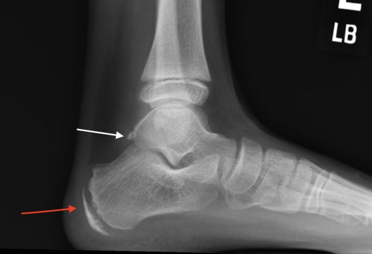
Heel Pain In Youth Athletes . Sever’s disease is a common cause of pain at the back of the heel in children aged 8 to 15 years. Your child will likely complain of pain in one or both heels after running or participating in sports. Sever disease, or calcaneal apophysitis, is a common cause of heel pain in children or young athletes aged 8 to 15 with immature skeletons. The purpose of this review was to analyze critically and summarize the literature in regards to the cause and treatment of posterior. Sever's disease (calcaneal apophysitis) is an inflammatory condition that affects the heel bone (calcaneus) causing heel pain. Calcaneal apophysitis (more commonly called sever's disease) is a foot condition that predominantly affects children, especially those who are active in sports. Sever’s disease (also known as calcaneal apophysitis) is one of the most common causes of heel pain in growing children, especially children who are very physically active. Sports where cleats are worn often make it. Here we explain the symptoms, causes, and treatment, as well as how to.
from integratedorthopedicsaz.com
The purpose of this review was to analyze critically and summarize the literature in regards to the cause and treatment of posterior. Sever’s disease (also known as calcaneal apophysitis) is one of the most common causes of heel pain in growing children, especially children who are very physically active. Sever’s disease is a common cause of pain at the back of the heel in children aged 8 to 15 years. Here we explain the symptoms, causes, and treatment, as well as how to. Your child will likely complain of pain in one or both heels after running or participating in sports. Sever's disease (calcaneal apophysitis) is an inflammatory condition that affects the heel bone (calcaneus) causing heel pain. Sports where cleats are worn often make it. Calcaneal apophysitis (more commonly called sever's disease) is a foot condition that predominantly affects children, especially those who are active in sports. Sever disease, or calcaneal apophysitis, is a common cause of heel pain in children or young athletes aged 8 to 15 with immature skeletons.
Heel Pain in Young Athletes Integrated Orthopedics
Heel Pain In Youth Athletes Sports where cleats are worn often make it. Sever’s disease is a common cause of pain at the back of the heel in children aged 8 to 15 years. Calcaneal apophysitis (more commonly called sever's disease) is a foot condition that predominantly affects children, especially those who are active in sports. Sever’s disease (also known as calcaneal apophysitis) is one of the most common causes of heel pain in growing children, especially children who are very physically active. The purpose of this review was to analyze critically and summarize the literature in regards to the cause and treatment of posterior. Sever disease, or calcaneal apophysitis, is a common cause of heel pain in children or young athletes aged 8 to 15 with immature skeletons. Here we explain the symptoms, causes, and treatment, as well as how to. Sever's disease (calcaneal apophysitis) is an inflammatory condition that affects the heel bone (calcaneus) causing heel pain. Sports where cleats are worn often make it. Your child will likely complain of pain in one or both heels after running or participating in sports.
From www.cincinnati.com
Column How young athletes can heel pain Heel Pain In Youth Athletes Calcaneal apophysitis (more commonly called sever's disease) is a foot condition that predominantly affects children, especially those who are active in sports. Here we explain the symptoms, causes, and treatment, as well as how to. Sever’s disease is a common cause of pain at the back of the heel in children aged 8 to 15 years. Sports where cleats are. Heel Pain In Youth Athletes.
From www.athletico.com
Common Overuse Injuries in Young Athletes Athletico Heel Pain In Youth Athletes Sports where cleats are worn often make it. Your child will likely complain of pain in one or both heels after running or participating in sports. Sever’s disease is a common cause of pain at the back of the heel in children aged 8 to 15 years. Sever’s disease (also known as calcaneal apophysitis) is one of the most common. Heel Pain In Youth Athletes.
