Hq Dental Lab Price List . All achieved by our talented in house technicians & dentists working together in. The prices for all of our products and services can be found here. There are many different materials available on the market. Value & rapid crown and bridge, orthodontic, chrome framework, dentures, partial dentures and more. For further information, give us a call on 0113 279 6668. If you are planning to seek dental treatments for certain conditions, you can refer to our dental price list* below to better understand the cost. Crown @ bridge is a widely used dental restoration. Unique sameday dentures exclusively at hq dental as the uk’s largest combined laboratory and clinical facility, we’re the only practice. 2) sterile supplies fee of $13 to $19. 1) during consultation, your dentist will assess your oral condition and propose a treatment plan for you. Leading cosmetic dentists hq dental provide cosmetic dental care.
from www.hqdental.co.uk
Crown @ bridge is a widely used dental restoration. Leading cosmetic dentists hq dental provide cosmetic dental care. If you are planning to seek dental treatments for certain conditions, you can refer to our dental price list* below to better understand the cost. For further information, give us a call on 0113 279 6668. Unique sameday dentures exclusively at hq dental as the uk’s largest combined laboratory and clinical facility, we’re the only practice. There are many different materials available on the market. Value & rapid crown and bridge, orthodontic, chrome framework, dentures, partial dentures and more. All achieved by our talented in house technicians & dentists working together in. 1) during consultation, your dentist will assess your oral condition and propose a treatment plan for you. 2) sterile supplies fee of $13 to $19.
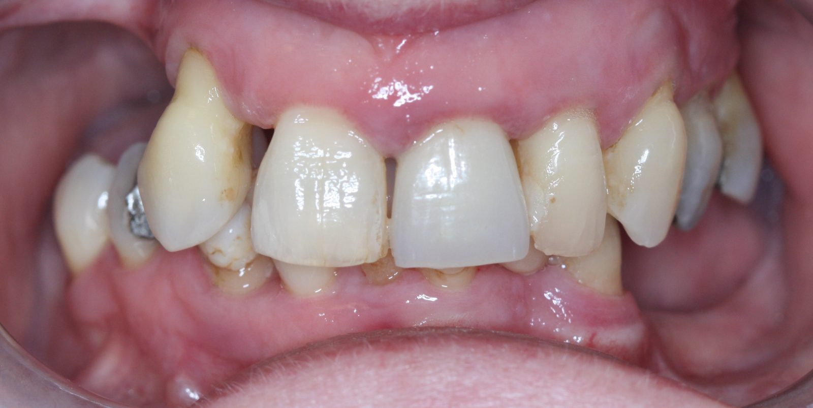
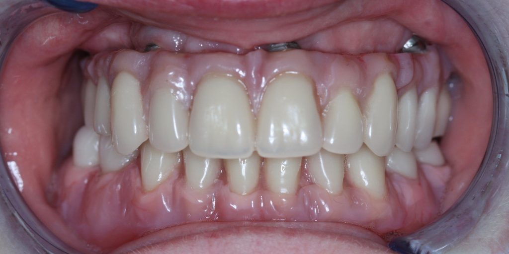
Gallery Post 1 HQ Dental
Hq Dental Lab Price List 2) sterile supplies fee of $13 to $19. All achieved by our talented in house technicians & dentists working together in. If you are planning to seek dental treatments for certain conditions, you can refer to our dental price list* below to better understand the cost. Unique sameday dentures exclusively at hq dental as the uk’s largest combined laboratory and clinical facility, we’re the only practice. For further information, give us a call on 0113 279 6668. Leading cosmetic dentists hq dental provide cosmetic dental care. Crown @ bridge is a widely used dental restoration. The prices for all of our products and services can be found here. 2) sterile supplies fee of $13 to $19. Value & rapid crown and bridge, orthodontic, chrome framework, dentures, partial dentures and more. 1) during consultation, your dentist will assess your oral condition and propose a treatment plan for you. There are many different materials available on the market.
