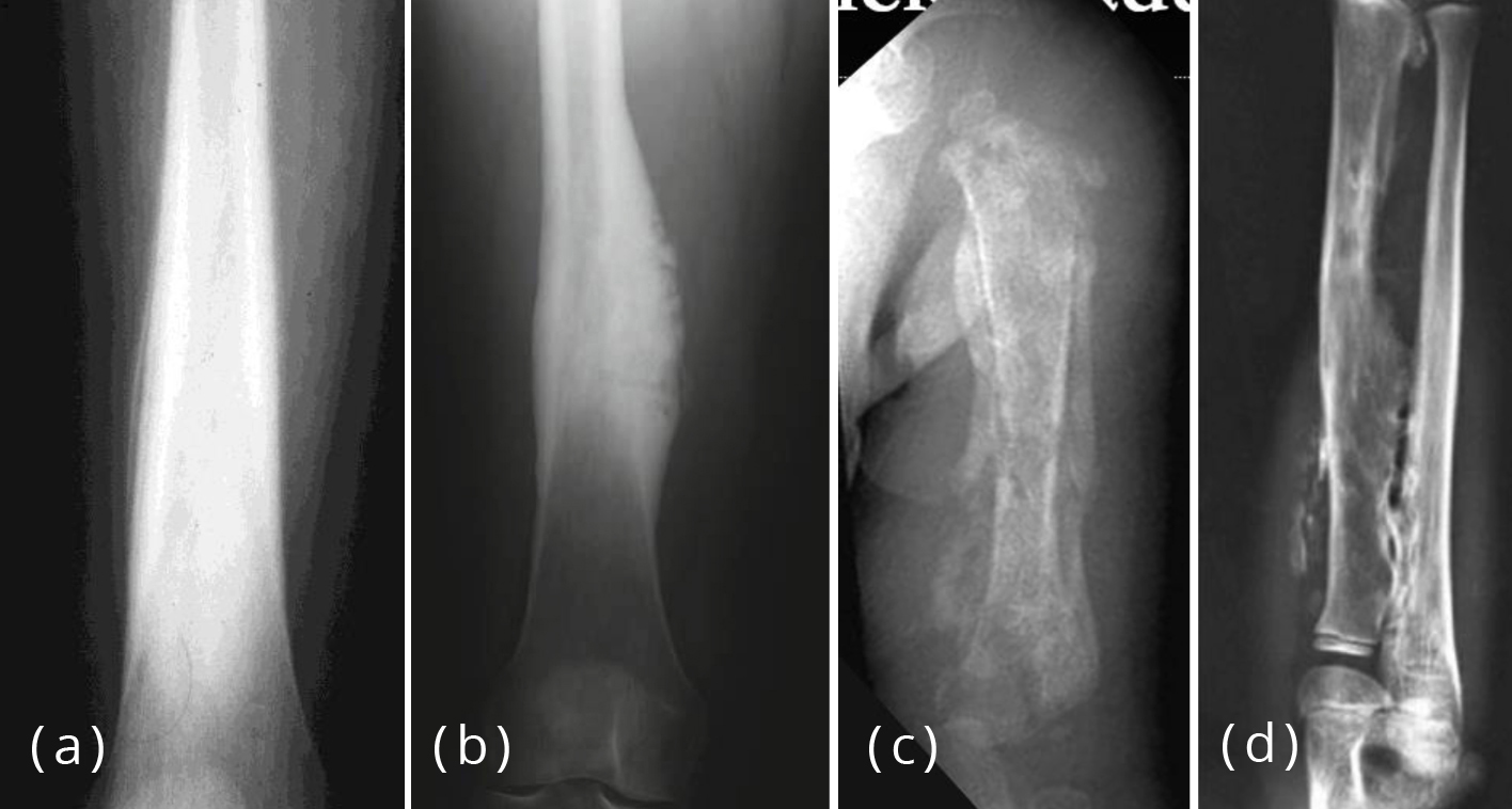
Spiculated Periosteal Reaction . Focal bone lesions fall into three broad categories: Imaging findings include thin or thick irregular periosteal reaction and characteristic spiculated, frothy, or lacy appearance of the subperiosteum. Periosteal reaction is a nonspecific response by the host bone to the underlying lesion. Parallel spiculated periosteal reaction (fig. Spicules of bone form perpendicular to the periosteal. Evaluation of focal bone lesions part i: As the periosteum is irritated, and potentially raised or disrupted by a bone lesion, the.
