Salmonella Osteomyelitis Symptoms . Enteric fever, acute gastroenteritis, bacteraemia with or without. Salmonella osteomyelitis is often overlooked, causing misdiagnoses and delays. Enteric fever, acute gastroenteritis, bacteraemia with or without. Bone infection is called osteomyelitis. Salmonella infection can cause four predominant clinical syndromes: 10 infections due to kingella. Salmonella infection can cause four predominant clinical syndromes: More than a half patients suffer salmonella. Salmonella species are a common cause of osteomyelitis in developing countries and among patients with sickle cell disease. It is an acute or chronic inflammatory process involving the bone and its structures secondary to infection with. Fever and back or neck pain remain the main symptoms of svo patients on presentation.
from www.cureus.com
Salmonella species are a common cause of osteomyelitis in developing countries and among patients with sickle cell disease. Salmonella infection can cause four predominant clinical syndromes: Fever and back or neck pain remain the main symptoms of svo patients on presentation. Bone infection is called osteomyelitis. It is an acute or chronic inflammatory process involving the bone and its structures secondary to infection with. Salmonella infection can cause four predominant clinical syndromes: More than a half patients suffer salmonella. Enteric fever, acute gastroenteritis, bacteraemia with or without. Salmonella osteomyelitis is often overlooked, causing misdiagnoses and delays. Enteric fever, acute gastroenteritis, bacteraemia with or without.
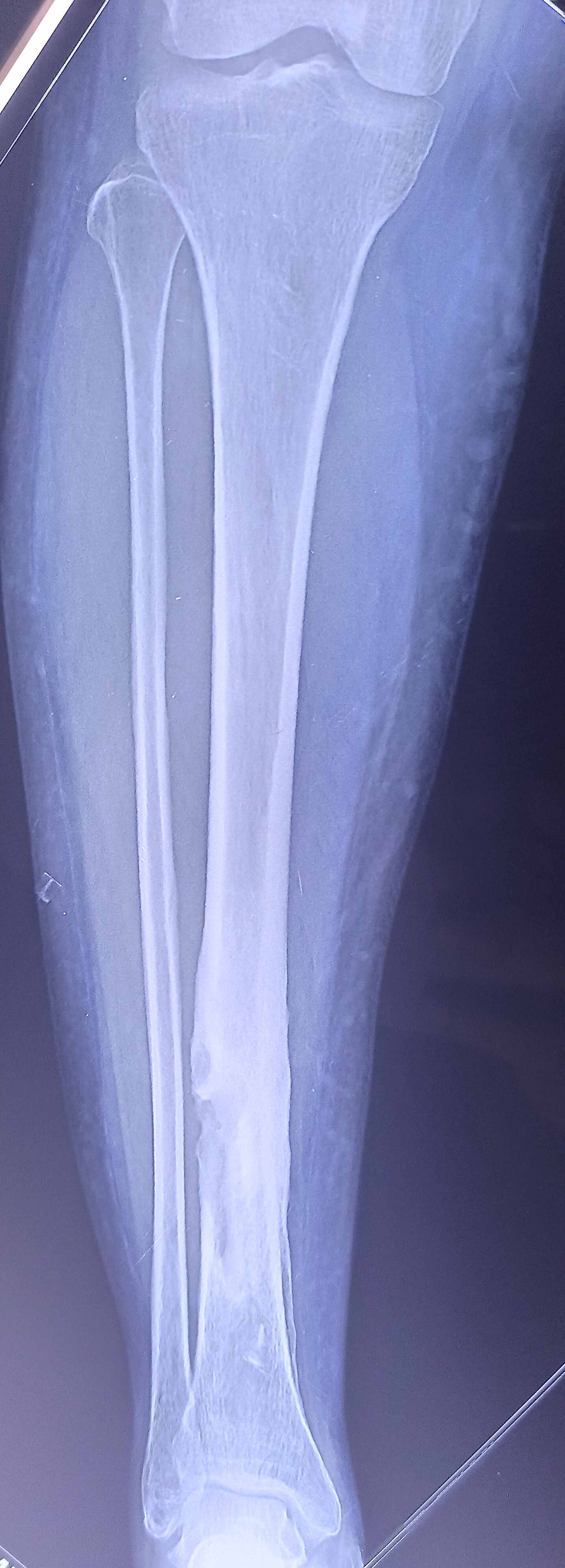
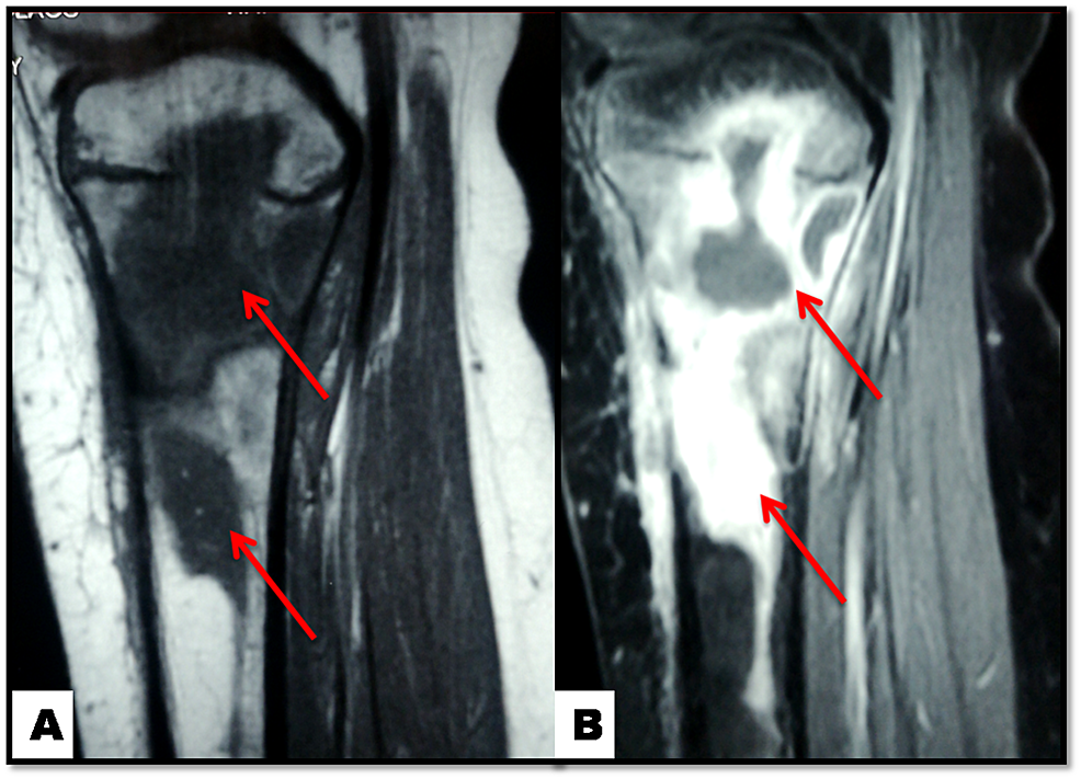
Cureus Salmonella Osteomyelitis of the Proximal Tibia in a Previously
Salmonella Osteomyelitis Symptoms Enteric fever, acute gastroenteritis, bacteraemia with or without. More than a half patients suffer salmonella. Salmonella osteomyelitis is often overlooked, causing misdiagnoses and delays. It is an acute or chronic inflammatory process involving the bone and its structures secondary to infection with. Fever and back or neck pain remain the main symptoms of svo patients on presentation. Salmonella species are a common cause of osteomyelitis in developing countries and among patients with sickle cell disease. Enteric fever, acute gastroenteritis, bacteraemia with or without. Salmonella infection can cause four predominant clinical syndromes: Salmonella infection can cause four predominant clinical syndromes: Bone infection is called osteomyelitis. 10 infections due to kingella. Enteric fever, acute gastroenteritis, bacteraemia with or without.