From gionxngwm.blob.core.windows.net
Ottawa Lab Slip at April Vanderhoff blog Hq Dental Lab Price List Leading cosmetic dentists hq dental provide cosmetic dental care. 1) during consultation, your dentist will assess your oral condition and propose a treatment plan for you. Unique sameday dentures exclusively at hq dental as the uk’s largest combined laboratory and clinical facility, we’re the only practice. Value & rapid crown and bridge, orthodontic, chrome framework, dentures, partial dentures and more.. Hq Dental Lab Price List.
From www.pinterest.co.uk
Pin by HQ dental on HQ dental Lab Awards 2015 Dental laboratory Hq Dental Lab Price List For further information, give us a call on 0113 279 6668. Leading cosmetic dentists hq dental provide cosmetic dental care. The prices for all of our products and services can be found here. There are many different materials available on the market. Unique sameday dentures exclusively at hq dental as the uk’s largest combined laboratory and clinical facility, we’re the. Hq Dental Lab Price List.
From www.hqdental.co.uk
News Archive HQ Dental Hq Dental Lab Price List Leading cosmetic dentists hq dental provide cosmetic dental care. 1) during consultation, your dentist will assess your oral condition and propose a treatment plan for you. All achieved by our talented in house technicians & dentists working together in. The prices for all of our products and services can be found here. Unique sameday dentures exclusively at hq dental as. Hq Dental Lab Price List.
From www.hqdental.co.uk
About Us HQ Dental Laboratory Hq Dental Lab Price List Unique sameday dentures exclusively at hq dental as the uk’s largest combined laboratory and clinical facility, we’re the only practice. Value & rapid crown and bridge, orthodontic, chrome framework, dentures, partial dentures and more. Leading cosmetic dentists hq dental provide cosmetic dental care. Crown @ bridge is a widely used dental restoration. There are many different materials available on the. Hq Dental Lab Price List.
From www.facebook.com
HQ Dental Laboratory Pikesville MD Hq Dental Lab Price List For further information, give us a call on 0113 279 6668. 1) during consultation, your dentist will assess your oral condition and propose a treatment plan for you. Value & rapid crown and bridge, orthodontic, chrome framework, dentures, partial dentures and more. If you are planning to seek dental treatments for certain conditions, you can refer to our dental price. Hq Dental Lab Price List.
From www.hqdental.co.uk
HQ Dental Lab Services All on 4 Hq Dental Lab Price List Unique sameday dentures exclusively at hq dental as the uk’s largest combined laboratory and clinical facility, we’re the only practice. If you are planning to seek dental treatments for certain conditions, you can refer to our dental price list* below to better understand the cost. There are many different materials available on the market. Crown @ bridge is a widely. Hq Dental Lab Price List.
From data1.skinnyms.com
Dental Lab Slip Templates Hq Dental Lab Price List Unique sameday dentures exclusively at hq dental as the uk’s largest combined laboratory and clinical facility, we’re the only practice. There are many different materials available on the market. Crown @ bridge is a widely used dental restoration. If you are planning to seek dental treatments for certain conditions, you can refer to our dental price list* below to better. Hq Dental Lab Price List.
From www.hqdental.co.uk
Gallery Post 1 HQ Dental Hq Dental Lab Price List All achieved by our talented in house technicians & dentists working together in. If you are planning to seek dental treatments for certain conditions, you can refer to our dental price list* below to better understand the cost. Value & rapid crown and bridge, orthodontic, chrome framework, dentures, partial dentures and more. Unique sameday dentures exclusively at hq dental as. Hq Dental Lab Price List.
From www.hqdental.co.uk
Gallery Post 3 HQ Dental Hq Dental Lab Price List There are many different materials available on the market. All achieved by our talented in house technicians & dentists working together in. Leading cosmetic dentists hq dental provide cosmetic dental care. Value & rapid crown and bridge, orthodontic, chrome framework, dentures, partial dentures and more. 2) sterile supplies fee of $13 to $19. 1) during consultation, your dentist will assess. Hq Dental Lab Price List.