from healthjade.net
Parallel spiculated periosteal reaction (fig. Evaluation of focal bone lesions part i: Imaging findings include thin or thick irregular periosteal reaction and characteristic spiculated, frothy, or lacy appearance of the subperiosteum. Spicules of bone form perpendicular to the periosteal. Periosteal reaction is a nonspecific response by the host bone to the underlying lesion. As the periosteum is irritated, and potentially raised or disrupted by a bone lesion, the. Focal bone lesions fall into three broad categories:
Periosteal reaction & types of periosteal reaction
Spiculated Periosteal Reaction Focal bone lesions fall into three broad categories: Evaluation of focal bone lesions part i: Periosteal reaction is a nonspecific response by the host bone to the underlying lesion. Imaging findings include thin or thick irregular periosteal reaction and characteristic spiculated, frothy, or lacy appearance of the subperiosteum. Parallel spiculated periosteal reaction (fig. As the periosteum is irritated, and potentially raised or disrupted by a bone lesion, the. Focal bone lesions fall into three broad categories: Spicules of bone form perpendicular to the periosteal.
From jmsronline.com
JMSR Spiculated Periosteal Reaction As the periosteum is irritated, and potentially raised or disrupted by a bone lesion, the. Spicules of bone form perpendicular to the periosteal. Parallel spiculated periosteal reaction (fig. Imaging findings include thin or thick irregular periosteal reaction and characteristic spiculated, frothy, or lacy appearance of the subperiosteum. Evaluation of focal bone lesions part i: Focal bone lesions fall into three. Spiculated Periosteal Reaction.
From www.researchgate.net
CT neck shows soft tissue mass lesion, with heterogeneous osteoid Spiculated Periosteal Reaction Parallel spiculated periosteal reaction (fig. Periosteal reaction is a nonspecific response by the host bone to the underlying lesion. Focal bone lesions fall into three broad categories: Spicules of bone form perpendicular to the periosteal. Imaging findings include thin or thick irregular periosteal reaction and characteristic spiculated, frothy, or lacy appearance of the subperiosteum. As the periosteum is irritated, and. Spiculated Periosteal Reaction.
From www.ajronline.org
Periosteal Reaction AJR Spiculated Periosteal Reaction Focal bone lesions fall into three broad categories: Evaluation of focal bone lesions part i: Imaging findings include thin or thick irregular periosteal reaction and characteristic spiculated, frothy, or lacy appearance of the subperiosteum. As the periosteum is irritated, and potentially raised or disrupted by a bone lesion, the. Periosteal reaction is a nonspecific response by the host bone to. Spiculated Periosteal Reaction.
From healthjade.net
Periosteal reaction & types of periosteal reaction Spiculated Periosteal Reaction Spicules of bone form perpendicular to the periosteal. As the periosteum is irritated, and potentially raised or disrupted by a bone lesion, the. Parallel spiculated periosteal reaction (fig. Evaluation of focal bone lesions part i: Imaging findings include thin or thick irregular periosteal reaction and characteristic spiculated, frothy, or lacy appearance of the subperiosteum. Focal bone lesions fall into three. Spiculated Periosteal Reaction.
From www.semanticscholar.org
Figure 1 from Solitary plasmacytoma of the sternum with a spiculated Spiculated Periosteal Reaction Imaging findings include thin or thick irregular periosteal reaction and characteristic spiculated, frothy, or lacy appearance of the subperiosteum. Parallel spiculated periosteal reaction (fig. Focal bone lesions fall into three broad categories: Periosteal reaction is a nonspecific response by the host bone to the underlying lesion. Spicules of bone form perpendicular to the periosteal. Evaluation of focal bone lesions part. Spiculated Periosteal Reaction.
