Coil Embolization Duodenal Ulcer . Endoscopic view of a large deep ulcer with a pulsatile visible vessel along the posterior aspect of the duodenal bulb. The primary clinical success rate was higher for duodenal ulcer (8 of 13 patients [62%]) and gastric cancer (3 of 5 patients. There is increased risk of gastric or duodenal infarction after embolotherapy in patients with previous extensive ugi surgery or.
from www.jvir.org
Endoscopic view of a large deep ulcer with a pulsatile visible vessel along the posterior aspect of the duodenal bulb. The primary clinical success rate was higher for duodenal ulcer (8 of 13 patients [62%]) and gastric cancer (3 of 5 patients. There is increased risk of gastric or duodenal infarction after embolotherapy in patients with previous extensive ugi surgery or.
Empiric Transcatheter Arterial Embolization for Massive Bleeding From
Coil Embolization Duodenal Ulcer The primary clinical success rate was higher for duodenal ulcer (8 of 13 patients [62%]) and gastric cancer (3 of 5 patients. Endoscopic view of a large deep ulcer with a pulsatile visible vessel along the posterior aspect of the duodenal bulb. There is increased risk of gastric or duodenal infarction after embolotherapy in patients with previous extensive ugi surgery or. The primary clinical success rate was higher for duodenal ulcer (8 of 13 patients [62%]) and gastric cancer (3 of 5 patients.
From www.mdpi.com
JCM Free FullText Gastrodoudenal Embolization Indications Coil Embolization Duodenal Ulcer Endoscopic view of a large deep ulcer with a pulsatile visible vessel along the posterior aspect of the duodenal bulb. There is increased risk of gastric or duodenal infarction after embolotherapy in patients with previous extensive ugi surgery or. The primary clinical success rate was higher for duodenal ulcer (8 of 13 patients [62%]) and gastric cancer (3 of 5. Coil Embolization Duodenal Ulcer.
From www.semanticscholar.org
Figure 3 from Embolization of Bleeding Duodenal Ulcer Using Amplatzer Coil Embolization Duodenal Ulcer There is increased risk of gastric or duodenal infarction after embolotherapy in patients with previous extensive ugi surgery or. Endoscopic view of a large deep ulcer with a pulsatile visible vessel along the posterior aspect of the duodenal bulb. The primary clinical success rate was higher for duodenal ulcer (8 of 13 patients [62%]) and gastric cancer (3 of 5. Coil Embolization Duodenal Ulcer.
From radiologykey.com
5 Embolization for an Upper Gastrointestinal Hemorrhage Radiology Key Coil Embolization Duodenal Ulcer The primary clinical success rate was higher for duodenal ulcer (8 of 13 patients [62%]) and gastric cancer (3 of 5 patients. There is increased risk of gastric or duodenal infarction after embolotherapy in patients with previous extensive ugi surgery or. Endoscopic view of a large deep ulcer with a pulsatile visible vessel along the posterior aspect of the duodenal. Coil Embolization Duodenal Ulcer.
From www.semanticscholar.org
Figure 1 from Embolization of Bleeding Duodenal Ulcer Using Amplatzer Coil Embolization Duodenal Ulcer Endoscopic view of a large deep ulcer with a pulsatile visible vessel along the posterior aspect of the duodenal bulb. The primary clinical success rate was higher for duodenal ulcer (8 of 13 patients [62%]) and gastric cancer (3 of 5 patients. There is increased risk of gastric or duodenal infarction after embolotherapy in patients with previous extensive ugi surgery. Coil Embolization Duodenal Ulcer.
From www.researchgate.net
Successful coil embolization of the inferior pancreaticoduodenal Coil Embolization Duodenal Ulcer The primary clinical success rate was higher for duodenal ulcer (8 of 13 patients [62%]) and gastric cancer (3 of 5 patients. There is increased risk of gastric or duodenal infarction after embolotherapy in patients with previous extensive ugi surgery or. Endoscopic view of a large deep ulcer with a pulsatile visible vessel along the posterior aspect of the duodenal. Coil Embolization Duodenal Ulcer.
From www.wjgnet.com
Duodenal ulcer caused by coil wiggle after digital subtraction Coil Embolization Duodenal Ulcer Endoscopic view of a large deep ulcer with a pulsatile visible vessel along the posterior aspect of the duodenal bulb. The primary clinical success rate was higher for duodenal ulcer (8 of 13 patients [62%]) and gastric cancer (3 of 5 patients. There is increased risk of gastric or duodenal infarction after embolotherapy in patients with previous extensive ugi surgery. Coil Embolization Duodenal Ulcer.