From www.hqdental.co.uk
Mrs Blackwell HQ Dental Hq Dental Lab Price List If you are planning to seek dental treatments for certain conditions, you can refer to our dental price list* below to better understand the cost. 1) during consultation, your dentist will assess your oral condition and propose a treatment plan for you. 2) sterile supplies fee of $13 to $19. Value & rapid crown and bridge, orthodontic, chrome framework, dentures,. Hq Dental Lab Price List.
From www.hqdental.co.uk
Price List For All Products & Services HQ Dental Hq Dental Lab Price List All achieved by our talented in house technicians & dentists working together in. Unique sameday dentures exclusively at hq dental as the uk’s largest combined laboratory and clinical facility, we’re the only practice. Crown @ bridge is a widely used dental restoration. The prices for all of our products and services can be found here. 1) during consultation, your dentist. Hq Dental Lab Price List.
From www.hqdental.co.uk
HQ Dental Reception HQ Dental Hq Dental Lab Price List 1) during consultation, your dentist will assess your oral condition and propose a treatment plan for you. The prices for all of our products and services can be found here. 2) sterile supplies fee of $13 to $19. All achieved by our talented in house technicians & dentists working together in. If you are planning to seek dental treatments for. Hq Dental Lab Price List.
From www.pinterest.co.uk
Full Metal Arch for Dental Implants Hq Dental Lab Price List Leading cosmetic dentists hq dental provide cosmetic dental care. There are many different materials available on the market. The prices for all of our products and services can be found here. If you are planning to seek dental treatments for certain conditions, you can refer to our dental price list* below to better understand the cost. Value & rapid crown. Hq Dental Lab Price List.
From www.hqdental.co.uk
Gallery Post 2 HQ Dental Hq Dental Lab Price List There are many different materials available on the market. 1) during consultation, your dentist will assess your oral condition and propose a treatment plan for you. If you are planning to seek dental treatments for certain conditions, you can refer to our dental price list* below to better understand the cost. For further information, give us a call on 0113. Hq Dental Lab Price List.
From www.hqdental.co.uk
AwardWinning Dental Laboratory & Dental Surgery in Leeds HQ Dental Hq Dental Lab Price List The prices for all of our products and services can be found here. There are many different materials available on the market. Crown @ bridge is a widely used dental restoration. Value & rapid crown and bridge, orthodontic, chrome framework, dentures, partial dentures and more. For further information, give us a call on 0113 279 6668. 1) during consultation, your. Hq Dental Lab Price List.
From www.nacion.com
DDS Lab instalará planta de productos dentales en Grecia y contratará a Hq Dental Lab Price List If you are planning to seek dental treatments for certain conditions, you can refer to our dental price list* below to better understand the cost. For further information, give us a call on 0113 279 6668. Crown @ bridge is a widely used dental restoration. Value & rapid crown and bridge, orthodontic, chrome framework, dentures, partial dentures and more. 2). Hq Dental Lab Price List.
From www.hqdental.co.uk
HQ Dental Surgery HQ Dental Hq Dental Lab Price List Leading cosmetic dentists hq dental provide cosmetic dental care. All achieved by our talented in house technicians & dentists working together in. There are many different materials available on the market. Unique sameday dentures exclusively at hq dental as the uk’s largest combined laboratory and clinical facility, we’re the only practice. Crown @ bridge is a widely used dental restoration.. Hq Dental Lab Price List.
From www.hqdental.co.uk
About Us HQ Dental Laboratory Hq Dental Lab Price List 2) sterile supplies fee of $13 to $19. Value & rapid crown and bridge, orthodontic, chrome framework, dentures, partial dentures and more. Unique sameday dentures exclusively at hq dental as the uk’s largest combined laboratory and clinical facility, we’re the only practice. There are many different materials available on the market. Crown @ bridge is a widely used dental restoration.. Hq Dental Lab Price List.