From www.researchgate.net
(A, B) The spiculated pattern of the periosteal reaction and Codman's Spiculated Periosteal Reaction Imaging findings include thin or thick irregular periosteal reaction and characteristic spiculated, frothy, or lacy appearance of the subperiosteum. Evaluation of focal bone lesions part i: Periosteal reaction is a nonspecific response by the host bone to the underlying lesion. As the periosteum is irritated, and potentially raised or disrupted by a bone lesion, the. Spicules of bone form perpendicular. Spiculated Periosteal Reaction.
From healthjade.net
Periosteal reaction & types of periosteal reaction Spiculated Periosteal Reaction Evaluation of focal bone lesions part i: Focal bone lesions fall into three broad categories: Parallel spiculated periosteal reaction (fig. As the periosteum is irritated, and potentially raised or disrupted by a bone lesion, the. Imaging findings include thin or thick irregular periosteal reaction and characteristic spiculated, frothy, or lacy appearance of the subperiosteum. Periosteal reaction is a nonspecific response. Spiculated Periosteal Reaction.
From www.spandidos-publications.com
Solitary plasmacytoma of the sternum with a spiculated periosteal Spiculated Periosteal Reaction Evaluation of focal bone lesions part i: As the periosteum is irritated, and potentially raised or disrupted by a bone lesion, the. Spicules of bone form perpendicular to the periosteal. Periosteal reaction is a nonspecific response by the host bone to the underlying lesion. Focal bone lesions fall into three broad categories: Parallel spiculated periosteal reaction (fig. Imaging findings include. Spiculated Periosteal Reaction.
From www.clinicalradiologyonline.net
Imaging of periosteal reactions associated with focal lesions of bone Spiculated Periosteal Reaction Parallel spiculated periosteal reaction (fig. As the periosteum is irritated, and potentially raised or disrupted by a bone lesion, the. Spicules of bone form perpendicular to the periosteal. Periosteal reaction is a nonspecific response by the host bone to the underlying lesion. Evaluation of focal bone lesions part i: Focal bone lesions fall into three broad categories: Imaging findings include. Spiculated Periosteal Reaction.
From www.slideshare.net
Bone tumors Spiculated Periosteal Reaction As the periosteum is irritated, and potentially raised or disrupted by a bone lesion, the. Periosteal reaction is a nonspecific response by the host bone to the underlying lesion. Spicules of bone form perpendicular to the periosteal. Imaging findings include thin or thick irregular periosteal reaction and characteristic spiculated, frothy, or lacy appearance of the subperiosteum. Evaluation of focal bone. Spiculated Periosteal Reaction.
From orthopaedicprinciples.com
How to interpret a Periosteal Reaction? — Spiculated Periosteal Reaction Periosteal reaction is a nonspecific response by the host bone to the underlying lesion. Parallel spiculated periosteal reaction (fig. Spicules of bone form perpendicular to the periosteal. As the periosteum is irritated, and potentially raised or disrupted by a bone lesion, the. Evaluation of focal bone lesions part i: Focal bone lesions fall into three broad categories: Imaging findings include. Spiculated Periosteal Reaction.
From www.jmptonline.org
StressInduced Spiculated Periosteal Reaction Appearing as a Malignant Spiculated Periosteal Reaction Parallel spiculated periosteal reaction (fig. As the periosteum is irritated, and potentially raised or disrupted by a bone lesion, the. Periosteal reaction is a nonspecific response by the host bone to the underlying lesion. Spicules of bone form perpendicular to the periosteal. Imaging findings include thin or thick irregular periosteal reaction and characteristic spiculated, frothy, or lacy appearance of the. Spiculated Periosteal Reaction.