From www.aafp.org
Diagnosis and Management of Osteomyelitis AAFP Salmonella Osteomyelitis Symptoms Salmonella species are a common cause of osteomyelitis in developing countries and among patients with sickle cell disease. Enteric fever, acute gastroenteritis, bacteraemia with or without. 10 infections due to kingella. Salmonella infection can cause four predominant clinical syndromes: Salmonella osteomyelitis is often overlooked, causing misdiagnoses and delays. Salmonella infection can cause four predominant clinical syndromes: Enteric fever, acute gastroenteritis,. Salmonella Osteomyelitis Symptoms.
From vdocuments.mx
Salmonella osteomyelitis with femoral fracture [PDF Document] Salmonella Osteomyelitis Symptoms Enteric fever, acute gastroenteritis, bacteraemia with or without. More than a half patients suffer salmonella. It is an acute or chronic inflammatory process involving the bone and its structures secondary to infection with. Bone infection is called osteomyelitis. Salmonella osteomyelitis is often overlooked, causing misdiagnoses and delays. Fever and back or neck pain remain the main symptoms of svo patients. Salmonella Osteomyelitis Symptoms.
From www.cureus.com
Cureus Salmonella Osteomyelitis of the Proximal Tibia in a Previously Salmonella Osteomyelitis Symptoms Salmonella species are a common cause of osteomyelitis in developing countries and among patients with sickle cell disease. Bone infection is called osteomyelitis. Salmonella infection can cause four predominant clinical syndromes: Salmonella infection can cause four predominant clinical syndromes: 10 infections due to kingella. Fever and back or neck pain remain the main symptoms of svo patients on presentation. More. Salmonella Osteomyelitis Symptoms.
From www.nejm.org
Salmonella Osteomyelitis in Patients with SickleCell Anemia NEJM Salmonella Osteomyelitis Symptoms 10 infections due to kingella. More than a half patients suffer salmonella. Enteric fever, acute gastroenteritis, bacteraemia with or without. Enteric fever, acute gastroenteritis, bacteraemia with or without. Fever and back or neck pain remain the main symptoms of svo patients on presentation. It is an acute or chronic inflammatory process involving the bone and its structures secondary to infection. Salmonella Osteomyelitis Symptoms.
From www.cureus.com
Cureus A Case Report of Salmonella Typhi Osteomyelitis With Salmonella Osteomyelitis Symptoms More than a half patients suffer salmonella. It is an acute or chronic inflammatory process involving the bone and its structures secondary to infection with. Salmonella infection can cause four predominant clinical syndromes: Salmonella species are a common cause of osteomyelitis in developing countries and among patients with sickle cell disease. Enteric fever, acute gastroenteritis, bacteraemia with or without. Salmonella. Salmonella Osteomyelitis Symptoms.
From www.researchgate.net
(PDF) Osteomyelitis of the spine due to Salmonella infection Salmonella Osteomyelitis Symptoms Salmonella osteomyelitis is often overlooked, causing misdiagnoses and delays. More than a half patients suffer salmonella. Bone infection is called osteomyelitis. Salmonella infection can cause four predominant clinical syndromes: Salmonella species are a common cause of osteomyelitis in developing countries and among patients with sickle cell disease. Enteric fever, acute gastroenteritis, bacteraemia with or without. Enteric fever, acute gastroenteritis, bacteraemia. Salmonella Osteomyelitis Symptoms.
From www.researchgate.net
(PDF) Salmonella Osteomyelitis of the Hand in an Infant with Sickle Salmonella Osteomyelitis Symptoms Enteric fever, acute gastroenteritis, bacteraemia with or without. 10 infections due to kingella. Fever and back or neck pain remain the main symptoms of svo patients on presentation. Salmonella infection can cause four predominant clinical syndromes: More than a half patients suffer salmonella. Salmonella species are a common cause of osteomyelitis in developing countries and among patients with sickle cell. Salmonella Osteomyelitis Symptoms.