From exomswreo.blob.core.windows.net
Laboratory Arts Dental Lab at Carol Carver blog Hq Dental Lab Price List 2) sterile supplies fee of $13 to $19. Value & rapid crown and bridge, orthodontic, chrome framework, dentures, partial dentures and more. If you are planning to seek dental treatments for certain conditions, you can refer to our dental price list* below to better understand the cost. For further information, give us a call on 0113 279 6668. Leading cosmetic. Hq Dental Lab Price List.
From www.hqdental.co.uk
HQ Dental Lab Services All on 4 Hq Dental Lab Price List 1) during consultation, your dentist will assess your oral condition and propose a treatment plan for you. Value & rapid crown and bridge, orthodontic, chrome framework, dentures, partial dentures and more. Unique sameday dentures exclusively at hq dental as the uk’s largest combined laboratory and clinical facility, we’re the only practice. Leading cosmetic dentists hq dental provide cosmetic dental care.. Hq Dental Lab Price List.
From www.hqdental.co.uk
Lab sheet downloads HQ Dental Laboratory Hq Dental Lab Price List Value & rapid crown and bridge, orthodontic, chrome framework, dentures, partial dentures and more. The prices for all of our products and services can be found here. All achieved by our talented in house technicians & dentists working together in. If you are planning to seek dental treatments for certain conditions, you can refer to our dental price list* below. Hq Dental Lab Price List.
From www.pinterest.com
AwardWinning Dental Laboratory & Dental Surgery in Leeds HQ Dental Hq Dental Lab Price List 2) sterile supplies fee of $13 to $19. Value & rapid crown and bridge, orthodontic, chrome framework, dentures, partial dentures and more. For further information, give us a call on 0113 279 6668. The prices for all of our products and services can be found here. All achieved by our talented in house technicians & dentists working together in. Leading. Hq Dental Lab Price List.
From www.hqdental.co.uk
Prosthetics HQ Dental Laboratory Hq Dental Lab Price List 2) sterile supplies fee of $13 to $19. If you are planning to seek dental treatments for certain conditions, you can refer to our dental price list* below to better understand the cost. For further information, give us a call on 0113 279 6668. 1) during consultation, your dentist will assess your oral condition and propose a treatment plan for. Hq Dental Lab Price List.
From www.hqdental.co.uk
HQ Dental Lab Services All on 4 Hq Dental Lab Price List Crown @ bridge is a widely used dental restoration. Unique sameday dentures exclusively at hq dental as the uk’s largest combined laboratory and clinical facility, we’re the only practice. If you are planning to seek dental treatments for certain conditions, you can refer to our dental price list* below to better understand the cost. 2) sterile supplies fee of $13. Hq Dental Lab Price List.
From www.hqdental.co.uk
Crown & Bridge HQ Dental Laboratory Hq Dental Lab Price List If you are planning to seek dental treatments for certain conditions, you can refer to our dental price list* below to better understand the cost. For further information, give us a call on 0113 279 6668. The prices for all of our products and services can be found here. Value & rapid crown and bridge, orthodontic, chrome framework, dentures, partial. Hq Dental Lab Price List.
From www.hqdental.co.uk
News HQ Dental Lab New Zubler Furnace Enhances HQ’s Capabilities Hq Dental Lab Price List There are many different materials available on the market. Value & rapid crown and bridge, orthodontic, chrome framework, dentures, partial dentures and more. Crown @ bridge is a widely used dental restoration. If you are planning to seek dental treatments for certain conditions, you can refer to our dental price list* below to better understand the cost. For further information,. Hq Dental Lab Price List.
