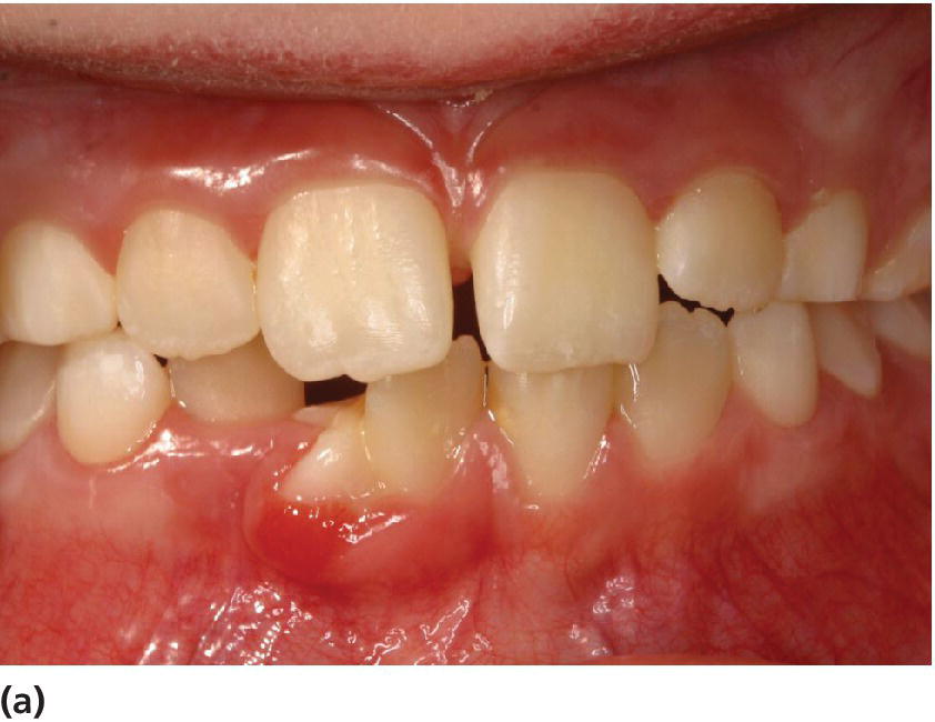
Gingivitis Jaw . It can lead to periodontal disease and tooth loss. But jaw pain may also be a. One of the first signs of gingivitis is that your gums will bleed when you brush or floss your teeth. It happens when plaque and bacteria build up on your teeth and cause infection. Gingivitis is the early stage of gum disease. Periodontitis begins with inflammation in the gums known as gingivitis. Good oral hygiene and quick treatment can stop. Gingivitis is an inflammation of the gums caused by a bacterial infection. Many factors can cause jaw pain, such as grinding your teeth, gum disease or a toothache. Gingivitis is a common and mild form of gum disease that causes irritation, redness and swelling of your gums. Gingivitis is an often painful inflammation of the gums. It typically occurs due to plaque buildup on the teeth and is often treatable with oral hygiene improvements. If left untreated, it can become a serious infection known as periodontitis. Jaw pain may be mild or can be severe and affect your quality of life. Gingivitis is the earliest stage of gum disease.
from allsmilesdentspa.com
Gingivitis is an often painful inflammation of the gums. Good oral hygiene and quick treatment can stop. Gingivitis is the early stage of gum disease. But jaw pain may also be a. Gingivitis is an inflammation of the gums caused by a bacterial infection. It typically occurs due to plaque buildup on the teeth and is often treatable with oral hygiene improvements. It can lead to periodontal disease and tooth loss. If left untreated, it can become a serious infection known as periodontitis. One of the first signs of gingivitis is that your gums will bleed when you brush or floss your teeth. Gingivitis is the earliest stage of gum disease.