From www.youtube.com
Osteomyelitis Causes, Symptoms, Diagnosis & Treatment (Pathology Salmonella Osteomyelitis Symptoms Salmonella osteomyelitis is often overlooked, causing misdiagnoses and delays. Salmonella infection can cause four predominant clinical syndromes: More than a half patients suffer salmonella. Enteric fever, acute gastroenteritis, bacteraemia with or without. Salmonella species are a common cause of osteomyelitis in developing countries and among patients with sickle cell disease. Bone infection is called osteomyelitis. Fever and back or neck. Salmonella Osteomyelitis Symptoms.
From www.semanticscholar.org
Figure 2 from Osteomyelitis of the spine due to Salmonella infection Salmonella Osteomyelitis Symptoms Salmonella infection can cause four predominant clinical syndromes: Fever and back or neck pain remain the main symptoms of svo patients on presentation. Salmonella osteomyelitis is often overlooked, causing misdiagnoses and delays. Salmonella infection can cause four predominant clinical syndromes: It is an acute or chronic inflammatory process involving the bone and its structures secondary to infection with. Enteric fever,. Salmonella Osteomyelitis Symptoms.
From www.researchgate.net
Clinical features in cases of salmonella osteomyelitis Download Salmonella Osteomyelitis Symptoms Salmonella infection can cause four predominant clinical syndromes: 10 infections due to kingella. Enteric fever, acute gastroenteritis, bacteraemia with or without. Bone infection is called osteomyelitis. Salmonella osteomyelitis is often overlooked, causing misdiagnoses and delays. Salmonella species are a common cause of osteomyelitis in developing countries and among patients with sickle cell disease. Enteric fever, acute gastroenteritis, bacteraemia with or. Salmonella Osteomyelitis Symptoms.
From www.slideshare.net
Osteomyelitis Salmonella Osteomyelitis Symptoms 10 infections due to kingella. Enteric fever, acute gastroenteritis, bacteraemia with or without. Enteric fever, acute gastroenteritis, bacteraemia with or without. It is an acute or chronic inflammatory process involving the bone and its structures secondary to infection with. More than a half patients suffer salmonella. Salmonella osteomyelitis is often overlooked, causing misdiagnoses and delays. Salmonella species are a common. Salmonella Osteomyelitis Symptoms.
From www.semanticscholar.org
Figure 1 from Salmonella Osteomyelitis of the Distal Tibia in a Healthy Salmonella Osteomyelitis Symptoms More than a half patients suffer salmonella. Salmonella osteomyelitis is often overlooked, causing misdiagnoses and delays. Enteric fever, acute gastroenteritis, bacteraemia with or without. Salmonella species are a common cause of osteomyelitis in developing countries and among patients with sickle cell disease. 10 infections due to kingella. Bone infection is called osteomyelitis. Salmonella infection can cause four predominant clinical syndromes:. Salmonella Osteomyelitis Symptoms.
From jbji.copernicus.org
JBJI Salmonella osteomyelitis of the distal radius in a healthy Salmonella Osteomyelitis Symptoms Enteric fever, acute gastroenteritis, bacteraemia with or without. More than a half patients suffer salmonella. It is an acute or chronic inflammatory process involving the bone and its structures secondary to infection with. Bone infection is called osteomyelitis. Salmonella osteomyelitis is often overlooked, causing misdiagnoses and delays. Salmonella infection can cause four predominant clinical syndromes: Salmonella species are a common. Salmonella Osteomyelitis Symptoms.
From www.scientificanimations.com
Wiki Images Scientific Animations Salmonella Osteomyelitis Symptoms Salmonella osteomyelitis is often overlooked, causing misdiagnoses and delays. Enteric fever, acute gastroenteritis, bacteraemia with or without. It is an acute or chronic inflammatory process involving the bone and its structures secondary to infection with. Salmonella species are a common cause of osteomyelitis in developing countries and among patients with sickle cell disease. Bone infection is called osteomyelitis. 10 infections. Salmonella Osteomyelitis Symptoms.