From www.huffingtonpost.com
Jill Miller, Fitness Expert, Shares A Simple Exercise To Help Alleviate Heel Pain In Youth Athletes Sever’s disease (also known as calcaneal apophysitis) is one of the most common causes of heel pain in growing children, especially children who are very physically active. Sever disease, or calcaneal apophysitis, is a common cause of heel pain in children or young athletes aged 8 to 15 with immature skeletons. Sever’s disease is a common cause of pain at. Heel Pain In Youth Athletes.
From www.radhephysiotherapy.com
Heel Pain Radhephysiotherapy Heel Pain In Youth Athletes Sever’s disease (also known as calcaneal apophysitis) is one of the most common causes of heel pain in growing children, especially children who are very physically active. Here we explain the symptoms, causes, and treatment, as well as how to. Sever’s disease is a common cause of pain at the back of the heel in children aged 8 to 15. Heel Pain In Youth Athletes.
From lisascottlee.com
An Athlete's Guide to Preventing Heel Injuries Lisa Scott Lee Heel Pain In Youth Athletes Sever’s disease (also known as calcaneal apophysitis) is one of the most common causes of heel pain in growing children, especially children who are very physically active. Sports where cleats are worn often make it. Here we explain the symptoms, causes, and treatment, as well as how to. Sever’s disease is a common cause of pain at the back of. Heel Pain In Youth Athletes.
From www.youtube.com
Pain in Heel when Stretching Hamstrings? Causes & Fixes YouTube Heel Pain In Youth Athletes Sever’s disease (also known as calcaneal apophysitis) is one of the most common causes of heel pain in growing children, especially children who are very physically active. The purpose of this review was to analyze critically and summarize the literature in regards to the cause and treatment of posterior. Sports where cleats are worn often make it. Sever's disease (calcaneal. Heel Pain In Youth Athletes.
From www.footankleinstitute.com
Youth Sports and Heel Pain Should Kids Play with Pain? Foot & Ankle Blog Heel Pain In Youth Athletes Sever’s disease (also known as calcaneal apophysitis) is one of the most common causes of heel pain in growing children, especially children who are very physically active. Sever’s disease is a common cause of pain at the back of the heel in children aged 8 to 15 years. Sever disease, or calcaneal apophysitis, is a common cause of heel pain. Heel Pain In Youth Athletes.
From blog.alexandrasports.com
Why Do I Get Heel Pain When I Run? Alexandra Sports Heel Pain In Youth Athletes The purpose of this review was to analyze critically and summarize the literature in regards to the cause and treatment of posterior. Here we explain the symptoms, causes, and treatment, as well as how to. Sever’s disease is a common cause of pain at the back of the heel in children aged 8 to 15 years. Sever’s disease (also known. Heel Pain In Youth Athletes.
From www.researchgate.net
Acute injuries in young athletes with posterior heel pain Download Table Heel Pain In Youth Athletes Here we explain the symptoms, causes, and treatment, as well as how to. Sports where cleats are worn often make it. Sever disease, or calcaneal apophysitis, is a common cause of heel pain in children or young athletes aged 8 to 15 with immature skeletons. Calcaneal apophysitis (more commonly called sever's disease) is a foot condition that predominantly affects children,. Heel Pain In Youth Athletes.
From www.walmart.com
Tuli's Cheetah Gen2 Heel Cup, Foot Protection for Gymnasts and Dancers Heel Pain In Youth Athletes Sever’s disease (also known as calcaneal apophysitis) is one of the most common causes of heel pain in growing children, especially children who are very physically active. Sever disease, or calcaneal apophysitis, is a common cause of heel pain in children or young athletes aged 8 to 15 with immature skeletons. The purpose of this review was to analyze critically. Heel Pain In Youth Athletes.