From www.researchgate.net
Angiogram performed after selective coil embolization of the Coil Embolization Duodenal Ulcer There is increased risk of gastric or duodenal infarction after embolotherapy in patients with previous extensive ugi surgery or. Endoscopic view of a large deep ulcer with a pulsatile visible vessel along the posterior aspect of the duodenal bulb. The primary clinical success rate was higher for duodenal ulcer (8 of 13 patients [62%]) and gastric cancer (3 of 5. Coil Embolization Duodenal Ulcer.
From www.wjgnet.com
Duodenal ulcer caused by coil wiggle after digital subtraction Coil Embolization Duodenal Ulcer The primary clinical success rate was higher for duodenal ulcer (8 of 13 patients [62%]) and gastric cancer (3 of 5 patients. Endoscopic view of a large deep ulcer with a pulsatile visible vessel along the posterior aspect of the duodenal bulb. There is increased risk of gastric or duodenal infarction after embolotherapy in patients with previous extensive ugi surgery. Coil Embolization Duodenal Ulcer.
From www.elsevier.es
Endoscopic View of Embolization Coil in a Duodenal Ulcer GE Coil Embolization Duodenal Ulcer The primary clinical success rate was higher for duodenal ulcer (8 of 13 patients [62%]) and gastric cancer (3 of 5 patients. There is increased risk of gastric or duodenal infarction after embolotherapy in patients with previous extensive ugi surgery or. Endoscopic view of a large deep ulcer with a pulsatile visible vessel along the posterior aspect of the duodenal. Coil Embolization Duodenal Ulcer.
From www.researchgate.net
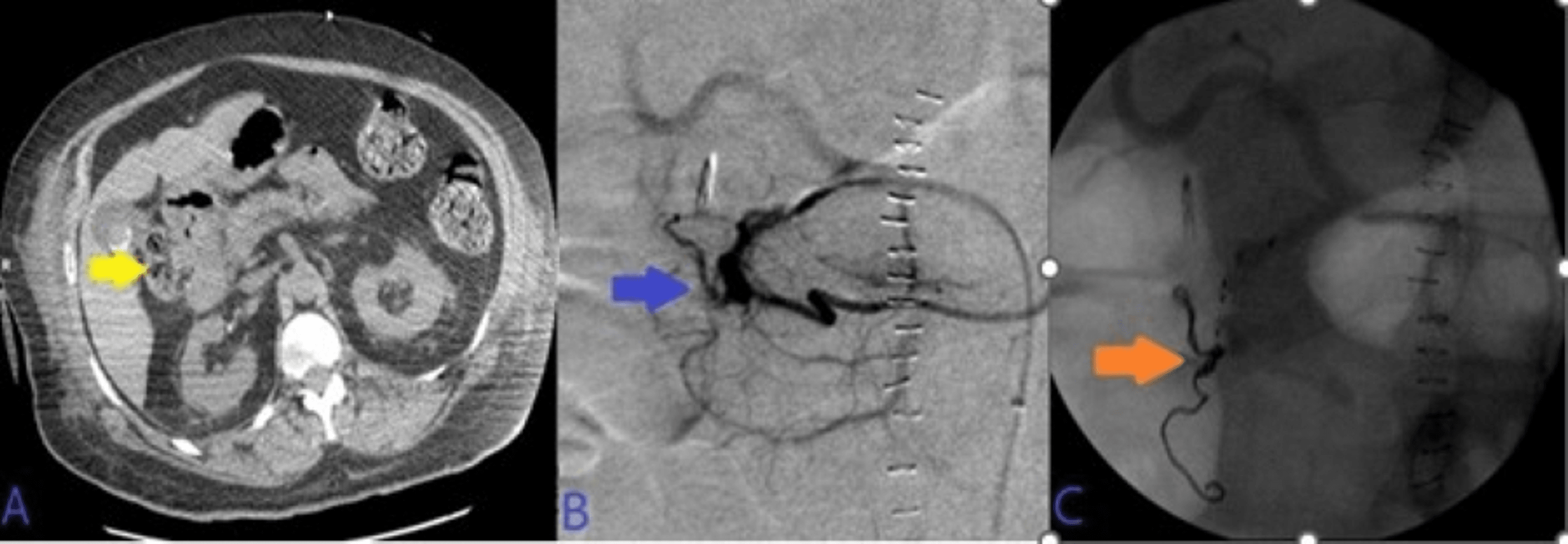
Embolization with two coils in the gastroduodenal artery (blue arrow Coil Embolization Duodenal Ulcer The primary clinical success rate was higher for duodenal ulcer (8 of 13 patients [62%]) and gastric cancer (3 of 5 patients. There is increased risk of gastric or duodenal infarction after embolotherapy in patients with previous extensive ugi surgery or. Endoscopic view of a large deep ulcer with a pulsatile visible vessel along the posterior aspect of the duodenal. Coil Embolization Duodenal Ulcer.
