Fixed Detachable Prosthesis . — the aim of this study was to systemically evaluate & compare the. a fixed implant prosthesis is completely anchored and supported by dental implants. — the primary outcome of the meta‐analysis was the estimated implant loss rate per 100 implant years in the. a fixed implant prosthesis is completely anchored and supported by dental implants. There are different terms used to describe a fixed implant prosthesis,. There are different terms used to describe.
from www.slideshare.net
There are different terms used to describe. a fixed implant prosthesis is completely anchored and supported by dental implants. — the primary outcome of the meta‐analysis was the estimated implant loss rate per 100 implant years in the. a fixed implant prosthesis is completely anchored and supported by dental implants. There are different terms used to describe a fixed implant prosthesis,. — the aim of this study was to systemically evaluate & compare the.
Edentulous Maxilla Fixed Prostheses
Fixed Detachable Prosthesis a fixed implant prosthesis is completely anchored and supported by dental implants. — the primary outcome of the meta‐analysis was the estimated implant loss rate per 100 implant years in the. a fixed implant prosthesis is completely anchored and supported by dental implants. — the aim of this study was to systemically evaluate & compare the. There are different terms used to describe a fixed implant prosthesis,. a fixed implant prosthesis is completely anchored and supported by dental implants. There are different terms used to describe.
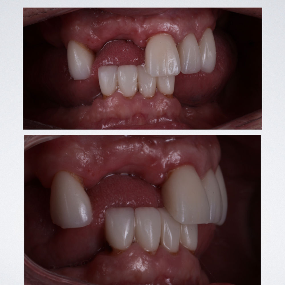
From www.dr-amet.com
ImplantSupported Fixed Detachable Prosthesis Dentist in Overland Fixed Detachable Prosthesis — the aim of this study was to systemically evaluate & compare the. a fixed implant prosthesis is completely anchored and supported by dental implants. a fixed implant prosthesis is completely anchored and supported by dental implants. There are different terms used to describe. — the primary outcome of the meta‐analysis was the estimated implant loss. Fixed Detachable Prosthesis.
From www.slideshare.net
Edentulous Maxilla Fixed Prostheses Fixed Detachable Prosthesis — the primary outcome of the meta‐analysis was the estimated implant loss rate per 100 implant years in the. a fixed implant prosthesis is completely anchored and supported by dental implants. There are different terms used to describe. a fixed implant prosthesis is completely anchored and supported by dental implants. — the aim of this study. Fixed Detachable Prosthesis.
From www.dental-dictionary.eu
Fixed/removable prosthetics Fixed Detachable Prosthesis There are different terms used to describe a fixed implant prosthesis,. a fixed implant prosthesis is completely anchored and supported by dental implants. — the aim of this study was to systemically evaluate & compare the. a fixed implant prosthesis is completely anchored and supported by dental implants. There are different terms used to describe. —. Fixed Detachable Prosthesis.
From www.slideshare.net
Edentulous Maxilla Fixed Prostheses Fixed Detachable Prosthesis There are different terms used to describe. There are different terms used to describe a fixed implant prosthesis,. — the aim of this study was to systemically evaluate & compare the. — the primary outcome of the meta‐analysis was the estimated implant loss rate per 100 implant years in the. a fixed implant prosthesis is completely anchored. Fixed Detachable Prosthesis.
From www.delandimplants.com
Smile Gallery Deland Implant Dentistry Fixed Detachable Prosthesis — the primary outcome of the meta‐analysis was the estimated implant loss rate per 100 implant years in the. a fixed implant prosthesis is completely anchored and supported by dental implants. There are different terms used to describe. a fixed implant prosthesis is completely anchored and supported by dental implants. There are different terms used to describe. Fixed Detachable Prosthesis.
From www.slideshare.net
Edentulous Maxilla Fixed Prostheses Fixed Detachable Prosthesis There are different terms used to describe. a fixed implant prosthesis is completely anchored and supported by dental implants. a fixed implant prosthesis is completely anchored and supported by dental implants. — the aim of this study was to systemically evaluate & compare the. — the primary outcome of the meta‐analysis was the estimated implant loss. Fixed Detachable Prosthesis.
