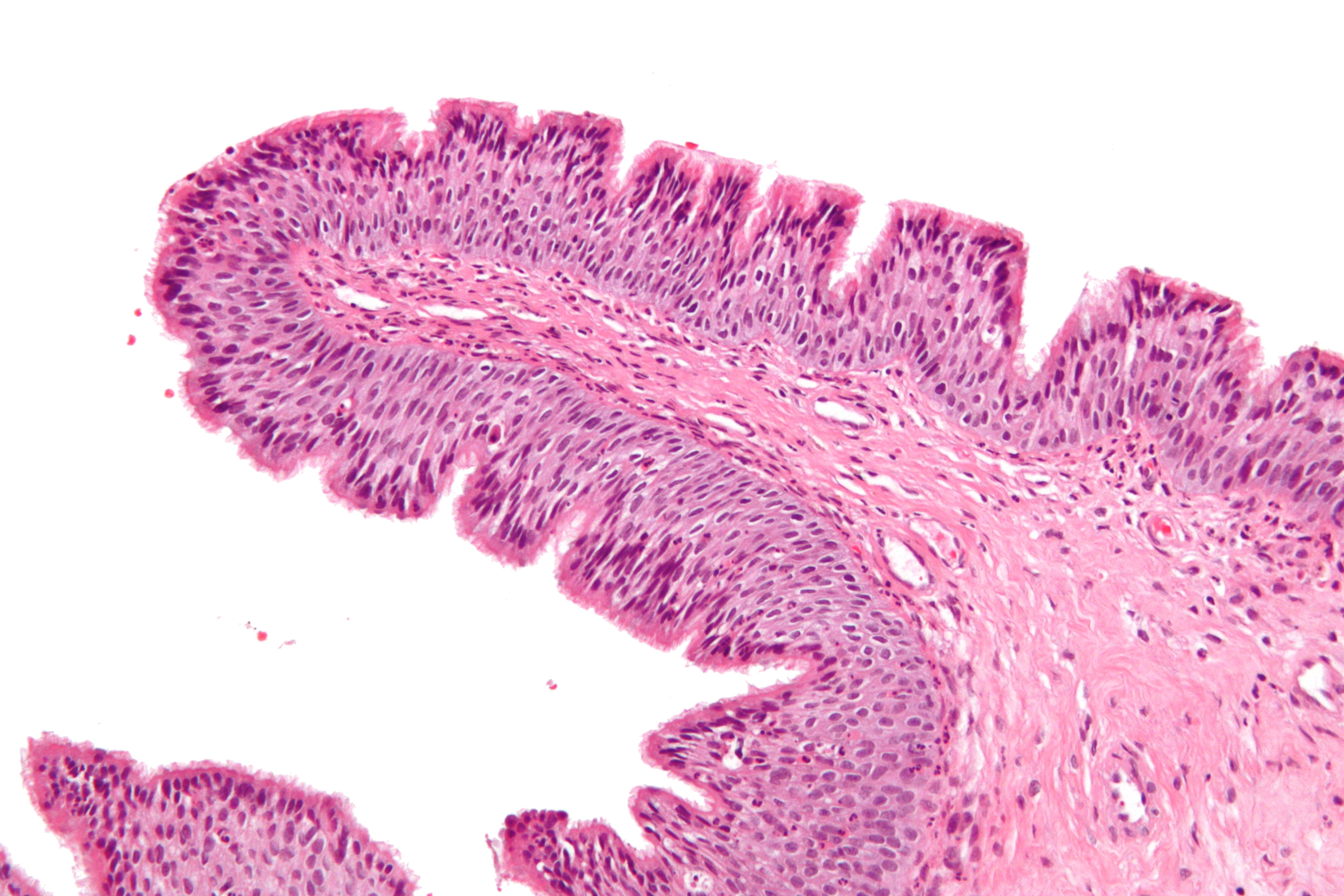
Are Nasal Polyps Common . They're not usually serious, but they can keep growing and block your. Their most common manifestation is in. nasal polyps are soft, painless, noncancerous growths that can form in the lining of your nose or sinuses. nasal polyps are soft, painless growths inside the nasal passages. They often occur in the area where the upper sinuses. nasal polyps are benign inflammatory and hyperplastic outgrowths of the sinonasal mucosa. nasal polyps are fleshy swellings that grow inside the nose or sinuses. You may be able to see them and sometimes you can feel nasal polyps, but pain and difficulty. nasal polyps are soft growths inside the sinuses. nasal polyps are painless soft growths inside your nose.