From westcoastwound.com
What is Osteomyelitis, What Causes It and How is it Treated? Salmonella Osteomyelitis Symptoms Enteric fever, acute gastroenteritis, bacteraemia with or without. Enteric fever, acute gastroenteritis, bacteraemia with or without. Salmonella species are a common cause of osteomyelitis in developing countries and among patients with sickle cell disease. More than a half patients suffer salmonella. Salmonella osteomyelitis is often overlooked, causing misdiagnoses and delays. Salmonella infection can cause four predominant clinical syndromes: Fever and. Salmonella Osteomyelitis Symptoms.
From www.cureus.com
Cureus Salmonella Osteomyelitis of the Proximal Tibia in a Previously Salmonella Osteomyelitis Symptoms Salmonella infection can cause four predominant clinical syndromes: Salmonella infection can cause four predominant clinical syndromes: Enteric fever, acute gastroenteritis, bacteraemia with or without. Fever and back or neck pain remain the main symptoms of svo patients on presentation. Bone infection is called osteomyelitis. Salmonella osteomyelitis is often overlooked, causing misdiagnoses and delays. It is an acute or chronic inflammatory. Salmonella Osteomyelitis Symptoms.
From www.natural-health-news.com
Osteomyelitis Causes, Symptoms, Diagnosis and Treatment Natural Salmonella Osteomyelitis Symptoms Salmonella infection can cause four predominant clinical syndromes: Enteric fever, acute gastroenteritis, bacteraemia with or without. More than a half patients suffer salmonella. Salmonella species are a common cause of osteomyelitis in developing countries and among patients with sickle cell disease. 10 infections due to kingella. Salmonella infection can cause four predominant clinical syndromes: It is an acute or chronic. Salmonella Osteomyelitis Symptoms.
From pdfslide.net
(Download PDF) Salmonella osteomyelitis A rare differential diagnosis Salmonella Osteomyelitis Symptoms Enteric fever, acute gastroenteritis, bacteraemia with or without. It is an acute or chronic inflammatory process involving the bone and its structures secondary to infection with. 10 infections due to kingella. Bone infection is called osteomyelitis. Salmonella infection can cause four predominant clinical syndromes: Fever and back or neck pain remain the main symptoms of svo patients on presentation. Enteric. Salmonella Osteomyelitis Symptoms.
From www.researchgate.net
(PDF) Chronic Salmonella Osteomyelitis in a Diabetic Patient Salmonella Osteomyelitis Symptoms Bone infection is called osteomyelitis. Salmonella osteomyelitis is often overlooked, causing misdiagnoses and delays. Salmonella species are a common cause of osteomyelitis in developing countries and among patients with sickle cell disease. Enteric fever, acute gastroenteritis, bacteraemia with or without. More than a half patients suffer salmonella. Salmonella infection can cause four predominant clinical syndromes: Enteric fever, acute gastroenteritis, bacteraemia. Salmonella Osteomyelitis Symptoms.
From www.slideserve.com
PPT OSTEOMYELITIS INFECTIOUS ARTHRITIS PowerPoint Presentation, free Salmonella Osteomyelitis Symptoms More than a half patients suffer salmonella. Salmonella infection can cause four predominant clinical syndromes: It is an acute or chronic inflammatory process involving the bone and its structures secondary to infection with. Fever and back or neck pain remain the main symptoms of svo patients on presentation. 10 infections due to kingella. Bone infection is called osteomyelitis. Enteric fever,. Salmonella Osteomyelitis Symptoms.
From www.thelancet.com
Osteomyelitis The Lancet Salmonella Osteomyelitis Symptoms It is an acute or chronic inflammatory process involving the bone and its structures secondary to infection with. Salmonella infection can cause four predominant clinical syndromes: More than a half patients suffer salmonella. Enteric fever, acute gastroenteritis, bacteraemia with or without. Fever and back or neck pain remain the main symptoms of svo patients on presentation. Enteric fever, acute gastroenteritis,. Salmonella Osteomyelitis Symptoms.