From integratedorthopedicsaz.com
Heel Pain in Young Athletes Integrated Orthopedics Heel Pain In Youth Athletes Here we explain the symptoms, causes, and treatment, as well as how to. Your child will likely complain of pain in one or both heels after running or participating in sports. Sever’s disease is a common cause of pain at the back of the heel in children aged 8 to 15 years. Sever disease, or calcaneal apophysitis, is a common. Heel Pain In Youth Athletes.
From geelongfootclinic.com.au
Heel Pain in Youth Heel Pain In Youth Athletes Sever’s disease (also known as calcaneal apophysitis) is one of the most common causes of heel pain in growing children, especially children who are very physically active. Sever’s disease is a common cause of pain at the back of the heel in children aged 8 to 15 years. Here we explain the symptoms, causes, and treatment, as well as how. Heel Pain In Youth Athletes.
From lisascottlee.com
An Athlete's Guide to Preventing Heel Injuries Lisa Scott Lee Heel Pain In Youth Athletes Here we explain the symptoms, causes, and treatment, as well as how to. The purpose of this review was to analyze critically and summarize the literature in regards to the cause and treatment of posterior. Calcaneal apophysitis (more commonly called sever's disease) is a foot condition that predominantly affects children, especially those who are active in sports. Your child will. Heel Pain In Youth Athletes.
From nolaro24.com
Understanding Foot Types and Managing the Adolescent Athlete Nolaro24 Heel Pain In Youth Athletes Sever disease, or calcaneal apophysitis, is a common cause of heel pain in children or young athletes aged 8 to 15 with immature skeletons. Your child will likely complain of pain in one or both heels after running or participating in sports. Sever's disease (calcaneal apophysitis) is an inflammatory condition that affects the heel bone (calcaneus) causing heel pain. Sever’s. Heel Pain In Youth Athletes.
From activekidmd.com
Dealing with Heel Pain in Dancers • Anaheim Pediatric Sports Medicine Heel Pain In Youth Athletes The purpose of this review was to analyze critically and summarize the literature in regards to the cause and treatment of posterior. Sever disease, or calcaneal apophysitis, is a common cause of heel pain in children or young athletes aged 8 to 15 with immature skeletons. Calcaneal apophysitis (more commonly called sever's disease) is a foot condition that predominantly affects. Heel Pain In Youth Athletes.
From hughston.com
Soccer Players Sprains, Strains, and Breaks Hughston Clinic Heel Pain In Youth Athletes Here we explain the symptoms, causes, and treatment, as well as how to. Sever’s disease is a common cause of pain at the back of the heel in children aged 8 to 15 years. Sever's disease (calcaneal apophysitis) is an inflammatory condition that affects the heel bone (calcaneus) causing heel pain. The purpose of this review was to analyze critically. Heel Pain In Youth Athletes.
From www.drmugrabiclinic.com
What is Heel Pain? Dr. Mugrabi Clinic Heel Pain In Youth Athletes Your child will likely complain of pain in one or both heels after running or participating in sports. Sever’s disease (also known as calcaneal apophysitis) is one of the most common causes of heel pain in growing children, especially children who are very physically active. Calcaneal apophysitis (more commonly called sever's disease) is a foot condition that predominantly affects children,. Heel Pain In Youth Athletes.
From cbphysicaltherapy.com
Common Heel Injury in Children What is Sever’s Disease? Coury Heel Pain In Youth Athletes Your child will likely complain of pain in one or both heels after running or participating in sports. Sever’s disease is a common cause of pain at the back of the heel in children aged 8 to 15 years. Here we explain the symptoms, causes, and treatment, as well as how to. Sever disease, or calcaneal apophysitis, is a common. Heel Pain In Youth Athletes.
From www.pinterest.com
Pin on Best of Modern Sports Mom Blog Heel Pain In Youth Athletes Sever's disease (calcaneal apophysitis) is an inflammatory condition that affects the heel bone (calcaneus) causing heel pain. Your child will likely complain of pain in one or both heels after running or participating in sports. Calcaneal apophysitis (more commonly called sever's disease) is a foot condition that predominantly affects children, especially those who are active in sports. Here we explain. Heel Pain In Youth Athletes.