From www.eurorad.org
Transradial coil embolization of a bleeding duodenal ulcer in a patient Coil Embolization Duodenal Ulcer The primary clinical success rate was higher for duodenal ulcer (8 of 13 patients [62%]) and gastric cancer (3 of 5 patients. Endoscopic view of a large deep ulcer with a pulsatile visible vessel along the posterior aspect of the duodenal bulb. There is increased risk of gastric or duodenal infarction after embolotherapy in patients with previous extensive ugi surgery. Coil Embolization Duodenal Ulcer.
From www.researchgate.net
(AF) CT angiography (CTA) and digital subtraction angiography (DSA) of Coil Embolization Duodenal Ulcer Endoscopic view of a large deep ulcer with a pulsatile visible vessel along the posterior aspect of the duodenal bulb. The primary clinical success rate was higher for duodenal ulcer (8 of 13 patients [62%]) and gastric cancer (3 of 5 patients. There is increased risk of gastric or duodenal infarction after embolotherapy in patients with previous extensive ugi surgery. Coil Embolization Duodenal Ulcer.
From www.eurorad.org
Transradial coil embolization of a bleeding duodenal ulcer in a patient Coil Embolization Duodenal Ulcer Endoscopic view of a large deep ulcer with a pulsatile visible vessel along the posterior aspect of the duodenal bulb. The primary clinical success rate was higher for duodenal ulcer (8 of 13 patients [62%]) and gastric cancer (3 of 5 patients. There is increased risk of gastric or duodenal infarction after embolotherapy in patients with previous extensive ugi surgery. Coil Embolization Duodenal Ulcer.
From evtoday.com
Endovascular Today Embolization for Upper GI Bleeding (April 2016) Coil Embolization Duodenal Ulcer The primary clinical success rate was higher for duodenal ulcer (8 of 13 patients [62%]) and gastric cancer (3 of 5 patients. Endoscopic view of a large deep ulcer with a pulsatile visible vessel along the posterior aspect of the duodenal bulb. There is increased risk of gastric or duodenal infarction after embolotherapy in patients with previous extensive ugi surgery. Coil Embolization Duodenal Ulcer.
From www.researchgate.net
(PDF) Duodenal ulcer caused by coil wiggle after digital subtraction Coil Embolization Duodenal Ulcer The primary clinical success rate was higher for duodenal ulcer (8 of 13 patients [62%]) and gastric cancer (3 of 5 patients. There is increased risk of gastric or duodenal infarction after embolotherapy in patients with previous extensive ugi surgery or. Endoscopic view of a large deep ulcer with a pulsatile visible vessel along the posterior aspect of the duodenal. Coil Embolization Duodenal Ulcer.
From www.semanticscholar.org
Figure 1 from Transcatheter Arterial Embolization in Patients with Coil Embolization Duodenal Ulcer There is increased risk of gastric or duodenal infarction after embolotherapy in patients with previous extensive ugi surgery or. The primary clinical success rate was higher for duodenal ulcer (8 of 13 patients [62%]) and gastric cancer (3 of 5 patients. Endoscopic view of a large deep ulcer with a pulsatile visible vessel along the posterior aspect of the duodenal. Coil Embolization Duodenal Ulcer.
From www.researchgate.net
Typical sandwich embolization in a 73yearold man with bleeding from a Coil Embolization Duodenal Ulcer Endoscopic view of a large deep ulcer with a pulsatile visible vessel along the posterior aspect of the duodenal bulb. The primary clinical success rate was higher for duodenal ulcer (8 of 13 patients [62%]) and gastric cancer (3 of 5 patients. There is increased risk of gastric or duodenal infarction after embolotherapy in patients with previous extensive ugi surgery. Coil Embolization Duodenal Ulcer.
From www.researchgate.net
Coil embolization of the gastroduodenal artery. Arrow marks site of Coil Embolization Duodenal Ulcer There is increased risk of gastric or duodenal infarction after embolotherapy in patients with previous extensive ugi surgery or. The primary clinical success rate was higher for duodenal ulcer (8 of 13 patients [62%]) and gastric cancer (3 of 5 patients. Endoscopic view of a large deep ulcer with a pulsatile visible vessel along the posterior aspect of the duodenal. Coil Embolization Duodenal Ulcer.