Gum Inflammation / Gingivitis Symptoms and Remedies
Gingivitis Jaw Gingivitis is an inflammation of the gums caused by a bacterial infection. It happens when plaque and bacteria build up on your teeth and cause infection. Jaw pain may be mild or can be severe and affect your quality of life. Gingivitis is a common and mild form of gum disease that causes irritation, redness and swelling of your gums. Gingivitis is an often painful inflammation of the gums. Gingivitis is an inflammation of the gums caused by a bacterial infection. Good oral hygiene and quick treatment can stop. Many factors can cause jaw pain, such as grinding your teeth, gum disease or a toothache. Gingivitis is the early stage of gum disease. It can lead to periodontal disease and tooth loss. It typically occurs due to plaque buildup on the teeth and is often treatable with oral hygiene improvements. But jaw pain may also be a. Gingivitis is the earliest stage of gum disease. If left untreated, it can become a serious infection known as periodontitis. One of the first signs of gingivitis is that your gums will bleed when you brush or floss your teeth. Periodontitis begins with inflammation in the gums known as gingivitis.
From www.millsriverdental.com
3+ Important Facts About Gingivitis Mills River Family Dental Gingivitis Jaw Jaw pain may be mild or can be severe and affect your quality of life. But jaw pain may also be a. Periodontitis begins with inflammation in the gums known as gingivitis. Gingivitis is an inflammation of the gums caused by a bacterial infection. Good oral hygiene and quick treatment can stop. Gingivitis is an often painful inflammation of the. Gingivitis Jaw.
From www.dreamstime.com
Severe Gingivitis, Visible on Xray Stock Image Image of dented, jaws Gingivitis Jaw Jaw pain may be mild or can be severe and affect your quality of life. Gingivitis is the early stage of gum disease. But jaw pain may also be a. It happens when plaque and bacteria build up on your teeth and cause infection. Gingivitis is an often painful inflammation of the gums. Gingivitis is the earliest stage of gum. Gingivitis Jaw.
From dentalclinicshivpuri.com
Clinical Features of Gingivitis Dr Gourav Sharma Gingivitis Jaw Jaw pain may be mild or can be severe and affect your quality of life. It typically occurs due to plaque buildup on the teeth and is often treatable with oral hygiene improvements. It happens when plaque and bacteria build up on your teeth and cause infection. Gingivitis is the earliest stage of gum disease. One of the first signs. Gingivitis Jaw.
From www.freepik.es
Infografía de dientes enfermedad de las encías etapas gingivitis Gingivitis Jaw One of the first signs of gingivitis is that your gums will bleed when you brush or floss your teeth. It typically occurs due to plaque buildup on the teeth and is often treatable with oral hygiene improvements. Jaw pain may be mild or can be severe and affect your quality of life. Gingivitis is a common and mild form. Gingivitis Jaw.
From cehecxww.blob.core.windows.net
Gingivitis On One Tooth at Kelvin Chapman blog Gingivitis Jaw Gingivitis is an often painful inflammation of the gums. Jaw pain may be mild or can be severe and affect your quality of life. Periodontitis begins with inflammation in the gums known as gingivitis. One of the first signs of gingivitis is that your gums will bleed when you brush or floss your teeth. Good oral hygiene and quick treatment. Gingivitis Jaw.
From sunnysmilesep.com
Treating Gingivitis With A Deep Cleaning El Paso, TX Gingivitis Jaw Gingivitis is an often painful inflammation of the gums. Gingivitis is an inflammation of the gums caused by a bacterial infection. It can lead to periodontal disease and tooth loss. Periodontitis begins with inflammation in the gums known as gingivitis. It happens when plaque and bacteria build up on your teeth and cause infection. One of the first signs of. Gingivitis Jaw.
From exoznupou.blob.core.windows.net
Infection In Gums Tooth at Anna Fermin blog Gingivitis Jaw Gingivitis is an inflammation of the gums caused by a bacterial infection. It happens when plaque and bacteria build up on your teeth and cause infection. It can lead to periodontal disease and tooth loss. If left untreated, it can become a serious infection known as periodontitis. Jaw pain may be mild or can be severe and affect your quality. Gingivitis Jaw.