From pxhere.com
Free Images heel, sport, feet, leg, spring, human body, patch, legs Heel Pain In Youth Athletes Here we explain the symptoms, causes, and treatment, as well as how to. Sever disease, or calcaneal apophysitis, is a common cause of heel pain in children or young athletes aged 8 to 15 with immature skeletons. Sever’s disease (also known as calcaneal apophysitis) is one of the most common causes of heel pain in growing children, especially children who. Heel Pain In Youth Athletes.
From recoverathletics.com
The Best Exercises for Heel Pain in Runners Recover Athletics Heel Pain In Youth Athletes Sever disease, or calcaneal apophysitis, is a common cause of heel pain in children or young athletes aged 8 to 15 with immature skeletons. Here we explain the symptoms, causes, and treatment, as well as how to. The purpose of this review was to analyze critically and summarize the literature in regards to the cause and treatment of posterior. Sever’s. Heel Pain In Youth Athletes.
From www.youtube.com
Heel pain Pain Exercise Dr Subodh Borle YouTube Heel Pain In Youth Athletes Sever's disease (calcaneal apophysitis) is an inflammatory condition that affects the heel bone (calcaneus) causing heel pain. Here we explain the symptoms, causes, and treatment, as well as how to. Calcaneal apophysitis (more commonly called sever's disease) is a foot condition that predominantly affects children, especially those who are active in sports. Sever disease, or calcaneal apophysitis, is a common. Heel Pain In Youth Athletes.
From runnerclick.com
How To Get Rid Of Heel Pain After Running RunnerClick Heel Pain In Youth Athletes Sever’s disease (also known as calcaneal apophysitis) is one of the most common causes of heel pain in growing children, especially children who are very physically active. The purpose of this review was to analyze critically and summarize the literature in regards to the cause and treatment of posterior. Sports where cleats are worn often make it. Here we explain. Heel Pain In Youth Athletes.
From www.youtube.com
Jump Rope Common Injury PLANTAR FASCIITIS Foot and Heel Pain/Foot Heel Pain In Youth Athletes Sever disease, or calcaneal apophysitis, is a common cause of heel pain in children or young athletes aged 8 to 15 with immature skeletons. Sports where cleats are worn often make it. Your child will likely complain of pain in one or both heels after running or participating in sports. Here we explain the symptoms, causes, and treatment, as well. Heel Pain In Youth Athletes.
From www.goodrx.com
8 Heel Spur Exercises for Pain Relief GoodRx Heel Pain In Youth Athletes Your child will likely complain of pain in one or both heels after running or participating in sports. The purpose of this review was to analyze critically and summarize the literature in regards to the cause and treatment of posterior. Sever’s disease (also known as calcaneal apophysitis) is one of the most common causes of heel pain in growing children,. Heel Pain In Youth Athletes.
From rehab4performance.com
Heel Pain Rehab 4 Performance Heel Pain In Youth Athletes Sports where cleats are worn often make it. Calcaneal apophysitis (more commonly called sever's disease) is a foot condition that predominantly affects children, especially those who are active in sports. The purpose of this review was to analyze critically and summarize the literature in regards to the cause and treatment of posterior. Here we explain the symptoms, causes, and treatment,. Heel Pain In Youth Athletes.
From www.advancedfootandankledocs.com
Heel Pain in Youth Athletes Surgeon Urges Prompt Treatment for Growth Heel Pain In Youth Athletes Here we explain the symptoms, causes, and treatment, as well as how to. Sever's disease (calcaneal apophysitis) is an inflammatory condition that affects the heel bone (calcaneus) causing heel pain. Sever’s disease is a common cause of pain at the back of the heel in children aged 8 to 15 years. Sever’s disease (also known as calcaneal apophysitis) is one. Heel Pain In Youth Athletes.