From www.ajronline.org
Periosteal Reaction AJR Spiculated Periosteal Reaction Spicules of bone form perpendicular to the periosteal. Imaging findings include thin or thick irregular periosteal reaction and characteristic spiculated, frothy, or lacy appearance of the subperiosteum. Parallel spiculated periosteal reaction (fig. Evaluation of focal bone lesions part i: Periosteal reaction is a nonspecific response by the host bone to the underlying lesion. As the periosteum is irritated, and potentially. Spiculated Periosteal Reaction.
From www.ajronline.org
Periosteal Reaction AJR Spiculated Periosteal Reaction Parallel spiculated periosteal reaction (fig. Imaging findings include thin or thick irregular periosteal reaction and characteristic spiculated, frothy, or lacy appearance of the subperiosteum. Evaluation of focal bone lesions part i: Periosteal reaction is a nonspecific response by the host bone to the underlying lesion. Spicules of bone form perpendicular to the periosteal. Focal bone lesions fall into three broad. Spiculated Periosteal Reaction.
From www.researchgate.net
Spiculated "sun ray" periosteal reaction in an Ewing's of the Spiculated Periosteal Reaction As the periosteum is irritated, and potentially raised or disrupted by a bone lesion, the. Focal bone lesions fall into three broad categories: Spicules of bone form perpendicular to the periosteal. Imaging findings include thin or thick irregular periosteal reaction and characteristic spiculated, frothy, or lacy appearance of the subperiosteum. Periosteal reaction is a nonspecific response by the host bone. Spiculated Periosteal Reaction.
From www.ajronline.org
Periosteal Reaction AJR Spiculated Periosteal Reaction Parallel spiculated periosteal reaction (fig. Focal bone lesions fall into three broad categories: Imaging findings include thin or thick irregular periosteal reaction and characteristic spiculated, frothy, or lacy appearance of the subperiosteum. As the periosteum is irritated, and potentially raised or disrupted by a bone lesion, the. Spicules of bone form perpendicular to the periosteal. Periosteal reaction is a nonspecific. Spiculated Periosteal Reaction.
From medicoapps.org
PERIOSTEAL REACTION New Spiculated Periosteal Reaction Periosteal reaction is a nonspecific response by the host bone to the underlying lesion. Spicules of bone form perpendicular to the periosteal. Focal bone lesions fall into three broad categories: Imaging findings include thin or thick irregular periosteal reaction and characteristic spiculated, frothy, or lacy appearance of the subperiosteum. Parallel spiculated periosteal reaction (fig. As the periosteum is irritated, and. Spiculated Periosteal Reaction.
From ar.inspiredpencil.com
Periosteal Reaction Causes Spiculated Periosteal Reaction Evaluation of focal bone lesions part i: Focal bone lesions fall into three broad categories: Spicules of bone form perpendicular to the periosteal. Periosteal reaction is a nonspecific response by the host bone to the underlying lesion. As the periosteum is irritated, and potentially raised or disrupted by a bone lesion, the. Imaging findings include thin or thick irregular periosteal. Spiculated Periosteal Reaction.
From healthjade.net
Periosteal reaction & types of periosteal reaction Spiculated Periosteal Reaction As the periosteum is irritated, and potentially raised or disrupted by a bone lesion, the. Imaging findings include thin or thick irregular periosteal reaction and characteristic spiculated, frothy, or lacy appearance of the subperiosteum. Periosteal reaction is a nonspecific response by the host bone to the underlying lesion. Spicules of bone form perpendicular to the periosteal. Evaluation of focal bone. Spiculated Periosteal Reaction.
From www.researchgate.net
Case 1. (A) Radiograph of the left proximal femur demonstrating an Spiculated Periosteal Reaction Evaluation of focal bone lesions part i: As the periosteum is irritated, and potentially raised or disrupted by a bone lesion, the. Spicules of bone form perpendicular to the periosteal. Periosteal reaction is a nonspecific response by the host bone to the underlying lesion. Focal bone lesions fall into three broad categories: Parallel spiculated periosteal reaction (fig. Imaging findings include. Spiculated Periosteal Reaction.