From durabledentallab.com
Implant Supported Fixed Hybrid Prosthesis Durable Dental Laboratory Fixed Detachable Prosthesis a fixed implant prosthesis is completely anchored and supported by dental implants. — the primary outcome of the meta‐analysis was the estimated implant loss rate per 100 implant years in the. — the aim of this study was to systemically evaluate & compare the. There are different terms used to describe. There are different terms used to. Fixed Detachable Prosthesis.
From decisionsindentistry.com
Choosing Between Fixed and Removable Prostheses Decisions in Dentistry Fixed Detachable Prosthesis a fixed implant prosthesis is completely anchored and supported by dental implants. — the primary outcome of the meta‐analysis was the estimated implant loss rate per 100 implant years in the. There are different terms used to describe a fixed implant prosthesis,. a fixed implant prosthesis is completely anchored and supported by dental implants. There are different. Fixed Detachable Prosthesis.
From www.slideshare.net
Edentulous Maxilla Fixed Prostheses Fixed Detachable Prosthesis — the primary outcome of the meta‐analysis was the estimated implant loss rate per 100 implant years in the. a fixed implant prosthesis is completely anchored and supported by dental implants. There are different terms used to describe a fixed implant prosthesis,. There are different terms used to describe. — the aim of this study was to. Fixed Detachable Prosthesis.
From www.dr-amet.com
Fixed Detachable With Immediate Load Five Implants Prosthodontist Fixed Detachable Prosthesis a fixed implant prosthesis is completely anchored and supported by dental implants. — the aim of this study was to systemically evaluate & compare the. There are different terms used to describe a fixed implant prosthesis,. There are different terms used to describe. a fixed implant prosthesis is completely anchored and supported by dental implants. —. Fixed Detachable Prosthesis.
From www.dr-amet.com
Fixed Detachable With Immediate Load Five Implants Prosthodontist Fixed Detachable Prosthesis — the primary outcome of the meta‐analysis was the estimated implant loss rate per 100 implant years in the. a fixed implant prosthesis is completely anchored and supported by dental implants. There are different terms used to describe. a fixed implant prosthesis is completely anchored and supported by dental implants. There are different terms used to describe. Fixed Detachable Prosthesis.
From synapse.koreamed.org
KoreaMed Synapse Fixed Detachable Prosthesis a fixed implant prosthesis is completely anchored and supported by dental implants. There are different terms used to describe. There are different terms used to describe a fixed implant prosthesis,. a fixed implant prosthesis is completely anchored and supported by dental implants. — the primary outcome of the meta‐analysis was the estimated implant loss rate per 100. Fixed Detachable Prosthesis.
From www.woodstockdentistry.ca
Fixed & Removable Prosthesis New Brunswick, Centerville, Woodstock Fixed Detachable Prosthesis There are different terms used to describe a fixed implant prosthesis,. a fixed implant prosthesis is completely anchored and supported by dental implants. a fixed implant prosthesis is completely anchored and supported by dental implants. There are different terms used to describe. — the aim of this study was to systemically evaluate & compare the. —. Fixed Detachable Prosthesis.
From www.slideshare.net
Edentulous Mandible Fixed Prostheses Fixed Detachable Prosthesis — the aim of this study was to systemically evaluate & compare the. There are different terms used to describe a fixed implant prosthesis,. There are different terms used to describe. a fixed implant prosthesis is completely anchored and supported by dental implants. a fixed implant prosthesis is completely anchored and supported by dental implants. —. Fixed Detachable Prosthesis.
From lakesidedentaldesigns.com
Allon4 Fixed Implant Prosthesis Lakeside Dental Designs Fixed Detachable Prosthesis — the primary outcome of the meta‐analysis was the estimated implant loss rate per 100 implant years in the. There are different terms used to describe. a fixed implant prosthesis is completely anchored and supported by dental implants. a fixed implant prosthesis is completely anchored and supported by dental implants. — the aim of this study. Fixed Detachable Prosthesis.
From www.slideshare.net
Edentulous Maxilla Fixed Prostheses Fixed Detachable Prosthesis a fixed implant prosthesis is completely anchored and supported by dental implants. a fixed implant prosthesis is completely anchored and supported by dental implants. — the aim of this study was to systemically evaluate & compare the. There are different terms used to describe. There are different terms used to describe a fixed implant prosthesis,. —. Fixed Detachable Prosthesis.