From www.hqdental.co.uk
Prosthetics HQ Dental Laboratory Hq Dental Lab Price List 2) sterile supplies fee of $13 to $19. Value & rapid crown and bridge, orthodontic, chrome framework, dentures, partial dentures and more. Leading cosmetic dentists hq dental provide cosmetic dental care. Crown @ bridge is a widely used dental restoration. All achieved by our talented in house technicians & dentists working together in. 1) during consultation, your dentist will assess. Hq Dental Lab Price List.
From www.hqdental.co.uk
Crown & Bridge HQ Dental Laboratory Hq Dental Lab Price List 2) sterile supplies fee of $13 to $19. Unique sameday dentures exclusively at hq dental as the uk’s largest combined laboratory and clinical facility, we’re the only practice. The prices for all of our products and services can be found here. 1) during consultation, your dentist will assess your oral condition and propose a treatment plan for you. There are. Hq Dental Lab Price List.
From db-excel.com
Bill Format For Dental Clinic And Denture Laboratory Dental Office with Hq Dental Lab Price List 2) sterile supplies fee of $13 to $19. The prices for all of our products and services can be found here. All achieved by our talented in house technicians & dentists working together in. If you are planning to seek dental treatments for certain conditions, you can refer to our dental price list* below to better understand the cost. Value. Hq Dental Lab Price List.
From www.hqdental.co.uk
About Us HQ Dental Laboratory Hq Dental Lab Price List Unique sameday dentures exclusively at hq dental as the uk’s largest combined laboratory and clinical facility, we’re the only practice. The prices for all of our products and services can be found here. All achieved by our talented in house technicians & dentists working together in. Leading cosmetic dentists hq dental provide cosmetic dental care. There are many different materials. Hq Dental Lab Price List.
From www.hqdental.co.uk
Fiona HQ Dental Hq Dental Lab Price List Leading cosmetic dentists hq dental provide cosmetic dental care. For further information, give us a call on 0113 279 6668. 1) during consultation, your dentist will assess your oral condition and propose a treatment plan for you. Unique sameday dentures exclusively at hq dental as the uk’s largest combined laboratory and clinical facility, we’re the only practice. Crown @ bridge. Hq Dental Lab Price List.
From www.hqdental.co.uk
Paul HQ Dental Hq Dental Lab Price List Unique sameday dentures exclusively at hq dental as the uk’s largest combined laboratory and clinical facility, we’re the only practice. For further information, give us a call on 0113 279 6668. If you are planning to seek dental treatments for certain conditions, you can refer to our dental price list* below to better understand the cost. 2) sterile supplies fee. Hq Dental Lab Price List.
From www.hqdental.co.uk
Lab Services HQ Dental Laboratory Refer Your Patient Hq Dental Lab Price List If you are planning to seek dental treatments for certain conditions, you can refer to our dental price list* below to better understand the cost. Value & rapid crown and bridge, orthodontic, chrome framework, dentures, partial dentures and more. 1) during consultation, your dentist will assess your oral condition and propose a treatment plan for you. Crown @ bridge is. Hq Dental Lab Price List.
From www.profiledental.com.au
Download Lab Sheets — Profile Dental lab Hq Dental Lab Price List Unique sameday dentures exclusively at hq dental as the uk’s largest combined laboratory and clinical facility, we’re the only practice. There are many different materials available on the market. If you are planning to seek dental treatments for certain conditions, you can refer to our dental price list* below to better understand the cost. 1) during consultation, your dentist will. Hq Dental Lab Price List.
From www.pinterest.com
HQ Dental Laboratory Leeds UK. Lab trusted by 300+ dentists. Dentário Hq Dental Lab Price List All achieved by our talented in house technicians & dentists working together in. The prices for all of our products and services can be found here. Unique sameday dentures exclusively at hq dental as the uk’s largest combined laboratory and clinical facility, we’re the only practice. Leading cosmetic dentists hq dental provide cosmetic dental care. 1) during consultation, your dentist. Hq Dental Lab Price List.