From www.cureus.com
Chronic Salmonella Osteomyelitis in a Diabetic Patient Cureus Salmonella Osteomyelitis Symptoms Bone infection is called osteomyelitis. More than a half patients suffer salmonella. Salmonella species are a common cause of osteomyelitis in developing countries and among patients with sickle cell disease. Fever and back or neck pain remain the main symptoms of svo patients on presentation. Enteric fever, acute gastroenteritis, bacteraemia with or without. Salmonella infection can cause four predominant clinical. Salmonella Osteomyelitis Symptoms.
From www.verywellhealth.com
Salmonella Signs, Symptoms, and Complications Salmonella Osteomyelitis Symptoms Salmonella infection can cause four predominant clinical syndromes: More than a half patients suffer salmonella. 10 infections due to kingella. It is an acute or chronic inflammatory process involving the bone and its structures secondary to infection with. Salmonella species are a common cause of osteomyelitis in developing countries and among patients with sickle cell disease. Salmonella osteomyelitis is often. Salmonella Osteomyelitis Symptoms.
From www.verywellhealth.com
Salmonella Signs, Symptoms, and Complications Salmonella Osteomyelitis Symptoms Salmonella infection can cause four predominant clinical syndromes: Salmonella osteomyelitis is often overlooked, causing misdiagnoses and delays. Fever and back or neck pain remain the main symptoms of svo patients on presentation. More than a half patients suffer salmonella. It is an acute or chronic inflammatory process involving the bone and its structures secondary to infection with. Salmonella infection can. Salmonella Osteomyelitis Symptoms.
From www.nejm.org
Salmonella Osteomyelitis in Patients with SickleCell Anemia NEJM Salmonella Osteomyelitis Symptoms Enteric fever, acute gastroenteritis, bacteraemia with or without. 10 infections due to kingella. Salmonella osteomyelitis is often overlooked, causing misdiagnoses and delays. It is an acute or chronic inflammatory process involving the bone and its structures secondary to infection with. Fever and back or neck pain remain the main symptoms of svo patients on presentation. Salmonella infection can cause four. Salmonella Osteomyelitis Symptoms.
From www.cureus.com
Cureus A Case Report of Salmonella Typhi Osteomyelitis With Salmonella Osteomyelitis Symptoms Salmonella species are a common cause of osteomyelitis in developing countries and among patients with sickle cell disease. It is an acute or chronic inflammatory process involving the bone and its structures secondary to infection with. 10 infections due to kingella. Salmonella osteomyelitis is often overlooked, causing misdiagnoses and delays. Enteric fever, acute gastroenteritis, bacteraemia with or without. Fever and. Salmonella Osteomyelitis Symptoms.
From www.verywellhealth.com
Osteomyelitis Symptoms, Causes, Diagnosis and More Salmonella Osteomyelitis Symptoms Enteric fever, acute gastroenteritis, bacteraemia with or without. It is an acute or chronic inflammatory process involving the bone and its structures secondary to infection with. 10 infections due to kingella. Enteric fever, acute gastroenteritis, bacteraemia with or without. Salmonella species are a common cause of osteomyelitis in developing countries and among patients with sickle cell disease. Bone infection is. Salmonella Osteomyelitis Symptoms.
From www.semanticscholar.org
Figure 1 from Salmonella osteomyelitis in a patient with adultonset Salmonella Osteomyelitis Symptoms Salmonella species are a common cause of osteomyelitis in developing countries and among patients with sickle cell disease. It is an acute or chronic inflammatory process involving the bone and its structures secondary to infection with. Salmonella osteomyelitis is often overlooked, causing misdiagnoses and delays. Bone infection is called osteomyelitis. Fever and back or neck pain remain the main symptoms. Salmonella Osteomyelitis Symptoms.