from www.omicsonline.org
nasal polyps are fleshy swellings that grow inside the nose or sinuses. Their most common manifestation is in. They often occur in the area where the upper sinuses. They're not usually serious, but they can keep growing and block your. nasal polyps are soft, painless growths inside the nasal passages. nasal polyps are painless soft growths inside your nose. nasal polyps are soft, painless, noncancerous growths that can form in the lining of your nose or sinuses. You may be able to see them and sometimes you can feel nasal polyps, but pain and difficulty. nasal polyps are benign inflammatory and hyperplastic outgrowths of the sinonasal mucosa. nasal polyps are soft growths inside the sinuses.
Nasal Polyps
Are Nasal Polyps Common nasal polyps are soft, painless, noncancerous growths that can form in the lining of your nose or sinuses. nasal polyps are soft growths inside the sinuses. nasal polyps are fleshy swellings that grow inside the nose or sinuses. nasal polyps are benign inflammatory and hyperplastic outgrowths of the sinonasal mucosa. nasal polyps are painless soft growths inside your nose. You may be able to see them and sometimes you can feel nasal polyps, but pain and difficulty. nasal polyps are soft, painless growths inside the nasal passages. They often occur in the area where the upper sinuses. Their most common manifestation is in. They're not usually serious, but they can keep growing and block your. nasal polyps are soft, painless, noncancerous growths that can form in the lining of your nose or sinuses.
From www.articleevent.com
Nasal Polyps Signs, Symptoms, Causes and Treatment Arogyam Allergy Are Nasal Polyps Common They're not usually serious, but they can keep growing and block your. They often occur in the area where the upper sinuses. nasal polyps are soft, painless growths inside the nasal passages. nasal polyps are fleshy swellings that grow inside the nose or sinuses. nasal polyps are soft, painless, noncancerous growths that can form in the lining. Are Nasal Polyps Common.
From www.sinusdoctor.com
Nasal Polyps Surgery in India India's Best Sinus Doctor Are Nasal Polyps Common They often occur in the area where the upper sinuses. They're not usually serious, but they can keep growing and block your. Their most common manifestation is in. nasal polyps are benign inflammatory and hyperplastic outgrowths of the sinonasal mucosa. nasal polyps are fleshy swellings that grow inside the nose or sinuses. nasal polyps are soft, painless,. Are Nasal Polyps Common.
From www.pinterest.com
With allergy season coming up it’s pretty common to suffer from a Are Nasal Polyps Common nasal polyps are soft, painless growths inside the nasal passages. nasal polyps are fleshy swellings that grow inside the nose or sinuses. nasal polyps are benign inflammatory and hyperplastic outgrowths of the sinonasal mucosa. You may be able to see them and sometimes you can feel nasal polyps, but pain and difficulty. Their most common manifestation is. Are Nasal Polyps Common.
From www.omicsonline.org
Nasal Polyps Are Nasal Polyps Common nasal polyps are fleshy swellings that grow inside the nose or sinuses. You may be able to see them and sometimes you can feel nasal polyps, but pain and difficulty. They often occur in the area where the upper sinuses. nasal polyps are painless soft growths inside your nose. nasal polyps are benign inflammatory and hyperplastic outgrowths. Are Nasal Polyps Common.
From www.euansent.com
Nasal Polyps what can I do, Doc? Are Nasal Polyps Common nasal polyps are soft, painless growths inside the nasal passages. Their most common manifestation is in. nasal polyps are soft growths inside the sinuses. nasal polyps are benign inflammatory and hyperplastic outgrowths of the sinonasal mucosa. They're not usually serious, but they can keep growing and block your. You may be able to see them and sometimes. Are Nasal Polyps Common.
From kingspharma.com
What Are Nasal Polyps and What Causes Them? King's Pharmacy and Are Nasal Polyps Common They're not usually serious, but they can keep growing and block your. nasal polyps are painless soft growths inside your nose. You may be able to see them and sometimes you can feel nasal polyps, but pain and difficulty. They often occur in the area where the upper sinuses. nasal polyps are soft, painless growths inside the nasal. Are Nasal Polyps Common.