From pocketdentistry.com
14 Periodontal Conditions Pocket Dentistry Gingivitis Jaw Good oral hygiene and quick treatment can stop. It happens when plaque and bacteria build up on your teeth and cause infection. Gingivitis is a common and mild form of gum disease that causes irritation, redness and swelling of your gums. It typically occurs due to plaque buildup on the teeth and is often treatable with oral hygiene improvements. Gingivitis. Gingivitis Jaw.
From www.dentalimplantcenter.com
Gingivitis And Periodontal Disease Dental Implant Center Gingivitis Jaw Gingivitis is a common and mild form of gum disease that causes irritation, redness and swelling of your gums. Good oral hygiene and quick treatment can stop. Gingivitis is the early stage of gum disease. If left untreated, it can become a serious infection known as periodontitis. Jaw pain may be mild or can be severe and affect your quality. Gingivitis Jaw.
From famident.hn
Gingivitis Una amenaza silenciosa para tu sonrisa Clínica dental en Gingivitis Jaw If left untreated, it can become a serious infection known as periodontitis. But jaw pain may also be a. Good oral hygiene and quick treatment can stop. It can lead to periodontal disease and tooth loss. It happens when plaque and bacteria build up on your teeth and cause infection. It typically occurs due to plaque buildup on the teeth. Gingivitis Jaw.
From clinicajorgeesteban.com
Enfermedad periodontal diferencias entre periodontitis y gingivitis Gingivitis Jaw Many factors can cause jaw pain, such as grinding your teeth, gum disease or a toothache. But jaw pain may also be a. Periodontitis begins with inflammation in the gums known as gingivitis. Gingivitis is the early stage of gum disease. One of the first signs of gingivitis is that your gums will bleed when you brush or floss your. Gingivitis Jaw.
From www.tmjplus.com
Stages of Periodontal Disease TMJ Plus Wellness Center Gingivitis Jaw Many factors can cause jaw pain, such as grinding your teeth, gum disease or a toothache. It typically occurs due to plaque buildup on the teeth and is often treatable with oral hygiene improvements. One of the first signs of gingivitis is that your gums will bleed when you brush or floss your teeth. Periodontitis begins with inflammation in the. Gingivitis Jaw.
From www.dreamstime.com
Gingivitis Vector Illustration. Medical Oral Mouth Illness Symptoms Gingivitis Jaw Periodontitis begins with inflammation in the gums known as gingivitis. If left untreated, it can become a serious infection known as periodontitis. It can lead to periodontal disease and tooth loss. Good oral hygiene and quick treatment can stop. Jaw pain may be mild or can be severe and affect your quality of life. Gingivitis is an often painful inflammation. Gingivitis Jaw.
From pocketdentistry.com
14 Periodontal Conditions Pocket Dentistry Gingivitis Jaw If left untreated, it can become a serious infection known as periodontitis. It can lead to periodontal disease and tooth loss. Many factors can cause jaw pain, such as grinding your teeth, gum disease or a toothache. But jaw pain may also be a. It typically occurs due to plaque buildup on the teeth and is often treatable with oral. Gingivitis Jaw.
From fightgumdisease.com
Learn About Gum Disease Gum Infection Stages Periodontitis Treatment Gingivitis Jaw Periodontitis begins with inflammation in the gums known as gingivitis. But jaw pain may also be a. It happens when plaque and bacteria build up on your teeth and cause infection. Good oral hygiene and quick treatment can stop. It can lead to periodontal disease and tooth loss. Jaw pain may be mild or can be severe and affect your. Gingivitis Jaw.
From es.wikipedia.org
Gingivitis Wikipedia, la enciclopedia libre Gingivitis Jaw Gingivitis is the earliest stage of gum disease. One of the first signs of gingivitis is that your gums will bleed when you brush or floss your teeth. Good oral hygiene and quick treatment can stop. It happens when plaque and bacteria build up on your teeth and cause infection. Gingivitis is the early stage of gum disease. It can. Gingivitis Jaw.
From www.pathwaydentists.co.nz
Gingivitis inflammation of the gums Pathway Dentists Gingivitis Jaw Periodontitis begins with inflammation in the gums known as gingivitis. Gingivitis is a common and mild form of gum disease that causes irritation, redness and swelling of your gums. But jaw pain may also be a. It can lead to periodontal disease and tooth loss. Gingivitis is the earliest stage of gum disease. One of the first signs of gingivitis. Gingivitis Jaw.