From healthjade.net
Periosteal reaction & types of periosteal reaction Spiculated Periosteal Reaction Spicules of bone form perpendicular to the periosteal. Focal bone lesions fall into three broad categories: Imaging findings include thin or thick irregular periosteal reaction and characteristic spiculated, frothy, or lacy appearance of the subperiosteum. Parallel spiculated periosteal reaction (fig. Periosteal reaction is a nonspecific response by the host bone to the underlying lesion. Evaluation of focal bone lesions part. Spiculated Periosteal Reaction.
From radiopaedia.org
Image Spiculated Periosteal Reaction Imaging findings include thin or thick irregular periosteal reaction and characteristic spiculated, frothy, or lacy appearance of the subperiosteum. Spicules of bone form perpendicular to the periosteal. Periosteal reaction is a nonspecific response by the host bone to the underlying lesion. Evaluation of focal bone lesions part i: Parallel spiculated periosteal reaction (fig. As the periosteum is irritated, and potentially. Spiculated Periosteal Reaction.
From roentgenrayreader.blogspot.com
Roentgen Ray Reader Spiculated Periosteal Reaction Pathophysiology Spiculated Periosteal Reaction Imaging findings include thin or thick irregular periosteal reaction and characteristic spiculated, frothy, or lacy appearance of the subperiosteum. Evaluation of focal bone lesions part i: Parallel spiculated periosteal reaction (fig. As the periosteum is irritated, and potentially raised or disrupted by a bone lesion, the. Focal bone lesions fall into three broad categories: Spicules of bone form perpendicular to. Spiculated Periosteal Reaction.
From www.researchgate.net
Spiculated periosteal reaction exhibiting the divergent pattern in a Spiculated Periosteal Reaction Evaluation of focal bone lesions part i: Periosteal reaction is a nonspecific response by the host bone to the underlying lesion. Spicules of bone form perpendicular to the periosteal. As the periosteum is irritated, and potentially raised or disrupted by a bone lesion, the. Focal bone lesions fall into three broad categories: Imaging findings include thin or thick irregular periosteal. Spiculated Periosteal Reaction.
From www.slideserve.com
PPT Musculoskeletal Radiography PowerPoint Presentation, free Spiculated Periosteal Reaction Evaluation of focal bone lesions part i: As the periosteum is irritated, and potentially raised or disrupted by a bone lesion, the. Parallel spiculated periosteal reaction (fig. Focal bone lesions fall into three broad categories: Periosteal reaction is a nonspecific response by the host bone to the underlying lesion. Imaging findings include thin or thick irregular periosteal reaction and characteristic. Spiculated Periosteal Reaction.
From radiologykey.com
Periosteal Reaction Radiology Key Spiculated Periosteal Reaction Parallel spiculated periosteal reaction (fig. As the periosteum is irritated, and potentially raised or disrupted by a bone lesion, the. Spicules of bone form perpendicular to the periosteal. Imaging findings include thin or thick irregular periosteal reaction and characteristic spiculated, frothy, or lacy appearance of the subperiosteum. Periosteal reaction is a nonspecific response by the host bone to the underlying. Spiculated Periosteal Reaction.
From jmsronline.com
JMSR Spiculated Periosteal Reaction As the periosteum is irritated, and potentially raised or disrupted by a bone lesion, the. Imaging findings include thin or thick irregular periosteal reaction and characteristic spiculated, frothy, or lacy appearance of the subperiosteum. Evaluation of focal bone lesions part i: Spicules of bone form perpendicular to the periosteal. Parallel spiculated periosteal reaction (fig. Periosteal reaction is a nonspecific response. Spiculated Periosteal Reaction.
From www.slideserve.com
PPT Musculoskeletal Radiography PowerPoint Presentation, free Spiculated Periosteal Reaction Parallel spiculated periosteal reaction (fig. Spicules of bone form perpendicular to the periosteal. Focal bone lesions fall into three broad categories: Evaluation of focal bone lesions part i: Periosteal reaction is a nonspecific response by the host bone to the underlying lesion. As the periosteum is irritated, and potentially raised or disrupted by a bone lesion, the. Imaging findings include. Spiculated Periosteal Reaction.