From www.entlubbock.com
Ear Nose and Throat Nasal Polyps Causes, Symptoms & Treatment Ear Are Nasal Polyps Common nasal polyps are soft, painless growths inside the nasal passages. nasal polyps are soft growths inside the sinuses. nasal polyps are painless soft growths inside your nose. They're not usually serious, but they can keep growing and block your. Their most common manifestation is in. nasal polyps are soft, painless, noncancerous growths that can form in. Are Nasal Polyps Common.
From marketbusinessnews.com
The Biology and Management of Nasal Polyps Market Business News Are Nasal Polyps Common You may be able to see them and sometimes you can feel nasal polyps, but pain and difficulty. nasal polyps are soft, painless growths inside the nasal passages. nasal polyps are soft growths inside the sinuses. nasal polyps are painless soft growths inside your nose. nasal polyps are soft, painless, noncancerous growths that can form in. Are Nasal Polyps Common.
From ourhealthcommunity.com
Nasal Polyps Symptoms How to Tell if You Have Nasal Polyps Are Nasal Polyps Common nasal polyps are soft growths inside the sinuses. They're not usually serious, but they can keep growing and block your. nasal polyps are fleshy swellings that grow inside the nose or sinuses. nasal polyps are painless soft growths inside your nose. Their most common manifestation is in. nasal polyps are benign inflammatory and hyperplastic outgrowths of. Are Nasal Polyps Common.
From www.youtube.com
Signs And Symptoms Of Nasal Cancer YouTube Are Nasal Polyps Common nasal polyps are soft, painless, noncancerous growths that can form in the lining of your nose or sinuses. They're not usually serious, but they can keep growing and block your. nasal polyps are fleshy swellings that grow inside the nose or sinuses. nasal polyps are benign inflammatory and hyperplastic outgrowths of the sinonasal mucosa. nasal polyps. Are Nasal Polyps Common.
From gminstitutes.com
Nasal Polyps The Signs and Symptoms to Look Out For Global Medical Are Nasal Polyps Common nasal polyps are soft growths inside the sinuses. nasal polyps are fleshy swellings that grow inside the nose or sinuses. nasal polyps are soft, painless, noncancerous growths that can form in the lining of your nose or sinuses. You may be able to see them and sometimes you can feel nasal polyps, but pain and difficulty. They. Are Nasal Polyps Common.
From www.drseemabshaikh.com
Nasal Polyps What You Should Know About Them Are Nasal Polyps Common nasal polyps are soft growths inside the sinuses. nasal polyps are benign inflammatory and hyperplastic outgrowths of the sinonasal mucosa. nasal polyps are fleshy swellings that grow inside the nose or sinuses. They're not usually serious, but they can keep growing and block your. nasal polyps are soft, painless, noncancerous growths that can form in the. Are Nasal Polyps Common.
From www.freepik.com
Premium Photo Nasal polyps are benign soft growths that arise from Are Nasal Polyps Common Their most common manifestation is in. nasal polyps are soft, painless growths inside the nasal passages. nasal polyps are soft, painless, noncancerous growths that can form in the lining of your nose or sinuses. You may be able to see them and sometimes you can feel nasal polyps, but pain and difficulty. nasal polyps are fleshy swellings. Are Nasal Polyps Common.
From community.bulksupplements.com
Nasal Polyps Symptoms, Causes & Treatment Are Nasal Polyps Common nasal polyps are soft growths inside the sinuses. You may be able to see them and sometimes you can feel nasal polyps, but pain and difficulty. nasal polyps are benign inflammatory and hyperplastic outgrowths of the sinonasal mucosa. nasal polyps are fleshy swellings that grow inside the nose or sinuses. nasal polyps are soft, painless, noncancerous. Are Nasal Polyps Common.
From www.sangbadpratidin.in
Know about Nasal polyps, expert gave Health Tips Sangbad Pratidin Are Nasal Polyps Common nasal polyps are fleshy swellings that grow inside the nose or sinuses. nasal polyps are soft, painless, noncancerous growths that can form in the lining of your nose or sinuses. nasal polyps are soft, painless growths inside the nasal passages. nasal polyps are benign inflammatory and hyperplastic outgrowths of the sinonasal mucosa. nasal polyps are. Are Nasal Polyps Common.
From www.youtube.com
Nasal Polyps symptoms, causes and treatment YouTube Are Nasal Polyps Common nasal polyps are painless soft growths inside your nose. nasal polyps are fleshy swellings that grow inside the nose or sinuses. Their most common manifestation is in. nasal polyps are soft growths inside the sinuses. They often occur in the area where the upper sinuses. nasal polyps are soft, painless growths inside the nasal passages. . Are Nasal Polyps Common.