From www.msdmanuals.com
Gingivitis Mouth and Dental Disorders MSD Manual Consumer Version Gingivitis Jaw Periodontitis begins with inflammation in the gums known as gingivitis. Many factors can cause jaw pain, such as grinding your teeth, gum disease or a toothache. It typically occurs due to plaque buildup on the teeth and is often treatable with oral hygiene improvements. Gingivitis is an inflammation of the gums caused by a bacterial infection. Jaw pain may be. Gingivitis Jaw.
From www.alamy.com
Gingivitis. Inflamed gums of a patient suffering from gingivitis Gingivitis Jaw It can lead to periodontal disease and tooth loss. One of the first signs of gingivitis is that your gums will bleed when you brush or floss your teeth. Jaw pain may be mild or can be severe and affect your quality of life. Periodontitis begins with inflammation in the gums known as gingivitis. Good oral hygiene and quick treatment. Gingivitis Jaw.
From www.cureus.com
Severe Chronic Gingivitis in Association With Hypothyroidism and Grade Gingivitis Jaw Gingivitis is a common and mild form of gum disease that causes irritation, redness and swelling of your gums. But jaw pain may also be a. Many factors can cause jaw pain, such as grinding your teeth, gum disease or a toothache. Jaw pain may be mild or can be severe and affect your quality of life. Good oral hygiene. Gingivitis Jaw.
From www.alvarezluckow.com
Tratamiento de la gingivitis Clínica Dental Luckow Gingivitis Jaw It happens when plaque and bacteria build up on your teeth and cause infection. But jaw pain may also be a. Good oral hygiene and quick treatment can stop. One of the first signs of gingivitis is that your gums will bleed when you brush or floss your teeth. Gingivitis is the earliest stage of gum disease. Gingivitis is the. Gingivitis Jaw.
From www.aspendental.com
A Comprehensive Guide to Gingivitis Gingivitis Jaw Gingivitis is the early stage of gum disease. Good oral hygiene and quick treatment can stop. Periodontitis begins with inflammation in the gums known as gingivitis. It happens when plaque and bacteria build up on your teeth and cause infection. Gingivitis is the earliest stage of gum disease. If left untreated, it can become a serious infection known as periodontitis.. Gingivitis Jaw.
From www.fountainsdentalexcellence.com
How to Tell If You Have Gingivitis Fountains Dental Excellence Gingivitis Jaw Gingivitis is an often painful inflammation of the gums. If left untreated, it can become a serious infection known as periodontitis. But jaw pain may also be a. One of the first signs of gingivitis is that your gums will bleed when you brush or floss your teeth. Periodontitis begins with inflammation in the gums known as gingivitis. Gingivitis is. Gingivitis Jaw.
From www.edpdental.com
What is Gingivitis? Gingivitis Symptoms and Treatment Gingivitis Jaw Many factors can cause jaw pain, such as grinding your teeth, gum disease or a toothache. Gingivitis is the earliest stage of gum disease. One of the first signs of gingivitis is that your gums will bleed when you brush or floss your teeth. Gingivitis is an inflammation of the gums caused by a bacterial infection. Good oral hygiene and. Gingivitis Jaw.
From lookfordiagnosis.com
Gingival Diseases; Gingivosis; Epulis Gingivitis Jaw It typically occurs due to plaque buildup on the teeth and is often treatable with oral hygiene improvements. Jaw pain may be mild or can be severe and affect your quality of life. If left untreated, it can become a serious infection known as periodontitis. Many factors can cause jaw pain, such as grinding your teeth, gum disease or a. Gingivitis Jaw.
From www.livescience.com
Gingivitis & Periodontitis Symptoms & Treatment of Gum Disease Live Gingivitis Jaw Gingivitis is a common and mild form of gum disease that causes irritation, redness and swelling of your gums. Good oral hygiene and quick treatment can stop. If left untreated, it can become a serious infection known as periodontitis. But jaw pain may also be a. It typically occurs due to plaque buildup on the teeth and is often treatable. Gingivitis Jaw.
