Dogs.
From dogdiscoveries.com
Can Dogs Survive Lyme Nephritis? Here's What Vets Say Dog Discoveries Lupus Nephritis In Dogs Lupus can be serious, but treatments do exist, and they. In many dogs with glomerulonephritis, the cause cannot be found. Over time, dogs may develop symptoms, including vomiting and increased thirst or urination. What is the treatment for systemic lupus in dogs? Breeds that most typically are affected by sle include afghan hounds, beagles, german shepherd dogs, irish setters, old.. Lupus Nephritis In Dogs.
From www.youtube.com
Lupus Nephritis Wire Loop Lesion YouTube Lupus Nephritis In Dogs What is the treatment for systemic lupus in dogs? Diagnosis is suspected by excess urine protein found in urine, and/or low albumin found on a blood test. In many dogs with glomerulonephritis, the cause cannot be found. Lupus can be serious, but treatments do exist, and they. What are the clinical signs of glomerulonephritis? Chronic cutaneous lupus (ccl) and systemic. Lupus Nephritis In Dogs.
From www.slideshare.net
Lupus Nephritis Lupus Nephritis In Dogs Lupus can be serious, but treatments do exist, and they. What is the treatment for discoid lupus in. Diagnosis is suspected by excess urine protein found in urine, and/or low albumin found on a blood test. Definitive diagnosis of glomerulonephritis and its. In many dogs with glomerulonephritis, the cause cannot be found. There are two types of lupus in dogs:. Lupus Nephritis In Dogs.
From www.frontiersin.org
Frontiers IFNI Mediates Lupus Nephritis From the Beginning to Renal Fibrosis Lupus Nephritis In Dogs What are the clinical signs of glomerulonephritis? Initially, clinical signs of kidney disease in sle are hard to detect. There are two types of lupus in dogs: What is the treatment for systemic lupus in dogs? Lupus can be serious, but treatments do exist, and they. When the filtering ability of. Over time, dogs may develop symptoms, including vomiting and. Lupus Nephritis In Dogs.
From www.veterinary33.com
Treatment of canine chronic cutaneous lupus erythematosus with oclacitinib Veterinary 33 Lupus Nephritis In Dogs What is the treatment for systemic lupus in dogs? Chronic cutaneous lupus (ccl) and systemic lupus erythematosus (sle). What is the treatment for discoid lupus in. What causes lupus in dogs? Lupus can be serious, but treatments do exist, and they. Initially, clinical signs of kidney disease in sle are hard to detect. In many dogs with glomerulonephritis, the cause. Lupus Nephritis In Dogs.
From www.researchgate.net
Nephritis, kidneys, newborn dog. Basophilic bacterial colonies (stars)... Download Scientific Lupus Nephritis In Dogs Initially, clinical signs of kidney disease in sle are hard to detect. Chronic cutaneous lupus (ccl) and systemic lupus erythematosus (sle). When the filtering ability of. What are the clinical signs of glomerulonephritis? Over time, dogs may develop symptoms, including vomiting and increased thirst or urination. What causes lupus in dogs? What is the treatment for systemic lupus in dogs?. Lupus Nephritis In Dogs.
From animalia-life.club
Can Dogs Survive Lyme Nephritis Lupus Nephritis In Dogs What is the treatment for systemic lupus in dogs? When the filtering ability of. Chronic cutaneous lupus (ccl) and systemic lupus erythematosus (sle). Over time, dogs may develop symptoms, including vomiting and increased thirst or urination. Initially, clinical signs of kidney disease in sle are hard to detect. Definitive diagnosis of glomerulonephritis and its. In many dogs with glomerulonephritis, the. Lupus Nephritis In Dogs.
From www.pediatric.theclinics.com
Lupus Nephritis Pediatric Clinics Lupus Nephritis In Dogs Over time, dogs may develop symptoms, including vomiting and increased thirst or urination. Initially, clinical signs of kidney disease in sle are hard to detect. What are the clinical signs of glomerulonephritis? What causes lupus in dogs? There are two types of lupus in dogs: Definitive diagnosis of glomerulonephritis and its. Chronic cutaneous lupus (ccl) and systemic lupus erythematosus (sle).. Lupus Nephritis In Dogs.
From www.ncbi.nlm.nih.gov
Fig. 25.6, [The ISN/RPS 2003 classification of lupus nephritis [].]. Skills in Rheumatology Lupus Nephritis In Dogs When the filtering ability of. There are two types of lupus in dogs: Definitive diagnosis of glomerulonephritis and its. What is the treatment for systemic lupus in dogs? Chronic cutaneous lupus (ccl) and systemic lupus erythematosus (sle). Initially, clinical signs of kidney disease in sle are hard to detect. In many dogs with glomerulonephritis, the cause cannot be found. Over. Lupus Nephritis In Dogs.
From www.withpower.com
Voclosporin for Lupus Nephritis Clinical Trial 2023 Power Lupus Nephritis In Dogs Diagnosis is suspected by excess urine protein found in urine, and/or low albumin found on a blood test. What is the treatment for systemic lupus in dogs? Chronic cutaneous lupus (ccl) and systemic lupus erythematosus (sle). What are the clinical signs of glomerulonephritis? Initially, clinical signs of kidney disease in sle are hard to detect. Definitive diagnosis of glomerulonephritis and. Lupus Nephritis In Dogs.
From www.youtube.com
How to Deal with Discoid Lupus in Dogs YouTube Lupus Nephritis In Dogs Chronic cutaneous lupus (ccl) and systemic lupus erythematosus (sle). When the filtering ability of. Over time, dogs may develop symptoms, including vomiting and increased thirst or urination. What is the treatment for discoid lupus in. Diagnosis is suspected by excess urine protein found in urine, and/or low albumin found on a blood test. Definitive diagnosis of glomerulonephritis and its. There. Lupus Nephritis In Dogs.