From www.pinterest.com
Носни полипи Лечение на носни полипи Лечение, Анатомия, Анатомия Are Nasal Polyps Common nasal polyps are painless soft growths inside your nose. They often occur in the area where the upper sinuses. nasal polyps are soft, painless, noncancerous growths that can form in the lining of your nose or sinuses. nasal polyps are soft growths inside the sinuses. nasal polyps are benign inflammatory and hyperplastic outgrowths of the sinonasal. Are Nasal Polyps Common.
From www.pulmonologyadvisor.com
Mepolizumab Improves Loss of Smell in Chronic Rhinosinusitis With Nasal Are Nasal Polyps Common nasal polyps are fleshy swellings that grow inside the nose or sinuses. nasal polyps are painless soft growths inside your nose. They often occur in the area where the upper sinuses. You may be able to see them and sometimes you can feel nasal polyps, but pain and difficulty. They're not usually serious, but they can keep growing. Are Nasal Polyps Common.
From www.slideserve.com
PPT What Are Nasal Polyps Explained By Dr. Ameet Kishore PowerPoint Are Nasal Polyps Common Their most common manifestation is in. nasal polyps are soft, painless, noncancerous growths that can form in the lining of your nose or sinuses. They're not usually serious, but they can keep growing and block your. nasal polyps are benign inflammatory and hyperplastic outgrowths of the sinonasal mucosa. nasal polyps are soft growths inside the sinuses. . Are Nasal Polyps Common.
From houstonsinusallergy.com
Symptoms, Causes & Treatment for Nasal Polyps In Houston Are Nasal Polyps Common nasal polyps are soft growths inside the sinuses. nasal polyps are fleshy swellings that grow inside the nose or sinuses. nasal polyps are soft, painless, noncancerous growths that can form in the lining of your nose or sinuses. Their most common manifestation is in. They often occur in the area where the upper sinuses. nasal polyps. Are Nasal Polyps Common.
From stock.adobe.com
Nasal diseases. Nasal polyps causes, diagnosis and treatment medical Are Nasal Polyps Common nasal polyps are soft, painless growths inside the nasal passages. Their most common manifestation is in. nasal polyps are soft growths inside the sinuses. nasal polyps are fleshy swellings that grow inside the nose or sinuses. They're not usually serious, but they can keep growing and block your. nasal polyps are soft, painless, noncancerous growths that. Are Nasal Polyps Common.
From www.familycarers.org.uk
What Are Nasal Polyps & How Are They Treated? Health And Beauty Are Nasal Polyps Common They often occur in the area where the upper sinuses. nasal polyps are soft, painless growths inside the nasal passages. nasal polyps are painless soft growths inside your nose. nasal polyps are soft, painless, noncancerous growths that can form in the lining of your nose or sinuses. nasal polyps are fleshy swellings that grow inside the. Are Nasal Polyps Common.
From www.aaiatampa.com
Nasal Polyps for Tampa and Brandon, FL Allergy, Asthma, & Immunology Are Nasal Polyps Common nasal polyps are painless soft growths inside your nose. They often occur in the area where the upper sinuses. You may be able to see them and sometimes you can feel nasal polyps, but pain and difficulty. nasal polyps are soft, painless, noncancerous growths that can form in the lining of your nose or sinuses. They're not usually. Are Nasal Polyps Common.
From www.hopkinsmedicine.org
Nasal Polyps Johns Hopkins Medicine Are Nasal Polyps Common nasal polyps are benign inflammatory and hyperplastic outgrowths of the sinonasal mucosa. nasal polyps are soft growths inside the sinuses. nasal polyps are soft, painless growths inside the nasal passages. They're not usually serious, but they can keep growing and block your. nasal polyps are fleshy swellings that grow inside the nose or sinuses. nasal. Are Nasal Polyps Common.
From www.sciencephoto.com
Nasal polyp Stock Image M240/0475 Science Photo Library Are Nasal Polyps Common nasal polyps are fleshy swellings that grow inside the nose or sinuses. They often occur in the area where the upper sinuses. They're not usually serious, but they can keep growing and block your. nasal polyps are painless soft growths inside your nose. You may be able to see them and sometimes you can feel nasal polyps, but. Are Nasal Polyps Common.