From www.lovettdentistrykohrville.com
What Is Gingivitis? Your Guide To Your Gums General Dentistry Texas Gingivitis Jaw Gingivitis is the earliest stage of gum disease. If left untreated, it can become a serious infection known as periodontitis. One of the first signs of gingivitis is that your gums will bleed when you brush or floss your teeth. Gingivitis is an often painful inflammation of the gums. Gingivitis is a common and mild form of gum disease that. Gingivitis Jaw.
From my.clevelandclinic.org
Gingivitis Symptoms & How To Treat It Gingivitis Jaw Gingivitis is the early stage of gum disease. Good oral hygiene and quick treatment can stop. Jaw pain may be mild or can be severe and affect your quality of life. Gingivitis is a common and mild form of gum disease that causes irritation, redness and swelling of your gums. It typically occurs due to plaque buildup on the teeth. Gingivitis Jaw.
From mydentaladvocate.com
What Does Gingivitis/Gum Disease Look Like? (20 Pictures) Gingivitis Jaw Periodontitis begins with inflammation in the gums known as gingivitis. Gingivitis is the early stage of gum disease. Jaw pain may be mild or can be severe and affect your quality of life. Gingivitis is an often painful inflammation of the gums. Gingivitis is a common and mild form of gum disease that causes irritation, redness and swelling of your. Gingivitis Jaw.
From mydentaladvocate.com
Gingivitis (The Ultimate Guide) 2024 MDA Gingivitis Jaw Gingivitis is a common and mild form of gum disease that causes irritation, redness and swelling of your gums. It typically occurs due to plaque buildup on the teeth and is often treatable with oral hygiene improvements. Jaw pain may be mild or can be severe and affect your quality of life. Gingivitis is the earliest stage of gum disease.. Gingivitis Jaw.
From www.alamy.com
Gingivitis. Closeup of swollen, inflamed receding gums around uneven Gingivitis Jaw But jaw pain may also be a. Jaw pain may be mild or can be severe and affect your quality of life. It happens when plaque and bacteria build up on your teeth and cause infection. Gingivitis is an inflammation of the gums caused by a bacterial infection. Good oral hygiene and quick treatment can stop. Periodontitis begins with inflammation. Gingivitis Jaw.
From dentistry.com
Gingivitis Gingivitis Jaw Gingivitis is the earliest stage of gum disease. Gingivitis is the early stage of gum disease. Jaw pain may be mild or can be severe and affect your quality of life. Gingivitis is an inflammation of the gums caused by a bacterial infection. It happens when plaque and bacteria build up on your teeth and cause infection. If left untreated,. Gingivitis Jaw.
From www.kauveryhospital.com
What is Gingivitis? Infographic Kauvery Hospital Gingivitis Jaw Many factors can cause jaw pain, such as grinding your teeth, gum disease or a toothache. Periodontitis begins with inflammation in the gums known as gingivitis. It can lead to periodontal disease and tooth loss. Gingivitis is the early stage of gum disease. It typically occurs due to plaque buildup on the teeth and is often treatable with oral hygiene. Gingivitis Jaw.
From www.lovettdentistrysharpstown.com
Five Signs of Gingivitis TX Periodontal Treatment Gingivitis Jaw Gingivitis is an often painful inflammation of the gums. Jaw pain may be mild or can be severe and affect your quality of life. It can lead to periodontal disease and tooth loss. Gingivitis is a common and mild form of gum disease that causes irritation, redness and swelling of your gums. But jaw pain may also be a. Periodontitis. Gingivitis Jaw.
From allsmilesdentspa.com
Gum Inflammation / Gingivitis Symptoms and Remedies Gingivitis Jaw Periodontitis begins with inflammation in the gums known as gingivitis. It happens when plaque and bacteria build up on your teeth and cause infection. Gingivitis is an inflammation of the gums caused by a bacterial infection. Good oral hygiene and quick treatment can stop. Gingivitis is the early stage of gum disease. Gingivitis is a common and mild form of. Gingivitis Jaw.