From www.ajronline.org
Periosteal Reaction AJR Spiculated Periosteal Reaction Spicules of bone form perpendicular to the periosteal. Evaluation of focal bone lesions part i: Imaging findings include thin or thick irregular periosteal reaction and characteristic spiculated, frothy, or lacy appearance of the subperiosteum. Parallel spiculated periosteal reaction (fig. As the periosteum is irritated, and potentially raised or disrupted by a bone lesion, the. Periosteal reaction is a nonspecific response. Spiculated Periosteal Reaction.
From www.scielo.br
SciELO Brasil Diagnostic performance of resonance imaging Spiculated Periosteal Reaction Spicules of bone form perpendicular to the periosteal. Periosteal reaction is a nonspecific response by the host bone to the underlying lesion. Imaging findings include thin or thick irregular periosteal reaction and characteristic spiculated, frothy, or lacy appearance of the subperiosteum. Focal bone lesions fall into three broad categories: Parallel spiculated periosteal reaction (fig. As the periosteum is irritated, and. Spiculated Periosteal Reaction.
From www.reddit.com
Haironend spiculated periosteal reaction (orange arrows) on CT, right Spiculated Periosteal Reaction Spicules of bone form perpendicular to the periosteal. Imaging findings include thin or thick irregular periosteal reaction and characteristic spiculated, frothy, or lacy appearance of the subperiosteum. Evaluation of focal bone lesions part i: Parallel spiculated periosteal reaction (fig. Focal bone lesions fall into three broad categories: Periosteal reaction is a nonspecific response by the host bone to the underlying. Spiculated Periosteal Reaction.
From www.pinterest.com
periosteal reactions solid, lamellated, sunburts, codman's Radiology Spiculated Periosteal Reaction Focal bone lesions fall into three broad categories: Evaluation of focal bone lesions part i: Periosteal reaction is a nonspecific response by the host bone to the underlying lesion. Imaging findings include thin or thick irregular periosteal reaction and characteristic spiculated, frothy, or lacy appearance of the subperiosteum. Spicules of bone form perpendicular to the periosteal. Parallel spiculated periosteal reaction. Spiculated Periosteal Reaction.
From www.ajronline.org
Periosteal Reaction AJR Spiculated Periosteal Reaction Parallel spiculated periosteal reaction (fig. Evaluation of focal bone lesions part i: As the periosteum is irritated, and potentially raised or disrupted by a bone lesion, the. Spicules of bone form perpendicular to the periosteal. Periosteal reaction is a nonspecific response by the host bone to the underlying lesion. Focal bone lesions fall into three broad categories: Imaging findings include. Spiculated Periosteal Reaction.
From healthjade.net
Periosteal reaction & types of periosteal reaction Spiculated Periosteal Reaction Periosteal reaction is a nonspecific response by the host bone to the underlying lesion. Spicules of bone form perpendicular to the periosteal. Evaluation of focal bone lesions part i: Imaging findings include thin or thick irregular periosteal reaction and characteristic spiculated, frothy, or lacy appearance of the subperiosteum. Parallel spiculated periosteal reaction (fig. Focal bone lesions fall into three broad. Spiculated Periosteal Reaction.
From www.researchgate.net
Spiculated periosteal reaction exhibiting the divergent pattern in a Spiculated Periosteal Reaction Parallel spiculated periosteal reaction (fig. Focal bone lesions fall into three broad categories: Periosteal reaction is a nonspecific response by the host bone to the underlying lesion. Spicules of bone form perpendicular to the periosteal. Imaging findings include thin or thick irregular periosteal reaction and characteristic spiculated, frothy, or lacy appearance of the subperiosteum. Evaluation of focal bone lesions part. Spiculated Periosteal Reaction.