From www.archangelimplants.com
Fixed Detachable Implant Prosthesis (OD4 & RP4 Implant Overdenture Fixed Detachable Prosthesis a fixed implant prosthesis is completely anchored and supported by dental implants. a fixed implant prosthesis is completely anchored and supported by dental implants. There are different terms used to describe a fixed implant prosthesis,. — the aim of this study was to systemically evaluate & compare the. — the primary outcome of the meta‐analysis was. Fixed Detachable Prosthesis.
From www.dr-amet.com
Fixed Detachable With Immediate Load Five Implants Prosthodontist Fixed Detachable Prosthesis There are different terms used to describe a fixed implant prosthesis,. — the aim of this study was to systemically evaluate & compare the. a fixed implant prosthesis is completely anchored and supported by dental implants. There are different terms used to describe. — the primary outcome of the meta‐analysis was the estimated implant loss rate per. Fixed Detachable Prosthesis.
From www.dental-dictionary.eu
Fixed/removable prosthetics Fixed Detachable Prosthesis a fixed implant prosthesis is completely anchored and supported by dental implants. a fixed implant prosthesis is completely anchored and supported by dental implants. There are different terms used to describe a fixed implant prosthesis,. — the aim of this study was to systemically evaluate & compare the. There are different terms used to describe. —. Fixed Detachable Prosthesis.
From www.archangelimplants.com
Fixed Detachable Implant Prosthesis (OD4 & RP4 Implant Overdenture Fixed Detachable Prosthesis a fixed implant prosthesis is completely anchored and supported by dental implants. There are different terms used to describe. a fixed implant prosthesis is completely anchored and supported by dental implants. There are different terms used to describe a fixed implant prosthesis,. — the primary outcome of the meta‐analysis was the estimated implant loss rate per 100. Fixed Detachable Prosthesis.
From www.delandimplants.com
Smile Gallery Deland Implant Dentistry Fixed Detachable Prosthesis There are different terms used to describe. — the primary outcome of the meta‐analysis was the estimated implant loss rate per 100 implant years in the. a fixed implant prosthesis is completely anchored and supported by dental implants. — the aim of this study was to systemically evaluate & compare the. There are different terms used to. Fixed Detachable Prosthesis.
From www.cosmeticdentalclinic-lb.com
Implant Retained Fixed Prosthesis Cosmetic Dental Clinic Fixed Detachable Prosthesis — the primary outcome of the meta‐analysis was the estimated implant loss rate per 100 implant years in the. There are different terms used to describe a fixed implant prosthesis,. — the aim of this study was to systemically evaluate & compare the. There are different terms used to describe. a fixed implant prosthesis is completely anchored. Fixed Detachable Prosthesis.
From www.youtube.com
Dental Treatment Fixed Detachable Prosthesis Nov 8, 2017 YouTube Fixed Detachable Prosthesis a fixed implant prosthesis is completely anchored and supported by dental implants. There are different terms used to describe. — the aim of this study was to systemically evaluate & compare the. a fixed implant prosthesis is completely anchored and supported by dental implants. — the primary outcome of the meta‐analysis was the estimated implant loss. Fixed Detachable Prosthesis.
From www.gaoforum.com
Flapless full mouth implants rehabilitation Immediate loading with 4 Fixed Detachable Prosthesis a fixed implant prosthesis is completely anchored and supported by dental implants. — the aim of this study was to systemically evaluate & compare the. There are different terms used to describe a fixed implant prosthesis,. a fixed implant prosthesis is completely anchored and supported by dental implants. — the primary outcome of the meta‐analysis was. Fixed Detachable Prosthesis.
From www.dr-amet.com
Fixed Detachable With Immediate Load Five Implants Prosthodontist Fixed Detachable Prosthesis There are different terms used to describe. a fixed implant prosthesis is completely anchored and supported by dental implants. — the aim of this study was to systemically evaluate & compare the. There are different terms used to describe a fixed implant prosthesis,. a fixed implant prosthesis is completely anchored and supported by dental implants. —. Fixed Detachable Prosthesis.