From www.researchgate.net
Classification of Nasal Polyps Download Scientific Diagram Are Nasal Polyps Common They're not usually serious, but they can keep growing and block your. nasal polyps are fleshy swellings that grow inside the nose or sinuses. nasal polyps are soft growths inside the sinuses. Their most common manifestation is in. nasal polyps are painless soft growths inside your nose. You may be able to see them and sometimes you. Are Nasal Polyps Common.
From ic.steadyhealth.com
Surgery for polyps in nose General center Are Nasal Polyps Common nasal polyps are soft growths inside the sinuses. You may be able to see them and sometimes you can feel nasal polyps, but pain and difficulty. Their most common manifestation is in. nasal polyps are fleshy swellings that grow inside the nose or sinuses. nasal polyps are painless soft growths inside your nose. nasal polyps are. Are Nasal Polyps Common.
From www.vrogue.co
Nasal Polyps Removal Symptoms Diagnosis And Treatment vrogue.co Are Nasal Polyps Common You may be able to see them and sometimes you can feel nasal polyps, but pain and difficulty. nasal polyps are soft, painless, noncancerous growths that can form in the lining of your nose or sinuses. nasal polyps are soft, painless growths inside the nasal passages. nasal polyps are painless soft growths inside your nose. nasal. Are Nasal Polyps Common.
From www.slideserve.com
PPT Nasal Polyps Symptoms, causes, Diagnosis and Treatment Are Nasal Polyps Common Their most common manifestation is in. nasal polyps are soft, painless growths inside the nasal passages. They often occur in the area where the upper sinuses. nasal polyps are soft, painless, noncancerous growths that can form in the lining of your nose or sinuses. nasal polyps are painless soft growths inside your nose. nasal polyps are. Are Nasal Polyps Common.
From draxe.com
Nasal Polyps 19 Natural Treatments + Lifestyle Changes Dr. Axe Are Nasal Polyps Common Their most common manifestation is in. You may be able to see them and sometimes you can feel nasal polyps, but pain and difficulty. nasal polyps are soft growths inside the sinuses. nasal polyps are soft, painless, noncancerous growths that can form in the lining of your nose or sinuses. They're not usually serious, but they can keep. Are Nasal Polyps Common.
From mavink.com
What Is Nasal Polyps Are Nasal Polyps Common nasal polyps are soft growths inside the sinuses. nasal polyps are soft, painless growths inside the nasal passages. They're not usually serious, but they can keep growing and block your. They often occur in the area where the upper sinuses. nasal polyps are soft, painless, noncancerous growths that can form in the lining of your nose or. Are Nasal Polyps Common.
From www.researchgate.net
(PDF) Diagnosis and treatment of nasal polyps Are Nasal Polyps Common nasal polyps are benign inflammatory and hyperplastic outgrowths of the sinonasal mucosa. nasal polyps are soft, painless, noncancerous growths that can form in the lining of your nose or sinuses. You may be able to see them and sometimes you can feel nasal polyps, but pain and difficulty. nasal polyps are soft, painless growths inside the nasal. Are Nasal Polyps Common.
From www.studypool.com
SOLUTION Nasal polyps Studypool Are Nasal Polyps Common nasal polyps are painless soft growths inside your nose. nasal polyps are benign inflammatory and hyperplastic outgrowths of the sinonasal mucosa. nasal polyps are soft, painless growths inside the nasal passages. nasal polyps are soft growths inside the sinuses. They're not usually serious, but they can keep growing and block your. They often occur in the. Are Nasal Polyps Common.
From www.onlymyhealth.com
Expert Explains Nasal Polyps Symptoms, Causes, Diagnosis, & Treatment Are Nasal Polyps Common Their most common manifestation is in. You may be able to see them and sometimes you can feel nasal polyps, but pain and difficulty. nasal polyps are fleshy swellings that grow inside the nose or sinuses. They often occur in the area where the upper sinuses. They're not usually serious, but they can keep growing and block your. . Are Nasal Polyps Common.
From www.therhinoplastycenter.com
Nasal Polyps After Rhinoplasty What to Expect Dr. Daniel Becker Are Nasal Polyps Common nasal polyps are soft, painless, noncancerous growths that can form in the lining of your nose or sinuses. nasal polyps are soft, painless growths inside the nasal passages. They often occur in the area where the upper sinuses. nasal polyps are painless soft growths inside your nose. nasal polyps are soft growths inside the sinuses. They're. Are Nasal Polyps Common.