From www.wjgnet.com
Gelfoam embolization for distal, medium vessel injury during mechanical Coil Embolization Duodenal Ulcer There is increased risk of gastric or duodenal infarction after embolotherapy in patients with previous extensive ugi surgery or. The primary clinical success rate was higher for duodenal ulcer (8 of 13 patients [62%]) and gastric cancer (3 of 5 patients. Endoscopic view of a large deep ulcer with a pulsatile visible vessel along the posterior aspect of the duodenal. Coil Embolization Duodenal Ulcer.
From www.cureus.com
Role of Transcatheter Arterial Embolization in Acute Refractory Non Coil Embolization Duodenal Ulcer There is increased risk of gastric or duodenal infarction after embolotherapy in patients with previous extensive ugi surgery or. Endoscopic view of a large deep ulcer with a pulsatile visible vessel along the posterior aspect of the duodenal bulb. The primary clinical success rate was higher for duodenal ulcer (8 of 13 patients [62%]) and gastric cancer (3 of 5. Coil Embolization Duodenal Ulcer.
From www.jvir.org
Empiric Transcatheter Arterial Embolization for Massive Bleeding From Coil Embolization Duodenal Ulcer The primary clinical success rate was higher for duodenal ulcer (8 of 13 patients [62%]) and gastric cancer (3 of 5 patients. Endoscopic view of a large deep ulcer with a pulsatile visible vessel along the posterior aspect of the duodenal bulb. There is increased risk of gastric or duodenal infarction after embolotherapy in patients with previous extensive ugi surgery. Coil Embolization Duodenal Ulcer.
From www.researchgate.net
Successful coil embolization of gastroduodenal, inferior... Download Coil Embolization Duodenal Ulcer Endoscopic view of a large deep ulcer with a pulsatile visible vessel along the posterior aspect of the duodenal bulb. The primary clinical success rate was higher for duodenal ulcer (8 of 13 patients [62%]) and gastric cancer (3 of 5 patients. There is increased risk of gastric or duodenal infarction after embolotherapy in patients with previous extensive ugi surgery. Coil Embolization Duodenal Ulcer.
From www.mdpi.com
JCM Free FullText Gastrodoudenal Embolization Indications Coil Embolization Duodenal Ulcer Endoscopic view of a large deep ulcer with a pulsatile visible vessel along the posterior aspect of the duodenal bulb. The primary clinical success rate was higher for duodenal ulcer (8 of 13 patients [62%]) and gastric cancer (3 of 5 patients. There is increased risk of gastric or duodenal infarction after embolotherapy in patients with previous extensive ugi surgery. Coil Embolization Duodenal Ulcer.
From www.eurorad.org
Transradial coil embolization of a bleeding duodenal ulcer in a patient Coil Embolization Duodenal Ulcer The primary clinical success rate was higher for duodenal ulcer (8 of 13 patients [62%]) and gastric cancer (3 of 5 patients. Endoscopic view of a large deep ulcer with a pulsatile visible vessel along the posterior aspect of the duodenal bulb. There is increased risk of gastric or duodenal infarction after embolotherapy in patients with previous extensive ugi surgery. Coil Embolization Duodenal Ulcer.
From www.researchgate.net
(PDF) Endoscopic View of Embolization Coil in a Duodenal Ulcer Coil Embolization Duodenal Ulcer Endoscopic view of a large deep ulcer with a pulsatile visible vessel along the posterior aspect of the duodenal bulb. There is increased risk of gastric or duodenal infarction after embolotherapy in patients with previous extensive ugi surgery or. The primary clinical success rate was higher for duodenal ulcer (8 of 13 patients [62%]) and gastric cancer (3 of 5. Coil Embolization Duodenal Ulcer.
From www.semanticscholar.org
Figure 703 from Surgery of duodenal ulcer. Semantic Scholar Coil Embolization Duodenal Ulcer Endoscopic view of a large deep ulcer with a pulsatile visible vessel along the posterior aspect of the duodenal bulb. There is increased risk of gastric or duodenal infarction after embolotherapy in patients with previous extensive ugi surgery or. The primary clinical success rate was higher for duodenal ulcer (8 of 13 patients [62%]) and gastric cancer (3 of 5. Coil Embolization Duodenal Ulcer.