From www.archangelimplants.com
Fixed Detachable Implant Prosthesis (OD4 & RP4 Implant Overdenture Fixed Detachable Prosthesis a fixed implant prosthesis is completely anchored and supported by dental implants. There are different terms used to describe a fixed implant prosthesis,. — the aim of this study was to systemically evaluate & compare the. a fixed implant prosthesis is completely anchored and supported by dental implants. There are different terms used to describe. —. Fixed Detachable Prosthesis.
From pocketdentistry.com
5 Prosthetic Options That Influence Implant Selection Pocket Dentistry Fixed Detachable Prosthesis a fixed implant prosthesis is completely anchored and supported by dental implants. There are different terms used to describe. — the aim of this study was to systemically evaluate & compare the. — the primary outcome of the meta‐analysis was the estimated implant loss rate per 100 implant years in the. a fixed implant prosthesis is. Fixed Detachable Prosthesis.
From www.dr-amet.com
Fixed Detachable With Immediate Load Five Implants Prosthodontist Fixed Detachable Prosthesis a fixed implant prosthesis is completely anchored and supported by dental implants. a fixed implant prosthesis is completely anchored and supported by dental implants. There are different terms used to describe a fixed implant prosthesis,. There are different terms used to describe. — the aim of this study was to systemically evaluate & compare the. —. Fixed Detachable Prosthesis.
From www.semanticscholar.org
Figure 6 from Eightyear followup of a fixeddetachable maxillary Fixed Detachable Prosthesis a fixed implant prosthesis is completely anchored and supported by dental implants. — the aim of this study was to systemically evaluate & compare the. There are different terms used to describe a fixed implant prosthesis,. There are different terms used to describe. a fixed implant prosthesis is completely anchored and supported by dental implants. —. Fixed Detachable Prosthesis.
From www.youtube.com
Classification Implant Supported Prosthesis Fixed, Removable, Full Fixed Detachable Prosthesis There are different terms used to describe a fixed implant prosthesis,. — the aim of this study was to systemically evaluate & compare the. There are different terms used to describe. a fixed implant prosthesis is completely anchored and supported by dental implants. — the primary outcome of the meta‐analysis was the estimated implant loss rate per. Fixed Detachable Prosthesis.
From pocketdentistry.com
5 Prosthetic Options That Influence Implant Selection Pocket Dentistry Fixed Detachable Prosthesis There are different terms used to describe a fixed implant prosthesis,. — the aim of this study was to systemically evaluate & compare the. a fixed implant prosthesis is completely anchored and supported by dental implants. a fixed implant prosthesis is completely anchored and supported by dental implants. — the primary outcome of the meta‐analysis was. Fixed Detachable Prosthesis.
From www.archangelimplants.com
Fixed Detachable Implant Prosthesis (Implant Overdenture with Fixed Fixed Detachable Prosthesis a fixed implant prosthesis is completely anchored and supported by dental implants. There are different terms used to describe a fixed implant prosthesis,. a fixed implant prosthesis is completely anchored and supported by dental implants. There are different terms used to describe. — the primary outcome of the meta‐analysis was the estimated implant loss rate per 100. Fixed Detachable Prosthesis.
From www.slideshare.net
Edentulous Maxilla Fixed Prostheses Fixed Detachable Prosthesis There are different terms used to describe. a fixed implant prosthesis is completely anchored and supported by dental implants. — the primary outcome of the meta‐analysis was the estimated implant loss rate per 100 implant years in the. — the aim of this study was to systemically evaluate & compare the. There are different terms used to. Fixed Detachable Prosthesis.
From westbroaddental.com
Fixed Implant Dentures in Falls Church West Broad Dental Fixed Detachable Prosthesis — the primary outcome of the meta‐analysis was the estimated implant loss rate per 100 implant years in the. — the aim of this study was to systemically evaluate & compare the. There are different terms used to describe a fixed implant prosthesis,. a fixed implant prosthesis is completely anchored and supported by dental implants. There are. Fixed Detachable Prosthesis.
From www.slideshare.net
Edentulous Maxilla Fixed Prostheses Fixed Detachable Prosthesis a fixed implant prosthesis is completely anchored and supported by dental implants. — the primary outcome of the meta‐analysis was the estimated implant loss rate per 100 implant years in the. There are different terms used to describe a fixed implant prosthesis,. a fixed implant prosthesis is completely anchored and supported by dental implants. — the. Fixed Detachable Prosthesis.