From ilovepathology.com
SYSTEMIC LUPUS ERYTHEMATOSUS Lab Diagnosis & Morphology Pathology Made Simple Lupus Nephritis In Dogs When the filtering ability of. Chronic cutaneous lupus (ccl) and systemic lupus erythematosus (sle). There are two types of lupus in dogs: What is the treatment for systemic lupus in dogs? Definitive diagnosis of glomerulonephritis and its. Lupus can be serious, but treatments do exist, and they. Over time, dogs may develop symptoms, including vomiting and increased thirst or urination.. Lupus Nephritis In Dogs.
From vetstudyhub.com
Nephritis In Dogs Lupus Nephritis In Dogs Breeds that most typically are affected by sle include afghan hounds, beagles, german shepherd dogs, irish setters, old. There are two types of lupus in dogs: What causes lupus in dogs? When the filtering ability of. In many dogs with glomerulonephritis, the cause cannot be found. What is the treatment for systemic lupus in dogs? What are the clinical signs. Lupus Nephritis In Dogs.
From alchetron.com
Lupus nephritis Alchetron, The Free Social Encyclopedia Lupus Nephritis In Dogs Over time, dogs may develop symptoms, including vomiting and increased thirst or urination. Breeds that most typically are affected by sle include afghan hounds, beagles, german shepherd dogs, irish setters, old. What is the treatment for systemic lupus in dogs? Diagnosis is suspected by excess urine protein found in urine, and/or low albumin found on a blood test. Chronic cutaneous. Lupus Nephritis In Dogs.
From dogdiscoveries.com
Can Dogs Survive Lyme Nephritis? Here's What Vets Say Dog Discoveries Lupus Nephritis In Dogs What is the treatment for systemic lupus in dogs? Definitive diagnosis of glomerulonephritis and its. Diagnosis is suspected by excess urine protein found in urine, and/or low albumin found on a blood test. Lupus can be serious, but treatments do exist, and they. There are two types of lupus in dogs: What is the treatment for discoid lupus in. Over. Lupus Nephritis In Dogs.
From www.ajkd.org
Novel Therapeutic Approaches to Lupus Glomerulonephritis Translating Animal Models to Clinical Lupus Nephritis In Dogs What causes lupus in dogs? Lupus can be serious, but treatments do exist, and they. Diagnosis is suspected by excess urine protein found in urine, and/or low albumin found on a blood test. In many dogs with glomerulonephritis, the cause cannot be found. Initially, clinical signs of kidney disease in sle are hard to detect. There are two types of. Lupus Nephritis In Dogs.
From dokumen.tips
(PDF) Interstitial nephritis and glomerulonephritis in visceral leishmaniasis in a dog A case Lupus Nephritis In Dogs Definitive diagnosis of glomerulonephritis and its. Over time, dogs may develop symptoms, including vomiting and increased thirst or urination. In many dogs with glomerulonephritis, the cause cannot be found. There are two types of lupus in dogs: When the filtering ability of. Diagnosis is suspected by excess urine protein found in urine, and/or low albumin found on a blood test.. Lupus Nephritis In Dogs.
From www.mylupusteam.com
Lupus Nephritis and the Kidneys 7 Things To Know MyLupusTeam Lupus Nephritis In Dogs Lupus can be serious, but treatments do exist, and they. What is the treatment for systemic lupus in dogs? Chronic cutaneous lupus (ccl) and systemic lupus erythematosus (sle). Diagnosis is suspected by excess urine protein found in urine, and/or low albumin found on a blood test. Initially, clinical signs of kidney disease in sle are hard to detect. Over time,. Lupus Nephritis In Dogs.
From ar.inspiredpencil.com
Lupus In Dogs Symptoms Lupus Nephritis In Dogs In many dogs with glomerulonephritis, the cause cannot be found. Diagnosis is suspected by excess urine protein found in urine, and/or low albumin found on a blood test. There are two types of lupus in dogs: Lupus can be serious, but treatments do exist, and they. What causes lupus in dogs? What is the treatment for systemic lupus in dogs?. Lupus Nephritis In Dogs.
From in.pinterest.com
SLE nephritis Histology slides, Immunology, Lupus nephritis Lupus Nephritis In Dogs What are the clinical signs of glomerulonephritis? What is the treatment for discoid lupus in. Lupus can be serious, but treatments do exist, and they. Diagnosis is suspected by excess urine protein found in urine, and/or low albumin found on a blood test. Definitive diagnosis of glomerulonephritis and its. When the filtering ability of. There are two types of lupus. Lupus Nephritis In Dogs.
From www.researchgate.net
Frequency of nephritis observed in dogs naturally infected with... Download Table Lupus Nephritis In Dogs Breeds that most typically are affected by sle include afghan hounds, beagles, german shepherd dogs, irish setters, old. Initially, clinical signs of kidney disease in sle are hard to detect. Chronic cutaneous lupus (ccl) and systemic lupus erythematosus (sle). Definitive diagnosis of glomerulonephritis and its. Diagnosis is suspected by excess urine protein found in urine, and/or low albumin found on. Lupus Nephritis In Dogs.
From kidneycareep.com
Glomerulonephritis in El Paso, TX Lupus Nephritis In Dogs In many dogs with glomerulonephritis, the cause cannot be found. Chronic cutaneous lupus (ccl) and systemic lupus erythematosus (sle). What is the treatment for systemic lupus in dogs? There are two types of lupus in dogs: Diagnosis is suspected by excess urine protein found in urine, and/or low albumin found on a blood test. When the filtering ability of. Definitive. Lupus Nephritis In Dogs.