From www.cureus.com
Cureus Salmonella Osteomyelitis of the Proximal Tibia in a Previously Salmonella Osteomyelitis Symptoms Salmonella osteomyelitis is often overlooked, causing misdiagnoses and delays. More than a half patients suffer salmonella. Enteric fever, acute gastroenteritis, bacteraemia with or without. Bone infection is called osteomyelitis. Fever and back or neck pain remain the main symptoms of svo patients on presentation. Salmonella species are a common cause of osteomyelitis in developing countries and among patients with sickle. Salmonella Osteomyelitis Symptoms.
From www.shutterstock.com
Symptoms Salmonellosis Structure Salmonella Infographics Vector 스톡 벡터 Salmonella Osteomyelitis Symptoms Salmonella infection can cause four predominant clinical syndromes: Enteric fever, acute gastroenteritis, bacteraemia with or without. Enteric fever, acute gastroenteritis, bacteraemia with or without. More than a half patients suffer salmonella. 10 infections due to kingella. Fever and back or neck pain remain the main symptoms of svo patients on presentation. Salmonella osteomyelitis is often overlooked, causing misdiagnoses and delays.. Salmonella Osteomyelitis Symptoms.
From www.studypool.com
SOLUTION Osteomyelitis in sickle cell disease with case studies Salmonella Osteomyelitis Symptoms Enteric fever, acute gastroenteritis, bacteraemia with or without. Bone infection is called osteomyelitis. Enteric fever, acute gastroenteritis, bacteraemia with or without. Salmonella infection can cause four predominant clinical syndromes: 10 infections due to kingella. It is an acute or chronic inflammatory process involving the bone and its structures secondary to infection with. Salmonella species are a common cause of osteomyelitis. Salmonella Osteomyelitis Symptoms.
From ar.inspiredpencil.com
Salmonella Symptoms Rash Salmonella Osteomyelitis Symptoms Salmonella species are a common cause of osteomyelitis in developing countries and among patients with sickle cell disease. Bone infection is called osteomyelitis. More than a half patients suffer salmonella. Fever and back or neck pain remain the main symptoms of svo patients on presentation. Enteric fever, acute gastroenteritis, bacteraemia with or without. Enteric fever, acute gastroenteritis, bacteraemia with or. Salmonella Osteomyelitis Symptoms.
From www.vrogue.co
10 Symptoms Of Osteomyelitis Facty Health vrogue.co Salmonella Osteomyelitis Symptoms It is an acute or chronic inflammatory process involving the bone and its structures secondary to infection with. Salmonella infection can cause four predominant clinical syndromes: Salmonella infection can cause four predominant clinical syndromes: Salmonella osteomyelitis is often overlooked, causing misdiagnoses and delays. More than a half patients suffer salmonella. Fever and back or neck pain remain the main symptoms. Salmonella Osteomyelitis Symptoms.
From www.cureus.com
Cureus Salmonella Osteomyelitis of the Proximal Tibia in a Previously Salmonella Osteomyelitis Symptoms Enteric fever, acute gastroenteritis, bacteraemia with or without. 10 infections due to kingella. Fever and back or neck pain remain the main symptoms of svo patients on presentation. Salmonella infection can cause four predominant clinical syndromes: Salmonella infection can cause four predominant clinical syndromes: More than a half patients suffer salmonella. Salmonella osteomyelitis is often overlooked, causing misdiagnoses and delays.. Salmonella Osteomyelitis Symptoms.
From muskegvalleyrabbitry.com
Salmonella Outbreaks, Causes, Symptoms & Treatment (2023) Salmonella Osteomyelitis Symptoms It is an acute or chronic inflammatory process involving the bone and its structures secondary to infection with. Salmonella species are a common cause of osteomyelitis in developing countries and among patients with sickle cell disease. Enteric fever, acute gastroenteritis, bacteraemia with or without. 10 infections due to kingella. Bone infection is called osteomyelitis. Enteric fever, acute gastroenteritis, bacteraemia with. Salmonella Osteomyelitis Symptoms.