From www.sports-injury-physio.com
Foot pain in runners A quick guide Sports Injury Physio Heel Pain In Youth Athletes Your child will likely complain of pain in one or both heels after running or participating in sports. Sports where cleats are worn often make it. Here we explain the symptoms, causes, and treatment, as well as how to. Calcaneal apophysitis (more commonly called sever's disease) is a foot condition that predominantly affects children, especially those who are active in. Heel Pain In Youth Athletes.
From www.youtube.com
WakeUp With Heel Pain? Foot Pain Explained / Thornton, Colorado Heel Pain In Youth Athletes Sever’s disease is a common cause of pain at the back of the heel in children aged 8 to 15 years. Your child will likely complain of pain in one or both heels after running or participating in sports. Sever's disease (calcaneal apophysitis) is an inflammatory condition that affects the heel bone (calcaneus) causing heel pain. Sports where cleats are. Heel Pain In Youth Athletes.
From thefootpractice.com
Heel Pain & Running Top 5 Shoes for Heel Pain The Foot Practice Heel Pain In Youth Athletes Sever's disease (calcaneal apophysitis) is an inflammatory condition that affects the heel bone (calcaneus) causing heel pain. Sever’s disease (also known as calcaneal apophysitis) is one of the most common causes of heel pain in growing children, especially children who are very physically active. Sever’s disease is a common cause of pain at the back of the heel in children. Heel Pain In Youth Athletes.
From kassisbrothers.com
Heel Pain Kassis Brother's Shoes Heel Pain In Youth Athletes Sever disease, or calcaneal apophysitis, is a common cause of heel pain in children or young athletes aged 8 to 15 with immature skeletons. Sever’s disease is a common cause of pain at the back of the heel in children aged 8 to 15 years. Calcaneal apophysitis (more commonly called sever's disease) is a foot condition that predominantly affects children,. Heel Pain In Youth Athletes.
From www.youtube.com
Heel Pain In Young Athletes Sever's Disease YouTube Heel Pain In Youth Athletes Sever's disease (calcaneal apophysitis) is an inflammatory condition that affects the heel bone (calcaneus) causing heel pain. Here we explain the symptoms, causes, and treatment, as well as how to. Calcaneal apophysitis (more commonly called sever's disease) is a foot condition that predominantly affects children, especially those who are active in sports. Sever disease, or calcaneal apophysitis, is a common. Heel Pain In Youth Athletes.
From www.runwithcaroline.com
Heel pain after running Causes + 8 ways to prevent it Run With Caroline Heel Pain In Youth Athletes Sever’s disease is a common cause of pain at the back of the heel in children aged 8 to 15 years. Sever disease, or calcaneal apophysitis, is a common cause of heel pain in children or young athletes aged 8 to 15 with immature skeletons. Your child will likely complain of pain in one or both heels after running or. Heel Pain In Youth Athletes.
From www.kcfootcare.com
Heel Pain Kansas City Overland Park KC Foot Care Thomas Bembynista DPM Heel Pain In Youth Athletes Your child will likely complain of pain in one or both heels after running or participating in sports. Sever's disease (calcaneal apophysitis) is an inflammatory condition that affects the heel bone (calcaneus) causing heel pain. Sever disease, or calcaneal apophysitis, is a common cause of heel pain in children or young athletes aged 8 to 15 with immature skeletons. Sports. Heel Pain In Youth Athletes.
From www.runwithcaroline.com
Heel pain after running Causes + 8 ways to prevent it Run With Caroline Heel Pain In Youth Athletes The purpose of this review was to analyze critically and summarize the literature in regards to the cause and treatment of posterior. Your child will likely complain of pain in one or both heels after running or participating in sports. Sever’s disease (also known as calcaneal apophysitis) is one of the most common causes of heel pain in growing children,. Heel Pain In Youth Athletes.