From www.semanticscholar.org
Figure 1 from Endoscopic View of Embolization Coil in a Duodenal Ulcer Coil Embolization Duodenal Ulcer Endoscopic view of a large deep ulcer with a pulsatile visible vessel along the posterior aspect of the duodenal bulb. There is increased risk of gastric or duodenal infarction after embolotherapy in patients with previous extensive ugi surgery or. The primary clinical success rate was higher for duodenal ulcer (8 of 13 patients [62%]) and gastric cancer (3 of 5. Coil Embolization Duodenal Ulcer.
From www.wjgnet.com
Duodenal ulcer caused by coil wiggle after digital subtraction Coil Embolization Duodenal Ulcer Endoscopic view of a large deep ulcer with a pulsatile visible vessel along the posterior aspect of the duodenal bulb. The primary clinical success rate was higher for duodenal ulcer (8 of 13 patients [62%]) and gastric cancer (3 of 5 patients. There is increased risk of gastric or duodenal infarction after embolotherapy in patients with previous extensive ugi surgery. Coil Embolization Duodenal Ulcer.
From pubs.rsna.org
Imaging Spectrum of Duodenal Emergencies RadioGraphics Coil Embolization Duodenal Ulcer There is increased risk of gastric or duodenal infarction after embolotherapy in patients with previous extensive ugi surgery or. Endoscopic view of a large deep ulcer with a pulsatile visible vessel along the posterior aspect of the duodenal bulb. The primary clinical success rate was higher for duodenal ulcer (8 of 13 patients [62%]) and gastric cancer (3 of 5. Coil Embolization Duodenal Ulcer.
From www.cureus.com
Recurrent Duodenal Ulcer After Gastroduodenal Artery Embolization Due Coil Embolization Duodenal Ulcer Endoscopic view of a large deep ulcer with a pulsatile visible vessel along the posterior aspect of the duodenal bulb. The primary clinical success rate was higher for duodenal ulcer (8 of 13 patients [62%]) and gastric cancer (3 of 5 patients. There is increased risk of gastric or duodenal infarction after embolotherapy in patients with previous extensive ugi surgery. Coil Embolization Duodenal Ulcer.
From evtoday.com
Endovascular Today Embolization for Upper GI Bleeding (April 2016) Coil Embolization Duodenal Ulcer The primary clinical success rate was higher for duodenal ulcer (8 of 13 patients [62%]) and gastric cancer (3 of 5 patients. Endoscopic view of a large deep ulcer with a pulsatile visible vessel along the posterior aspect of the duodenal bulb. There is increased risk of gastric or duodenal infarction after embolotherapy in patients with previous extensive ugi surgery. Coil Embolization Duodenal Ulcer.
From www.eurorad.org
Transradial coil embolization of a bleeding duodenal ulcer in a patient Coil Embolization Duodenal Ulcer The primary clinical success rate was higher for duodenal ulcer (8 of 13 patients [62%]) and gastric cancer (3 of 5 patients. Endoscopic view of a large deep ulcer with a pulsatile visible vessel along the posterior aspect of the duodenal bulb. There is increased risk of gastric or duodenal infarction after embolotherapy in patients with previous extensive ugi surgery. Coil Embolization Duodenal Ulcer.
From www.eurorad.org
Transradial coil embolization of a bleeding duodenal ulcer in a patient Coil Embolization Duodenal Ulcer Endoscopic view of a large deep ulcer with a pulsatile visible vessel along the posterior aspect of the duodenal bulb. The primary clinical success rate was higher for duodenal ulcer (8 of 13 patients [62%]) and gastric cancer (3 of 5 patients. There is increased risk of gastric or duodenal infarction after embolotherapy in patients with previous extensive ugi surgery. Coil Embolization Duodenal Ulcer.
From www.researchgate.net
Successful coil embolization of gastroduodenal artery aneurysm. Arrow Coil Embolization Duodenal Ulcer The primary clinical success rate was higher for duodenal ulcer (8 of 13 patients [62%]) and gastric cancer (3 of 5 patients. Endoscopic view of a large deep ulcer with a pulsatile visible vessel along the posterior aspect of the duodenal bulb. There is increased risk of gastric or duodenal infarction after embolotherapy in patients with previous extensive ugi surgery. Coil Embolization Duodenal Ulcer.
From www.researchgate.net
(A) Duodenal bulb with ulcer in sight. (B) Partially perforated coil Coil Embolization Duodenal Ulcer Endoscopic view of a large deep ulcer with a pulsatile visible vessel along the posterior aspect of the duodenal bulb. The primary clinical success rate was higher for duodenal ulcer (8 of 13 patients [62%]) and gastric cancer (3 of 5 patients. There is increased risk of gastric or duodenal infarction after embolotherapy in patients with previous extensive ugi surgery. Coil Embolization Duodenal Ulcer.